登录方式

方式一:
PC端网页:www.rccrc.cn
输入账号密码登录,可将此网址收藏并保存密码方便下次登录

方式二:
手机端网页:www.rccrc.cn
输入账号密码登录,可将此网址添加至手机桌面并保存密码方便下次登录

方式三:
【重症肺言】微信公众号
输入账号密码登录

注:账号具有唯一性,即同一个账号不能在两个地方同时登录。

登录
方式

为重症救治赋能

为患者康复加速

当前位置:首页 重症实战 病例集锦

类似重症肺炎的特发性间质性肺病

王兆峰,孙辉明,赵蓓蕾 东部战区总医院 发布于2024-02-28 浏览 4282 收藏

作者:王兆峰,孙辉明,赵蓓蕾

单位:东部战区总医院

01

  临床资料

病史情况
患者男性,30岁,因“咳嗽、咳痰半月余、发热伴意识障碍7天”于2017年1月3日入院。
2016年8月因外院查血肌酐200 μmol/L,尿蛋白、隐血阳性,行肾活检诊断为IgA肾病,予泼尼松60 mg/d治疗1个月后逐渐减量至30 mg/d至入院,复查血肌酐降至130 μmol/L,尿隐血转阴。否认特殊个人史及家族史,否认过敏史、吸烟史,否认粉尘、花粉等接触史。
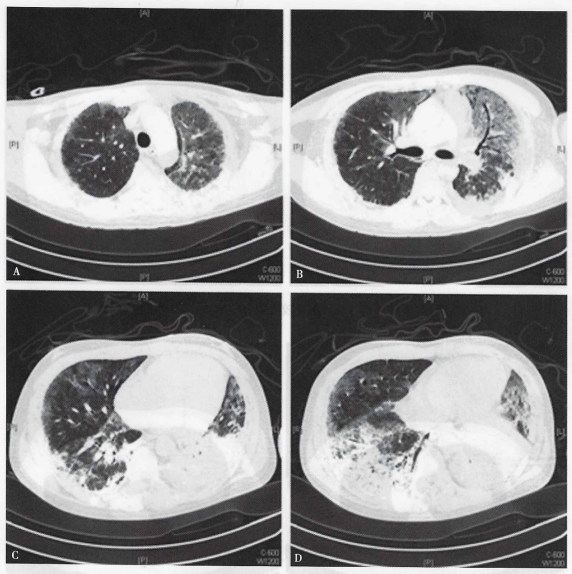
2016年12月中旬患者无诱因出现咳嗽,初为白痰,后为黄痰,量少,伴左侧季肋部疼痛和胸闷不适,未作特殊处理。12月27日患者可疑受凉后出现发热伴神志淡漠,体温最高39.1℃,来我院急诊,查尿隐血阴性,肌酐128 μmol/L,白细胞计数15×109/L;胸部CT(2016年12月28日)提示两肺磨玻璃影伴多发斑片密度增高影,左侧明显(图1)患者要求去外地就诊,拒绝住院。12月30日夜间再次高热,伴意识不清,再次来我院急诊查血常规:CRP 319 mg/L,白细胞11.8×109/L,体温39.5℃,予气管插管呼吸机辅助呼吸,收入RICU。
图片
图1 患者胸部CT
入院查体

T 37.8℃,P 90次/min,BP 110/70 mmHg,气管插管接呼吸机辅助呼吸,R 26次/min,药物镇静状态,颜面部及背部可见痤疮,无破溃。双侧胸廓对称,双肺呼吸音粗,左下肺可及细湿啰音。心律齐,各瓣膜区未及病理性杂音,四肢关节无红肿。

入院辅助检查

  • 动脉血气:pH 7.49,PaCO2 37.4 mmHg,PaO69 mmHg(FiO2 45%)
  • 血常规:白细胞10.9×109/L,血红蛋白102 g/L。
  • CRP 103.7 mg/L,PCT 2.47 μg/L,IL-6 49.5 ng/L,ESR 79 mm/h。
  • 血生化:白蛋白22.9 g/L,血肌酐174 μmol/L。
  • 尿常规:蛋白(+),红细胞(-)。

入院诊断

①两肺弥漫性病变;②Ⅰ型呼吸衰竭;③IgA肾病,急性肾损伤Ⅰ期。

02

  诊治经过

入院后考虑患者有可疑受凉诱因,长期使用激素,WBC及CRP升高,两肺片状影,予比阿培南、莫西沙星及伏立康唑抗感染治疗,考虑重症肺炎。胸部CT可见局部胸膜下线及牵拉性支气管扩张(图1),感染继发或合并两肺弥漫性病变可能,予甲泼尼龙120 mg,bid,静脉滴注,并完善自身抗体、细胞免疫等检验。
检验结果回报:甲流/乙流病毒IgM抗体、嗜肺军团菌及支原体IgM等阴性,抗核抗体谱、ANCA谱阴性,肿瘤标志物正常,GM试验0.38,G试验802.3 pg/ml,辅助/诱导T淋巴细胞(CD3+CD4+)计数46个/μl。
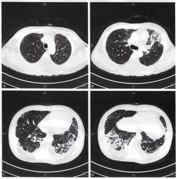
经上述治疗3 d后患者体温峰值波动在38℃以下,神志转清,复查动脉血气分析,氧合较前明显改善,自主呼吸试验通过气道保护能力尚可。2017年1月6日拔除气管插管并复查胸部CT及头颅CT。胸部CT提示两肺病变较2016年12月28日进展,左肺体积较前变小,纵隔左偏,右下肺实变较前加重(图2),头颅CT未见明显异常。
图片
图2  胸部CT提示两肺病变较前进展
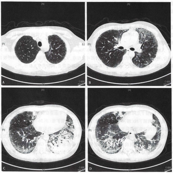
经与家属沟通,在目前治疗不变的情况下,1月7日加用环磷酰胺0.8 g静脉滴注。患者于1月9日出现幻视、眩晕等不适,考虑患者血G试验高,大剂量激素及环磷酰胺免疫抑制治疗,患者仍主诉黄痰,不宜停用抗真菌治疗,停用伏立康唑改为卡泊芬净治疗。治疗1周后患者体温峰值波动在37.5℃以下,1月10日激素减量至120 mg/d,幻视、头晕等症状明显好转,患者可下地绕床活动。1月17日再次复查胸部CT:双肺病灶较前明显吸收,纤维化较前明显好转(图3),当日将静脉滴注激素改为泼尼松80 mg/d分次口服,并停用莫西沙星。
图片
图3  复查胸部CT提示两肺病灶较前明显吸收,纤维化较前明显好转
考虑治疗有效,1月21日再次给予环磷酰胺0.8 g静脉滴注治疗。1月22日再次复查胸部CT提示病灶较1月17日进一步好转(图4),将激素调整为泼尼松60 mg/d分次口服,并带药出院,建议2月21日再次来院行环磷酰胺治疗。患者2月8日在我科门诊复诊,再次复查胸部CT示两肺病灶较1月22日好转明显(图5)
图片
图4  复查胸部CT提示病灶较前进一步好转
图片
图5  复查胸部CT提示病灶较前好转明显

03

   讨     论

间质性肺疾病(ILD)是以胸部影像学表现为两肺广泛、多发肺间质及实质性病变的一组疾病,囊括了大约200余种疾病。因涵盖疾病种类较多,许多疾病病因不明,且疾病异质性大,单分类很难覆盖疾病的病因、病理、生理、临床及预后信息。将ILD按已知及未知病因的分类更多被临床采纳。根据病因,弥漫性间质性肺疾病可分为4类:①已知病因,如职业、药物、结缔组织疾病等;②肉芽肿性疾病;③未明原因,如肺淋巴管肌瘤病等;④特发性间质性肺炎。本例患者病史提示基础存在IgA肾病,其发病机制为IgA在肾小球系膜区沉积,但IgA肾病肺脏累及少见,极少数可表现为肺泡出血,但多发生在急性期或疾病控制不佳时。该患者经激素治疗后尿隐血转阴,肌酐水平下降,故IgA肾病致两肺病变可能性小。本例患者自身抗体、ANCA抗体谱阴性,自身免疫相关疾病致两肺弥漫性病变缺乏诊断依据。
本例患者急性起病,临床症状重,胸部影像学表现为两肺磨玻璃影及高密度影,增殖性病变不明显,不符合肉芽性疾病典型表现。综合以上分析,考虑特发性间质性肺炎(IIP)可能性大。
2013年ATS和ERS在Am J Respir Crit Care Med 杂志发表了IIP新分类修订意见。在新分类中,特别强调了IIP的诊断依赖于“临床-影像-病理(clinical-radiologic-pathologic diagnosis,CRP诊断)”三者结合的重要性。该修订意见建议将IIP分为主要类型、罕见类型和不能分类三种类型(表1)。根据发病急缓以及可能的相关发病因素,将主要类型的IIP分为慢性纤维化的间质性肺炎、吸烟相关的IIP、急性和亚急性IIP三种类型,主要类型的IIP影像和/或病理诊断与CRP诊断的对应关系如表2所示

表1  2013 ATS/ERS特发性间质性肺炎(IIP)多学科分类

图片
表2  主要特发性间质性肺炎(IIP)类型的CRP诊断与影像和/或病理诊断
图片
本例患者起病急,结合以上分类更倾向于COP或AIP。在不能分类的IIP中有一类疾病比较特殊,其在高分辨CT上表现为双肺多发的沿基底部和支气管周围分布的边界不清的结节影和实变影,病理组织学表现为肺泡腔内纤维素的沉积伴机化性肺炎(OP)改变,而有别于弥漫性肺泡损伤的透明膜形成或肉芽肿性病变。新分类的修订意见将此类病变称为急性纤维素性机化性肺炎(acute fibrinous and organizing pneumonia,AFOP)。AFOP能否作为IIP的一种独立病理类型尚存在争议。有学者认为AFOP代表了弥漫性肺泡损伤或OP病程中的过渡类型,也可能与结缔组织病、药物反应等相关。
结合上述分析,此例患者诊断集中在AIP、COP及AFOP三类IIP上。典型COP呈亚急性发病,首发症状多为不同程度的发热、咳嗽和呼吸困难,往往抗感染效果差或无效。大多数患者在口服皮质激素后完全恢复或残留部分纤维化,但在激素减量或停药后可复发,HRCT呈肺内斑片状实变影,实变内可有支气管充气征,病变多分布于胸膜下及/或支气管周围,可呈游走性,反晕轮征有助于诊断。AIP多起病急骤,预后差,临床需与ARDS相鉴别。二者主要病理表现均为弥漫性肺泡损伤,主要区别为后者往往有明确诱因。影像学上AIP最常见表现为两肺弥漫性磨玻璃影伴实变影,后期可出现牵拉性支气管扩张。AFOP临床呈急性或亚急性起病,多数病例对类固醇及免疫抑制剂反应良好,影像学主要表现为双肺弥漫浸润性病变,多为斑片状实变阴影,双侧肺底多见,也可表现为单侧结节状实变阴影。本例患者起病急骤,胸部影像学表现为双肺磨玻璃影及伴实变影,激素治疗后患者症状好转但影像学进展,加用环磷酰胺免疫抑制治疗后影像学吸收明显。鉴于AFOP的特殊病理组织学地位,综合此例患者诊治经过,考虑AIP或AFOP可能性大。
因为本例患者入院时一般状况差,气管插管呼吸机辅助呼吸,在诊治过程中未能行明确组织病理的相关检查,这也是本文作者希望与读者探讨的问题——如何在没有病理诊断的情况下,根据临床及影像学诊断IIP?
专家点评:肖永龙(南京鼓楼医院呼吸科)
间质性肺炎中有一组临床表现为快速进展性加重,往往在短期内出现呼吸衰竭,临床很容易与感染性重症肺炎相混淆,由于两者治疗方向存在明显差别,尽早诊断对预后至关重要,但这部分病例通常因为病情危重而失去肺活检病理诊断的机会,此时细致分析患者的临床、影像学及其他检查资料,作出最可能的临床诊断并进行恰当的经验性治疗是临床医师经常面对的挑战。本病例即是在无法进行肺活检的情况下,根据胸部CT特征及临床表现诊断特发性间质性肺炎,早期进行糖皮质激素治疗并获得成功。
本病例治疗过程中有几点值得引起重视:①患者具有长时间糖皮质激素使用病史,免疫受损基础,发热及外周血白细胞增多,临床上很容易首先考虑为感染性肺炎。而此时医生对患者胸部CT上牵拉性支气管扩张征象的重视是将疾病诊断引向间质性肺炎的重要线索和依据。为临床医师对类似疾病的诊疗提供了有价值的经验参考。
本病例病程中血CD4+T淋巴细胞低至46个/μl,血G试验高达802.3 pg/ml,有肺孢子菌肺炎的可能,临床上一般的处理策略是加用SMZco。本病例治疗中加用了卡泊芬净,该药除对临床常见的肺部真菌有效外,对肺孢子菌也有一定疗效,这也可能是本病例经过较长时间和较高剂量糖皮质激素治疗后未发生严重感染并发症的原因之一。本病例胸部CT表现为广泛磨玻璃影和实变影,对糖皮质激素治疗反应较好,恢复期胸部CT绝大部分区域肺结构恢复较理想,考虑最可能的诊断是重症OP或重症AFOP。

全部评论 0
Copyright©2020-2026 北京医麦斯科技有限公司 版权所有 京ICP备2020034400号-1 京公网安备11010502043983号