登录方式

方式一:
PC端网页:www.rccrc.cn
输入账号密码登录,可将此网址收藏并保存密码方便下次登录

方式二:
手机端网页:www.rccrc.cn
输入账号密码登录,可将此网址添加至手机桌面并保存密码方便下次登录

方式三:
【重症肺言】微信公众号
输入账号密码登录

注:账号具有唯一性,即同一个账号不能在两个地方同时登录。

登录
方式

为重症救治赋能

为患者康复加速

当前位置:首页 重症实战 病例集锦

过敏性肺泡炎

王晓月 徐姝 林勇 东南大学医学院附属南京胸科 发布于2022-04-24 浏览 6489 收藏



作者:王晓月 徐姝 林勇
单位:东南大学医学院附属南京胸科医院呼吸科


过敏性肺泡炎又称为外源性过敏性肺泡炎,是由于反复吸入各种有机粉尘中抗原物质引起的异常免疫介导的间质性肺病,可引起小气道、肺泡和间质淋巴细胞炎症,常伴有肉芽肿形成。因其暴露原较为隐匿,且临床及影像学表现多样,又缺乏特异性抗原可用,常常造成误诊及漏诊。本文报道过敏性肺泡炎一例,曾多次被误诊为重症社区获得性肺炎,使用多种高档抗生素,入住ICU,使用无创呼吸机。病情错综复杂,最终通过反复询问病史结合胸部影像学表现确诊。


图片

临床资料


一般资料

患者,女性,57岁,因“反复发热、咳嗽、胸闷气喘2年,再发1日”于2017年11月9日入院。


现病史

患者2年前无明显诱因出现发热,热峰40℃,伴畏寒、咳嗽咳痰、胸闷气喘,自服感冒药后效果欠佳,至A院就诊。入院后予查血常规:WBC 13.16×109/L,NEU% 90.1%, CRP 137.8 mg/L。生化常规:ALT 164 U/L,AST 89 U/L,血气分析:pH 7.45,PaO48 mmHg, PaCO34 mmHg,胸部CT(2015年2月16日,A院):①两肺炎症,建议抗炎治疗后复查;②心影稍增大,心包少许积液;③左侧乳腺区圆形结节(原片未见)。拟“重症肺炎、Ⅰ型呼吸衰竭、肝功能异常”收住院。予吸氧,“哌拉西林他唑巴坦+莫西沙星”抗感染、“奥司他韦”抗病毒、保肝等治疗。但患者症状无好转,持续发热,胸闷气喘进行性加重,并出现乏力、多汗,复查胸部CT:两肺广泛分布片絮状密度增高密度影,较前进展(原片未见)。后转A院ICU,予机械通气,更换“美罗培南”加强抗感染,丙种球蛋白冲击治疗。复查血气分析:pH 7.47,PaO73 mmHg,PaCO34 mmHg。1周后患者咳嗽、气喘症状逐渐好转,于2015年3月2日出院。


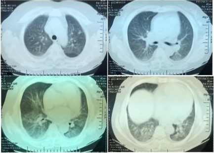
2016年2月患者劳累后再次出现畏寒、发热(体温未测),伴咳嗽、咳痰,门诊查血常规:WBC 14.7×109/L,NEU 88.1%,胸部CT(图1)两肺间质性病变伴感染;心包腔少量积液;两侧胸膜轻度增厚;④左侧乳腺结节影。诊断“肺部感染”,予“美洛西林舒巴坦、喜炎平注射液”治疗后患者无明显改善,渐出现胸闷不适、呼吸困难,查血气:pH 7.477,PaO39.6 mmHg, PaCO36.7 mmHg收住B院。予“哌拉西林他唑巴坦+莫西沙星”治疗3日,症状无好转,更换“亚胺培南西司他丁”抗感染,并予无创机械通气。


图片

图1  胸部CT(2016年2月3日)

注:两肺间质性病变伴感染,心包腔少量积液。两侧胸膜轻度增厚。左侧乳腺结节影


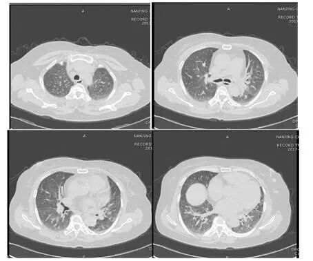
后患者咳嗽、气喘渐好转,复查血常规正常,胸部CT(图2较前有所吸收,2016年2月15日出院。此后患者反复出现上述症状,每年发作2~3次,住院治疗10~15日可缓解。

 图片

图2  胸部CT(2016年2月11日
注:两肺间质性改变伴感染,较前部分吸收。心影增大伴心包腔及双侧胸腔少许积液,双侧胸膜轻度增厚


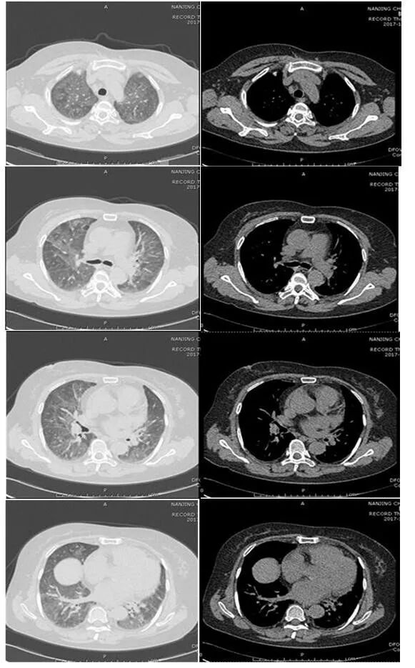
1天前患者劳累后再次出现咳嗽、胸闷不适,来我院就诊,门诊查血常规:WBC 5.3×109L,NEU 59%,Hb 112 g/L,PLT 175×109/L,EOS% 04.3%,  CRP 182.87 mg/ml,胸部CT(图3):两肺纹理增多模糊,两肺野透亮度不均,两肺见弥漫性分布的磨玻璃影,可见小叶结节分布。影像诊断:两肺弥漫性病变,考虑:过敏性肺泡炎?病毒感染?两侧少许胸膜增厚。


图片

图3  胸部CT(2017年11月9日)
注:两肺弥漫性病变,考虑:过敏性肺泡炎?感染(病毒)?心脏稍增大。两侧少许胸膜增厚。纵隔淋巴结稍大。左侧乳腺内结节影,请结合专科检查


既往史及个人史

有“左乳腺结节”病史3年,否认慢性病史及传染病病史。长期居住南京,周围环境良好(无化工厂),否认烟酒史。否认毒物、放射物接触史,否认疫水、疫源地接触史。


入院查体

T 36.5℃,P 80次/min,R 20次/min,BP 120/83 mmHg,SpO89%。神志清,精神萎。口唇发绀,双肺呼吸音粗,两下肺可闻及少许湿啰音。HR 80次/min,律齐,各瓣膜听诊区未闻及病理性杂音。腹平软,无压痛或反跳痛,双下肢轻度可凹陷水肿。


图片

诊疗过程


初步诊断

两肺弥漫性病灶:病毒性肺炎?嗜酸性粒细胞肺炎?过敏性肺泡炎?予“头孢唑肟”静滴和“莫西沙星”抗感染、平喘、止咳、化痰、保肝等治疗


入院后实验室检查

血气分析:pH 7.41,PaO57 mmHg,PaCO38 mmHg,SpO2 89%,血常规:WBC 7.0×109/L,NEU% 56%,EOS% 15.6%,CRP 41.71 mg/ml, ESR 35 mm/h,生化常规:ALT 128 U/L,余无异常。肺癌组合:Cyfra21-1:3.74 ng/ml,其他过敏原检测、自身抗体、病毒八项、结核、真菌均未见异常。心电图正常,心超:舒张功能稍减退,轻度三尖瓣关闭不全。肝胆胰脾B超:脂肪肝。肺功能:FEV1% 64.7%,FEV1/FVC% 67%,MVV %60.8%,RV/TLC% 96.1%,DLCO% 72.9%(中度混合型通气功能障碍,最大通气量测定中度降低,弥散功能测定降低,残/总百分比轻度增高),气管镜检查:见气管支气管黏膜肥厚,轻度充血水肿,未见明显异常,收集左下叶背段灌洗液并行刷检。送检气管镜灌洗液G试验和GM试验,刷片集菌阴性。气管镜病理:见组织细胞、上皮细胞、炎细胞,未见肿瘤细胞。


因患者为两肺弥漫性病变,临床上考虑以下可能:病毒性肺炎?肺水肿?嗜酸性粒细胞肺炎?肺孢子菌肺炎?过敏性肺泡炎?


反复询问病史:患者家住一楼,卧室内有霉变家具和柜子。患者喜净,间隔一段时间就会打扫卫生,有时干完活感到胸闷不适,自觉劳累所致,未予重视。


根据病史及影像学表现,临床诊断过敏性肺泡炎。治疗上停用抗生素,并予甲泼尼龙40 mg qd ivgtt;辅以保肝、护胃治疗。激素治疗1周后复查胸部CT(图4),较前好转,予办理出院。并嘱患者清理霉变家具,脱离环境。出院带药:泼尼松30 mg每日1次,逐渐减量。此后患者门诊定期随访,未在出现咳嗽、胸闷气喘症状。


图片

图4  患者胸部CT(2017年11月20日
注:激素治疗1周后,双肺磨玻璃影较前吸收


图片

讨论


本文报道了一例过敏性肺泡炎的患者,反复发作,症状类似,就诊过程曲折。最终通过反复追问既往发病情况,尤其是居住环境或接触史,结合胸部HRCT的特征确诊。患者几次外院住院,后好转,其主要原因并非用药,而是脱离了过敏原的环境。后反复发作原因考虑再次接触过敏原环境所致。


第一例过敏性肺炎(HP)报道于1932年,患者为接触了霉变干草的农业工人。目前所知的抗原,大致可分为6类:细菌、真菌、动物蛋白、植物蛋白、低分子化学物质及金属材料等,文献中分别描述为:“农民肺”“饲鸟者肺”“蘑菇工人肺”“浴盆肺”等。因此,通过询问病史寻找过敏原比尘肺困难得多。本例患者是HRCT影像有提示线索后,详细追问接触史,方提示诊断。生活中最多见、最隐匿的是鸟类接触史,特别是间接接触。另外,羽绒服、羽绒被及枕头都应被问及。接触动物皮毛被认为能引起过敏性肺炎。近期有文献表明[1],宠物狗美容或使用宠物杀虫喷雾可能是HP相关抗原。本例患者接触霉变家具及墙壁后发病,其过敏原主要考虑霉菌。


因过敏性肺泡炎的临床、病理生理特点、影像特征以及发病机制都极其相似,1997年,Schuyler和Cormier[2]提出了HP的诊断标准,如果全部满足,即可明确诊断。包括以下,主要标准:①症状符合HP表现;②特异性抗原暴露(客观接触史或血清沉淀抗体阳性);③符合HPX线胸片或HRCT改变;④BALF淋巴细胞增高;⑤符合HP组织病理学改变;⑥自然暴露刺激阳性反应。次要标准:肺底捻发音;DLCO降低;低氧血症(静息或运动时)。满足4条主要标准和2条次要标准即可诊断,本病例因没有做灌洗液细胞分类及活检,故不满足主要标准中的4、5条,但满足主要标准1、2、3、6条及次要标准的2、3条。


急性HP的HRCT表现主要为上叶和中叶优势为主的磨玻璃影或斑片状渗出影、小结节影,呼气相空气陷闭。约20%的患者X线胸片检查无异常。胸部CT有以下表现特点更倾向于急性HP的诊断:小叶性低密度区(气体陷闭) ;小叶中央型结节影;病变以上、中肺野,非胸膜下分布为主。亚急性HP最具特征性的影像为双侧弥漫,或以中下肺区为主的磨玻璃影、小叶中央型结节影或两者兼有。另一种常见影像是马赛克征,即由磨玻璃影和局限性气体陷闭区构成。随着病情的发展,出现网状结构,提示纤维化和牵拉性支气管扩张,在慢性HP中也可见到薄壁囊性改变、实质性改变和纵隔淋巴结肿大。慢性HP的空气陷闭区域比UIP和NSIP更广泛,与特发性纤维化(IPF)相比,慢性HP患者除下肺有纤维化表现外,上肺及中肺都存在多灶纤维化改变,而IPF网状影以下肺区胸膜下分布为主[3],但部分难以鉴别,易误诊。


HP的肺功能检查主要为限制性通气功能障碍和弥散障碍,可有小气道功能障碍。在支气管肺泡灌洗(BAL)通常显示淋巴细胞增多(通常大于50%)和低CD4/CD8比值。但不能作为HP的诊断标准,仅提供了支持证据。淋巴细胞增多在慢性HP中可能不见,但淋巴细胞增多的存在有助于区分UIP。但BALF细胞计数没有统一标准,结果差异较大,因而BALF淋巴细胞计数仅作为HP的诊断参考。在临床工作中,有可疑过敏原暴露史、临床表现和HRCT影像特点常可提示诊断,避免接触抗原后病情改善则进一步支持HP的诊断。但当临床诊断不肯定时,特别是需与其他疾病进行鉴别诊断时,需要做肺活检行病理检查。


HP的治疗关键是避免接触抗原,如果在疾病诊断早期,避免抗原接触后症状可自行缓解,这种情况通常是可逆的,不需特殊治疗。但对于急性重症和慢性进展的患者则需要糖皮质激素,近期疗效肯定,但糖皮质激素对长期预后无影响[4]。目前尚无文献支持吸入性类固醇可以代替系统性糖皮质激素。患者通常开始每天0.5~1.0 mg/kg(最多60 mg/d),通常使用该剂量治疗1~2周,然后在2~4周内逐步减量,以最低剂量及最短的糖皮质激素持续时间为目标。本病例患者多次接触环境后发作,脱离环境后好转。嘱其脱离可能的过敏原,并使用强的松40 mg/d治疗,1个月后,患者的症状、影像、肺功能均有好转。


图片

总结


临床上HP的诊断困难,易造成漏诊及误诊。对于HP患者来说,脱离抗原是首要治疗关键,轻症患者脱离后可自行缓解,若未及时指导患者脱离过敏原,易导致病情迁延不愈,影响预后。所以在临床工作中,应加强临床、放射、胸外和病理等各科之间的合作,避免误诊,延误病情。


图片

参考文献

[1] Pu C Y, Rasheed M R, Sekosan M, et al. Pet groomer’s lung: A novel occupation related hypersensitivity pneumonitis related to pyrethrin exposure in a pet groomer[J]. Am J Ind Med, 2016, 60(1): 141-145.

[2] Shuyler M, Cormier Y. The Diagnosis of Hypersensitivity Pneumonitis[J].  Chest, 1997, 111: 534-536.

[3] Elicker B M, Jones K D, Henry T S, et al. Multidisciplinary approach to hypersensitivity pneumonitis[J]. J Thorac Imaging, 2016, 31(2): 92-103.

[4] Hirschmann J V, Pipavath S N, Godwin J D. Hypersensitivity pneumonitis: A historical, Clinical, and radiologic review[J]. Radio Graphics, 2009, 29(7): 1921-1938.

全部评论 0
Copyright©2020-2026 北京医麦斯科技有限公司 版权所有 京ICP备2020034400号-1 京公网安备11010502043983号