登录方式
            方式一:
            PC端网页:www.rccrc.cn
            输入账号密码登录,可将此网址收藏并保存密码方便下次登录
        
            方式二:
            手机端网页:www.rccrc.cn
            输入账号密码登录,可将此网址添加至手机桌面并保存密码方便下次登录
        
            方式三:
            【重症肺言】微信公众号
            输入账号密码登录
        
注:账号具有唯一性,即同一个账号不能在两个地方同时登录。
病史资料
一般情况
患者,男性,28岁,从事土木工程工作。主诉:咳嗽7月余,加重伴咳痰5月余,发热1月余,2021年9月22日收入我科。慢性病程,逐渐进展,近5个月体重下降约25 kg余。
既往史及个人史
2012年全血细胞减少WBC 3.95×109/L,Hg 55 g/L,PLT 26×109/L,诊断再生障碍性贫血,给予输血治疗后未再复查。2019年因腿部脓肿发现白细胞 3.95×109/L,中性粒细胞0.71×109/L,给予升白治疗未予复查。无吸烟、饮酒史。
现病史
患者于2021年2月无明显诱因出现咳嗽、无咳痰,未予就诊。
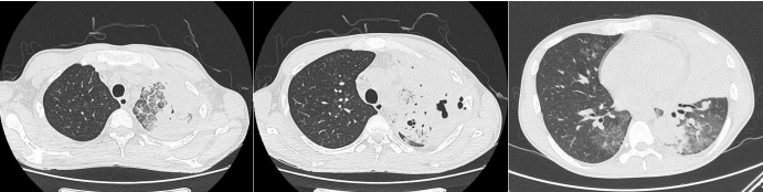
4月出现发热,体温38℃,5月咳黄色黏痰,体重下降15 kg,就诊于当地医院,检查提示WBC 1.83×109/L;胸部CT示:双肺多发病变伴纵隔淋巴结肿大;颈部淋巴结肿大。淋巴结穿刺考虑结核感染不除外,建议胸科医院排查,后排除结核,自服中药。
8月患者咳嗽再次加重,伴黄色黏痰,偶伴痰中带血丝,伴乏力,体重较5月下降10 kg,遂就诊于当地附属医院,完善气管镜检查、CT引导下肺穿刺活检考虑曲霉感染可能。骨穿提示骨髓增生异常综合征(MDS)可能。予以伏立康唑、亚胺培南、更昔洛韦抗感染治疗后,复查肺部CT感染灶未见明显好转。
患者为求进一步诊治于2021年9月18日就诊于我院门诊,以“社区获得性肺炎,肺曲霉病”收入我科。
辅助检查
查体:呼吸急促,30次/min,左肺呼吸消失,右肺呼吸音粗,可闻及少许湿啰音。
化验:贫血,白细胞减低,感染指标升高。G试验、GM试验、烟曲霉特异性IgE(-)。
细胞免疫:CD4+T淋巴细胞(↓)。
外院病理
超声引导下颈部淋巴结穿刺活检(2021-05-18):(右侧颈部淋巴结)少许破碎的淋巴组织呈增生性病变,可见灶状凝固样坏死及灶状增生的类上皮细胞团,考虑结核感染不除外。
CT引导下肺穿刺活检(左肺)(2021-09-07):少许支气管黏膜及肺组织呈慢性化脓性炎伴脓肿形成,间质纤维组织增生显著,局灶见较多淋巴细胞、浆细胞及中性粒细胞浸润,肺泡上皮不典型增生较著,结合特殊染色GMS(+)、PAS(+)、AEB(-),于脓肿坏死灶内见极少量真菌,形态考虑曲霉菌可能。
免疫组化(2021-09-07):IgG部分(+),IgG4个别(+),IgG4/IgG<40%。
气管镜组织病理(2021-09-11):(左上固有段黏膜活检)少量支气管黏膜组织呈慢性炎伴鳞化,部分上皮增生。(左上叶灌洗)涂片内未发现恶性肿瘤细胞。
后经本院会诊,与外院病理结果基本一致。
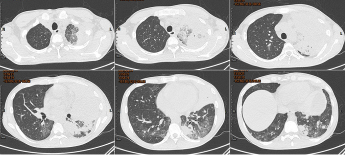
胸部CT


化验检查
血常规:Hb 75/L(↓),WBC 2.36×109/L(↑),NEU% 68.7%,PLT 167×109/L(↓)。
炎症指标:CRP 7.548 mg/dl,IL-6 66.02 pg/ml,PCT 0.216 ng/ml,ESR>140 mm/h。
G试验523.4 pg/ml,GM试验<0.25 μg/L。
呼吸道病原九项(-)。
细胞免疫B细胞18.63(90~560)(↓),CD4+T 360/μl(↓)(550~1440 /μl),NK细胞15.47 /μl(↓)(150~1100 /μl)。
体液免疫IgG 1940 mg/dl。
碱性磷酸酶226 U/L,γ-谷氨酰基转移酶263 U/L,乳酸脱氢酶306 U/L。
肿瘤标志物:血清铁蛋白2580 ng/ml(30~400 ng/ml)。
TB-spot A(-),X-pert(-)。
初步诊断
社区获得性肺炎,亚急性侵袭性肺曲霉病?
气管镜

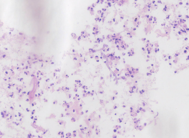
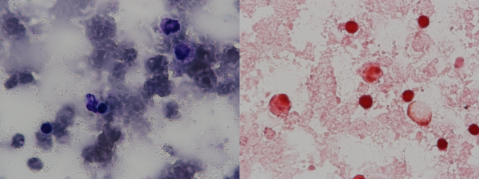
M-ROSE
未见细菌及真菌,细胞数较少,中性粒细胞占比10%以下,以巨噬细胞为主(图5)。
细胞分类:巨噬细胞46.5%,淋巴细胞15%,中性粒细胞38.5%(↑),嗜酸性粒细胞0,细胞总数2.18×106。
涂片:革兰氏阴性杆菌偶见,抗酸杆菌(-)。
培养:支气管炎伯德特菌。
X-spert(-);GM试验(-)。
培养(多次):丝状真菌,考虑曲霉。
mNGS
2021年9月23日BALF mNGS回报人类疱疹病毒4型(特异序列数3)、烟曲霉(特异序列数108)、耶氏肺孢子菌(特异序列数13)。2021年9月23日血 mNGS回报人类疱疹病毒4型(特异序列数2)、烟曲霉(特异序列数20)。
痰涂片及培养(多次):丝状真菌,考虑曲霉。
治疗
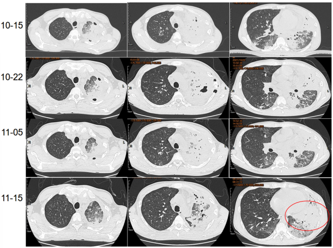
患者在伏立康唑及卡泊芬净联合治疗的情况下,仍然出现影像学进展,考虑治疗效果不佳。从病原学相关因素、宿主相关因素、药物相关因素等三方面进一步明确治疗效果不佳原因。
首先进一步明确病原学,排除其他感染可能,于2021年10月15日予行肺穿刺。
骨髓象和血象:巨核细胞3个,可见多圆核、多分叶,铁粒幼细胞36/50,三系均可见,粒系呈反应性改变,巨核细胞可见病态。
骨髓活检:取材较少,标本为血凝块,造血细胞少见。
白血病免疫分型、血液病预后相关分子生物学检测、MDS/MPN相关分子生物学检测均未见异常。
染色体核型分析图(G显带):48,XY,+8,+21[8]/47,XY,+8[1]。
血液系统疾病基因突变筛查全项(外送):ASXL1基因编码序列发现p.E635Rfs*15移码突变。
免疫指标监测
表1 免疫指标监测

气管镜检查
与9月23日相比,11月16日气管镜下见左肺支气管完全通畅,残留少许黏膜粗糙(图15)。
BALF(2021-11-16)
细胞分类:巨噬细胞36%,淋巴细胞33%,中性粒细胞31%(↑),嗜酸性粒细胞0,细胞总数0.72×106。
血G试验528.2 pg/ml。
mNGS
2021年11月16日BALF mNGS回报嗜肺军团菌(特异序列数18)、人类疱疹病毒1型(特异序列数1)、耶氏肺孢子菌(特异序列数2)。2021年11月16日血mNGS回报嗜肺军团菌(特异序列数2)。
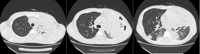
完善嗜肺军团菌尿抗原检测阴性。调整治疗方案,给予左氧氟沙星、哌拉西林他唑巴坦治疗,给予SMZ覆盖肺孢子菌,伏立康唑改为两性霉素B脂质体,同时辅以丙球和粒细胞集落刺激因子治疗(图16)。
改为两性霉素B脂质体后,患者肌酐和尿素氮逐渐升高,后续调整为艾沙康唑治疗,脏器功能有所恢复(图17)。监测艾沙康唑血药浓度均在有效水平。

作者简介
后可发表评论
            
        
    
    
    
        友情链接
联系我们
                    公众号
                
                    客服微信