登录方式

方式一:
PC端网页:www.rccrc.cn
输入账号密码登录,可将此网址收藏并保存密码方便下次登录

方式二:
手机端网页:www.rccrc.cn
输入账号密码登录,可将此网址添加至手机桌面并保存密码方便下次登录

方式三:
【重症肺言】微信公众号
输入账号密码登录

注:账号具有唯一性,即同一个账号不能在两个地方同时登录。

登录
方式

为重症救治赋能

为患者康复加速

当前位置:首页 重症实战 病例集锦

重症肺炎继发重症机化性肺炎的救治

屈朔瑶 宋立强 空军军医大学西京医院呼吸和危重症医学科 发布于2022-03-30 浏览 5818 收藏

作者:屈朔瑶,宋立强

单位:空军军医大学西京医院呼吸和危重症医学科



45岁女性患者因胸痛、呼吸困难2周入院,有哮喘病史,胸部CT可见多发空洞,渗出伴实变影,因呼吸衰竭行气管插管呼吸机辅助通气,且并未找到非典型病原体。该病例考虑哪些诊断?是否与感染因素有关?如何选择治疗措施?



机化性肺炎(organizing pneumonia,OP)是指肺泡和肺泡管中存在肉芽组织栓的一组疾病,由成纤维细胞、肌成纤维细胞、疏松结缔基质、胶原组成,肉芽组织栓可以延伸至细支气管。2002年美国胸科协会/欧洲呼吸病学会建议将特发性的机化性肺炎命名为隐源性机化性肺炎(cryptogenic planned pneumonia,COP),与其他疾病相关的机化性肺炎则称为继发性机化性肺炎(secondary systemic pneumonia,SOP)。经过近20年的观察与研究,OP的病理、病理生理、临床特征及诊治原则逐渐被揭示,但临床的困惑主要在于其与感染性肺炎的鉴别诊断。本文就一例重症SOP的诊治进行报道。


图片

临床资料



一般情况
患者,女性,45岁,主因“胸痛、呼吸困难2周”于2018年4月27日入院。

现病史


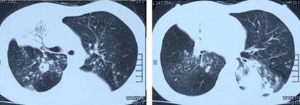
患者入院前2周感冒受凉后出现胸背部钝痛伴轻度呼吸困难,未在意,自服“感冒药”无好转。10天前呼吸困难进行性加重,胸部CT提示右肺上叶斑片状渗出影伴实变,内有少许空洞,中叶部分实变(图1)。当地医院给予头孢噻肟抗感染治疗3天,呼吸困难持续加重,后出现Ⅱ型呼吸衰竭伴意识障碍、发热。外院给予气管插管联合呼吸机辅助通气,同时将抗感染药物调整为亚胺培南西司他丁+利奈唑胺治疗4天,患者病情改善不明显,遂转入我科。自发病来患者精神、饮食、睡眠差,二便正常,体重减轻约5 kg。



图片
图1  患者胸部CT


既往及个人史

自幼有发作性气喘病史,未正规诊治。2年前行肺功能检查提示中重度混合性通气功能障碍,舒张阳性。遂开始按“哮喘”规律使用“沙美特罗替卡松粉吸入剂(50 μg/250 μg)”;否认手术、外伤及输血史;过敏史不详。



入院查体


T 38.5℃, P 120次/min,R 32次/min,BP 115/70 mmHg,SaO2为92%(经口插管+呼吸机辅助通气,氧浓度100%);双下肺呼吸音粗,可闻及散在干、湿啰音。腹软,浅表淋巴结未触及。



入院诊断


①重症肺炎,肺脓肿,气管插管术后;②肺癌?③支气管哮喘急性发作。



入院后检查


  • 血气分析(FiO2为0.9):pH 7.32,PaCO2 57 mmHg,PaO2 76 mmHg,HCO3- 31 mmol/L,SaO2 92%。

  • 血常规:WBC 14.68×109/L,NEU% 90.8%,Hb 91 g/L。

  • D-Dimer 27.8 mg/L,Pro-BNP 457 pg/ml,PCT 0.936 ng/ml。

  • 肝肾功能:Alb 25.4 g/L,AST 41 U/L,ALT 55 U/L。

  • 痰涂片偶见G-短粗杆菌;痰培养示正常菌群,痰真菌涂片为阴性,痰液浓缩集菌抗酸染色为阴性;血培养(需氧+厌氧)为阴性。LPS阴性;G试验、GM试验为阴性;血清T-SPOT示抗原A和B均为0。

  • 血清肿瘤标志物:NSE 10.29 ng/ml,CEA 12.6 ng/ml,CA19-9 77.52 U/ml,CA125 107.9 U/ml。

  • ANCA及自身抗体均阴性。

  • ECG提示窦性心动过速,右束支传导阻滞。

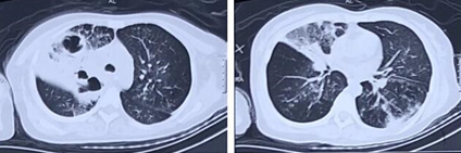
  • 复查胸部CT示右肺上叶多发空洞,右肺中叶实变影,左肺下叶背段少许支气管扩张合并感染(图2)



图片
图2  患者胸部CT



图片

治疗经过

 

入院后继续给予亚胺培南+利奈唑胺联合抗感染治疗,辅以盐酸氨溴索化痰,雾化沙丁胺醇+布地奈德及静滴多索茶碱等平喘治疗,那曲肝素钙0.4 ml/d预防性抗凝治疗。




入院治疗4天后复查血常规:WBC7.54×109/L,NEU% 71.1%,Hb 123 g/L,PLT 100×109/L,PCT 0.117 ng/ml;肝肾功能大致正常;CEA 14.7 ng/ml。患者氧合逐渐改善,遂将气管插管拔除、序贯高流量氧疗。




为明确患者右肺上叶空洞性质病变的原因,遂行床旁气管镜检查。镜下示气管及左右各叶段支气管均未见明显异常;支气管肺泡灌洗(右肺中上叶)未查见肿瘤细胞,结核相关检查均阴性,13种呼吸道病原体核酸检测提示嗜麦芽窄食单胞菌阳性;肺组织活检病理:(右肺上叶后段)组织慢性炎伴炭末沉积,肺泡腔内纤维母细胞增生,局部有机化性肺炎样改变。




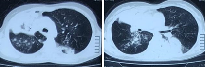
第10天复查胸部CT:右肺上叶空洞较前明显吸收,右肺中叶实变较前缩小(图3)。虽然患者呼吸困难明显减轻,肺部病变明显吸收,但复查CEA水平继续升高,遂行CT引导下肺穿刺活检并复查胸部CT(图4),病理回报光镜下可见梭形细胞增生,纤维组织增生伴慢性炎,间质呈机化性改变。鉴于临床症状、实验室检查及肺部影像学改善,考虑肺部感染的经验性治疗有效,遂安排转回当地治疗。


 
图片
图3  患者胸部CT

图片
图4  患者胸部CT


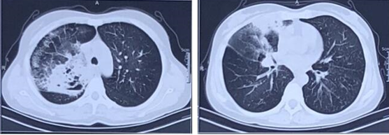
出院后在外院继续给予青霉素联合左氧氟沙星抗感染治疗1周,遂返家休养。2周后患者再次出现低热,但无明显咳嗽及呼吸困难。复查胸部CT示左肺下叶新发大片实变影,右肺上叶后段新发斑片状渗出伴结节影,右肺中叶实变影无明显变化(图5)


 


图片

图5  患者胸部CT




再次入院后查血常规:WBC 5.9×109/L,NEU% 65.8%,Hb 105 g/L;PCT 0.02 ng/ml,LPS、G试验、GM试验均阴性。血沉54 mm/h;CEA 3.86 ng/ml。给予比阿培南(0.3 g,bid)+左氧氟沙星(0.5 g,qd)抗感染治疗。




为明确患者左下肺新发病灶性质,再次行气管镜检查:镜下气管及左右肺各叶段支气管均通常,黏膜光滑,未见明显异常。分别于右肺上叶及左肺下叶进行支气管肺泡灌洗,BALF结核及肿瘤相关检查均阴性,涂片未查见有意义的细菌;13种病原微生物核酸检测均阴性。于右肺中叶及左肺下叶背段分别取肺组织活检,病理提示(右肺中叶)少许纤维组织增生伴急、慢性炎细胞浸润及小灶炭末沉积。(左肺下叶背段)肺组织慢性炎症,局部炭末沉积及间质出血。




治疗10天后再次复查胸部CT:左下肺病灶范围较前明显增大,同时右肺上叶后段、下叶背段新发斑点状渗出、实变影(图6)


 
图片
图6  患者胸部CT


患者呼吸困难症状逐渐较前加重。由于患者既往肺活检曾提示肺炎伴机化性改变,且第二次入院后感染相关指标均阴性,并对于再次的强效广谱抗感染治疗无反应,因此考虑患者肺部新发病灶为非感染性,譬如SOP(尽管病理未能发现典型病灶)。遂停止抗感染方案,改为静滴甲强龙40 mg qd。治疗1周后复查胸部CT示病灶较前明显吸收(包括原有吸收不充分的右肺上中叶实变)(图7),遂安排出院后继续口服醋酸泼尼松片20 mg qd。


 
图片
图7  患者胸部CT


出院后1月后复查胸部CT示病灶进一步吸收(图8),患者一般状况良好。


 
图片
图8  患者胸部CT


目前,继发性机化性肺炎(SOP)的发病机制尚不清楚,其诊断需结合病理、临床表现、影像学特征、实验室检查及抗感染治疗无效等病情特点。SOP对激素治疗敏感,但临床医生也应注意激素使用的剂量及疗程。



重症社区获得性肺炎(severe community acquired pneumonia,SCAP)由于人口老龄化、免疫功能受损、抗菌药物耐药等因素,其发病率逐年增高。根据我国2017年颁布的CAP诊断和治疗指南,SCAP诊断主要标准为符合以下1项:①需要气管插管机械通气;②脓毒症休克积极液体复苏后仍需要血管活性药物治疗。SCAP病原体分布主要以肺炎链球菌、金黄色葡萄球菌,嗜肺军团菌、革兰氏阴性杆菌、流感嗜血杆菌为主,其病原体危险因素受季节、地区差异及宿主状态等影响。对于SCAP的抗感染药物选择推荐“降阶梯”原则,应尽快根据病原学检查结果及治疗反应完成经验性治疗向后续靶向性治疗的转换,同时加强营养支持、提高免疫力、纠正电解质紊乱等治疗以维护多器官功能。


本例患者具有哮喘的基础疾病,入院时以右肺上中叶为主的实变伴空洞,因呼吸衰竭行气管插管及呼吸机辅助通气,符合SCAP的诊断。发展至重症的因素包括长期使用吸入性糖皮质激素、哮喘急性发作及早期经验性治疗失败等。病原体不明确,尽管BALF中查到嗜麦芽窄食单胞菌核酸,但不考虑是真正的致病菌。基于病情特点综合分析认为包括革兰氏阴性或阳性在内的细菌皆可能系致病菌,没有找到非典型病原体的辅助检查证据,并且患者插管后又增加了罹患VAP的风险。入院后继续沿用外院的亚胺培南西司他丁+利奈唑胺抗感染治疗,并综合评定此经验性治疗是有效的,特别是影像学稳定并吸收的证据。但后期观察发现原有病灶吸收不充分,且再次出现双肺下叶渗出实变,综合判断为非感染性的SOP。


文献报道多种病因均可导致SOP,如肺部感染(细菌、非典型病原体、病毒、真菌、寄生虫等)、吸入性肺炎、药物(两性霉素B、呋喃妥因、胺碘酮、卡马西平、博来霉素、干扰素-α、干扰素-β等)、胸部放射治疗、几乎所有的结缔组织病、器官移植(骨髓、肺脏、肾脏等)、环境暴露(纺织印刷燃料、青霉菌尘、炉火、吸食可卡因等)、炎症性肠病、原发性胆汁性肝硬变、慢性酒精性肝硬化、慢性甲状腺炎、结节性多动脉炎、血液系统肿瘤(骨髓异常增生综合征、T细胞白血病、淋巴瘤等)、冠状动脉搭桥术等。冰岛全国性统计结果显示感染是SOP最常见的原因[1]。研究相对较多、临床特别需要关注的是甲型流感H1N1感染后SOP,三项相关报道[2-4]中的患者均发生了严重的呼吸衰竭甚至部分患者因此而死亡。其中一项报道中的2例患者应用高剂量甲基泼尼松龙(500 mg)而得以生存。


SOP病变发病机制尚不清楚,目前认为其过程是肺组织对不同因素的肺损伤所产生的相似反应,是多种疾病累及肺部的共同表现。其病理特征是:终末和呼吸性细支气管、肺泡囊、肺泡内可见由黏液样成纤维细胞形成的疏松结缔组织或肉芽组织;管腔息肉中央部单核细胞聚集;肺泡壁慢性炎症,伴有Ⅱ型肺泡上皮细胞增生;肺泡内泡沫巨噬细胞增加;但肺脏的基础结构仍完整。COP与SOP在病理改变方面没有本质差别,其诊断大多是依据病理活检发现远端气腔填充疏松的肉芽组织(Masson小体)。


除去基础疾病,SOP的症状主要表现为干咳、活动后气短,呼吸困难程度多数较轻。部分患者可出现发热、纳差、体重下降,也有部分患者无明显症状,少数患者有流感样前驱症状,咯血、胸痛、关节痛及盗汗等症状少见。多数呈亚急性病程,偶有进展迅速的病例,临床表现类似ARDS。查体见部分患者可闻及吸气相的捻发音,发绀、杵状指少见,部分患者可无明显肺部阳性体征。常见的实验室检查异常包括白细胞数和中性粒细胞比例升高,血沉增快,C反应蛋白阳性,限制性通气功能减退,弥散功能降低。SOP目前还没有病情分级标准。通常抗生素治疗无效,糖皮质激素是目前SOP的主要治疗方案。回顾分析发现,COP与SOP患者的临床表现和放射学检查结果相似,且无特异性表现[5,6]。部分SOP的激素反应性可能会稍低于COP。该例患者在使用每日静滴甲强龙40 mg治疗1周即可获得影像学的明显吸收,治疗反应较好。


综上所述,本例SOP的诊断是在肺部感染的基础上,参照多次病理结果,结合临床表现、影像学特征、实验室检查及抗感染治疗无效等病情特点,加之糖皮质激素治疗敏感的结局,共同分析做出的临床诊断。肺部这种感染性与非感染性病变在短期内交替出现的现象,在临床对于病原体检测技术存在局限性的当前,值得借鉴。



参考文献


[1]Sveinsson OA, Isaksson H J, Sigvaldason A, et al. Clinical features in secondary and cryptogenic organizing pneumonia[J]. Int J Tuberc Lung Dis, 2007, 11(6):689.

[2]Corneio R, Lanos O, Fernandez C, et al. Organizing pneumonia in patients with severe respiratory failure due to novel A(H1N1) influenza[J]. BMJ Case Rep, 2010, Pii:bcr0220102708.

[3]Otto C, Huzly D, Kemna L, et al. Acute fibrinous and organizing pneumonia associated with influenza A/H1N1 pneumonia after lung transplantation[J]. BMCPulm Med, 2013, 13:30.

[4]Marchiori E, Zanetti G, Fontes CA, et al. Influenza A(H1N1) virus-associated pneumonia: high-resolution computed tomography-pathologic correlation[J]. Eur J Radiol, 2011, 80(3):e500-e504.

[5]Basarakodu K R, Aronow W S, Nair C K, et al. Differences in treatment and in outcomes between idiopathic and secondary forms of organizing pneumonia[J]. Am J Ther, 2007, 14(5):422.

[6]Drakopanagiotakis F, Paschalaki K, Abu-Hijleh M, et al. Cryptogenic and secondary organizing pneumonia:clinical presentation, radiographic findings, treatment response , and prognosis[J]. Chest, 2011, 139(4):893.







全部评论 0
Copyright©2020-2026 北京医麦斯科技有限公司 版权所有 京ICP备2020034400号-1 京公网安备11010502043983号