登录方式

方式一:
PC端网页:www.rccrc.cn
输入账号密码登录,可将此网址收藏并保存密码方便下次登录

方式二:
手机端网页:www.rccrc.cn
输入账号密码登录,可将此网址添加至手机桌面并保存密码方便下次登录

方式三:
【重症肺言】微信公众号
输入账号密码登录

注:账号具有唯一性,即同一个账号不能在两个地方同时登录。

登录
方式

为重症救治赋能

为患者康复加速

当前位置:首页 重症实战 病例集锦

一例肺米根霉菌病的治疗经过及讨论

童瑾,周治宇,周琪丰 重庆医科大学附属第二医院呼吸与危重症医学科 发布于2023-03-22 浏览 7590 收藏

作者:童瑾,周治宇,周琪丰

单位:重庆医科大学附属第二医院呼吸与危重症医学科
图片

病史资料

一般情况

患者男性,46岁,货车司机。2021年11月26日于当地医院诊疗,效果不佳。2021年12月6日于我院就诊。主诉:喘累10余天,加重伴发热1周。

现病史

入院10余天前,受凉后出现喘累,伴乏力,口干,多饮,每日饮水量约2000 ml

入院1周前,自觉喘累较前加重。2021年11月29日患者突发呼吸困难,伴发热,体温最高39.8℃,咳嗽、咳痰,痰中夹杂咖啡色痰液。胸部CT提示:双肺炎症,右肺下叶支气管壁增厚,部分支气管闭塞,右肺下叶后基底段多房含气腔影图1。予亚胺培南西司他丁+莫西沙星抗感染、解痉平喘化痰、降糖等治疗,后因治疗效果不佳,转我院诊治。

图片

图1  患者外院胸部CT
既往史
哮喘40余年,长期不规范使用吸入性糖皮质激素;确诊2型糖尿病10余天;偶吸烟。
入院查体
T 36.6℃,P 92次/min,R 20次/min,BP 110/82 mmHg,体重75 kg。神志清醒,呼吸急促;双肺呼吸音粗,可闻及广泛哮鸣音。
入院诊断
肺部感染;支气管哮喘(急性发作期);2型糖尿病;肺部阴影。
病情
入院后第2天:入院不到12 h,未吸氧状态独自上厕所时晕倒,呼之不应。
血气分析(吸氧):pH 7.19,PaO2 67 mmHg,PaCO2 95 mmHg,PaO2/FiO2 109 mmHg。立即转入RICU行经鼻气管插管,插管操作过程中突发心跳骤停,予以心肺复苏,胸外按压后患者心跳恢复。
相关评分:急性生理学与慢性健康状况评分(APACHEⅡ)25分,脓毒症相关性器官功能衰竭评价(SOFA)11分,肺栓塞评分(Geneva)5分。
呼吸机参数:有创通气(PCV),设置参数:FiO2 60%,F 16 bpm,PI 13 cmH2O,PEEP 3 cmH2O;监测参数:MV 6.4 L/min,f 16 bpm,Ppeak 16 cmH2OPmean 8 cmH2OVt 480 ml。
2 h后血气分析示:pH 7.32,PaO2 90 mmHg,PaCO2 42 mmHg,PaO2/FiO150 mmHg。
图片

第一阶段:第1~9天

(治疗有效,病情逐渐稳定)

治疗经过(图2)

患者入院第2天插管,同时送检BALF和血NGS。BALF NGS回报:米根霉,白念珠菌。血NGS回报:米根霉,微黄奈瑟球菌,二路普雷沃菌。

(1)抗感染

比阿培南0.3 g q8h;

氟胞嘧啶片1 g qid口服(肾功不能维持,故停用);

注射用两性霉素B 5 mg气管镜下局部喷洒;注射用两性霉素B 5 mg bid雾化吸入;注射用两性霉素B胆固醇硫酸酯复合物150 mg qd静滴(第3天50 mg、第4天100 mg、第5天150 mg、第6~7天200 mg,监测肾功不能维持,降为150 mg qd)。

替考拉宁粉针0.4 g qd静滴。

图片
图2  患者入院后用药情况
(2)呼吸支持
  • 第1天鼻导管吸氧:吸氧浓度3 L/min,维持氧饱和度99%左右。
  • 第2~8天将鼻导管吸氧调整为经鼻气管插管有创通气(PCV),维持血氧饱和度在98%左右。
  • 第8天拔管,第8~9天予高流量氧疗,维持氧饱和度95%以上。

(3)激素使用

  • 第2~7天予地塞米松10 mg qd静滴,肺部哮鸣音改善后停用,共使用激素6天。

(4)积极管理各种平衡

监测血压、心率、电解质、血糖等;

维持液体出入量、能量、电解质平衡、蛋白;

CRRT(一次持续20~24 h):清除毒素、炎症介质,调节水和电解质平衡,控制发热。患者氧合尚可,起初无法拔管的原因在于其血流动力学不稳定,心率在40~200次/min之间波动,血压不稳。予CRRT及抗毛霉治疗后,血流动力学趋于平稳,停用血管活性药物。

血糖控制目标为11 mmol/L左右(血糖控制不理想,波动在15~30 mmol/L)。

相关辅助检查

第2~8天随访胸部X线片示:肺部感染病灶范围稍减小
(图3)


图片

图3  患者胸部X线片
气管镜检查:分泌物及病灶处黏膜灰褐色坏死物逐渐较少
(图4)


图片

图片

图4  患者气管镜检查所见
体温:趋于正常。未行CRRT初期体温最高41℃,后期可降至38.5℃左右,CRRT期间体温36.5~37.5℃
(图5)


图片

图5  患者体温变化(第1~9天)

主要感染指标:患者白细胞、C反应蛋白水平逐渐减低,降钙素原较稳定

(图6)



图片

图6 主要感染指标变化情况(第1~9天)
肾功能:入院初患者肾功能尚可,后续出现短暂下降(考虑可能与使用两性霉素B有关),后期患者肾功能较前改善
(图7)


图片

图7  肾功能指标变化情况(第1~9天)
血气分析:氧合维持尚可(图8)。第8天患者神志清醒,咳嗽咳痰能力好转,血流动力学稳定,经自主呼吸试验SBT)评估通过后,拔出气管导管,第8~9天予高流量氧疗,维持氧饱和度95%以上。
图片

图片

图8  患者血气分析及凝血指标变化情况(第1~9天)
图片
第二阶段:第10~15天(病情恶化)
相关辅助检查
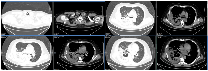
11天复查胸部CT:气管连续性受损及气管旁积气;左、右主支气管壁局限性不连续,气管纵隔瘘可能;双肺肺炎,右下为甚,右侧胸腔积液,右肺下叶受压不张,右肺下叶薄壁囊腔并气液平,考虑感染性病变(图9)
图片
图9  复查胸部CT

支气管镜:黏膜溃烂处面积增大,深度加深,溃烂处出现瘘口(图10)


图片

图10  气管镜下所见

总体治疗方案

继续规律抗感染,根据患者机体耐受情况及病原学结果回示,适当调整抗感染方案;呼吸支持(第10~15天高流量氧疗,维持氧饱和度95%以上);维持液体出入量、能量、电解质等各种平衡;气道管理等。

患者情况

患者精神状态逐渐变差,心率上升、发热峰值提高,降钙素原等感染指标逐渐升高,复查影像学提示气管纵隔瘘可能,肺部感染性病灶及胸膜腔积液,支气管镜下见黏膜溃烂处面积增大,及溃烂处出现瘘口,提示预后不佳。

相关辅助检查

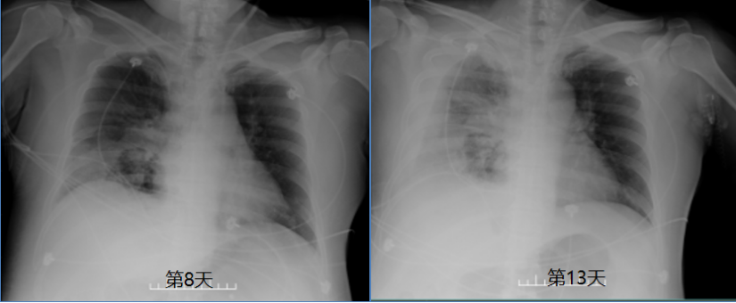
第13天随访胸部X片示:右侧胸腔少量积液;右肺门增大,右中下肺野病灶,较前稍加重(图11)


图片

图11  复查胸部X线片
体温:发热峰值升高。隔日一次CRRT,每次持续时间为20~24 h
(图12
图片
图12  患者体温变化(第10~15天)
主要感染指标趋势:白细胞、C反应蛋白、降钙素原水平均升高
(图13)
图片
图13  主要感染指标变化情况(第10~15天)

患者肾功能恶化(图14)

图片
图14  肾功能指标变化情况(第10~15天)
抗感染方案(图15)
第13天深静脉置管尖端培养及药敏试验回报表皮葡萄球菌(对除头孢洛林外所有β-内酰胺类药物均耐药)。调换深静脉置管时经验性加入替考拉宁粉针0.4 g qd静滴;患者肾功能恶化后,将替考拉宁调整为利奈唑胺葡萄糖注射液0.6 g q12h静滴;同时予泊沙康唑口服混悬液10 ml bid。

图片

图15  患者用药方案(第10~15天)
患者氧合维持尚可,乳酸水平升高(图16)
图片
图16  患者血气分析及凝血指标变化情况(第10~15天)
转归情况
经过上述治疗,第15天CRRT刚刚回完血,患者突发心跳骤停,经口气管插管接有创呼吸机通气,VCV模式,氧浓度为100%,经药物抢救、心肺复苏、电除颤等抢救后,自主心脏搏动仍未恢复,瞳孔散大固定,对光反射消失,大动脉未扪及搏动,心电图呈等电线,宣布临床死亡。
死亡诊断
重症肺炎(肺毛霉菌感染);脓毒血症;Ⅱ型呼吸衰竭;哮喘持续状态;2型糖尿病;低蛋白血症;肾功能不全;肝功能检查异常;中度贫血;电解质代谢紊乱(低钠、低钙、低氯);凝血功能障碍;纵隔支气管瘘;双肾结石;右侧胸腔积液。
图片
讨论
1. 毛霉简介
毛霉病通常发生于患有严重基础疾病的患者,如糖尿病酮症酸中毒、骨髓/干细胞移植和化疗导致的粒细胞缺乏、糖皮质激素治疗、长期广谱抗生素使用、重度营养不良、静脉应用毒品、烧伤或其他外伤、器官移植等被认为是导致毛霉菌感染的危险因素。毛霉菌具有嗜血管性,易侵犯血管内皮,且进展迅速,从而出现局部组织肿胀及坏死,病检可见组织内有真菌菌丝,并合并组织内小血管内真菌性血栓。易感人群吸入环境中的毛霉孢子可以发生肺毛霉病,是仅次于鼻脑和皮肤的常见发生毛霉病的部位。肺毛霉病由于早期诊断困难,预后不良,病死率为76%。糖尿病患者很少患肺毛霉病,一旦患病则预后差。另外,暴发起病的肺毛霉病患者容易经血行播散,而且几乎都是致死性的,患者一般在2周内死亡。
2. 肺毛霉病的诊断
肺毛霉病没有特别的生物标志物,组织病理学检查是肺毛霉病确诊的“金标准”,在组织病理切片中可以找到宽大、无隔或少隔、不规则分枝的菌丝。目前可以采用免疫组化方法通过商品化的单克隆抗体来鉴别毛霉和曲霉,相较于形态学和其他真菌学证据,此种方法更准确可靠。
影像学:肺部感染临床表现缺乏特异性,胸部影像学表现包括肺结节(≥10)、肿块、实变、空洞、反晕轮征(即胸部CT见磨玻璃区被高密度环包围,或CT肺动脉造影见血管闭塞),缺乏特异性,与其他侵袭性肺部真菌感染很难鉴别,尤其是肺曲霉病。考虑毛霉病进展迅速,强烈推荐每周进行1次CT扫描,尤其对病情不稳定患者。多发性(≥10)结节和胸腔积液在肺毛霉病中更常见。
分子检测:毛霉细胞壁表面缺少β-D-葡聚糖和半乳甘露聚糖,因此,G试验和GM试验阴性。
其他:菌种鉴定、体外药敏试验等。
3. 肺毛霉病的治疗
治疗原则:毛霉病的治疗包括基础疾病治疗、抗真菌药物治疗和外科治疗(除系统性抗真菌治疗外,尽早对毛霉病进行完整的外科手术治疗;必要时清创术与抗真菌治疗可同时进行)。
抗菌药物选择:首推两性霉素B脂质体治疗(可以联合氟胞嘧啶),其次推荐艾沙康唑(静脉)、泊沙康唑缓释片和泊沙康唑注射液,较少推荐泊沙康唑口服混悬液。
确诊毛霉病之后,应立即控制糖尿病;纠正粒细胞缺乏;尽量避免使用广谱抗菌药物;接受免疫抑制剂治疗特别是激素治疗患者,应将药物减至最小剂量;加强全身支持治疗。
常见治疗失败的原因:难治性毛霉病,药物不耐受。
疗程:治疗毛霉病所需时间未知,常数周至数月。如果免疫低下状态得到改善(如糖尿病、中性粒细胞减少症等)、免疫抑制状态逐渐减轻或停止,则可持续治疗直至症状和体征消失,感染和影像学显著改善,艾沙康唑或泊沙康唑可作为维持期治疗药物。
本例患者为因哮喘长期不规范激素治疗,且既往未诊断糖尿病,血糖控制差,存在毛霉感染的高危因素。分析此病例治疗失败的原因可能如下:① 肺毛霉病早期难发现。对于难治性肺部感染,应尽早气管镜检查,必要时完善mNGS,获取确切病原学线索。② 血糖控制不佳。③ 感染部位广,并伴血流感染。虽有研究发现播散性毛霉病患者接受两性霉素B脂质体治疗的总生存率高于两性霉素B脱氧胆酸盐制剂治疗患者,但对于毛霉菌血流感染伴多部位继发患者,不同剂型的两性霉素B对疗效的影响仍有待研究。④ 后期病情加重,应考虑院内感染可能,不能排除出现耐药菌,但由于经济原因未复查mNGS,抗细菌治疗有待商榷。
图片
总结
肺毛霉病早期较难发现,对于难治性肺部感染,应尽早安排气管镜等检查,尽早发现病原学证据。控制血糖对毛霉病的治疗相当重要。针对复杂真菌感染(如毛霉病等)应多学科协作,科学精准地制订诊疗方案,提高疑难复杂或危重真菌病患者的救治率和治愈率。

作者简介



图片

童瑾

主任医师,教授,硕士生导师,重庆医科大学附属第二医院呼吸与危重症医学科副主任。中华医学会呼吸病学分会烟草病学学组委员,中国康复医学会呼吸康复专业委员会常务委员,重庆市医学会呼吸病学专委会青年委员会委员,重庆市医学会细菌感染与耐药防治专委会委员,重庆市康复医学会呼吸康复专委会副主任委员。全国三八红旗手,九三学社新冠肺炎疫情防控工作全国先进个人。承担国家青年科学基金课题1项,重庆市厅级课题3项。参编专著5部。重庆市科技进步奖二等奖1项。发表论文35篇,其中SCI 10篇(最高IF 9.055),CSCD 18篇。

图片

周治宇

重庆医科大学附属第二医院呼吸与危重症医学科主治医师,2015年毕业于重庆医科大学,从事临床一线工作多年,重庆市医师协会肺血管病及肺血管介入学组委员,发表SCI及核心期刊论文数篇。

图片

周琪丰

重庆医科大学附属第二医院2020级内科学专业型硕士研究生,从事呼吸与危重症学科临床工作,发表论文数篇。多次投稿全国性学术会议,并进行大会发言。


【注:本文仅用于学术内容的传播和交流,不用于任何商业和推广】

全部评论 0
Copyright©2020-2026 北京医麦斯科技有限公司 版权所有 京ICP备2020034400号-1 京公网安备11010502043983号