登录方式

方式一:
PC端网页:www.rccrc.cn
输入账号密码登录,可将此网址收藏并保存密码方便下次登录

方式二:
手机端网页:www.rccrc.cn
输入账号密码登录,可将此网址添加至手机桌面并保存密码方便下次登录

方式三:
【重症肺言】微信公众号
输入账号密码登录

注:账号具有唯一性,即同一个账号不能在两个地方同时登录。

登录
方式

为重症救治赋能

为患者康复加速

当前位置:首页 重症实战 病例集锦

耶氏肺孢子菌肺炎患者的救治

陆明 南昌大学第一附属医院/中日友好医院江西医院呼吸与危重症医学科 发布于2025-07-29 浏览 7139 收藏

作者:陆明

单位南昌大学第一附属医院/中日友好医院江西医院呼吸与危重症医学科


一、病史资料


1. 基本信息

患者男性,63岁。主诉:发热、胸闷、气急1周。

2. 现病史

患者1年前于我院行肾移植手术,1周前无明显诱因下出现发热,伴胸闷气急,就诊于当地县医院,给予头孢哌酮钠舒巴坦钠抗感染1周,症状无改善,于2020年6月18日转至我院急诊科,急诊未吸氧,SpO2 86%;急诊科完善肺部CT拟“肺部感染,呼吸衰竭,肾移植术后状态”收入呼吸内科。

3. 既往史和手术史

16个月前发现血肌酐升高,规律腹膜透析。1年前行同种异体肾移植,术后他克莫司+吗替麦考酚酯+甲泼尼龙抗排异,定期复查肾功能正常,术后予SMZ预防8个月。

4. 个人史和家族史

吸烟30年,30支/日,戒烟2年无食物、药物过敏史父母已故,母亲有高血压心脏病史。


二、入院前检查检验


1. 急诊检验检查(2020-06-18)

  • 血常规+CRP:WBC 12.9×109/L↑)NEU% 91.7%↑)LYM% 3.8%↓)NEU 11.8×109/L↑)LYM 0.5×109/L↓)CRP 160 mg/L↑)

  • 血气分析(吸氧状态):pH 7.43,PaCO2 31.7 mmHg(↓),PaO2 85 mmHg,HCO3- 20.9 mmol/L(↓)。

  • 凝血+BNP:PT 11.7 s,APTT 31.2 s,D-二聚体196 μg/L,纤维蛋白原6.84 g/L↑);BNP 306 pg/ml(↑)。

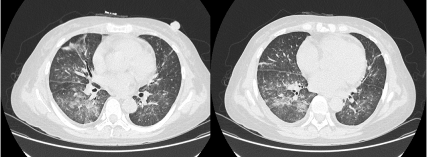
  • 肺部CT: 双肺弥漫对称性磨玻璃(图1)

图片

1  患者急诊胸部CT(2020-06-18)

2. 入院检验

  • 2020-06-19)血常规+CRP:WBC 11.8×109/L↑)NEU% 91.5%↑)LYM% 4.2%↓)NEU 10.8×109/L↑)LYM 0.5×109/L↓)CRP 64.5 mg/L↑)

  • 2020-06-19)生化:Urea 15.08 mmol/L(↑),UA 596 μmmol/L(↑),肝肾功能整体尚可。

  • 2020-06-19)他克莫司(FK506)血药浓度:13.68 ng/ml(↑)。

  • 2020-06-19)超声检查:心脏彩超提示主动脉瓣、二/三尖瓣轻度反流,左室舒张功能减退。下肢静脉超声提示双下肢深静脉血流通畅。腹部超声提示双肾萎缩,双肾囊肿(右肾多发),前列腺增生伴结石;左肝囊肿,胆囊小息肉。

  • 2020-06-19)气管镜: BALF NGS回报耶氏肺孢子菌(序列数103223)。BALF细胞分类计数: 中性粒细胞17.3%, 淋巴细胞10.9%, 组织细胞71.8%。特殊染色见肺孢子菌。BALF中见少量嗜伊红色片状物质, PAS及D-PAS染色均呈阳性(可符合脂蛋白)。

  • 2020-06-22)G试验<5.0 pg/ml;涎液化糖链抗原-6(KL-6)697 U/ml↑)【提示已经出现肺损伤】


三、治疗转归


入院后予头孢哌酮舒巴坦(d1~d14)+SMZ 3粒tid+卡泊芬净首剂负荷剂量70 mg,维持剂量50 mg qd(d1~d14)+甲泼尼龙40 mg q12(d1~d7)。治疗2天后患者氧合下降,持续储氧面罩维持。1周后改为甲泼尼龙40 mg qd×1周→20 mg×1周→甲强龙4片qd,每周减量1~2片维持。

患者入院后完善NGS,SMZ+卡泊芬净+甲泼尼龙40 mg q12h治疗,但症状仍加重,储氧面罩吸氧SpO2 82%,PaO2低于60 mmHg,2周后PaO2才逐渐升高(图2)。然而,患者入院后CRP迅速下降,与氧饱和度变化趋势不匹配(图3)

图片

2  患者氧分压变化情况

图片

3  患者CRP变化情况

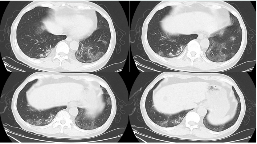
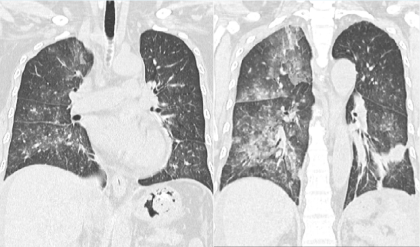
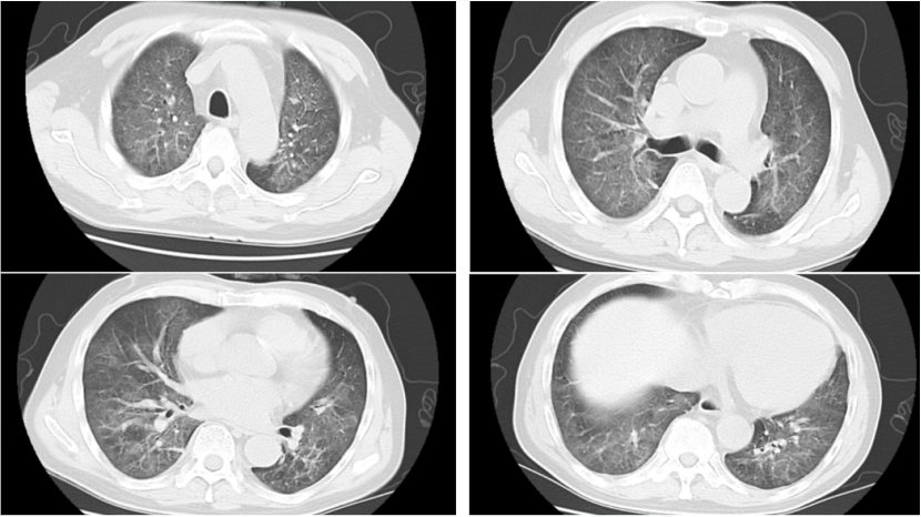
入院当天送KL-6快速进行性升高(图4)患者肺部后续出现机化和纤维化(图5)尽管整个治疗过程非常艰辛但最终预后比较满意。随访胸部CT可见病变吸收良好。

图片

4  患者KL-6变化情况

注:中间空白处监测数值>10000 U/ml。

图片

5  患者住院期间胸部CT变化情况


四、肺孢子菌肺炎


1. 概述

肺孢子菌最早于1909年(Chagas)1910年(Carini)在感染锥虫的豚鼠和大鼠肺组织中发现,Carini夫妇认为它是鼠体内新的寄生虫,故命名为卡氏肺孢子虫”。1942年Var der Meer和Brug在英国儿童保健院营养不良及早产儿浆细胞肺炎患者中发现肺孢子菌。1952年病理学家Vanck和Jirovec报道这种浆细胞肺炎与早产及营养不良相关,并证明该菌对人体有致病力1988年Edman和Stringer发现肺孢子菌RNA与真菌类似,从而归入真菌。2002年通过对致病菌rRNA测序显示耶氏肺孢子菌才是人类真正的致病菌而卡氏肺孢子菌更多感染动物而致病。肺孢子菌在体内以包囊滋养体两种形式交替存在。

2. 临床特点

1)发病人群: 耶氏肺孢子菌肺炎(PJP)好发于免疫缺陷患者(HIV、器官移植受者、自身免疫性疾病、原发性免疫缺陷综合征等)。

2)临床症状:表现为发热、咳嗽、呼吸困难。

3)预后:非HIV-PJP患者疾病进展速度更快,治疗后呼吸衰竭加剧更明显,且入住ICU及死亡率高。

我国台湾学者统计台湾地区真正死于肺孢子菌感染HIV患者情况结果发现单纯死于肺孢子感染概率为零,说明HIV患者肺孢子菌感染治疗并不难对于HIV患者一旦感染肺孢子菌,反而更加凶险

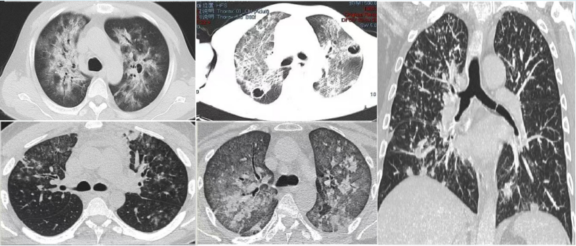
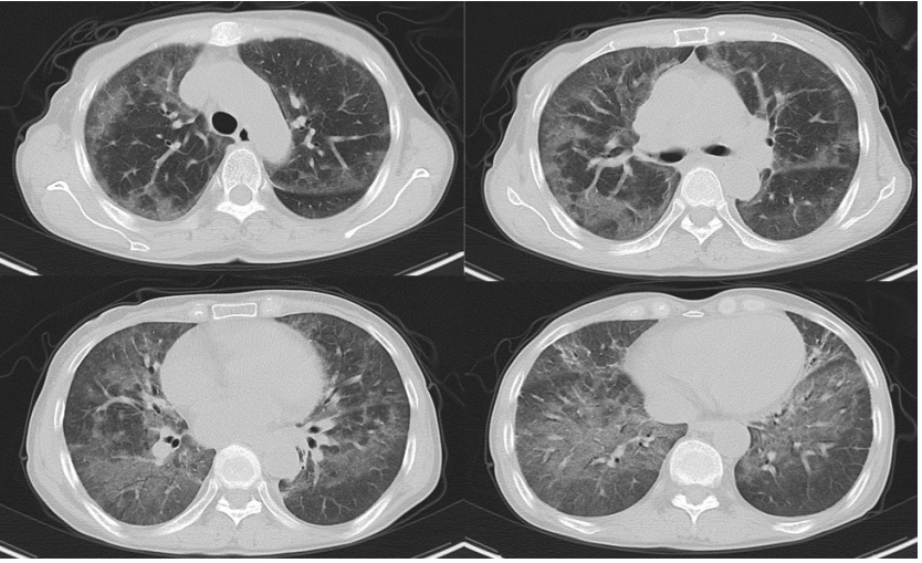
3. 影像学特点

1)近心端对称性分布的弥漫性磨玻璃病灶,支气管清晰可见

2)空气潴留征

3)胸膜下月弓征

4)晚期可见气囊病变,纤维化

5)罕见以肺内单发或多发肉芽肿结节为影像表现。

图片

6  肺孢子菌肺炎患者的影像学

4. 肾移植受者肺孢子菌肺炎

肾移植受者PJP的发病率在0.6%~14%之间,这取决于是否给予预防性治疗,如果不进行预防,移植后第2个月至第6个月的风险最高。在免疫抑制增加期间,风险也会增加。当进行预防时,大多数病例主要发生在移植后第2年,瑞士单中心报道的死亡率约14.6%,其他中心报道高达30%。

随着越来越多移植中心暴发PJP及相关基因型追踪的案例被报道,肾移植受者PJP被认为是人源性传染所致新发感染造成,而不是既往定植菌的激活。且PJP的护理单元内暴发仅见于肾移植受者,而肝移植受者未发现这种现象。

预防及治疗首选SMZ/TMP,无法耐受者可选择替代方案,轻症患者可选择口服(160 mg TMP/800 mg SMZ,每8小时,持续21天。更严重的病例:低氧血症(PaO2<70 mmHg)时,首选静脉治疗(TMP每6~8小时15~20 mg/kgSMZ每6~8小时75~100 mg/kg,持续21天)。同时使用糖皮质激素患者应在开始抗菌治疗72小时内使用。中重度疾病表现为低氧血症(动脉血气分析显示氧分压<70 mmHg或肺泡动脉氧梯度35 mmHg)。激素的抗炎作用可以减少肺部炎症,包括对肺孢子菌及其菌体崩解物炎症反应,并防止临床症状恶化,这种恶化通常在治疗几天后出现。推荐强的松口服剂量为40~60 mg,每天2次,持续5~7天,然后在14天内逐渐减量。

肺孢子菌在体内多以包囊和滋养体的形式存在,真正造成急性肺损伤的就是滋养体。在使用SMZ或棘白菌素后,包涵体崩解数个滋养体造成严重的肺损伤。所以在药物治疗,尤其SMZ+棘白菌素联合治疗过程中,肺损伤会非常明显,通常在用药后72小时内出现氧合迅速下降和临床症状加重。

5. 诊治示例

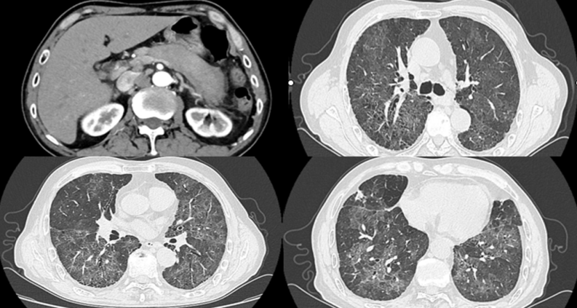
病例1:IgG4胰腺炎服用激素2个月,发热、胸闷、气急。胸部CT如7所示。气管镜特殊染色提示PJP(图8)BALF分类计数:中性粒细胞占40.4%,淋巴细胞占21.3%,组织细胞占19.9%,纤毛柱状上皮细胞占18.4%,未见肿瘤细胞。PASM染色片中见真菌孢子,考虑为肺孢子菌。补充报告:免疫细胞化学染色结果可排除IgG4相关性肺炎。

图片

7  患者胸部CT表现

图片

8  患者特殊染色镜下表现

本例患者在治疗过程中拒绝服用SMZ(肝功能欠佳),单用卡泊芬净+激素治疗,后加用SMZ治疗,氧合较稳定。出院后单用SMZ,效果较好(图9)。本例患者因个人原因初始治疗并未使用SMZ,最终预后及疗效较佳,治疗过程也侧面反映了抗感染强度可能并不是疾病治疗最重要的因素,治疗初期抑制肺部损伤所致炎症反应也非常关键。

图片

9  患者治疗过程中胸部CT变化情况

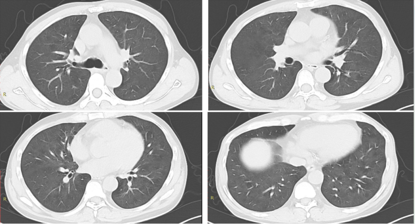
病例2:肾移植术后半年,发热3天。影像学表现并不严重(图10)。入院后完善NGS,耶氏肺孢子菌序列数330000。入院后即予SMZ+卡泊芬净+甲泼尼龙治疗,但病情仍然加重,入院10天转ICU,影像学持续进展(图11)。患者入ICU后NGS结果回报耶氏肺孢子菌序列数843433周后死亡。

图片

10  患者入院胸部CT

图片

11  患者病程中胸部CT变化情况

文献报道,SMZ可以结合二氢叶酸合成酶(DHPS)基因位点从而抑制DHPS的合成TMP可以结合二氢叶酸还原酶(DHFR)基因位点从而抑制DHFR的合成达到杀灭耶氏肺孢子菌的作用国外学者1998年即发现了耶氏肺孢子菌DHPS基因突变,且接受磺胺及氨苯砜预防患者突率远高于未预防患者(70.6%:16.6%);Van Hal等发现DHPS基因型密码子55和57突变与疾病严重程度相关,与野生型相比,患者有创通气的比例更高,且临床结局更差。这一案例提醒我们,对于SMZ治疗效果不佳的患者,应及时进行BALF二次送检,若耶氏肺孢子菌丰度值依然较高,需警惕磺胺耐药的发生,及时更换治疗方案

6. 鉴别诊断

1CMV肺炎:单纯的CMV肺炎比较罕见,笔者中心1000多例移植患者仅有2例发生CMV肺炎。其中1例患者肾移植术后1月余,发热1天。影像学可见双肺弥漫性病变,多发结节(图12)CMV肺炎进展及恢复速度都很快(图13)

图片
图片

12  患者影像学表现

图片

13  患者治疗前后胸部CT变化

2)排异:肾移植术后2年,胸闷半月。双肺弥漫性渗出(图14)BALF分类计数:中性粒细胞占4.9%,嗜酸性粒细胞占17.1%,淋巴细胞占45.8%,组织细胞占20.1%,纤毛柱状上皮细胞占12%,未见肿瘤细胞及真菌感染依据。吉姆萨染色、PAS和PASM染色均阴性。患者BALF细胞计数以淋巴细胞及嗜酸性粒细胞为主,往往提示非感染性炎症,肾脏科会诊考虑为排异,予甲泼尼龙治疗后快速好转(图15)

图片

14  患者入院胸部CT

图片

15  甲泼尼龙治疗前后胸部CT对比

3)药物性肺炎:患者肾移植术后5月余,肌酐283 mmol/L,发热1天。胸部CT可见胸膜下外周病变(图16)。考虑西罗莫司相关间质性肺炎。活检病理结果:(左肺下叶)小片肺及软骨组织,肺实质及肺泡间隔增宽,伴大量淋巴细胞浸润及组织细胞聚集,符合非特异性间质性肺炎。BALF细胞分类:中性粒细胞1.9%,淋巴细胞92.5%。吉姆萨染色、PAS和PASM染色均阴性。患者BALF细胞计数以淋巴细胞为主,影像分布以外周胸膜下为主,高度提示非感染性炎症,最终TBLB活检病理证实富淋巴细胞型非特异性间质性肺炎(NSIP)。肾移植术后,肾功能不全患者存在使用肾功能损害轻的西罗莫司替代他克莫司抗排异,而文献报道西罗莫司发生间质性肺炎的比例较高。该患者最终考虑西罗莫司相关药物性肺炎,停西罗莫司,改他克莫司+麦考酚钠肠溶片抗排异治疗,随访患者恢复较好(图17)

图片

16  患者入院胸部CT

图片

17  患者病程中胸部CT变化情况

4)其他非感染性炎症:弥漫性大B细胞淋巴瘤自体干细胞移植后5月余,反复发热10天,胸闷3天。间质病变为主(图18)。予抗感染治疗,影像快速进展转入ICU(图19)

图片

18  患者入院后胸部CT

注:本例由浙江省立同德医院李国平医生提供。

图片

19  患者胸部CT进展

12月8日BALF NGS+细胞计数回报:耶氏肺孢子菌(序列数8),BALF细胞计数淋巴细胞占86.2%。患者BALF淋巴细胞比例极高,高度提示非感染性炎症,且影像及疾病进展速度极快,即刻予激素治疗,肺部病变明显好转,预后较好(图20)。最终诊断考虑移植后闭塞性细支气管炎伴机化性肺炎(BOOP)可能。

图片

20  患者入院及治疗过程中胸部CT变化


五、小结


PJP主要威胁免疫缺陷人群(如HIV/AIDS、器官移植、自身免疫病、原发免疫缺陷患者)。其典型影像学表现如近心端对称性分布的弥漫性磨玻璃病灶、空气潴留征、胸膜下月弓征、气囊病变,纤维化等,临床特征主要有发热、咳嗽、进行性呼吸困难。需要特别强调的是,非HIV-PJP患者病情进展更快,更易出现治疗中呼吸衰竭恶化,ICU入住率和死亡率均显著高于HIV-PJP患者。磺胺类药物(如复方磺胺甲噁唑)是首选的一线治疗药物。糖皮质激素的应用至关重要,对于非HIV-PJP患者,为减轻磺胺治疗初期可能加重的肺泡炎症损伤,早期(通常在诊断后1周内)启用激素治疗是关键措施,能显著改善预后。对于磺胺治疗反应不佳者,需高度警惕磺胺耐药肺孢子菌株的可能性,及时调整治疗方案。PJP需与其他病毒性肺炎(如CMV肺炎)、非感染性间质性肺病(如过敏性肺炎、急性间质性肺炎)等仔细鉴别。BALF mNGS对病原体识别具有高敏感性,在诊断及排除其他感染方面具有重要价值;高质量的BALF细胞分类计数同样具有重要的辅助诊断和鉴别诊断意义

参考文献


【向下滑动查看所有文献】

[1] Fishman JA. Pneumocystis jiroveci[J]. Semin Respir Crit Care Med, 2020, 41(1):141-157. 

[2] de Boer MG, Bruijnesteijn van Coppenraet LE, Gaasbeek A, et al. An outbreak of Pneumocystis jiroveci pneumonia with 1 predominant genotype among renal transplant recipients: interhuman transmission or a common environmental source?[J]. Clin Infect Dis, 2007, 44(9):1143-1149. 

[3] Le Gal S, Toubas D, Totet A, et al. Pneumocystis Infection Outbreaks in Organ Transplantation Units in France: A Nation-Wide Survey[J]. Clin Infect Dis, 2020, 70(10):2216-2220.

[4] Mei Q, Gurunathan S, Masur H, et al. Failure of co-trimoxazole in Pneumocystis carinii infection and mutations in dihydropteroate synthase gene[J]. Lancet, 1998, 351(9116):1631-1632. 

[5] van Hal SJ, Gilgado F, Doyle T, et al. Clinical significance and phylogenetic relationship of novel Australian Pneumocystis jirovecii genotypes[J]. J Clin Microbiol, 2009, 47(6):1818-1823.

图片

作者介绍


图片

陆明

南昌大学第一附属医院/中日友好医院江西医院呼吸与危重症医学科,主治医师,浙江省医师协会肺部疾病精准诊疗学组委员,浙江省医学会变态反应学分会委员。擅长肺部疾病的临床与影像诊断,曾参加2019 ACTI全国胸部影林争霸赛入围决赛三十强,代表呼吸战队获最佳个人、团队人气奖及团队优胜奖。

声明:

本文仅用于学术内容的探讨和交流,不用于任何商业和推广。临床实践需根据患者的具体情况选择适宜的处理措施。


全部评论 0
Copyright©2020-2026 北京医麦斯科技有限公司 版权所有 京ICP备2020034400号-1 京公网安备11010502043983号