登录方式

方式一:
PC端网页:www.rccrc.cn
输入账号密码登录,可将此网址收藏并保存密码方便下次登录

方式二:
手机端网页:www.rccrc.cn
输入账号密码登录,可将此网址添加至手机桌面并保存密码方便下次登录

方式三:
【重症肺言】微信公众号
输入账号密码登录

注:账号具有唯一性,即同一个账号不能在两个地方同时登录。

登录
方式

为重症救治赋能

为患者康复加速

当前位置:首页 重症实战 病例集锦

肺毛霉病伴肺栓塞导致呼吸衰竭和咯血一例

发布于2024-02-28 浏览 6150 收藏

作者:张艺(重庆医科大学附属第二医院呼吸与危重症医学科)

指导:童瑾(重庆医科大学附属第二医院呼吸与危重症医学科)

01

 病例资料

现病史
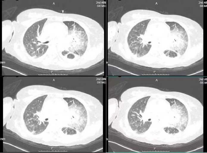
患者中年女性,农民,因“呼吸困难、咯血7天”于2023年9月7日入住我科。入院前7天,患者于我院内分泌科住院治疗时出现呼吸困难,伴咳嗽、咳痰,咳白色黏痰,痰中带血,呈鲜红色,病程中咯血量逐渐增多,每天10~20 ml,咯暗红色血性液体,伴发热,体温最高38.8℃。完善相关检查:血图分析提示白细胞计数15.21×109/L,CRP>200 mg/L,肺动脉CTA提示(图1):①肺动脉栓塞,累及左肺上叶前段、舌段,左肺下叶前内基底段局部受累可能;②左肺炎症较前明显增多。予哌拉西林舒巴坦、亚胺培南西司他丁、卡泊芬净抗感染,卡络磺、云南白药、矛头蝮蛇血凝酶止血后,咯血症状较前好转,余症状无明显改善,为求进一步诊疗于我科就诊。
图片
图片
图1  患者入院前肺动脉CTA
既往史及其他

既往未关注血糖变化,数天前因糖尿病酮症酸中毒入院;1年前行肾移植手术,规律服用他克莫司、吗替麦考酚酯、甲泼尼龙,入院时停药。否认高血压病史。居住地潮湿,家禽混养。

入院查体

体温38.5℃,脉搏138次/分,呼吸29次/分,血压128/83 mmHg。神志正常,呼吸急促,言语正常,对答切题,查体合作。胸廓外形正常,无肋间隙增宽,叩诊双肺呈清音,呼吸音粗,双肺闻及湿啰音,未闻及哮鸣音;心界叩诊无扩大,心率138次/分,节律齐,无杂音;腹部平坦,右前臂见多个陈旧性手术瘢痕,无腹部压痛、反跳痛及肌紧张;未触及肝、脾,肝颈静脉回流征阴性;双下肢无凹陷性水肿。

入院辅助检查

  • 血气分析:pH 7.54,PaCO2 31 mmHg,PaO2 65 mmHg,BE(B)4.5 mmol/L,HCO3- 28.4 mmol/L,氧合指数(P/F):197 mmHg。
  • 指脉氧:SpO2 98%(高流量辅助通气流速45 L/min,氧浓度50%)。
  • 血常规:WBC 18.01×109/L,NEU 16.16×109/L,Hb 65 g/L,NEU% 89.7%,LYM 1.07×109/L。
  • CRP>200 mg/L,PCT 1.66 ng/ml。
  • 凝血指标:APTT 54.6 s,纤维蛋白原8.71 g/L,FDP 16.25 μg/ml。
  • D-二聚体2377.1 ng/ml;BNP前体619.8 pg/ml;肌红蛋白73.57 ng/ml。

入院诊断

①重症肺炎;②Ⅰ型呼吸衰竭;③肺动脉栓塞;④咯血待查:细菌感染?真菌感染?肺栓塞?其他?⑤重度贫血;⑥2型糖尿病;⑦肾移植状态。

病史特点

  • 患者中年女性,因“呼吸困难、咯血7天”入院;
  • 起病急、病程短、进展快;
  • 肺部感染重,抗感染治疗无明显好转,呼吸衰竭需高流量氧疗支持;
  • 肺栓塞,合并咯血、贫血。

02

   治    疗

积极查找病原体
基于上述病史及基本检查,患者反复高热、呼吸困难,予以广谱抗菌药物后效果欠佳,我们考虑不能排除特殊病原体导致的重症肺炎,需积极寻找病原体,故完善纤支镜检查并送检肺泡灌洗液培养、宏基因组二代测序技术(mNGS)和组织活检等相关检查。纤支镜镜下见(图2):左主支气管分叉处狭窄,左肺各叶段黏膜见大量灰白色坏死物附着,至开口不同程度狭窄,气管结构破坏。mNGS提示小孢根霉相对丰57.95%,毛霉相对丰度41.75%。坏死物冰冻石蜡(图3)见真菌。肺泡灌洗液培养(图4)提示毛霉。显微镜下(图5)可见毛霉菌丝。
图片
图2  左主支气管纤支镜下所见
图片
图3  冰冻活检发现真菌
图片
图4  显微镜下见毛霉菌丝
图片
图5  肺泡灌洗液培养:毛霉菌株
抗感染治疗
根据2019年欧洲医学真菌联盟和真菌病研究组教育协会联合发布的全球毛霉病诊断和治疗指南[1],毛霉病的治疗有三大治疗原则:①控制原发疾病;②在条件允许的情况下尽早行外科治疗;③抗真菌治疗。
本例患者肺部感染重,肺功能差,不符合外科治疗指征,故采用治疗感染、控制基础疾病治疗。指南建议首选两性霉素B脂质体(L-AmB),但结合患者经济情况,我科调整治疗方案为亚胺培南西司他丁(1000 mg q8h ivgtt)抗感染+两性霉素B胆固醇硫酸酯复合物(第1天100 mg;第2天及以后300 mg qd ivgtt)+艾沙康唑(第1天和第2天200 mg q8h;第3天及以后200 mg qd ivgtt)+两性霉素B(5 mg bid雾化)抗真菌。
经治疗,患者体温恢复正常,动态监测血气分析及血清学指标,氧合指数较前明显改善,WBC、LHD较前降低,考虑感染较前控制。患者D-二聚体轻度升高,肌红蛋白升高,心脏彩超未发现明显右心功能不全表现,血流动力学稳定,考虑中低危肺栓塞,暂不予以溶栓处理,结合患者咯血表现,予小剂量低分子肝素2000 IU qd抗凝。
病情变化
9月15日床旁胸片提示新增左侧胸腔积液,9月16日患者体温明显升高,最高达39℃,体温波动明显,呈弛张热,抽胸水送检并再次行支气管镜检查及肺泡灌洗液检查,胸水培养提示表皮葡萄球菌、肺泡灌洗液培养提示多重耐药鲍曼不动杆菌及敏感嗜麦芽窄食单胞菌,根据药敏试验结果调整用药方案,加用利奈唑胺(600 mg q12h ivgtt)+替加环素(100 mg q12h ivgtt首剂加倍)。经治疗,患者氧合指数稳定、WBC较前降低。
9月25日,患者诉双耳听力下降,考虑药物耳毒性,故停用两性霉素B胆固醇硫酸酯复合物,调整用药方案为亚胺培南西司他丁+艾沙康唑+两性霉素B(雾化)+替加环素,患者情况急转直下,氧合指数降低、床旁胸片提示左肺炎症较前增多。9月27日患者意识丧失,血压无法测出,家属表示拒绝抢救、要求出院。患者于次日离世。

03

   讨   论

毛霉病是一种由毛霉目真菌引起的罕见侵袭性霉菌病,好发于免疫功能低下患者[2]其危险因素包括糖尿病、实体器官移植、血液系统恶性肿瘤等[3],诊断困难、进展迅速、病死率高。因此,早期诊断、及时诊治是降低病死率的关键。本例患者血糖控制欠佳,近期因酮症酸中毒入院,有肾移植病史,且合并长期免疫抑制剂使用史,属于毛霉病好发人群。
根据感染部位不同,毛霉病分为鼻-眶-脑毛霉病、肺毛霉病、皮肤毛霉病、肾毛霉病、胃肠毛霉病及播散性毛霉病[4,5]。肺毛霉病在我国最为常见,其临床表现不具有特异性,包括咳嗽、呼吸困难、咯血、持续高热等,易与其他肺部感染相混淆,从而导致误诊、漏诊。指南建议对于怀疑毛霉感染的患者行肺部CT检查[6],若出现反晕征则预示肺毛霉病可能,其他影像学表现可见楔形实变、晕征、多发结节等。

毛霉病的治疗(图6)包括积极处理基础疾病、条件允许尽早行手术切除和系统性抗真菌治疗。常见抗真菌药物包括两性霉素B脂质体制剂、艾沙康唑和泊沙康唑。2019年全球指南建议[1],毛霉病优先推荐L-AmB 5~10 mg/(kg·d)进行一线治疗,因为L-AmB可不用“爬坡”。若给予其他两性霉素制剂时应尽快达到目标剂量。对于两性霉素B治疗应答不佳或不耐受、疾病进展迅速或患者一般状况较差时,可考虑加用艾沙康唑或泊沙康唑。

图片
图6  毛霉病的治疗
随着诊断手段的多样化、现代化和精确化,毛霉病的发病率有升高趋势。尽早诊断与治疗是控制毛霉病的关键,联合用药、足量用药有助于提高治疗效果。

参考文献

[1] Cornely OA, Alastruey-Izquierdo A, Arenz D, et al. Global guideline for the diagnosis and management of mucormycosis: an initiative of the European Confederation of Medical Mycology in cooperation with the Mycoses Study Group Education and Research Consortium[J]. Lancet Infect Dis, 2019, 19(12):e405-e421. doi: 10.1016/S1473-3099(19)30312-3

[2] Prakash H, Chakrabarti A. Global Epidemiology of Mucormycosis[J]. J Fungi (Basel), 2019, 5(1):26. doi: 10.3390/jof5010026. PMID: 30901907; PMCID: PMC6462913.

[3] Song Y, Qiao J, Giovanni G, et al. Mucormycosis in renal transplant recipients: review of 174 reported cases[J]. BMC Infect Dis, 2017, 17(1):283. doi: 10.1186/s12879-017-2381-1. PMID: 28420334; PMCID: PMC5395857.

[4] Roden MM, Zaoutis TE, Buchanan WL, et al. Epidemiology and outcome of zygomycosis: a review of 929 reported cases[J]. Clin Infect Dis, 2005, 41(5):634-653. doi: 10.1086/432579. Epub 2005 Jul 29. PMID: 16080086.

[5] Jeong W, Keighley C, Wolfe R, et al. The epidemiology and clinical manifestations of mucormycosis: a systematic review and meta-analysis of case reports[J]. Clin Microbiol Infect, 2019, 25(1):26-34. doi: 10.1016/j.cmi.2018.07.011. Epub 2018 Jul 21. PMID: 30036666.

[6] 中国医药教育协会真菌病专业委员会,中国毛霉病专家共识工作组. 中国毛霉病临床诊疗专家共识(2022)[J]. 中华内科杂志,2023,62(6):597-605. DOI: 10.3760/cma.j.cn112138-20220729-00557.

作者简介


图片

张 艺


  • 重庆医科大学附属第二医院呼吸与危重症医学科

  • 在读研究生


图片

童 瑾
  • 重庆医科大学附属第二医院呼吸与危重症医学科 科副主任
  • 主任医师、教授、硕士生导师
  • 全国三八红旗手
  • 九三学社新冠肺炎疫情防控工作全国先进个人
  • 中华医学会呼吸病学分会烟草病学学组委员
  • 中国康复医学会呼吸康复专业委员会常务委员
  • 中国毒理学会呼吸毒理专业委员会委员
  • 重庆市中西医结合学会呼吸介入与重症专业委员会副主任委员
  • 重庆市医学会细菌感染与耐药防治专业委员会委员
  • 发表论文46篇,其中SCI 12篇,CSCD 24篇;参编专著6部
  • 承担国家青年科学基金课题1项,重庆市厅级课题4项
  • 荣获重庆市科技进步奖二等奖1项(排名第10)


全部评论 0
Copyright©2020-2026 北京医麦斯科技有限公司 版权所有 京ICP备2020034400号-1 京公网安备11010502043983号