登录方式
方式一:
PC端网页:www.rccrc.cn
输入账号密码登录,可将此网址收藏并保存密码方便下次登录
方式二:
手机端网页:www.rccrc.cn
输入账号密码登录,可将此网址添加至手机桌面并保存密码方便下次登录
方式三:
【重症肺言】微信公众号
输入账号密码登录
注:账号具有唯一性,即同一个账号不能在两个地方同时登录。
肺栓塞(pulmonary thromboembolism,PTE)是以各种栓子阻塞肺动脉系统为其发病原因的疾病。肺栓塞发病率和病死率较高,及时准确的判断病情并采取有效治疗,可明显改善患者的预后,未经治疗的PTE,病死率为25%~30%。早期相关文献报道对于大面积肺栓塞,从症状的出现到死亡的时间短,50%的患者在30分钟内死亡,70%的患者在1小时内死亡,6小时内死亡率超过85%,并且有许多患者的肺栓塞直到尸解时才被发现[1]。最近一项多中心的对照研究报道未行溶栓的大面积肺栓塞患者病死率为52.4%[2]。急性大面积肺栓塞,临床上以休克和低血压为主要表现。以下报告一例重症肺炎、ARDS、消化道出血的重症病人住院期间出现急性大面积肺栓塞。
临床资料
患者,女,42岁。因“反复咳嗽、咳痰、气促1月余”2013年04月02日入住呼吸内科。患者1月余前无明显诱因出现咳嗽、咳痰,咳白色粘痰,偶咳黄色粘痰,偶出现发热,无畏寒,自服中药10余天后病情无明显改善,当地医院住院治疗,查胸片示肺部阴影,诊断:社区获得性肺炎,予强林坦、来立信、泰能抗感染,及化痰等支持对症治疗,咳嗽、咳痰症状轻度改善,但仍觉气促,活动后明显,伴有发热,无畏寒。既往史:既往身体一般、曾患“子宫肌瘤”,“子宫肌瘤切除术”个人史、家族史无特殊。
入院查体
体温36.5℃,脉搏136次/分,呼吸23次/分,血压96/62mmHg。发育正常,神志清楚,自动体位。皮肤粘膜无黄染,全身浅表淋巴结未触及。胸廓正常对称,呼吸节律两侧对称,左肺触诊语颤增强,右肺触诊语颤正常,左肺叩诊呈实音,右肺叩诊清音,听诊左肺呼吸音稍低,双肺闻及少许湿啰音。心律136次/分,律齐,未闻及病理性杂音。腹平,软,未及包块,无压痛,无反跳痛,肝脾肋下未及,肠鸣音存。
入院时辅助检查
血气分析示:吸氧3L/min,pH值:7.474,二氧化碳分压(测定):29.50mmHg,氧分压(测定):68.50mmHg;血常规示:白细胞:5.78×109/L,中性粒细胞比率:76.1%,淋巴细胞比率:11.6%,嗜酸性粒细胞比率:1.7%,红细胞:3.24×1012/L,血红蛋白:93g/L,血小板:422×109/L。肝功:总蛋白:58.0g/L,白蛋白:23.0g/L,γ-谷氨酰转肽酶:70U/L;谷草转氨酶:23U/L,肌酸激酶:12U/L,肌酸激酶同工酶:3U/L,乳酸脱氢酶:168U/L,肌钙蛋白I:0.06ug/L,肌红蛋白:9ug/L;C-反应蛋白:10.64mg/dl;D二聚体(ELISA法):> 10000.00ng/ml,血清降钙素原:0.23ng/ml;真菌1-3-B-D葡聚糖定量G试验:<10pg/ml;真菌抗原三项均阴性;肺炎支原体抗体检测:阴性,结核杆菌抗体(金标法):阴性;B型钠尿肽前体[prBNP]:114.00pg/mL;(入院第2天)胸部CT(CTPA):1、两肺多发病变,左全肺、右下肺实变、含气不全,考虑感染可能性大,建议治疗后复查。2、左侧胸腔少量积液,心包少量积液。3、双侧亚段以上肺动脉未见明确栓塞。入院诊断:重症肺炎。
诊疗经过
入院后予泰能和拜复乐注射液抗感染,速碧林 0.6ml 每12小时1次抗凝。住院第8天下午,出现呼吸困难加重,呼吸急促,外周血氧65%,考虑患者病情危重,转入重症医学科。转入体查:体温36.5℃,呼吸55次/分,脉搏156次/分,血压118/80mmHg,面罩吸氧(8L/min)下,指脉氧饱和度70%。呼吸窘迫,可见三凹征。双肺呼吸音粗,左肺呼吸音稍减低,双下肺闻及细湿罗音。心率156次/分,心律齐。腹平软,全腹无压痛,未触及包块,肝脾肋下未触及,肠鸣音正常。双下肢无浮肿。病原学检查:痰培养:鲍曼不动杆菌104cfu/mL,真菌培养:(-),军团菌抗原:(-)。
转入诊断:重症肺炎,ARDS。
予经鼻气管插管接呼吸机辅助呼吸,模式为IPPV,VT380ml,f18次/分,PEEP:8cmH2O,FiO2 50%。予美平加稳可信抗感染,及镇静营养支持等治疗。住院第9天,发现胃液回抽见暗红色胃液,胃液潜血(转铁蛋白法):阳性 ,潜血(血红蛋白法):阳性;粪便隐血(血红蛋白法):阳性, 12小时内血红蛋白:由104g/L下降至80g/L。考虑存在消化道出血,予耐信制酸、思他宁、冰盐水洗胃,止血、补充红细胞,暂停速碧林等治疗。
住院第10天后(转入第2天)患者出现血流动力学仍不稳定,经过扩容、补液血管活性药物升压等处理后无改善,在去甲肾上腺素0.55ug/kg.min维持下血压下降至74/57mmHg,CVP18mmHg,三个小时无尿;患者呼吸窘迫。PICCO监测:CI :1.88L/min/m2,SVRI 2270dyn·s·cm-5m2,ITBI 718ml/m2,ELWI 13ml/Kg。B型钠尿肽前体[prBNP]:6118.00pg/mL,谷草转氨酶:304U/L,肌酸激酶:17U/L,肌酸激酶同工酶:11U/L,乳酸脱氢酶:692U/L,肌钙蛋白I:0.16ug/L,肌红蛋白:10ug/L;心电图示:电轴右偏、可疑SI、QIII,TI~III倒置;心脏彩超:右房、右室增大考虑肺源性心脏病可能。三尖瓣返流(中度),肺动脉高压(64mmHg)。B型钠尿肽前体[NT-proBNP]:11161.00pg/mL。结合患者情况考虑重症肺炎合并急性肺栓塞,梗阻性休克。予 rt-PA 溶栓治疗,因考虑目前存在消化道出血,为溶栓相对禁忌症,先予20mg溶栓,观察溶栓后反应,溶栓后氧合和循环无改善,凝血功能:凝血酶原时间(PT):17.9秒,凝血酶原活动度(PTA):55.0%,PT国际标准化比值(INR):1.50,活化部分凝血活酶时间(APTT):40.8秒,凝血酶时间(TT10):14.9秒。继续予rt-PA 20mg溶栓。溶栓后2小时凝血功能:凝血酶原时间(PT):27.4秒,凝血酶原活动度(PTA):29.0%,PT国际标准化比值(INR):2.61,纤维蛋白原(Fbg):1.38g/L,活化部分凝血活酶时间(APTT):71.9秒,凝血酶时间(TT10):32.0秒,4小时后活化部分凝血活酶时间(APTT)下降至58秒后予加用克赛0.4ml q12h 皮下注射。溶栓后1小时患者血流动力较前稳定,血压上升至130/90mmHg(去甲肾上腺素4小时内逐步下调至0.30ug/kg.min维持)。复查心脏彩超:右房、右室增大,主肺动脉稍扩张三尖瓣反流(中度),肺动脉高压(48mmHg);肺动脉瓣返流(轻度);左室收缩功能未见异常。患者溶栓治疗后病情较前好转(表1),并继续积极治疗重症肺炎、ARDS,于46天后转出ICU,于50天后出院。经随访中,患者一般情况尚可。
讨论
急性肺栓塞是内科临床急重症之一,死亡率高,必须尽早诊断。对有肺栓塞危险因素的患者,如突然出现胸痛、气促、咯血、晕厥、休克等症状,以及其他疾病难以解释者,均要考虑到肺栓塞的可能性,应及时行心电图、X 线胸片、动脉血气分析等基本检查;宜尽快常规行D-二聚体检测(ELISA 法),超声心动图。有条件的行CT肺动脉造影、MRI、肺动脉造影及OCT等检查以明确诊断。目前这些能确诊肺栓塞的检查绝大部分是用于血流动力学稳定的中低危的患者。如果我们处理高危的肺栓塞疑似患者,将面临一个巨大的临床难题,因为休克和低血压使患者处于危急生命的状态。面对的这种临床情况,需要鉴别心源性休克、急性瓣膜功能不全、心包填塞、主动脉夹层等。在这种情况下,常用并首选的检查是心脏超声,对于大面积肺栓塞所致的肺动脉高压、急性右室扩张和急性右心功能不全,心脏超声检查可以迅速得到结果并可在床旁进行,通常能提供直接的征象,并在排除其它疾病上具有重要价值。有时能在B超下发现右心的栓子。如果经食道超声有可能发现肺动脉的栓子。因此在极度不稳定的病人或没有条件做确诊检查的患者,往往仅能依靠超声诊断[3、4]。
当大块血栓阻塞肺动脉后,肺循环阻力明显增加,引起肺动脉高压;随着肺动脉压的升高,继而出现急性右室扩张,甚至右心功能衰竭;同时由于继发室间隔左移、左心室舒张末期充盈不足等因素,导致左心排出量的急剧下降,引起体循环血流动力学改变。目前的超声诊断标准包括RV扩大>30mm,舒张末期RV/LV > 1,室间隔的反向运动,肺动脉收缩期压> 30 mm Hg,三尖瓣反流面积> 2.8 m/s,缺乏右室壁肥厚表现,右室游离壁的运动不能,而右室轴向运动的正常或减弱,称之为肺栓塞的McConnell的征象[5-7]。有助于鉴别肺栓塞导致的右心功能不全。肺栓塞的McConnell的征象对大面积肺栓塞的诊断,其敏感性为77%,特异性94%,阳性预测值71%,阴性预测值96%[5]。超声心动图也是肺栓塞危险分层和右心功能不全评价的重要技术和方法之一[8]。本例患者因存在休克和低血压等处于危急生命的状态,根据患者的病史、生化检查、心电图和经胸心脏超声诊断为急性大面积肺栓塞。
肺栓塞心电图诊断为非特异性,表现多种。典型心电图显示心电轴右偏,右室传导阻滞,肺性P波,SI、QIII,TIII倒置,心电图SVl Rv3~v5粗钝挫折,提示右心室负荷过重。由于肺栓塞右心室作做功增加,心肌耗氧量大,右心室排血量减少,尤其巨大栓子栓塞时心输出量明显降低,造成心肌缺血,导致心电图VI~V6 T波倒置。本例患者的心电图肺栓塞后主要为心电轴右偏,SI、QIII,TI~III倒置。此肺栓塞的心电图改变既有助于诊断,溶栓后SI、QIII逐步消失,倒置的TI~TIII恢复为正向,心电图的演变较为典型(图30-1)。

图30-1 心电图表现
对于诊断明确的大面积,主张尽早进行溶栓治疗,既往建议使用尿激酶或链激酶先给负荷量再持续静脉滴注24小时。但近年静脉溶栓的方法有了很大的改变,推荐阿替普酶的(rt-PA)溶栓方案。rt-PA具有快速、简便、易操作、安全性高、无抗原性的特点(半衰期4~5 min),可选择性地激活血栓中与纤维蛋白结合的纤溶酶原,对全身性纤溶活性影响较小,出血风险降低。而rt-PA能够更快地发挥作用,降低早期病死率,因此在抢救危重症PE患者方面具有显著的优越性[9、10]。rt-PA溶栓治疗能够更快发挥作用,快速溶解肺动脉栓子,在短时间内恢复肺组织血流,减小肺动脉阻力,降低肺动脉压,改善右室功能,改善肺血流动力学指标,改善肺血流通气比例,增加有效的气体交换,降低肺动脉血及右心室后负荷,恢复血流动力学稳定性,提高患者生存率;并且通过快速溶栓以防止血管慢性阻塞,降低肺动脉高压的危险度。通过溶栓治疗,可以降低肺栓塞的复发率和病死率,改善患者早期生存率,特别是降低远期并发症如慢性血栓栓塞性肺动脉高压的发病危险,显著提高治疗有效率,明显改善患者的生活质量及远近期预后[10]。
溶栓治疗的主要并发症以出血为主,发生率约为17.6~21.7%,多为穿刺部位出血,但有3%的颅内出血,严重者甚至危及患者生命[2、11]。溶栓的绝对禁忌证包括脑出血病史、结构性颅内血管疾病、颅内恶性肿瘤、3个月内缺血性脑卒中、主动脉夹层、活动性出血和有出血倾向者、近期椎管或脑外科手术、近期严重闭合性头部或整形手术史。相对禁忌证包括年龄>75岁、近期使用抗凝剂、妊娠、无需加压包扎的血管穿刺、心肺复苏术后、近期(2—4周)内脏出血史、极高危高血压、高血压未控制者、痴呆、近期(3周内)重大手术史等。实施溶栓前,需对其风险收益比进行评估。
国内外一些研究表明,一次性大剂量快速溶栓的方法具有更好的疗效,美国FDA推荐rt-PA阿替普酶使用100mg/2小时方案[4]。最近的一项临床研究表明50mg/1小时溶栓方案具有相同的效果且安全性更高(出血风险减少)[12]。本例患者溶栓前存在活动性消化道出血,为溶栓的禁忌症。抗凝的风险较溶栓要小,但是对于大肺栓塞的患者溶栓治疗与抗凝治疗相比,多个随机对照研究试验表明溶栓治疗能减少患者的死亡风险[2、13]。 目前不少学者推荐经静脉导管碎解和抽吸血栓。用导管碎解和抽吸肺动脉内巨大血栓或行球囊血管成型,同时还可进行局部小剂量溶栓。可适应于肺动脉主干或主要分支大面积PTE 并存在溶栓和抗凝治疗禁忌的患者[15]。但考虑到患者的梗阻性休克难以纠正并危及生命,权衡利弊转运风险极大,已家属充分沟通并取得家属同意后,在积极治疗消化道出血的同时先以半量rt-PA溶栓,经半量溶栓后患者的血流动力学未见改善,凝血功能无明显变化,氧合稍有改善,心脏超声未见改善,未出现溶栓的并发症,并予剩下的半量溶栓,第二次溶栓后血流动力学、氧合等明显改善、病情较前好转(表1、2)。
表1 患者两次溶栓前后血流动力学变化

表2 患者两次溶栓前后氧合功能变化

溶栓后血流动力学变化明显,本例患者的CI在第一次溶栓后无明显增加,在第二次溶栓后1小时增加11%,4小时增加36.6%,12小时增加90%,24小时后增加47.5%,心脏功能的改善明显快于心脏结构的改变(与心脏超声比较)。Dalla-Volta的观察到对急性大面积肺栓塞的患者溶栓24后CI增加15%[15]。血压在溶栓后4小时升高20%,并可逐步下调血管活性药物。CVP在溶栓后亦呈逐步下降的趋势。以上表明大面积肺栓塞的患者在有效溶栓后血流动力学明显改善(表1)。
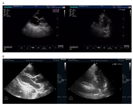
从B超的动态演变可见(图30-2、表3):
1.肺动脉压在溶栓后逐步下降,溶栓后2小时下降幅度最明显,下降25%,约10天后恢复正常;
2.左室舒张末期内径(LVDd)因肺动脉压升高、右室压力增高,泵血减少使左室前负荷减少,同时因右室压力进行性增高使室间隔舒张期反向运动,室间隔左移明显,使左室内径进一步减小,经溶栓后LVDd 2小时扩大13%,24小时后扩大25%,LVDd的扩大幅度轻度滞后于肺动脉的下降,但与肺动脉压的下降幅度平行;
3.溶栓后右房的改善在数小时内明显;
4.溶栓后右室内径的缩小在最初几天内不明显,明显滞后后左室的扩张幅度,左房的改变在溶栓后也明显改善。
5.每搏输出量在溶栓后逐步增加的,而左心射血分数逐步下降,考虑为患者在心肌缺血受损后,虽然左心舒张末期容积增加,但左心收缩能力尚未恢复所致。Goldhaber等[16]观察对发病时合并急性右心功能不会患者,t-PA溶栓后24 h内心脏超声检查提示右室收缩期室壁运动和左室舒张未面积有显著改善,三尖瓣反流和肺动脉压均明显降低。Metz等[17]观察到溶栓后48小时后右室扩张、肺动脉高压、三尖瓣反流、左室射血分数改善明显。本病例B超的动态演变提示在溶栓后肺动脉压和左室在数小时内的改善可能更明显。


图30-2 B超动态表现
A.入院时 B.溶栓前 C.溶栓后1天 D.溶栓后5天
表3 患者两次溶栓前后心功能变化

溶栓治疗前后凝血功能变化(表4),本例患者溶栓后APTT延长至71.9秒,目前指南推荐APTT下降至80秒后开始予抗凝治疗,因患者基础APTT值为35秒且有合并有消化道出血,为减少出血风险当APPT降至70秒以下时予克赛0.4ml 每12小时1次皮下注射继续抗凝治疗。
表4 患者两次溶栓前后凝血功能变化
参考文献
[1]. Stulz P, Schläpfer R, Feer R, Habicht J, Grädel E. Decision making in the surgical treatment of massive pulmonary embolism. Eur J Cardiothorac Surg.1994;8(4):188-93.
[2]. Kucher N, Rossi E, De Rosa M, Goldhaber SZ. Massive pulmonary embolism. Circulation. 2006;113:577–582.
[3]. Jaff MR, McMurtry MS, Archer SL,et al. Management of massive and submassive pulmonary embolism, iliofemoral deep vein thrombosis, and chronic thromboembolic pulmonary hypertension: a scientific statement from the American Heart Association.Circulation. Circulation.2012 Aug 14;126(7):e104.
[4]. Torbicki A, Perrier A, Konstantinides S,et al. Guidelines on the diagnosis and management of acute pulmonary embolism: the Task Force for the Diagnosis and Management of Acute Pulmonary Embolism of the European Society of Cardiology (ESC). Eur Heart J. 2008 Sep;29(18):2276-315.
[5]. McConnell MV, Solomon SD, Rayan ME, et al. Regional right ventricular dysfunction detected by echocardiography in acute pulmonary embolism. Am J Cardiol 1996; 78:469-73.
[6]. Tapson VF. Acute pulmonary embolism. N Engl J Med. 2008 Mar 6;358(10):1037-52.
[7].Bova C, Greco F, Misuraca G, Serafini O, Crocco F, Greco A, Noto A. Diagnostic utility of echocardiography in patients with suspected pulmonary embolism. Am J Emerg Med. 2003 May;21(3):180-3.
[8]. Zhu L, Yang YH, Wu YF, Zhai ZG, Wang C; National Project of the Diagnosis and Treatment Strategies for Pulmonary Thromboembolism investigators. Value of transthoracic echocardiography combined with cardiac troponin I in risk stratification in acute pulmonary thromboembolism. Chin Med J (Engl). 2007 Jan 5;120(1):17-21.
[9]. 中华医学会呼吸病学分会.肺血栓栓塞症的诊断与治疗指南(草案)[J].中华结核和呼吸杂志,2001,24(5):259-264.
[10]. 中华医学会心血管病学分会肺血管病学组,中国医师协会心血管内科医师分会.急性肺血栓栓塞症诊断治疗中国专家共识[J].中华内科杂志,2010,49(1):74-81.
[11]. Kucher N, Rossi E, De Rosa M, Goldhaber SZ. Massive pulmonary embolism. Circulation. 2006;113:577–582.
[12]. McHugh KB, Visani L, DeRosa M, Covezzoli A, Rossi E, Goldhaber SZ. Gender comparisons in pulmonary embolism (results from the International Cooperative Pulmonary Embolism Registry [ICOPER]). Am J Cardiol. 2002 Mar 1;89(5):616-9.
[13]. Wang C, Zhai Z, Yang Y, Wu Q, Cheng Z, Liang L, Dai H, Huang K, Lu W, Zhang Z,Cheng X, Shen YH; China Venous Thromboembolism (VTE) Study Group. Efficacy and safety of low dose recombinant tissue-type plasminogen activator for the treatment of acute pulmonary thromboembolism: a randomized, multicenter,controlled trial. Chest. 2010 Feb;137(2):254-62.
[14]. Wan S, Quinlan DJ, Agnelli G, Eikelboom JW. Thrombolysis compared with heparin for the initial treatment of pulmonary embolism: a meta-analysis of the randomized controlled trials. Circulation. 2004 Aug 10;110(6):744-9.
[15]. Lehnert P, Møller CH, Carlsen J, Grande P, Mortensen J, Steinbrüchel DA.[Patients with acute critical pulmonary embolism should be evaluated and treated in a centre with medical and surgical possibilities.]. Ugeskr Laeger. 2013 May 27;175(22):1552-1555.
[16]. Dalla-Volta S, Palla A, Santolicandro A, Giuntini C, Pengo V, Visioli O,Zonzin P, Zanuttini D, Barbaresi F, Agnelli G, et al. PAIMS 2: alteplase combined with heparin versus heparin in the treatment of acute pulmonary embolism.Plasminogen activator Italian multicenter study 2. J Am Coll Cardiol. 1992 Sep;20(3):520-6.
[17]. Goldhaber SZ, Kessler CM, Heit J, Markis J, Sharma GV, Dawley D, Nagel JS,Meyerovitz M, Kim D, Vaughan DE, et al. Randomised controlled trial of recombinant tissue plasminogen activator versus urokinase in the treatment of acute pulmonary embolism. Lancet. 1988 Aug 6;2(8606):293-8.
[18]. Metz D, Nazeyrollas P, Mailier B, Jennesseaux C, Tasson S, Maes D, Elaerts J. Regression of right ventricular hypokinesis after thrombolysis in acute pulmonary embolism. Am J Cardiol. 1996 Jun 1;77(14):1252-4.
后可发表评论
友情链接
联系我们
公众号
客服微信