登录方式
方式一:
PC端网页:www.rccrc.cn
输入账号密码登录,可将此网址收藏并保存密码方便下次登录
方式二:
手机端网页:www.rccrc.cn
输入账号密码登录,可将此网址添加至手机桌面并保存密码方便下次登录
方式三:
【重症肺言】微信公众号
输入账号密码登录
注:账号具有唯一性,即同一个账号不能在两个地方同时登录。
肺炎(pneumonia)是指终末气道、肺泡及肺间质的炎症,是最常见的呼吸道感染性疾病,随着环境恶化、基础疾病的伴随及免疫抑制宿主的增加,耐药菌的产生等,使得重症肺炎的发病率增加,因其死亡率高,得到人们的高度重视。横纹肌溶解症(rhabdomyolysis RM)是由于挤压、运动、高热、药物、炎症等原因所致横纹肌破坏和崩解、导致肌酸激酶、肌红蛋白等肌细胞内的成分进入细胞外液及血循环,引起内环境紊乱、急性肾衰竭等组织器官损害的临床综合征[1]。 重症肺炎可引起横纹肌溶解及急性肾衰,但由于其报道较少,临床又缺乏特异性表现极易漏诊,因肺炎患者出现磷酸肌酸激酶(CK)明显升高与磷酸肌酸激酶同工酶(CK-MB)不成比例时才考虑到RM可能。
临床资料
患者,男,55岁。因“发热、胸闷、腹泻3天”于2015年6月20日入院。患者于2015年6月17日因旅游、大量饮酒及进食海鲜后出现间断发冷、发热(未测体温),无寒战,全身肌肉酸痛;起病初即感明显胸闷、气短、乏力,无咯血及胸痛,无心前区不适及心悸;感恶心但未吐,出现腹泻,日排黄色稀水样便3-4次,无腹痛及里急后重感;尿少,每日约300-500ml,无尿 血压可控制在120/80mmHg左右。有吸烟史20年,平均每日10支。饮酒25年,平均每日6两(300g)。
入院检体
体温39.1℃,心率118次/分,呼吸30次/分,血压80/62mmHg(1mmHg=0.133KPa)。发育正常,营养良好,神志清楚,精神差,问话懒于应答,平车推入病房,急性热病容。全身浅表淋巴结未触及肿大。口唇紫绀,咽部无充血,双侧扁桃体无肿大。颈部查体无异常。双肺呼吸运动无异常,肋间隙正常,双肺叩诊呈清音,双肺呼吸音粗,未闻及干湿性啰音。腹软,无压痛、反跳痛及肌紧张。神经系统无阳性体征。双下肢无水肿。
入院时辅助检查
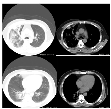
文丘里面罩吸氧(氧浓度50%)监测血氧饱和度为87%,血气分析PH 7.333,PCO2 24.3mmHg,PO2 59.9mmHg,BE -11.15mmol/L,计算氧合指数为119.8。血常规提示WBC 16.4×109/L,N% 87.84%,HBG 120g/L,Pt 174×109/L。血生化酶学:ALT 1612U/L,AST 1080U/L,CK 80998U/L,CK-MB 6610.5U/L,LDH 1157.6U/L,HBDH 1209U/L,MB 1109.2U/L,CTNI 3.75μg/L。血BUN 15.79U/L,Cr 310.4μmol/L,K+3.05mmol/L,Na+135.8mmol/L,Cl-100.7mmol/L,Ca+1.64mmol/L;血TP 44.8g/L,ALB 26g/L,TBIL 12.9μmol/L,DBIL 7.5μmol/L,IBIL 5.4μmol/L;血BNP 23.3pg/ml。凝血全项PT 13.6秒,PTA 76%,APTT 30.6秒,DD 3.8mmol/L ;血清嗜肺军团菌抗体阳性(间接免疫荧光法),尿军团菌抗原阳性;心电图提示窦性心动过速,V3、V4 ST段抬高。胸CT示肺纹理增多紊乱,右肺见片状模糊影(图9-1A、9-1B、9-1C、9-1D)。

图9-1A、9-1B、9-1C、9-1D 2015-6-20胸CT 右肺见片状模糊影
头颅CT无异常;腹部CT示肝脏正常,前列腺内见钙化影。床旁超声:胆囊壁粗糙,双肾体积、形态正常,肾窦结构清晰,肾盂无分离;无胸腹腔积液(平卧位)。CURB-65评分3分(血尿素氮≥7mmol/L,呼吸频率≥30次/分,血压收缩压<90mmHg或舒张压≤60mmHg)。
入院初步诊断
● 重症肺炎 、呼吸衰竭I型;
● 横纹肌溶解症;急性肾功能衰竭;
入院诊疗经过
入院后(6月20日)给予亚胺培南西司他丁0.5g Q8h联合莫西沙星0.4g抗感染,补液、纠正电解质紊乱、升压、对症治疗。血压持续多巴胺8~10μg/(kg•min)泵入可维持在111~123/66~72mmHg。入院后观察患者2h无尿及时给予连续性肾脏替代治疗(CRRT,模式为CVVHDF,8h)。因患者不能配合无创呼吸机辅助通气治疗,继续文丘里面罩吸氧(氧浓度50%),血氧饱和度可由87%改善到95%左右,复查血气分析氧分压由59.9mmHg升至75mmHg(氧合指数150)。
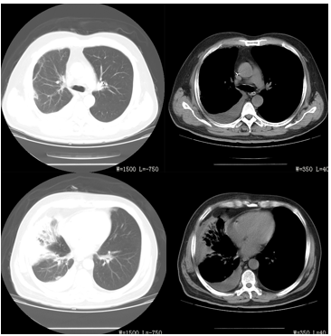
6月21日,患者T 38.7℃,血压多巴胺8~10μg/(kg•min)泵入维持在110~125/65~76mmHg,心率110~118次/分,呼吸25~31次/分,干咳,无痰,稍活动后气短,酱油色尿量约280ml,送检尿中肌红蛋白检查阳性(硫酸铵法),尿常规提示尿沉渣示红细胞计数5个/μl,尿潜血( -),尿蛋白、尿糖、尿酮体均阴性。CRP 201.1mg/L,PCT 3.74ng/ml。6月25日热退,T36.5℃ 。6月27日患者已无发热3日,干咳,气短减轻,血压102~115/63~75mmHg(无需血管活性药物),心率87次/分,呼吸23次/分,文丘里面罩吸氧(氧浓度50%)下血氧饱和度达到96%,血气分析提示PH 7.39,PCO2 40.7mmHg,PO2 102mmHg,氧合指数为204。尿量为2245ml,为淡黄色。尿常规无异常;血常规提示WBC 11.8×109/L,N% 84.8%(较前均有改善);血酶学:ALT 124U/L,AST 97U/L,CK 544U/L,CK-MB 23.6U/L,LDH 600U/L,HBDH 614U/L,MB 176.8U/L,CTNI 0.29μg/L(较前均降低)。血BUN 12.26U/L,Cr 225.9μmol/L,TP 56.6g/L,ALB 28U/L,K+3.11mmol/L,Na+137.6mmol/L,Cl-100.5mmol/L,Ca2+2.08mmol/L;TBIL 5μmol/L,DBIL1.6μmol/L,IBIL 3.4μmol/L;CRP37.83mg/、PCT 1.24ng/ml,上述实验室检查均较前改善。凝血全项PT 14秒,PTA 73.1%,APTT 27秒,DD 1.2mmol/L。6月29日患者精神状态好转,5日无发热,干咳,无明显气短,血压112~134/65~80mmHg(无需血管活性药物),心率84次/分,呼吸19次/分,尿量每日为2000~2800ml之间,肾功(BUN、Cr)、酶学(CK、CK-MB、LDH、AST)均恢复正常,复查胸CT示右肺可见斑片状、索条状高密度影,部分呈实性改变。右侧胸腔积液可见弧形高密度影(图9-2A、9-2B、9-2C、9-2D)。

图9-2A、9-2B、9-2C、9-2D 胸CT 2015-6-29 右肺可见斑片状、索条状高密度影,右侧胸腔积液可见弧形高密度影
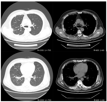
停CRRT,入院后共进行7次CRRT(模式均为CVVHDF),共53小时。停亚胺培南西司他丁(疗程9天),继续莫西沙星0.4g治疗。7月10日患者精神状态、睡眠、饮食均恢复,偶有干咳,无气短,无发热,不吸氧状态下监测血氧饱和度为95%。查体双肺未闻及干湿啰音。复查血常规、肾功、酶学(CK、CK-MB、LDH、HBDH、AST)、电解质、CRP、PCT均为正常,停用莫西沙星治疗(疗程21天)。7月15日查胸CT示右肺见索条高密度影,右侧胸腔后部见弧形水样密度影(图9-3A、9-3B、9-3C、9-3D)。患者好转出院。

图9-3A、9-3B、9-3C、9-3D 2015-7-15胸CT 右肺见索条高密度影,右侧胸腔后部可见弧形水样密度影
讨论
肺炎是常见的呼吸系统疾患,重症肺炎通常被认为是需要收入ICU的肺炎。2007年ATS 和美国感染病学会( IDSA)对重症社区获得性肺炎的诊断标准进行了新的修正。
主要标准:
① 需要创伤性机械通气 ;
② 需要应用升压药物的脓毒性血症休克。
次要标准包括:
①呼吸频率>30 次/分;
② 氧合指数( PaO2/FiO2)<250;
③ 多肺叶受累;
④意识障碍 ;
⑤ 尿毒症(BUN>20 mg/dL);
⑥白细胞减少症(WBC计数<4×109 /L);
⑦血小板减少症(血小板计数<100×109 /L);
⑧体温降低(中心体温<36℃);
⑨低血压需要液体复苏。
符合1条主要标准,或至少3项次要标准可诊断[8]。本例患者为急性起病,有发热、咳嗽、气短,查体提示双肺呼吸音粗,入院后查血常规提示白细胞增高,胸CT可见片状渗出影,既往无肺部疾患,肺炎诊断明确。因患者院外罹患,故为社区获得性肺炎。入院时患者血压需持续多巴胺泵入维持,高热,CRP、PCT均明显增高,CURB-65评分为3分,且存在需要应用升压药物的脓毒性血症休克,故重症肺炎诊断明确。
早在1977年初,就有关于军团菌感染多为社区获得性肺炎的报道,因该菌多在水生环境中存活,例如中央空调系统中。感染该菌可出现多系统的受累,潜伏期多为2~10天。5%到39%的人感染了军团菌会导致死亡。在嗜肺军团菌感染的急性阶段,我们可以从病人的尿液中检测到嗜肺军团菌血清型I型抗原。随着时代的进步,中央空调系统的普及,嗜肺军团菌肺炎的发生率也在增多。
本例患者在发病前1周有外地旅游经历,劳累,大量饮酒,居住环境中有中央空调,症状有发热、气短、腹泻,氧合指数低于300,存在呼吸衰竭,有严重的呼吸系统症状及肺外症状的表现,入院后血清嗜肺军团菌抗体阳性(间接免疫荧光法)及尿军团菌抗原检测阳性,故支持嗜肺军团菌肺炎的诊断。我们在入院后及时给予莫西沙星治疗,疗程21天。抗炎治疗的早期因考虑该患入院时血流动力学异常、急性肾功能不全、肝功能异常、呼吸衰竭,存在多脏器功能受损,给予联合亚胺培南西司他丁治疗,在治疗过程中,明确病原菌及患者的脏器功能恢复,停用了亚胺培南西司他丁的治疗,继续坚持针对病原菌的治疗,大大降低了患者的死亡率。噬血现象不是诊断噬血细胞综合症所必须的也不是其所特有的病理表现。有研究显示在没有诊断噬血细胞综合征的危重病人中噬血细胞比较常见,在ICU因所有原因导致死亡的患者中有约三分之一的患者可见到噬血现象,特别是在因败血症及多器官衰竭死亡的患者中更常见。
患者入院后查血气分析提示氧合指数低于300,BNP无异常,双肺可见有浸润影,常规建议使用无创机械通气治疗可改善患者的呼吸衰竭,但本例患者自住院以来不能耐受无创呼吸机辅助通气治疗,给予持续文丘里面罩吸氧(氧浓度50%),早期给予CRRT,患者不仅肾功能得到很好的改善,同时呼吸衰竭也得到了纠正,考虑与CRRT过程中能够有效清除炎症介质,减轻肺部炎症,从而使肺部毛细血管通透性改善,减轻肺水肿症状,达到改善患者肺通气功能、微循环和细胞摄氧能力,最终使得患者的氧合指数得到改善,纠正呼吸衰竭。该例患者呼吸衰竭的治疗应早期给予有效的机械通气为主的呼吸支持,但由于患者不耐受无创机械通气治疗,且随病情好转呼吸衰竭明显改善,所以,未行机械通气治疗。
第一例横纹肌溶解症于1881年报道,从第一次世界大战、第二次世界大战、越南战争、反恐战争到汶川地震均有因创伤所致横纹肌溶解症的报道,但随着人们对横纹肌溶解症的不断深入研究,近来报道的小龙虾事件引起横纹肌溶解症的报道,各种非创伤因素导致横纹肌溶解症被关注。本例重症肺炎合并RM国内报道也不过几十例,目前我国尚缺乏关于横纹肌溶解症病例的流行病学的报道。美国的流行病学报道RM发病率为0.02%,多以创伤造成的RM的发生。日本在2005年的一项调查发现,在594例社区获得性肺炎患者中,磷酸激酶增高被诊断为横纹肌溶解症的仅为25例,其中嗜肺军团菌感染的就有11例。本例患者因以呼吸系统疾患就诊,在入院时很难意识到合并横纹肌溶解症,早期容易被漏诊或误诊。
入院后及时完善心肌酶学、病原学的监测,发现异常的CK及CK-MB的增高,且CK>10000U/L,与CK-MB不成比例的升高,无新发的心血管疾患依据,且患者此次患病前有旅游史引发过度劳累,有大量饮酒史,又为嗜肺军团菌肺炎,病初有明显的周身肌肉酸痛,尿为酱油色,急性肾功能衰竭,综合上述的情况支持横纹肌溶解症的诊断。患者入院后给予抗感染、补液、氧疗及脏器支持等治疗,同时及早给予CRRT,最终患者肾功能、CK、CK-MB及呼吸功能均恢复正常。
重症肺炎并发横纹肌溶解症在临床上报道不多,但该疾患死亡风险高,近年得到人们的重视,但由于重症肺炎并发横纹肌溶解症的症状不典型,特别是嗜肺军团菌肺炎本身就能引发多种肺外表现,故在疾病早期很难意识到合并横纹肌溶解症,易导致误诊或漏诊,故能够早期及时完善相关的病原学监测及实验室检查,及早给予联合CRRT可明显改善预后,降低死亡率。
参考文献:
[1]Huerta-Alardin AL,VaronJ,MarikPE.Bench-to-bedsidereview:rhabdomyolysis-anoverviewforclinicians[ J] .CritCare, 2005, 9(2):158 -169
[2]Bagley WH, Yang H, Shah KH. Rhabdomyolysis[J].Intern Emerg Med, 2007,2(3):210-8
[3]Holt SG,Moore KP.Pathogenesis and treatment of renal dysfunction in rhabdomyolysis[J] .Intens Care Med, 2001, 27(5):803 -811
[4]Sauret JM, Marinides G, Wang GK. Rhabdomyolysis[J]. Am Fam Physician, 2002,65(5):907-12
[5] Khan FY. Rhabdomyolysis: a review of the literature[J]. Neth J Med, 2009,67(9):272-83
[6]Singh D, Chander V, Chopra K. Rhabdomyolysis [J]. Methods Find Exp Clin Pharmacol, 2005,27(1):39-48
[7]Brown CV, Rhee P, Chan L, el al. Preventing renal failure in patients with rhabdomyolysis: do bicarbonate and mannitol make a difference[J]. J Trauma, 2004,56(6):1191-6
[8]中华医学会呼吸病学分会. 社区获得性肺炎诊断和治疗指南[J]. 中华结核和呼吸杂志,2006,29(10):651-655
[9]张文, 陈楠, 陈晓农, 等.横纹肌溶解综合征致急性肾衰竭23例诊治分析[ J] .中国危重病急救医学, 2003, 15(2):73 -76
后可发表评论
友情链接
联系我们
公众号
客服微信