登录方式

方式一:
PC端网页:www.rccrc.cn
输入账号密码登录,可将此网址收藏并保存密码方便下次登录

方式二:
手机端网页:www.rccrc.cn
输入账号密码登录,可将此网址添加至手机桌面并保存密码方便下次登录

方式三:
【重症肺言】微信公众号
输入账号密码登录

注:账号具有唯一性,即同一个账号不能在两个地方同时登录。

登录
方式

为重症救治赋能

为患者康复加速

当前位置:首页 重症实战 病例集锦

濒死体验的重生:重症肺炎合并肝硬化患者心肺复苏后的救治

梁茂玲1, 徐国红2, 冯耘3, 谢思敏3, 程挺3 1. 山东省菏泽市立医院呼吸与危重症医学科;2. 贵州省铜仁市思南县民族中医院重症医学科;3. 上海交通大学医学院附属瑞金医院呼吸与危重症医学科 发布于2026-03-16 浏览 685 收藏

作者:梁茂玲1, 徐国红2, 冯耘3, 谢思敏3, 程挺3

单位:1. 山东省菏泽市立医院呼吸与危重症医学科;2. 贵州省铜仁市思南县民族中医院重症医学科;3. 上海交通大学医学院附属瑞金医院呼吸与危重症医学科

一、病情介绍

1. 基本信息

患者为中年男性,因心肺复苏术后伴发热10余天,于2025年12月9日14时31分收住呼吸重症监护室(RICU)。

2. 现病史

患者家属代诉,患者于2025年11月11日因双下肢无力于上海市某医院住院,血检提示重度贫血,予输血等对症处理。2025年11月19日,患者突发呼吸费力、呼之不应,伴大动脉搏动消失、呼吸心跳骤停,予胸外按压、气管插管、静脉推注肾上腺素等抢救措施后,生命体征恢复。后续予抗感染、抗炎、平喘等治疗,期间患者反复发热,伴血压下降,为求进一步诊治由“120”送至我院急诊科。

2025年12月3日患者入我院急诊抢救室,持续气管插管接有创呼吸机辅助通气,完善相关化验示:血常规白细胞13.19×109/L,中性粒细胞百分比91.4%,淋巴细胞百分比5.9%,血红蛋白60 g/L、血小板计数91×109/L,C反应蛋白155 mg/L,血白蛋白23 g/L,肌酸激酶同工酶(CK-MB)4.8 ng/ml,肌红蛋白641.5 ng/ml,降钙素原31.38 ng/ml(↑),氨基末端B型利钠肽前体2421.0 pg/ml(↑)。完善头胸腹部CT检查提示:双侧基底节区、侧脑室旁及额顶叶散在腔隙灶及梗死灶,老年脑改变伴脑白质变性;副鼻窦炎;双肺渗出性病变,双侧胸腔积液伴双肺下叶膨胀不全,主动脉及冠状动脉钙化,心包少许积液,心腔密度减低;肝硬化不除外,脾大,腹腔积液,胆囊多发结石,胰腺萎缩伴脂肪浸润,肠系膜密度增高,膀胱壁钙化不除外,盆腔积液,腹盆壁水肿。

结合检查结果,诊断为重症肺炎;心脏停搏复苏后;脓毒症;尿路感染;2型糖尿病;肝硬化;高血压;冠心病;低蛋白血症;重度贫血;心功能不全;胸腔积液;腹腔积液;胆囊结石。

急诊痰培养回报为多重耐药肺炎克雷伯菌感染, 予美罗培南抗感染、氨溴索化痰、人血白蛋白补充白蛋白、法莫替丁抑酸护胃、呋塞米改善心功能等治疗。

2025年12月9日复查:白细胞6.14×109/L,中性粒细胞百分比82.5%,淋巴细胞百分比10%,血红蛋白54 g/L,血小板计数90×109/L,C反应蛋白78 mg/L,血白蛋白24 g/L,为进一步系统治疗,收住我院RICU。

患者自发病以来,精神、饮食、睡眠差,大小便无明显异常,体重未监测。

3. 既往史及其他

有常年大量饮酒史,具体饮酒量家属描述不清;2型糖尿病病史10年,平素未规律使用降糖药物,未系统监测血糖;冠心病病史多年,具体病情不详。

4. 入科查体

患者处于气管插管、镇静镇痛状态,呼吸机模式为PC/AC,参数:压力12 cmH2O,频率16次/分,PEEP 5 cmH2O,氧浓度40%。查体见贫血貌,双肺呼吸音低、粗糙,可闻及大量痰鸣音;心律齐;腹膨隆,双下肢水肿。

5. 入院诊断

重症肺炎;心脏停搏复苏后;感染中毒症;重度贫血;呼吸衰竭;2型糖尿病;心功能不全;高血压;冠状动脉粥样硬化性心脏病;低蛋白血症;肝硬化;多浆膜腔积液;胆囊结石。

6. 入科后辅助检查(2025年12月9日)

生化检查:降钙素原0.86 ng/ml(),氨基末端B型利钠肽前体1396.0 pg/ml(↑)。

凝血功能检查:活化部分凝血活酶时间(APTT)48.3秒(↑),凝血酶原时间(PT)14.6秒,国际标准化比值(INR)1.25,凝血酶时间(TT)17.20秒,纤维蛋白原3.1 g/L,纤维蛋白降解产物16.1 mg/L(↑),D-二聚体4.80 mg/L(↑)。

尿/粪常规:白细胞阳性(++),蛋白质阳性(+),酮体阴性(-),潜血阳性(+)。

急诊生化:白细胞计数5.43×109/L, 中性粒细胞百分比80.3%(↑), 淋巴细胞百分比11.6%(↓), 中性粒细胞计数4.36×109/L, 淋巴细胞计数0.63×109/L(↓), 红细胞计数1.82×1012/L(↓), 血红蛋白52 g/L(↓), 血小板计数88×109/L(↓), C反应蛋白86 mg/L(↑)。

生化:乳酸1.35 mmol/L,天门冬氨酸氨基转移酶30 IU/L,尿素2.5 mmol/L,肌酐52 μmol/L(↓),尿酸228 μmol/L,钠135 mmol/L,钾3.99 mmol/L,氯103 mmol/L,二氧化碳27.4 mmol/L,钙2.00 mmol/L,磷0.73 mmol/L(↓),乳酸脱氢酶203 IU/L,肌酸激酶83 IU/L,CK-MB质量4.6 ng/ml(↑),肌红蛋白698.4 ng/ml(↑),高敏肌钙蛋白I 10.1 pg/ml,估算肾小球滤过率109.1 ml/(min·1.73m2), 前白蛋白49 mg/L(↓),丙氨酸氨基转移酶20 IU/L,天门冬氨酸氨基转移酶32 IU/L,天门冬氨酸氨基转移酶线粒体同工酶4 IU/L,碱性磷酸酶144 IU/L(↑),γ-谷氨酰基转移酶94 IU/L(升高),总胆红素21.7 μmol/L,直接胆红素5.6 μmol/L,总蛋白49 g/L(↓),白蛋白25g/L(↓),白球比1.04(↓)。

血气分析:pH 7.49(),二氧化碳分压(PCO235 mmHg,氧分压(PO2139 mmHg(),乳酸0.5 mmol/L,全血剩余碱(BE) 2.3 mmol/L,细胞外液剩余碱(BE-ect)2.6 mmol/L,标准碳酸氢盐浓度27 mmol/L(↑),实际碳酸氢盐浓度(cHCO3-26 mmol/L, 阴离子系(AG) 5 mmol/L(↓)。

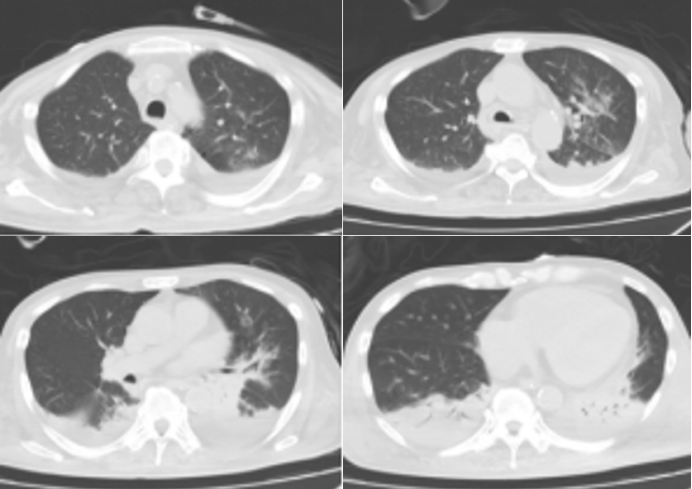
入院胸部CT:双肺渗出性病变,双侧胸腔积液伴双肺下叶膨胀不全,主动脉及冠状动脉钙化,心包少许积液,心腔密度减低;肝硬化不除外,脾大,腹腔积液(如图1)。

图片

1  患者入院胸部CT

二、第一阶段诊治:感染控制,顺利脱机拔管

(2025年12月9-17日)

患者入科后持续予呼吸机辅助通气,完善气管镜检查并送检肺泡灌洗液tNGS,结果提示存在肺炎克雷伯菌、鲍曼不动杆菌、铜绿假单胞菌及嗜麦芽窄食单胞菌多种细菌感染(图2);结合痰培养结果(图3),制定联合抗感染方案:头孢他啶阿维巴坦2.5 g q8h静滴、多黏菌素B 50万单位q8h静滴、多黏菌素E甲磺酸钠75 mg bid雾化、米诺环素0.1 g bid鼻饲、卡泊芬净50 mg qd静滴、左氧氟沙星500 mg qd静滴、万古霉素0.5 g q12h静滴。

图片

2  患者肺泡灌洗液tNGS(2025-12-10)

图片

3  患者痰培养结果(2025-12-12)

同时予综合对症支持治疗:氨溴索化痰、乙酰半胱氨酸雾化吸入、艾司奥美拉唑抑酸护胃、促红素纠正贫血、人血白蛋白补充白蛋白、低分子肝素抗凝预防、肠内营养支持、成分输血、促胃动力、保持大便通畅,且间断行气管镜下气道廓清。

经上述治疗后,患者病情明显好转,呼吸机氧浓度及PEEP逐步下调,复查血气分析及氧合指数均改善,白细胞计数、降钙素原、氨基末端B型利钠肽前体均呈下降趋势(图4-图6)2025年12月17日予拔除气管插管,更换鼻导管吸氧,复查胸片提示肺炎较前好转(图7

图片

4  患者白细胞变化趋势

图片

5  患者降钙素原变化趋势

图片

6  患者proBNP变化趋势

图片

7  患者2025年12月9日与12月14日胸片对比

第二阶段诊治:肝硬化综合管理与并发症处理

(2025年12月17日-2026年1月22日)

患者肺部感染得到有效控制,但肝硬化相关并发症逐渐凸显,出现腹部皮肤膨胀纹,考虑为大量腹水生成导致皮肤真皮层弹性纤维过度拉伸、断裂所致,同时伴血红蛋白及血小板下降、凝血功能异常、低蛋白血症,血氨及肝功能指标无明显异常。完善腹腔超声提示大量腹水,胸部彩超示双侧胸腔少量积液。

2025年12月15日行超声引导下腹腔积液置管引流术,予间断引流,多次腹水细菌培养均为阴性。请感染科、康复科多学科会诊协助诊治,治疗期间患者曾出现意识变差、咳痰无力,继续予气管镜下气道廓清,2025年12月29日再次留取肺泡灌洗液行tNGS检查,结果提示屎肠球菌、人疱疹病毒5型等病原体感染(图8)结合患者出现的腹部症状体征及辅助化验结果,考虑肺部耐药菌感染较前改善,腹水增多且腹腔感染加重。

图片

8  肺泡灌洗液tNGS(2025-12-29)

结合感染科会诊意见,同时针对患者血压低、肾功能不全的问题调整抗感染方案,先后予万古霉素、美罗培南、康替唑胺、多西环素等药物抗感染。治疗期间患者出现凝血功能障碍、血小板显著下降及重度贫血,予重组人血小板生成素注射液、维生素K静滴,海曲泊帕升血小板,同时输注血浆、红细胞悬液、人血白蛋白,予适度利尿、保肝等对症处理。2026年1月6日再次行腹水引流,继续间断气管镜进行气道廓清。

后续患者病情逐渐稳定,腹水生成减少,腹部皮肤膨胀纹明显改善(图9),精神状态好转,咳痰能力恢复。

图片

9  患者肝硬化腹水治疗前后对比

2026年1月19日复检相关指标:

(1)生化:丙氨酸氨基转移酶4 IU/L(↓),碱性磷酸酶160 IU/L(↑),直接胆红素7.1 μmol/L(↑),白蛋白33 g/L(↓),胆汁酸10.7 μmol/L(↑),谷胱苷肽还原酶97 U/L(↑);尿素18.3 mmol/L(↑),肌酐158 μmol/L(↑),尿酸580 μmol/L(↑),钠152 mmol/L(↑)。

(2)尿常规及杂项:白细胞阳性(++),蛋白质阳性(++)。

(3)凝血及DIC:APTT 43.2秒(↑),纤维蛋白原4.4 g/L(↑),纤维蛋白降解产物22.7 mg/L(↑),D-二聚体6.01 mg/L(↑)。

(4)血常规:白细胞计数5.96×109/L,中性粒细胞百分比35.0%(↓),淋巴细胞百分比18.7%(↓),红细胞计数2.22×1012/L(↓),血红蛋白65 g/L(↓),血小板计数361×109/L(↑),C反应蛋白106.5 mg/L(↑)。

(5)血气分析:pH 7.41,PCO2 32 mmHg(↓),PO2 161 mmHg(↑),实测总血红蛋白68 g/L(↓),乳酸0.6 mmol/L,标准碳酸氢盐浓度21 mmol/L(↓),实际碳酸氢盐浓度(cHCO3-20 mmol/L(↓)。

患者病情平稳后,于2026年1月22日转至康复医院进一步巩固治疗。

四、讨论

1. 重症肺炎发生的多因素分析

本病例中患者tNGS检出多种耐药菌混合感染,临床较为少见,其发生与患者自身免疫力低下、肝硬化基础疾病密切相关。临床中重症肺炎的发生并非单一因素导致,而是病原体毒力、患者免疫状态与基础健康状况三者相互作用的结果。

1)患者自身免疫及基础条件:这是肺炎进展为重症的核心因素,此类因素会导致患者防御系统无法有效清除病原体,甚至引发过度破坏性的炎症反应。该患者合并慢性心、肝基础疾病,心衰易引发肺淤血,加重肺部感染;长期酗酒导致肝硬化,肝细胞大量坏死,肝功能受损,无法有效清除体内毒素与代谢产物,且肝功能衰竭会进一步导致全身免疫功能下降,降低机体对感染的抵抗力;大量饮酒同时损害呼吸道纤毛运动、抑制白细胞功能,增加误吸风险。此外,患者存在低蛋白血症、营养不良,导致免疫球蛋白与补体合成减少、免疫细胞功能受损;2型糖尿病未规律控制,高血糖环境利于细菌繁殖,同时损害中性粒细胞和巨噬细胞的吞噬功能,多因素共同导致患者免疫防御体系严重缺陷。

2)病原体相关因素: 不同病原体的致病力与侵袭性存在显著差异, 是触发重症肺炎的重要诱因。本例患者感染的病原体中, 铜绿假单胞菌常见于医院感染, 易产生耐药性, 组织破坏力强; 肺炎克雷伯菌为多重耐药株, 毒力显著, 易引发肺脓肿、脓胸等严重肺部并发症, 多种高毒力耐药菌混合感染进一步加重了肺部损伤。

3)重症化的关键病理生理机制:当患者自身免疫缺陷、基础疾病与高毒力病原体共同作用时,会引发一系列恶性循环,最终导致病情重症化:①过度的全身炎症反应与“细胞因子风暴”:机体释放大量TNF-α、IL-6等炎症介质,在攻击病原体的同时损伤自身组织,导致全身血管通透性增加、低血压,甚至多器官功能障碍;②急性呼吸窘迫综合征:肺泡上皮与血管内皮严重损伤,引发非心源性肺水肿,导致顽固性低氧血症;③脓毒症与感染性休克:感染失控引发循环衰竭,需血管活性药物维持血压,同时伴组织灌注不足与器官衰竭;④免疫麻痹:过度炎症反应后期,机体免疫功能出现代偿性抑制,无法有效清除病原体,易继发新的感染。

2. 肝硬化基础疾病的管理与多学科协作

结合患者疾病发展过程,经积极抗感染治疗后,重症肺炎得到有效控制,但肝硬化引发的腹水、血小板减少、凝血功能障碍等一系列并发症,成为后续治疗成功的关键。此类病例涉及多学科交叉,对ICU医生的综合病情分析与处置能力提出了极高的要求。本团队结合感染科会诊意见,查阅相关指南,总结肝硬化合并重症感染患者的管理经验:

肝硬化是各类慢性肝病的终末阶段,慢性肝脏炎症坏死引发弥漫性肝纤维化,在此基础上出现假小叶形成和血管紊乱则诊断为肝硬化,其临床表现复杂、轻重不一。肝硬化早期多无特异性症状、体征,仅表现为原发肝病相关表现;随疾病进展,逐渐出现以肝脏合成功能障碍和门静脉高压为核心的临床及实验室异常;疾病后期可出现腹水、食管胃静脉曲张破裂出血、肝性脑病、肝肾综合征等严重并发症,部分患者可进展为肝细胞癌。

腹水是肝硬化最常见的并发症,其治疗需遵循分级原则:1级及轻度2级腹水可门诊治疗,重度2级或3级腹水需住院系统治疗。一线治疗包括病因控制、低盐饮食(4~6 g/d)、螺内酯联合/单用呋塞米利尿;二线治疗包括缩血管活性药物(特利加压素、盐酸米多君等)、新型利尿剂(托伐普坦等)应用,腹腔穿刺大量放腹水并补充人血白蛋白,经颈静脉肝内门体分流术(TIPS)等;三线治疗为肝移植、肾脏替代治疗等。对于顽固性腹水,推荐利尿剂、白蛋白联合缩血管活性药物的三联治疗,亦可选择腹腔穿刺大量放腹水、TIPS或长期腹腔置管引流等方式,不推荐使用多巴胺等扩血管药物。

人血白蛋白在肝硬化治疗中具有重要作用,可减轻失代偿期肝硬化患者的全身炎症反应,对于合并脓毒症及严重感染的患者,在使用抗菌药物的同时补充人血白蛋白,不仅能提升血浆胶体渗透压、减少腹水生成,还具有抗炎、抗氧化、稳定血管内皮细胞等作用。肝硬化合并血小板减少症的患者,若需行侵入性操作、手术或抗肿瘤治疗,当血小板计数低于50×109/L时,可使用血小板生成素类药物,包括重组人血小板生成素(rhTPO)和血小板生成素受体激动剂(阿伐曲泊帕、芦曲帕等)。对于本例患者,临床医生均严格遵循相关指南给予上述针对性治疗,最终病情得到有效控制。

3. 多基础疾病危重症患者的救治体会

临床实践表明,危重症患者的疾病严重程度与自身基础疾病密切相关,重症患者的救治涉及多脏器、多学科的协同配合。本例患者的成功救治提示我们:对于合并多种基础疾病的危重症患者,临床医师需制定个体化的整体治疗策略,在抗感染、器官支持的同时,重视基础疾病的管理,精准权衡各项治疗措施的利弊,加强多学科会诊协作,才能突破救治瓶颈,提高救治成功率。

向下滑动查看


参考文献

[1] Méndez, R. Host-Intrinsic Factors Underlie the Risk of Severe Community-Acquired Pneumonia[J]. Lancet Respir Med, 2021, 9(9):1044-1055.

[2] Chaudhuri D, Nei AM, Rochwerg B, et al. 2024 Focused Update: Guidelines on Use of Corticosteroids in Sepsis, Acute Respiratory Distress Syndrome, and Community-Acquired Pneumonia[J]. Crit Care Med, 2024, 52(5):e219-e233.

[3] 中华医学会肝病学分会. 肝硬化临床诊治管理指南(2025 版)[J]. 中华肝脏病杂志, 2025, 33(10):958-976.

[4] 中华医学会肝病学分会. 肝硬化腹水诊疗指南(2023年版)[J]. 中华肝脏病杂志, 2023, 31(8):813-826.

[5] Xia Y, Tie J, Wang G, et al. Benefits of TIPS for Patients With Large Ascites Preceding Recurrent or Refractory ascites: A Multicenter Cohort Study[J]. J Gastroenterol Hepatol, 2025, 40(6):1574-1585. 

[6] Shimura Y, Komatsu S, Hashimoto Y, et al. Biomarker-guided strategy for Denver peritoneovenous shunts in refractory ascites: a retrospective single-center study[J]. Langenbecks Arch Surg, 2025, 410(1):140. 

[7] Liu G, Tang F, Wang T, et al. Efficacy of recombinant human thrombopoietin in patients with acute-on-chronic liver failure and thrombocytopenia: A prospective, open-label study[J]. World J Gastroenterol, 2025, 31(14):105004.


作者介绍

图片

梁茂玲

山东省菏泽市立医院呼吸与危重症医学科,主治医师,硕士研究生,上海交通大学瑞金医院PCCM专修学员

图片

徐国红

贵州省铜仁市思南县民族中医院重症医学科,科主任,副主任医师,硕士研究生,上海交通大学医学院附属瑞金医院呼吸与危重症医学科进修学员。

图片

冯耘

上海交通大学医学院附属瑞金医院主任医师,博士研究生导师,上海交通大学医学院副研究员,美国杜克大学访问学者中国医师协会呼吸医师分会危重症青年委员会委员,中国医药教育协会感染疾病专业委员会委员,上海市医学会呼吸病学专科分会青年委员会委员,上海市医学会呼吸病学专科分会重症学组副组长曾获上海市人才培养计划,上海市优秀专科医师及上海交通大学医学院九龙医学奖获得4项国家自然基金及科技部重点项目子课题资助,发表相关SCI文章40余篇,第一完成人专利2项,参与编写专业书籍4

图片

谢思敏

上海交通大学医学院附属瑞金医院呼吸与危重症医学科呼吸治疗师,上海市医学会呼吸病学专科分会呼吸治疗组委员,中国康复医学会会员,上海呼吸治疗联盟成员

图片

程挺

上海交通大学医学院附属瑞金医院嘉定院区呼吸与危重症医学科,副主任医师。

图片

声明:

本文仅用于学术领域的理论探讨与专业交流,不涉及任何商业推广、产品宣传等非学术用途,亦不作为临床诊疗活动中最终决策的依据。临床实践需根据患者的具体情况选择适宜的处理措施。


全部评论 0
Copyright©2020-2026 北京医麦斯科技有限公司 版权所有 京ICP备2020034400号-1 京公网安备11010502043983号