登录方式

方式一:
PC端网页:www.rccrc.cn
输入账号密码登录,可将此网址收藏并保存密码方便下次登录

方式二:
手机端网页:www.rccrc.cn
输入账号密码登录,可将此网址添加至手机桌面并保存密码方便下次登录

方式三:
【重症肺言】微信公众号
输入账号密码登录

注:账号具有唯一性,即同一个账号不能在两个地方同时登录。

登录
方式

为重症救治赋能

为患者康复加速

当前位置:首页 重症实战 病例集锦

一例耐药木糖氧化无色杆菌感染引起的慢阻肺急性加重合并心衰患者救治体会

董彩平,冯耘,等 山西省朔州市大医院,上海交通大学医学院附属瑞金医院 发布于2026-02-10 浏览 642 收藏

一、病例资料

1. 一般情况

患者,男性,74岁,主因“胸闷、气急伴嗜睡10天”于2025年10月9日入上海瑞金医院呼吸与危重症医学科呼吸重症病区治疗。

2. 现病史

患者家属代诉患者10天前自觉感胸闷气急不适,伴嗜睡,日常活动量较前减少,感乏力,食欲较前相仿,意识清,咳嗽少做,无恶心、呕吐,无发热胸痛、心悸等不适,家中自测SpO2最低至60%左右,家庭吸氧(4 L/min)后SpO2可逐渐升至90%以上,患者仍感气急,家属诉伴嗜睡,乏力明显,意识模糊,呼之有反应,可对答,对答切题,咳嗽少做,无发热,无二便失禁,无胸痛、咯血等不适

2025年10月7至我院急诊就诊,完善血检血气分析:pH 7.25),PaO2 197 mmHg(),PaCO2 110 mmHg;血常规:白细胞计数6.48×109/L;血红蛋白145 g/L;血小板计数123×109/LC反应蛋白8 mg/L;降钙素原0.05 ng/mlD-二聚体定量3.90 mg/L;氨基末端B型利钠肽前体8377.0 pg/ml(;高敏肌钙蛋白I 77.4 pg/ml(。胸片示: 右肺中下野炎症, 右侧胸腔少量积液; 心影形态增大, 主动脉迂曲伴壁钙化。急诊予气管插管接呼吸机控制通气支持, 头孢曲松抗感染, 甲强龙抗炎平喘等对症支持治疗, 为进一步治疗至我科住院。自此次发病以来, 意识模糊, 精神软, 胃纳一般, 二便无殊, 体重无明显增减。

3. 既往史及家族史

家属自诉既往有支气管哮喘病史,平素自行口服复方甲氧那明止咳及间断雾化治疗,近1年余家庭氧疗2.5 L/d6~8 h/d氧疗支持,平素不吸氧SpO2最低80%左右,吸氧后SpO2维持在90%左右。患者母亲有支气管哮喘病史。

4. 入院查体

体温37.1℃,脉搏86次/分,呼吸15次/分,血压121/82 mmHg。SpO2 95%,qSOFA评分2APACHE Ⅱ评分22,镇静镇痛状态(咪达唑仑、丙泊酚)RASS评分-3分,气管插管接呼吸机辅助通气(P-A/C模式,吸气压力20 cmH2OFiO2 45%,PEEP 6 cmH2O

皮肤膜未见黄染及瘀点瘀斑;双侧瞳孔等大等圆,对光反射灵敏;颈部无抵抗;双肺呼吸音偏低,两下肺可及湿音;心律齐,未闻及病理性杂音;腹平软,全腹无压痛及反跳痛,肝脾肋下未触及,无移动性浊音,肝区无叩击痛,肾区无叩击痛,肠鸣音正常;双下肢无水肿,病理征阴性。

5. 辅助检查

109急诊血气分析(有创呼吸机控制通气):pH 7.56),PaO2 68 mmHgPaCO2 43 mmHgcHCO3- 39 mmol/L),SaO2 96%BE 14.6 mmol/L),乳酸1.5 mmol/L

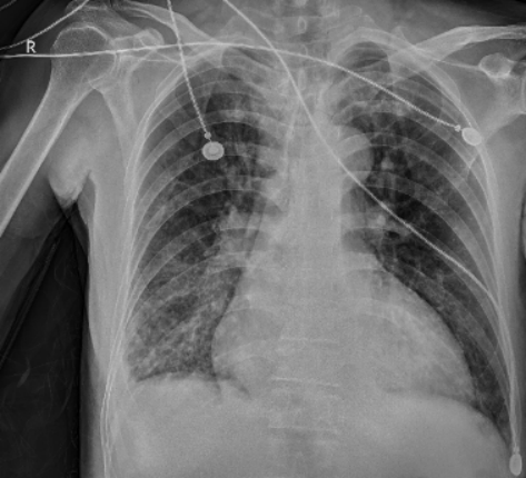
急诊床旁胸片(图1):右肺中下野炎症,右侧胸腔少量积液;心影形态增大,主动脉迂曲伴壁钙化108床边心超检查左室射血分数约30%,左室偏大,心功能不全轻中度三尖瓣关闭不全;床旁双下肢血管彩超双侧下肢动脉点状斑块形成双侧下肢深静脉血流通畅

图片

1  急诊床旁胸片2025-10-07

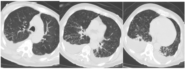
10月9日胸部CT(图2):两肺感染性病变。慢支肺气肿改变。两侧胸腔积液伴相邻肺组织膨胀不全心脏增大,心包少量积液主动脉壁局部钙化气管插管术后气管痰液黏附可能食管壁稍增厚。 

图片

2  CT2025-10-09

6. 入院初步诊断

重症肺炎;Ⅱ型呼吸衰竭;肺性脑病;(双侧)胸腔积液;慢性阻塞性肺疾病急性加重;心功能不全;心肌酶谱异常;肝功能不全

7. 入院后重要辅助检查

  • 血常规+CRP:白细胞计数7.11×109/L中性粒细胞百分比84.3%),血红蛋白142 g/L淋巴细胞计数0.46×109/L),血小板计数101×109/L

  • C反应蛋白39.7 mg/L,降钙素原0.04 ng/ml,红细胞沉降率3 mm/h

  • 生化:丙氨酸氨基转移酶67 IU/L),天门冬氨酸氨基转移酶线粒体同工酶6 IU/L天门冬氨酸氨基转移酶53 IU/L),白蛋白26 g/L),尿素氮8.8 mmol/L),肌酐88 μmol/L144 mmol/L3.35 mmol/L),104 mmol/L

  • 凝血检查:纤维蛋白降解产物55.8 mg/L),D-二聚体定量18.20 mg/L)。

  • 氨基末端B型利钠肽前体4962.0 pg/ml)。

  • 高敏肌钙蛋白I 46.8 pg/ml

  • 尿常规:蛋白质阳性(+),便常规+便潜血阴性

二、诊疗经过

入院后气管插管接呼吸机控制通气治疗(P-A/C模式,吸气压力20 cmH2O,FiO2 45%,PEEP 6 cmH2O),咪达唑仑注射液镇静、环泊酚注射液镇静、头孢曲松2.0 g qd、左氧氟沙星氯化钠注射液0.5 g qd抗感染,甲强龙40 mg qd抗炎平喘,雾化解痉,化痰、护胃、预防性抗凝、纠正低蛋白血症、利尿、控制心室率、纠正电解质紊乱、通便、肠内营养支持等对症治疗,完善电子支气管镜检查并送检tNGS。期间因心脏射血分数低、心功能不全请心内科会诊后考虑“射血分数降低型心力衰竭”,加用立西呱2.5 mg qd、达格列净5 mg qd治疗,治疗后复查心脏彩超射血分数较前改善,1017床边心超检查:左室射血分数约44%,左室增大。

10月10日送检肺泡灌洗液(10月12日结果回报)tNGS提示为木糖氧化无色杆菌(序列数192相对丰度0.13%1012日开始经验性给予美罗培南1.0 g q8h抗感染治疗,之后的痰培养药敏结果回报(图3支持目前抗感染治疗方案。

图片

3  气管镜灌洗液培养结果

10月13日口插管接呼吸机辅助通气支持(PSV模式FiO2 45%PEEP 6  cmH2O,吸气压力20 cmH2O),逐渐降低呼吸机参数,按需吸痰,血气分析PaCO2波动43~64 mmHg之间,氧合稳定,10月16拔除气管内插管。拔管后日间鼻导管吸氧与夜间无创呼吸机辅助通气ST模式交替治疗

10月17日复查血气分析PaCO2升至79 mmHg,调节无创呼吸机参数并延长无创呼吸机使用时间后动态监测血气分析PaCO2波动于53~65 mmHg之间,定期床边支气管镜气道廓清及康复治疗

患者病情好转并于10月23日办理出院,院外继续口服药物巩固及家庭无创呼吸机辅助通气治疗治疗,出院1个月后门诊随访病情稳定。

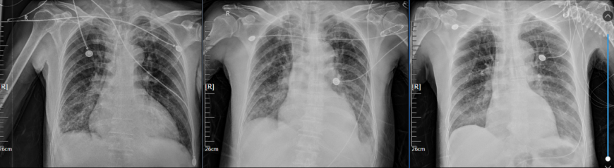
患者治疗期间床旁胸片变化见图4。

图片

4  患者床旁胸片变化情况

注:从左到右依次为10月7日、10月13日、10月17日床旁胸片。

讨论

本文报告一例老年男性患者,其患有支气管哮喘、呼吸衰竭基础疾病,未正规诊治,入急诊后检查心脏彩超异常,痰培养结果显示木糖氧化无色杆菌感染,根据药敏试验选用美罗培南抗感染治疗,患者得到及时有效治疗,预后良好。

木糖氧化无色杆菌是一种广泛分布于自然环境中的需氧、非乳糖发酵的革兰氏阴性杆菌,属于机会性致病菌,免疫功能低下或患有免疫缺陷相关基础疾病的人群对此菌尤为易感,可引发多种感染,包括肺炎、脓毒血症、心内膜炎、脑膜炎等。木糖氧化无色杆菌对多种抗生素表现出耐药性,包括喹诺酮类、广谱β-内酰胺类、氨曲南和氨基糖苷类[1] ,可导致住院时间延长、发病率和死亡率上升,并使抗感染治疗面临挑战,故木糖氧化无色杆菌感染的管理,需要以药敏试验为指导进行恰当的抗生素治疗,并对并发症进行密切监测。在本例中培养结果证实了木糖氧化无色杆菌对包括β-内酰胺类和喹诺酮类在内的多种抗生素耐药。

木糖氧化无色杆菌的固有耐药性主要涉及两种机制:其一为染色体编码的β-内酰胺酶(如OXA-114)可水解青霉素类和头孢菌素类等β-内酰胺抗生素,使其失效;其二为细菌通过表达外排泵蛋白(如AxyABM、AxyXY-OprZ和AxyEF-OprN)将氨基糖苷类等抗生素泵出细胞外,阻止其到达作用靶点[2]。木糖氧化无色杆菌菌株固有的生物膜形成能力加剧了其抗菌药物耐药性和毒力,使治疗进一步复杂化[3,4],并且在其感染治疗过程中常出现抗生素耐药,此时需要调整方案,选用敏感性更强的药物,而在此病例中两次痰培养药敏结果均有变化,因此密切监测药物敏感性并采取恰当的抗生素治疗对控制此类感染至关重要。

法国一项回顾性病例对照研究对36成年患者进行了调查,结果表明,木糖氧化无色杆菌的分离(至少有一份痰液培养结果为阳性)与呼吸功能显著下降以及更多的病情加重事件有关,而与未感染木糖氧化无色杆菌的对照型囊性纤维化患者相比,感染患者情况更为严重[5]。在此病例中,准确的微生物学鉴定、针对性的全身抗生素治疗以及气道管理,对于患者获得良好预后具有重要作用。

向下滑动查看


参考文献

[1] Magallon A, Amoureux L, Garrigos T, et al. Role of AxyABM. Overexpression in acquired resistance in Achromobacter xylosoxidans[J]. J Antimicrob Chemother, 2022, 77(4):926-929. 

[2] Chalhoub H, Kampmeier S, Kahl BC, et al. Role of efflux in antibiotic resistance of Achromobacter xylosoxidans and Achromobacter insuavis isolates from patients with cystic fibrosis[J]. Front Microbiol, 2022, 13:762307. 

[3] Donderski R, Grajewska M, Mikucka A, et al. Achromobacter xylosoxidans relapsing peritonitis and Streptococcus suis peritonitis in peritoneal dialysis patients: a report of two cases[J]. Case Rep Nephrol, 2018, 2018:9454520. 

[4] Tsai JL, Tsai SF. Case report: the first case of Achromobacter xylosoxidans-related tunnel infection in a patient receiving peritoneal dialysis[J]. Medicine, 2017, 96(16):e6654.

[5] Tetart M, Wallet F, Kyheng M, et al. Impact of Achromobacter xylosoxidans isolation on the respiratory function of adult patients with cystic fibrosis[J]. ERJ Open Res, 2019, 5(4):00051-2019.


作者介绍

图片

董彩平

山西省朔州市大医院呼吸与危重症医学科主治医师,硕士研究生毕业,上海交通大学医学院附属瑞金医院PCCM专修学员


图片

冯耘

上海交通大学医学院附属瑞金医院主任医师,博士研究生导师,上海交通大学医学院副研究员,美国杜克大学访问学者中国医师协会呼吸医师分会危重症青年委员会委员,中国医药教育协会感染疾病专业委员会委员,上海市医学会呼吸病学专科分会青年委员会委员,上海市医学会呼吸病学专科分会重症学组副组长曾获上海市人才培养计划,上海市优秀专科医师及上海交通大学医学院九龙医学奖获得4项国家自然基金及科技部重点项目子课题资助,发表相关SCI文章40余篇,第一完成人专利2项,参与编写专业书籍4


图片

朱海星

上海交通大学医学院附属瑞金医院呼吸与危重症医学科主治医师,博士;中国肺癌防治联盟肺癌内镜筛查与诊治委员会委员;美国Vanderbilt大学访问学者;广慈卓越青年;目前主持国家自然青年基金1项,以第一作者或通讯作者发表SCI论文多篇,相关研究曾获得美国胸科医师大会旅行者奖。


图片

谢思敏

上海交通大学医学院附属瑞金医院呼吸与危重症医学科呼吸治疗师,上海市医学会呼吸病学专科分会呼吸治疗组委员,中国康复医学会会员,上海呼吸治疗联盟成员。

图片

声明:

本文仅用于学术领域的理论探讨与专业交流,不涉及任何商业推广、产品宣传等非学术用途,亦不作为临床诊疗活动中最终决策的依据。临床实践需根据患者的具体情况选择适宜的处理措施。


全部评论 0
Copyright©2020-2026 北京医麦斯科技有限公司 版权所有 京ICP备2020034400号-1 京公网安备11010502043983号