登录方式

方式一:
PC端网页:www.rccrc.cn
输入账号密码登录,可将此网址收藏并保存密码方便下次登录

方式二:
手机端网页:www.rccrc.cn
输入账号密码登录,可将此网址添加至手机桌面并保存密码方便下次登录

方式三:
【重症肺言】微信公众号
输入账号密码登录

注:账号具有唯一性,即同一个账号不能在两个地方同时登录。

登录
方式

为重症救治赋能

为患者康复加速

当前位置:首页 重症实战 病例集锦

CTD-ILD呼吸支持策略进展

陆蓉莉 中南大学湘雅医院呼吸与危重症医学科呼吸治疗中心 发布于2025-12-10 浏览 1557 收藏

作者陆蓉莉

单位中南大学湘雅医院呼吸与危重症医学科呼吸治疗中心


结缔组织病相关间质性肺病(CTD-ILD)是一组异质性强的弥漫性肺实质疾病,其临床结局较差,肺部受累是患者发病和死亡的主要原因之一。本文结合临床病例与最新研究证据,系统阐述CTD-ILD患者的呼吸支持策略,包括机械通气参数优化、俯卧位通气、体外膜肺氧合(ECMO)应用等关键技术要点,为临床实践提供参考。


一、病例



1. 一般情况

患者性,38岁未婚职员主诉:皮疹4月余,咳嗽3周,气促1天2025年3月收入中南大学湘雅医院RICU。

2. 现病史

2024年11月,患者出现眼睑及双手关节伸面紫红斑,未规范治疗。2024年12月,检查示抗Ro-52阳性,肺部CT双肺磨玻璃影,门诊诊断为皮肌炎,CTD-ILD,予甲泼尼龙片40 mg qd联合他克莫司胶囊1 mg bid治疗。2025年2月,患者受凉后出现咳嗽,无发热、气促等,未予规范治疗,咳嗽症状持续3周后突发气促,呼吸衰竭快速进展,转入本院RICU进一步救治。

3. 辅助检查

  • 抗体检查免疫球蛋白A 4790 mg/L,血沉51 mm/h,抗核抗体1:80(颗粒+胞浆颗粒型)

  • ANA谱Ro-52阳性,KL-6 1442.6 U/ml,肌炎抗体MDA5+Ro-52+。

  • 支气管肺泡灌洗液BALF)宏基因组二代测序(mNGS)检出耶氏肺孢子菌及巨细胞病毒(CMV)序列。

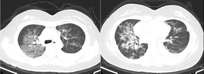
  • 肺部CT2025年2月27日):双肺磨玻璃样间质改变(图1)


图片


1  入院后患者肺部CT

4. 诊断

CTD-ILD(MDA5+);重症肺炎(耶氏肺孢子菌+CMV感染);型呼吸衰竭。

5. 治疗策略

1)基础治疗:入院后予甲泼尼松龙40 mg q12h抗炎,他克莫司胶囊1.5 mg bid调节免疫,复方磺胺甲唑片0.96 g tid抗感染,同时予对症支持及营养治疗。

2)呼吸支持调整:初始给予HFNC+清醒俯卧位,因氧合改善不佳且病情持续进展,改为IPPV联合俯卧位通气,但氧合仍未改善,遂启动静脉-静脉体外膜肺氧合(VV-ECMO)支持;通过电阻抗断层成像(EIT)滴定最佳呼气末正压(PEEP)为6 cmH₂O,避免高PEEP带来的不良影响。

6. 病情监测与临床特点

1)关键指标变化:患者氧合指数(PaO2/FiO2)呈快速下降趋势,入院第1天为145 mmHg,予以清醒俯卧位通气后,第3天仍降至84 mmHg,于是调整呼吸支持策略为充分镇静镇痛肌松情况下,气管插管有创呼吸支持联合俯卧位通气,在15 cmH2O PEEP下患者氧合反而降低,经EIT评估肺的可复张性为不可复张,PEEP反应差,滴定最佳PEEP为6 cmH2O。第5天PaO2/FiO2仍无改善,维持在88 mmHg;肺顺应性亦无明显改善,维持在11.5~11.7 ml/cmH2O,患者体温增高时氧合无法维持,家属抢救意愿强烈,遂予V-V ECMO支持治疗。同时予糖皮质激素,他克莫司、血浆置换等积极治疗,但患者肺顺应性持续降低,至第20天肺顺应性为2.6 ml/cmH2O;气道阻力维持在8~10.9 cmH2O/(L·s)之间(图2,图3)。考虑原发病治疗效果不佳,患者及家属无肺移植计划,最终因经济原因要求撤离ECMO并出院。


图片


2  患者氧合和肺顺应性变化趋势

1  监测患者呼吸功能核心指标


图片


2)临床核心特点:患者氧合功能迅速恶化,肺顺应性显著降低,肺可复张性差;俯卧位通气仅能短暂轻微改善氧合,整体效果有限;高PEEP治疗未带来获益,经EIT滴定确定低水平PEEP更适宜。



二、CTD-ILD临床特征与呼吸支持挑战



1. 疾病定义与临床特点

间质性肺疾病(ILDs)是一类影响肺泡上皮细胞、肺毛细血管内皮细胞及周围组织的异质性非肿瘤性弥漫性肺实质疾病。CTD-ILD作为其中重要亚型,常与特发性间质性肺炎(IIPs)表现相似,尤其当肺部为唯一受累器官时易混淆其常见病因包括皮肌炎、系统性红斑狼疮(SLE)、类风湿关节炎(RA)ANCA相关血管炎等继发肺部损伤。

CTD中,肺部受累是发病和死亡的主要原因之一ILDs患者机械通气死亡率高达75%~80%临床数据显示,CTD-ILD患者预后差异显著,不同亚型的ILD相关死亡率各不相同:RA患者为10%~20%,SLE患者达50%,而系统性硬化症(SSc)中ILD更是主要死亡原因。终末期CTD-ILD患者常表现为活动受限、呼吸衰竭等症状,肺移植有效治疗手段,5年生存率可提高至50%~60%。

2. 呼吸支持核心挑战

CTD-ILD患者的肺组织存在顺应性降低、可复张性差等病理特征,导致呼吸支持面临一定挑战:氧合功能迅速恶化,即使接受积极治疗仍可能持续下降;肺顺应性进行性降低,易发生呼吸机诱导的肺损伤(VILI);对高呼气末正压(PEEP)反应不佳,反而可能增加气压伤风险;俯卧位通气改善氧合效果有限;合并感染时病情进展更快,进一步加重呼吸衰竭。



三、CTD-ILD呼吸支持关键策略



1. PEEP选择

与急性呼吸窘迫综合征(ARDS)患者不同,CTD-ILD患者对高PEEP耐受性差。笔者团队研究发现,CTD-ILD患者机械通气时的最佳PEEP显著低于ARDS患者(P<0.01)。2007年一项观察性研究证实,慢性间质性肺病患者使用高PEEP会导致生存率降低。2023年Tonelli等的匹配对照研究进一步揭示,对于间质性肺炎急性加重(AE-ILD-UIP)患者,低PEEP策略(4~8 cmH2O)可以改善呼吸力学指标,而高PEEP会增加肺弹性阻力及跨肺驱动压,导致肺顺应性恶化。其机制可能与CTD-ILD患者肺组织高位拐点较低有关,高PEEP易导致肺泡过度膨胀。

在常规PEEP滴定方法,如临床广泛应用的表格法,根据FiO2调整PEEP水平,往往导致AE-ILD-UIP患者接受较高的PEEP水平,导致气压伤风险增加;最佳氧合法则受操作者临床经验影响,对初学者有较大挑战。而笔者团队发现EIT滴定PEEP对于初学者易于掌握,无明显操纵者差异,因此推荐对于AE-ILD-UIP患者采用EIT滴定最佳PEEP。结合笔者团队经验及其他文献研究结果,AE-ILD-UIP患者最佳PEEP通常为6~8 cmH2O,避免盲目使用高PEEP。

2. 肺保护通气策略

鉴于CTD-ILD患者肺顺应性低、易发生VILI的特点,推荐采用肺保护通气策略:①潮气量目标设定为4~6 ml/kg理想体重;②适当增加呼吸频率,维持分钟通气量;③允许性高碳酸血症,维持动脉pH≥7.25。

3. 俯卧位通气

俯卧位通气通过改善肺通气/血流比例、减少肺重力依赖区压迫,可改善部分CTD-ILD患者的氧合状态。2018年Clin Respir J杂志发表的一项回顾性研究显示,在ILD急性加重期间,俯卧位通气可能会改善氧合并部分改善患者的血流动力学参数。

4. ECMO

ECMO作为严重呼吸衰竭的终极支持手段,在CTD-ILD中的应用需严格筛选病例。2016年Am J Respir Crit Care Med 杂志发表的一项回顾性研究显示,ECMO适用于原发疾病可治疗或等待肺移植的患者:其中,接受肺移植的CTD-ILD患者中,83.3%可顺利出院;未接受肺移植的患者,93.3%在ECMO支持40.3±27.8天后死亡。该研究认为,ECMO无法逆转不符合肺移植条件患者的不良预后。

临床应用建议:对于MDA5阳性等预后较差的亚型,ECMO支持效果有限;而对于感染诱发的急性加重或具备肺移植条件的患者,可早期考虑ECMO支持,为治疗或移植争取时间。

5. 吸入一氧化氮(iNO)

iNO在间质性肺病中的应用效果有限。2024年Ann Am Thorac Soc 杂志发表的一项为期16周的双盲随机试验显示,iNO45组(iNO为每小时45 μg/kg理想体重)和安慰剂组在中高强度体力活动(MVPA)、总体活动、6分钟步行距离、患者报告结局等方面均无显著差异,但iNO耐受性良好,无严重不良事件(常见不良事件为呼吸道感染)。因此,iNO可作为部分患者的辅助治疗选择,但不推荐作为常规治疗。

6. 无创呼吸支持选择

2023年Can J Respir Ther 杂志发表的一篇Meta分析显示,NPPV或HFNC在改善ILD合并急性呼吸衰竭患者的氧合方面优于常规氧疗,但在改善PaCO2方面无显著差异,两者在降低插管率和院内死亡率方面效果相当。

2018年Respiration杂志发表了一项单中心回顾性研究,对比了HFNC与NPPV在ILD患者缺氧性呼吸衰竭中的疗效差异。研究对象为使用HFNC或NPPV治疗ILD相关的缺氧性呼吸衰竭且放弃插管有创通气的患者。结果发现,对于拒绝插管患者,HFNC耐受性优于NPPV,可有效改善呼吸频率,且允许患者进食和交流;NIPPV在改善氧合方面略优于HFNC,二者的生存率相当。

2020年罗祖金教授等研究对比了接受机械通气的特发性肺纤维化(IPF)和CTD-ILD患者的死亡率及ICU死亡的风险因素,结果发现:对于接受机械通气的IPF合并急性呼吸衰竭患者,其死亡率高达86%(高于CTD-ILD患者)。因此,对于IPF急性加重患者,需谨慎评估有创通气的必要性。

7. ICU中ILD患者管理要点(图3)

ILD是一组以肺间质炎症和纤维化为主要特征的疾病,一旦进展至呼吸衰竭阶段,需从病因、呼吸支持、器官功能等多维度综合管理。


图片


3  ICU中ILD患者的管理流程图

第一,ILD患者在ICU中需首先排除非肺实质因素导致的病情加重,例如:心功能不全、肺栓塞、药物不良反应(如某些免疫抑制剂导致的肺损伤)等。

第二,判断是否为ILD急性加重(即病情短期内快速恶化,排除感染等其他诱因),管理措施包括:糖皮质激素±额外免疫抑制剂,通过抑制免疫炎症反应控制急性加重;同时排查并治疗潜在感染;维持负液体平衡,减轻肺间质水肿,改善肺顺应性;评估是否合并肺动脉高压。

第三,低氧血症的管理。针对ILD患者的低氧血症,呼吸支持策略按优先级选择:①首选HFNC,能改善氧合且患者耐受性较好;②若合并高碳酸血症(二氧化碳潴留),采用NIV;③若需有创机械通气,采用小潮气量+低PEEP——因ILD患者肺顺应性差,高PEEP易导致肺过度膨胀或气压伤;④俯卧位通气,通过改善肺通气分布来提升氧合。

第四,若ILD患者进展至终末期,评估为肺移植候选者时,可将ECMO作为桥梁,维持生命支持直至肺移植手术。



四、总结


CTD-ILD因肺顺应性降低、可复张性差, 对机械通气提出挑战。呼吸支持方面, HFNC和NIV作用有限, 有创通气常伴不良结局, 尤其对于不考虑肺移植的患者。ILD患者的呼吸支持管理需平衡生命维持干预与早期姑息治疗, 确保与患者生活质量目标一致。其通气策略证据多基于观察性研究, 强调个体化、病理生理学驱动的方法, 建议采用肺保护通气策略, 潮气量4~6 ml/kg、低PEEP, 尝试俯卧位通气, 不建议肺复张; 若原发疾病可治疗, 可早期使用ECMO实施肺保护; 对于拒绝插管患者, HFNC的效果可能优于NPPV。整体管理需在呼吸支持、原发病干预及患者意愿间精准权衡, 以获得最佳预后。

向下滑动查看


参考文献

[1] Koo SM, Uh ST. Treatment of connective tissue disease-associated interstitial lung disease: the pulmonologist's point of view[J]. Korean J Intern Med, 2017, 32(4):600-610. 

[2] Volkmann ER, Tashkin DP. Treatment of Systemic Sclerosis-related Interstitial Lung Disease: A Review of Existing and Emerging Therapies[J]. Ann Am Thorac Soc, 2016, 13(11):2045-2056.

[3] Lammi MR, Baughman RP, Birring SS, et al. Outcome Measures for Clinical Trials in Interstitial Lung Diseases[J]. Curr Respir Med Rev, 2015, 11(2):163-174. 

[4] Fernández-Pérez ER, Yilmaz M, Jenad H, et al. Ventilator settings and outcome of respiratory failure in chronic interstitial lung disease[J]. Chest, 2008, 133(5):1113-1119. 

[5] Tonelli R, Grasso S, Cortegiani A, et al. Physiological effects of lung-protective ventilation in patients with lung fibrosis and usual interstitial pneumonia pattern versus primary ARDS: a matched-control study[J]. Crit Care, 2023, 27(1):398. 

[6] Marchioni A, Tonelli R, Rossi G, et al. Ventilatory support and mechanical properties of the fibrotic lung acting as a "squishy ball"[J]. Ann Intensive Care, 2020, 10(1):13.

[7] Xu Y, Sun Q, Yu Y, et al. Prone position ventilation support for acute exacerbation of interstitial lung disease?[J]. Clin Respir J, 2018, 12(4):1372-1380. 

[8] Trudzinski FC, Kaestner F, Schäfers HJ, et al. Outcome of Patients with Interstitial Lung Disease Treated with Extracorporeal Membrane Oxygenation for Acute Respiratory Failure[J]. Am J Respir Crit Care Med, 2016, 193(5):527-533. 

[9] Nathan SD, Rajicic N, Dudenhofer R, et al. Inhaled Nitric Oxide in Fibrotic Lung Disease: A Randomized, Double-Blind, Placebo-controlled Trial[J]. Ann Am Thorac Soc, 2024, 21(12):1661-1669.

[10] Sanguanwong N, Jantarangsi N, Ngeyvijit J, et al. Effect of noninvasive respiratory support on interstitial lung disease with acute respiratory failure: A systematic review and meta-analysis[J]. Can J Respir Ther, 2023, 59:232-244. 

[11] Koyauchi T, Hasegawa H, Kanata K, et al. Efficacy and Tolerability of High-Flow Nasal Cannula Oxygen Therapy for Hypoxemic Respiratory Failure in Patients with Interstitial Lung Disease with Do-Not-Intubate Orders: A Retrospective Single-Center Study[J]. Respiration, 2018, 96(4):323-329.  

[12] Luo Z, Yang L, Liu S, et al. Mechanical ventilation for acute respiratory failure due to idiopathic pulmonary fibrosis versus connective tissue disease-associated interstitial lung disease: Effectiveness and risk factors for death[J]. Clin Respir J, 2020, 14(10):918-932. 

[13] Dhanani Z, Gupta R. The Management of Interstitial Lung Disease in the ICU: A Comprehensive Review[J]. J Clin Med, 2024, 13(22):6657.


作者介绍

图片

陆蓉莉

中南大学湘雅医院,呼吸治疗师,医学博士;国家慢病防治办公室肺功能技术工作组副组长,中国肺功能联盟肺功能检查规范化培训导师,湖南省防痨协会呼吸重症专业委员会常务委员,湖南省呼吸治疗联盟副主席,湖南省呼吸危重症联盟秘书;参与国家级科研课题3项,主持省级课题1项,发表论文8篇,专利2项,参编专家共识4部,编写和翻译呼吸治疗著作6部。
图片


声明:

本文仅用于学术领域的理论探讨与专业交流,不涉及任何商业推广、产品宣传等非学术用途,亦不作为临床诊疗活动中最终决策的依据。临床实践需根据患者的具体情况选择适宜的处理措施。




全部评论 0
Copyright©2020-2026 北京医麦斯科技有限公司 版权所有 京ICP备2020034400号-1 京公网安备11010502043983号