登录方式

方式一:
PC端网页:www.rccrc.cn
输入账号密码登录,可将此网址收藏并保存密码方便下次登录

方式二:
手机端网页:www.rccrc.cn
输入账号密码登录,可将此网址添加至手机桌面并保存密码方便下次登录

方式三:
【重症肺言】微信公众号
输入账号密码登录

注:账号具有唯一性,即同一个账号不能在两个地方同时登录。

登录
方式

为重症救治赋能

为患者康复加速

当前位置:首页 重症实战 病例集锦

心梗+脑梗+肾衰,叠加8种致病菌“组团”攻击!一场跨越52天的ICU生命保卫战

张灿堂,姜威振 徐州医科大学附属医院呼吸科重症监护室(RICU) 发布于2025-12-10 浏览 1246 收藏

作者:张灿堂,姜威振

单位:徐州医科大学附属医院呼吸科重症监护室(RICU)

一、病例介绍

1. 基本信息

患者男性,55岁,体重75 kg,电力工程公司职员,“发热伴咳嗽3天,意识模糊、言语不清5小时”于2025年4月25日入住RICU。

2. 现病史

患者入室3天前无明显诱因出现发热、咳嗽、咳粉红色痰液,伴有臭味,测体温自我判读为发热,具体不详,无畏寒、寒战,自服“快克、清开灵”治疗,未见明显好转。入室5小时前患者同事发现其出现言语不清、四肢乏力、意识模糊,无二便失禁,无晕厥,遂送至我院急诊,患者吸氧下SpO2 95%(吸氧浓度不详),完善相关检查:心肌酶及心衰标志物:hs-cTnT 252 ng/L,Myo 193 ng/ml,NT-proBNP 5023 pg/ml;血常规示:WBC 10.7×109/L,Lym 0.5×109/L;生化:肌酐238 μmol/L,肾小球滤过率32.42 ml/min;心电图提示急性前壁心肌梗死;头颅CT示多发性脑梗死;胸部CT示右肺中上叶渗出影,部分实变。我科会诊后,考虑患者病情危重收住RICU。

3. 既往史

高血压病史3年,血压最高200/120 mmHg,口服缬沙坦片80 mg qd。1年前患"小脑梗死",保守治疗,无后遗症,间断口服阿司匹林肠溶片100 mg qn,阿托伐他汀钙片20 mg qn,尼麦角林片20 mg tid;1年前体检行心电图检查提示"心肌梗死", 未行造影确认。否认肝炎、结核等传染病病史,否认糖尿病、癫痫等慢性病病史,20年前"右上肢外伤"手术史。否认输血史,否认食物、药物过敏史,预防接种史不详。

4. 个人史

否认吸毒史,否认冶游史,饮酒20年,以饮用白酒为主,平均每天250 ml白酒(摄入酒精80~100 g),未戒酒。

5. 入院查体

体温39.2℃,脉搏119次/分,呼吸38次/分,血压143/102 mmHg,SpO2 96%(HFNC,Flow 50 L/min,FiO2 50%)

6. 辅助检查

头颅CT+CTP2025-04-25):多发性脑梗、部分软化灶。颅脑动脉粥样硬化性改变,左侧大脑中动脉M1段、右侧大脑后动脉P2段局部管腔约中度狭窄;左侧椎动脉颅内段显影浅淡;左侧大脑前动A1段管腔纤细发育变异?),A2段以远显影不明确。CTP提示左侧额叶较对侧灌注稍减低。

心电图:Ⅱ、Ⅲ、aVF、V1~4导联异常q/Q波,提示下壁心肌梗死,怀疑前间壁心肌梗死、前壁心肌梗死。

凝血功能:活化部分凝血活酶时间34.6 s纤维蛋白4.860 g/L,D-二聚体3.66 μg/ml肌酐238 μgmol/L

心肌酶谱:hs-cTnT 252 ng/L,Myo 193 ng/ml,NT-proBNP 5023 pg/ml。

血常规:WBC 10.7×109/L,Lym 0.5×109/L。

炎症指标:hs-CRP 252 mg/L;PCT 29.3 ng/ml。

生化:AST 92 U/L,ALT 69 U/L,肌酐238 μmol/L,肾小球滤过率32.42 ml/min。

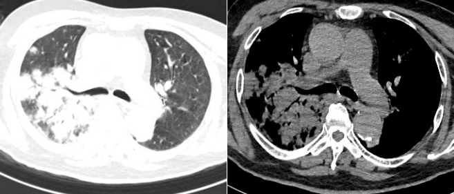
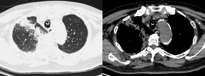
胸部CT(2025-04-23):右肺中上叶渗出,部分实变。右主支气管及右肺上叶支气管内多发黏液栓形成;两肺多发索条影;纵隔内稍大淋巴结;主动脉、冠状动脉硬化(图1)

图片
图片
图片
图片

1  患者入院胸部CT2025-04-23)

心脏超声:射血分数28%,左室壁运动幅度普遍减低,左心功能明显减低,左心增大。

二、诊疗经过

入院后予亚胺培南西司他丁+利奈唑胺抗感染,氨溴索化痰,阿司匹林及氯吡格雷抗血小板,他汀类药物调脂,单硝酸异山梨酯扩冠,双环醇保肝,黄葵胶囊、肾康注射液保肾,呋塞米、螺内酯及达格列净改善心功能,胸腺法新增强免疫,达肝素预防血栓。

患者氧合水平差,痰量多且无法自主咳痰,4月27日予气管插管行正压通气。

4月26日(标本采集时间为4月26日)痰液17项病原学PCR:金黄色葡萄球菌(+)、mecA(+)、肺炎克雷伯菌(+)、流感嗜血杆菌(+)。

4月28日(标本采集时间为4月26日)血液mNGS(序列数)回报:嗜肺军团菌(456)、粪肠球菌(18)、人类疱疹病毒4型(262)、JC多瘤病毒(5)。

4月28日(标本采集时间为4月26日痰液tNGS(序列数)回报:鲍曼不动杆菌(160730)、金黄色葡萄球菌(132497)、流感嗜血杆菌(1582)、无乳链球菌(1282)、粪肠球菌(368)、肺炎克雷伯菌(258)、嗜肺军团菌(176)、烟曲霉(7462)、黄曲霉复合群(74);耐药基因:OXA-23(740)、mecA(196)、ErmB(64)、blaSHV(3)。

4月28日(标本采集时间4月26日)回报痰培养阴性。

患者每日大量黄脓痰,护士每2小时吸痰一次,每次均吸出大量痰液。因患者有急性心梗,为气管镜检查相对禁忌,暂未行气管镜检查。结合病原学结果,肌酐清除率约33 ml/min(<50 ml/min),不宜使用伏立康唑静脉制剂,重症患者口服伏立康唑片效果不能保证,考虑患者病情危重,4月28日调整抗感染方案,予艾沙康唑覆盖曲霉,奥马环素覆盖嗜肺军团菌,亚胺培南西司他丁覆盖鲍曼不动杆菌、流感嗜血杆菌、肺炎克雷伯菌、无乳链球菌等,利奈唑胺覆盖MRSA肠球菌在肺内通常不致病,但是血粪肠球菌是致病菌,以上用药已经覆盖血粪肠球菌。患者入院后经验性使用亚胺培南西司他丁+利奈唑胺治疗3天,PCT较前显著下降4月26日:PCT 31.7 ng/ml,CRP 255.6 mg/L;4月29日:PCT 3.7 ng/ml,CRP 123.9 mg/L)。患者近1年未接触医疗及康养机构,无抗生素、激素及免疫制剂应用史,暂不考虑耐碳青霉烯类鲍曼不动杆菌(CRAB)。

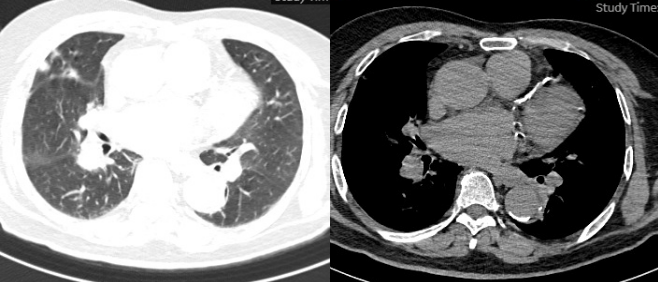
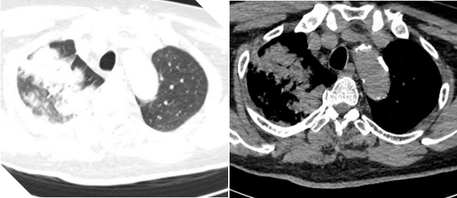
4月29日复查胸部CT如图2所示。

图片
图片
图片
图片

2 复查胸部CT2025-04-29)

4月29日心肌酶下降后予以气管镜检查:左主远端及各级分支管腔内可见较多脓性分泌物(图3)

图片

3  气管镜检查(2025-04-29)

患者入院后1周体温、淋巴细胞及PCT变化情况如图4和图5所示。

图片

4  患者入院第1周体温变化情况

图片
图片

5  患者入院第1周淋巴细胞和PCT变化情况

4月30日复查气管镜:大量脓性分泌物,气道充血糜烂。图6所示为气管镜吸痰后照片。

图片

6  气管镜后吸痰

此后1周每日予以气管镜气道廓清,均吸出大量黄痰,痰量减少后间断气管镜吸痰,住院期间共行气管镜吸痰14次。

4月30日肺泡灌洗液(BALF)GM试验结果为2.8。

5月1日BALF培养出CRAB(MIC)4月29日送检):多西环素(≤0.5)、米诺环素(≤1)、替加环素(≤0.5)、依拉环素(0.5)、多黏菌素(2)。

5月1日(标本采集时间为4月29日)BALF tNGS(序列数):鲍曼不动杆菌(317445)、烟曲霉(158),耐药基因OXA-23(1167)。

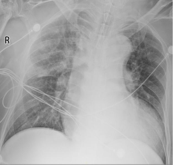
5月3日胸片:双肺渗出(图7)

图片

7  患者胸片(2025-05-03)

经调整药物覆盖MRSA、碳青霉烯敏感鲍曼不动杆菌、流感嗜血杆菌、肺炎克雷伯菌、无乳链球菌及曲霉后,患者痰量、炎症指标以及体温下降,然而5月2日患者体温复升(图4)结合患者4月28日痰液tNGS(4月26日采集标本)查到鲍曼不动杆菌(序列数160730),耐药基因OXA-23(序列数740,提示CRAB可能),5月1日(标本采集时间4月29日)BALF查见鲍曼不动杆菌(序列数317445),耐药基因OXA-23(序列数1167)。5月1日(4月29日采集标本)BALF培养出CRAB,患者长期饮酒,淋巴细胞计数水平自入院时水平明显下降,且目前痰量仍相当多,考虑到患者免疫功能差,其他病原体逐渐控制后,CRAB成为致病菌,5月1日调整抗感染方案为多黏菌素B(75 mg q12h)联合替加环素(100 mg q12h)抗CRAB,兼顾军团菌、金黄色葡萄球菌、肺炎克雷伯菌等,继续艾沙康唑抗曲霉。

5月5日复查气管镜:大量黄色黏性分泌物,呈拉丝状,吸除后可见黏膜明显充血、水肿(图8)

图片

8  复查气管镜(2025-05-05)

5月5日BALF培养出CRAB(MIC):多西环素(≤0.5)、米诺环素(≤1)、替加环素(≤0.5)、依拉环素(0.25)、多黏菌素(1)

5月7日(5月5日采集标本)血mNGS(序列数):鲍曼不动杆菌(17498)、肺炎克雷伯菌(138)、嗜肺军团菌(7)、人类疱疹病毒4型(145)、JC多瘤病毒(46);耐药基因:blaOXA-23(26)、blaNDM(1)。

5月7日肺泡灌洗液tNGS(序列数):鲍曼不动杆菌(307267)、金黄色葡萄球菌(15)、肺炎克雷伯菌(8)、嗜肺军团菌(2)、烟曲霉(15)、白色念珠菌(5);耐药基因blaOXA-23(858)。

患者仍反复发热(图9)PCT及CRP也高于正常水平(图10)

图片

9  患者入院第2周体温变化情况

图片
图片

10  患者入院第2周PCT和CRP变化情况

入院后第2天(4月26日)采集痰行NGS检查,查见鲍曼不动杆菌及OXA-23耐药基因,同一天采集的血NGS未查见鲍曼不动杆菌。

4月29日采集的BALF查见鲍曼不动杆菌及OXA-23耐药基因。5月1日BALF培养出CRAB。患者5月5日采集的血送NGS查见高序列数CRAB(提示CRAB由肺入血),5月1日调整抗感染方案包含替加环素+多黏菌素B覆盖CRAB后仍反复发热,气管镜下仍见很多黄脓痰,且NGS提示CRAB已入血。

2025年5月7日调整抗感染方案为替加环素+多黏菌素B+舒巴坦(9 g维持24 h)抗CRAB,同时兼顾肺炎克雷伯菌及军团菌等,继续艾沙康唑抗曲霉。

因患者凝血功能恶化,APTT时间延长趋势(图11)5月9日停用替加环素,改为米诺环素200 mg q12h联合多黏菌素B+舒巴坦+艾沙康唑。患者PCT及CRP变化如图12所示。

图片

11  患者入院第2周APTT变化情况

图片
图片

12  调整治疗方案后PCT和CRP变化情况

5月10日复查床边气管镜: 大气道内仍可见较多黄色黏性分泌物, 吸引后呈拉丝状(图13)

图片

13  复查气管镜(2025-05-10)

患者热峰升高(图14)

图片

14  患者入院第3周体温变化情况

5月10日(5月6日送检)双瓶需氧菌血培养均查见CRAB(MIC):多西环素(1)、米诺环素(≤1)、替加环素(1)、依拉环素(2R)、多黏菌素(8 R)。

5月10日(5月8日送检)BALF培养查见CRAB(MIC):多西环素(≤0.5)、米诺环素(≤1)、替加环素(≤0.5)、依拉环素(0.19)、多黏菌素(2 S)。

国内外指南推荐大剂量舒巴坦联合多黏菌素或替加环素/米诺环素或头孢地尔等治疗CRAB。该患者多黏菌素、替加环素(序贯米诺环素)、大剂量舒巴坦联合治疗效果差,5月10日(5月6日送检)双瓶血培养示CRAB对替加环素、多西环素、米诺环素敏感,对依拉环素、多黏菌素耐药,且四环素类药代动力学决定其治疗血流感染效果不佳。

2024年IDSA指南推荐舒巴坦/度洛巴坦为治疗CRAB首选,建议舒巴坦/度洛巴坦联合亚胺培南西司他丁/美罗培南同步抗感染。舒巴坦/度洛巴坦说明书适应证为CRAB所致的医院获得性细菌性肺炎(HABP)及呼吸机相关性细菌性肺炎(VABP)。舒巴坦和度洛巴坦均为小分子化合物,分布容积较低,血浆蛋白结合率低,血浆中浓度较高;舒巴坦和度洛巴坦在肺泡上皮衬液中的暴露量分别是血浆总暴露量的50%和37%。故尝试该药兼治CRAB肺部感染及血流感染,联系微生物室纸片法舒巴坦/度洛巴坦药敏结果为22 mm敏感。故于2025年5月11日将方案调整为舒巴坦/度洛巴坦(至2025年5月21日)联合比阿培南(亚胺培南西司他丁缺货)治疗CRAB及兼顾肺炎克雷伯菌等细菌,同时多黏菌素E雾化(75 mg q12h, BALF CRAB对多黏菌素敏感, MIC=2), 艾沙康唑继续治疗曲霉感染。军团菌已治疗15天,停用四环素类药物。

患者插管时间长,存在心梗、心衰、肝肾功能不全等多种合并症,减镇静患者不配合,躁动明显,影响脏器功能恢复,短期内无法脱机。拟联系耳鼻喉科行暂时性气管切开术置管进行正压通气,停用抗血小板药物后,患者心肌酶再度升高,5月13日检测hs-TnT 847 ng/L(图15),经评估后无法气切。继续抗血小板聚集、保护心肌、延缓心室重塑。

图片

15  患者hs-TnT变化情况

5月13日因患者转氨酶严重升高,考虑为艾沙康唑副作用,改为两性霉素B胆固醇硫酸酯复合物(ABCD)。

图片

16  患者AST变化情况

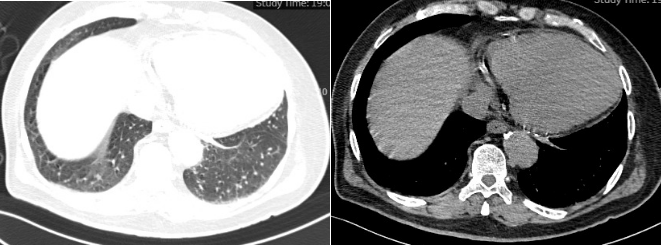
5月14日和5月20日复查胸片(图17)

图片

17  复查胸片

以舒巴坦/度洛巴坦为基础的抗感染方案应用后患者热峰较前下降(图18)

图片

18  患者入院第4周与第3周时相比热峰下降

5月20日血液mNGS(序列数)回报:鲍曼不动杆菌(346),粪肠球菌(7),烟曲霉(14),人类疱疹病毒4型(36)。

5月20日BALF tNGS(序列数)回报:鲍曼不动杆菌(15569),屎肠球菌(5266),粪肠球菌(240),肺炎克雷伯菌(1000),烟曲霉(1728),白色念珠菌(1387)。

5月21日舒巴坦/度洛巴坦应用10天后,考虑治疗有效以及经济原因,方案调整为哌拉西林他唑巴坦+舒巴坦(3 g q8h,维持24 h)+ABCD。

患者入院第5周,体温一度趋于稳定(图19)5月26日患者心肌酶、肝肾功能好转后行气管切开术。术后肌钙蛋白显著升高,最高达2657 ng/ml,考虑再次心梗,联系心内科会诊无法行经皮冠脉介入术(PCI),予调脂稳斑、扩冠、硫酸氢氯吡格雷抗血小板聚集以及达肝素钠抗凝。

图片

19  患者入院第5周体温变化情况

图片
图片
图片

20  气管切开术后患者hs-TnT、CRP、PCT变化情况

5月27日真菌培养:光滑念珠菌,药敏(MIC):两性霉素B敏感(0.5),卡泊芬净敏感(0.06),伏立康唑WT(0.12)。

5月30日tNGS(因再次心梗未行气管镜检查)(序列数):屎肠球菌(135290),肺炎克雷伯菌(2482),鲍曼不动杆菌(2629),嗜麦芽窄食单胞菌(1094),光滑念珠菌(9340),烟曲霉(58);耐药基因:CTX-M(25)、SHV(7)、OXA-23(3)。

5月30日血mNGS(序列数):鲍曼不动杆菌(24),屎肠球菌(33),烟曲霉(1)。

NGS新检出嗜麦芽窄食单胞菌,5月30日抗感染方案调整为头孢哌酮舒巴坦3 g q8h+舒巴坦2 g q8h治疗CRAB,头孢哌酮舒巴坦覆盖肺炎克雷伯菌,头孢哌酮舒巴坦联合复方磺胺甲噁唑(coSMZ)覆盖嗜麦芽窄食单胞菌,继续ABCD抗真菌治疗。肠球菌在肺内通常不致病,其引起肺炎极为罕见,但可导致血流感染。5月30日患者血mNGS查见屎肠球菌,6月3日患者CRP、PCT等炎症指标升高,结合血NGS查见屎肠球菌,加用利奈唑胺(因同时使用ABCD,考虑肾毒性问题,故未使用万古霉素),因病原学仍可见CRAB、嗜麦芽窄食单胞菌、肺炎克雷伯菌、曲霉,继续予头孢哌酮舒巴坦、舒巴坦、coSMZ、ABCD治疗。患者未再出现发热症状(图21)

图片

21  患者入院第6周体温变化情况

6月10日复查床边胸片,双肺渗出较前明显吸收(图22)

图片

22  复查胸片(2025-06-10)

患者神志好转、痰量明显减少、呼吸驱动平稳、胸部影像学较前吸收,心梗、心衰、肾衰、脑梗均得到改善,CPAP模式下患者呼吸平稳6月16日(共住院52天)与患者家属沟通病情后转至下级医院继续治疗。

患者住院治疗期间重要病原学与抗菌药物应用时间线见图23。

图片

23  重要病原学与抗菌药物应用时间

、思考与总结

本例社区获得性耐碳青霉烯类鲍曼不动杆菌(CRAB)重症肺炎患者的诊疗过程,为我们在重症监护环境下管理复杂多重耐药感染提供了宝贵的经验与深刻启示。

1. 快速病原学诊断气管镜肺泡灌洗、气道廓清的决定性优势

患者病程初期即表现为急性重症感染,在既往史及社区感染背景下,经验性广谱抗感染治疗成为初期必然选择。然而,传统微生物培养方法的固有滞后性常导致在明确病原学证据前患者病情持续恶化。本例中,NGS和PCR等分子诊断技术的高效性与精准性得到充分验证。这些技术能够迅速识别病原体种类及其耐药基因,显著缩短了诊断周期,结合传统培养技术对部分培养阳性病原体的药敏验证,促使临床决策从经验性广谱覆盖迅速转向精准靶向治疗。这不仅避免了不必要的广谱抗生素暴露,有效降低了耐药菌株的筛选压力,同时也减少了患者发生药物不良反应及菌群失调的风险。在CRAB这类治疗选择极其有限的超级细菌所致的重症肺炎中,快速诊断所带来的时间优势,直接转化为改善患者预后的关键因素。通过14次气管镜肺泡灌洗,精准获取了病原学标本;并借助持续的气道廓清,实现了痰液的充分引流,充分发挥了RICU的优势

2. 器官功能保护与个体化治疗的深度考量

患者在病程中呈现显著的肝肾功能障碍,对抗感染策略的制定构成严峻挑战。在选择抗生素时,除了考量抗菌谱和药敏结果,更需对其药代动力学、药效学特性以及潜在的器官毒性进行详尽评估。本病例中,初期艾沙康唑而非伏立康唑静脉制剂的选择,正是基于对患者肾功能状态的审慎考量,旨在规避不必要的肾脏负担。然而,随后艾沙康唑导致转氨酶升高、肝功能受损,治疗团队迅速切换至两性霉素B胆固醇硫酸酯复合物ABCD)国产ABCD因为工艺改进,实现了更精准的靶向递送,在显著降低肾毒性等严重不良反应的同时,保持了良好的疗效。这种以器官功能保护为前提的药物调整,以及对患者整体生理状态的动态监测,是重症医学个体化治疗理念的集中体现。抗生素的每次调整,均是基于病原学、药敏结果与患者器官功能状态的综合评估与精细权衡,最终目的在于确保治疗安全性的同时最大化疗效。

3. 社区获得性CRAB的临床特征及严峻性

据中国细菌耐药监测网(CHINET)2024年数据显示,在主要临床分离菌株中,鲍曼不动杆菌分离率排名第五(7.1%),对亚胺培南和美罗培南的耐药率分别高达64.5%和64.7%,提示其临床治疗面临严峻挑战。

鲍曼不动杆菌感染可分为医院获得性感染和社区获得性感染。尽管社区获得性鲍曼不动杆菌肺炎相对罕见,而CA-MDRAB肺炎则更为少见,其常出现于糖尿病、慢性阻塞性肺疾病(COPD)和酗酒等免疫功能受损患者中。本例患者有长期酗酒史,提示其免疫功能受损,这可能促进了鲍曼不动杆菌的定植与感染。患者于2025年4月25日入院,26日采集痰液行NGS检查,28日回报检出鲍曼不动杆菌(序列数160730)及OXA-23耐药基因(序列数740)。尽管检出OXA-23耐药基因提示可能为CRAB,但患者入院后予以亚胺培南西司他丁+利奈唑胺经验性抗感染治疗3天PCTCRP均较前显著下降(4月26日:PCT 31.7 ng/mlCRP 255.6 mg/L;4月28日:PCT 3.7 ng/mlCRP 123.9 mg/L)。同时,患者近1年未接触医疗及康养机构,无抗生素、激素及免疫抑制剂应用史。这种现象提示鲍曼不动杆菌可能存在基因型与表型耐药不一致性,或CRAB初期仅为定植菌。此后,BALF及血NGS、培养多次查见CRAB,且药敏结果出现不一致性(异质性耐药),提示其耐药谱的复杂性。在其他病原体获得控制后,CRAB逐渐演变为主要致病菌。相比医院获得性感染,社区获得性鲍曼不动杆菌感染往往进展迅猛,主要表现为重症肺炎,不论是否存在血液感染,患者常表现出快速进展的临床症状,如骤然发生的高热、呼吸窘迫、感染性休克、多器官功能衰竭等。本例患者起病急、进展迅速,临床表现及胸部影像学均符合重症肺炎诊断标准,并需气管插管正压通气治疗,充分体现了CA-CRAB重症肺炎的临床严峻性。

4. 舒巴坦/度洛巴坦在CRAB挽救性治疗中的意义免疫持续低下伴心肾衰竭患者中长疗程抗菌治疗的意义

鲍曼不动杆菌感染患者的合理治疗尤为关键。既往指南推荐以舒巴坦或其合剂为基础的联合用药治疗CRAB,如舒巴坦联合多黏菌素,或四环素类(替加环素、米诺环素、依拉环素等)和头孢地尔等。IDSA 2024指南已将舒巴坦/度洛巴坦推荐为CRAB感染的首选治疗方案之一。本例患者初次检测到耐药基因为OXA-23,初期药敏显示对多西环素、米诺环素、多黏菌素、依拉环素等敏感。然而,2025年5月10日双瓶需氧菌血培养报告CRAB(MIC):多西环素(1)、米诺环素(≤1)、替加环素(1),而依拉环素(2R)、多黏菌素8R)已显示耐药。这预示着继续使用多黏菌素或四环素类药物导致治疗失败。

舒巴坦/度洛巴坦作为新型β-内酰胺/β-内酰胺酶抑制剂组合,对碳青霉烯类耐药鲍曼不动杆菌(CRAB)具有显著优势。度洛巴坦通过抑制A、C、D类β-内酰胺酶,有效恢复了舒巴坦对CRAB的抗菌活性,体外敏感率超过90%。ATTACK 3期试验显示,舒巴坦/度洛巴坦非劣效于黏菌素,且显著降低了肾毒性发生率(13% vs 38%,P<0.001)。舒巴坦和度洛巴坦均为小分子化合物,分布容积较低,血浆蛋白结合率低,血浆游离药物浓度较高,在肺泡上皮衬液中的暴露量分别是血浆总暴露量的50%和37%,提示其在肺组织中渗透性良好,尤其适用于CRAB引起的重症肺炎,同时对血流感染亦有显著疗效。在四环素类药物不适宜治疗血流感染且多黏菌素已耐药大剂量舒巴坦联合多黏菌素及替加环素/米诺环素治疗失败的复杂局面下,挽救性应用舒巴坦/度洛巴坦后,患者热峰持续下降,炎症指标显著改善本例患者由于经济原因,舒巴坦/度洛巴坦应用10天后序贯为大剂量舒巴坦(9 g维持24小时),因BALF和血NG回报CRAB持续阳性,继续抗CRAB治疗25天,同时对新出现的病原体针对性治疗。根据我们既往的经验,对于此类免疫持续低下合并心肾衰竭、且CRAB持续阳性的极端危重患者,CRAB的治疗充满挑战,因生物被膜的存在,使得CRAB的根除极为困难,停药后容易导致感染复发,CRAB长疗程抗感染是非常必要的,需要根据病情谨慎停药,选择副作用较少且相对经济的舒巴坦是合适的。针对CRAB及曲霉的长疗程抗感染核心目标已从“病原体清除”转向“控制与共存”。通过持续的药物压制,将菌量控制在亚临床水平,旨在打破“感染加重—冲击心肾—免疫更差”的恶性循环,从而为免疫及心肾功能的恢复创造机会。

综上所述,本病例深刻阐明了在重症医学领域,面对复杂多重耐药菌感染(尤其是重症肺炎合并血流感染合并多器官功能衰竭时,反复气管镜精准获取病原学标本及气道廓清、快速及动态精准诊断、高度个体化的抗菌治疗方案、新型抗菌药物启用及序贯传统抗菌药物长程应用策略以及细致器官功能维护的重要性

图片

作者介绍

图片

张灿堂

徐州医科大学附属医院呼吸与危重症医学科,RICU负责人,硕士生导师,擅长呼吸系统疑难及危重症的诊治,亚专业方向为呼吸危重症及睡眠呼吸障碍,中国睡眠研究会第四届睡眠呼吸障碍专业委员会委员,江苏省医学会呼吸病学分会呼吸重症及机械通气学组委员江苏省医师协会呼吸医师分会呼吸重症学组委员江苏省生物医学工程学会体外诊断技术专委会委员江苏省老年学学会中西医结合诊疗专业委员会委员徐州市健康管理学会睡眠呼吸障碍专业委员会常务委员,徐州市免疫学会感染免疫专委会委员,徐州市免疫学会呼吸内镜专委会委员。


图片

姜威振

徐州医科大学附属医院呼吸与危重症医学科,RICU住院医师,毕业于苏州大学,获内科学硕士学位,从事呼吸ICU临床工作,专注于呼吸系统危重症的救治与管理。

声明:

本文仅用于学术领域的理论探讨与专业交流,不涉及任何商业推广、产品宣传等非学术用途,亦不作为临床诊疗活动中最终决策的依据。临床实践需根据患者的具体情况选择适宜的处理措施。

全部评论 0
Copyright©2020-2026 北京医麦斯科技有限公司 版权所有 京ICP备2020034400号-1 京公网安备11010502043983号