登录方式

方式一:
PC端网页:www.rccrc.cn
输入账号密码登录,可将此网址收藏并保存密码方便下次登录

方式二:
手机端网页:www.rccrc.cn
输入账号密码登录,可将此网址添加至手机桌面并保存密码方便下次登录

方式三:
【重症肺言】微信公众号
输入账号密码登录

注:账号具有唯一性,即同一个账号不能在两个地方同时登录。

登录
方式

为重症救治赋能

为患者康复加速

当前位置:首页 重症实战 病例集锦

气道破阻,循环护航:一例恶性气道狭窄急诊支气管镜介入及PICCO指导精准复苏

董佳楠,于鲲遥 北京大学第一医院呼吸和危重症医学科 发布于2025-12-10 浏览 1189 收藏

作者:董佳楠,于鲲遥

单位:北京大学第一医院呼吸和危重症医学科


一、病史简介


1. 一般情况

患者男性, 63岁, 因"发现肺占位7月, 发热2月余, 憋气7天"于2024年12月23日入院。

2. 现病史

2024年6月20日,患者于当地医院确诊小细胞肺癌,随后接受5个周期化疗:顺铂(d1~2)+斯鲁利单抗(d1)+依托泊苷(d1~10)。2024年10月13日出现发热, 最高体温39℃, 当地医院抗感染治疗效果不佳。2024年11月14日就诊外院, 气管镜检查示左下叶支气管开口肿物堵塞管腔, 胸部CT提示左肺下叶中心型肺癌伴左肺下叶肺不张、间质性肺炎合并肺气肿。2024年12月6日再次就诊外院, 考虑免疫检查点抑制剂相关肺炎, 予甲泼尼龙琥珀酸钠40 mg qd输注3 d后减量至20 mg qd维持, 同时予头孢哌酮舒巴坦抗感染, 体温较前下降。2024年12月17日出现喘憋, 复查胸部CT示左肺下叶肿瘤阻塞支气管。为行支气管镜介入治疗于2024年12月23日转入我院呼吸科病房。患者自发病以来, 精神及食欲可, 大小便如常, 体重下降10 kg。

3. 既往史及其他

既往有38年糖尿病病史,冠心病并行右冠状动脉(RCA)支架植入术,长期口服氯吡格雷;有30年吸烟史(40支/天)及30年饮酒史,均已戒除。已婚,育有1子,儿子及配偶体健。否认家族遗传病史。

4. 入院查体

体温36.5℃,脉搏85次/分,呼吸20次/分,血压86/48 mmHg,血氧饱和度92%(鼻导管吸氧2 L/min); 身高173 cm, 体重45 kg。神志清楚, 查体合作, 气管居中, 左下肺呼吸音低, 双肺可闻及少量干啰音, 双下肢无水肿。

5. 入院诊断

左主支气管狭窄;小细胞肺癌(T1N3M0Ⅲ期);免疫检查点抑制剂相关肺炎;阻塞性肺炎;冠状动脉粥样硬化性心脏病(冠状动脉支架植入术后);2型糖尿病。


二、诊疗经过


1. 入院初期治疗调整

入院后行相关检查,心电图示Ⅱ、Ⅲ、AVF导联可见病理性Q波(图1);心肌损伤标志物:CK-MB 5.7 ng/mL,cTnI 258.3 ng/L;超声心动图提示节段性室壁运动不良,射血分数34%;冠脉CT血管成像(CTA)示RCA中段及远段混合斑块、血栓,管腔重度狭窄(70%~99%)。考虑存在急性非ST段抬高型心肌梗死,全麻气管镜风险高,遂恢复阿司匹林、氯吡格雷抗血小板及阿托伐他汀降脂治疗,暂不行全麻气管镜,继续抗感染治疗,待感染好转后再行抗肿瘤治疗。

图片

1  患者入院心电图(2024-12-23)

予头孢哌酮舒巴坦经验性抗感染,患者再次出现发热及C反应蛋白升高,血NGS提示屎肠球菌、CMV、EBV序列,调整抗感染方案为哌拉西林他唑巴坦+万古霉素。同时患者口唇出现溃疡,前胸及背部可见散在水泡,血CMV-DNA(+),考虑CMV感染引起多形性红斑,予更昔洛韦抗感染,联合甲泼尼龙20 mg qd及丙种球蛋白20 g qd×5 d治疗;结合胸部CT示双肺多发磨玻璃改变,继续维持甲泼尼龙20 mg qd治疗免疫检查点抑制剂相关肺炎。

2. 急诊支气管镜介入治疗

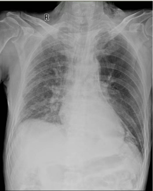
2024年12月30日,患者突发喘憋加重,氧合无法维持(SpO2 84%),伴体温明显升高(体温38.8℃)。血气分析示PaCO2 26.50 mmHg(↓),PaO2 51.90 mmHg(↓);床旁胸片示左肺透亮度增高,气管向右侧移位(图2)

图片

2  患者床旁胸片(2024-12-30)

考虑左主支气管阻塞加重,产生活瓣效应致左上肺过度充气,不除外感染加重、免疫检查点抑制剂相关肺炎进展,调整抗感染方案为美罗培南+万古霉素,甲泼尼龙加量至40 mg qd,并紧急行支气管镜介入治疗。

术中见左主新生物阻塞管腔(来源于左下叶基底段),经反复圈套切除、氩等离子体凝固(APC)烧灼、冷冻探头冷冻等操作,最终成功开通左主支气管(图3)。因术中出血量较多,患者血压偏低。术后(2024年12月31日)维持补液、去甲肾上腺素泵点,保留气管插管转入RICU。

图片

3  支气管镜介入术中及术后所见(2024-12-30)

3. RICU阶段精准复苏与监测

初始支持:转入RICU后予机械通气:SIMV(VC)+PSV模式,FiO2 65%,Vt 420 ml,PS 12 cmH2O,PEEP 6 cmH2O,f 20 bpm,维持去甲肾上腺素0.12 μg/(kg·min)。患者生命体征为HR 122次/分,RR 19次/分,BP 93/43 mmHg,SpO2 94%。随后患者反复出现血压、氧合下降,血气分析提示PaCO2及乳酸呈上升趋势,上调呼吸机参数及血管活性药物剂量(加用多巴胺泵点)后,PaCO2下降,但心率、乳酸仍升高,血压持续偏低(图4,图5)12月31日6:00留置中心静脉导管(CVC),予乳酸钠林格氏液1000 ml(300 ml/h输注)+白蛋白20 g液体复苏,复苏后HR 121次/分,平均动脉压(MAP)90 mmHg,体温38.6℃,维持去甲肾上腺素0.12 μg/(kg·min)、多巴胺12 μg/(kg·min),炎症指标升高[降钙素原(PCT)30.30 ng/ml,超敏C反应蛋白(hs-CRP)112.19 mg/L]。复查支气管镜示左上叶支气管通畅,左下叶背段、基底段开口阻塞,未见活动性出血(图6)

图片

4  术后患者乳酸变化趋势

图片

5  术后患者HR、MAP及PaCO2变化趋势

图片

6  复查支气管镜下所见

患者存在休克状态,可能有低血容量性休克、脓毒性休克等多种类型休克共同参与,且患者基础功能较差近期有急性非ST段抬高型心肌梗死,因此后续的容量管理和血管活性药物调整需要更加精准。

PICCO监测与治疗调整:为实现精准循环支持,于2024年12月31日12:00留置PICCO导管进行有创血流动力学监测,初始参数为心输出量指数(CCI)4.10 L/(min·m2),每搏输出量指数(SVI)34 ml/m2,全心射血分数(GEF)13%,全心舒张末期容积指数(GEDI)984 ml/m2,全身血管阻力指数(SVRI)1648 DS·m2/cm5,提示心肌收缩力差、前负荷增加,遂减少补液,上调血管活性药物剂量(图7)

2024年12月31日20:13再次行PICCO监测,参数示CCI 2.35 L/(min·m2),SVI 20 ml/m2GEF 14%,GEDI 574 ml/m2,胸腔内血容量指数(ITBI)717 ml/m2SVRI 3055 DS·m2/cm5,提示心输出量下降、前负荷偏低、血管阻力升高,行Mini补液试验提示CCI上升31.5%,SVI上升22.2%,Mini补液试验阳性,予补液500 ml后循环稳定,逐渐下调血管活性药物剂量,此时MAP 80 mmHg,HR 112次/分,维持去甲肾上腺素0.068 μg/(kg·min),多巴胺4 μg/(kg·min)(图7)

图片
图片

7  PICCO监测下血流动力学指标变化情况

后续每6小时进行经肺热稀释法(TPTD)测定,指导复苏及血管活性药物调整。血培养回报:革兰阳性球菌,继续予美罗培南+万古霉素+更昔洛韦抗感染,氢化可的松50 mg q12h抗休克治疗。

2025年1月1日,患者循环相对稳定,自主呼吸试验通过,成功拔除气管插管。

2025年1月3日,患者频发室性早搏,可见短阵室速伴血流动力学异常。心电图示V1~V3导联T波倒置(图8)。急查心肌损伤标志物,较前上升(CK-MB 5.8 ng/ml,cTnI 353.9 ng/L)(图9)。停用多巴胺,予利多卡因泵点抗心律失常。

图片

8  患者202513心电图

图片

9  患者心肌损伤标志物变化情况

PICCO监测示CCI 2.62 L/(min·m2),SVI 26 ml/m2GEF 10%,GEDI 1013 ml/m2SVRI 2764 DS·m2/cm5,血管外肺水指数(ELWI)10.0 ml/kg。复查超声心动图提示弥漫性室壁运动减弱,射血分数为33.4%。目前暂不考虑急性缺血事件,不除外脓毒性心肌病心内科会诊后,建议奥普力农泵入强心治疗。治疗后患者室性早搏较前减少,血流动力学稳定,复查心肌损伤标志物呈下降趋势。

4. 后续处理与康复

2025年1月4日,患者股动脉导管打折,未再行有创血流动力学监测,逐渐下调血管活性药物剂量。1月5日停用利多卡因泵点,1月6日停用奥普力农泵点,1月7日停用去甲肾上腺素泵点,1月8日转入普通病房,1月14日停用静脉抗感染治疗,1月15日顺利出院。


三、总结与思考


气道占位性病变在存在较强自主呼吸驱动时可呈现动态气道狭窄表现,并出现动态肺过度充气,临床需结合影像学检查及患者症状具体判断。对于合并多器官功能受累及多种类型血流动力学障碍(如本例低血容量性休克、感染性休克并存)的患者,表观“正常化”的血流动力学可能是多种因素互相代偿的结果,积极采用有创血流动力学监测,可以精准评估前负荷、后负荷、心肌收缩力及器官功能,为容量管理和血管活性药物调整提供可靠依据。危重患者疾病表现往往不典型,缺乏显著规律性,临床决策需基于精准的病理生理状态评估,同时多学科协作有助于优化治疗方案,改善患者预后。


作者介绍

图片

董佳楠

北京大学第一医院呼吸和危重症医学科住院医师;在读博士研究生导师程渊副教授

图片

于鲲遥

北京大学第一医院呼吸和危重症医学科主治医师医学博士京医学会呼吸病学分会危重症学组委员,中国医师协会呼吸医师分会危重症学组青年委员,北京围术期医学研究会呼吸专业委员会委员,北京围术期医学研究会呼吸治疗与肺康复专业委员会委员,北京整合学会介入诊疗转化医学分会,中国医学救援协会全科医学分会会员,主要从事呼吸危重症及呼吸内镜相关工作。

图片




声明:

本文仅用于学术领域的理论探讨与专业交流,不涉及任何商业推广、产品宣传等非学术用途,亦不作为临床诊疗活动中最终决策的依据。临床实践需根据患者的具体情况选择适宜的处理措施


全部评论 0
Copyright©2020-2026 北京医麦斯科技有限公司 版权所有 京ICP备2020034400号-1 京公网安备11010502043983号