登录方式

方式一:
PC端网页:www.rccrc.cn
输入账号密码登录,可将此网址收藏并保存密码方便下次登录

方式二:
手机端网页:www.rccrc.cn
输入账号密码登录,可将此网址添加至手机桌面并保存密码方便下次登录

方式三:
【重症肺言】微信公众号
输入账号密码登录

注:账号具有唯一性,即同一个账号不能在两个地方同时登录。

登录
方式

为重症救治赋能

为患者康复加速

当前位置:首页 重症实战 病例集锦

见微知著,起死回生:从胆红素变化趋势鉴别休克病因伴罕见综合征

张灿堂,闫屹 徐州医科大学附属医院呼吸科重症监护室 发布于2025-12-04 浏览 1335 收藏

作者:张灿堂,闫屹

单位:徐州医科大学附属医院呼吸科重症监护室

一、病例介绍

1. 基本资料

患者59岁,主诉发现血细胞减少3年,加重伴气喘6天,于2023年10月9日收治于本院血液科

2. 现病史

患者3年前体检时查血常规发现红细胞及血小板减少,血常规(2020-04-20):红细胞计数3.0×109/L,血红蛋白71 g/L,血小板计数72×109/L。外院住院治疗,行骨髓穿刺检查,骨髓细胞学提示增生性贫血,诊断贫血,予输血、铁剂等治疗后好转出院,出院后间断服用叶酸、维生素B3、维生素B6、维生素C等。

8月前患者活动后感胸闷,无咳嗽、咳痰等症状,气喘逐渐加重,休息后缓解,伴间断腹痛,无腹泻,未予重视。

6天前患者自觉纳差,胸闷气喘,伴呕吐,多为胃内容物,有腹痛头晕不适,无视物模糊等不适。为进一步治疗收入血液科。病程中患者无发热、咳嗽,无胸痛,无腹泻、便秘,无眩晕,纳差,睡眠差,大小便如常。

1年有口腔溃疡,反复低热,曾有下肢皮疹(具体不详),双手纽扣花样畸形水肿,双膝关节肿大畸形。

3. 既往史

类风湿关节炎30年,间断服用甲氨蝶呤、双氯芬酸钠对症治疗。高血压病史9年,最高血压160/100 mmHg,服用尼群地平降压,血压控制尚可。2型糖尿病史5年,服用格列吡嗪降糖,血糖控制可。2年前发现肾功能异常(肌酐200 μmol/L左右),未规律检查治疗。8月前外院检查发现肝硬化,胆红素升高,未明确病因及治疗。3年前输红细胞4 U婚育史、家族史等均无特殊。

4. 入院查体

体温36.5℃, 脉搏80次/分, 呼吸18次/分, 血压87/44 mmHg, 神清, 精神萎靡, 贫血貌, 全身皮肤无瘀斑、瘀点, 浅表淋巴结未触及, 胸骨无压痛, 两肺呼吸音清, 未闻及明显干/湿性啰音, 心率80次/分, 心律齐, 心尖区可闻及舒张期吹风样杂音, 腹软, 全腹轻压痛, 肝肋下未触及, 脾脏触诊欠佳, 双下肢轻度水肿。

5. 辅助检查

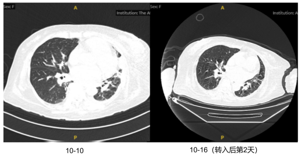
胸部CT(2023-10-10):两肺胸膜下多发片状斑片状高密度影,左肺部分实变,左侧少量胸腔积液1
图片

1  胸部CT2023-10-10

腹部彩超(2023-10-10):肝脏回声粗密欠均匀,肝左叶囊肿声像,胆囊壁增厚,脾大。

实验室检查(2023-10-10):血常规+CRP:白细胞5.5×109/L,淋巴细胞计数0.8×109/L,单核细胞计数1.08×109/L,红细胞计数2.64×109/L,血红蛋白58 g/L,红细胞比容20.8%,平均红细胞体积78.8 fl,平均血红蛋白含量21.8 pg,平均血红蛋白浓度279 g/L,血小板计数54×109/L;C反应蛋白(CRP) 162.7 mg/L。②风湿指标:抗突变型瓜氨酸波形蛋白抗体MCV-Ab1000 U/ml,SS-A 1+,CCP3 268.53 U/ml,抗双链DNA抗体dsDNA-Ab271 IU/ml,抗核抗体ANA125.85 U,类风湿因子RF300 U/ml。生化(2023-10-15):天门冬氨酸氨基转移酶79 U/L,白蛋白21.9 g/L,结合胆红素20.6 μmol/L,结合胆红素118.6 μmol/L,γ-谷氨酰转移酶27 U/L,碱性磷酸酶124 U/L,肌酐265 μmol/L。

二、治疗经过

入院(2023-10-9)后血液科予输注红细胞2U、促造血(EPO/TPO)、抗感染(头孢曲松)、护肝、保肾等治疗,但效果不佳。患者逐渐出现出现憋喘加重、休克、高热(39℃20231015日出现浅昏考虑病情危重,转入本院RICU继续治疗。

1. 转入RICU查体

浅昏迷,呼之不应,无创呼吸机辅助通气状态,心率108次/分,血压122/63 mmHg,脉氧饱和度99%,呼吸17次/分,中度贫血貌,全身皮肤及巩膜黄染,双侧瞳孔不等大,双侧胸廓对称,无畸形,胸骨无压痛,两肺呼吸音清,未闻及干/湿性啰音,心率108次/分,心律齐,心尖区可闻及舒张期吹风样杂音,腹软无压痛,移动性浊音可疑阳性,双下肢水肿。

2. RICU团队完善相关检查

  • 血气分析:pH 7.31,PaCO2 27 mmHg,PaO2 90 mmHg,碳酸氢根13.6 mmol/L,钾5.5 mmol/L,钠125 mmol/L,氧合指数150 mmHg,吸氧浓度60%。

  • 血常规:白细胞计数58.5×109/L,中性粒细胞计数56.21×109/L,红细胞计数2.73×109/L,血红蛋白66 g/L,血小板计数115×109/L。

  • 炎症指标:CRP 147.5 mg/L,降钙素原(PCT)12.6 ng/ml,血沉>140 mm/h,白介素-6(IL-6)54.2 pg/ml。

  • 凝血功能:凝血酶原时间20.5 s,活化部分凝血酶原时间43.8 s,D-二聚体7.8 μg/ml,纤维蛋白原降解产物24.1 mg/L,纤维蛋白原2.83 g/L。

  • 氮端脑钠肽前体24511 pg/ml,超敏肌钙蛋白T 16.9 ng/ml。

  • 生化:天门冬氨酸氨基转移酶69 U/L,丙氨酸氨基转移酶21 U/L,碱性磷酸酶282 U/L,白蛋白26.3 g/L,未结合胆红素22.2 μmol/L,结合胆红素140 U/L,肌酐255 μmol/L,尿酸1337 μmol/L。血氨109 μmol/L。

  • 免疫球蛋白和补体:IgA 20.81 g/L,IgG 28.07 g/L,IgM 4.654 g/L,补体    C3 0.348 g/L,补体C4 0.038 g/L。

  • 自身免疫性肝病谱:抗肝细胞质液抗体阳性(1.33),余为阴性。

检查、整理分析患者病情,判断患者存在多种问题,包括重症感染、衰、肾衰、肝功能不全、血小板减少等2

图片

2  患者转入后病情分析

3. 病情分析

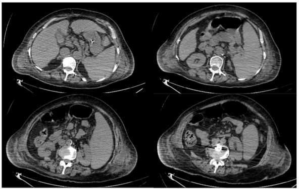
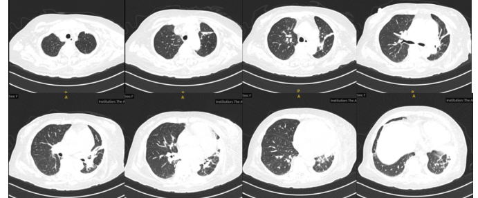
1)感染性休克:患者反复发热,炎症指标明显升高,胸部CT提示两肺感染,SOFA评分>2分,伴血压下降。感染诱发病情加重可能性较大,迅速调整治疗方案,予比阿培南抗感染治疗,2天复查炎症指标白细胞降至19.8×109/L,中性粒细胞19.16×109/LCRP 77.4 mg/L,PCT 13.8 ng/ml。复查胸部CT发现,患者肺部感染程度不能解释其感染性休克的表现3,考虑可能合并其他部位的感染。患者结合胆红素140 U/L(占总胆红素的60%以上)明显升高考虑为梗阻性黄疸可能性大,及时完善腹部CT和彩超,报告:脾大,胰腺尾部密度不均匀,胆囊壁水肿、增厚,胆囊腔密度增高,管扩张4考虑胆囊炎并胆管炎继发感染性休克可能。2天加用替加环素50 mg q12h。

图片

3  患者转入RICU后复查胸部CT

图片

4   患者转入RICU后腹部CT

血培养结果2023-10-16抽血,2023-10-17即报告危急值回报后明确证实为屎肠球菌败血症5虽替加环素对屎肠球菌血流感染治疗效果一般,考虑到患者发热症状减轻,CRP、PCT等炎症指标较前好转,神志逐渐转清,且原发灶在腹部,替加环素胆道浓度高,而胆道感染主要以革兰阴性杆菌(如大肠埃希菌、肺炎克雷伯菌)为主,其次为肠球菌和厌氧菌(如脆弱拟杆菌),且多为混合感染。继续替加环素联合比阿培南抗感染。

图片

5  血培养结果提示屎肠球菌感染

2)急性心衰: 患者憋喘严重, 双下肢水肿明显, 转入第2天氮端脑钠肽前体>35000 pg/ml, 心脏彩超提示三尖瓣中大量反流, 右心及左房增大, 心衰明确。转入后控制患者出入量, 予重组人脑利钠肽扩血管, 适当利尿, 患者水肿、憋喘症状减轻, 脑钠肽指标也逐渐下降。

3)血细胞减少:血细胞减少:患者既往长期血红蛋白、血小板减少,原因不明确,长期服用叶酸、维生素、铁剂等效果不佳,既往骨髓细胞学提示增生性贫血,需多学科会诊明确病因,针对病因进行治疗。

4)肾衰竭:患者2年前发现肌酐升高,现病情加重,下肢水肿,尿量减少,肌酐最高升高至309 μmol/L,考虑肾衰竭。

5)风湿疾病: 既往类风湿性关节炎病史30年, 未正规治疗, 间断服用甲氨蝶呤、双氯芬酸钠治疗。双手纽扣花样畸形水肿, 双膝关节肿大畸形。入院后完善风湿指标检查提示IgG、IgA、IgM升高, 补体C3、C4下降, 类风湿因子>400 IU/ml, 双链DNA抗体271 IU/ml, 抗核抗体125.85 U。请风湿科会诊考虑合并系统性红斑狼疮(SLE), 予甲强龙20 mg q12h抗炎治疗。

6感染科会诊:患者ANA抗体阳性,抗肝细胞质液抗体阳性,IgG/IgM明显升高,肝功能异常以碱性磷酸酶升高为主,考虑存在自身免疫性肝炎(AIH)合并原发性胆汁性胆管炎(PBC)可能性大, 加用熊去氧胆酸250 mg tid。

其余去甲肾上腺素升压、甲泼尼龙抗炎、门冬氨酸鸟氨酸降血氨、丁二磺酸腺苷蛋氨酸促胆红素排泄肾康保肾、重组人脑利钠肽扩血管、呋塞米利尿、成分输血、艾司奥美拉唑抑酸、营养支持等一系列治疗。经过治疗,患者多脏器功能衰竭的情况明显好转(图6)

图片

6  5天后脑钠肽等指标迅速好转

调整治疗方案后,患者炎症指标明显下降(图7),并且呼衰、心衰、肾衰等方面问题均得到控制,神志转清,总胆红素、结合胆红素及未结合胆红素均有下降治疗有效转入7天,体温已恢复正常(图8)CRP从147.5 mg/L降至14.2 mg/L,PCT降至1.41 ng/ml,白细胞计数降至16.4×109/L。

图片

 治疗后炎症指标变化趋势

图片
8  患者入院后体温变化情况

但患者出现血小板进行性下降,2023年10月21日由转入RICU的115×109/L降至56×109/L(图9)

图片

9  患者血小板变化情况

分析血小板下降原因:

1)脓毒症相关血小板下降,脓毒症血小板减少的病理生理机制较为复杂,研究认为可能血小板生成减少(骨髓抑制、巨核细胞功能障碍),血小板破坏与清除增加(凋亡与去唾液酸化、免疫介导破坏、噬血细胞作用),血小板活化与消耗(受体介导的活化、中性粒细胞胞外陷阱、补体系统激活),血管内皮损伤与微血栓形成等有关。因此我们在抗感染治疗的同时,给予了升血小板药物以及反复输注血小板治疗。随着感染控制,患者心肝肾功能明显好转,但血小板不明原因进行性下降,且反复输注血小板无效。

2)药物相关血小板减少:2023年10月21日为排除替加环素导致的血小板下降,将替加环素改为万古霉素抗肠球菌。2023年10月23日血小板降至31×109/L,为排除比阿培南导致的血小板下降,10月23日将比阿培南改为哌拉西林他唑巴坦兼顾革兰阴性菌及厌氧菌。但血小板仍进行性下降(输注血小板无效),暂不考虑与抗菌药物有关。血小板减少趋势及抗生素应用情况见表1。

1  血小板减少趋势及抗生素应用情况

图片

3)肝硬化: 肝功能受损致血小板生成素合成减少、脾功能亢进导致血小板破坏增多、慢性肝炎病毒对骨髓抑制等多种因素均可导致血小板减少; 另外, 血小板功能变化可能与肠道内的内毒素水平及氧化应激反应等因素有关。患者肝功能好转且血小板急性进行性下降, 虽然影像学有脾大表现,但脾亢导致血小板急性进行性下降可能性不大; 肝硬化导致的血小板减少可能性较小。

4)风湿免疫性疾病:血小板减少是风湿免疫疾病常见的临床表现之一,类风湿性关节炎及SLE均可能导致血小板减少,免疫性因素和血栓形成的消耗是弥漫性结缔组织病出现血小板减少的主要机制,如SLE患者出现血小板减少的最常见原因是血小板破坏增加以及消耗过多等因素。因此综合以上推断,我们分析风湿相关疾病可能是引起患者血小板减少的元凶。

5)血栓性微血管病(thrombotic microangiopathy,TMA)是一类以微血管血栓形成为特征的疾病。这类疾病导致微血管内皮细胞损伤,进而引起血小板聚集和血栓形成。TMA包括多种不同亚型,最常见有以下几种:血栓性血小板减少性紫癜(thrombotic thrombocytopenic purpura, TTP)、溶血尿毒综合征(hemolytic uremic syndrome, HUS)、HELLP综合征、肿瘤、药物诱导的TMA等。TMA的诊断通常依赖于血液检查(如血小板计数、外周血涂片、乳酸脱氢酶水平)、尿液检查和肾功能测试。特定的病因诊断可能需要酶活性检测(如ADAMTS13活性测定)和遗传学检测(如补体因子基因突变分析)。患者心肾功能好转,神志转清,无神经精神症状,TMA可能性较小。

4. 在细节里寻找真相

由于血小板减少的原因不明确, 反复输注血小板无效。RICU团队反复查阅相关资料, 并密切关注患者相关指标变化。一组反常数据引起了我们的警觉抗感染治疗第5天, 当炎症指标开始回落时, 间接胆红素曲线呈现独特的"V型"波动10

未结合胆红素在最初的下降后再次开始逐渐升高,我们考虑存在溶血性贫血,随即完善了网织红细胞111.7×109/L,5.3%直接抗人球蛋白试验(阳性)、血浆游离血红蛋白(390.6 mg/L,明显升高)等检查,证实为溶血性贫血血片观察无破碎红细胞。再结合患者风湿病史,存在感染诱发因素,溶贫合并血小板下降,并且排除DIC、感染药物、TMA等继发血小板下降,最终考虑诊断为十分罕见的Evans综合征,该病易漏诊,且治疗难度较大

图片

10  从胆红素指标变化趋势确诊Evans综合征诊断线索

最终,结合溶血(间接胆红素升高、网织红细胞增多Coombs阳性)、血小板减少及类风湿关节炎/SLE背景,感染诱因,诊断为Evans综合征。

5. 调整治疗及转归

在明确诊断后,参照Evans综合征相关治疗指南及专家共识,团队迅速调整治疗方案考虑到患者存在败血症,暂不调整甲泼尼龙剂量;2023年10月26日,在原有激素基础上联合免疫球蛋白冲击治疗(30 g/d)5天对于丙种球蛋白(IVIG)治疗Evans综合征的研究已较为全面,相关机制也较为透彻阻断Fc受体介导的细胞破坏中和自身抗体抑制补体激活免疫调节作用抗炎效应。临床多采用免疫球蛋白0.4 g/kg·d连用5天,或1 g/kg·d连用2天。

经过上述治疗后,患者血小板较前有明显上升(从最低的20×109/L升至59×109/L)。2023年10月30日患者转出至风湿科继续巩固治疗,2023年11月14日复查血小板计数125×109/L,好转出院。2025年3月15日电话随访,患者状态良好。

这场与罕见疾病的博弈,患者的诊断始终扑朔迷离,RICU团队经过抽丝剥茧,最终成功诊断Evans综合征,挽救了患者的生命(图11)

图片

11  患者入院后诊疗经过

三、讨论

2024年发布的《Evans综合征诊断和治疗中国专家共识》提到,Evans综合征是一种罕见的自身免疫性疾病,以同时或相继出现两种及以上自身免疫性血细胞减少(AIC)为特征,包括免疫性血小板减少症(ITP)、自身免疫性溶血性贫血(AIHA)和自身免疫性中性粒细胞减少症(AIN)。21%~50%的Evans综合征为继发性,可伴发于SLE、淋巴增殖性疾病等,临床表现为高复发率、易并发感染及血栓,死亡率较高。Evans综合征年发病率约为1.8/100万,患病率为21.3/100万。在AIHA患者中,Evans综合征占10%~20%;Evans综合征病死率为7%~36%,主要死因包括出血(如颅内出血)、感染或器官衰竭。

《Evans综合征诊断和治疗中国专家共识》强调诊断需满足以下条件:实验室证据:至少两种血细胞减少(如血小板计数<100×109/L,血红蛋白低于正常值),并排除其他原因(如再生障碍性贫血、骨髓增生异常综合征);②免疫学依据:直接抗人球蛋白试验(Coombs试验)阳性或血小板特异性抗体检测阳性;③排除继发因素:需筛查潜在原发病(如自身免疫病、感染、肿瘤等)。

一线治疗:糖皮质激素:如泼尼松[1 mg/kg·d]作为初始治疗,重症患者可静脉冲击治疗,起效后逐渐减量至维持剂量。免疫球蛋白:适用于急性出血或严重贫血患者,推荐剂量0.4 g/kg·d×5天。

二线治疗:①利妥昔单抗:对激素耐药或复发性Evans综合征有效,推荐375 mg/m2每周1次,共4次。②免疫抑制剂:如环孢素、霉酚酸酯,用于难治性病例。③脾切除术:适用于药物治疗无效且无手术禁忌者,但需权衡术后感染风险。

四、小结

本例患者感染性休克伴多器官功能衰竭(MODS)转入RICU,随着感染控制,患者的心肝肾功能明显好转,但血小板不明原因进行性下降,且反复输注血小板无效,甚至危及生命。其救治成功依赖于早期识别溶血证据(间接胆红素水平下降后再次缓慢升高),这一“V型”未结合胆红素曲线的价值体现了呼吸危重症医生对细节的把握能力、精细化管理患者的敬业精神以及内科基本功的重要性。对于长期血细胞减少合并自身免疫病患者,需高度警惕罕见的Evans综合征,动态监测胆红素与网织红细胞,及时观察血片、进一步完善溶血试验、血小板抗体等检查,仔细鉴别诊断,避免误诊为单纯肝硬化、感染或药物所致血细胞下降。


图片

作者介绍

图片

张灿堂

徐州医科大学附属医院呼吸与危重症医学科,RICU负责人,硕士生导师,擅长呼吸系统疑难及危重症的诊治,亚专业方向为呼吸危重症及睡眠呼吸障碍,中国睡眠研究会第四届睡眠呼吸障碍专业委员会委员,江苏省医学会呼吸病学分会呼吸重症及机械通气学组委员江苏省医师协会呼吸医师分会呼吸重症学组委员江苏省生物医学工程学会体外诊断技术专委会委员江苏省老年学学会中西医结合诊疗专业委员会委员徐州市健康管理学会睡眠呼吸障碍专业委员会常务委员,徐州市免疫学会感染免疫专委会委员,徐州市免疫学会呼吸内镜专委会委员。


图片

闫屹

徐州医科大学附属医院呼吸与危重症医学科,RICU主治医师,硕士,徐州医科大学附属医院应急医疗队成员,徐州市免疫学会临床与转化专委会委员,徐州市免疫学会呼吸内镜专委会委员,徐州市健康管理学会睡眠呼吸障碍专委会委员;研究与工作方向呼吸重症相关疾病。

声明:

本文仅用于学术领域的理论探讨与专业交流,不涉及任何商业推广、产品宣传等非学术用途,亦不作为临床诊疗活动中最终决策的依据。临床实践需根据患者的具体情况选择适宜的处理措施。


全部评论 0
Copyright©2020-2026 北京医麦斯科技有限公司 版权所有 京ICP备2020034400号-1 京公网安备11010502043983号