登录方式

方式一:
PC端网页:www.rccrc.cn
输入账号密码登录,可将此网址收藏并保存密码方便下次登录

方式二:
手机端网页:www.rccrc.cn
输入账号密码登录,可将此网址添加至手机桌面并保存密码方便下次登录

方式三:
【重症肺言】微信公众号
输入账号密码登录

注:账号具有唯一性,即同一个账号不能在两个地方同时登录。

登录
方式

为重症救治赋能

为患者康复加速

当前位置:首页 重症实战 病例集锦

ECMO联合血浆置换逆转白肺:一例急性间质性肺炎的救治实践

汤思 武汉大学中南医院呼吸与危重症医学科 发布于2025-12-04 浏览 2024 收藏

作者汤思

单位:武汉大学中南医院呼吸与危重症医学科


一、病史简介


1. 一般情况

患者女性,62岁,退休教师;因“间断发热、咳嗽1个月,呼吸困难2周”入院。

2. 现病史

1个月前受凉后出现高热,伴咳嗽、咳痰,于广东省某医院治疗(具体不详)后稍好转; 2周前咳嗽加, 伴活动后呼吸困难, 于黄石市某医院住院, 肺部CT提示间质性肺炎、肺部感染, 抗SSA抗体、抗核抗体升高, 予环丙沙星/莫西沙星+哌拉西林他唑巴坦+卡泊芬净抗感染、激素、免疫球蛋白等治疗, 患者呼吸困难加重, 要求转入我院RICU, 氧合指数60 mmHg, 救护车无法转运, ECMO团队出诊行VV-ECMO后转入我院RICU。患者既往体健, 无特殊病史。

3. 入院查体

入院时体温36.8℃,脉搏70次/分,平均动脉压121/56 mmHg[需去甲肾上腺素0.4 μg/(kg·min)维持],呼吸频率14次/分。患者处于气管插管接呼吸机辅助通气状态(FiO2 40%,PEEP 10 cmH2O,RR 14 bpm),VV-ECMO运行参数为转速3240转/min,血流速3.81 L/min,气流速4.0 L/min。镇静镇痛状态下,双侧瞳孔等大等圆,直径3 mm,对光反射存在,皮肤无皮疹,双肺可闻及湿啰音,心率70次/分,心律齐,无杂音,腹软,肝脾肋下未及,全身水肿。

4. 辅助检查

1)炎症指标:白细胞(WBC)22.1×10⁹/L,中性粒细胞(NEU)22.2×10⁹/L,淋巴细胞(LYM)0.7×10⁹/L,血红蛋白(HGB)104 g/L,血小板(PLT)263×10⁹/L;降钙素原(PCT)1.81 ng/ml;血沉(ESR)67 mm/h,提示存在明显炎症反应。

2)呼吸功能:动脉血气分析示pH 7.48,PaO2 98 mmHg,PaCO2 31.6 mmHg,HCO3- 24.9 mmol/L,在呼吸机联合ECMO支持下氧合维持尚可。

3)心功能指标:NT-proBNP 647 pg/ml,TnI 180 pg/ml;床旁心脏彩超示心脏形态结构及瓣膜活动未见明显异常,左心室射血分数(LVEF)60%。

4)肝肾功能指标:谷丙转氨酶(ALT)58 U/L,谷草转氨酶(AST)39 U/L,总胆红素(TBIL)13.7 mmol/L,白蛋白(ALB)25.6 g/L,肌酐(Cr)55.9 mmol/L,尿素(BUN)6.13 mmol/L。

5)肌酶谱:乳酸脱氢酶(LDH)1289 U/L,肌酸激酶(CK)79 U/L,肌酸激酶同工酶(CK-MB)49 U/L。

6)凝血功能:纤维蛋白原(Fib)372 mg/dl,活化部分凝血活酶时间(APTT)26.3 s,D-二聚体30748 ng/ml;内环境稳定,血钾3.9 mmol/L,血钠138 mmol/L。

7)免疫学检查:院内自身抗体全套测定显示,ANA反应阳性(滴度1:80),核型为胞浆颗粒型,抗Ro-52抗体阳性,其余自身抗体均为阴性。外送肌炎自身抗体谱检测提示抗EJ抗体IgG阳性,明确自身免疫相关病因。

8)病原学检查:肺泡灌洗液(BALF)及血tNGS检测, BALF中检出大肠杆菌(<1×102拷贝/ml)及甲型流感病毒(4×104拷贝/ml), 血tNGS未检出明确病原体。抗酸染色、GM试验、肺孢子菌核酸、曲霉核酸、隐球菌核酸均为阴性。后续BALF培养先后检出阴沟肠杆菌阴沟亚种及鲍曼不动杆菌(均为多重耐药菌株), 痰培养亦检出鲍曼不动杆菌。甲型流感病毒核酸检测阳性,其余呼吸道病毒核酸均为阴性。

5. 诊断结果

EJ抗体相关急性间质性肺炎;病毒性肺炎(甲型流感);重度急性呼吸窘迫综合征(ARDS);呼吸衰竭;急性肾衰竭;低蛋白血症;多重耐药菌感染(阴沟肠杆菌阴沟亚种,鲍曼不动杆菌)。


二、诊疗经过


1. 针对抗EJ抗体相关急性间质性肺炎治疗

采用免疫抑制联合血浆置换方案:甲泼尼龙琥珀酸钠80 mg qd静脉滴注;环磷酰胺400 mg连续使用3天;他克莫司胶囊1 mg bid口服;人免疫球蛋白10 g qd静脉滴注;确诊后连续开展5次血浆置换治疗,每隔1天进行1次,快速清除体内致病性抗体。

2. 抗感染治疗

抗病毒治疗:予玛巴洛沙韦40 mg口服,奥司他韦75 mg bid口服,覆盖甲型流感病毒。

抗细菌治疗:初始予亚胺培南1 g q8h、万古霉素500 mg q6h联合卡泊芬净50 mg qd静脉滴注,覆盖革兰氏阳性菌、阴性菌及真菌;根据培养及药敏结果调整用药,针对多重耐药鲍曼不动杆菌加用多黏菌素E 150万U q12h,后续根据感染控制情况逐步调整抗菌药物。

3. 器官支持治疗

呼吸支持:气管插管接呼吸机辅助通气,初始采用P-AC模式,联合VV-ECMO支持及俯卧位通气,后期逐步过渡至P-SIMV模式、SPONT模式,最终改为高流量氧疗(图1)

图片

1  患者呼吸支持情况

肾脏支持:予连续性肾脏替代治疗(CRRT)。

营养支持:肠内营养液1000 ml qd输注,保障营养供给。

对症支持:肝素抗凝预防血栓形成,维持内环境及电解质稳定,咪达唑仑+丙泊酚镇静、舒芬太尼镇痛,必要时使用罗库溴铵肌松(图1)

5. 治疗转归

患者入院初期有发热, 经抗感染治疗后体温于1月22日左右恢复正常, 但1月26日体温再次升高, 结合1月27日血GM试验(326 pg/ml)明显升高的结果, 考虑合并真菌感染, 遂加用伏立康唑抗真菌治疗。治疗3天后, 患者体温于1月30日起未再升高, 感染得到有效控制(图2)

图片
图片

2  患者治疗期间体温变化情况

经过治疗,患者各项指标逐步改善,1月24日撤离VV-ECMO,1月25日拔除气管插管,呼吸支持逐步降级,镇静镇痛药物逐渐减量至停用(图3)2月8日结束CRRT治疗,肾功能逐步恢复,肌酐水平后期降至正常范围(图4)。炎症指标(白细胞、中性粒细胞、PCT、ESR、超敏C反应蛋白等)均逐步降至正常水平,铁蛋白、乳酸脱氢酶等反映组织损伤的指标也明显改善(图5)

图片

3  患者治疗期间用药及支持治疗情况

图片

图片

图片

4  患者治疗期间肝肾脏器功能指标变化情况

图片
图片
图片
图片

5  患者治疗期间炎症指标及组织损伤指标变化情况

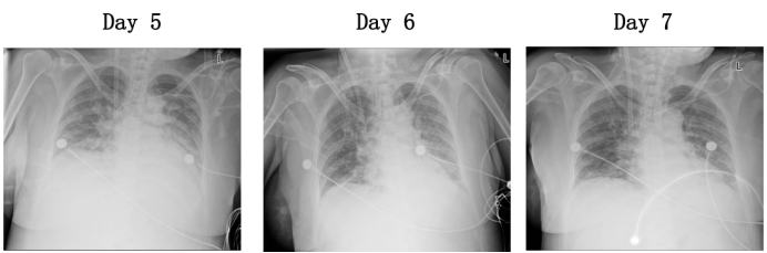
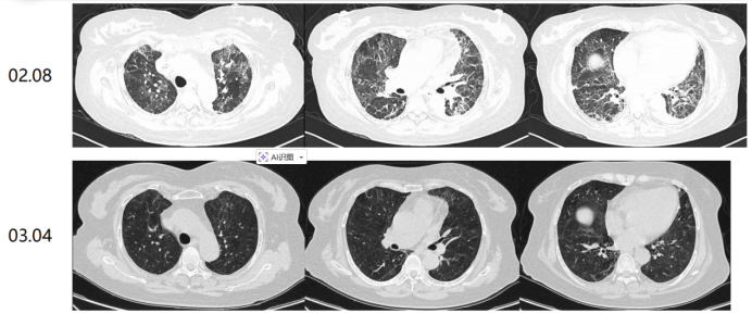
影像学检查显示,患者肺部病变逐渐吸收,出院前复查肺部CT提示肺部浸润影基本消退(图6)。患者住院期间度过除夕及元宵,经过规范治疗后顺利出院,出院后复查肺部情况持续好转(图7),多器官功能恢复正常。

图片
图片

6  患者治疗期间胸片变化情况

图片

图7  患者院内及出院后胸部CT比较


三、总结


(1)早期识别是关键:对于不明原因间质性肺炎患者,需及时筛查肌炎抗体谱,有助于明确自身免疫相关病因,为针对性治疗争取时间。

(2)免疫抑制与抗感染协同:采用激素、免疫抑制剂抑制异常免疫炎症反应,联合血浆置换快速清除致病性抗体时,需同步给予强效广谱抗感染治疗,覆盖病毒、细菌、真菌等多种病原体,避免免疫抑制状态下感染加重。

(3)强化器官支持保障: VV-ECMO维持氧合、机械通气(联合俯卧位)减少肺损伤、CRRT肾脏支持等多器官支持技术的应用, 为患者度过危重期提供重要保障, 是救治成功的重要支撑。



作者介绍

图片

汤思

武汉大学中南医院呼吸危重症医学主治医师医学博士参与国家和省级课题多项,发表多篇SCI及中文核心期刊论文。研究方向:睡眠呼吸障碍。专业特长:擅长呼吸道感染、哮喘、慢阻肺、睡眠呼吸暂停等呼吸系统疾病的诊治。

图片






声明:

本文仅用于学术领域的理论探讨与专业交流,不涉及任何商业推广、产品宣传等非学术用途,亦不作为临床诊疗活动中最终决策的依据。临床实践需根据患者的具体情况选择适宜的处理措施


全部评论 0
Copyright©2020-2026 北京医麦斯科技有限公司 版权所有 京ICP备2020034400号-1 京公网安备11010502043983号