登录方式

方式一:
PC端网页:www.rccrc.cn
输入账号密码登录,可将此网址收藏并保存密码方便下次登录

方式二:
手机端网页:www.rccrc.cn
输入账号密码登录,可将此网址添加至手机桌面并保存密码方便下次登录

方式三:
【重症肺言】微信公众号
输入账号密码登录

注:账号具有唯一性,即同一个账号不能在两个地方同时登录。

登录
方式

为重症救治赋能

为患者康复加速

当前位置:首页 重症实战 病例集锦

肺腺癌化疗后多重感染并发反复发热一例

李晓丹 天津中医药大学第二附属医院呼吸与危重症医学科 发布于2025-12-04 浏览 1016 收藏

作者:李晓丹

单位天津中医药大学第二附属医院呼吸与危重症医学科


一、病例介绍


1. 病例资料

患者男性,70岁,于2025年9月18日入院。主诉发现肺癌1年半,间断发热1月余。

病史:患者1年余前无明显诱因出现咳嗽伴痰中带血丝,伴消瘦、乏力,食欲减退,于外院行抗炎等治疗后未见好转; 20242月胸部CT示:左肺上叶肿物影、纵及左肺门多发肿大淋巴结,遂就诊于肿瘤医院,进一步行相关检查。

既往史:既往有下肢血栓病史1年,规律口服利伐沙班治疗,否认结核病等传染性疾病病史,无家族肿瘤病史及吸烟/饮酒史。

体格检查: 体温36.5℃, 血压125 mmHg, 脉搏95次/分, 呼吸19次/分; 神志清楚, 精神差, 全身浅表淋巴结未触及肿大; 左肺呼吸音低, 双肺可闻及干/湿啰音, 无胸膜摩擦音; 心脏及腹部查体未见明显异常; 双下肢无水肿。

2. 肿瘤基础诊疗过程

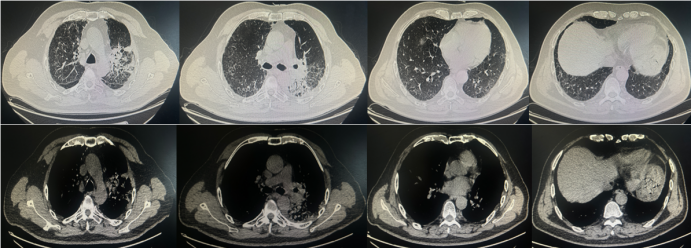
2024年2月,患者无明显诱因出现咳嗽伴痰中带血丝,伴消瘦、乏力、食欲减退,外院予抗炎治疗后症状无改善。胸部CT检查示左肺上叶肿物影、纵隔及左肺门多发肿大淋巴结,双肺胸膜下散在浸润及粟粒样小结节,双下肺肺气肿,左侧肾上腺肿物(图1)
图片

1  患者胸部CT(2024-02-20)

进一步行PET-CT检查提示:左肺上叶前段不规则肿物,考虑周围型肺癌;纵隔内主动脉弓旁及左肺门多发结节,考虑淋巴结转移;左侧肾上腺结节,良性可能性大,不除外转移。

肺穿刺活检确诊为非小细胞癌(倾向腺癌),现有组织主要呈实性型免疫组化CK-pan+TTF-1部分+P40散在+Ki-67(60%+c-met2+~3+,临床分期cT3N2MX(Ⅲb期)。

当时诊断:肺腺癌;纵隔淋巴结转移;肾上腺转移不除外;cT3N2MX。

因基因检测未匹配到靶向药物,患者接受培美曲塞联合卡铂化疗6次,同步放疗30次,末次治疗时间为2024年6月,治疗后肺癌病灶有所缓解。

2024年7月,患者咳嗽、咳痰症状加重,胸部CT示左肺上叶结节及实变影较前缩小,但双肺出现多发斑片状密度增高影,外院考虑感染性病变或放射性肺炎,予抗生素及糖皮质激素治疗后症状反复,并出现胸水,多次胸水检查未发现明确病原菌。

       

二、患者三次住院诊疗经过


2025年8月至9月期间,患者因间断发热1月余先后三次入院,病情呈进行性加重趋势

1. 第一次住院(2025年8月19日-8月28日)

症状: 无明显诱因发热, 最高体温39℃, 伴喘憋、心悸,食欲差, 近1月体重下降5 kg

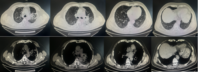
辅助检查:血常规示WBC 2.12×109/LNEU 1.4×109/LLYM 0.4×109/L,均显著降低;Hb 100 g/L,轻度贫血;SAA 23.75 mg/LCRP 21.5 mg/L,炎症指标轻度升高;IL-63.47 pg/mlPCT 0.12 ng/ml;痰培养检出鲍曼不动杆菌。胸部CT示左肺斑片状高密度影双肺间质改变伴炎症渗出,左侧少量胸水(图2)

图片

2  患者第一次住院期间胸部CT(2025-08-19)

诊断: 肺炎; 癌性发热不除外; 左肺恶性肿瘤(腺癌), 淋巴结继发恶性肿瘤, 肺继发恶性肿瘤白细胞减少; 下肢静脉血栓形成

治疗:予阿洛西林钠q8h抗感染,甲泼尼龙40 mg qd抗炎治疗,4天后体温趋于稳定(图3),出院后激素逐渐减量口服,8月25日稳定出院。患者出院时CRP和PCT较入院时整体呈下降趋势(图4)

图片

3  患者第一次住院期间体温变化趋势

图片

4  患者第一次住院期间感染指标变化趋势

2. 第二次住院(2025年9月2日-9月16日)

症状:距第一次出院11天后再次发热,咳嗽、咳白色痰,易咳,时有右前胸疼痛,大便2~3日一行,寐差。

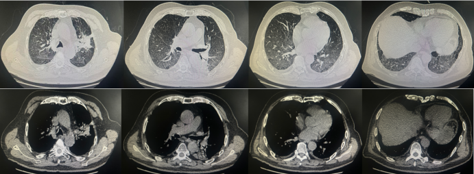
辅助检查:血常规示WBC 2.24×109/LNEU 1.49×109/LLYM 0.46×109/L,仍处于低值Hb 112 g/L;SAA 111.51 mg/LCRP 28.3 mg/LIL-6 10.49 pg/mlPCT 0.1 ng/ml痰培养检出大肠埃希菌。9月2日胸部CT示左肺门肿物较前缩小,伴双肺多发弥漫微小结节(图5)9月10日新冠病毒检测阳性。

图片

5  患者第二次住院胸部CT(2025-09-02)

治疗:患者第二次入院后体温相对平稳,最高37.7℃。予哌拉西林钠他唑巴坦钠4.5 q8h抗感染,甲泼尼龙40 mg qd抗炎,加用先诺特韦2片联合利托那韦1片q12h抗新冠治疗5天,体温逐渐恢复正常后出院(图6)。住院期间建议患者行气管镜检查明确病原学,遭拒绝。患者此次住院期间炎症指标变化趋势见图7。

图片

6  患者第二次住院期间体温变化趋势

图片

7  患者第二次住院期间感染指标变化趋势

3. 第三次住院(2025年9月18日-9月25日)

症状:距上次出院6天后再次出现发热寒战,最高体温39℃,伴口干口苦、乏力、尿失禁,大便溏,寐差。

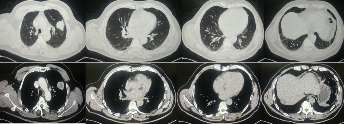
辅助检查:血常规示WBC 5.66×109/LNEU 5.19×109/L,LYM 0.22×109/L;Hb 114 g/L;SAA 249.9 mg/LCRP 79.9 mg/LIL-6 10.49 pg/mlPCT 0.1 ng/ml,血沉26 mm/h;血气分析PaO75.2 mmHgPaCO32.8 mmHg,氧合略低;GM试验、G试验、OT试验及新冠核酸检测均为阴性;呼吸道六项检查示肺炎克雷伯菌核酸及肺炎链球菌核酸均阳性。9月19日胸部CT示左肺门肿瘤伴周围炎症,双侧少量胸腔积液,左肺上叶及下叶实变影较前加重(图8)再次建议患者行气管镜检查。

图片

8  患者第三次住院期间胸部CT(2025-09-19)

治疗: 入院后予厄他培南钠qd抗感染, 甲泼尼龙40 mg qd抗炎。患者体温居高不下(图9), 考虑真菌感染可能,经验性加用伏立康唑抗真菌治疗。9月22日炎症指标显著升高(CRP 194 mg/LPCT 1.04 ng/mlIL-6 549 pg/ml)(图10),调整抗生素为头孢哌酮舒巴坦q8h加强抗感染, 后续体温逐渐下降

图片

9  患者第三次住院期间体温变化趋势

图片
图片
图片

10  患者病程中感染指标变化趋势

回溯患者三次住院期间用药及体温变化,从2025年8月19日入院至9月24日的体温变化与药物调整及胸部影像学演变过程。第一次住院(8月19日-8月25日),予阿洛西林钠2 g q8h联合甲泼尼龙40 mg qd治疗。期间患者体温波动于36.2~37.9℃,以低热为主,最高体温37.9℃,经治疗后体温逐渐趋于正常,但甲泼尼龙全程未停,后续逐步减量并过渡至口服。第二次住院(9月8日-9月15日),调整方案为哌拉西林钠他唑巴坦钠4.5 g q8h、甲泼尼龙40 mg qd,因患者合并新冠病毒感染,加用先诺特韦2片联合利托那韦1片q12h抗新冠治疗。此阶段体温从36.2℃升至37.7℃后逐步回落,维持在36.6~36.9℃之间。第三次住院(9月18日-9月24日),启用静脉厄他培南钠1 g qd、甲泼尼龙40 mg qd、伏立康唑治疗,后因炎症指标升高更换为头孢哌酮钠舒巴坦钠3 g q8h。期间体温波动于36.6~40.2℃,最高达38.5℃。结合胸部CT(8月19日、9月2日、9月19日三次检查),可见双肺存在粟粒样结节改变,左上肺及左下肺实变影较前进展(虽为局限性,但需警惕肺内转移可能)。

因患者体温长期处于较高水平,家属诉求迫切,故同意行气管镜检查以明确病因,于左肺下叶背段及上叶前段病变处行支气管肺泡灌洗,灌洗液(BALF)mNGS检测示结核分枝杆菌复合群(序列数216435)、白念珠菌(序列数3084)、耶氏肺孢子菌(序列数2080)、黄曲霉(序列数16)、人类疱疹病毒1型(序列数29)等多重病原体。此外,BALF曲霉抗原检测、真菌培养、抗酸染色均为阴性结果。

4. 转归与预后

2025年9月25日,根据mNGS检测结果,考虑患者合并结核感染,转至结核病专科医院进一步治疗。后续随访得知,患者转院后5因病情进展死亡。

5. 本病例引发的思考

1)该患者因左肺腺癌化疗后长期处于免疫抑制状态,粒细胞减低,反复出现发热,临床中针对此类反复感染的晚期肺癌患者,应如何设定“病原学检测启动时机”,以缩短诊断周期?

2)患者既往否认“结核病史”,此次发热1月余,结核感染的时间在何时

3)患者肿瘤病史,考虑结核、曲霉及耶氏肺孢子菌感染,应如何评估激素使用时长?


三、病毒性肺炎继发曲霉病的临床特征与发病机制


1. 流行病学特征

1952年BMJ首次报道流感继发肺曲霉感染病例以来,病毒性肺炎相关曲霉病逐渐受到重视。2018年一项多中心回顾性队列研究结果显示:重症流感入住ICU患者IPA发病率为19%(83/432,不同中心发病率介于6%~26%之间);流感(aOR 5.19;95%CI 2.63~10.26;P<0.0001)是罹患侵袭性肺曲霉病的独立危险因素。2020年,COVID-19相关肺曲霉病(CAPA)病例首先在中国报道。2021年一篇综述纳入6193例重症COVID-19患者,发现CAPA发病率为10.9%,死亡率为55.2%。2021年,EORTC-MSG ICU工作组将重症病毒性肺炎(包括流感和COVID-19)纳入侵袭性真菌病临床诊断宿主因素。

中国重症COVID-19患者CAPA发病率处于中高水平,这与新冠病毒对气道上皮屏障的破坏密切相关,为曲霉菌丝侵袭创造了条件。从地域分布来看,5953例观察性研究患者中有79.9%来自欧洲,但中国ICU内CAPA的高发病率仍需重点关注。

2. 发病机制

流感相关肺曲霉病(IAPA)和CAPA具有共同的发病机制特征:①患者伴有过度炎症和气道上皮损伤,影响了纤毛对曲霉孢子的清除和局部真菌免疫;②过度炎症反应激活肺内免疫细胞,释放大量细胞因子(IL-1β、IL-1α、TNF-α、IL-6等),引发免疫紊乱;③特异性易感因素包括肺泡巨噬细胞NADPH氧化酶依赖性ROS产生受抑、糖皮质激素使用、神经氨酸酶抑制剂应用及Ⅰ型和Ⅲ型干扰素抑制,进一步削弱抗真菌免疫功能。

CAPA临床主要表现为气管支气管炎和肺炎,可出现气道炎症、组织侵袭等病理改变,具体包括曲霉气管支气管炎、阻塞性肺炎和侵袭性肺炎三种类型,对应的病理生理机制涉及气道曲霉过度生长、肺泡内菌丝侵袭及继发细菌感染。

3. 危险因素与影像学特点

对罹患CAPA患者的危险因素进行分析,在不同研究中老年患者,严重疾病,免疫抑制宿主(EORTC-MSGERC定义),肺部或肝脏基础疾病被描述为CAPA危险因素,接受糖皮质激素和妥珠单抗治疗也增加了罹患CAPA的风险。此外,在一些研究中还描述了负压病房中患者曲霉感染和定植率的增加,研究者倾向于将患者置于正压或接受抗真菌预防以降低CAPA感染风险。

影像学方面,IAPA和CAPA早期常表现为非典型肺部CT影像,单纯COVID-19感染少见多发肺部结节或肺空洞,若出现此类表现应警惕曲霉感染可能。研究显示,重症流感合并曲霉病患者与非曲霉病患者的X线胸片表现无显著差异,均以双侧肺浸润、单侧肺段广泛实变等为常见表现,缺乏特异性影像学标志。


四、放/化疗相关结核感染的临床考量


1. 感染诱发机制

化疗与放疗通过多种途径增加结核感染风险:①化疗药物(如铂类、紫杉醇)抑制骨髓造血功能,导致中性粒细胞减少,削弱巨噬细胞对结核分枝杆菌的吞噬能力;②放疗诱导胸腺萎缩和T细胞凋亡,降低CD4+T细胞计数,破坏结核免疫应答关键环节,促使潜伏感染复燃;③放/化疗联合治疗损伤呼吸道黏膜完整性,为结核分枝杆菌定植提供条件,易引发支气管结核或空洞性病变;④部分患者在免疫恢复期可能出现免疫重建炎症综合征(IRIS),表现为结核病灶异常炎症反应,需与肿瘤复发鉴别。

2. 免疫重建监测指标

结核感染的诊断与病情评估需结合免疫重建监测指标:①CD4+T细胞动态监测:化/放疗后6个月内每3个月检测,目标值≥350个/μl,持续低于200个/μl提示感染风险升高;②胸腺输出功能评估:通过T细胞受体切除环(TRECs)检测胸腺再生能力,数值回升提示免疫恢复;③结核特异性免疫应答:γ-干扰素释放试验(IGRA)阴转阳提示免疫重建,但需排除淋巴细胞减少症导致的假阴性;④炎症标志物追踪:CRP治疗后应降至<10 mg/L,IL-6水平可反映结核活动性,持续升高需排查耐药或混合感染。

在肿瘤领域的PACIFIC研究中,Durvalumab(度伐利尤单抗)是Ⅲ期非小细胞肺癌免疫治疗的重要药物。研究显示,使用Durvalumab的患者发生免疫相关性肺炎这一不良反应的比例显著升高(33.9% vs 24.8%),其中三级至四级的不可逆性肺炎发生率更高。尤其需要关注的是,处于免疫抑制状态的患者(如肺癌患者接受放/化疗联合免疫治疗后),肺组织损伤的发生风险更为突出,且一旦发生,临床后果往往更为严重。


五、关键诊疗技术与治疗策略


1. 病原学诊断技术:EBUS联合ROSE/mNGS

超声支气管镜(EBUS)作为传统支气管镜与超声技术的结合,显著拓展了气道疾病的诊治范围,其核心优势包括:①快速获取组织标本,减少污染,同时可清理分泌物、处理咯血、改善肺不张;②精确度高、并发症少、微创无痛、手术时间短;③尽早启动病原学诊断,缩短诊断周期,避免病情进展。

EBUS联合ROSE技术可进一步优化诊断效率,超薄支气管镜+EBUS-GS+ROSE组合方案的病灶定位时间、手术时间最短,明确诊断率最高。对于肺癌合并肺部感染患者,EBUS联合mNGS检测的病原体覆盖更广,对细菌、真菌感染的敏感度显著优于传统病原学检测(CMTs),BALF+mNGS组敏感度达81%,而CMTs组仅为21%,敏感度提升60%。国内一项回顾性研究证实,EBUS-TBNA/EBUS-TBLB联合mNGS在诊断吸收消散不佳肺炎(恶性病变占57.80%)时,具有诊断阳性率高、并发症少的特点,有助于帮助临床医师尽早明确诊断。因此,临床上针对罕见病原体、多重感染等导致肺部感染可考虑使用EBUS联合mNGS辅助检查。

EBUS联合ROSE/mNGS的应用条件:在条件允许的情况下,均推荐EBUS获取BALF送检相关病原学检查。尤其当常规病原学检查阴性、疗效不佳或病情迅速进展时,或根据常规病原学检查阳性结果指导治疗,但效果不佳以及免疫抑制患者,或病情较重、亟待病原学指导治疗的情况。

在一例罕见肾癌合并肺部感染的病例报道中,也验证了支气管镜和NGS在感染性疾病病原体检测中具有较高的特异性。文章报道了1例肾癌术后患者行放免治疗出现发热、呼吸困难等症状,但从实验室指标及影响学表现,难以判断病原体,予经验性治疗后,症状无明显缓解。于是行支气管镜下灌洗+mNGS,提示患者合并了耶氏肺孢子菌和EBV双重感染,予抗真菌及抗病毒治疗后,患者发热及呼吸道症状好转。

2. 抗真菌治疗药物选择

伏立康唑作为广谱三唑类抗真菌药物,对烟曲霉、土曲霉、黄曲霉等多种曲霉具有较高活性,被国内外权威指南推荐为侵袭性曲霉病(IA)的一线治疗药物。国内外指南(包括IDSA、ESCMID-ECMM-ERS、中国器官移植受者侵袭性真菌病诊疗规范等)均明确伏立康唑用于IPA、CAPA等疾病的初始治疗或首选治疗,其抗菌活性显著优于氟康唑、伊曲康唑等其他抗真菌药物。


六、总结及思考


针对该病例,我们的总结及思考如下:①对于肿瘤治疗后近1年反复发热伴粒细胞减少的患者,需明确其处于免疫抑制状态还是感染状态;②患者胸部CT粟粒样改变增多,需探究与发热相关还是肿瘤肺内转移所致;③中性粒细胞减少经常规抗炎治疗4~7天后经验性使用抗真菌药物时,需明确激素的使用策略;④肺癌放免治疗后出现发热,在无典型肺结核影像及相关证据时,需考虑能否进行激素冲击;⑤肺恶性肿瘤治疗后出现发热、咳嗽、咳痰及炎性渗出、肺实变影等影像学改变时,需思考是否应立即行EBUS-mNGS检查以尽快完善病原学证据。

向下滑动查看


参考文献

[1] Koehler P, Bassetti M, Chakrabarti A, et al. Defining and managing COVID-19-associated pulmonary aspergillosis: the 2020 ECMM/ISHAM consensus criteria for research and clinical guidance[J]. Lancet Infect Dis, 2021, 21(6):e149-e162

[2] Verweij PE, Rijnders BJA, Brüggemann RJM, et al. Review of influenza-associated pulmonary aspergillosis in ICU patients and proposal for a case definition: an expert opinion[J]. Intensive Care Med, 2020, 46(8):1524-1535. 

[3] Ku YH, Chan KS, Yang CC, et al. Higher mortality of severe influenza patients with probable aspergillosis than those with and without other coinfections[J]. J Formos Med Assoc, 2017, 116(9):660-670. 

[4] Patterson TF, Thompson GR 3rd, Denning DW, et al. Practice Guidelines for the Diagnosis and Management of Aspergillosis: 2016 Update by the Infectious Diseases Society of America[J]. Clin Infect Dis, 2016, 63(4):e1-e60. 

[5] Dadwal SS, Hohl TM, Fisher CE, et al. American Society of Transplantation and Cellular Therapy Series, 2: Management and Prevention of Aspergillosis in Hematopoietic Cell Transplantation Recipients[J]. Transplant Cell Ther, 2021, 27(3):201-211.

[6] Tissot F, Agrawal S, Pagano L, et al. ECIL-6 guidelines for the treatment of invasive candidiasis, aspergillosis and mucormycosis in leukemia and hematopoietic stem cell transplant patients[J]. Haematologica, 2017, 102(3):433-444. 

[7] Ullmann AJ, Aguado JM, Arikan-Akdagli S, et al. Diagnosis and management of Aspergillus diseases: executive summary of the 2017 ESCMID-ECMM-ERS guideline[J]. Clin Microbiol Infect. 2018 May;24 Suppl 1:e1-e38. 

[8] Warris A, Lehrnbecher T, Roilides E, et al. ESCMID-ECMM guideline: diagnosis and management of invasive aspergillosis in neonates and children[J]. Clin Microbiol Infect, 2019, 25(9):1096-1113.

[9] Verweij PE, Rijnders BJA, Brüggemann RJM, et al. Review of influenza-associated pulmonary aspergillosis in ICU patients and proposal for a case definition: an expert opinion[J]. Intensive Care Med, 2020, 46(8):1524-1535

[10] 中华医学会器官移植学分会. 器官移植免疫抑制剂临床应用技术规范(2019版)[J]. 器官移植, 2019, 10(3):213-226.

[11] 中国医师协会血液科医师分会, 中国侵袭性真菌感染工作组. 血液病/恶性肿瘤患者侵袭性真菌病的诊断标准与治疗原则(第六次修订版)[J]. 中华内科杂志, 2020, 59(10):754-763. 

[12] 中国医药教育学会真菌病专业委员会, 中华医学会血液学分会. 造血干细胞移植后侵袭性真菌病中国专家共识(2023年版)[J]. 中华血液学杂志, 2023, 44(2):92-97. 

[13] 中国医师协会呼吸医师分会危重症学组, 中华医学会呼吸病学分会. 重症新型冠状病毒感染合并侵袭性肺曲霉病和肺毛霉病诊治专家共识[J]. 中华结核和呼吸杂志, 2024, 47(1):10-23.

[14] Wang J, Li H, Zhou D. Bronchoalveolar lavage fluid metagenomic next-generation sequencing assay for identifying pathogens in lung cancer patients[J]. Biocell, 2024, 48(4):623-637.

[15] Liu JX, Zhang Q, Bai JS, et al. Rare Co-Infection of the Lungs with EBV and Pneumocystis Carinii in a Patient with Kidney Cancer: a Case Report[J]. Clin Lab, 2023, 69(2). 

图片

作者介绍


图片

李晓

天津中医药大学第二附属医院呼吸与危重症医学科,副主任医师,医学博士,硕士生导师,天津中医药大学基础与临床协同创新人才;天津中医药学会肿瘤专业委员会青年委员,天津市中医药学会呼吸病专业委员会委员,世界中医药学会联合会呼吸病专业委员会理事,世界中医药学会联合会翻译专业委员会会员,中国民族医药学会热病分会理事,天津市中西医结合学会循证医学委员会委员,天津市整合医学学会肿瘤心血管病专业委员会委员;主持国家级自然基金1项,主持天津市教委科研计划青年项目1项,面上项目1项;主持天津市卫生计生委中西医结合科研课题1项;获得国家级科技进步奖1项,参与国家及省部级课题多项,参与国家级重大课题1项;发表论文10余篇,SCI 2篇。

图片

声明:

本文仅用于学术领域的理论探讨与专业交流,不涉及任何商业推广、产品宣传等非学术用途,亦不作为临床诊疗活动中最终决策的依据。临床实践需根据患者的具体情况选择适宜的处理措施。


全部评论 0
Copyright©2020-2026 北京医麦斯科技有限公司 版权所有 京ICP备2020034400号-1 京公网安备11010502043983号