登录方式

方式一:
PC端网页:www.rccrc.cn
输入账号密码登录,可将此网址收藏并保存密码方便下次登录

方式二:
手机端网页:www.rccrc.cn
输入账号密码登录,可将此网址添加至手机桌面并保存密码方便下次登录

方式三:
【重症肺言】微信公众号
输入账号密码登录

注:账号具有唯一性,即同一个账号不能在两个地方同时登录。

登录
方式

为重症救治赋能

为患者康复加速

当前位置:首页 重症实战 病例集锦

重症肺炎宿主免疫力的评估和调控

郭强 苏州大学附属第四医院 苏州大学医学中心 发布于2025-12-04 浏览 1180 收藏

作者郭强

单位苏州大学附属第四医院 苏州大学医学中心 苏州大学重症医学研究所

重症肺炎是由细菌、病毒等病原体感染引发的肺部严重炎症反应,常伴随急性呼吸窘迫综合征(ARDS)、脓毒症等并发症,病死率居高不下。传统治疗聚焦于抗感染与器官支持,但临床中常出现“同病原、同治疗,异预后”现象,核心原因在于宿主免疫状态的个体差异。免疫系统在重症肺炎中呈现“双刃剑”效应:适度免疫应答(如肺泡巨噬细胞吞噬、中性粒细胞NETs释放)可清除病原体;而过度炎症(如细胞因子风暴)或免疫功能低下(如淋巴细胞耗竭)均会加剧肺组织损伤,形成“感染-免疫失衡-器官衰竭”恶性循环。因此,精准评估并调控宿主免疫状态,成为改善重症肺炎预后的关键突破口。


一、典型病例



(一)病例1

1. 一般情况

患者为31岁男性,因“发热伴咳嗽咳痰4天”入院,既往体健。否认慢性及传染性疾病病史,否认手术、外伤及过敏史。

2. 现病史

2025年1月31日,患者发热,体温最高39.7℃,伴咽痛流涕;黄色黏痰,不易咳出;伴胸痛,咳嗽时加重。2月1日,当地医院予抗病毒、化痰治疗。2月3日,患者症状不缓解,精神萎靡,乏力明显;由120送至我院。入抢救室精神萎,查NEU 0.39×109/L,LYM 0.27×109/L,CRP 155.6 mg/L,PCT>100 ng/ml。血气分析:pH 7.48,PaO2 52.2 mmHg,PaCO2 27.2 mmHg,Lac 2.9 mmol/L,予高流量吸氧。

3. 体格检查

体温37℃,脉搏127次/分,呼吸32次/分,血压85/52 mmHg,PaO2 52.2 mmHg高流量吸氧,FiO2 80%。神志清,精神萎靡,口唇干燥;双肺可闻及湿啰音,右肺中部可闻及哮鸣音;心律齐;腹软,肠鸣音3次/分;肌力正常,无水肿。

4. 辅助检查

  • 血常规:WBC 0.72×109/L,NEU 0.39×109/L,LYM 0.27×109/L,Hb 138 g/L,PLT 96×109/L。

  • 炎症指标:CRP 155.6 mg/L,PCT>100 ng/ml,IL-6>5000 pg/ml。

  • 血气分析:pH 7.48,PaO2 52.2 mmHg,PaCO2 27.2 mmHg,Lac 2.9 mmol/L。

  • 生化检验:Cr 284 mmol/L,K+ 3.1 mmol/L,Na+ 127 mmol/L,Glu 2.9 mmol/L。

  • 心功能:cTnT 55.2 pg/ml,BNP>35000 pg/ml,EF 42%,左室收缩功能减退。

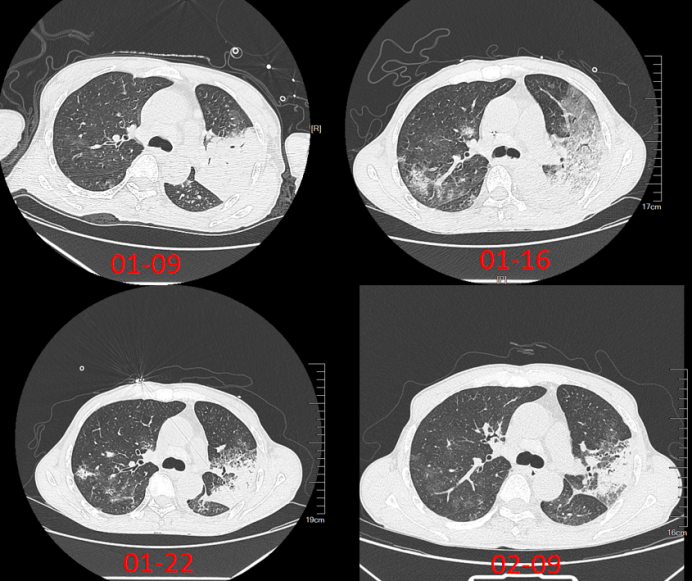
  • 胸部CT:双肺炎症,双上肺胸膜局部增厚。

  • 床旁气管镜:黏膜充血、水肿触之易出血,左侧支气管见大量淡血性渗出。

5. 免疫监测

  • 外周血流式细胞术检测单核细胞表面HLA⁃DR的表达率为15%;

  • 外周血受500 pg/ml内毒素刺激后产生TNF-α 150为pg/ml;

  • CD4/CD8比值<0.5。

免疫应答关键组分的特性与临床意义

图片

抗原及其免疫特性

抗原是能引发免疫应答,与免疫应答产物(抗体、致敏淋巴细胞)特异性结合的物质,具有免疫原性(可与B细胞、T细胞抗原受体结合,刺激细胞活化、增殖、分化)和抗原性(与抗体、致敏淋巴细胞特异性结合)。不完全抗原(如小分子药物)需结合大分子蛋白质或氨基酸才能成为完全抗原。

抗原具有差异性和特异性:机体免疫应答强度受遗传调控,同一个体对不同抗原、不同个体对同一抗原的免疫应答强度存在差异;每个B细胞、T细胞克隆仅表达一种抗原受体,人体可存在超10⁷种不同抗原受体的淋巴细胞克隆(即淋巴细胞库),这也导致抗原-免疫应答体系极为复杂。

抗原的典型类别——脂多糖(LPS)

LPS是革兰阴性杆菌细胞壁的主要成分,属于T1抗原,可引发机体发热反应。它能直接与B淋巴细胞表面受体结合,活化B细胞并诱导抗体应答,是B细胞多克隆激活剂。通过B细胞转化试验可计数活化B细胞数量,间接反映体液免疫功能。但外源性LPS存在批号不稳定性,会导致抗体反应评估结果出现差异,在动物实验和临床研究中需要特别关注。

超抗原与免疫细胞下降

超抗原(如细菌外毒素)与普通抗原不同,其化学本质多为外毒素蛋白或反转录病毒蛋白,仅作用于表达特定VB的T细胞,且可诱导细胞凋亡,这是免疫细胞(尤其是白细胞、淋巴细胞)数量下降的重要机制之一。以金黄色葡萄球菌为例,其产生的外毒素(如中毒性休克综合征外毒素)可激活巨噬细胞,促使其分泌IL-1、IL-6、TNF-α等炎症因子,引发“细胞因子风暴”,加剧组织器官损伤,甚至导致脓毒症休克。

补体系统与感染性疾病

补体是血清或组织液中不耐热、活化后具有酶活性的蛋白质,通过经典、旁路、凝集素三条途径活化,发挥介导细胞溶解、增强吞噬细胞吞噬功能、清除免疫复合物等作用。

补体缺陷与感染性疾病密切相关:①C1q、C1r、C1s缺陷者易发生严重细菌感染;②C2缺陷者常反复出现肺炎球菌、金黄色葡萄球菌等所致肺炎、脑膜炎或菌血症;③C4缺陷者表现为反复发作的全身化脓性细菌感染;④P因子、D因子缺陷者对奈瑟菌属(如脑膜炎球菌)感染高度易感。因此,补体检测在细菌性肺炎、病毒性肺炎等感染性疾病的早期诊断中具有重要价值。

细胞因子与细胞因子风暴

细胞因子是免疫原或其他细胞刺激免疫细胞产生的小分子可溶性蛋白,调控免疫与非免疫系统的发育和功能;趋化因子参与免疫细胞循环归巢;细胞因子受体为跨膜分子,介导信号转导。

细胞因子风暴是微生物感染或生物药物诱发的短期大量细胞因子分泌现象,会导致组织器官损伤。其发生存在正反馈机制,但机体的先天性免疫和适应性免疫可通过“识别-集结-效应-恢复”的经典路径限制炎症反应,目前针对细胞因子风暴的干预研究多聚焦于阻断特定信号途径。

免疫细胞功能的CD分子标记

CD是对同一分化抗原的单克隆抗体命名体系,可用于免疫细胞功能分析:①T细胞:CD3、CD4、CD8、CD40L、CD152;②B细胞:CD19、CD20、CD21、CD40;

NK细胞:CD16、CD56、CD94、CD158、CD161。

通过流式细胞术检测这些CD分子,可以明确T、B、NK细胞的功能状态,为免疫调控研究和药物开发(如基于分化抗原的大分子干预药物)提供依据,但相关药物仍需进一步临床评价。

人类白细胞抗原(HLA)的作用

HLA定位于6号染色体,多个紧密连锁的基因座位,主要功能是将抗原递呈给T淋巴细胞,参与免疫应答和免疫调节。通过监测HLA相关的T细胞免疫应答,可辅助重症感染的诊断与病情评估,在免疫调控研究中具有不可替代的价值。

6. 影像学检查

202523胸部CT:双肺炎症;双上肺胸膜局部增厚;纵稍大淋巴结;脂肪肝;肝内钙化灶。

             

7. 入院诊断

重症肺炎;急性呼吸衰竭;心功能不全(脓毒性心肌病);肾功能不全;低钾血症;低钠血症。

8. 入院治疗

20252319:35入院,高流量吸氧,脉氧无法维持(SpO2 80%~85%)。

202524日00:05气管插管、镇静镇痛、机械通气、血管活性药物维持血压;予美罗培南+万古霉素+伏立康唑抗感染;脉氧饱和度仍仅维持在90%。同时予胸腺肽+生长因子免疫支持。

202524日16:00 VV-ECMO上机:右侧股静脉,右颈内静脉置入ECMO导管,肝素抗凝。ECMO参数:转速3515 r/min,气体FiO2 100%,气体流量4.15 L/min。呼吸机参数:氧浓度45%,PEEP 11 cmH2O,潮气量420 ml。

9. 病原学检查

202523日,呼吸道核酸检测结果提示甲流病毒阳性;灌洗液培养结果为金黄色葡萄球菌(产PVL毒素)。加用玛巴洛沙韦和奥司他韦。202525日,血培养结果为金黄色葡萄球菌。加用达托霉素和头孢唑林(图1)

图片

1  患者入院后抗感染药物使用情况

10. 呼吸支持

氧疗:VV-ECMO+机械通气支持,后患者血流动力学仍进行性恶化,乳酸持续偏高,28日启动VAV-ECMO持续小潮气量、肺保护性通气,间断俯卧位通气(后血小板进行性下降暂停)。患者病程进展迅速,1周内急剧恶化呼吸力学参数异常(表1)

1  治疗过程ECMO及呼吸机参数

图片

11. 疗效分析

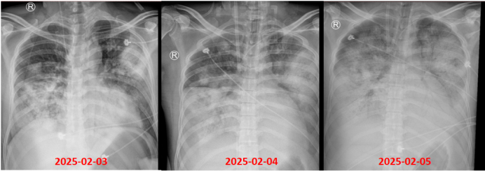
经过前述治疗,患者仍存在脏器功能障碍与炎症表现(图2-图4),床旁胸片示肺部病变快速进展,呈“白肺”样改变(图5)
图片

2  患者心功能指标变化情况

图片

3  患者体温和感染指标变化情况

图片

4  患者血气分析指标变化情况

图片

5  患者胸片变化情况

12. 明确噬血细胞综合征(HLH)诊断

患者入院即存在粒系、巨核系减少,入院后出现全血细胞减少且血小板进行性下降,凝血功能差,伴发热,血液系统疾病不能排除;血液系统疾病首先考虑血栓性血小板减少性紫癜TTPHLH

HLH诊断八项标准:①发热;②脾肿大(无);③血细胞减少;④高甘油三酯血症或低纤维蛋白原血症;⑤吞噬现象;⑥铁蛋白过载;⑦NK细胞活性降低或缺失(未明确);⑧sCD25升高(未明确)。本例患者符合其中5项。

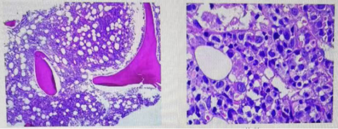
完善骨髓穿刺:形态:骨髓增生活跃,噬血细胞易见;病理:骨髓增生明显活跃,见一类异型细胞增生(未进一步行免疫组化)(图6)
图片

6  骨髓穿刺病理结果

最终诊断:重症肺炎;急性呼吸衰竭;血细胞综合征;脓毒性心肌病;肾功能不全;低钾血症,低钠血症。

2025年2月8日复查胸部CT:两肺渗出较前明显进展。

               

13. 治疗结局

1)原发病:美罗培南+万古霉素+伏立康唑抗感染治疗;气管插管口可持续吸出大量淡血性混合痰

2)呼吸支持:VAV-ECMO+机械通气支持,持续小潮气量、肺保护性通气,氧合仍进行性恶化

3)并发疾病:重症感染诱发HLH,免疫失能,恶性循环

4)内环境:乳酸进行性升高,酸中毒致神经、血液等多系统功能不全

5)血凝:感染、休克多重打击致,肝功能异常,凝血功能异常,暂停肝素抗凝

6)循环:血流动力学进行性恶化,需大剂量去甲肾上腺素维持

最终家属放弃治疗,自动出院。

14. 病例启示

笔者团队本例患者进行病原学全基因组测序:排除甲流病毒变异及其他新型病毒可能;确认病原体为PVL阳性金黄色葡萄球菌,排除其新变异株可能。在病原学无特殊变异的情况下,宿主免疫紊乱是导致病情快速进展的主要因素。结合患者多系统功能衰竭、炎症指标高、细胞因子风暴倾向及脏器功能指标,提示患者免疫调节严重失衡,预后不佳

H1N1肺组织病理及免疫病理研究来看,病毒感染引发的肺损伤不仅涉及炎症因子、CD8+T细胞的改变,巨噬细胞的作用也日益凸显。在组织病理层面(以H1N1为例),病毒可诱发弥漫性肺泡损伤、透明膜形成、坏死性细支气管炎及广泛肺出血等病变(如渗出性弥漫性肺泡损伤、坏死性细支气管炎表现)。而在免疫病理机制中,巨噬细胞、肺泡上皮细胞及内皮细胞表面TLR-3受体的持续激活,会促使肺泡巨噬细胞大量分泌IFN-γ,同时伴随CD8+T细胞、颗粒酶B+细胞的免疫应答增强,最终通过“细胞因子风暴”放大炎症反应,导致脏器损伤。这提示我们,巨噬细胞在病毒感染的免疫应答中并非“沉默者”,其通过TLR-3通路参与的免疫激活,是细胞因子风暴形成及重症进展的关键环节之一,既往对其作用的认知需进一步深化。


(二)病例2

患者为58岁男性,入院检查:WBC 1.59×109/L,LYM 0.11×109/L;病原学提示甲流合并链球菌血流感染。外周血流式细胞术检测单核细胞表面HLA-DR表达率为30%;患者外周血受500 pg/ml内毒素刺激后产生的TNF-α为250 pg/ml;CD4/CD8比值为0.7。治疗1个月后病情好转,顺利出院。患者诊治期间胸部CT变化如图7所示。

图片

7  病例2胸部CT变化情况

从病例1与病例2的临床进程可见,尽管二者基线状态相似,最终转归却存在显著差异,其核心原因在于他们基础免疫状况不同。这一现象凸显了在患者入院初期开展系统性免疫评估的重要性,通过对免疫功能的精准判断,可为后续诊疗策略的制定提供关键依据,进而更好地预测病情走向与干预效果。


二、重症肺炎宿主免疫力的评估与调控


免疫系统的调控机制具有高度复杂性,这源于免疫系统与非免疫系统的双向交互,以及免疫细胞间、免疫分子间的多维度作用。从功能上看,免疫调节通过精准调控,可自主维持机体免疫内环境的稳态。免疫调节的关键环节之一是细胞死亡的调控。生理状态下,免疫调节可诱导正常的细胞死亡,而病理性细胞死亡会打破免疫平衡。近年来研究热点分子ZBP1(一种识别Z型核酸的蛋白),其下游可激活Caspase-8、Caspase-9等中游通路,参与细胞死亡的调控;若免疫调节异常导致细胞异常死亡,会引发宿主细胞大量损伤,进而破坏肺等脏器的内环境稳定。

T细胞相互作用层面,辅助性T细胞亚群(Th1、Th2)存在相互促进与抑制的动态平衡(如Th1分泌的IFN-γ促进自身分化并抑制Th2增殖,Th2分泌的IL-4促进自身分化且IL-10抑制Th1活化);调节性T细胞则通过细胞接触或分泌IL-10、TGF-β等因子,抑制效应性免疫细胞活化,同时参与巨噬细胞的功能调控。在重症肺炎等场景中,巨噬细胞数量常显著下降,调节性T细胞的免疫调控作用对维持免疫平衡至关重要。

从免疫应答时相来看,机体受病原体刺激后,可依次启动固有免疫应答和适应性免疫应答:针对一类病原体或损伤的自身细胞释放的共有保守组分(PAMP/DAMP)产生应答,分泌炎症因子/增强MHC分子等,启动非特异性固有免疫;适应性免疫则由T、B细胞针对病原体的特异性化学基团,产生抗原特异性的免疫应答,其产物(如抗体、活化T细胞)可与抗原精准结合。在重症肺炎等疾病进程中,固有免疫作为“先天防御防线”启动早期应答,适应性免疫则在后续阶段通过T、B细胞反应参与病原清除与组织修复,二者在不同时间点的协同与调控,成为影响病原学控制和组织修复的关键免疫因素

1. 重症肺炎疾病背景与免疫病理机制

重症肺炎的病理过程是病原体与宿主免疫网络相互作用的结果,其病情进展取决于免疫应答的适度性、病原体毒力强度及组织修复效率。

免疫细胞在重症肺炎的免疫应答中发挥特异性功能:肺泡上皮细胞通过黏膜纤毛清除、黏蛋白抗菌等机制参与防御;血小板释放促炎与趋化介质,与白细胞交联并促进NETs释放;肺泡巨噬细胞承担吞噬、细胞内杀伤及促炎介质释放功能;中性粒细胞通过吞噬作用、NETs形成及免疫细胞招募参与炎症反应。这些细胞的功能失衡是免疫失调的重要表现。

重症肺炎的发生与宿主免疫失衡密切相关,一方面,免疫防御不足,如免疫抑制、免疫衰老等情况,会导致机体无法有效清除病原体;另一方面,免疫反应过度,失控的炎症反应(如细胞因子风暴、炎症因子风暴)会引发组织损伤,进而导致ARDS、多器官功能障碍综合征(MODS)等严重后果。此外,在过度炎症后或某些特定状态下,还会出现继发性免疫抑制、耗竭状态(如脓毒症相关免疫麻痹),即免疫失衡/麻痹,这会显著增加继发感染的风险。

2. 重症肺炎的免疫评估体系

2.1  免疫评估的意义

重症感染患者的免疫功能呈动态变化且个体差异显著,准确全面的免疫评估是指导临床干预的前提。免疫评估可实现多项目标:精准识别免疫状态(过度、抑制、麻痹、耗竭、耐受),预测疾病严重程度和预后,指导个体化免疫干预,以及监测治疗反应。

2.2  免疫状态分类及特征

1)免疫过度:即全身炎症反应综合征(SIRS),重症感染初始阶段,单核细胞和中性粒细胞等先天免疫细胞释放高水平的促炎细胞因子,产生“细胞因子风暴”,患者表现为发热、难治性休克、酸中毒和高分解代谢状态。在这种状态下,患者血清中IL-6水平明显升高,单核细胞表面HLA-DR(mHLA-DR)表达基本正常,淋巴细胞计数基本正常。

2)免疫麻痹:这是一种更严重的免疫抑制状态,患者感染持续加重或反复,多造成不良预后。有研究者尝试将免疫麻痹定义为:①患者外周血流式细胞术检测单核细胞表面HLA-DR表达率<30%或每个细胞<8000~12000个克隆;②患者外周血受500 pg/ml内毒素刺激后产生的TNF-α<200~300 pg/ml;③CD4/CD8比值<1.4。

3)免疫抑制:由于免疫细胞数量减少和功能降低,导致患者对病原体的清除能力下降,住院时间延长。此时患者外周血IL-10水平升高,mHLA-DR表达量下降,淋巴细胞计数减少,CD4+T细胞减少尤为明显。

4)免疫耗竭:由于长时间暴露于持续性抗原和炎症刺激,机体免疫细胞(主要为T细胞)逐渐失去效应功能,这种现象被称为免疫耗竭。主要表现为免疫细胞表面的抑制性分子,如程序性死亡受体1(PD-1)、Tim-3、细胞毒性T淋巴细胞相关蛋白4(CTLA-4)、淋巴细胞活化基因3(LAG-3)等的表达明显上调,调节性T细胞(Treg细胞)的比例和数量明显增加。

5)免疫耐受:是一种机体在进化方面的保守防御策略,对宿主的病原体负荷不产生直接的负面影响,能有效控制免疫反应对机体的损伤。

2.3 免 疫功能评估指标

免疫功能评估涵盖了多维度指标,具体见表2。

2  免疫功能评估指标

图片

2.4  单细胞多组学指导免疫分型

单细胞多组学技术为精准免疫分型提供了新工具。ChristophBock团队通过JAK-STAT通路突变小鼠模型研究证实,JAK-STAT不仅是免疫应答的"开关",更是维持免疫平衡的"调光器",其基础活性的精细调控决定细胞倾向过度、抑制或耐受状态,为精准免疫分型提供了分子路标。

3. 重症肺炎的免疫调控策略

3.1  免疫调控的目标

在肺炎的发生发展中,病原-宿主免疫网络的协同互作是引发适度免疫反应介导病原体有效清除、促进组织再生修复的关键,而宿主免疫失调或病原体作用下免疫逃逸的发生则会导致细胞因子风暴、病原体残留及慢性肺组织损伤。免疫调控的核心目标是纠正免疫失衡、保护宿主组织并改善临床结局,需根据免疫状态实施靶向干预。

3.2  针对免疫过度/细胞因子风暴的调控

1)药物干预:中低剂量糖皮质激素(如甲强龙40~80 mg/d)在COVID-19重症、PJP合并ARDS等场景中证据明确,需严格把控时机、剂量和疗程;IL-6拮抗剂(托珠单抗、Sarilumab)适用于高炎症状态患者,IL-1拮抗剂(阿那白滞素)为CAP高炎症表型的研究热点,JAK抑制剂(巴瑞替尼、托法替布)可抑制多种炎症信号。TNF-α抑制剂(英夫利昔单抗等)证据有限,需谨慎

2)神经免疫轴干预:重症肺炎激活中央杏仁核(CeA)GABA能神经元,通过CeA→RVLM→肺交感神经通路释放去甲肾上腺素,驱动细胞因子风暴。抑制CeA神经元或使用ADRB2拮抗剂(ICI 118551)可改善预后,临床应避免使用激活GABA能神经元的镇静药,优先选用α2激动剂。

3)代谢重编程调节:衣康酸(Itaconate, ITA)通过增强巨噬细胞脂肪酸氧化(FAO)和PPARγ信号通路,抑制TLR/NOD样受体炎症通路,鼻内给药或腹腔注射均能减轻肺损伤。

4)靶向递送系统:中性粒细胞膜包裹替考拉宁(Teic@NEV)降低肺炎组织中MMP-8/9(基质金属蛋白酶)、S100A8/A9(钙卫蛋白)和促炎因子(IL-1β、IL-6、TNF-α)的表达,同时维持免疫清除功能,为兼具"精准抗菌"和"免疫稳态调节"的双功能制剂开发提供思路。

3.3  针对免疫抑制/免疫麻痹的调控

1)免疫刺激因子应用:GM-CSF可逆转单核细胞麻痹,提升mHLA-DR表达;胸腺肽α1(Tα1)调节树突细胞功能,提高CD4/CD8比值并降低病死率;干扰素(IFN-β/γ)在增强抗病毒免疫中的作用仍在研究中。

2)免疫代谢与营养干预:富含IgA/IgM的免疫球蛋白(IgMA)可改善中性粒细胞吞噬功能,延迟使用会显著增加病死率;早期高脂-蛋白肠内营养可降低TNF-α、IL-6水平,抑制过度炎症。

3)趋化信号调控:肺泡上皮和血管内皮细胞的CXCR2通过跨细胞转运形成趋化梯度,指导中性粒细胞定向迁移,开发仅阻断造血细胞CXCR2的策略更具安全性。

3.4  针对免疫耗竭/免疫耐受的调控

1)靶向耗竭性免疫细胞:重症肺炎中T细胞耗竭伴CD8+T细胞毒性减弱,阻断PADI4介导的中性粒细胞NETosis可改善T细胞功能;中性粒细胞过度活化分化的PMN-MDSCs会抑制T细胞功能,LOX-1/PD-L1可作为关键生物标志物。

2)耐受性树突状细胞(tolDC)调控:tolDC功能依赖Prdm16和RORγt蛋白,其缺陷会加剧肺损伤。重症肺炎常伴肠道屏障损伤与菌群失调,tolDC可能通过调节肠道-肺轴发挥保护作用,需开发床旁快速检测技术。



三、总结与启发


危重症患者免疫功能的量化评估与调控对临床和科研都具有重大意义,目前研究发现的生物标志物大都与临床预后相关,虽然可以反映患者的免疫功能状态,但仍需要筛选出具有特异性、稳定性、便捷性且与疾病严重程度明确相关的指标作为标准。

宿主免疫失调是重症肺炎发生发展的核心环节,免疫过度、抑制、麻痹、耗竭等状态均会影响病情进展。综合临床症状、实验室指标及功能检测(如mHLA-DR)的免疫评估体系,是精准诊疗的基础。免疫调控需遵循个体化原则,根据免疫状态选择抑制过度炎症、增强免疫防御或协同干预策略。现有调控药物(激素、IL-6抑制剂、GM-CSF等)有明确适应证和局限性,基础抗感染和支持治疗仍是诊疗的基石。

未来,需要开发更精准、快速、床旁可用的免疫评估工具,满足临床实时监测需求;深入探索免疫失调的异质性和动态演变规律,完善免疫分型体系;挖掘新的治疗靶点,研发兼具特异性和安全性的免疫调控药物;开展高质量随机对照试验,验证现有及新兴免疫疗法的疗效与安全性;推动基于免疫表型的个体化精准治疗模式在临床的普及应用。

向下滑动查看


参考文献

[1] Torres A, Cilloniz C, Niederman MS, et al. Pneumonia[J]. Nat Rev Dis Primers, 2021, 7(1):25. 

[2] 中国医师协会急诊医师分会. 中国急诊重症肺炎临床实践专家共识[J]. 中国急救医学, 2016, 36(2):97-107.

[3] 徐建桥, 解立新. 危重症患者免疫功能量化评估[J]. 中华医学杂志, 2021, 101(48):3917-3920.

[4] Fortelny N, Farlik M, Fife V, et al. JAK-STAT signaling maintains homeostasis in T cells and macrophages[J]. Nat Immunol, 2024, 25(5):847-859.

[5] Li W, Zhu H, Zou X, et al. A brain-to-lung signal from GABAergic neurons to ADRB2+ interstitial macrophages promotes pulmonary inflammatory responses[J]. Immunity, 2025 May 28:S1074-7613(25)00226-2.

[6] Jiang Y, Yang P, Yao B, et al. Prophylactic and therapeutic itaconate treatment alleviates COVID-19-associated lung injury[J]. hLife, 2025. DOI: 10.1016/j.hlife.2025.06.006

[7] Lu H, Zhang K, Zhang W, et al. Inflammation-targeting and self-limited neutrophilic membrane-encapsulated teicoplanin for the treatment of infectious pneumonia[J]. Trends Biotechnol, 2025 Jun 14:S0167-7799(25)00175-1.

[8] Thomas K, Rossaint J, Ludwig N, et al. Alveolar epithelial and vascular CXCR2 mediates transcytosis of CXCL1 in inflamed lungs[J]. Nat Commun, 2025, 16(1):4846.

[9] Xiao K, Cao Y, Han Z, et al. A pan-immune panorama of bacterial pneumonia revealed by a large-scale single-cell transcriptome atlas[J].Signal Transduct Target Ther. 2025 Jan 6;10(1):5. 

[10] Hsieh LL, Thompson EA, Jairam NP, et al. SARS-CoV-2 induces neutrophil degranulation and differentiation into myeloid-derived suppressor cells associated with severe COVID-19[J]. Sci Transl Med,. 2025, 17(799):eadn7527.

[11] Fu L, Upadhyay R, Pokrovskii M, et al. PRDM16-dependent antigen-presenting cells induce tolerance to gut antigens[J]. Nature, 2025, 642(8068):756-765.



作者介绍

图片

郭强

医学博士,主任医师,教授,学术型博导,苏州大学重症医学研究所所长,苏州大学附属第四医院副院长,美国伊利诺伊大学(芝加哥)呼吸和危重病医学中心博士后;入选教育部“长江学者”奖励计划,江苏省医学重点人才,全国卫生健康系统新冠肺炎疫情防控工作先进个人;中华医学会细菌感染与耐药防治分会委员,中华医学会呼吸病学分会呼吸康复学组副组长、危重症学组委员,中国医师协会呼吸医师分会青委会副主任委员、危重症学组委员,中华预防医学会呼吸病学分会委员、流感防控分会委员,江苏省医学会细菌感染与耐药分会副主任委员、重症医学分会委员,苏州市医学会细菌感染和耐药防治分会主任委员。
图片

声明:

本文仅用于学术领域的理论探讨与专业交流,不涉及任何商业推广、产品宣传等非学术用途,亦不作为临床诊疗活动中最终决策的依据。临床实践需根据患者的具体情况选择适宜的处理措施。


全部评论 0
Copyright©2020-2026 北京医麦斯科技有限公司 版权所有 京ICP备2020034400号-1 京公网安备11010502043983号