登录方式

方式一:
PC端网页:www.rccrc.cn
输入账号密码登录,可将此网址收藏并保存密码方便下次登录

方式二:
手机端网页:www.rccrc.cn
输入账号密码登录,可将此网址添加至手机桌面并保存密码方便下次登录

方式三:
【重症肺言】微信公众号
输入账号密码登录

注:账号具有唯一性,即同一个账号不能在两个地方同时登录。

登录
方式

为重症救治赋能

为患者康复加速

当前位置:首页 重症实战 病例集锦

探案|“躺不下去”的呼吸困难

肖冠华 南方医科大学南方医院呼吸与危重症医学科 发布于2025-12-04 浏览 3247 收藏

作者肖冠华

单位南方医科大学南方医院呼吸与危重症医学科


一、病例资料


1. 一般情况

患者,女,68岁,2025年6月11日由急诊留观2天后收入南方医院惠侨楼综合部病房。主诉:呼吸困难2月余,加重3天。

2. 现病史

患者2月余前无明显诱因出现活动后呼吸困难,快走及步行数百米需停下休息,伴颈部紧绷感、抬颈无力,夜间可平卧,自认为“颈椎病”,自行贴“止痛药膏”治疗,症状无明显好转或加重。202563于当地县中医院住院,动脉血气:pH 7.46PaO2 68.82 mmHgPaCO2 31.88 mmHg;K+ 3.3 mmol/L,BNP 28.96 pg/ml;胸片:慢性支气管炎心影增大颈椎CT:颈椎退行性变C2C7椎间盘突出。诊断为“低氧血症;低钾血症;颈椎间盘突出”,予氧疗、营养神经、康复理疗等处理,症状无改善。202569因弯腰洗头后出现呼吸困难加重,无法平卧,平卧则呼吸急促,端坐位可缓解。转我院急诊科就诊(具体见后述),留观2天均坐轮椅,现为进一步诊治收入我科。病程中,无发热、咽痛,无鼻塞流涕,无咳嗽咳痰,无胸痛咯血,无头痛、恶心呕吐,无腹痛腹泻,无肌力下降。

3. 既往史及个人史

既往体健,否认高血压糖尿病、慢性肺病等基础疾病;无吸烟、饮酒史,无毒物接触史,平时易焦虑、紧张。

4. 检验检查(急诊科)

  • 血气分析(FiO2 33%):pH 7.491,PaO2 70.50 mmHg,PaCO2 33.83 mmHg,HCO3S 26.90 mmol/L,氧合指数(OI)214 mmHg。

  • 血常规:WBC 10.01 G/L,NEU 8.03 G/L,NEU% 80.2%,LYM 1.41 G/L,HGB 133 g/L,PLT 220 G/L。

  • 心脏指标:Pro-BNP 1050 pg/ml,肌钙蛋白0.035 ng/ml。

  • 生化:K+ 3.40 mmol/L,CRP 20.72 mg/L,PCT 0.061 ng/ml,肝肾功能正常。

  • 凝血:PT、APTT正常,Fbg 3.68 g/L,D-二聚体0.65 μg/ml FEU。

  • 自身抗体14项:ANA弱阳性,余阴性。

5. 治疗(急诊科)

予吸氧、补钾、利尿、头孢哌酮舒巴坦钠抗感染。同时请心内科、神经内科、呼吸内科、耳鼻喉科、全科、心外科、胸外科会诊,安排系列相关检查。

6. 完善检查(急诊科)

  • 床边心超:左室壁运动不协调;室间隔增厚;主动脉瓣、二尖瓣反流(轻度)。

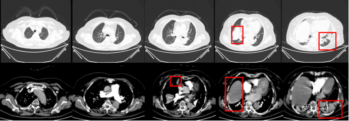
  • CT肺动脉造影(CTPA)(图1)①多发肺动脉分支显影浅淡,多考虑肺内实变压迫管腔所致;心影增大;主动脉硬化;②双肺多发斑片状稍高密度影伴部分实变影,双肺下叶为著,考虑炎症可能;③纵隔心影右侧旁斑片状稍高密度影,心包囊肿或肿瘤性病变待排;④肝脏密度减低,考虑脂肪肝;⑤胸椎退行性变。

图片

1  患者CTPA图像(2025-06-10)

注:红框部分,笔者会诊时考虑为膈肌抬高、肺不张。

  • 心电图:窦性心律,T波改变。

  • 肌电图+重复神经电刺激:未见异常。

7. 初步诊断

呼吸困难查因Ⅰ型呼吸衰竭;双下肺不张并实变;颈椎病;心包囊肿或纵隔肿瘤待排。


二、收入院(惠侨楼综合部呼吸医疗组)检查


1. 入科查体

体温36.3℃,脉搏82次/分,呼吸20次/分(平卧后呼吸浅快,25~40次/分),血压135/78 mmHg,SpO2 95%(吸氧5 L/min,平卧后可下降至88%~90%)。神情紧张不安,双侧呼吸动度减弱,双下肺呼吸音减弱,未闻及干/湿啰音。心腹查体无异常。颈椎轴线好,生理弧度存在,颈部双侧肌紧张,轻压痛、轻叩击痛,活动稍受限,无肿胀,双上肢及下肢无麻木感,四肢肌力正常,病理征阴性。

2. 实验室检查

  • 血气分析:pH 7.462 PaCO2 41.03 mmHgPaO2 65.85 mmHgHCO3S 28.10 mml/L,OI 199 mmHg

  • 血常规:WBC 8.34 G/LMONO 0.67 G/LLYM 0.81 G/LHGB 124 g/LPLT 190 G/L

  • 感染指标:CRP 8.18 mg/L, PCT 0.055 ng/mlIL-6 15 pg/ml。

  • 心脏指标:Pro-BNP 807 pg/ml,hsTNT 0.022 ng/ml

  • 凝血功能:D-二聚体0.65 μg/mL FEU,PTAPTT正常

  • 电解质六项(K+ 3.6 mmol/L)肝肾功(ALB 40.2 g/LScr 49 μmol/L)正常

  • 甲功三项肺癌五项血管炎四项肌炎抗体26项尿便常规未见异常

  • 新型冠状病毒核酸阳性。

3. 辅助检查

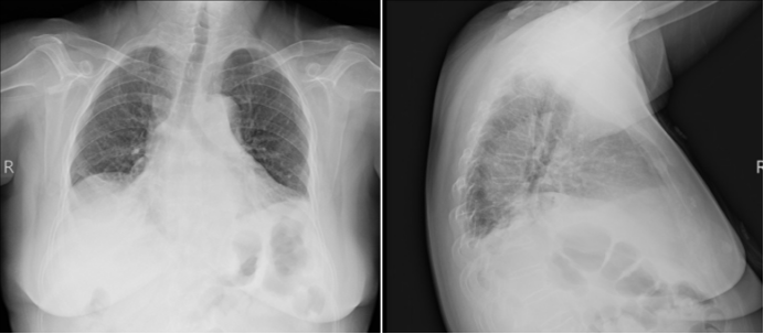
  • 胸部正侧位、颈椎动力位+双斜位(图2):两肺间质性肺炎;双侧少量胸腔积液;主动脉硬化;颈椎、胸腰椎退行性变。

图片

2  患者胸部正侧位、颈椎动力位X线片

  • 膈肌超声检查:双侧膈肌最大吸气末运动幅度值偏低右侧膈肌增厚率测值约25%;左侧膈肌增厚率测值约29%双侧膈肌厚度测值未见明显异常。(检查中患者难以坚持平卧,紧张焦虑不安)

  • 动态胸片下横膈垂直位移图表:平静呼吸时间,两侧膈肌运动曲线平滑,对称,未见锯齿样改变(图3);深呼吸时双侧膈肌活动度严重受限,并伴有锯齿状运动模式(图4)。由此得出结论:患者呼吸运动配合欠佳,双侧膈肌平静呼吸、尽力呼吸位差均小于30 mm,考虑双侧膈肌功能障碍。

图片

3  平静呼吸时膈肌垂直位移图

图片

4  深呼吸时膈肌垂直位移图

  • 彩超:腹部、双下肢静脉未见明显异常。

  • 肺功能:中度限制性通气功能障碍,舒张试验阴性。

4. 病例特点

  • 老年女性,无高血压、糖尿病、冠心病、慢阻肺等基础疾病

  • 慢性病程急性加重,以呼吸困难为主要表现,平卧加重,无其他呼吸道感染症状,双侧呼吸动度减弱,听诊无啰音

  • 感染指标轻度升高,Ⅰ型呼吸衰竭,新冠病毒核酸阳性,双下肺实变,限制性通气功能障碍,双侧膈肌功能障碍。


三、鉴别诊断思路


1. 肺源性疾病

1.1  鉴别诊断

1)重症肺炎(新型冠状病毒感染相关):患者新冠病毒核酸阳性、Ⅰ型呼吸衰竭,CT影像提示双下肺实变,但除呼吸困难外,无发热、咳嗽咳痰等其他呼吸道症状,血象正常,CRP、PCT、IL-6轻度增高,影像经验上更倾向于膈肌抬高合并肺不张,可诊断肺部感染,但不支持重型新冠等重症肺炎。推测:新冠病毒感染或许是慢性呼吸困难急性加重的诱因!

2)重度哮喘/慢阻肺急性加重:既往无病史,无吸烟史,无咳嗽,肺部无喘鸣,肺功能不支持,且无法解释“躺不下去”,可排除。

3)肺栓塞/胸膜腔疾病/肺间质病:CTPA无肺动脉栓塞征象,肺间质改变不典型,可排除。

1.2  治疗措施

予患者HNFC、心电监护奈玛特韦/利托那韦+哌拉西林他唑巴坦抗感染甲强龙40 mg/d(6月12日开始,5 d)抗炎;同时予人免疫球蛋白20 g/d(6月13日开始)依诺肝素预防性抗凝,俯卧位通气每天6 h。【注:因患者病情危重,初始治疗策略仍以重症新冠肺炎展开】

2. 心源性疾病

2.1  鉴别诊断

支持点:老年女性,慢性呼吸困难,端坐呼吸,血Pro-BNP、肌钙蛋白增高,限制性通气功能障碍。

不支持点:无心血管基础疾病,无咳嗽、咳粉红色泡沫痰,听诊肺部无啰音、下肢无浮肿,Pro-BNP轻度增高与严重呼吸衰竭无法匹配,肺部影像不支持,心电图未显示心律失常,心脏彩超提示射血分数正常、瓣膜功能正常,可基本排除,考虑缺氧继发心功能受损。

2.2  处理措施

加强容量管理,监测心功指标。

3. 神经肌肉性疾病

3.1  鉴别诊断

支持点:平卧后加重,限制性通气功能障碍,双侧膈肌功能障碍,高度考虑为主要病因。

3.2  处理措施

1)2025年6月12日脊柱骨科会诊:患者颈部不适2月余,无四肢活动感觉障碍,无行走不稳踩棉花感。外院颈椎MRI:颈椎退行性改变,多个椎间盘轻度突出,神经未见明显受压,脊髓信号正常。专科查体:一般情况可,四肢肌力感觉正常,双上肢Hoffman阴性,腱反射正常。考虑:颈椎退行性改变;骨质疏松。意见:颈椎问题暂无需处理。

2)重症肌无力:进一步完善重症肌无力抗体,结果回报后神经内科会诊。

4. 精神心理性疾病

2025年6月13日心理科会诊意见:坦度螺酮抗焦虑治疗。

患者及家属诉平时遇到事情容易紧张,例如到医院测血压很紧张,血压会升高。最近入院后焦虑明显。2年前丈夫去世后情绪低落,想起来会流泪。

专科查体:思维正常,符合逻辑。

考虑:焦虑抑郁状态


四、病情变化与治疗转归


1. 病情变化

6月12日,患者出现间断视物模糊及复视,完善头颅CT未见明显异常。6月14日后症状完全消失。6月13日,腹胀明显,有肛门排气,未排便4天。暂予西甲硅油、通便灌肠处理,仍腹胀,6月14日,完善腹部CT提示肠腔胀气,予禁食禁水、静脉营养、胃肠减压。6月16日腹胀明显缓解,恢复自主饮食(图5)

图片

5  患者腹部CT

2025年6月14日抗体检测结果回报:抗AChR抗体IgG阳性(1:100),抗RyR抗体IgG阳性(1:1000),抗Titin抗体IgG阳性(1:32)。其中,抗AChR抗体是诊断重症肌无力(MG)的特异性抗体, 50%~60%的眼型MG、85%~90%的全身型MG可检测到抗AChR抗体, 阴性时不能排除MG诊断。抗Titin抗体和抗RyR抗体同属于抗横纹肌抗体, 抗Titin抗体可以作为提示和筛查胸腺瘤的标志物, 而抗RyR抗体可能提示MG患者伴有胸腺肿瘤。

2025年6月15日神经内科会诊: 患者当日呼吸困难已改善, 可平卧。专科查体: 神清, 语利, 眼球各向活动正常, 疲劳试验: 双眼上视1 min阴性。双侧肩外展5-级, 屈髋3级, 屈膝4级, 余肢体肌力正常。四肢腱反射++。肌电图+重频试验结果正常。考虑: 重症肌无力, 胸腺瘤?建议: 溴吡斯的明片30 mg口服tid; 丙种球蛋白剂量增至25 g/d继续3天; 请胸外科会诊。

6月18日行MRI胸部增强扫描:前纵隔类圆形异常信号影,T2WI压脂序列呈高信号。考虑炎性包裹性积液,建议随访除外肿瘤性病变(图6)

图片

6  患者MRI与既往CT相比

2. 病情转归

抗新冠+激素治疗3天、丙球冲击2天后,6月15日复查OI为230 mmHg,患者已可平卧。

6月16日复查新冠核酸转阴。

6月20日转入胸外科。

6月23日行胸腔镜经剑突下入路前纵隔肿物切除术。

6月24日转入重症医学科。

6月25日顺利脱机拔管。

6月27日转入神经内科,予溴比斯的明60 mg po q8h。

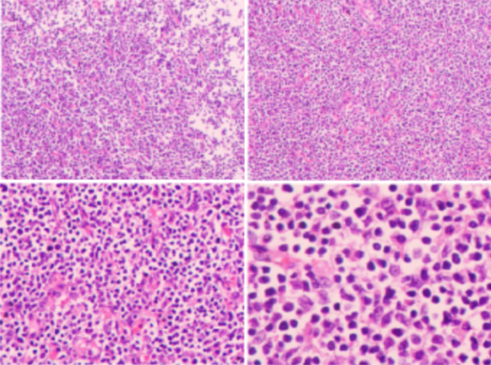
6月30日病理(图7):镜下形态结合免疫组化表型符合B2型胸腺瘤,未突破包膜,肿瘤最大直径约1.4 cm,未见神经侵犯及脉管内瘤栓。肿瘤科、放疗科会诊考虑为Ⅰ期,无需术后辅助治疗。

图片

7  患者前纵膈肿物胸腺组织病理

7月3日,予泼尼松5 mg po qd治疗。

7月4日,复查OI 271 mmHg。

7月10日,复查OI 329 mmHg,准予出院,继续服用溴比斯的眀、泼尼松。

7月14日,动态胸片示双侧膈肌移动度正常。平静呼吸时,右侧膈肌移动度为12.0 mm,左侧为16.0 mm(图8);尽力呼吸时,右侧膈肌移动度为48.0 mm,左侧为50.0 mm(图9)

8月14日复查胸部CT:病变较前明显吸收改善(图10)

图片

8  平静呼吸时动态胸片(2025-07-14)

图片

9  尽力呼吸时动态胸片(2025-07-14)

图片

10  胸部CT对比图片

注:膈肌抬高、双下肺不张逐步好转。

3. 出院诊断

重症肌无力,急性重症型AchR、RyR、Titin阳性);胸腺肿瘤B2型胸腺瘤);型呼吸衰竭新型冠状病毒感染肺部感染焦虑抑郁状态


五、文献复习


1. 慢性呼吸困难的鉴别诊断

慢性或反复发作性呼吸困难的致病因素广泛,涵盖上呼吸道、胸腹壁、肺部、心脏、神经肌肉系统、毒性/代谢性/全身性疾病及其他杂项因素具体如表1所示。

1  慢性呼吸困难的鉴别

图片

2. 膈肌功能障碍

2.1  膈肌功能障碍的病理机制

膈肌是人体最主要的呼吸肌,其功能障碍是导致呼吸系统疾病却未被充分认识的因素,由于平躺时腹腔脏器上顶无力膈肌,进一步限制肺扩张,导致平卧则呼吸困难明显加重,坐位或站位可有所缓解。膈肌功能障碍可继发于多种疾病或临床情况:

1)慢阻肺:患者肺残气量增加使膈肌位置低平,且长期处于不完全收缩状态,最终导致膈肌变薄及运动障碍。

2)神经肌肉疾病:MG、肌萎缩侧索硬化症、杜氏肌营养不良症、脑卒中等疾病可直接造成神经肌肉损伤,影响膈肌运动功能。

3)机械通气:我国ICU中约40%的患者需行机械通气,长时间机械通气会诱发呼吸机相关性膈肌功能障碍,这与膈肌肌肉纤维萎缩、神经传导异常等因素相关。

4)其他因素:中枢神经系统疾病(如多发性硬化症、脑卒中)、周围神经系统病变(如格林巴利综合征)、膈神经损伤(如手术、创伤、感染)等也可导致膈肌功能异常。

2.2  膈肌功能检查方法

临床中针对膈肌功能的评估有许多的方法,主要包括跨膈压Pdi测定、肺功能检查、神经电生理学、影像学检查等。

1)跨膈压测定(金标准/有创检查): 嗅探呼吸时, 男性最大跨膈压>80 cmH2O, 女性最大跨膈压>70 cmH2O, 排除明显的膈肌损伤。

2)膈肌超声(易受气体影响):膈肌增厚分数<20%可诊断为膈肌功能障碍。

3)肺功能检查(需强有力的呼吸配合):测量从坐位到仰卧位的肺活量,当采取仰卧位时,如果仰卧位肺活量减少到坐位的25%~50%,则考虑膈肌功能障碍。

4)膈神经运动传导检测(不易开展):振幅≤0.1 mV和振幅比≥40%,可诊断膈肌功能障碍。

5)静态胸片:表现为膈肌抬高、胸腔容积减小。

6)动态胸片: 实时连续拍摄运动中的胸部图像, 识别矛盾的膈膜运动, 适用于诊断膈肌功能障碍, 结果与标准透视或超声检查结果一致

目前动态胸片诊断膈肌功能减弱、膈肌功能障碍,仍缺乏共识标准。以下为我院目前参考的动态胸片下膈肌功能正常的参考标准:①观察平静呼吸、尽力呼吸时,两侧膈肌位移曲线是否平滑、相近、对称,是否有锯齿状抖动、矛盾运动。②根据测量表量化两侧膈肌移动度。平静呼吸移动度为10~20 mm,尽力呼吸时移动度>40 mm,尽力呼吸相对平静呼吸增加>30 mm;平静呼吸、尽力呼吸时两侧膈肌移动度差值<10 mm。

3. 重症肌无力诊断

MG是一种获得性神经-肌肉接头传递障碍的自身免疫性疾病,主要表现为全身骨骼肌波动性无力和易疲劳,约10%的患者症状在短期内迅速进展,发生肌无力危象而危及生命。目前已知的MG致病性抗体包括抗AChR抗体、抗MuSK抗体、抗LRP4抗体、抗横纹肌抗体。

3.1  MG的临床表现

全身骨骼肌均可受累,表现为波动性无力和易疲劳性,症状呈“晨轻暮重”,活动后加重、休息后可减轻。眼外肌最易受累,表现为对称或非对称性上睑下垂和/或双眼复视,是最常见的首发症状。面肌、咀嚼肌、咽喉肌、颈肌、四肢肌受累有相应临床表现。呼吸肌无力可致气短及呼吸困难。发病早期可单独出现眼外肌、咽喉肌或肢体肌肉无力。

3.2  MG的诊断标准

根据《中国重症肌无力诊断和治疗指南(2025版)》,MG的诊断需结合症状、致病性自身抗体、神经肌肉接头传递障碍证据及支持性诊断结果,具体标准见表2。

2  重症肌无力的诊断标准

图片

注:MG为重症肌无力;AChR为乙酰胆碱受体;MuSK为肌肉特异性酪氨酸激酶;IVIG为静脉注射免疫球蛋白;RNS为重复神经电刺激;SFEMG为单纤维针极肌电图。

根据受累肌群不同,MG大致可分为眼肌型MG和全身型MG。眼肌型MG极少合并其他横纹肌抗体,而胸腺瘤相关MG通常合并其他横纹肌抗体。

3.3  MG的治疗

MG的治疗需根据患者抗体类型、疾病活动度、是否合并胸腺瘤等因素制定个体化方案。具体可参见《中国重症肌无力诊断和治疗指南(2025版)》

国内学者报告了1例伴有胃轻瘫和不全肠梗阻的MG患者,主要表现为眼睑下垂、复视、腹胀及便秘,胸部CT提示胸腺瘤,疲劳试验阳性,结合患者血清抗体检测结果考虑MG诊断明确,患者接受手术切除胸腺瘤、甲强龙冲击治疗后继续口服溴吡斯的明、糖皮质激素、他克莫司,上述症状完全缓解。MG是一种自身免疫性疾病,常表现为骨骼肌受累,少见胃肠道功能障碍,但神经内科医师应当意识到MG与包括胃肠功能障碍在内的自主神经症状间的关系。本例患者在治疗中出现严重腹胀,禁食禁水、丙球冲击治疗后改善,不排除与MG有关。

4. 新冠病毒感染对膈肌功能及MG的影响

4.1  新冠病毒感染相关膈肌功能障碍

研究表明,新冠病毒可损伤神经和肌肉系统,导致嗅觉丧失、味觉障碍、格林巴利综合征(GBS)、肌炎、肌痛、横纹肌溶解、肌肉萎缩和危重性肌病等,进而诱发膈肌功能障碍,这在新冠重症患者住院期间十分常见。即使在新冠患者康复后,膈肌功能障碍仍可能持续存在,并与持续呼吸道症状相关。一项前瞻性研究显示,在132例感染新冠病毒后3~4个月出现持续呼吸道症状的患者中,有13例存在膈肌功能障碍。另一项研究纳入10例曾因新冠合并ARDS进入ICU治疗的患者,出院1年后,6例持续呼吸困难患者仍存在膈肌功能受损。Regmi等的研究纳入50例先前因新冠住院治疗、出院15个月后的患者,发现约2/3的患者出现中度或重度呼吸困难,且与跨膈压明显受损显著相关。

2024年笔者所在科室团队报道了2例新冠病毒感染后膈肌功能障碍病例。具体可参见中华结核和呼吸杂志2024年第3期杂志发表的《新型冠状病毒感染后膈肌功能障碍2例》一文。

新冠病毒感染后膈肌功能障碍的治疗需针对病因和症状:病因不明确时,可经验性使用激素,联合营养神经肌肉治疗,并配合早期康复训练和呼吸肌训练,改善膈肌功能。

对于呼吸困难明显的患者,还可采用无创正压通气、膈肌折叠和膈肌起搏等治疗方法。

从预后来看,膈肌功能恢复所需时间较长,研究发现可能需要长达3年,平均恢复时间为14.9个月,且在已报道的13个病例中,仅74%的患者在治疗后症状有改善,提示临床需长期关注并制定持续的康复计划。

4.2  新冠病毒感染与MG

1)新冠病毒感染诱发新发MG:已有临床案例报道,一例19岁女性患者在新冠感染确诊13天后出现MG症状,最初表现于眼球-脑干区域,3个月内逐渐加重,发展为全身性MG并发肌无力危象。血清检测显示高水平抗AChR抗体,MuSK抗体阴性;重复神经刺激和单纤维肌电图提示MG,经IVIG疗程及针对性治疗后症状改善,但仍需行胸腺切除术控制病情。其机制可能与新冠感染释放的炎症细胞因子导致免疫系统失调,诱发易感人群发生自身免疫反应相关。

2)新冠病毒感染恶化原有MG:系统综述研究表明,新冠病毒与AChR存在分子模仿效应,且新冠感染引发的肿瘤坏死因子-α(TNF-α)、干扰素-γ(IFN-γ)、白细胞介素-6(IL-6)、调节性T细胞(Th-17)及白细胞介素-17(IL-17)介导的细胞因子风暴,可导致MG患者出现ARDS和肌无力危象,与病情严重程度、不良预后及死亡率相关。

3)新冠病毒感染增加MG患者不良结局风险:一项基于2019—2020年全美住院患者样本数据库的研究,将新冠患者分为神经肌肉疾病(NMD)组和非NMD组,通过统计学分析发现,与普通人群相比,伴肌无力综合征和MG的新冠患者呼吸衰竭、气管插管发生率及死亡率均显著增加。


六、总结


在慢性呼吸困难的临床诊治中,需拓宽鉴别诊断思路,切勿忽视神经肌肉病变(如膈肌功能障碍、MG)的可能,尤其是患者存在平卧后呼吸困难加重、坐位或站位缓解特征时。膈肌功能障碍病因广泛,动态胸片有助于筛查,必要时可结合其他检查进一步明确。同时,要关注新冠病毒感染的影响,它可诱发潜在或已知MG患者出现病情加重或肌无力危象,对于新冠病毒感染后不明原因呼吸困难的患者,还需注意筛查有无膈肌功能障碍或继发MG,以实现精准诊断与有效治疗。

向下滑动查看


参考文献

[1] 中华医学会神经病学分会神经免疫学组. 中国重症肌无力诊断和治疗指南(2025版)[J]. 中华神经科杂志, 2025, 58(7):721-741.

[2] 陆慧,黄安琪,王茜,等. 伴胃肠功能障碍表现重症肌无力1例[J]. 中国神经精神疾病杂志, 2022, 48(11):691-694.

[3] 余冬, 黄文棋, 詹永忠, 等. 新型冠状病毒感染后膈肌功能障碍2例[J]. 中华结核和呼吸杂志, 2024, 47(3):244-248.

[4] Tereshko Y, Gigli GL, Pez S, et al. New-onset Myasthenia Gravis after SARS-CoV-2 infection: case report and literature review[J]. J Neurol, 2023, 270(2):601-609. 

[5] Tugasworo D, Kurnianto A, Retnaningsih, et al. The relationship between myasthenia gravis and COVID-19: a systematic review[J]. Egypt J Neurol Psychiatr Neurosurg, 2022, 58(1):83.

[6] Alanna D, Chapman W, Salman K, et al. 1164:COVID19 INCREASES RISK OF ACUTE RESPIRATORYFAILURE AND MORTALITY IN NEUROMUSCULAR DISORDERPATIENTS[J]. Critical Care Medicine 53(1):, january 2025.| Dol: 10.1097/01.ccm.0001103320.85401.db

图片

作者介绍

图片

肖冠华

南方医科大学南方医院呼吸与危重症医学科,副主任医师;现任南方医院惠侨医疗中心综合部医疗组长,曾任南方医院增城院区呼吸与危重症医学科主任,广东省青年联合会第十二届委员会委员,广东省医学会结核病学分会委员,广东省医学会呼吸病学分会青年委员,广东省医学会呼吸病学分会危重症与呼吸治疗学组委员,广东省预防医学呼吸病预防与控制专业委员会委员,广东省医疗行业协会呼吸病管理分会委员兼基层学组副组长,抗击新冠疫情首批援鄂医疗队员(2020年)、内地援港医疗队病区主任(2022年);荣获“广东青年五四奖章”、广东省医学会“十大健康传播大使”、广州好人、“第六届羊城青年好医生”及“第七届羊城好医生”等。

声明:

本文仅用于学术领域的理论探讨与专业交流,不涉及任何商业推广、产品宣传等非学术用途,亦不作为临床诊疗活动中最终决策的依据。临床实践需根据患者的具体情况选择适宜的处理措施。


全部评论 0
Copyright©2020-2026 北京医麦斯科技有限公司 版权所有 京ICP备2020034400号-1 京公网安备11010502043983号