登录方式

方式一:
PC端网页:www.rccrc.cn
输入账号密码登录,可将此网址收藏并保存密码方便下次登录

方式二:
手机端网页:www.rccrc.cn
输入账号密码登录,可将此网址添加至手机桌面并保存密码方便下次登录

方式三:
【重症肺言】微信公众号
输入账号密码登录

注:账号具有唯一性,即同一个账号不能在两个地方同时登录。

登录
方式

为重症救治赋能

为患者康复加速

当前位置:首页 重症实战 病例集锦

肺炎未必寻常:一例重症社区获得性肺炎背后的真相

刘雅欣 哈尔滨医科大学附属第二医院 发布于2025-09-01 浏览 1386 收藏

作者:刘雅欣

单位哈尔滨医科大学附属第二医院


一、病例简介


1. 基本资料

患者女性,56岁。主诉:发热伴呼吸困难7天。入院时间:2025年5月29日。

2. 现病史

患者入院前7天无明显诱因出现发热,体温最高达39℃,服用退热药后体温可降至正常,过药效后体温复升;发热伴畏寒,无明显寒战,无明显肌肉关节疼痛;伴呼吸困难,活动后明显;有阵发性咳嗽,无痰,自行抗炎抗病毒治疗(具体用药述不清),体温未见好转,于当地医院行肺CT提示双肺感染,左侧胸腔积液,急诊入我科。

3. 既往史及个人史

糖尿病病史10年,口服二甲双胍、格列本脲维持治疗;高血压10年,血压最高180 mmHg,口服苯磺酸氨氯地平治疗;精神分离性障碍2年。饲养鸽子1年。

4. 体格检查

体温37.5℃,脉搏113次/min,呼吸32次/min,血压102/66 mmHg,SpO88%(鼻导管吸氧2 L/min)。神情,查体欠合作(与精神分离性障碍有关),口唇发绀,胸廓对称,左肺触觉语颤增强,叩诊稍浊,双肺可闻及湿啰音。心律齐,心音正常,腹软,无压痛,双下肢无明显浮肿。

5. 检查与检验

  • 血常规:WBC 11.1×109/L,NEU% 87.8%,HGB 92 g/L。

  • 血气分析(鼻导管吸氧2 L/min):pH 7.45,PaO2 54.5 mmHg,PaCO2 32.3 mmHg,SpO2 87%。

  • 炎症指标:CRP>200 mg/L,PCT 0.25 ng/ml。

  • 生化系列:ALT 75 U/L,AST 40 U/L,ALB 35.6 g/L,Crea 71 μmol/L,K 3.36 μmol/L。

  • 糖化血红蛋白:8.1%。

  • B型钠尿肽前体:6521 pg/ml。

  • 甲功五项:均未见异常。

  • 尿常规:尿白细胞(3+),尿蛋白(1+),亚硝酸盐(+),尿隐血(+),尿胆原(+)。

  • 凝血象:未见异常。

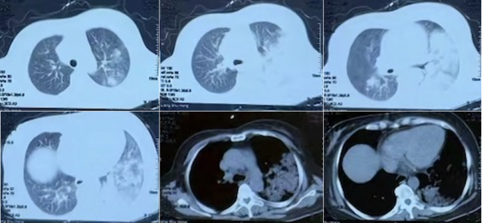
  • CT(2025-05-29,外院):双肺多叶段渗出样病变,以左肺舌叶和左下叶为主,少量胸腔积液(图1)

图片

1  患者肺CT(2025-05-29)


二、诊断思路


1. 鉴别诊断

1)重症社区获得性肺炎(SCAP):起病环境在社区,起病急,呼吸频次增快,PaO2/FiO2 188 mmHg,多肺叶感染灶,CRP显著升高,符合SCAP特征;病情进展,提示可能存在基础免疫功能受损,需警惕合并非典型病原体或机会性感染的可能。

2)鸽源相关感染:有饲养鸽子史,为机会性感染高风险人群。鸟分枝杆菌和隐球菌可引起慢性肺部感染及胸腔积液。在常规抗感染治疗效果不佳时要考虑行病原微生物高通量测序和分枝杆菌培养明确病因。

3)过敏性肺炎:患者有饲养鸽子史及肺部弥漫性病变,但感染指标升高,反复发热、呼吸困难,如果抗生素治疗无效,必要时需完善BALF和病理学检查。

4)心源性肺水肿合并感染:患者既往有高血压病史,呼吸困难,BNP升高,乏氧,双肺浸润影伴胸腔积液,警惕基础心衰叠加感染;进一步完善心脏超声检查。

2. 初步诊断

重症肺炎;Ⅰ型呼吸衰竭;胸腔积液;糖尿病;高血压;心功能不全;低钾血症;分离转换性障碍。


三、治疗经过


1. 治疗策略

评估患者病情, SOFA评分仅为1分。首先予以经鼻高流量吸氧, 目标血氧饱和度为95%, 患者配合度较好。进一步完善心动超声、心肌损伤标志物、免疫功能评估、特异性感染指标的检查。在治疗方面, 考虑患者社区起病, 当时首选哌拉西林/他唑巴坦+莫西沙星覆盖社区感染常见病原菌, 同时加用喜炎平注射液进行广谱抗病毒治疗。其他辅以对症支持治疗, 包括改善心功能, 改善肝脏功能, 控制血糖和血压等。

2. 检查检验

  • 血气分析(经鼻高流量吸氧35 L/min,FiO2 50%):pH 7.46,PaO2 79.6 mmHg,PaCO2 31.9 mmHg,SpO2 96%。

  • 真菌D葡聚糖<10 pg/ml;免疫球蛋白E 412 IU/ml。

  • T-SPOT:A抗原<6B抗原<6

  • 支原体抗体阴性,新冠病毒阴性,甲流+乙流病毒:阴性。

  • 心脏超声:射血分数60%,二、三尖瓣轻度反流,左心功能正常

  • 心肌酶正常高敏肌钙蛋白365. 8 ng/L

  • 腹部超声:肝脏弥漫性改变,考虑脂肪肝可能,双肾无明显异常。

  • 淋巴细胞亚群测定:T细胞392个/μlCD4+/CD8- 210个/μl,B细胞158个/μl

3. 病程经过

患者经氧疗与积极药物干预后,病情逐步趋于稳定:体温较入院时明显下降,最高达38℃,监护仪显示生命体征平稳。然而,临床诊疗中需进一步明确核心问题——致病病原体的精准识别。该患者存在急性起病、病情进展迅速、免疫功能受损及长期饲鸽史等特征,其临床表现是否符合普通肺炎的典型病程,仍需深入验证。基于此,医疗团队在与患者家属充分沟通并获得知情同意后,于经鼻高流量氧疗支持下完成床旁支气管镜检查。

4. 支气管镜检查(2025-05-30)

2025年5月30日行支气管镜检查,镜下可见左肺支气管腔内存在脓性分泌物,支气管肺泡灌洗液(BALF)呈浑浊状态(图2)。随即送检BALF mNGS

图片

2  支气管镜下所见

5. 病原学

2025年5月31日mNGS结果回报:鹦鹉热衣原体检测阳性(序列数13047)。同时检测发现了一种真菌——出芽短梗霉。结合患者既往流行病学史及临床病史,鹦鹉热的诊断得以明确。在精准锁定病原体后,医疗团队即刻对治疗方案进行了针对性调整。

6. 调整治疗

多西环素首次200 mg100 mg q12h po继续哌拉西林他唑巴坦4.5 g bid ivgtt,停用莫西沙星,加用伏立康唑200 mg q12h ivgtt

7. 疗效评价

治疗方案调整后,患者病情获得进一步改善。尽管患者与外界交流较少,但通过客观指标可清晰观察到病情好转趋势:一方面,患者体温持续稳定在正常范围;另一方面,患者在经鼻高流量吸氧时对氧浓度的依赖逐渐降低,后续成功过渡至鼻导管吸氧。

在此基础上,医疗团队携带氧气袋为患者复查胸部CT结果显示,患者肺内渗出性阴影较前明显吸收(图3),进一步印证了治疗方案的有效性。

图片

3  治疗前后肺CT比较

8. 病程回溯

1)骤然发病,病情汹涌:起病急骤,呼吸频率加快,氧合下降明显,肺部多叶浸润阴影,符合SCAP,病情发展呈汹涌态势

2)多重评估,快速介入:启动抗感染及支持治疗,多系统评估,选择合适的通气氧疗措施,积极完善支气管镜取得BALF,送检mNGS。

3)靶向治疗,快速好转:明确病因后,靶向治疗,症状缓解,肺部影像改善,顺利脱离感染控制难题。


四、病例讨论


鹦鹉热是一种由鹦鹉热衣原体(Cps)引起的人畜共患病,据统计,Cps占总体社区获得性肺炎(CAP)病例的1%,在我国SCAP患者中检出率约为8.0%。然而由于其临床症状与许多呼吸系统感染性疾病相似,缺乏特异性,导致该病常发生误诊和漏诊,未及时治疗的重症患者病死率可达15%~20%。因此,鹦鹉热患者的早期诊断和针对性治疗对于改善疾病预后、降低重症患者病死率具有重大意义。

2024年,中国医院协会临床微生物实验室专委会与中国老年医学学会检验医学分会感染性疾病学组联合编写并发表了《鹦鹉热诊疗中国专家共识》。该共识明确指出,当患者出现发热、呼吸困难、干咳、乏力等症状(不限于上述症状),且有禽类接触史时,应考虑鹦鹉热衣原体感染的可能。

鹦鹉热的诊断依据:①从呼吸道样本或血液样本中分离出Cps;②通过补体结合试验(CF)或微量免疫荧光试验(MIF)检测间隔2周采集的血清样本抗体水平增加4倍或以上;③通过MIF检测到的单一IgM抗体滴度为1∶16或更高;④通过PCR或mNGS或tNGS在呼吸道样本或血液样本中检测到Cps核酸阳性。上述4项中符合1,再结合患者的流行病学接触史以及临床症状和影像学表现,即可明确诊断鹦鹉热原体感染。鹦鹉热的诊断流程见图4。

图片

4  鹦鹉热诊疗流程图

图源:中华临床感染病杂志, 2024, 17(3):191-204.

依据《鹦鹉热诊疗中国专家共识》,针对鹦鹉热衣原体感染,治疗方案分常规治疗与特殊人群治疗:

1)常规治疗:①一线治疗:优先选用四环素类药物,如多西环素、米诺环素,口服给药为首选途径;若患者存在口服禁忌,可静脉输注奥马环素。②二线治疗:以大环内酯类为主,推荐阿奇霉素、红霉素,在一线治疗无法实施时启用。③其他治疗:氟喹诺酮类药物(莫西沙星、左氧氟沙星)可作为补充,但需注意,仅当一线、二线治疗存在明确受限因素(如药物不可及、患者严重过敏等)时,才考虑选用此类,并非首选路径。

2)特殊人群治疗:针对妊娠期、儿童、老年等特殊群体,需兼顾药物安全性与有效性:妊娠期/儿童患者:因四环素类、氟喹诺酮类存在用药禁忌,优先选择大环内酯类(阿奇霉素、红霉素)。老年患者:若肝肾功能处于代偿状态,首选四环素类(多西环素、米诺环素、奥马环素等);若存在四环素类使用禁忌或不耐受,次选大环内酯类(阿奇霉素、红霉素),以此平衡疗效与安全性。


五、总结与思考


该病例初看并无特殊,患者入院时表现为CAP,这类肺炎在呼吸科医生的日常临床工作中十分常见。但我们从患者的病史细节中发现了不寻常之处,具体可归纳为以下几点:

1)流行病学线索不容忽视:该患者有1年的鸽子饲养史,这一流行病学接触史是导致本例患者诊治过程相对波折的原因之一。这也提示我们,在问诊时必须重视对患者职业及生活细节的询问。

2)非典型肺炎诊治需提高警惕:该患者的肺部影像无典型表现,且起病隐匿、病情进展迅速。这提示我们,在遇到重症不明原因肺炎时,需主动考虑非典型病原体感染的可能。

3)mNGS助力精准识别病原体:在常规检查未能明确病原体的情况下,通过BALF mNGS最终确诊为鹦鹉热衣原体感染。这充分体现了精准病原诊断在疾病诊治 中的关键作用。值得注意的是,对mNGS结果的判读需严谨,并非检出阳性病原微生物就一定是致病菌。例如,本例患者在检出鹦鹉热衣原体的同时,还检出了出芽短梗霉。由于患者病情危重,初始治疗时我们选择伏立康唑覆盖真菌,但间隔7天复查时,患者影像学吸收迅速、临床症状改善明显。回顾分析可见,患者影像学无侵袭性肺真菌病的典型表现(如空洞、反晕征等),且出芽短梗霉作为自然界广泛存在的机会性致病菌,并非此次患病的主要病原微生物。因此,后续未再让患者序贯口服抗真菌药物治疗。可见,在获得精准诊断后,制定合理的治疗方案至关重要。

4)靶向治疗可迅速见效:在治疗中加用多西环素后,患者病情快速缓解,氧合状况改善,肺部影像也显示好转。这强调了早期明确病原体、及时调整抗生素使用策略的重要性。


图片

作者介绍

图片


刘雅欣

哈尔滨医科大学附属第二医院呼吸与危重症医学科,医学博士,副主任医师美国田纳西大学健康科学中心博士后黑龙江省医师协会肺癌专业委员会黑龙江省医师协会呼吸病学分会委员黑龙江省慢病管理协会呼吸与危重症专业委员会黑龙江省医疗保健国际交流促进会呼吸与危重症医学分会委员中国肺癌防治联盟黑龙江省分联盟委员中国肺癌防治联盟哈尔滨医科大学附属第二医院结节诊治分中心委员

声明:

本文仅用于学术内容的探讨和交流,不用于任何商业和推广。临床实践需根据患者的具体情况选择适宜的处理措施。


全部评论 0
Copyright©2020-2025 北京医麦斯科技有限公司 版权所有 京ICP备2020034400号-1 京公网安备11010502043983号