登录方式

方式一:
PC端网页:www.rccrc.cn
输入账号密码登录,可将此网址收藏并保存密码方便下次登录

方式二:
手机端网页:www.rccrc.cn
输入账号密码登录,可将此网址添加至手机桌面并保存密码方便下次登录

方式三:
【重症肺言】微信公众号
输入账号密码登录

注:账号具有唯一性,即同一个账号不能在两个地方同时登录。

登录
方式

为重症救治赋能

为患者康复加速

当前位置:首页 重症实战 病例集锦

一例肺间质纤维化合并ARDS患者的重归麦田之路

王若熹 洛阳市中心医院RICU 发布于2025-09-01 浏览 32 收藏

作者:王若熹

单位洛阳市中心医院RICU


一、病情介绍


1. 基本资料

患者男性,80岁,农民,身高168 cm,体重70 kg,BMI 24.80 kg/m2。以“发热1周,气短、无力5天”为代主诉入院。

2. 既往史及其他

既往肺间质纤维化病史1年余,未治疗。患“高血压病”1年,最高血压165/90 mmHg,平素口服苯磺酸氨氯地平5 mg qd。有饮酒史50余年,2两/天;吸烟史45余年,20支/天,戒烟1年。

3. 现病史

1周前无明显诱因出现发热,最高体温38.5℃,有畏寒、寒战,当地诊所给予退热药物治疗(具体不详)。5天前出现胸闷、气短,稍动即喘,咳嗽,偶有白痰,患者就诊于我市某医院,急查血常规:WBC 22.3×109/L,NEU% 87.5%,CRP 274.58 mg/L,予哌拉西林他唑巴坦钠4.5 g q8h ivgtt抗感染,同时予雾化等对症治疗。患者气喘持续加重,急诊转入我院。

4. 体格检查

体温39.0℃,脉搏112次/min,呼吸35次/min,血压165/95 mmHg。神志烦躁,精神欠佳,口唇发绀,呼吸急促,胸廓对称,双侧语颤对称,两肺可闻及明显干/湿性啰音,双下肺可闻及Velcro啰音,心尖部听诊可闻及收缩期杂音。肺动脉瓣听诊区心音稍亢进。

5. 院前辅助检查

  • 急诊血气分析(面罩吸氧,10 L/min):pH 7.52,PaCO2 33 mmHg,PaO2 43 mmHg,BE 4.3 mmol/Lg。

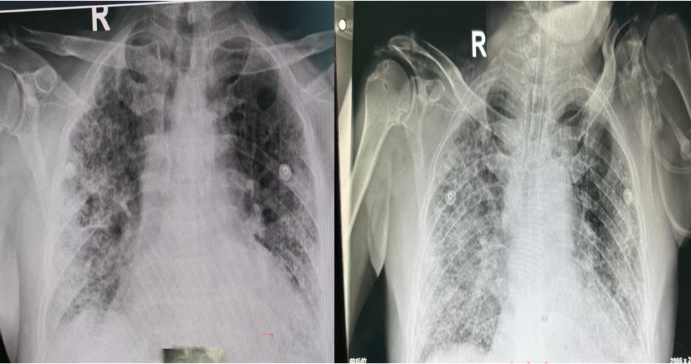
  • 胸部X线片:双肺间质性改变,右肺大片实变影(图1)

图片

1  患者胸部X线片

6. 入院诊断

重症肺炎; ②ARDS(重度); ③呼吸衰竭; ④肺间质纤维化; ⑤高血压病2级, 极高危组。


二、诊治经过


1. 入院第一天

1)入科后完善相关检查

  • 血常规:WBC 21.47×109/L,NEU% 91%,LYM% 5.1%。

  • 炎症指标:CRP 39.59 mg/L,PCT 0.39 ng/ml。

  • 心功能指标:BNP 254.04 pg/ml。

  • 生化+肝功能:ALT 160 U/L,ALB 27.2 g/L,LDH 495 U/L,GGT 144 U/L,BUN 18.21 mmol/L。

  • 风湿免疫(类风湿、免疫球蛋白、补体等)均为阴性。

  • 呼吸道核酸病毒六联检:均阴性。

  • 血气分析:pH 7.50,PaCO2 31 mmHg,PaO2 81 mmHg,FiO2 90%,P/F 90 mmHg。

  • 评分:感染+qSOFA评分≥2分(根据Sepsis 3.0,考虑合并脓毒症),CURB-65评分3分,APACHEⅡ评分27分。

2)初步治疗

经验性给予亚胺培南西司他丁2 g q8h抗感染,甲泼尼龙40 mg q12h静脉应用减少渗出,同时予乙酰半胱氨酸、布地奈德等雾化药物应用;留取血/痰标本,积极寻找病原微生物;加强营养支持;VTE基础预防。

2. 入院第二天

1)矛盾中的生命困境

高流量辅助通气下,患者仍有呼吸困难,查体表情痛苦,伴有呼吸窘迫,三凹,指脉氧饱和度波动在88%左右。血气分析示PaO2 59 mmHg,P/F 66 mmHg

接下来该选择怎样的治疗方案呢?

ARDS是ICU中最常见的疾病之一,约占ICU患者总数的10%,病死率高达35%~40%。根据患者目前氧合情况,及早准备气管插管。

ARDS病因多样,包括直接肺损伤因素(如严重肺部感染等),以及间接肺损伤因素(如创伤等)。肺间质纤维化病因也复杂,可能与自身免疫性疾病、长期接触有害物质等有关。二者合并时,病情更加危重,患者氧合指数低,呼吸衰竭严重,常需机械通气支持,且预后较差,死亡率高,给治疗带来极大挑战。

现阶段存在的核心挑战主要包括以下几个方面:①氧合与通气的矛盾。患者整体肺功能极差,需确保高浓度氧气在有限的有效肺泡内有效弥散;但同时,过高的PEEP会加重肺间质损伤,因此PEEP水平需严格控制,不能过高。②镇痛镇静的双重目标平衡。一方面,需通过镇痛镇静抑制人机对抗,以避免跨肺压升高;另一方面,又要防止过度镇痛镇静导致患者脱机延迟,这二者之间的平衡把控难度较大。③基础疾病与急性肺损伤的叠加影响。肺间质纤维化本身会导致肺顺应性降低,而ARDS会进一步加重气体交换障碍,两种情况叠加后,患者的呼吸功能障碍问题更为复杂和严重。④抗感染方案的调整难题。在制定抗感染方案时,需综合考虑多方面因素:首先要明确感染部位,除肺部感染外,还需排查血流感染、胃肠道肠源性感染、尿路感染等其他潜在感染部位;其次要判断感染病原体类型,患者除细菌感染外,可能合并真菌感染或不典型细菌感染,尤其考虑到患者免疫力相对低下的情况;最后要确定抗生素的使用方案,包括抗生素的种类选择、剂量确定以及给药方式等。

2)肺保护性机械通气

在气管插管和镇痛镇静辅助下完善电子支气管镜检查,送检肺泡灌洗液NGS检查

呼吸机模式:PC-AC模式,FiO2 100%,Pinsp 12 cmH2O,PEEP 8 cmH2O。上机后1 h复查血气分析:pH 7.46,PaCO2 35 mmHg,PaO2 86 mmHg,FiO2 90%,P/F 96 mmHgSaO2 97%

在机械通气初期,患者面临诸多挑战,其中人机对抗表现尤为明显。具体可观察到呼吸机出现分钟通气量过高、呼吸频率增快等报警;通过呼吸力学监测还能发现,患者的平台压与呼吸驱动较大,食道压也时常处于较高水平(表1)。基于这些表现,可判断患者的呼吸驱动异常与人机对抗存在直接关联,需要加强镇痛镇静治疗。

1  患者入科第2天呼吸力学监测情况

图片

3)调整镇痛镇静方案

根据《中国成人ICU镇痛和镇静治疗指南》要求,需每4小时对患者进行一次镇痛镇静评估。在镇痛方面,需确保患者BPS评分5分、CPOT评分3分;镇静则需达到深度镇静标准,初始设定的镇静深度为RASS评分-4~-3分、SAS评分2分。

镇痛药物采用瑞芬太尼,剂量为5 μg/(kg・h);镇静药物选用咪达唑仑(8 mg/h)联合丙泊酚(60 mg/h);同时配合使用肌松药物阿曲库铵,剂量为5 mg/h。

4)纤维支气管镜+俯卧位+EIT+呼吸机

在镇痛镇静的辅助下,患者接受机械通气后,呼吸状态逐渐平稳。在此基础上,我们及时为患者进行了气管镜检查。通过气管镜观察可见,患者气道黏膜存在明显红肿;气道深部有较多黄白色黏痰(图2)。我们对这些痰液进行清除后,留取了相对清亮的痰液样本进行支气管肺泡灌洗液(BALF)NGS检测。

图片

2  患者气管镜下表现

3. 入院第三天

1)调整方案

患者住院第三天,NGS检测结果迅速回报,其中铜绿假单胞菌与肺炎克雷伯菌的序列数最高。基因检测显示,肺炎克雷伯菌为产KPC酶菌株;我院药敏试验结果进一步证实,该产KPC酶的肺炎克雷伯菌对黏菌素和头孢他啶阿维巴坦敏感。同时,铜绿假单胞菌为耐碳青霉烯类铜绿假单胞菌(CRPA),其药敏结果同样显示对黏菌素和头孢他啶阿维巴坦敏感。基于上述药敏试验结果,我们确定了抗生素的选用方案。

近年来,我国碳青霉烯耐药检出率不断上升,我国也成为CRO高负担国家。我国一项多中心、纳入14省25家三甲医院2015年全年CRE菌株数据显示,对155株碳青霉烯耐药大肠杆菌和肺炎克雷伯菌进行分析,产碳青霉烯酶比例为89%,产KPC比例为50%,NDM型比例为33.5%。北京大学人民医院一项回顾性研究纳入2015—2017年入住该院ICU的5372例患者的临床数据,结果显示:78例患者诊断为CRE感染,共检出267株非重复CRE菌株,其中78株CRE菌株接受产碳青霉烯酶和碳青霉烯酶基因的能力检测,55株(70.5%)产生碳青霉烯酶基因。KPC-2型是最主要基因型(83.6%),其次是NDM-1(10.9%)和NDM-5(5.5%)。ST11是最主要表型(98.1%)。

有效的抗感染治疗方案包括以下:①评估病原体:感染部位病原学特点,有的放矢;②评估耐药性:选择能够覆盖病原体的抗感染药物,“到位”但不“越位”;③考虑特殊患者用药:老年/妊娠/肝肾功能;④其他因素:单药/联合、静脉/口服、疗程。

此外,还应注意抗菌药物的充分合理使用:①正确的给药时机、剂量,确保感染部位达到有效浓度;②考虑药代动力学/药效动力学;③考虑患者病理生理状态对药物PK/PD的影响。

2018年中国成人HAP/VAP指南也提示我们,对于CRE,主要以多黏菌素类(多黏菌素B、多黏菌素E)、替加环素、头孢他啶/阿维巴坦为主要治疗药物(表2,表3)

2  2018年中国成人HAP/VAP指南:HAP/VAP常见耐药菌CRE抗感染治疗方案

图片

3  铜绿假单胞菌治疗药物

图片

根据上述调整治疗方案为:头孢他啶阿维巴坦钠2.5 g q8h+多黏菌素B 50万单位q12h应用;丙种球蛋白6瓶输注。

2)肺保护性通气策略

在抗感染治疗的同时予肺保护性通气策略,能够减少呼吸机相关性肺损伤,改善氧合与气体交换,降低病死率。

呼吸机参数调整①更小潮气量(5 ml/kg);②延长呼气时间,减少塌陷;③监测平台压(≤30 cmH2O),驱动压≤15 cmH2O;④允许高碳酸血症(PaCO280~100 mmHg)。此外,实施俯卧位通气,俯卧位能够使重力依赖区气体分布更均匀

我们对患者进行了电阻抗断层成像(EIT)检查在实施俯卧位通气前,患者肺三区和四区的通气明显不足;而在转为俯卧位通气后,三区和四区的通气状况得到显著改善(图3)

图片

3  患者住院第3天EIT监测

4. 入院第四天

1)揪心时刻

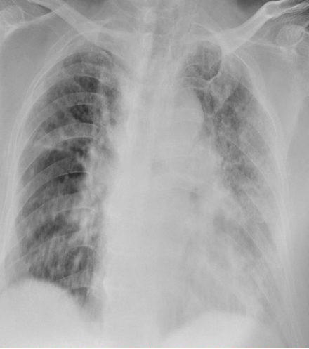
血气分析:pH 7.45,PaCO2 42 mmHg,PaO2 93 mmHg,FiO2 70%,P/F 133 mmHg,SaO2 98%复查胸片肺部感染,尤其右下肺实变影较前明显改善出现了新的问题——患者腹胀明显,腹部平片可见明显肠胀气(图4)

图片

4  复查胸部X线片和腹部平片

患者腹胀明显,腹部膨隆,出现机械通气相关性腹胀,接下来治疗方案怎样调整呢?

机械通气相关性腹胀可导致通气障碍,影响机械通气效果,可导致通气失败;另外,严重腹胀易导致细菌移位,可导致严重感染,我们必须及时处理,防止疾病进一步雪上加霜。

2)胃肠危机的破局时刻

针对患者的腹胀症状,我们采取了一系列综合干预措施:首先,进行常规腹内压监测以动态评估病情;饮食上采用空肠喂养,并加用胃肠动力药物促进胃肠蠕动;同时,每日为患者进行腹部按摩及灌肠处理,以改善肠道功能。此外,通过调整呼吸机参数、减少镇痛镇静药物用量,降低对胃肠功能的影响;还联合中医治疗手段,包括中药外敷、针灸及中药内服,协同缓解腹胀。经上述处理后,复查腹部平片显示,患者因腹胀导致的肠胀气情况已明显好转(图5)

图片

5  复查腹部平片

5. 入院第五天

患者住院第五天,呼吸机参数已进入相对平稳期。此时,患者的驱动压及平台压均处于安全范围(表4);复查胸片显示肺部情况较之前逐步好转(图6)

4  患者入科第5天呼吸力学监测情况

图片
图片

6  复查胸部X线片

6. 入院第六天

患者入院第六天,炎症指标明显改善,WBC及CRP均显著降低(图7)。复查血气分析:pH 7.48PaCO2 4mmHg,PaO2 93 mmHg,FiO2 45%,SaO2 98%P/F 207 mmHg。患者氧合指数持续上升。基于此,我们于当日停止了俯卧位通气。

图片

7  患者炎症指标变化情况

随后,我们携带转运呼吸机陪同患者外出进行了胸部CT检查。结果显示,患者肺部仍存在较明显的肺间质纤维化表现,整体肺功能状况欠佳,但肺部感染情况较之前有所好转,尤其是右下肺的感染灶改善更为显著。


7. 入院第七天

停用镇静药物应用;瑞芬太尼0.04 μg/(kg·min)镇痛;NRS评分:0~1分,CPOT=0分。自主呼吸试验(SBT)通过后,拔除气管插管,序贯无创呼吸机辅助通气。逐步减停镇痛药物应用。

8. 康复之路

1)神经肌肉唤醒计划:膈肌电刺激(每天脱机训练前20 min),刺激强度从8 mA逐步提升至15 mA;②床旁脚踏车阻力设定为0.5 kg,模拟行走的肌肉记忆。

2)机械通气撤离期:①采用递减式压力支持(每日降低2 cmH2O)配合膈肌超声监测;②中医:针刺足三里、肺俞穴,提升膈肌收缩力。

3)营养赋能:肠内营养配方含支链氨基酸(BCAA),促进肌肉蛋白合成。


三、总结


细菌耐药已成为21世纪主要的公共卫生威胁之一,遏制这一问题需要全球性、协调一致的行动计划。在我国,细菌耐药的威胁形势尤为严峻,加强碳青霉烯类耐药菌(CRO)感染的防控具有现实紧迫性。为此,应严格控制抗菌药物的不合理使用,从源头减少CRO的产生。

在治疗细菌感染时,抗菌药物的选择需综合多方面因素:包括明确感染诊断、确定感染部位、识别感染病原体(尤其判断是否为耐药菌)、评估病情严重程度、观察患者体征,以及优化药代动力学/药效动力学(PK/PD)参数等。

对于肺间质纤维化患者,治疗中需精准平衡多项指标:既要保证良好的氧合状态,缓解人机对抗,维持稳定的血流动力学,又要避免因过度镇静导致脱机延迟。

此外,重症康复作为ICU患者综合治疗的关键环节,其作用不可忽视。它不仅能加速患者的身体恢复,还能有效改善患者的心理状态,促进其社会功能的回归,最终显著提高患者的生存质量和长期预后。

参考文献


【向下滑动查看所有文献】

[1] Kumar A, Roberts D, Wood KE, et al. Duration of hypotension before initiation of effective antimicrobial therapy is the critical determinant of survival in human septic shock[J]. Crit Care Med, 2006, 34(6):1589-1596.

[2] Evans L, Rhodes A, Alhazzani W, et al. Surviving sepsis campaign: international guidelines for management of sepsis and septic shock 2021[J]. Intensive Care Med, 2021, 47(11):1181-1247. 

[3] Li S, Guo FZ, Zhao XJ,et al. Impact of individualized active surveillance of carbapenem-resistant enterobacteriaceae on the infection rate in intensive care units: a 3-year retrospective study in a teaching hospital of People's Republic of China[J]. Infect Drug Resist, 2019, 12:1407-1414. 

[4] Zhang Y, Wang Q, Yin Y, et al. Epidemiology of Carbapenem-Resistant Enterobacteriaceae Infections: Report from the China CRE Network[J]. Antimicrob Agents Chemother, 2018, 62(2):e01882-17. 

[5] 中华医学会呼吸病学分会感染学组. 中国成人医院获得性肺炎与呼吸机相关性肺炎诊断和治疗指南(2018年版)[J]. 中华结核和呼吸杂志, 2018, 41(4):255-280. 


图片

作者介绍

图片

王若熹

洛阳市中心医院RICU主治医师,重症系总,医学硕士河南省医院协会抗微生物药物合理应用管理分会委员河南省肺康复分会委员洛阳市青年人才多次获得“医德标兵、技术比武之星”光荣称号获得中华医学会重症医学专科5C资质、河南省重症超声合格证擅长呼吸衰竭、重症肺炎及危重症救治,熟练掌握纤维支气管镜下治疗、重症超声、ECMO、PICCO等技术

声明:

本文仅用于学术内容的探讨和交流,不用于任何商业和推广。临床实践需根据患者的具体情况选择适宜的处理措施。


全部评论 0
Copyright©2020-2025 北京医麦斯科技有限公司 版权所有 京ICP备2020034400号-1 京公网安备11010502043983号