登录方式

方式一:
PC端网页:www.rccrc.cn
输入账号密码登录,可将此网址收藏并保存密码方便下次登录

方式二:
手机端网页:www.rccrc.cn
输入账号密码登录,可将此网址添加至手机桌面并保存密码方便下次登录

方式三:
【重症肺言】微信公众号
输入账号密码登录

注:账号具有唯一性,即同一个账号不能在两个地方同时登录。

登录
方式

为重症救治赋能

为患者康复加速

当前位置:首页 重症实战 病例集锦

妊娠合并重症肺炎的临床决策与转归

马文涛 郑州大学第一附属医院RICU 发布于2025-09-01 浏览 587 收藏

作者:马文涛

单位郑州大学第一附属医院RICU


一、病情介绍


1. 基本资料

患者女性,34岁,自由职业者,2024年9月13日急诊收入产科。主诉:发热、咳嗽、咳痰6天。

2. 现病史

6天前无诱因出现发热,体温最高38.6℃,咳嗽、咳痰,伴头痛,前往当地妇幼保健院就诊,予口服“头孢氨苄胶囊、对乙酰氨基酚、冬凌草、止咳糖浆”等治疗,口服2天后症状不缓解,体温最高40℃,遂前往当地中心医院住院治疗,住院期间查甲流、乙流、新冠病毒核酸均为阴性,血常规:白细胞计数9.43×109/L,中性粒细胞百分比83%,红细胞计数3.62×1012/L,血红蛋白106 g/L,血小板计数204×109/L,空腹血糖高(未见单),给予“哌拉西林他唑巴坦针4.5 g q8h”抗感染及对症治疗,治疗3天后仍发热,最高体温40℃。为进一步治疗,急诊至我院就诊,以“发热待查,瘢痕子宫,孕19周”收住入产科。患者自发病以来,精神差,饮食睡眠不佳,二便均减少,孕期体重增加2 kg。

3. 既往史

既往体健,2年前(2022年)因“脐带绕颈2周”剖宫产1次,无高血压、心脏病、糖尿病、脑血管疾病病史,无肝炎、结核、疟疾病史。

4. 个人史及其他

个人史和家族史均无特殊;已婚,29岁结婚,爱人体健,夫妻关系和睦。月经周期规则,月经量中等,颜色正常,无血块、无痛经。孕5产1,人工流产2次,自然流产1次。

5. 体格检查

体温40℃,脉搏130次/min,呼吸27次/min,血压110/67 mmHg,身高161 cm,体重68.5 kg;双肺呼吸音清,无干/湿啰音;心前区无隆起,心率130次/min,律齐,心脉率一致,各瓣膜听诊区未闻及杂音;腹膨隆,于下腹部可见一长约12 cm手术瘢痕,无腹壁静脉曲张,无胃肠型,无蠕动波,腹式呼吸存在;宫高15 cm,腹围96 cm,胎心率170 bpm;无宫缩,未见红,未破膜。

6. 相关检验检查(2024-09-13)

  • 血常规:中性粒细胞百分比86%(↑),中性粒细胞绝对值7.93×109/L↑),血红蛋白106 g/L(↓),余指标基本正常。

  • 尿常规:酮体(+++),维生素C(+++)。

  • 血凝试验:纤维蛋白原测定4.86 g/L↑)D-二聚体0.65 mg/L↑),纤维蛋白原降解产物5.35 mg/L↑)

  • 血生化:肝肾功能正常,尿素0.74 mmol/L(↓),白蛋白33.6 g/L↓),余指标无异常。

  • 炎症指标:降钙素原0.458 ng/ml(↑),C反应蛋白161.3 mg/L(↑),白介素-6 107 pg/ml(↑)。

  • 电解质:钾3.13 mmol/L(↓),钠125 mmol/L(↓)。

  • 心电图:窦性心动过速,部分导联T波低平及倒置。

7. 完善病原学检查(2024-09-14)

  • 痰涂片:革兰染色未见真菌,革兰染色鳞状上皮细胞>25/LP。

  • 痰培养:正常菌群分离,革兰染色鳞状上皮细胞≤10/LP。

  • 新冠咽拭子:两次新冠病毒RNA均阴性。

  • 呼吸道病原体核酸六联检:肺炎支原体DNA阳性,余均为阴性。

  • 胎儿超声:宫内妊娠,中孕,单活胎,超声孕周为19周3天。

  • 胸腹部超声:三尖瓣少量反流,检查过程中患者心动过速;胸腔少量积液,腹腔未见明显积液。

8. 产科治疗

产科予头孢哌酮舒巴坦针3.0 q8h,阿奇霉素针0.5 qd抗感染治疗。患者入院后体温仍居高不下,反复发热(图1)

图片

1  患者入院后体温变化情况

9. 第一次病情变化

2024年9月16日产科查房见患者呼吸急促,40次/min,面罩吸氧8 L/min维持血氧饱和度91%~95%,经会诊后于当天转入RICU。


二、RICU诊治经过


1. 转入RICU后查体及检验检查

  • 查体:体温36.2℃,血压95/51 mmHg,脉搏125次/min,呼吸32次/min,SpO2 93%。双肺呼吸音粗,可闻及湿性啰音;心律齐,未闻及杂音;双下肢轻度指凹性水肿。

  • 动脉血气分析(HFNC:40 L/min,氧浓度65%):pH 7.425,PaCO2 31.5 mmHg,PaO2 66.7 mmHg,氧合指数102.6 mmHg。

  • 心电图示窦性心动过速,QTc间期延长。

  • 血常规:白细胞13.57×109/L(↑),中性粒细胞百分比82.8%(↑),中性粒细胞绝对值12.59×109/L(↑),血红蛋白91 g/L(↓)

  • 血生化:尿素0.80 mmol/L(↓),白蛋白24.9 g/L↓),总蛋白50.6 g/L↓),乳酸脱氢酶577 U/L(↑),B型钠尿肽前体577 pg/ml(↑)。

  • 炎症指标:降钙素原0.280 ng/ml(↑),C反应蛋白267.3 mg/L(↑)。

  • 血凝试验:纤维蛋白原测定5.79 g/L↑)D-二聚体3.52 mg/L↑),纤维蛋白原降解产物18.03 mg/L↑)

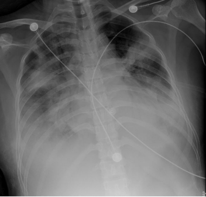
  • 床旁胸片:双肺浸润影(图2)

图片

2  患者转入RICU后床旁胸片

2 病史总结

  • 患者为青年女性,孕中期,既往体健。

  • 急性发病,病情进展快临床表现为发热、咳嗽、咳痰因呼吸困难,血氧饱和度低转入RICU。

  • 转入后查体见呼吸急促,呼吸频率快(32次/min),双肺呼吸音粗,可闻及湿啰音双下肢轻度指凹性水肿。

  • 检验结果提示Ⅰ型呼吸衰竭,白细胞升高,炎症指标明显升高,高凝状态以及电解质紊乱心电图提示窦性心动过速,QTc间期延长床旁胸片示双肺浸润影。

3. 转入诊断

重症社区获得性肺炎(SCAP);②呼吸衰竭急性呼吸窘迫综合征ARDS);④脓毒症20周凝血功能异常窦性心动过速低蛋白血症电解质紊乱

4. 诊计划

1)确定病原体:制定诊疗计划的首要环节是明确病原体。肺炎诊断需遵循“确定肺炎诊断→评估严重程度→确定病原体”三部曲,而重症肺炎的诊断难点并非识别重症状态,核心在于早期明确病原体。2023年Lancet Microbe 杂志发表了一项2009—2020年中国不同年龄段社区获得性肺炎感染及合并感染模式全国性监测研究,该研究结果显示,无论是成人SCAP还是老年SCAP,约50%的病例存在病原体不明确的情况,这凸显了早期明确病原体的紧迫性。实现早期病原体明确需从两方面着手:一是早期送检合格标本,二是采用规范的检测技术。合格标本包括痰液、血液、肺泡灌洗液(BALF)、肺组织、胸水、尿液及咽拭子等。其中,若无禁忌证,所有SCAP患者均应尽可能获取合格的下呼吸道标本,而BALF是最优选择。获取BALF需通过气管镜检查,但该操作对SCAP患者存在一定风险,可能导致缺氧加重或二氧化碳潴留。因此,术前必须对患者进行充分评估与准备,以保障检查安全实施。值得注意的是,气管镜下标本采集在ICU中无绝对禁忌证,临床应重视早期送检气管镜下呼吸道标本的重要性。对于无人工气道的患者,可通过HFNC或无创通气提升其耐受性,为气管镜检查创造条件。

2)制定初始抗感染方案:诊疗计划的第二步是确定初始治疗方案。结合患者当时的临床资料,其病原学检测显示肺炎支原体核酸阳性,而气管镜检查尚未实施。肺炎支原体对大环内酯类药物耐药率较高,但对多西环素、米诺环素及喹诺酮类抗菌药物仍保持敏感。从用药安全性来看,多西环素、米诺环素属于妊娠期为D级药物(孕妇慎用),喹诺酮类则为妊娠期C级药物。基于上述特点,在与患者家属充分沟通,强调以保障孕妇安全为首要原则。最终选择多西环素0.1 g q12h而非喹诺酮类药物,核心原因是患者转入科室后,心电图检查提示QTc间期延长,而喹诺酮类药物可能加重这一情况,存在潜在风险。同时,考虑患者可能合并其他病原体感染,加用美罗培南针1.0 g q8h强化抗感染治疗。针对患者重症肺炎合并ARDS的病情,予以甲强龙针80 mg qd联合西维来司他钠针0.3 g qd进行抗炎治疗,以控制炎症反应、改善呼吸功能。

5. 完善检查

9月17日电子支气管镜检查:患者气道黏膜有充血,未见明显脓性分泌物(图3)。两下肺灌洗送检病原学(包括常规病原学检测mNGS以及BALF细胞学检查)。

图片

3  患者气管镜检查

同时完善血病原学检查,其中G试验/GM试验均阴性。淋巴细胞亚群分析NK细胞百分比6.93%(↓),CD3+CD4+CD25+ 5.49%(↓),淋巴细胞绝对数615.77个/μl(↓),CD3+绝对数437.88个/μl(↓),CD3+CD4+绝对数202.98个/μl(↓),CD3+CD8+绝对数223.50个/μl(↓),B淋巴细胞绝对数83.18个/μl(↓)。

6. 第二次病情变化

91720:40,患者呼吸窘迫(呼吸频率52次/min),心率增快,SpO2降至87%。予以无创正压通气(NPPV)(PSV模式,FiO2 100%PEEP 8 cmH2OPC12 cmH2O),动脉血气分析:pH 7.294,PaCO2 35.3 mmHg,PaO2 57.7 mmHg,SaO2 88.5%,BE -8.6 mmol/L,HCO3- 17.1 mmol/L,氧合指数57.7 mmHg

NPPV治疗重症肺炎所致低氧血症的失败风险高。建议在严密监护条件下实施NPPV,一旦治疗无效,应尽早考虑气管插管。不应单纯将氧合指数是否达标作为气管插管和有创机械通气的指征,而应结合患者的临床表现和器官功能的情况实时进行评估。延迟气管插管,带来的危害可能更大。《ICU成人重症肺炎规范诊疗手册》中指出,出现下列情况常提示NPPV治疗失败风险增高:①NPPV 1 h后氧合指数≤175 mmHg;②潮气量>9~9.5 ml/kg;③呼吸频率>30次/min;④休克;⑤代谢性酸中毒;⑥SAPS Ⅱ评分>34分;⑦HACOR评分>5分;⑧食道压力波动值>10 cmH2O

结合患者当时的状态,提示NPPV治疗失败。于是在9月17日21:19气管插管,有创呼吸机辅助通气

有创机械通气管理策略:①镇静镇痛管理:有创通气初期(72 h内)往往需要深镇静,甚至联合肌松的方式抑制自主呼吸后应尽量避免过度镇静镇痛;②小潮气量通气:6 ml/kg(理想体重),监测气道平台压≤30 cmH2O或驱动压≤15 cmH2O;③PEEP设置:氧合法滴定。结合当时产科意见,俯卧位通气存在一定风险(胎盘早羊水破裂),因此这一阶段并未予俯卧位通气。

插管后氧合改善不明显,SpO2最高仅达80%。

9月17日22:04动脉血气分析VCV,FiO2 100%PEEP 12 cmH2Of 20次/min,潮气量320 ml)pH 7.183,PaCO2 45.4 mmHg,PaO2 40.4 mmHg,SaO2 66.2%,BE -10.8 mmol/L,HCO3- 17.1 mmol/L,氧合指数降至40.4 mmHg,酸中毒更加明显。在最优的机械通气条件下(FiO2≥0.8,潮气量为6 ml/kg理想体重,PEEP≥5 cmH2O),且采用补救性通气策略(如肺复张、俯卧位通气等)仍效果不佳,并符合以下之一,应尽早考虑评估实施VV-ECMO:①氧合指数<50 mmHg超过3 h;②氧合指数<80 mmHg超过6 h;③动脉血pH<7.25且PaCO260 mmHg超过6 h。

与家属充分沟通后, 予VV-ECMO支持: 转速3450转/min流量4.47 L/min调整呼吸机模式为压控通气。ECMO上机后, 患者心率稳定, 氧合好转, SpO2升高, 血压逐渐恢复

7. BALF病原学结果

9月18日BALF常规检测:10% KOH压片未见真菌,扁平鳞状上皮细胞<1%,革兰染色未见真菌,结核杆菌液基集菌涂片未见抗酸杆菌,六胺银染色未见真菌,六胺银染色未见耶氏肺孢子菌,GM试验阴性。BALF细胞学:白色,浑浊;巨噬细胞占比4%,中性分叶核细胞占96%。BALF mNGS回报:肺炎支原体(序列数312087)。

8. 调整治疗

停用美罗培南,维持多西环素抗感染治疗,加用人免疫球蛋白。9月21日复查心电图,患者QTc间期延长消失。考虑患者有人工气道,同时有肺炎支原体感染,于是联合左氧氟沙星治疗(图4)。治疗期间限制性液体管理。

图片

4  患者治疗调整及生命体征变化情况

治疗期间的非药物治疗措施有侧卧位通气(图5)

图片

5  患者侧卧位通气

9. 疗效评价

9月21日复查床旁胸片,可见双下肺病变较前吸收改善(图6)

图片

6  复查床旁胸片

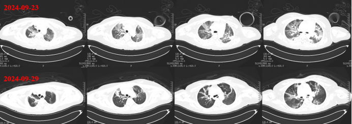
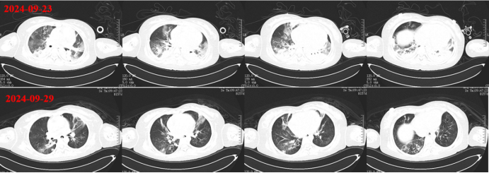
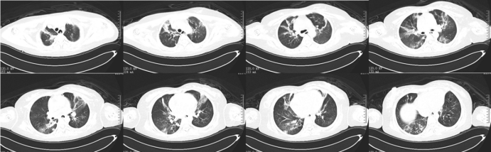
9月23日在ECMO支持下带患者外出行胸部CT检查:上肺渗出影斑片影双下肺实变,左下肺实变更明显(图7)

图片

7  患者胸部CT(2024-09-23)

监测患者炎症指标, 白细胞在9月18日后逐渐下降, 但在9月22日白细胞和降钙素原似乎有再次升高趋势, C反应蛋白水平持续下降(图8)。警惕呼吸机相关性肺炎和血流感染的可能。

图片
图片
图片

8  炎症指标变化情况

此时面临的问题是如何能够尽早地撤离ECMO和呼吸机。尽管患者此时生命体征稳定,但其肺顺应性较差。

10. 俯卧位通气的选择

俯卧位通气能够促进塌陷肺泡复张,改善肺部通气血流比和呼吸系统顺应性,有利于气道分泌物引流。

这一阶段对于患者而言,是先剖再俯,还是先俯再剖?

《急性呼吸窘迫综合征患者俯卧位通气治疗规范化流程》中明确指出妊娠是俯卧位的相对禁忌证。《新型冠状病毒肺炎患者俯卧位治疗上海专家建议》指出,妊娠患者是俯卧位治疗的相对禁忌证,应根据孕期情况在产科医师的指导下进行。结合产科会诊意见,先行俯卧位通气治疗,若出现产科相关病情变化,再行剖宫取胎术。

924下午开始进行俯卧位通气12 h。复查床旁胸片可见:9月24日(俯卧位前)右肺似乎略好,但左肺实变及下肺透亮度依然很差,没有完全膨胀。9月25日(俯卧位后第1天)双肺透亮度较前明显好转。9月27日(俯卧位后第3天)患者肺部病变持续好转(图9)。通过监测发现,俯卧位后,患者的静态肺顺应性明显好转(24→61 L/cmH2O)。

图片

9  俯卧位前后患者胸片变化情况

11. ECMO撤机

9月27日11:30夹闭氧源2 h后血气分析:pH 7.445,PaCO2 43.7 mmHg,PaO2 213.0 mmHg,氧合指数>400 mmHg,SaO2 100%。当天ECMO顺利撤机。

928查胎儿彩超示宫内妊娠, 单活胎。

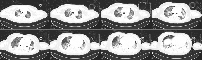
928日外出复查胸部CT:双肺渗出和实变明显吸收改善(图10,图11)

图片
图片

10  复查胸部CT(2024-09-29)

图片
图片

11  患者胸部CT对比

12. 临床转归

9月27日撤离ECMO, 之后予多西环素抗感染, 总疗程为2周, 之后序贯左氧氟沙星治疗; 同时予肝素抗凝; 9月30日拔除气管插管撤离呼吸机; 10月3日予鼻导管吸氧; 10月7日于产科行剖宫取胎术; 术后3天, 患者顺利出院(图12)

图片

12  患者撤离ECMO后治疗措施及生命体征变化情况


三、总结


ICU是重症肺炎诊疗的核心场所。世界卫生组织(WHO)数据显示,2017年全球因肺炎死亡的260万人中,绝大多数为重症肺炎患者,其死亡人数在全球死因中排名第四。这一数据凸显了重症肺炎规范化诊疗的重要性。对重症肺炎患者而言,早期明确病原体是制定精准治疗方案的前提,可为后续治疗提供明确方向;而选择合适的呼吸支持治疗方式,则是保障诊疗顺利实施的基础。在呼吸支持策略中,针对ARDS患者的俯卧位通气需遵循“能俯尽俯”原则。值得注意的是,妊娠并非俯卧位通气的绝对禁忌证。本例患者实施俯卧位通气后,未出现羊水破裂、胎盘早剥等不良事件,进一步验证了该策略在特定人群中的可行性。


参考文献


【向下滑动查看所有文献】

[1] Liu YN, Zhang YF, Xu Q, et al. Infection and co-infection patterns of community-acquired pneumonia in patients of different ages in China from 2009 to 2020: a national surveillance study[J]. Lancet Microbe, 2023, 4(5):e330-e339.

[2] Ergan B, Nava S. The use of bronchoscopy in critically ill patients: considerations and complications[J]. Expert Rev Respir Med, 2018, 12(8):651-663. 

[3] 中华医学会呼吸病学分会. 肺部感染性疾病支气管肺泡灌洗病原体检测中国专家共识(2017年版)[J]. 中华结核和呼吸杂志, 2017, 40(8):578-583.

[4] 中华医学会呼吸病学分会呼吸危重症医学学组, 中国医师协会呼吸医师分会危重症医学工作委员会. ICU患者支气管肺泡灌洗液采集、送检、检测及结果解读规范[J]. 中华结核和呼吸杂志, 2020, 43(9):744-756.

[5] 詹庆元,梁宗安,解立新. ICU成人重症肺炎规范诊疗手册[M]. 北京:人民卫生出版社,2024. 

[6] Qadir N, Sahetya S, Munshi L, et al. An Update on Management of Adult Patients with Acute Respiratory Distress Syndrome: An Official American Thoracic Society Clinical Practice Guideline[J]. Am J Respir Crit Care Med, 2024, 209(1):24-36. 

[7] 中华医学会重症医学分会重症呼吸学组. 急性呼吸窘迫综合征患者俯卧位通气治疗规范化流程[J]. 中华内科杂志, 2020, 59(10):781-787.

[8] 上海市新型冠状病毒肺炎临床救治专家组. 新型冠状病毒肺炎患者俯卧位治疗上海专家建议[J]. 中华传染病杂志, 2024, 40(9): 513-521.


图片

作者介绍

图片

马文涛

郑州大学第一附属医院RICU,副主任医师主要从事呼吸重症及呼吸内镜介入诊疗河南省呼吸与危重症学会呼吸治疗分会委员河南省体外生命支持学会委员

声明:

本文仅用于学术内容的探讨和交流,不用于任何商业和推广。临床实践需根据患者的具体情况选择适宜的处理措施。


全部评论 0
Copyright©2020-2025 北京医麦斯科技有限公司 版权所有 京ICP备2020034400号-1 京公网安备11010502043983号