登录方式

方式一:
PC端网页:www.rccrc.cn
输入账号密码登录,可将此网址收藏并保存密码方便下次登录

方式二:
手机端网页:www.rccrc.cn
输入账号密码登录,可将此网址添加至手机桌面并保存密码方便下次登录

方式三:
【重症肺言】微信公众号
输入账号密码登录

注:账号具有唯一性,即同一个账号不能在两个地方同时登录。

登录
方式

为重症救治赋能

为患者康复加速

当前位置:首页 重症实战 病例集锦

老年患者肺癌术后的一波三折

彭夏莹 四川省医学科学院 · 四川省人民医院 呼吸与危重症医学科 发布于2025-08-14 浏览 765 收藏

作者:彭夏莹

单位:四川省医学科学院 · 四川省人民医院 呼吸与危重症医学科


一、病情介绍


1. 基本资料

患者男性,74岁农民入院日期:202475日。主诉:发现“肺部占位”5月。

2. 病史情况

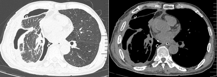
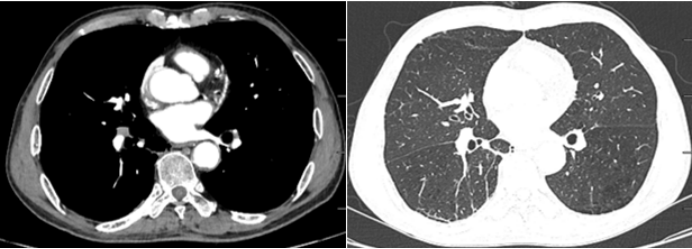
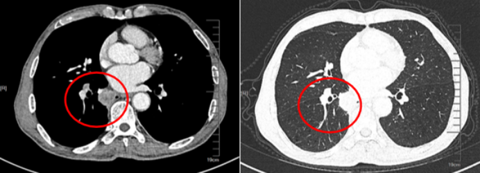
2024年2月18日,患者于外院体检,胸部CT示:右肺下叶内基底段肿块影(3.4 cm×3.0 cm)(图1)2024年2月29日,我院CT引导下经皮肺穿刺,病理证实为鳞状细胞癌。2024年3月11日,PET-CT示:右肺下叶鳞状细胞癌伴肺门纵隔内淋巴结转移(cT4N2M0ⅢB)。2024年3月16日予TP(紫杉醇+顺铂)+替雷利珠单抗治疗3个周期。7月9日复查胸部CT,可见原有肿块明显好转(图2)

图片

1  患者外院胸部CT(2024-02-18)

图片

2   复查胸部CT(2024-07-09)


二、外科诊治经过


1. 外科手术及术后第一次病情变化

2024年7月16日,患者于我院胸外科行全麻下“胸腔镜下右肺下叶癌根治+胸腔粘连烙断术”,术中见:胸膜重度粘连,右肺下叶内基底段瘢痕形成。

2024年7月18日,(术后第2天),右胸引流出乳糜样淡红色液体1340 ml,考虑可能与术中并发症有关,遂予禁食。

2024年7月20日(术后第4天),患者呼吸困难加重,氧合恶化,血气分析(FiO2 0.33):pH 7.46,PaCO2 30.75 mmHg,PaO2 66 mmHg,氧合指数200 mmHg,乳酸1.3 mmol/L;降钙素原(PCT)17.30 ng/ml。可能出现术后感染。

2024年7月21日胸部CT提示:右侧胸腔大量高密度影,中间有较多气体影像,部分肺组织受压不张,支气管胸膜瘘或食管胸膜瘘形成可能(图3)

图片

3  患者胸部CT(2024-07-21)

2024年7月21日(术后第5天)行急诊手术,术中见后纵隔及叶间裂包裹性积液,内含大量食糜,食管中下段距隆突下约3 cm处有一纵行裂口(5 cm),行食管破裂修补术+右侧胸腔廓清术,术后入外科重症监护病房(SICU),予亚胺培南西司他丁抗感染治疗。

2024年7月23日,患者氧合指数为290 mmHg,脱机拔管,转回胸外科,继续胸腔引流和肺康复。

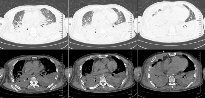
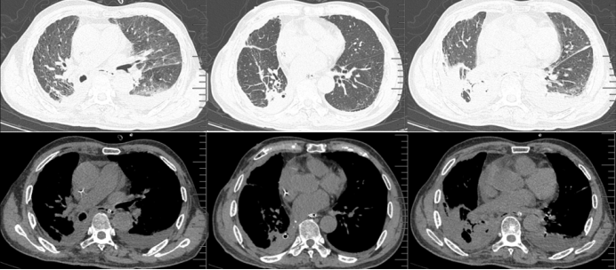
7月30复查胸部CT提示炎症吸收好转,肺复张较前明显(图4)将抗感染药物降阶梯为头孢哌酮舒巴坦,安置空肠管,启动肠内营养。

图片

4  复查胸部CT(2024-07-30)

2. 第二次病情变化

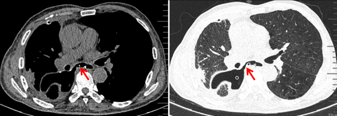
2024年8月29日,患者呼吸困难再次加重。胸部CT示:食管和右侧胸腔连通(图5)。急诊胃镜示:距门齿31 cm可见一食管瘘口(0.7 cm),窦腔,可见较多脓性分泌物及胸腔引流管,于瘘口处置入引流管(图6)

图片

5  胸部CT(2024-08-29)

图片

6  急诊胃镜检查

患者后续反复出现胸腔和肺部感染。痰培养结果:大肠埃希菌(喹诺酮R),肺炎克雷伯菌(ESBL +)。

根据炎症指标和临床表现,先后使用如下药物进行抗感染治疗:美罗培南→ 哌拉西林他唑巴坦→ 莫西沙星 → 头孢他啶(间断停用),并予胸腔引流以及康复锻炼。

2025年1月2日复查胸部CT:肺部炎症有所吸收(图7)停用抗生素。

图片

7  胸部CT(2025-01-02)

3. 第三次病情变化

2025年2月20日, 患者第三次出现呼吸困难, 伴发热(体温39℃), 经验性加用莫西沙星。

2025年2月21日, 咽拭子甲流阳性, 予玛巴洛沙韦治疗。查血常规: WBC 15.54×109/L, NEU% 93.4%, LYM 0.44×109/L; CRP 187.65 mg/L, PCT 0.9 ng/ml。将莫西沙星升级为美罗培南抗感染治疗。

2025年2月22日20:30,患者呼吸困难明显加重,出现呼吸窘迫,呼吸频率达到40~45次/min,指尖血氧饱和度约为60%,面罩吸氧后血气分析:pH 7.2,PaCO2 56 mmHg,PaO2 84 mmHg,HCO3- 19.2 mmol/L,BE -6.1 mmol/L。转入RICU进一步治疗。


三、RICU诊治经过


1. 体格检查

体温38.5℃,脉搏132次/min,呼吸40~45次/min,血压70/59 mmHg,SpO2 76%;昏睡状态,球结膜水肿,口唇发绀,四肢厥冷,呼吸窘迫,桶状胸,肋间隙增宽,双肺呼吸音增粗,可闻及散在湿啰音,心率132次/min,律齐,各瓣膜区未闻及杂音,腹部膨隆,腹软,叩诊鼓音,双下肢轻度水肿。qSOFA评分3分。

2. 辅助检查

  • 血气分析(面罩吸氧,FiO2 60%):pH 7.29,PaCO2 41 mmHg,PaO2 67 mmHg,Lac 1.5 mmol/L,HCO3- 19.7 mmol/L,BE -6.4 mmol/L;氧合指数112 mmHg,ROX指数3.41。紧急气管插管+有创通气,在中心静脉压(CVP)和床旁超声指导下补液扩容,并予间羟胺维持血压[1.2 μg/(kg·min)]。

  • 血常规:WBC 19.48×109/L,NEU% 92.3%,LYM 0.53×109/L。

  • 感染指标:CRP 209.86 mg/L,PCT 2.74 ng/ml。

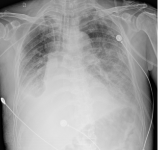
  • 床旁胸片(2025-02-23):双肺渗出明显增加,且以双下肺为主(图8)

图片

8  患者床旁胸片(2025-02-23)

  • 胸部CT(2025-02-28):双肺大量新发渗出,病灶主要集中在双下肺,大片实变,肺不张,少量胸腔积液(图9)

图片

9  患者胸部CT(2025-02-28)

3. 病情评估

1)呼吸:重症HAP,胸腔感染——院内起病,术后食管胸膜瘘,反复肺部及胸腔感染,再次加重,双肺实变、渗出,呼吸频率>40次/min,氧合指数100~150 mmHg,体温持续39℃PCT 0.9 → 5.74 ng/ml。

2)循环:脓毒性休克、心衰——qSOFA评分3分,充分补液后仍需去甲肾上腺素0.9 μg/kg·min)维持血压,床旁超声排除低容量性休克、梗阻性休克、心源性休克,考虑分布性休克;心脏超声提示心脏舒张功能障碍,轻度收缩不良,BNP增至744.6 pg/ml,考虑脓毒性心肌病可能。

3)其他脏器功能:急性肾损伤(AKI——迅速出现少尿Cr水平升高327.1 μmol/L,eGFR 16.3 ml/(min·1.73m2

4)脓毒性凝血病,脓毒症相关性血小板减少PT 14 s,APTT 35.6 s,D-二聚体 4.36 mg/L FEUPLT 23×109/L(破碎红细胞1.2%),骨穿(-);SIC评分5分。

5)急性胃肠损伤AGIⅢ级:麻痹性肠梗阻,腹腔压力(IAP2022 cmH2O。腹腔压力升高会导致膈肌上移,同时也影响胸廓和肺的顺应性,导致下肺不张,通气/血流比失调,进而影响机体的氧合。

综上,患者出现明显的多器官功能障碍综合征(MODS),且各脏器之间相互影响。

4. 针对性解决措施

1)重症HAP,胸腔感染:本例为重症HAP患者,根据患者病史及用药史推测其可能为MDR菌感染高危险患者。2025年2月20日送痰培养结果为大肠埃希菌和肺炎克雷伯菌,使用亚胺培南西司他丁48小时后,感染加重,病情恶化。我院2024年ICU微生物病原学分析报告肺炎克雷伯菌中碳青霉烯类耐药率为24%。该患者反复多次使用碳青霉烯类药物,综合考量后调整抗感染策略:亚胺培南西司他丁 → 头孢他啶阿维巴坦+氨曲南;多次引流(气管镜+胸腔);减轻腹内压,促进肺复张;循环稳定后去复苏,间断俯卧位。

2)脓毒性休克、心衰:抗感染;液体治疗:复苏→优化→巩固→去复苏。

3)急性肾损伤(AKI:保证肾脏灌注;短暂使用持续性肾脏替代治疗(CRRT);避免使用肾毒性药物

4)脓毒性凝血病,脓毒症相关性血小板减少:间断输注新鲜冰冻血浆,联合小剂量肝素抗凝

5)AGI Ⅲ级:维持腹腔灌注压,改善肠道缺血缺氧;提高胶体渗透压+脱水,减轻胃肠道水肿;维持内环境稳定和电解质平衡,同时予灌肠,血流动力学稳定且仅需小剂量血管活性药物后启动肠内营养,益生菌改善肠道菌群。上述措施有助于修复肠黏膜屏障,避免细菌移位,促进肠动力恢复,以降低腹内压。

5. 临床转归

2025年3月10日,因患者反复住院且在ICU住院2周,整体肌力较差,遂行气管切开。

2025年3月18日,将阿维巴坦+氨曲南方案降级为头孢哌酮舒巴坦。

2025年4月23日, 成功脱机, 接气切导管, 序贯经鼻高流量氧疗, 加强肺复张和肺康复。

2025年4月27日,拔除气切导管。

2025年5月31日,患者顺利出院。

出院前复查胃镜:于距门齿33 cm食管见一凹陷,中央小孔,直径约0.2 cm。未见明显气泡溢出。


四、HAP治疗体会


HAP治疗中,核心围绕三方面展开:①解除危险因素;②药物治疗;③非药物治疗。

1)危险因素:ICU中HAP的危险因素可分为多个类别,具体如下:①物理屏障破坏:包括内部因素,例如肺部结构性肺病(如本身存在的肺部结构异常)和误吸等;外部因素,例如外科术后、外伤患者(术后并发症多,身体抵抗力弱),侵入性操作(如气管插管等,破坏气道屏障,增加感染风险)。②免疫及生化屏障受损:高龄患者(多来自呼吸科、老年科,免疫力自然衰退);慢性基础病患者(多来自消化科、肾内科、心内科、内分泌科等,慢性肝肾疾病、慢性心衰、糖尿病患者,不仅免疫受损,身体代谢状态也会导致肺部微生态失调,容易发生感染);免疫抑制相关(多来自风湿科、血液科、肿瘤科,长期使用免疫抑制剂或接受化疗后的患者,免疫力被药物抑制);长期住院患者(体内易有细菌定植,增加感染风险)。

2)药物治疗:HAP药物治疗的核心原则:精准明确病原学及耐药机制,结合PK/PD和药物浓度调整治疗方案。值得注意的是,需要同步维护其他脏器功能(如心、肝、肾等,避免脏器损伤影响肺部恢复);在血流动力学评估下优化容量管理;治疗过程中密切监测药物的不良反应。

3)非药物治疗:①呼吸支持与气道管理:包括呼吸支持(如呼吸机辅助通气)、气道廓清(清除气道分泌物)。②局部雾化药物治疗:针对肺部局部使用药物,提高局部疗效。③其他脏器影响防控:关注腹腔对肺部的影响(如腹腔高压可能限制胸腔及肺的顺应性,影响呼吸功能)、心肺交互作用。④早期肺康复:促进患者肺部功能早期恢复,减少并发症。


五、思考的问题


1)食管-气管/支气管瘘、支气管-胸膜瘘、食管-胸膜瘘的重症感染患者(尤其有创通气支持的患者),除了药物治疗,还有哪些可能的介入治疗/非药物治疗手段,有助于尽早恢复,缩短抗生素使用时间?

2)对于存在MDR高危因素且短期内无法解除的患者,还有哪些措施有助于预防HAP(尤其是CRO感染)?


图片

作者介绍

图片

彭夏莹

四川省医学科学院·四川省人民医院呼吸与危重症医学科,主治医师,医学博士,中国医师协会呼吸医师分会危重症医学工作委员会青年委员,成都医师协会呼吸专委会青年委员会副主任委员。

声明:

本文仅用于学术内容的探讨和交流,不用于任何商业和推广。临床实践需根据患者的具体情况选择适宜的处理措施。


全部评论 0
Copyright©2020-2025 北京医麦斯科技有限公司 版权所有 京ICP备2020034400号-1 京公网安备11010502043983号