登录方式

方式一:
PC端网页:www.rccrc.cn
输入账号密码登录,可将此网址收藏并保存密码方便下次登录

方式二:
手机端网页:www.rccrc.cn
输入账号密码登录,可将此网址添加至手机桌面并保存密码方便下次登录

方式三:
【重症肺言】微信公众号
输入账号密码登录

注:账号具有唯一性,即同一个账号不能在两个地方同时登录。

登录
方式

为重症救治赋能

为患者康复加速

当前位置:首页 重症实战 病例集锦

持续150天的生死拉力赛——重症肺炎合并神经肌肉损伤一例

刘思彤 四川大学华西医院呼吸与危重症医学科 发布于2025-08-06 浏览 1067 收藏

作者:刘思彤

单位四川大学华西医院呼吸与危重症医学科


一、病情介绍


1. 基本资料

患者男性,70农民入院日期:2025年2月10日。主诉:胸闷胸痛伴乏力6天,呼吸困难1天

2. 现病史

入院前6天,患者受凉后出现流涕、干咳、胸闷、胸痛,伴乏力,自诉胸痛为双侧胸部持续性胀痛,深呼吸时无明显加重,无发热、咯血、呼吸困难,无心悸、昏厥,无恶心、呕吐、反酸等不适,自行口服“感冒药”后流涕、干咳等症状好转。入院前3天,患者感胸闷、胸痛及乏力等症状加重,就诊于我院急诊,完善胸部CT提示“双肺大片磨玻璃实变影”,给予哌拉西林他唑巴坦、左氧氟沙星抗感染治疗,疗效不佳。1天前,患者出现呼吸困难,进行性加重,血气分析提示Ⅰ型呼吸衰竭,给予无创呼吸机辅助通气,收入我科MICU继续诊治。此次患病以来,患者精神差,食欲差,大便正常,小便量少,体重无明显变化。

3. 既往史

诊断帕金森病8年,目前口服“普拉克索、多巴丝肼、金刚烷胺”药物治疗,长期于我院神经内科门诊随访,平素可正常生活、活动。右眼白内障术后3年,左眼白内障术后1年。

4. 个人史及其他

否认烟酒史。诉发病前同家人回老家,患者有宾馆居住史,另外一位家人同期有“感冒”症状。育有2女。家族史无特殊。

5. 体格检查

体温37℃,脉搏110次/min,呼吸23次/min,血压138/84 mmHg,SpO2 95%,无创呼吸机辅助通气(S/T模式:FiO2 70%,IPAP 16 cmH2O,EPAP 7 cmH2O)。嗜睡,急性病容,双侧瞳孔等大等圆,直径3 mm,对光反射灵敏,双肺呼吸音粗,双下肺可闻及湿啰音,心腹无异常,四肢轻度水肿,四肢肌力5级。

6. 实验室检查

  • 血气分析(FiO2 70%):pH 7.413,PaO2 71.5 mmHg,PaCO2 34.2 mmHg,HCO3- 21.4 mmol/L

  • 血常规:Hb 107 g/L,PLT 286×109/L,WBC 5.38×109/L,NEU% 95.1%

  • 大、小便常规:大便隐血(+);尿蛋白定性1.0 g/L++),尿胆原定性34 μmol/L(+),尿胆红素定性8.6 μmol/L(+),红细胞18/μl,细菌9679/μl(复查阴性,尿细菌培养阴性)

  • 生化:直接胆红素28.1 μmol/L,谷丙转氨酶316 U/L,谷草转氨酶276 U/L,碱性磷酸酶197 U/L,谷氨酰转肽酶145 U/L,白蛋白29.1 g/L,葡萄糖10.60 mmol/L,尿素13.7 mmol/L,肌酐133.00 μmol/L,估算肾小球滤过率46.33 ml/min·1.73㎡),乳酸脱氢酶280 U/L,羟丁酸脱氢酶229 U/L,肌酸激酶62 U/L,电解质阴性。

  • 凝血功能:PT 15.6 s,纤维蛋白及纤维蛋白原降解产物>80.0 mg/L,D-二聚体38.00 mg/L FEU。

  • 心肌标志物:高敏肌钙蛋白T 16.4 ng/L,B型钠尿肽前体1475 ng/L

  • 淋巴细胞绝对计数:CD3 93 cellslCD4 80 cellslCD8 16 cellslB细胞116 cellslNK细胞69 cellsl。

  • 免疫指标:IgG4、ANCA均阴性。

  • 炎症指标:CRP 475.00 mg/L,PCT 4.440 ng/mlIL-6 243.10 pg/ml。

  • 病原学检查:痰涂片及培养、痰查呼吸道病毒13项、呼吸道病原菌、新型冠状病毒等均阴性。

  • 咽拭子:流感病毒抗原阴性

  • 真菌G试验GM试验、血培养及厌氧血培养、肺炎支原体与衣原体抗体、军团菌抗体均为阴性。

7. 影像学及超声检查

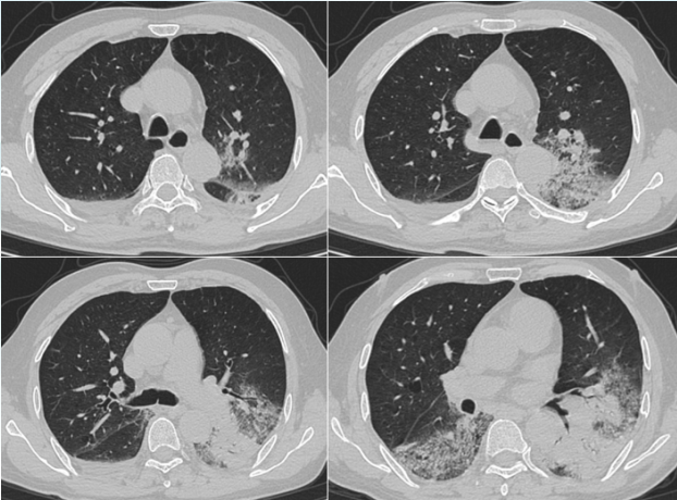
胸部CT2025-02-08(图1):双肺见大片状磨玻璃、实变影,以双肺下叶及左肺上叶明显,内见空气支气管征象,边缘模糊,考虑感染性病变可能,伴间质受累,合并其他待排双肺上叶少许小结节,多系炎性双肺少许小肺大泡。双侧胸腔少量积液,双侧胸膜增厚粘连心包少量积液可能主动脉壁及主动脉瓣区钙化纵隔及双肺门淋巴结增多、部分稍增大,部分伴钙化。扫及胸段食管稍扩张。

图片

1  患者胸部CT(2025-02-08)

普通超声心动图床旁2025-02-10:室间隔稍增厚;主动脉窦部稍增宽;肺动脉增宽;二尖瓣及主动脉瓣微量反流;肺动脉瓣少量反流;三尖瓣少量反流;心包腔少量积液;左室收缩功能测值正常低限(53%)。

四肢静脉彩超2025-02-10:双侧上下肢静脉可显示段未见明显血栓。

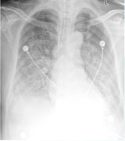
床旁胸片2025-02-11:双肺纹理增多、模糊,双肺透亮度减低,见大片状密度增高影,考虑感染可能。双侧肋隔角显示不清,胸腔积液(图2)

图片

2  患者入院后胸部X线片(2025-02-11)

8. 入院诊断

重症肺炎Ⅰ型呼吸衰竭急性呼吸窘迫综合征心功能不全肝功能不全⑥肾功能不全;⑦血糖升高;⑧低蛋白血症;⑨双眼白内障术后;⑩帕金森病。


二、诊治经过


1. 初始治疗

入院后予以无创呼吸机辅助呼吸。

初始抗感染方案:美罗培南1 g q12h,左氧氟沙星500 mg qd抗细菌;奥司他韦30 mg bid抗病毒,复方磺胺甲噁唑片2片qd预防肺孢子菌感染。

抗炎、调节免疫:甲泼尼龙40 mg qd,免疫球蛋白15 g qd×3 d。

对症支持治疗:抗帕金森病、化痰、抗炎、保肝、补充白蛋白、预防性抗凝、抑酸护胃、控制心率等治疗。

入院后患者出现发热,体温最高38.5℃,呼吸困难进行性加重,出现嗜睡,血压下降(85/55 mmHg)、心率增快(99次/min)、呼吸频率增快(30~38次/min),SpO2波动在84%~87%之间。

入院后1天,于2025年2月11日予气管插管并有创呼吸机辅助呼吸,并安置胃管。当日行床旁纤支镜检查,留取肺泡灌洗液(BALF)送涂片、培养、GM试验、肺孢子菌核酸、呼吸道13项病毒、呼吸道病原菌、TB-DNA等检测,结果均为阴性。

2025年2月12日,血NGS回报:嗜肺军团菌(序列数1214);BALF NGS回报:肺炎克雷伯菌(序列数410),嗜肺军团菌(序列数380),白喉棒状杆菌(序列数38),脓肿分枝杆菌(序列数20),流感嗜血杆菌(序列数10)。

抗感染方案:美罗培南1 g q8h,左氧氟沙星500 mg qd,奥马环素100 mg qd(首日加倍),复方磺胺甲噁唑片2片qd。

抗炎:氢化可的松200 mg qd微量泵,免疫球蛋白15 g qd×3 d。

对症支持治疗:抗帕金森病、化痰、抗炎、保肝、补充白蛋白、预防性抗凝、抑酸护胃、控制心率等治疗。

2. MICU治疗(2025-02-12至2025-02-25)

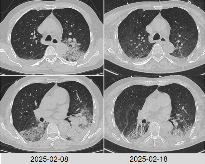
治疗后患者体温逐步恢复正常,炎症指标下降。复查胸部CT(2025-02-18)可见双肺炎症稍吸收(图3)

图片

3  患者治疗前后胸部CT对比

2025年2月20日,拔除气管插管,予无创呼吸机辅助通气,1 d后更换为经鼻高流量给氧。拔管前复查血NGS:嗜肺军团菌(序列数6);BALF NGS:嗜肺军团菌(序列数1),白念珠菌(序列数393661),近平滑念珠菌(序列数86846)。根据NGS结果加用卡泊芬净抗真菌治疗。

2025年2月25日转入呼吸科普通病房继续治疗。

3. 普通病房治疗(2025-02-25至2025-03-13)

患者转入后予经鼻高流量吸氧,40 L/min,40%,氧饱和度波动在95%98%;奥马环素片300 mg qd po+卡泊芬净50 mg qd抗感染;同时予肺康复、功能康复等对症综合治疗

202531拔除胃管,开始自主进食

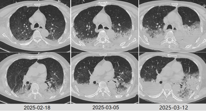
202535日复查胸部CT病灶较前进展(图4),炎症指标有所回弹,以中性粒细胞升高为主,抗感染方案调整为哌拉西林他唑巴坦4.5 g q9h+奥环素300 mg qd po

图片

4  患者复查胸部CT对比

2025312日患者氧合无明显改善,复查胸部CT示肺部病灶进展(图4)将抗生素方案调整为美罗培南+米卡芬净+莫西沙星,甲泼尼龙抗炎,无创呼吸机辅助通气。

2025313日患者心率波动在120~130次/min呼吸43~48次/minSpO2波动在85%~95%,氧合指数进行性降低至50 mmHg,遂以气管插管接有创呼吸机辅助通气,再次转入MICU。

普通病房治疗期间出现如下问题:患者经鼻高流量无法脱机,且逐步加重202535日和312日先后两次复查胸部CT,肺部影像学进展明显患者咳痰乏力,自拔管后即发现右侧肢体肌力下降,病理征阴性,头颅CT无异常。经肺康复与功能康复锻炼后咳痰能力、右侧肌力仍恢复欠佳2025313日膈肌功能评估:膈肌厚度0.14~0.16 cm,增厚分数下降,膈肌移动度下降

修正诊断:ARDSⅠ型呼吸衰竭重症军团菌肺炎吸入性肺炎(合并白念珠菌感染)帕金森病⑥低蛋白血症;⑦心功能不全;⑧肝功能不全;⑨肾功能不全;⑩糖尿病(未控制)。

4. 二次转入MICU治疗(2025-03-13至2025-03-28)

2025313日BALF NGS回报:铜绿假单胞菌(序列数2547),白念珠菌(序列数755)

2025314日安置鼻空肠营养管

2025317日痰培养示铜绿假单胞菌

2025324日痰培养提示耐碳青霉烯肺炎克雷伯菌,耐碳青霉烯鲍曼不动杆菌

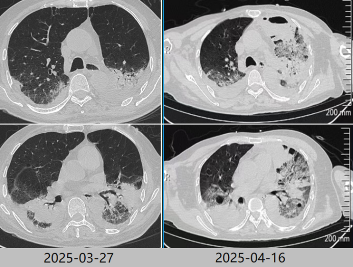
根据病原学结果,先后予以米卡芬净+美罗培南、哌拉西林他唑巴坦+环丙沙星头孢他啶阿维巴坦抗感染治疗2025324日拔管3月27日复查胸部CT提示肺部病变好转吸收(图5)。患者仍有明显咳痰困难,乏力,四肢肌力下降,经康复锻炼恢复欠佳

图片

5  复查胸部CT对比

5. 患者治疗期间氧合情况

患者在我院住院治疗期间氧合指数变化如图6所示。

图片

6  患者治疗期间氧合指数变化情况

6. 出院诊断

①急性呼吸窘迫综合征;②重症军团菌肺炎;③铜绿假单胞菌肺炎;④Ⅱ型呼吸衰竭;⑤耐碳青霉烯肺炎克雷伯菌肺炎;⑥吸入性肺炎(合并真菌感染);⑦慢性阻塞性肺疾病急性加重;⑧帕金森病;⑨低蛋白血症;⑩心功能不全;⑪肝功能不全;⑫肾功能不全;⑬双眼白内障术后(右眼3年,左眼1年);⑭免疫功能低下;⑮轻度贫血;⑯消化道出血;⑰睡眠障碍。

7. 出院后康复评估及计划

综合评估结果:主要存在肺功能和四肢运动功能障碍, 言语轻度受损, 有四肢深静脉血栓, 以减少活动防止血栓脱落为主方案计划: 临床用药治疗改善帕金森症状, 雾化解痉平喘、化痰、吸痰; 对症营养支持治疗, 下肢制动减少活动, 抬高双下肢。PT/心肺: 运动疗法, 肺功能康复训练, 体外膈肌起搏, 言语训练

康复目标:近期目标:PT:增强四肢各关键肌肌力,坐位平衡达到3级,独立完成从卧到坐。心肺:继续辅助排痰,防止痰液潴留,延长脱氧时间。ST:增大日常对话发声音量;最长声时提升2~5 s;舌部运动协调性发声“ka、la”,5 s内可达10个远期目标:PT:增强核心力量及躯干控制能力,站立平衡达到1级,独立完成从坐到站。心肺:改善胸廓活动度,改善肺通气,视情况脱氧;ST:构音评估提升1~2a或2~3b


三、康复医院住院治疗


1. 住院治疗情况

2025年4月14日发热,体温最高40℃,感染指标升高,伴氧合下降。

2025年4月16日复查胸部CT明显进展(图7)。调整头孢哌酮舒巴坦为美罗培南+莫西沙星抗感染,无创呼吸机辅助通气,入重症康复科ICU。

图片

7  患者胸部CT较前变化

2025年4月18日经皮气管切开。

2025年4月22日病情好转,转回综合康复科。

2025年4月28日再次发热,体温最高39℃,CRP 219.41 mg/L,PCT 1.57 ng/ml。调整抗生素方案为万古霉素+头孢他啶。

2025年5月6日复查:血钾6.84 mmol/L,尿素18.45 mmol/L,肌酐418.5 μmol/L。患者出现急性肾损伤,考虑万古霉素引起,遂停用。

2025年5月7日停用头孢他啶。

2. 病情转归

2025年5月19日复查血肌酐从445 μmol/L降至340 μmol/L,炎症指标也呈下降趋势。

恢复康复治疗,能耐受坐位轮椅训练,可以辅助下站立。

2025年6月9日鼻饲管流质饮食,活动耐力较前增加,痰液不多,呈白色清痰,活动后心累,气促较前改善,床椅坐位可维持数十分钟。移动能力评定量表(MRMI)得分20/40,站立平衡1级,白天可间断脱氧2~3 h。

2025年6月17日拔除气切导管,复查胸部CT提示病变较前吸收。经口进食糊状食物,无呛咳。

2025年7月1日顺利出院。


四、反复的原因分析


1. 本例患者病情分析

患者有帕金森基础疾病。2025220首次气管插管拔管后,患者出现右侧肢体肌力变差,病理征阴性,头颅CT阴性;治疗期间始终无法自主下地活动。20253月1日拔除胃管,开始自主进食,3月5日复查CT病灶即明显增加。20253月13日膈肌功能评估提示:膈肌厚度0.14~0.16 cm,增厚分数下降,移动度下降。患者于我院出院时四肢肌力差,无法站立,吞咽功能障碍,无法自主进食。

2. 神经肌肉损伤的可能原因

1)格林巴利综合征:格林巴利综合征多为对称性无力,且存在受累肢体腱反射减弱/消失。该患者表现不符合格林巴利综合征。

2)ICU获得性肌无力(ICU-AW):多为对称性四肢无力,累及近端肌肉多于远端肌肉,易导致机械通气脱机失败,面肌无力相对常见,腱反射往往减弱。患者可能存在ICU-AW,但无法解释全貌。

3)脑卒中等中枢神经系统疾病:不支持点在于患者在出现膈肌功能下降、肢体肌力下降时头颅CT无异常。

4)感染导致帕金森病加重:感染可导致帕金森病和其他神经退行性疾病的症状恶化。帕金森病主要表现为静止性震颤、运动迟缓、肌强直等,不能解释患者表现。

5)感染导致神经肌肉损伤:已有较多临床证据表明感染可直接或间接导致神经肌肉损伤。军团菌可导致横纹肌溶解症。骨骼肌、膈肌均为横纹肌,军团菌可能导致骨骼肌与膈肌受累、出现肌无力。

3. 感染导致神经肌肉损伤

已有证据表明可导致神经肌肉损伤的病原体病毒:新冠病毒、流感病毒、柯萨奇病毒、HIV等细菌:军团菌、链球菌、沙门菌、空肠弯杆菌等其他:支原体、恶性疟原虫等

病原体感染导致神经肌肉损伤的主要机制:直接侵入:病毒侵入肌肉或神经组织炎症反应:细胞因子风暴引发全身性的、过度的炎症继发损害:如废用性萎缩、营养不良、脱水等免疫介导:病原体抗原与宿主组织交叉反应(如空肠弯杆菌感染诱发的格林巴利综合征)蛋白水解途径:包括钙蛋白酶、半胱氨酸蛋白酶、蛋白酶体等。感染产生的细胞因子导致细胞表面中性鞘磷脂酶受体的激活,导致肌肉神经酰胺代谢的改变等。

军团菌是常常合并肺外损伤的致病菌,常见累及系统包括消化系统、神经系统、肌肉组织、泌尿系统等。军团菌肺炎合并的肌肉组织损伤主要为横纹肌溶解症,关于呼吸肌受累的案例几无报道。有研究对军团菌肺炎患者的肌肉组织进行活检,肌肉组织呈现炎性肌肉病变。

肺炎并发的肺外脏器损害中,神经肌肉疾病是危害较大的一类并发症。其中呼吸肌功能障碍表现较为隐匿,易被忽略。对于重症肺炎患者,呼吸肌功能障碍常被以为是仅由ICU-AW导致。近年研究发现,感染本身即可直接或间接地损害呼吸肌功能。也有多项关于感染导致膈肌功能障碍的研究见诸报道。

4. 膈肌功能临床评估

临床评估:肌骨超声:如膈肌超声等;肌肉功能评定:如呼吸肌力、吞咽功能评定等;电生理检查:如肌电图,神经传导研究NCS等;病理活检:肌肉组织活检等;抗体检测:血、脑脊液等检测

膈肌的进一步评估:胸部影像学如立位胸片、胸部CT、胸部MRI/动态MRI肺功能评估:包括立位、卧位,最大吸气压(MIP) <60 cmH2O考虑存在膈肌功能下降膈神经刺激电或磁);膈神经刺激联合膈肌肌电图可测量膈神经潜伏期和复合肌肉动作电位波幅吸鼻跨膈压

膈肌功能评估方法:①膈肌超声:膈肌厚度和膈肌增厚分数。正常膈肌厚度>2 mm,下限约为1.5 mm,小于2 mm提示膈肌萎缩可能。膈肌增厚分数(TFdi)=(吸气末厚度-呼气末厚度)/呼气末厚度×100%。膈肌移动度:膈肌移动度(diaphragm excursion,DE)是一个呼吸周期中膈肌上下运动的距离,包括平静呼吸和深呼吸移动度。膈肌收缩速度:膈肌移动度与吸气时间的比值。②膈肌肌电活动:膈肌肌电图(EMG),膈肌肌电活动(EAdi)。③跨膈压(transdiaphragmatic pressure, Pdi),膈肌收缩期间胸腔和腹腔之间产生的压力梯度。④神经肌肉效率指数:Pdi/EAdi(cmH2O/mcV)。

5. 吞咽功能障碍

本例患者在两次拔管后均出现明显的吞咽功能障碍,并且经过了很长时间的康复锻炼,直至6月下旬才开始尝试恢复自主饮食。

重症肺炎患者可出现吞咽功能障碍,尤其在高龄、气管插管时间长、气管切开治疗、疾病严重程度高、伴随颅脑损伤、合并脓毒血症的患者中。吞咽障碍是吸入性肺炎的重要危险因素,可增加患者各种不良结局事件的发生风险。已有文献报道,老年CAP患者的吞咽障碍发生率约为34%。此外,一项吞咽造影相关研究表明,老年CAP患者食团渗漏的发生率为30.6%~36.1%,隐性误吸的发生率为16.7%。

吞咽行为是由一个复杂的神经网络协调和执行的, 该神经网络包括皮层、皮层下和脑干结构, 以及下游的周围神经系统, 包括几个颅神经和肌肉。因此, 不同神经系统并发症可能导致吞咽神经回路的中枢和外周部分受损, 导致吞咽困难。

吞咽是一个动态过程,涉及复杂的中枢神经网络,遍及皮层、皮层下和脑干。这些中枢神经网络与周围神经系统合作,以协调肌肉活动。脑血管事件,如卒中、脑脊髓炎、脑病、周围神经病变、肌炎等,均可导致吞咽功能障碍。

6. 治疗策略

1)支持治疗:维持水电解质平衡,纠正酸碱失衡,提供足够营养支持

2)抗感染治疗:根据病原学检查结果选择合适的抗生素,针对性抗感染治疗

3)康复治疗:尽早开始进行肺康复、肢体功能锻炼、关节活动度(ROM)训练等。对于无法主动配合的患者,应进行被动拉伸、评估神经肌肉电刺激等治疗方式。

4)经皮膈肌电刺激,体外膈肌起搏。膈肌起搏可以帮助膈肌重度肌无力或麻痹导致通气功能衰竭的患者避免或减少通气支持。

5)免疫调节:针对明确有免疫机制介导的患者,可考虑使用丙球等药物

6)对症治疗: 如镇痛、抗痉挛等。


五、总结


对于合并基础疾病的患者而言,重症肺炎的打击不仅可能加重原有疾病,还可能诱发其他新发合并症。其中,军团菌肺炎因易造成肺外脏器损伤、重症率较高,需特别警惕患者神经肌肉系统等部位的受累风险。在临床实践中,膈肌功能障碍往往因重视不足而被忽略。实际上, 重症感染患者常伴随这一问题, 需及时开展评估并尽早干预。值得注意的是, 神经肌肉一旦受累, 容易引发脱机失败、反复误吸及病程迁延等后果。因此, 对于神经肌肉受累高风险患者, 需密切警惕误吸风险、动态关注肌力变化、强化膈肌功能评估; 若条件允许, 应尽早启动康复锻炼、体外膈肌起搏等治疗措施。此外, 肺炎(尤其是重症肺炎)的长期管理同样需要重视, 其后续可能出现的后遗症, 需通过细致评估制定针对性治疗方案。

参考文献


【向下滑动查看所有文献】

[1]] Soares MN, Eggelbusch M, Naddaf E, et al. Skeletal muscle alterations in patients with acute Covid-19 and post-acute sequelae of Covid-19[J]. J Cachexia Sarcopenia Muscle, 2022, 13(1):11-22. 

[2] Simoni C, Camozzi P, Faré PB, et al. Myositis and acute kidney injury in bacterial atypical pneumonia: Systematic literature review[J]. J Infect Public Health, 2020, 13(12):2020-2024. 

[3] 刘涛, 范红. 重症甲型流感诱发急性肺损伤的可能机制及治疗进展. 华西医学, 2021, 36(1): 1-7. 

[4] Shi Z, de Vries HJ, Vlaar APJ, et al. Diaphragm Pathology in Critically Ill Patients With COVID-19 and Postmortem Findings From 3 Medical Centers[J]. JAMA Intern Med, 2021, 181(1):122-124. 

[5] Apiyo P, Hajek J. Herpes zoster complicated by phrenic nerve palsy and respiratory compromise[J]. Afr Health Sci, 2019, 19(3):2347-2350. 

[6] Oike M, Naito T, Tsukada M, et al. A case of diaphragmatic paralysis complicated by herpes-zoster virus infection[J]. Intern Med, 2012, 51(10):1259-1263. 

[7] Carter R, Yakir M, Ryu J, et al. Congenital CMV associated with diaphragm dysfunction: a rare cause of tachypnoea[J]. BMJ Case Rep, 2023, 16(7):e247959. 

[8] Huh S, Chung JH, Kwon HJ, et al. Unilateral Diaphragm Paralysis Associated With Neurosyphilis: A Case Report[J]. Ann Rehabil Med, 2020, 44(4):338-341. 

[9] Lehenmeier A, Oberst G, Heckmann JG. Paresis of the Diaphragm in Neuroborreliosis[J]. Dtsch Arztebl Int, 2021, 118(47):816. 

[10] Goussard P, Gie RP, Kling S, et al. Phrenic nerve palsy in children associated with confirmed intrathoracic tuberculosis: diagnosis and clinical course[J]. Pediatr Pulmonol, 2009, 44(4):345-50. 

[11] Melero MJ, Mazzei ME, Bergroth B, et al. Bilateral diaphragmatic paralysis in an HIV patient: Second reported case and literature review[J]. Lung India, 2014, 31(2):149-151. 

[12] Panda NB, Yaddanapudi S, Bharadwaj N, et al. Phrenic nerve palsy in severe tetanus[J]. Anaesth Intensive Care, 2004, 32(2):271-274. 

[13] Rajapakse NS, Ellsworth K, Liesman RM, et al. Unilateral Phrenic Nerve Palsy in Infants with Congenital Zika Syndrome[J]. Emerg Infect Dis, 2018, 24(8):1422-1427. 

[14] van der Linden V, Lins OG, de Lima Petribu NC, et al. Diaphragmatic paralysis: Evaluation in infants with congenital Zika syndrome[J]. Birth Defects Res, 2019, 111(19):1577-1583. 

[15] 贾杰. “吞咽障碍与肺部感染”的临床现状分析及新策略[J]. 中国医刊, 2024, 59(9):929-931.

[16] Aoyagi Y, Inamoto Y, Shibata S, et al. Clinical Manifestation, Evaluation, and Rehabilitative Strategy of Dysphagia Associated With COVID-19[J]. Am J Phys Med Rehabil, 2021, 100(5):424-431. 

图片

作者介绍


图片

刘思彤

四川大学华西医院呼吸与危重症医学科博士,主治医师发表SCI论文数篇,核心期刊论文数篇作为主研或参研参与数项国家级及省级重大课题四川省女医师协会呼吸专委会青委会副主委成都中西医结合学会呼吸专委会秘书参编《呼吸系统疾病基础与临床》《基层呼吸系统疾病防治系列教程—社区获得性肺炎》等专著

声明:

本文仅用于学术内容的探讨和交流,不用于任何商业和推广。临床实践需根据患者的具体情况选择适宜的处理措施。


全部评论 0
Copyright©2020-2025 北京医麦斯科技有限公司 版权所有 京ICP备2020034400号-1 京公网安备11010502043983号