登录方式

方式一:
PC端网页:www.rccrc.cn
输入账号密码登录,可将此网址收藏并保存密码方便下次登录

方式二:
手机端网页:www.rccrc.cn
输入账号密码登录,可将此网址添加至手机桌面并保存密码方便下次登录

方式三:
【重症肺言】微信公众号
输入账号密码登录

注:账号具有唯一性,即同一个账号不能在两个地方同时登录。

登录
方式

为重症救治赋能

为患者康复加速

当前位置:首页 重症实战 病例集锦

化疗后重症肺炎合并休克一例

罗岩娇1,冯耘2,朱海星2,葛晓2 1. 甘肃省榆中县第二人民医院内科;2. 上海交通大学医学院附属瑞金医院呼吸与危重症医学科 一、病情介绍 发布于2025-07-29 浏览 930 收藏

作者:罗岩娇1,冯耘2,朱海星2,葛晓2

单位1. 甘肃省榆中县第二人民医院内科;2. 上海交通大学医学院附属瑞金医院呼吸与危重症医学科

一、病情介绍


1. 基本信息

患者男,80岁,主因“胸闷喘憋3天,加重2小时”于2025年3月12日收住CCU。

2. 现病史

患者于入院前3天前无明显诱因出现胸闷喘憋,伴咳嗽咳痰,咳少量白黏痰,伴呕吐乏力,无其余阳性体征,自测指端氧饱和度92%,予家庭吸氧机2~3 L/min氧疗,血氧饱和度可升至96%~97%,服用氨溴索化痰、吸入用乙酰半胱氨酸溶液+布地奈德雾化治疗后有改善。入院2小时前再次胸闷憋喘,氧疗无改善,遂就诊于我院,急诊ECG示:窦性心动过速,房性早搏,短阵房性心动过速,室性早搏、ST-T改变,V4V6 ST段呈弓背型略抬高;NT-proBNP 11089.0 pg/ml(↑),CK-MB 10.5 ng/ml(↑),MYO 94.3 ng/ml(↑),cTnI 2419.6 pg/ml(↑)。3月12日13:10急诊冠脉造影示:右冠状动脉中段狭窄50%,弥漫性病变。术后转入CCU。

患者自起病以来,精神可,胃纳可,二便如常,睡眠欠佳,饮食可,体重无增减。

3. 既往史及其他

慢阻肺30余年;高血压病史,最高血压180/110 mmHg,平素沙库巴曲缬沙坦钠100 mg qd降压,血压随访未达标。2005年扁桃腺癌(具体不详)。2014年和2015年因膀胱癌行局部电切手术,因右侧输尿管癌在中山医院行右侧尿路切除术(具体不详)。2017年行二尖瓣修补+冠脉搭桥术(LIMA桥)。2020年患阿尔茨海默病。2023年9月因输尿管癌肺转移行放疗及免疫治疗。2024年7月4日因左肾积水行肾盂造瘘术;8月13日于局麻下行肾盂输尿管造影+经皮D-J管植入术;9月5日拔除肾盂造瘘管。2025年分别于1月7日、2月8日、3月5日使用维迪西妥单抗及特瑞普利单抗治疗。

4. 入科查体

体温37℃,脉搏127次/min,呼吸16次/min,血压121/86 mmHg,身高160 cm,体重45 kg,BMI 17.58 kg/m2,神清,精神可,查体合作,双肺呼吸音稍粗,未闻及湿啰音。心脏及腹部查体未见异常,双下肢无水肿,神经系统查体未见异常。

5. 入院诊断

①急性前侧壁心肌梗死;②心室壁瘤;③心功能不全;④房性期前收缩(房性早搏);⑤室性期前收缩;⑥支气管扩张;⑦输尿管恶性肿瘤(肺转移);⑧扁桃体原位癌(术后);⑨膀胱原位癌(术后);⑩二尖瓣疾病(修补术后);⑪冠状动脉搭桥术后状态;⑫高血压病3级(极高危)

6. 入院后辅助检查

  • 血气分析:pH 7.39,PaO2 106 mmHg,PaCO2 38.55 mmHg,SaO2 98.1%。

  • 血常规:WBC 4.39×109/L,NEU% 83.4%(↑),LYM% 11.4%(↓),RBC 3.48 ×1012/L(↓),Hb 109 g/L(↓),PLT 119×109/L(↓),CRP 240 mg/L(↑)。

  • DIC:APTT 127.5 s(↑),PT 15.4 s,INR 1.32,TT仪器报不凝,Fg 6.1 g/L(↑),FDP 6.9 mg/L(↑),D-二聚体1.04 mg/L(↑)。

  • 生化:ALT 9 IU/L,AST 36 IU/L,ALP 83 IU/L,γ-GT 15 IU/L,ALB 32 g/L(↓),UA 12.2 mmol/L(↑),Sr 126 μmol/L(↑),CL 98 mmol/L(↓),LDH 306 IU/L(↑),CK 156 IU/L,GR 87 U/L(↑),CK-MB 10.5 ng/ml(↑),MYO 94.3 ng/ml(↑),cTnI 2419.6 pg/ml(↑)。

  • 心脏超声:左室壁节段活动异常,心尖部室壁瘤形成可能,心功能不全(射血分数约43%)。

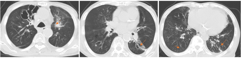
  • 胸部CT: 左肺上叶前段团片灶伴支气管狭窄, 双肺炎症、局部实变; 右肺上叶、左肺下叶背段支气管扩张伴感染; 慢支肺气肿; 两肺多发微/小结节; 两侧胸膜增厚粘连(图1)

图片

1  患者胸部CT(2025-03-12)

  • 腹部CT平扫:右肾缺如,左肾形态增大,左肾盂略扩张,左侧D-J管置管中;肠道积气;膀胱术后,壁稍厚,左侧输尿管末端增厚,左侧尿路双J管置管中。

二、诊疗经过及转归


1. 第一阶段:CCU治疗(3.12-3.18)

治疗措施如下:

1)心脏方面:盐酸伊伐布雷定控制心率,辅酶Q10+曲美他嗪营养心肌,注射用重组人脑利钠肽抗心衰。

2)阿尔茨海默病:盐酸多奈哌齐片+盐酸美金刚片。

3)凝血方面:阿司匹林抗血小板,肝素抗凝。

4)其他:罗沙司他治疗肾性贫血。

入院经验性给予头孢曲松抗感染,氨溴索化痰,布地奈德+异丙托溴铵及吸入用乙酰半胱氨酸溶液雾化。

3月14日咽拭子提示耐甲氧西林金黄色葡萄球菌(MRSA)(+),予利奈唑胺口服抗感染治疗。

3月15日下午突发血氧饱和度下降,痰黏难以咳出,予紧急气管插管,床旁气管镜气道廓清(左下叶基底段较多白色豆腐渣样分泌物,留取标本;右下叶基底段较多白色黏稠分泌物)。经口插管呼吸机辅助通气(PCV模式,PC 20 cmH2O,PEEP 6 cmH2O,FiO2 60%,f 20次/min,VT 380~420 ml,MV 6~7 L/min)。后体温升高,Tmax 38℃。

3月16日痰培养:肺炎克雷伯杆菌(++),药敏结果:头孢菌素类、喹诺酮类、四环素类耐药,哌拉西林他唑巴坦、头孢哌酮舒巴坦、亚胺培南、美罗培南、头孢他啶阿维巴坦敏感。根据药敏结果停用头孢曲松,改用头孢哌酮舒巴坦抗感染。

3月17日痰培养:白假丝酵母菌(+)。

3月18日咽拭子提示MRSA(+);PLT进行性下降(图2)BNP>35000 pg/ml(图3),血压下降,调整抗生素为美罗培南1 g q12h+万古霉素500 mg qd+伏立康唑0.2 g q12h静脉滴注。同时给予多巴胺升压、注射用重组人脑利钠肽抗心衰。当日转入RICU继续治疗。

图片

2  患者CCU治疗期间血小板变化趋势(3.12-3.18)

图片

3  患者CCU治疗期间BNP变化趋势(3.12-3.18)

2. 第二阶段:RICU治疗(3.18-4.1)

患者入RICU时经口插管呼吸机辅助通气(PC-AC模式,PEEP 5 cmH2O,FiO2 45%,VT 440~460 ml),脉搏135次/min,呼吸16次/min,血压109/82 mmHg[去甲肾上腺素(NE)0.185 μg/(kg·min),多巴胺7.407 μg/(kg·min)],指脉氧饱和度98%~100%。动脉血气:pH 7.39,PaCO2 48 mmHg,PaO2 144 mmHg,Lac 1.7 mmol/L;血常规:WBC 6.65×109/L,NEU% 97.6%(↑),LYM% 0.8%(↓),Hb 97 g/L(↓),PLT 58 ×109/L(↓),CRP 132 mg/(↑)L,NT-proBNP 18245.0 pg/ml。生化:ALT 2 IU/L(↓),AST 9 IU/L(↓),ALB 26 g/L(↓),CREA 185 μmol/L,eGFR 35.7 ml/(min·1.73m2)。

治疗措施

1)一般治疗: 特级护理, 心电监护, 记24小时出入量, 留置导尿管, 深静脉置管护理。

2)呼吸支持:经口插管接呼吸机辅助通气(PC-AC, PEEP 5 cmH2O, FiO2 50%),治疗过程中反复多次气管镜下气道廓清。

3)循环系统治疗:盐酸伊伐布雷定控制心率,辅酶Q10+曲美他嗪营养心肌,注射用重组人脑利钠肽抗心衰,多巴胺升压,后因心率偏快调整为NE升压。

4)其他治疗:肝素抗凝,盐酸多奈哌齐片+盐酸美金刚片治疗阿尔茨海默病,罗沙司他治疗肾性贫血,艾司奥美拉唑护胃,乳果糖通便,肠内营养混悬液(TPF)营养支持。

入科后继续美罗培南+万古霉素抗感染,伏立康唑抗真菌,氨溴索化痰,布地奈德+异丙托溴铵+吸入用乙酰半胱氨酸溶液雾化,患者体温逐渐恢复至正常范围。

3月24日患者再次出现发热,Tmax 37.8℃,床旁气管镜检查可见右侧支气管管腔内黄白色分泌物较多。

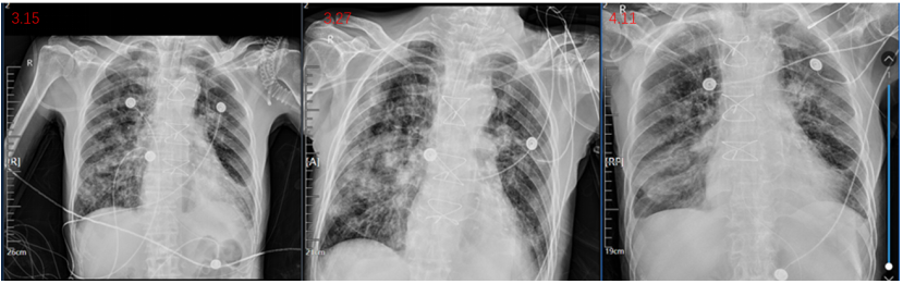
3月26日肺泡灌洗液tNGS提示铜绿假单胞菌(序列数7889)、嗜麦芽窄食单胞菌(序列数3972)、肺炎克雷伯杆菌(序列数63)、人疱疹病毒1型(序列数1127)(检出耐药基因KPC、CTX);血tNGS示铜绿假单胞菌(序列数10)、嗜麦芽窄食单胞菌(序列数95)、肺炎克雷伯杆菌(序列数33)、人疱疹病毒1型(序列数954)。痰培养提示嗜麦芽窄食单胞菌(复方新诺明、左氧氟沙星、米诺环素均耐药),改用头孢他啶阿维巴坦+氨曲南抗感染、更昔洛韦抗病毒。治疗过程中多次支气管镜检查及气道廓清,输注人血白蛋白纠正低蛋白血症、悬浮红细胞纠正贫血、血小板纠正血小板减少,同时抗心衰、升压、控制心率、营养支持、润肠通便及对症治疗。患者病情逐渐平稳,复查胸片可见肺部渗出逐渐吸收(图4)

图片

4  治疗过程中动态复查胸部平片

3. 第三阶段:拔管后(4.1-4.15)

经积极综合治疗后,患者病情改善,经口插管呼吸机辅助通气(CPAP-PSV模式,PEEP 5 cmH2O,FiO2 30%,潮气量426 ml),血压波动在130~150/50~65 mmHg [NE 0.074 μg/(kg·min)],心率75~105次/min,呼吸15~22次/min,氧饱和度97%~100%。患者高龄,插管时间长,全身肌力弱,建议气管切开。但沟通后家属不考虑气切。

4月1日气管镜后拔除气管插管,改为高流量吸氧。

4月9日痰培养阴性,抗生素逐步降阶梯治疗,调整为米诺环素+头孢他啶阿维巴坦抗感染。后改为鼻导管吸氧,间断左侧高卧位,多次气管镜吸痰,振荡排痰,加强体位引流,各项指标逐渐好转,BNP变化趋势见图5,转普通病房进一步治疗。

图片

5  患者拔管后BNP变化趋势图(4.1-4.12)

三、讨论


1. 耐药嗜麦芽窄食单胞菌治疗

嗜麦芽窄食单胞菌(Stenotrophomonas maltophilia, SMA)是一种广泛存在于自然环境中的需氧非发酵革兰阴性杆菌。这种细菌可以从土壤、水体、动物、植物、医院设备分离出来。尽管SMA对多种抗生素具有天然耐药性, 但其致病能力相对较弱, 通常被视为一种机会致病菌。

1)耐药机制及现状:SMA的耐药比例不高,但对于耐药菌治疗方案选择困难,缺乏标准治疗方案。耐药机制包括:多种抗菌药物水解酶的产生、主动外排系统、可移动基因元件的存在、外膜通透性的改变、生物被膜的形成。2025年3月15日,中国细菌耐药监测网(CHINET)发布2024年细菌耐药监测结果,SMA对某些药物的耐药率如下:米诺环素耐药率1.4%、敏感率95.6%;替加环素耐药率8.4%、敏感率88.4%;复方磺胺甲噁唑耐药率6.5%、敏感率92.8%;左氧氟沙星耐药率8.4%、敏感率88.4%;氯霉素耐药率8.6%、敏感率77.1%;美罗培南耐药率17.5%、敏感率75.1%;头孢哌酮舒巴坦耐药率25.3%、敏感率46.7%;替卡西林钠克拉维酸钾耐药率75.3%、敏感率15.7%

2)治疗:SMA难以区分定植和感染,常与其他病原体共同存在,对多种抗菌药物具有内在活性,建议联合用药直至临床症状改善。2023年和2024年美国感染病学会(IDSA)发布的《抗菌药物耐药革兰氏阴性菌感染的治疗指南》提供了指导建议。基础联用以下药物中的两种:甲氧苄啶-磺胺甲噁唑(TMP-SMX)、米诺环素/甘氨酰环素类、头孢地尔或左氧氟沙星;当病情不稳定或对其他药物不耐受或无活性时,考虑氨曲南联合治疗。2024版指南推荐四选二联合:头孢地尔、米诺环素(高剂量)、TMP-SMX、左氧氟沙星或头孢他啶阿维巴和氨曲南联合,不建议使用头孢他啶治疗嗜麦芽窄食单胞菌感染。

对于多重耐药SMA感染的危重症患者,临床实践中往往采用联合用药方案进行抗感染治疗。IDSA专家组认为,对于中度至重度感染(如血流感染或下呼吸道感染)以及血液恶性肿瘤患者,在对其他药物不耐受或耐药的情况下,头孢他啶阿维巴坦+氨曲南是一种合理的治疗选择。因此推荐采用头孢他啶阿维巴坦和氨曲南联合治疗危重症或其他药物不耐受或无活性的SMA感染。

该患者治疗过程中选择头孢他啶阿维巴坦联合氨曲南抗菌治疗,治疗后多次痰培养阴性。

2. 老年肺部感染合并循环功能障碍诊断与治疗

2024年发表的《感染诱发的老年多器官功能障碍综合征诊断与治疗中国指南》指出,老年多器官功能障碍综合征(multiple organ dysfunction syndrome in the elderly, MODSE)是指老年人(≥65岁)在器官老化和患有多种慢性疾病的基础上,因感染、创伤、大手术等因素的激发,序贯或同时出现2个或2个以上新发的器官功能障碍或衰竭的综合征。其中,肺部感染是MODSE的首位诱因,病死率高达75%以上。该指南在循环功能障碍的诊断、评估与治疗部分提到:

1)循环功能障碍的诊断:①推荐对皮肤(表皮灌注程度)、肾脏(尿量)、脑(意识状态)等器官进行组织灌注的临床评价(1C)。②循环衰竭时常合并低血压[定义为收缩压<90 mmHg,或较基线下降≥40 mmHg,或平均动脉压(MAP)<65 mmHg,但低血压并非诊断循环衰竭的必要条件(1B);推荐同时对中心静脉血氧饱和度(ScvO2)及其他灌注指标进行监测(1A)。③推荐对所有怀疑循环衰竭患者进行血清乳酸水平测定。血乳酸升高或碱缺失可作为评估及监测感染诱发MODSE(infection-induced multiple organ dysfunction syndrome in the elderly, i-MODSE)患者低灌注严重程度的敏感指标(1C)。

2)循环功能障碍的治疗:①感染患者一旦出现循环功能障碍,应立即进行液体复苏治疗(临床经验)。②推荐对存在循环衰竭的i-MODSE患者尽早采取液体复苏(1C)。推荐应用晶体液、尤其是平衡盐溶液对i-MODSE患者进行初始复苏和扩容(1B)。当患者存在心力衰竭、体温过低、免疫功能低下、高碳酸血症和凝血功能障碍等情况时,液体复苏的效果较差。③推荐NE作为首选缩血管药物(1B);当需要使用更多缩血管药物来维持血压时,建议联合应用小剂量血管加压素(垂体后叶素,0.01~0.03 U/min),但应避免单独使用血管加压素(垂体后叶素)(2B)。感染诱发循环衰竭的患者,心率增快与高死亡率呈正相关。NE主要激动α1受体,对β1受体激动作用较弱,与多巴胺相比,对心率影响较小,因此推荐作为首选缩血管药物。老年人持续静脉输注NE可能导致心律失常、心肌缺血和其他重要器官缺血,因此应用过程中需密切监测血压、心律、心率、血流动力学和临床状态变化,当器官灌注恢复和/或循环淤血减轻时应尽快停用。当出现心力衰竭或持续组织灌注不足时,在充分液体复苏以及MAP达标的情况下,建议短期应用多巴酚丁胺,以增加心输出量,维持重要器官的功能(2B)。

《老年急危重症容量管理急诊专家共识(2024)》强烈推荐床旁超声可用于老年急危重患者容量评估,通过床旁超声测量下腔静脉内径、主动脉峰值速度或左室流出道速度-时间积分可进行容量状态和液体反应性的评估。

本例患者初始使用多巴胺升压治疗期间心率偏快,同时合并低血压、心力衰竭,给予盐酸伊伐布雷定控制心率效果不佳,积极抗感染及调整为NE升压联合盐酸伊伐布雷定后心率及血压逐渐平稳。

3. 维迪西妥单抗及特瑞普利单抗联合治疗不良反应

维迪西妥单抗是一种新型的靶向HER2的抗体偶联药物(ADC),由重组的人源化HER2 IgG1单克隆抗体通过连接子与微管蛋白抑制剂MMAE偶联而成。维迪西妥单抗的抗体部分结合至细胞表面HER2的胞外结构域后,ADC复合物经细胞内吞并转运到溶酶体,连接子经酶切后释放出微管蛋白抑制剂MMAE,破坏细胞内微管网络,导致有丝分裂细胞周期停止和细胞凋亡。此外,体外研究显示,维迪西妥单抗可抑制HER2受体信号,并具有抗体依赖细胞介导的细胞毒性(ADCC)作用。本品最常见的不良反应包括转氨酶升高、白细胞计数降低、脱发、中性粒细胞计数降低、乏力、感觉减退、贫血、恶心、食欲减退、体重降低。

特瑞普利单抗是一种程序性细胞死亡蛋白1单克隆抗体,属于免疫检查点抑制剂,通过解除机体免疫抑制、增强免疫功能发挥抗肿瘤作用,同时还会非特异性激活免疫系统导致免疫稳态破坏,活化的T细胞攻击人体正常组织,导致一系列类似自身免疫性疾病的不良反应,其临床表现多样,可累及全身任何器官系统。最常见的副作用大都为轻到中度,包括谷丙转氨酶升高、疲劳乏力、皮疹、白细胞降低、皮肤瘙痒、咳嗽、甲状腺功能减退、食欲下降、血糖升高和血胆红素升高。曾有个案报道以皮肤症状为首发表现的特瑞普利单抗致免疫相关不良反应。

本例患者在发病前有维迪西妥单抗联合特普利单抗治疗史,在治疗肺部感染过程中,反复出现口角炎、肝功能不全、便潜血阳性。给予对症治疗后口角炎痊愈,肝功能基本正常,便潜血逐渐转阴。

参考文献

(向下滑动查看全部)

[1] Mojica MF, Bonomo RA, van Duin D. Treatment approaches for severe Stenotrophomonas maltophilia infections[J]. Curr Opin Infect Dis, 2023, 36(6):572-584.

[2] Mojica MF, Humphries R, Lipuma JJ, et al. Clinical challenges treating Stenotrophomonas maltophilia infections: an update[J]. JAC Antimicrob Resist, 2022, 4(3):dlac040.

[3] Tamma PD, Aitken SL, Bonomo RA, et al. Infectious Diseases Society of America 2023 Guidance on the Treatment of Antimicrobial Resistant Gram-Negative Infections[J]. Clin Infect Dis. 2023 Jul 18:ciad428. 

[4] Tamma PD, Heil EL, Justo JA, et al. Infectious Diseases Sociecty of America 2024 Guidance on the Treatment of Antimicrobial Resistant Gram-Negative Infections[J]. Clin Infect Dis, 2024 Aug 7:ciae403.

[5] 中国老年医学学会, 国家老年疾病临床医学研究中心. 感染诱发的老年多器官功能障碍综合征诊断与治疗中国指南2024[J]. 中国老年多器官疾病杂志, 2024. 23(12):881-922.

[6] 中国医疗保健国际交流促进会急诊医学分会, 中华医学会急诊医学分会, 中国老年学会基础与转化医学分会. 老年急危重症容量管理急诊专家共识[J]. 中华急诊医学杂志, 2024, 33(6):749-760.

[7] 于学红, 王牧原, 姚琳. 以皮肤症状为首发表现的特瑞普利单抗致免疫相关不良反应1例[J]. 中华皮肤科杂志, 2024, 57(3):268-269.


作者介绍

图片

罗岩娇

甘肃省榆中县第二人民医院内科主治医师,上海交通大学医学院附属瑞金医院PCCM学员。


图片

冯耘

上海交通大学医学院附属瑞金医院呼吸与危重症医学科主任医师,博士研究生导师,上海交通大学医学院副研究员,美国杜克大学访问学者,中国医师协会呼吸医师分会危重症医学学组青年委员,中国医药教育协会感染疾病专业委员会委员,上海市医学会呼吸病学专科分会青年委员会委员,上海市医学会呼吸病学专科分会重症学组副组长;曾获上海市人才培养计划、上海市优秀专科医师及上海交通大学医学院“九龙医学优秀青年人才奖”,获得2项国家自然基金及科技部重点项目子课题资助,发表SCI文章40余篇,作为第一完成人获得专利2项,参与编写专业书籍4部。


图片

朱海星

上海交通大学医学院附属瑞金医院呼吸与危重症医学科主治医师,博士;中国肺癌防治联盟肺癌内镜筛查与诊治委员会委员;美国Vanderbilt大学访问学者;广慈卓越青年;目前主持国家自然青年基金1项,以第一作者或通讯作者发表SCI论文多篇,相关研究曾获得美国胸科医师大会旅行者奖。


图片

葛晓

上海交通大学医学院附属瑞金医院呼吸与危重症医学科呼吸治疗师,毕业于四川大学华西临床医学院呼吸治疗系,主攻方向为危重症患者的呼吸支持、气道管理、呼吸康复、床旁重症超声、床旁气管镜等。


声明:

本文仅用于学术内容的探讨和交流,不用于任何商业和推广,亦不作为最终的临床决策。临床实践需根据患者的具体情况选择适宜的处理措施。


全部评论 0
Copyright©2020-2025 北京医麦斯科技有限公司 版权所有 京ICP备2020034400号-1 京公网安备11010502043983号