登录方式

方式一:
PC端网页:www.rccrc.cn
输入账号密码登录,可将此网址收藏并保存密码方便下次登录

方式二:
手机端网页:www.rccrc.cn
输入账号密码登录,可将此网址添加至手机桌面并保存密码方便下次登录

方式三:
【重症肺言】微信公众号
输入账号密码登录

注:账号具有唯一性,即同一个账号不能在两个地方同时登录。

登录
方式

为重症救治赋能

为患者康复加速

当前位置:首页 重症实战 病例集锦

一例免疫抑制宿主合并重症感染的多学科诊疗

周玲萍 温州医科大学附属第一医院呼吸与危重症医学科 发布于2025-07-16 浏览 2017 收藏

作者:周玲萍

单位温州医科大学附属第一医院呼吸与危重症医学科



一、病情介绍



1. 现病史

患者男性,43岁,BMI 31.2 kg/m2,因“咯血、胸痛2天”于2025年4月26日收住我科RICU。2天前夜间突发咯血,数口,伴血凝块,伴左侧胸痛,未予重视,后症状反复出现,多次伴咯鲜血及血凝块,伴呼吸困难;外院胸部CT提示“左上肺占位性病变,左肺毁损样改变,左侧胸腔积液伴左肺膨胀不全;右上肺小空洞形成”;为进一步诊治,至我院急诊就诊。血气分析:Ⅰ型呼吸衰竭,代谢性酸中毒合并呼吸性碱中毒,血乳酸5.3 mmol/L。血常规:白细胞计数(WBC)35.55×109/L,中性粒细胞百分数(NEU%)96.3%,血红蛋白(Hb)96 g/L,血小板计数(PLT)291×109/L,降钙素原(PCT)8.270 ng/ml,C反应蛋白(CRP)335.3 mg/L。考虑“重症肺炎,Ⅰ型呼吸衰竭,肺占位性病变可能,肾病综合征”收住我科。

2. 既往史

既往有肾病综合征病史6年余, 现予泼尼松片8片qd抗炎治疗, 不规律服用他克莫司胶囊; 血压升高数年, 未治疗; 否认糖尿病、冠心病、甲亢等病史; 否认肝炎、结核、伤寒等病史; 吸烟20余年, 每日约半包, 每日饮啤酒2瓶。

3. 入院查体

体温38.10 ℃, 血压151/96 mmHg, 脉搏139次/min, 呼吸37次/min, SpO2 94%(10 L/min储氧面罩给氧),神志清,精神软,皮肤巩膜无黄染,颈部淋巴结未触及,心律齐,各瓣膜区未闻及杂音,腹软,无压痛,肝脾肋下未触及,双下肢无浮肿,听诊左肺呼吸音减弱。

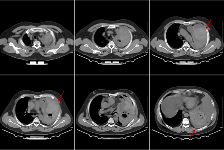
4. 影像学(外院,2025-04-26)

2025年4月26日患者外院胸部CT示:左侧胸腔积液伴左肺膨胀不全,左肺多发蜂窝状密度增高影,提示坏死性病灶可能,左肺上叶实性团块,占位性病变可能,右肺上叶小的厚壁空洞形成(图1)


图片
图片


1  患者外院胸部CT(2025-04-26)

5. 入院辅助检查

  • 血气分析:pH 7.467PaCO2 31.4 mmHgPaO2 101.0 mmHg,HCO3- 22.6 mmol/L,剩余碱-0.3 mmol/L,FiO2 0.75(HFNC),PFR 134.7 mmHg,乳酸2.0 mmol/L)。

  • 血常规WBC 26.39×109/L),NEU% 94.1%(LYM 0.74×109/LHb 77 g/LPLT 233×109/L

  • 感染指标:PCT 5.720 ng/mlCRP 313.1 mg/L)。

  • 血肿瘤指标:血液癌胚抗原、胃泌素释放肽前体、神经元特异性烯醇化酶均正常,血细胞角蛋白19片段2.84 ng/ml(),鳞状上皮细胞癌抗原2.8 ng/ml(),铁蛋白1937.09 ng/ml()。

  • 血生化:白蛋白24.9 g/L(↓),尿素14.0 mmol/L(),肌酐(酶法)126 μmol/L(),血清总胆红素21 μmol/L(),直接胆红素8 μmol/L(),间接胆红素13 μmol/L,丙氨酸氨基转移酶93 U/L(),天冬氨酸氨基转移酶23 U/L,γ谷氨酰转肽酶232 U/L(),葡萄糖8.2 mmol/L()。

  • 入院当天行左侧胸腔穿刺并留置细管。

  • 胸水常规:血性,浑浊,有核细胞计数72740/μl,红细胞计数480000/μl,分叶核百分率78%,淋巴细胞百分率6%,巨噬细胞百分率3%,间皮细胞百分率3%,利凡他试验阳性。

  • 胸水生化:胸水腺苷脱氨酶26.80 U/L,体液总蛋白定量67.50 g/L,体液乳酸脱氢酶4118 U/L,体液葡萄糖<0.1 mmol/L



二、初步诊断及初始治疗



1. 基础状态—免疫抑制宿主

患者有肾病综合征病史,2017—2019年随访监测肾功能,血肌酐维持在89~97 μmol/L。2019年后未至医院随访,近1年自行服用甲泼尼龙片8片qd抗炎治疗,不规律服用他克莫司胶囊。2025年4月26日血肌酐207 μmol/L,入院治疗后血肌酐水平逐渐下降至正常。多次尿蛋白检查均为阴性查淋巴细胞绝对值下降波动在0.40~0.72×109/L

2. 治疗调整

4月27日至5月6日(10天)予甲泼尼龙针40 mg qd,5月7日至5月9日(3天)调整为甲泼尼龙片24 mg qd。5月10日起甲泼尼龙片16 mg qd维持治疗。

3. 病例特点

中年男性,急性起病,咯血、胸痛、呼吸困难伴发热;血WBC、CRP、PCT显著升高;CT提示左肺多发蜂窝状密度增高影,伴左侧胸腔积液,右肺厚壁空洞;血胸,胸水分叶核为主;呼吸频率37次/min,PFR 134.7 mmHg;多肺叶浸润,尿素14.0 mmol/L(↑)。

4. 初步诊断

免疫抑制宿主合并重症肺炎左侧血胸Ⅰ型呼吸衰竭

5. 鉴别诊断

患者咯血,左侧血胸,胸部CT提示左肺团块影,血细胞角蛋白19片段2.84 ng/ml(↑),鳞状上皮细胞癌抗原2.8 ng/ml(↑)。左肺占位性病变,有无肺部肿瘤可能性?回溯患者在我院2023年的胸部CT,未见结节和肿块(图2)。但经过2年时间,病变也可能出现进展。


图片


2  患者2023年1月23日胸部CT

6. 初始治疗

  • 抗感染方案:4月26日起经验性予亚胺培南西司他丁1.0 g q6h+利奈唑胺0.6 g q12h静脉滴注。

  • 呼吸支持:4月26日予经鼻高流量氧疗(FiO2 0.75);4月28日患者呼吸急促,频率40次/min,心率增快至148次/min,予无创通气,FiO2 0.80,但患者血氧饱和度仅为80%,ROX指数为2.65,遂经口气管插管接呼吸机辅助通气。

  • 针对血胸:继续胸腔穿刺引流胸腔积液,输注红细胞改善贫血。

  • 其他:酚妥拉明针止血,保肝,营养支持,完善病原学检查。

7. 气管镜及病原学

4月28日行床旁气管镜检查,镜下见:两侧各级支气管黏膜充血肿胀,左侧各级支气管管腔稍狭小,未见明显出血及新生物,见少量分泌物,予以吸除,并于左上叶舌段支气管行肺泡灌洗术,回吸收灌洗液送检病原学检查。

4月29日灌洗液耶氏肺孢子菌DNA阳性(CT值25.43,PCR荧光探针法)。

4月30日灌洗液mNGS回报:耶氏肺孢子菌(序列数40);疑似或人体共生微生物群有:奇异劳特普罗氏菌,微小微单胞菌,口腔普雷沃菌,直肠弯曲菌,人疱疹病毒7型,产气克雷伯菌,戈登链球菌。

灌洗液细菌真菌涂片、培养及嗜肺军团菌DNA阴性。灌洗液X-pert、抗酸涂片、分枝杆菌核酸、呼吸道病原体核酸、新冠核酸阴性。

5月1日灌洗液GM试验阳性(1.73),荧光染色涂片阴性,隐球菌荚膜抗原阴性。

8. 初始治疗后病情变化

4月28日气管插管,4月29日患者氧合恶化PFR最低仅为58.3 mmHg(FiO2 100%)同时出现Ⅱ型呼吸衰竭(表1)患者体温较入院时有所好转(图3)4月29-30日复查感染指标,WBC(24.95×109/L)、PCT(1.53 ng/ml)、CRP(154.2 mg/L)较前整体呈下降趋势。4月29日复查胸部X线片:右肺渗出病灶较4月27日明显增多,左肺可见少许充气影(图4)考虑患者氧合恶化可能与右肺病灶增多有关

1  患者入院后给氧方式及氧合变化情况


图片
图片


3  入院后患者体温变化


图片


4  患者胸片变化

9. 治疗调整

抗细菌:考虑左肺脓肿,继续使用亚胺培南西司他丁1.0 g q6h+利奈唑胺0.6 g q12h静脉滴注。

耶氏肺孢子菌:免疫抑制基础,灌洗液耶氏肺孢子菌DNA阳性,灌洗液mNGS检出耶氏肺孢子菌,右肺渗出病灶增多,合并耶氏肺孢子菌感染可能。4月30日加用SMZ片4qid

抗真菌:免疫抑制基础,咯血,血胸,右上肺厚壁空洞,血液G试验/GM试验阴性,5月1日灌洗液GM试验阳性(1.73)。不能排除真菌感染,5月4日加用伏立康唑片0.2 g q12h。

呼吸支持:左侧卧位,PEEP滴定,调节呼吸机参数,继续引流胸水。

容量管理: 加强利尿, 保证液体负平衡(表2)

2  患者出入量情况


图片


10. 调整治疗后评估疗效

调整治疗后,患者氧合明显改善,吸氧浓度下调(图5),感染指标也逐渐下降(图6)


图片


5  患者氧合变化情况


图片


6  患者感染指标变化情况

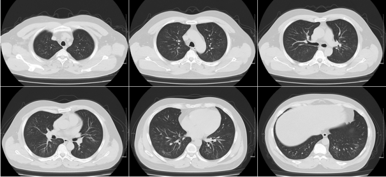
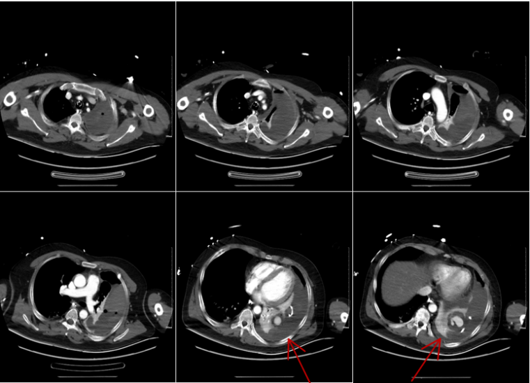
5月5日复查胸部CT:肺渗出病灶较前吸收,右上肺厚壁空洞,左侧胸腔血气胸伴左肺膨胀不全(图7)。支气管动脉CTA示:支气管动脉未见明显异常,未见肺占位;左肺下叶簇状瘤样改变,内见造影剂充盈,边缘光滑清晰,考虑血管改变,三维重建与左肺下叶动脉相连(图8),符合肺动脉瘤诊断。


图片
图片


7  患者胸部CT(2025-05-05)


图片


8  患者支气管动脉CTA(2025-05-05)

11. 部分病原学结果

5月4日胸水tNGS回报:口腔普雷沃菌(序列数47142,相对丰度37.54%),微小微单胞菌(序列数35890,相对丰度28.58%),侵肺戴阿李斯特菌(序列数5487,相对丰度4.37%),怯生难养杆菌(序列数2952,相对丰度2.35%),口腔消化链球菌(序列数2595,相对丰度2.07%)。

5月6日胸水培养:(无菌培养瓶)星座链球菌,小斯莱克菌;(血培养瓶)星座链球菌。

痰、灌洗液、血液多次培养均为阴性。

12. 治疗调整

基于上述结果,组织MDT讨论。重点在肺动脉瘤的治疗和抗感染方案的选择。

抗细菌:考虑左肺脓肿,所以继续使用亚胺培南西司他丁1.0 g q6h,停用利奈唑胺(4月26日至5月5日)。

耶氏肺孢子菌:患者右肺渗出短时间进展,同时吸收迅速,结合前期容量管理情况,考虑肺水肿可能性大,患者血肌酐升高(176 μmol/L)。5月5日将SMZ片减量至1片qd进行预防性治疗。

抗真菌:患者免疫抑制基础,咯血,脓胸,血胸,肺动脉瘤形成,右上肺厚壁空洞,灌洗液GM试验阳性,虽无毛霉感染直接证据,仍考虑其可能性大。与家属充分沟通后,停用伏立康唑片,5月5日改为两性霉素B脂质体针5 mg/(kg·d)抗毛霉治疗。

针对左肺动脉瘤的治疗:5月7日介入科行肺动脉造影栓塞术。术中见:左肺动脉下段分支局部造影剂外溢,可见假性动脉瘤形成。用微导管超选入该假性动脉瘤责任动脉,置入Interlcok弹簧圈3 mm×12 cm 1枚、4 mm×15 cm 1枚、6 mm×20 cm 2枚、COOK弹簧圈4 mm 1枚,重复造影显示栓塞满意。


呼吸支持:5月8日拔除气管插管,改经鼻高流量给氧。

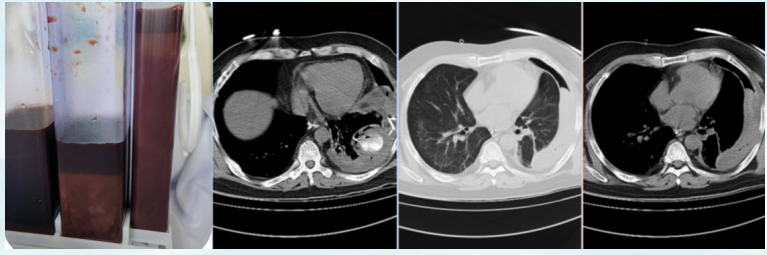
针对脓胸,血胸:多次胸腔留置粗管、细管引流胸水,引流液浓稠(图9),效果欠佳,患者体温仍有波动,复查胸部CT示左侧包裹性胸腔积液(图9)同时考虑左肺动脉瘤出血风险。5月13日行左胸腔镜下肺叶切除术、胸膜剥脱术、脓胸清除术。术中见:胸腔脓血性胸水,胸膜广泛增厚伴脓性纤维膜形成,肺同胸膜广泛致密粘连,左下肺见3个球型肿物,约3 cm大小,予分离胸腔粘连,吸除胸腔脓液,生理盐水冲洗胸腔,剥离脓性纤维膜及增厚的胸膜,切除左下肺叶,标本送检冰冻切片。


图片


9  胸腔引流液及胸部CT

5月13日术中冰冻病理:左下肺叶慢性化脓性炎伴炎性坏死渗出;左下肺叶内肿物为炎性坏死渗出物。

5月15日肺组织抗酸杆菌及X-pert均阴性;肺组织tNGS回报:牙髓卟啉单胞菌(序列数7431,相对丰度5.76%),星座链球菌(序列数489,相对丰度0.38%),普雷沃菌属(序列数114429,相对丰度88.64%)。

5月16日肺组织培养:无细菌生长、无真菌生长。

5月19日术后病理:左下肺叶慢性化脓性炎,伴见大量炎性坏死渗出;支气管切缘未见特异;左下肺叶内肿物镜下为大量无结构的炎性坏死渗出物。

多次G/GM试验均阴性;5月1日灌洗液GM试验阳性,5月4日及5月8日灌洗液GM试验均阴性。

13. 术后病情

术后患者间断发热(图10)WBC、CRP、PCT仍呈下降趋势(图11)患者的胸腔引流液逐渐减少。


图片


10  患者术后体温变化


图片


11  患者术后感染指标变化

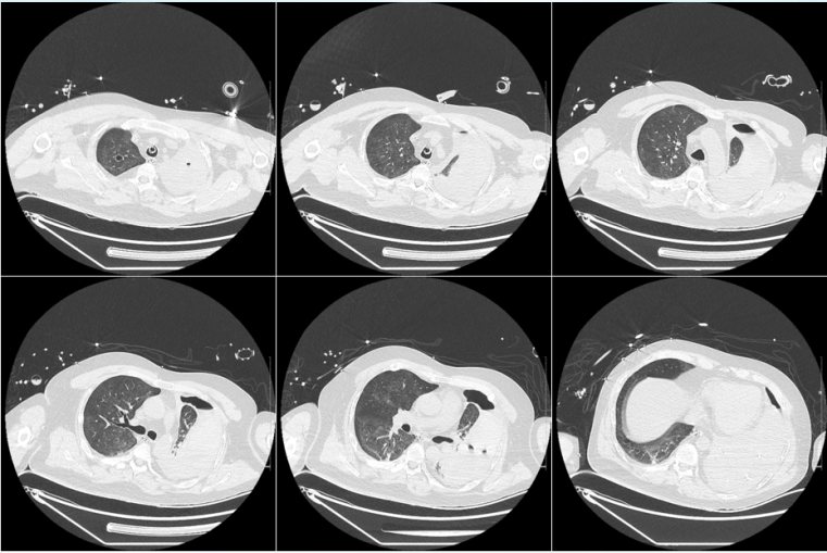
5月23日复查胸部CT可见左肺下仍有部分胸腔积液没有引流12胸水化验:黄色,浑浊,有核细胞计数7226/μl,红细胞计数9000/μl,中性粒细胞百分率94%,淋巴细胞百分率3%,巨噬细胞百分率3%,利凡他试验阳性;胸水腺苷脱氨酶19.50 U/L,体液总蛋白定量16.8 g/L,体液乳酸脱氢酶1601 U/L,体液葡萄糖2.08 mmol/L。考虑患者反复发热可能与胸水引流不畅有关。


图片


12  患者胸部CT(2025-05-23)

14. 治疗调整

肾病综合征:继续甲泼尼龙片16 mg qd维持剂量。

抗细菌:停亚胺培南西司他丁4月26至5月23日),改为阿莫西林克拉维酸钾针1.2 g q6h+甲硝唑针100 ml q8h。

耶氏肺孢子菌:继续SMZ片1片qd预防剂量。

抗真菌:无毛霉感染证据,停两性霉素B脂质体针(5月5日至5月19日),5月5日改泊沙康唑片300 mg qd预防真菌感染。

其他:鼻导管过渡至停吸氧,生理盐水胸腔冲洗,促进脓液引流

15. 治疗调整

调整治疗后,患者体温明显下降(图13)。最终治愈出院。患者病程中用药情况见图14。


图片


13  调整治疗后患者体温变化情况


图片


14  患者入院后用药情况

16. 修正诊断

①重症肺炎:左肺脓肿,左侧脓胸,左侧血胸,左肺动脉瘤形成,Ⅰ型呼吸衰竭;②肾病综合征:急性肾功能不全,免疫抑制状态。



三、文献学习



肺动脉瘤包括真性和假性动脉瘤, 其中感染是假性动脉瘤的常见病因从相关文献检索结果来看, 感染因素中以结核和梅毒较为多见。此外, 感染性心内膜炎、肺脓肿以及葡萄球菌、念珠菌、毛霉曲霉等引起的感染也有报道(图15)


图片


15  肺动脉瘤病因

毛霉引起的假性动脉瘤给人印象较深。2021年Asian Cardiovasc Thorac Ann杂志报道了一例45岁糖尿病患者肺毛霉病引起的肺假性动脉瘤(图16)在体外循环支持下进行了紧急右全肺切除术。肺标本组织病理学报告证实了毛霉病。术后患者接受了两性霉素B治疗,但最终仍未能存活。真菌性肺动脉瘤预示着免疫功能低下患者的发病率和死亡率非常高。另外一篇文献是笔者科室2022年发表的文章,一例56岁糖尿病患者因肺毛霉病引发肺动脉假性动脉瘤(图17,图18),最终因大咯血死亡


图片


16  文献报道的肺毛霉病引起的肺假性动脉瘤影像学

图源:Asian Cardiovasc Thorac Ann, 2021, 29(8):848-851.


图片


17  笔者团队报道的肺毛霉病患者胸部CT及肺动脉造影

图源:中国感染与化疗杂志, 2022, 22(1):98-101.


图片


18  笔者团队报道的肺毛霉病患者特殊染色及荧光染色

图源:中国感染与化疗杂志, 2022, 22(1):98-101.

2015年Tokai J Exp Clin Med 杂志发表的文献报道了一例65岁鼻咽癌患者因肺脓肿引起肺假性动脉瘤(图19),经手术治疗后康复。


图片


19  文献报道肺脓肿引起的肺假性动脉瘤患者的胸部CT和三维重建

图源:Tokai J Exp Clin Med, 2015, 40(3):86-89.

本文所述病例多次检出星座链球菌文献曾报道一例因大咯血行肺切除术的患者, 术后病理及培养结果均提示为星座链球菌(图20)。但结合本文所述病例多次NGS检测结果,除星座链球菌外还存在大量其他口咽菌,而培养未发现其他细菌,考虑可能因口咽菌多为厌氧菌,难以培养,故更倾向于混合感染的判断。


图片


20  文献报道星座链球菌引起的肺假性动脉瘤患者增强CT和切除肺的病理

图源:Int J Infect Dis, 2013, 17(11):e1064-6.



四、小结



该患者的成功救治归功于介入科胸外科临床药学中心放射影像科及呼吸与危重症医学科的多学科合作通过该病例也进一步提示对于免疫抑制宿主合并重症感染早期积极明确病原菌的重要性回报的病原学检查结果能否完全解释患者病情仍需结合患者情况综合判断重症感染患者在选择有效抗感染药物的同时充分引流胸腔积液恰当的容量管理及合理的呼吸机治疗策略同样重要


参考文献


【向下滑动查看所有文献】

[1] Gupta M, Agrawal A, Iakovou A, et al. Pulmonary artery aneurysm: a review[J]. Pulm Circ, 2020, 10(1):2045894020908780. 

[2] Saldanha R, Ghatanatti R, Gan MD, et al. Pulmonary mucormycosis causing a mycotic pulmonary artery aneurysm[J]. Asian Cardiovasc Thorac Ann, 2021, 29(8):848-851. 

[3] 石宇博, 吴小康, 张冬青, 等. 肺毛霉病伴肺动脉瘤形成1例[J]. 中国感染与化疗杂志, 2022, 22(1):98-101. 

[4] Oguma T, Morise M, Harada K, et al. Pulmonary Artery Aneurysm/Pseudoaneurysm, a Delayed Complication of Lung Abscess: A Case Report[J]. Tokai J Exp Clin Med, 2015, 40(3):86-89.

[5] Morinaga Y, Yanagihara K, Gyotoku H, et al. Pulmonary artery pseudoaneurysm caused by Streptococcus constellatus[J]. Int J Infect Dis, 2013, 17(11):e1064-6. 

图片

作者介绍


图片

周玲萍

温州医科大学附属第一医院呼吸与危重症医学科主治医师温州市康复医学会呼吸康复专业委员会委员温州市医学会医学微生物与免疫学分会青年委员会委员2024年6月11月在中日友好医院呼吸危重症(MICU/RICU)单修班进修

声明:

本文仅用于学术内容的探讨和交流,不用于任何商业和推广。临床实践需根据患者的具体情况选择适宜的处理措施。



全部评论 0
Copyright©2020-2025 北京医麦斯科技有限公司 版权所有 京ICP备2020034400号-1 京公网安备11010502043983号