登录方式

方式一:
PC端网页:www.rccrc.cn
输入账号密码登录,可将此网址收藏并保存密码方便下次登录

方式二:
手机端网页:www.rccrc.cn
输入账号密码登录,可将此网址添加至手机桌面并保存密码方便下次登录

方式三:
【重症肺言】微信公众号
输入账号密码登录

注:账号具有唯一性,即同一个账号不能在两个地方同时登录。

登录
方式

为重症救治赋能

为患者康复加速

当前位置:首页 重症实战 病例集锦

重症肺炎合并ARDS患者的精细化救治实践

王尚宏1,冯耘2,朱海星2,葛晓2 1. 山西省汾阳医院呼吸与危重症医学科;2. 上海交通大学医学院附属瑞金医院呼吸与危重症医学科 发布于2025-07-07 浏览 1979 收藏

作者:王尚1,冯耘2,朱海星2,葛晓2

单位:1. 山西省汾阳医院呼吸与危重症医学科;2. 上海交通大学医学院附属瑞金医院呼吸与危重症医学科


病情介绍

1. 基本信息

患者,男,79岁,政府公务员(退休),主因“反复发热伴咳嗽20天,加重伴活动后气促2天”于2025年2月9日入住上海瑞金医院呼吸与危重症医学科呼吸重症病区治疗。

2. 现病史

患者家属代诉患者2025年1月21日因受凉后开始出现发热,热峰38.0℃,呈间歇热,伴阵发性咳嗽,咳白色黏痰,每日10~15 ml,无咯血、胸痛及气促等。自行口服泰诺林后发热可缓解,但咳嗽持续未缓解,未进一步就诊。2025年1月26日再次出现发热,热峰较先前相似,咳嗽咳痰加重,痰液较浓稠,量少,无胸闷、气促等不适。患者于当日至我院急诊就诊,诊间测SpO2 97%(吸空气下)。2025年1月27日查胸部CT示:右肺下叶少许斑片状实变影,甲/乙流均阴性。急诊予左氧氟沙星(0.5 g qd)抗感染治疗,体温仍波动于37.5~37.8℃,咳嗽无缓解,遂于2025年1月28日升级为美罗培南(1 g q12h)抗感染。2025年2月7日起患者逐渐出现活动后气促,伴胸闷,自述透气困难,自测SpO2 下降(88%~90%),遂于当日再次至我院急诊就诊。急诊诊间查体示呼吸频率32次/分,鼻导管吸氧5 L/min下SpO2 94%,进一步完善肺动脉CTA示:左肺下叶前内基底段肺动脉充盈缺损,双肺多发斑片状渗出及实变伴右侧中量胸腔积液;右肺下叶后基底段远端充盈不均;双侧胸腔积液伴局部肺膨胀不全。急诊予无创呼吸机辅助呼吸(S/T模式,IPAP 12 cmH2O,EPAP 6 cmH2O,FiO2 50%),SpO2升至99%,依诺肝素抗凝(4000 IU q12h)、继续美罗培南抗感染,患者仍诉气促。为求进一步诊治,以“重症肺炎”收入我科。患者目前无创呼吸机辅助通气治疗中,自发病以来,一般情况尚可,大小便正常,近期体重无明显变化。

3. 既往史

高血压病史10年,平时规律口服苯磺酸氨氯地平5 mg qd、沙库巴曲缬沙坦200 mg qd。冠心病病史数年,支架植入术病史3年,平时规律口服硫酸氢氯吡格雷75 mg qd,酒石酸美托洛尔25 mg qd,病情平稳。慢性肾功能不全病史数年,目前肌酐正常。否认肝炎、结核传染病病史以及烟酒、毒物接触史。

手术外伤史:2015年行直肠癌根治术,术后恢复可;2022年行冠脉支架植入术,术后情况可;心脏起搏器安装病史。否认食物/药物过敏、家族性遗传病史。

4. 入科查体

体温37.5℃,脉搏62次/分,呼吸32次/分,血压149/66 mmHg;无创呼吸机辅助通气中(IPAP 12 cmH2O,EPAP 6 cmH2O,FiO2 90%)。神志清楚,双肺呼吸音偏粗,两肺底闻及少许湿啰音,双侧肺下界处可触及轻微胸膜摩擦感。心率62次/分,律齐,无杂音,腹部平软,无压痛,双下肢无水肿。

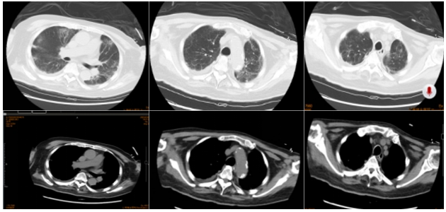
5. 入院前辅助检查(急诊)

2025年2月7日胸部CT:双肺多发斑片状渗出及实变,双侧胸腔积液伴局部肺膨胀不全1

图片

1  患者急诊胸部CT(2025-02-07)

6. 入院初步诊断

①重症肺炎;②呼吸衰竭(Ⅰ型);③肺栓塞待排;④急性呼吸窘迫综合征;⑤冠状动脉支架植入后状态;⑥心功能不全;⑦高血压病3级(极高危)。

7. 入院后重要辅助检查(2025-02-09)

  • 血气分析(吸氧浓度90%):pH 7.46(↑),PaO2 56 mmHg(↓),PaCO2 39 mmHg,标准碳酸氢盐浓度27.6 mmol/L(↑),血浆二氧化碳总量29 mmol/L,全血剩余碱(BE)3.7 mmol/L(↑),细胞外液剩余碱(BE-ect)3.9 mmol/L(↑),氧饱和度90%,钾离子浓度3.4 mmol/L(↓),钙离子浓度0.97 mmol/L(↓),钠离子浓度137 mmol/L,血糖7.5 mmol/L(↑),乳酸2.1 mmol/L(↑)。

  • 凝血功能:纤维蛋白原6.1 g/L(↑),纤维蛋白降解产物5.2 mg/L(↑),D-二聚体定量1.03 mg/L(↑)。

  • 生化:天门冬氨酸氨基转移酶58 U/L(↑),尿素11 mmol/L,肌酐79 μmol/L,尿酸264 μmol/L,乳酸脱氢酶315 U/L(↑),肌酸激酶109 U/L,心型脂肪酸结合蛋白5.60 μg/L(↑),CK-MB定量4.2 ng/ml(↑),肌红蛋白定量64.1 ng/ml,高敏肌钙蛋白I 34.0 pg/ml(↑)。

  • 患者入院后吸入氧浓度90%,PaO2/FiO2 64 mmHg。

诊疗经过

入院后完善相关检验检查,予告病危、心电监护、留置导尿管。

1. 第一阶段:高流量与无创呼吸机辅助通气交替使用

入院后予高流量(气体流速60 L/min,氧浓度90%左右)与无创呼吸机辅助通气(IPAP 14 cmH2O,EPAP 4 cmH2O,FiO2 65%~100%)交替使用,完善电子支气管镜检查并送检mNGS,予美罗培南抗感染、地塞米松抗炎、氨溴索化痰、依诺肝素预抗凝、奥美拉唑护胃、呋塞米利尿、沙库巴曲缬沙坦+苯磺酸氨氯地平降压及改善心功能、氯吡格雷抗血小板聚集、通便改善胃肠功能等治疗。

2月10日肺泡灌洗液mNGS(送检DNA+RNA)回报:鸟肠球菌(序列数25058,相对丰度89.867%)、白念珠菌(序列数24356,相对丰度92.537%)、EBV(序列数22,相对丰度100%),加用去甲万古霉素抗感染、卡泊芬净抗真菌治疗。

2月11日电阻抗成像技术(EIT)提示3、4区重力位通气欠佳(图2),无创呼吸机辅助通气(IPAP 18 cmH2O,EPAP 6 cmH2O,FiO2 100%)俯卧位通气治疗,予俯卧位通气后通气及氧合较前好转。

图片

2  俯卧位前后EIT监测结果(2025-02-11)

2月12日加用西维来司他钠改善急性呼吸衰竭。

2月15日痰培养提示白色假丝酵母菌,已抗真菌治疗,吸痰时见血痰,调整依诺肝素钠为4000 IU qd ih。

经第一阶段治疗后患者氧合无明显改善。

2. 第二阶段:气管插管接呼吸机辅助通气

入院后每日检测新冠病毒, 2月11日以前均阴性, 2月12日和2月14日两次阳性, 加用奈玛特韦/利托那韦片组合抗新冠病毒治疗。

2月17日患者氧合不能维持,气管插管后经口插管接呼吸机辅助通气,行肺复张及PEEP滴定后呼吸机参数为:模式PC,FiO2 90%,Ti 1 s,RR 18次/分,Pi 16 cmH2O,PEEP 10 cmH2O

2月18日患者出现高热,肺泡灌洗液tNGS回报:铜绿假单胞菌(序列数123,相对丰度0.36%),新型冠状病毒(序列数106,相对丰度0.31%)。停用美罗培南,改用头孢他啶阿维巴坦抗感染。

经治疗后患者体温恢复正常,呼吸机需求逐渐下降。

3. 第三阶段:拔除气管插管

2月25日拔除气管插管,予高流量吸氧(吸氧浓度50%,气体流速40 L/min)。

2月28日鼻导管吸氧(氧流量5 L/min)SpO2 98%,咽拭子甲流阳性,予玛巴洛沙韦2粒鼻饲。

3月2日生命体征平稳,一般情况尚可,鼻导管吸氧3 L/min,血氧饱和度98%,转入普通病房继续治疗。

4. 出RICU诊断

①重症肺炎(鸟肠球菌、铜绿假单胞菌、EBV、白念珠菌、白色假丝酵母菌、新型冠状病毒、甲型流感病毒);②急性呼吸窘迫综合征;③肺栓塞;④电解质紊乱(低钾血症,高钠血症);⑤冠状动脉粥样硬化性心脏病;⑥冠状动脉支架植入后状态;⑦心功能不全;⑧高血压病3级(极高危)。

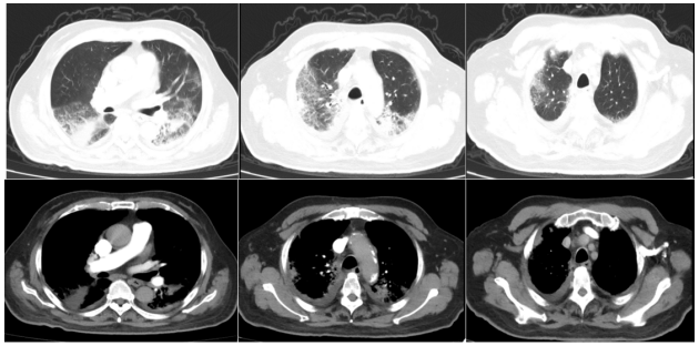
2025年3月4日胸部CT:双侧肺炎较前明显吸收,双侧少许胸腔积液3

图片

3  患者胸部CT(2025-03-04)

讨论

1. 从mNGS漏检到咽拭子确诊的临床启示

本病例的诊疗过程呈现了病原体诊断技术选择的复杂性,初始mNGS并未检出新冠病毒,后两次咽拭子间断查到新冠病毒,tNGS也明确查到新冠病毒。抗新冠病毒治疗后病情得到缓解。虽然笔者既往多次在免疫抑制人群中发现咽拭子新冠病毒核酸阴性,而肺泡灌洗液新冠病毒核酸阳性从而诊断新冠病毒感染,但此次初始mNGS(送检DNA+RNA)新冠病毒阴性后又检出阳性,可能与以下因素相关:①病毒载量动态变化:感染早期(潜伏期或轻症阶段)病毒载量较低,NGS对低丰度病原体敏感性不足。②气管镜灌洗位置的差异:肺泡灌洗液获取的位置不对,可能NGS检测不到新冠病毒。③技术局限性:NGS对RNA病毒检测需额外富集步骤,且可能受宿主核酸干扰,导致假阴性。

本病例通过咽拭子核酸检测最终确诊新冠病毒感染,揭示了病原体诊断中技术互补性与动态监测的必要性。在重症感染诊疗中,需以病原学证据为核心,结合临床表型与分子诊断技术,实现“早识别—准判断—快干预”,最终改善患者预后并减少医疗资源的浪费。

2025年4月,全国门急诊流感样病例新冠病毒核酸阳性率从7.5%升至16.2%,住院病例阳性率从3.3%升至6.3%。2025年新冠病毒感染反弹是需要医务人员关注的问题,仍然不能放松新冠感染这根弦,当前疫情以轻症为主,但需警惕高风险人群重症化。

2. 清醒俯卧位通气在重症患者救治中的重要性

清醒俯卧位通气的核心机制包括:①改善通气/血流比:俯卧位时,重力作用使背侧肺泡复张,减少心脏对肺组织的压迫,增加功能残气量,从而改善氧合。研究显示,清醒俯卧位可使氧合指数(PaO₂/FiO₂)提升30%50%。②促进分泌物引流:重力辅助下,气道分泌物更易清除,减少痰液潴留导致的继发感染风险。③减少呼吸机相关肺损伤(VILI):通过减少肺泡过度扩张和周期性塌陷,保护肺组织完整性,尤其适用于ARDS患者。

3. 抗炎治疗

西维来司他(化学名为西维来司他钠)是一种选择性中性粒细胞弹性蛋白酶(NE)抑制剂,通过抑制炎症级联反应改善肺组织损伤。2020年3月,其注射剂型获中国国家药监局批准上市,成为国内首个治疗急性肺损伤(ALI)和ARDS的特异性药物。临床研究显示,该药物可缩短ARDS患者机械通气时间、降低ICU住院周期及14天病死率。NE是一种溶酶体蛋白酶,是中性粒细胞释放的丝氨酸蛋白酶,分子量约33 kDa。NE通过激活和处理肿瘤坏死因子-α,白细胞介素(IL)-1、IL-6、IL-8和其他促炎细胞因子在炎症反应中起重要作用。当NE活性被过度激活时,肺血管通透性增加,气管收缩、分泌炎症因子,进而诱发ARDS。西维来司他钠是NE高度专一的特异性抑制剂,通过抑制NE活性发挥作用。

西维来司他钠可以通过多种途径发挥肺保护作用。动物模型研究发现:西维来司他钠能显著降低支气管肺泡灌洗液中促炎细胞因子的水平,提高细菌清除率;也能通过抑制信号传导及转录激活蛋白(STAT)或肿瘤坏死因子-α(TNF-α)通路发挥肺保护作用;还可以通过抑制NF-κB或高迁移率族蛋白1(HMGB1)降低炎症介质水平从而减轻肺损伤;其具有多种抗炎及肺保护机制,为其临床应用提供了广阔的思路。

图片
图片
图片


   参考文献    

上下滑动阅览

[1] Nair GB, Niederman MS. Updates on community acquired pneumonia management in the ICU[J]. Pharmacol Ther, 2021, 217:107663. doi: 10.1016/j.pharmthera.2020.107663. 

[2] Zhang P, Liu B, Zhang S, et al. Clinical application of targeted next-generation sequencing in severe pneumonia: a retrospective review[J]. Crit Care, 2024, 28(1): 225. doi:10.1186/s13054-024-05009-8. 

[3] Qu J, Zhang J, Chen Y, et al. Aetiology of severe community acquired pneumonia in adults identified by combined detection methods: a multi-centre prospective study in China[J]. Emerg Microbes Infect, 2022, 11(1):556-566. doi: 10.1080/22221751.2022.2035194.

[4] Guérin C, Albert RK, Beitler J, et al. Prone position in ARDS patients: why, when, how and for whom[J]. Intensive Care Med, 2020, 46(12):2385-2396. doi: 10.1007/s00134-020-06306-w. 

[5] Putot A, Garin N, Rello J, et al. European Study Group of Infections in the Elderly Patients (ESGIE)[J]. Eur J Intern Med, 2025, 135:14-24. doi: 10.1016/j.ejim.2025.02.025. 


    作者介绍    

图片

王尚宏

山西省汾阳医院呼吸与危重症医学科主治医师,上海交通大学医学院附属瑞金医院PCCM学员。


图片

冯耘

上海交通大学医学院附属瑞金医院呼吸与危重症医学科主任医师,博士研究生导师,上海交通大学医学院副研究员,美国杜克大学访问学者,中国医师协会呼吸医师分会危重症医学学组青年委员,中国医药教育协会感染疾病专业委员会委员,上海市医学会呼吸病学专科分会青年委员会委员,上海市医学会呼吸病学专科分会重症学组副组长;曾获上海市人才培养计划、上海市优秀专科医师及上海交通大学医学院“九龙医学优秀青年人才奖”,获得2项国家自然基金及科技部重点项目子课题资助,发表SCI文章40余篇,作为第一完成人获得专利2项,参与编写专业书籍4部。


图片

朱海星

上海交通大学医学院附属瑞金医院呼吸与危重症医学科主治医师,博士;中国肺癌防治联盟肺癌内镜筛查与诊治委员会委员;美国Vanderbilt大学访问学者;广慈卓越青年;目前主持国家自然青年基金1项,以第一作者或通讯作者发表SCI论文多篇,相关研究曾获得美国胸科医师大会旅行者奖。


图片

葛晓

上海交通大学医学院附属瑞金医院呼吸与危重症医学科呼吸治疗师,毕业于四川大学华西临床医学院呼吸治疗系,主攻方向为危重症患者的呼吸支持、气道管理、呼吸康复、床旁重症超声、床旁气管镜等。

声明:

本文仅用于学术内容的探讨和交流,不用于任何商业和推广。临床实践需根据患者的具体情况选择适宜的处理措施。


全部评论 0
Copyright©2020-2026 北京医麦斯科技有限公司 版权所有 京ICP备2020034400号-1 京公网安备11010502043983号