登录方式

方式一:
PC端网页:www.rccrc.cn
输入账号密码登录,可将此网址收藏并保存密码方便下次登录

方式二:
手机端网页:www.rccrc.cn
输入账号密码登录,可将此网址添加至手机桌面并保存密码方便下次登录

方式三:
【重症肺言】微信公众号
输入账号密码登录

注:账号具有唯一性,即同一个账号不能在两个地方同时登录。

登录
方式

为重症救治赋能

为患者康复加速

当前位置:首页 重症实战 病例集锦

肺移植术后CRPA感染下的生存博弈

蔡莹 中日友好医院 发布于2025-07-01 浏览 785 收藏

作者:蔡莹

单位中日医院呼吸与危重症医学科

图片

一、病史

图片

1. 基本信息

患者女性,63岁,身高162 cm,体重58.7 kg,BMI 22.36 kg/m2,群体反应性抗体(PRA)阴性。

2. 现病史

主诉:咳嗽、呼吸困难8年,加重4个月。

患者8年前无明显诱因出现咳嗽,活动后呼吸困难,于天津胸科医院就诊,复查胸部CT示:双肺间质性病变,肺功能示弥散功能占预计值47%,随即开始口服甲泼尼龙16 mg qd治疗,自觉症状缓解,将甲泼尼龙减量至停用(具体过程不详)。

7年前,患者再次出现咳嗽、咳白痰,复查肺弥散功能占预计值47.5%,再次加用甲泼尼龙16 mg qd治疗。患者咳嗽、咳痰较前好转,将甲泼尼龙减至8 mg qd。

6年前复查胸部CT示肺间质改变稍有吸收,甲泼尼龙减至4 mg qd。

5年前至4年前维持甲泼尼龙4 mg qd。

3年前,患者再次出现咳嗽、咳白痰加重,甲泼尼龙加至8 mg qd。

2年前将甲泼尼龙减至停用,同时加用中药治疗(具体不详)。患者出现活动后呼吸困难加重,活动耐力进一步下降,复查胸部HRCT示双肺胸膜下及肺底部弥漫网格影、蜂窝影及牵拉性支气管扩张,较前有所加重,甲泼尼龙加至12 mg qd,2周后减为8 mg qd。

1年余前将甲泼尼龙减至4 mg qd口服至入院前,并开始加用吡非尼酮,由1片tid逐渐加量至6片tid抗纤维化治疗。

4个月前,患者自觉呼吸困难加重,穿衣时即出现喘憋,长期家庭氧疗,就诊于我院,复查胸部HRCT示:双肺胸膜下、基底部为主的蜂窝、网格影,伴磨玻璃样改变,建议行肺移植评估,患者未予重视。

2个月前,上述症状进一步加重,出现说话时呼吸困难,夜间咳嗽、咳白痰加重,且偶有夜间憋醒,入院行肺移植评估。

3. 既往史及其他

6年前发现餐后2 h血糖升高至27~28 mmol/L,诊断为类固醇相关糖尿病,目前口服二甲双胍、瑞格列奈、阿卡波糖治疗,血糖控制欠佳。22岁时曾行扁桃体摘除手术。否认输血史。对左氧氟沙星、青霉素(皮试阳性)过敏。否认吸烟、酗酒史。

4. 入院查体

T 36.2℃,P 72次/分,R 28次/分,BP 121/65 mmHg。神清,精神可,双肺呼吸音粗,双下肺可闻及Velcro啰音,心音有力律齐,未闻及额外心音及杂音,腹软,无压痛反跳痛,双下肢不肿。

图片

二、术前评估

图片

1. 血液

  • 血常规:白细胞总数7.21×109/L,血红蛋白126 g/L,血小板202×109/L,淋巴细胞总数1.03×109/L,淋巴细胞百分数14.3%。

  • 生化全项:ALT 13 U/L,AST 13 U/L,Crea 39.5 μmol/L,ALB 40 g/L,总胆固醇5.42 mmol/L,低密度脂蛋白胆固醇3.41 mmol/L,高敏C反应蛋白5.27 mg/L,余无异常。

  • 凝血六项:正常。

2. 呼吸

  • 动脉血气经鼻高流量吸氧,FiO0.5):pH 7.384,PaO152.9 mmHg,PaCO51.4 mmHg,BE 4.0 mmol/L

  • 肺功能无法耐受

  • 六分钟步行试验无法耐受

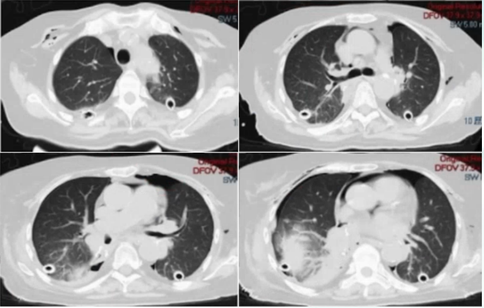
  • 胸部CT(移植前):双肺多发间质改变,胸膜下为著,局部可见网格影、蜂窝影及牵拉支扩,以及沿支气管血管束分布的磨玻璃影(图1)

图片

1  患者移植前胸部CT

3. 心脏

  • 心梗四项:正常。

  • 心电图:窦性心律,正常心电图。

  • 冠脉造影:左主干、前降支、回旋支及右冠状动脉均未见狭窄。

  • 心脏彩超: LA 40 mm, LVd 43 mm, LVEF 65%; 结论: 左房稍大主肺动脉稍宽。

4. 感染 

  • 术前检查:乙肝表面抗原、丙肝、HIV、梅毒均阴性。

  • ESR 34 mm/h。

  • PCT<0.05 ng/ml。

  • EBV血核酸定量阴性, IgG阳性, IgM阴性。

  • CMV血核酸定量阴性, IgG阳性, IgM阴性。

  • GM试验:0.03。

  • 结核相关检查均阴性

5. 术前诊断

间质性肺病,Ⅰ型呼吸衰竭;类固醇性糖尿病;高脂血症;反流性食管炎;骨质疏松;睡眠障碍;焦虑状态;胆囊息肉;肾结石。

图片

三、手术治疗

图片

9月7日行序贯式双肺叶移植术

  • VV-ECMO辅助,引流端:右股静脉;灌注端:右颈内静脉。

  • 右后外侧切口→右肺移植(右肺下叶切除,保留右肺上叶和中叶)。

  • 左后外侧切口→左肺移植(左肺下叶切除,保留左肺上叶)。

  • 右肺冷缺血时间:5小时30分钟,左肺冷缺血时间:7小时10分钟

  • 免疫诱导方案:甲泼尼龙。

  • 术中总入量2950 ml,出血量600 ml;尿量1000 ml。

图片

四、术后治疗经过

图片

1. 转入ICU

呼吸机支持:PCV模式,PC 14 cmH2O,PEEP cmH2O,FiO0.35。VV-ECMO:转速2400 r/min,血流量2.89 L/min,气流量2 L/min,氧浓度100%。未应用血管活性药物,HR 90 bpm,动脉血压(ABP)105/65 mmHg, SpO99%,肺动脉压(PAP)39/20 mmHg。

术后第1天撤离ECMO。术后第2天,拔除气管插管。术后第3天,转出ICU。

2. 抗排异与感染预防

术后早期抗排异方案激素+他克莫司因术后早期淋巴细计数低, 暂未加用霉酚酸酯类

遵循广覆盖(G-杆菌、G+球菌、真菌、CMV、PJP)原则。预防感染方案为:头孢哌酮舒巴坦+万古霉素+卡泊芬净+更昔洛韦+复方磺胺甲噁唑。

3. 术后影像学

术后当天双肺渗出略多,考虑早期原发性移植物功能不全PGD可能性大经过保护性通气和容量管理,术后第2天患者双肺渗出明显吸收2。这使得患者能够尽早撤离ECMO和呼吸机,ICU普通病房。抗感染治疗继续沿用之前方案。

图片

2  患者移植术后当天和术后第2天胸片比较

术后第5天复查胸部CT:双肺膨胀较好,左肺和右肺下叶膨胀稍差有少量气胸右侧胸腔积液3

图片

3  患者移植术后第5天胸部CT

4. 预防术后感染

后第2天,患者出现发热,Tmax37.6℃,咳嗽,咳少量黄白,血常规提示白细胞明显升高。早期无明确阳性病原学结果,暂未调整抗感染方案头孢哌酮舒巴坦+万古霉素+卡泊芬净+更昔洛韦+复方磺胺甲噁唑)。间断支气管镜吸痰,加强痰液引流。同时进行早期康复床旁活动+呼吸训练),加强营养支持

术后第6天,第一次BALF病原学回报:耐碳青霉烯类铜绿假单胞菌(CRPA),药敏结果提示仅对黏菌素敏感,阿米卡星和头孢吡肟中介,其他均为耐药。调整抗感染方案:多黏菌素B 50万U q12h iv泵入2 h,头孢吡肟2 g q8h ivgtt。

5. 急性肾损伤(AKI)

术后第8天,患者尿量骤然减少,全天入量2056 ml/尿量360 ml(托拉塞米80 mg iv泵入,效果不佳)。监测肾功能发现血清肌酐进行性上升,由105 μmol/L(术后第5天)升高至368.2 μmol/L(术后第8天);血清钾由4.0 mmol/L升高至6.8 mmol/L。患者合并AKI。

术后第9天,监测多黏菌素B血药浓度:AUC 94.2 mg·h/L(治疗目标50 mg·h/L,毒性目标50~100 mg·h/L)。除了多黏菌素,患者还使用了他克莫司(FK506),监测其血药浓度为10.6 ng/ml。万古霉素术后应用3天,已于第4天停用。考虑是由多药引发的药物性肾损伤。此种情况是否还能继续使用多黏菌素?

6. 文献推荐意见

1)采用何种策略可以降低使用黏菌素多黏菌素B造成的AKI的发生率?

【推荐意见20】接受黏菌素多黏菌素B治疗的患者应尽可能避免同时使用其他具有肾毒性的药物(强推荐,中等质量)。

2)黏菌素多黏菌素B的治疗药物浓度监测有用吗?

【推荐意见19】如果具备条件,可以使用TDM或适应性反馈控制设备(AFC)来指导黏菌素多黏菌素B的使用。

3)是否有推荐的PK/PD治疗目标参数,以便达到黏菌素多黏菌素B的最大疗效?

【推荐意见3】对于黏菌素多黏菌素B,推荐24小时稳态的血浆浓度-时间曲线面积(AUCss, 24h)需达到50 mg·h/L。但多黏菌素B的AUCss, 24h目标为50~100 mg·h/L也可以接受。

4)如果患者使用菌素或多菌素B后发生了AKI,需要减少剂量吗?

【推荐意见25】当患者处于危及生命的感染、深部组织感染以及感染的病原菌MIC大于1 mg/L时,无论菌素或多菌素B都无需根据肾功能调整剂量强推荐,低证据质量

【推荐意见26如果感染诊断不明确或有其他较低肾毒性药物可以选择,建议有AKI的患者可以考虑停止多菌素治疗

7. 调整治疗方案

术后第8天,停用多黏菌素B和头孢吡肟,调整为头孢他啶阿维巴坦静脉泵入2 h),并根据肌酐清除率调整用量:0.94 g q12h→1.25 g q8h→2.5 g q8h联合阿米卡星0.2 g q12h雾化吸入。他克莫司减量,适当下调抗排异强度,暂不加用霉酚酸酯类药物。积极降钾处理,维持内环境稳定。

8. 并发伤口感染

术后第14天, 右侧手术切口局部可见黄色脓性分泌物。脓液标本病原学检测提示CRPA, 药敏结果显示对阿米卡星和黏菌素敏感。

9. 并发脓胸

术后第16天,右侧胸引液性状变为黄白脓性,量为50~100 ml/d。多次查胸水细菌培养均为阴性。患者主要是CRPA肺感染,另外在浅表伤口也发现了CRPA感染。考虑病原体感染途径是由肺→胸腔→伤口。虽然胸水没有培养出其他病原体,但仍然继续予头孢他啶阿维巴坦静脉泵入+阿米卡星雾化抗CRPA感染,总疗程为2周,后患者体温恢复正常,痰量减少,感染指标好转。

10. 支气管胸膜瘘

术后第14天,患者在使用呼吸训练器训练过程中突发胸闷憋气加重,呼吸急促(40次/分),心率增快(120次/分),SpO2降至90%(经鼻高流量FiO0.7),查体可见喘息貌,明显三凹征,不能言语,右肺呼吸音极低。动脉血气分析:pH 7.32,PaCO48.2 mmHg,PaO73.1 mmHg,BE -1.6 mmol/L。急查床旁胸片:右肺气胸较前加重,右侧胸引管接床旁负压持续吸引,效果不佳,漏气量达到1900 ml/min。患者反复于坐起、洗漱、活动后出现喘憋加重、氧合下降。

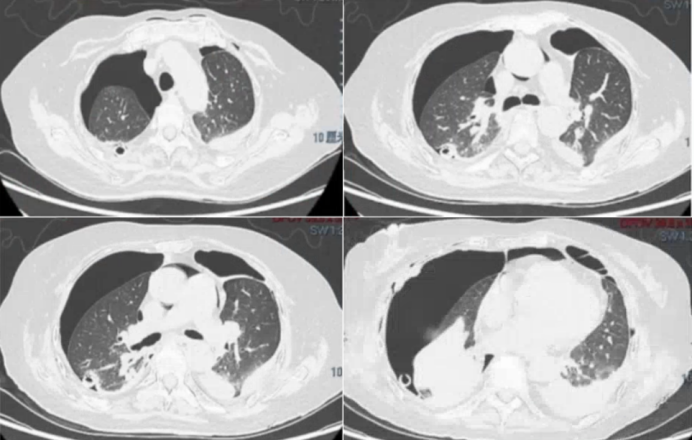
术后第23天,气管镜检查于右肺中叶开口侧壁发现瘘口(图4),考虑出现支气管胸膜瘘。术后第31天,复查胸部CT可见肺部膨胀不佳(图5)

图片

4  气管镜下发现瘘口

图片

5  复查胸部CT

术后第32天,复查支气管镜右中开口支气管侧壁及后壁可见大量黄白色膜坏死组织,侧壁可见两个较大瘘口(图6,与胸腔相通,局部气道膜随呼吸波动明显,其余各气道管腔内无明显分泌物。术后第33天,于全麻下行支气管胸膜修补术。效果不理想瘘口变大的趋势(图6)

图片

6  支气管胸膜修补术前后

11. 术后综合治疗

联合康复科、营养科、内分泌科、精神心理科等予以MDT综合治疗,实施康复锻炼,增加白蛋白摄入,减轻伤口水肿促进愈合控制血糖加强全身及精神心理照护多学科协作助力患者术后恢复。

12. 艰难的康复之路

患者经历了双肺移植,移植肺感染、伤口感染、右侧胸腔感染,抗感染治疗过程中又出现了药物相关AKI以及支气管胸膜瘘,后续又反复出现了肾功能不全,使用CRRT;以及再发感染而且难以控制,最终患者预后不佳。本例患者属于严重免疫抑制宿主此类患者的抗感染策略选择更加艰难

13. 关于头孢他啶阿维巴坦的选择

头孢他啶阿维巴坦是一种新型酶抑制剂复合制剂,其中头孢他啶是广谱第三代头孢菌素(β-内酰胺类)抗菌药物,与细菌细胞中的青霉素结合蛋白相结合,抑制细胞壁合成,从而导致细菌死亡。阿维巴坦是非β-内酰胺类的β-内酰胺酶抑制剂,与β-内酰胺酶结合,抑制β-内酰胺酶对头孢他啶的水解作用。阿维巴坦本身不具有抗菌活性,但可增强头孢他啶对产β-内酰胺酶肠杆菌科细菌的抗菌活性阿维巴坦大幅降低头孢他啶对产β-内酰胺酶肠杆菌科细菌的最低抑菌浓度MIC)。此外,阿维巴坦仅轻度提高头孢他啶对铜绿假单胞菌的抗菌活性,MIC降低约4倍。阿维巴坦大幅增加头孢他啶对脆弱拟杆菌、产气荚膜梭菌、普雷沃菌属、卟啉单胞菌的抗菌活性。

2017年一项国内多中心研究发现头孢他啶阿维巴坦对碳青霉烯耐药的肠杆菌科细菌和铜绿假单胞菌具有良好的体外抗菌活性。2012—2014年INFORM监测全球数据显示,产ESBL和/或AmpC肠杆菌科细菌对头孢他啶阿维巴坦的总体敏感率高达99.9%。头孢他啶阿维巴坦对肠杆菌科细菌的治疗效果更好,对铜绿假单胞菌的作用有限对鲍曼不动杆菌没有任何效果。

图片

五、小结

图片

在临床治疗领域,呼吸机相关性肺炎(VAP)与医院获得性肺炎(HAP)合并CRPA感染的患者正面临极为棘手的治疗困境。随着抗生素的广泛使用和细菌耐药性的不断演变,CRPA已然成为院内感染的“顽固敌人”,临床医生常常陷入“无药可用”的窘迫局面。虽然部分药物在体外试验或个案报道中展现出一定抗菌活性,但在实际应用时,其潜在的严重不良反应(如耳毒性、肾毒性、血液系统毒性等)临床医生在用药抉择时顾虑重重。而其他一些在常规治疗中可用的药物,因细菌耐药机制复杂,难以达到理想的杀菌效果,患者的治疗结局往往不尽人意。目前,针对此类患者的治疗,临床上主要采取多维度的综合治疗策略,同时借助精准的药敏试验结果,进一步优化抗生素的选择,力求在有限的治疗手段中,为患者争取最佳的治疗效果,降低感染所致的不良预后风险。

图片
图片
图片


   参考文献    

上下滑动阅览

[1] Tsuji BT, Pogue JM, Zavascki AP, et al. International Consensus Guidelines for the Optimal Use of the Polymyxins: Endorsed by the American College of Clinical Pharmacy (ACCP), European Society of Clinical Microbiology and Infectious Diseases (ESCMID), Infectious Diseases Society of America (IDSA), International Society for Anti-infective Pharmacology (ISAP), Society of Critical Care Medicine (SCCM), and Society of Infectious Diseases Pharmacists (SIDP)[J]. Pharmacotherapy, 2019, 39(1):10-39. 

[2] Yin D, Wu S, Yang Y, et al. Results from the China Antimicrobial Surveillance Network (CHINET) in 2017 of the In Vitro Activities of Ceftazidime-Avibactam and Ceftolozane-Tazobactam against Clinical Isolates of Enterobacteriaceae and Pseudomonas aeruginosa[J]. Antimicrob Agents Chemother, 2019, 63(4):e02431-18.

[3] de Jonge BL, Karlowsky JA, Kazmierczak KM, et al. In Vitro Susceptibility to Ceftazidime-Avibactam of Carbapenem-Nonsusceptible Enterobacteriaceae Isolates Collected during the INFORM Global Surveillance Study (2012 to 2014)[J]. Antimicrob Agents Chemother, 2016, 60(5):3163-3169.


    作者介绍    

图片
蔡莹

北京大学医学部内科学博士,中日友好医院呼吸与危重症医学科主治医师、医疗组长;主要研究方向为重症感染;作为主要参与者,参与全国多中心SCAP队列建设;近5年参与国自然、科技部课题、院级课题5项,在国内外杂志发表文章13篇,参编/译呼吸与危重症医学、重症医学专著8部,参编专家共识2部、参编指南1部。

声明:

本文仅用于学术内容的探讨和交流,不用于任何商业和推广。临床实践需根据患者的具体情况选择适宜的处理措施。


全部评论 0
Copyright©2020-2026 北京医麦斯科技有限公司 版权所有 京ICP备2020034400号-1 京公网安备11010502043983号