登录方式

方式一:
PC端网页:www.rccrc.cn
输入账号密码登录,可将此网址收藏并保存密码方便下次登录

方式二:
手机端网页:www.rccrc.cn
输入账号密码登录,可将此网址添加至手机桌面并保存密码方便下次登录

方式三:
【重症肺言】微信公众号
输入账号密码登录

注:账号具有唯一性,即同一个账号不能在两个地方同时登录。

登录
方式

为重症救治赋能

为患者康复加速

当前位置:首页 重症实战 病例集锦

重症肺炎合并多器官功能障碍病例

蒋露晰 浙江省人民医院呼吸内科 发布于2025-06-25 浏览 1959 收藏

作者:蒋露晰

单位浙江省人民医院呼吸内科


一、病情介绍


1. 基本信息

患者,男性,39岁,职员,2024年12月14日入院。主诉:发热伴咳嗽咳痰2天。

2. 现病史

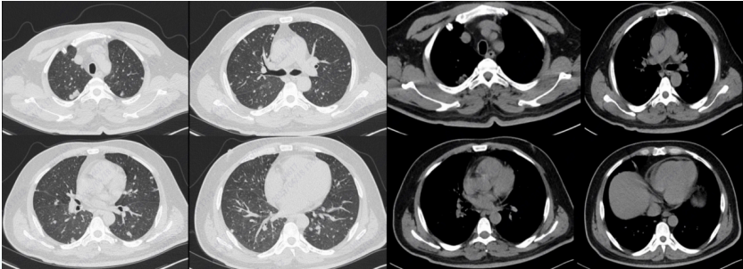
患者2天前无明显诱因下出现发热,未测体温,伴咳嗽咳痰,白色痰,较多,易咳出,伴乏力,伴全身酸痛,伴呕吐1次,呕吐物为胃内容物,无畏寒咽痛头痛头晕等不适,遂来我院急诊,查急诊血常规+超敏C反应蛋白(hs-CRP):白细胞计数(WBC)16.88×109/L(↑),中性粒细胞计数(NEU)15.65×109/L(↑)hs-CRP 244.5 mg/L(↑)2024年12月14日行加急胸部CT示:双肺弥漫斑块、结节影,建议CT增强检查心包少量积液(图1)。患者为求进一步诊治,急诊拟“肺炎”收住入院。

图片

1  患者胸部CT(2024-12-14)

3. 既往史及其他

自诉血压偏高,未予药物治疗。糖尿病病史,间断口服降糖药治疗,用药不规律,具体药物不详。个人史、婚育史、家族史均无特殊。

4. 入院查体

T 36.6℃P 110 次/分R 32次/分BP 122/92 mmHg神志清,精神尚可,口唇无绀,锁骨上淋巴结未及肿大,双肺听诊呼吸音粗,未及啰音,心律齐,各瓣膜听诊区未闻及明显病理性杂音,腹平软,无压痛、反跳痛,肝脾肋下未及,双下肢无浮肿,神经系统检查未见明显异常。BMI 26.85 kg/m2

5. 入院辅助检查

  • 血气分析(鼻导管5 L/min吸氧,吸氧浓度41%)pH 7.312,PaCO2 37.2 mmHg,PaO2 87 mmHgSaO2 95.8%,实际碱剩余-6.9 mmol/L,标准碱剩余-6.8 mmol/L,乳酸8.1 mmol/L(↑)

  • 血常规WBC 16.88×109/L(↑)NEU% 92.7%↑)NEU 15.65×109/L(↑)

  • 炎症指标:hs-CRP 244.5 mg/L降钙素原PCT)25 ng/ml

  • 生化指标:总蛋白62.1 g/L,白蛋白31.8 g/L,谷丙转氨酶40 U/L,谷草转氨酶45 U/L,乳酸脱氢酶306 U/L,钾3.44 mmol/L,肌酐217.5 μmol/L,肾小球滤过率32 ml/min。

  • 传染病:小三阳。

6. 初步诊断

社区获得性肺炎(重症)呼吸衰竭糖尿病肝功能不全肾功能不全乙肝病毒携带者心包积液


二、诊疗方案


1. 诊疗计划

1美罗培南1 g q8h联合利奈唑胺0.6 g q12h抗感染

2)沐舒坦针30 mg bid静脉滴注化痰

3)甲泼尼龙40 mg qd抗炎

4)胰岛素泵控制血糖(动脉血气检测葡萄糖结果31.00 mmol/L测床边指尖血糖29.00 mmol/L)

5)低分子肝素钙4000 IU qd抗凝

6)护肝

2. 辅助检查(2024-12-15)

  • 淋巴细胞亚群:淋巴细胞绝对计数247个/μl(↓),CD3+T细胞59.80%(↓),CD3+CD4+T细胞20.7%(↓),CD3+CD8+T细胞33.7%CD3+T细胞绝对计数148/μl(↓),CD3+CD4+T细胞绝对计数51/μl(↓),CD3+CD8+T细胞绝对计数83/μl(↓)。

  • 心肌标志物:心肌肌钙蛋白I+BNP正常。

  • 肿瘤标物:总胰腺特异性抗原PSA11.731 μg/L),游离PSA 2.340 μg/L)。

  • 风湿及类风湿因子阴性

  • 免疫球蛋白+补体正常

  • 结核感染T细胞:阴性

  • GM试验曲霉菌半乳甘露聚糖3.13 ng/m)。

  • 隐球菌荚膜抗原定量0.47 ng/ml(阴性)。

  • 凝血功能:凝血酶原时间PT14.2 s,活化部分凝血活酶时间(APTT28.5 sD-二聚体15700 μg/L

  • 呼吸道十二项病原体核酸检测均阴性。

3. 疾病进展

  • 血气分析(高流量呼吸机辅助呼吸,吸氧浓度45%)pH 7.35,PaCO2 38.8 mmHg,PaO2 71 mmHgSaO2 92.3%,实际碱剩余-3.2 mmol/L,标准碱剩余-3.2 mmol/L,乳酸6.5 mmol/L

  • 血常规WBC 6.03×109/LNEU% 91%,NEU 5.49×109/L,血红蛋白(Hb)131 g/L,血小板计数PLT)40×109/L↓)。

  • 炎症指标:hs-CRP 251 mg/LPCT>100 ng/ml

  • 生化指标:总蛋白48.3 g/L↓),白蛋白24.3 g/L↓),谷丙转氨酶40 U/L,谷草转氨酶46 U/L,钾4.12 mmol/L,肌酐285 μmol/L,肾小球滤过率23 ml/min,葡萄糖11 mmol/L

  • 血培养:G-杆菌(12月15日);肺炎克雷伯菌(12月16日)。

感染科会诊:患者脓毒症明确,血培养肺炎克雷伯菌,伴多脏器功能不全,血小板下降,建议有条件完善全腹CT、泌尿系B超、尿培养等,继续碳青霉素烯类抗感染治疗。

ICU会诊:1216患者咯血,停用低分子肝素;血小板危急值,停用利奈唑胺,转ICU


三、转入ICU治疗


1. 转入ICU后治疗

  • 气管插管,镇静,补液

  • 氢化可的松针20 ml : 0.1 g0.1 g+生理盐水50 ml q12h泵入。

  • 注射用亚胺培南西司他丁钠1 g q8h+替加环素0.1 g q12h抗感染

  • 去甲肾上腺素10 mg+生理盐水50 ml泵升压

  • 护肝,控制心率

2. 相关检查及病原学

12月16日

床旁腹部超声肝内混合回声团,肝脓肿可能,胆囊壁毛糙,胆囊内胆汁淤积。

床边心脏超声检查: 二、三尖瓣轻度反流左室收缩功能正常心包少量积液实时心率快

腹部CT:下腔静脉、右肾静脉腔内血栓形成,伴右肾强化减低,包膜下低密度影;双肾结石;肝囊肿。12月17日行肝穿刺引流。

12月17日】

痰培养结果为肺炎克雷伯菌;药敏结果示对美罗培南、亚胺培南、替加环素等均敏感。

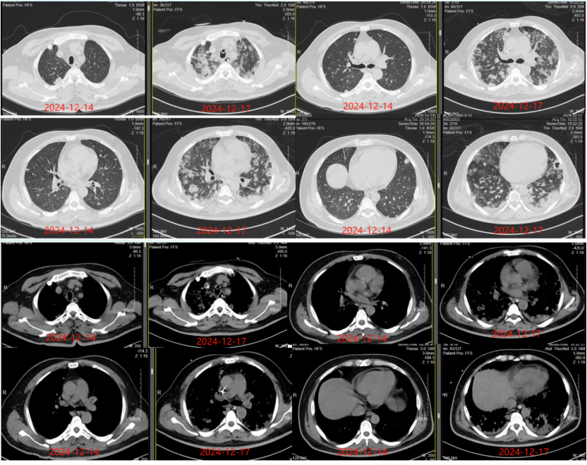
胸部增强CT(图2)胸部CT较前进展。两肺多发散在斑片状结节状密度增高影,肺内见多发空洞/支气管扩张,壁厚。未见明显骨折及脱位征象,胸部及心包未见明显积气积液征象,纵隔未见明显积气、积液及占位征象。

血常规+CRP:WBC 11.87×109/LPLT 61×109/LCRP 247 mg/LPCT 92 ng/ml

图片

2  患者转入ICU前后胸部CT对比

12月18日】 

血常规+CRP:WBC 8.06×109/LPLT 35×109/LCRP 178 mg/LPCT 49 ng/ml

心肌标志物:cTnI 0.066 μg/ml↑),BNP 157.6 pg/ml↑)

生化:总胆红素40.6 μmol/L(↑),葡萄糖15.62 mmol/L(↑),尿素33.27 mmol/L(↑),肌酐267.2 μmol/L(↑),尿素氮/肌酐比值31.13(↑)。

呼吸道病原体痰211检测:肺炎克雷伯菌(RPM:11944.52),乙型肝炎病毒(RPM:2932.42),EB病毒(RPM:889.53)。

12月19日】

血常规+CRP:WBC 5.94×109/LPLT 48×109/LCRP 120.7 mg/LPCT 27 ng/ml

心肌标志物:cTnI 0.046 μg/mlBNP 124.9 pg/ml↑)

生化:总蛋白48.5 g/L(↓),白蛋白26.0 g/L(↓),白球比例1.16(↓),总胆红素27.0 μmol/L(↑),直接胆红素10.3 μmol/L(↑),葡萄糖11.13 mmol/L(↑),尿素34.21 mmol/L(↑),肌酐22.8.2 μmol/L(↑),尿素氮/肌酐比值37.48(↑)。

痰培养结果回报:肺炎克雷伯菌,对亚胺培南、替加环素等均敏感。

穿刺液培养结果回报:肺炎克雷伯菌,对亚胺培南、替加环素等均敏感。

12月20日】 

血常规+CRP:WBC 8.07×109/LPLT 47×109/LCRP 77.1 mg/LPCT 16 ng/ml

痰培养结果回报:耐碳青霉烯类鲍曼不动杆菌。药敏结果提示对替加环素、依拉环素、复方新诺明敏感。

患者转入ICU后仍然持续发热3感染未控制吗?

3. 调整抗生素方案

结合患者临床表现,12月21日停用替加环素,调整治疗方案为:亚胺培南西司他丁1 g q8h+多黏菌素E甲磺酸钠300万IU q12h静滴+多黏菌素E 200万IU q12h雾化,同时予持续肾脏替代治疗(CRRT)。调整治疗后患者体温逐渐下降并趋于稳定312月22日复查血常规+CRP:WBC 7.13×109/LPLT 56×109/LCRP 57 mg/LPCT 14 ng/ml。炎症指标有下降趋势。

图片

3  病程中用药及患者体温变化情况

4. 病情再次变化

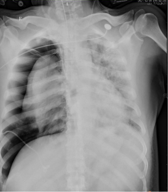
患者在严重感染打击下肺顺应性后予气管插管呼吸机辅助通气出现右侧气胸, 肺压缩约50%; 纵隔移位; 左肺炎症(图4)由于经济原因,于12月23日自动出院

图片

4  患者胸片


四、小结


高毒力肺炎克雷伯菌凭借独特的荚膜多糖结构和毒力因子,可突破人体免疫防线而引发侵袭性感染其致死性强,临床必须高度警惕。感染灶的去除是治疗成败的关键,对于合并脓肿、坏死组织的患者,需及时通过经皮穿刺引流、外科清创等手段,切断病原菌持续释放毒素的途径。糖尿病患者由于长期高血糖状态导致中性粒细胞趋化和吞噬功能受损,成为高毒力肺炎克雷伯菌的易感人群,极易并发感染性休克、多脏器功能衰竭。此类患者血糖控制是关键,同时还应密切监测相关并发症针对脓毒性休克患者,需启动液体复苏、血管活性药物、机械通气等一系列多脏器功能支持治疗方案,联合抗感染与器官保护并重,才能有效提高抢救成功率。


    作者介绍    

图片
蒋露晰

浙江省人民医院呼吸与危重症医学科,主任助理,副主任医师,医学博士;浙江省医学会呼吸系病学分会青年委员,浙江省康复医学会呼吸康复专业委员会秘书;主持浙江省自然科学基金1项,浙江省医药卫生厅课题3项,中国疾病预防控制中心联合课题1项,参与国自然面上课题3项;以第一作者发表SCI文章14篇,中华类等国家级期刊论文4篇;曾在上海交通大学医学院附属瑞金医院进修,为第三期国家紧急救援队队员。

声明:

本文仅用于学术内容的探讨和交流,不用于任何商业和推广。临床实践需根据患者的具体情况选择适宜的处理措施。


全部评论 0
Copyright©2020-2026 北京医麦斯科技有限公司 版权所有 京ICP备2020034400号-1 京公网安备11010502043983号