作者:林勇
单位:东南大学附属南京胸科医院
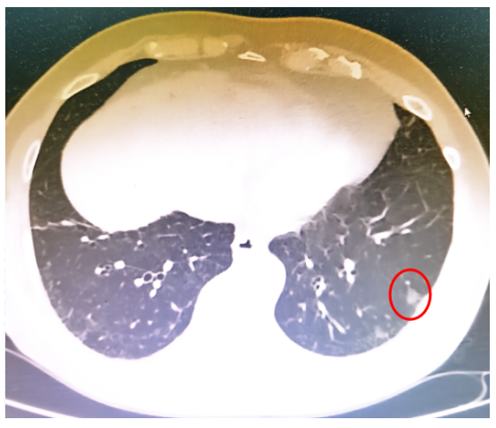
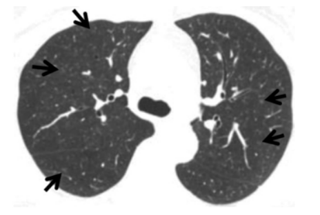
患者,男性,69岁,退休。2022年11月8日入院。主诉:体检发现左肺下叶结节半月余。既往史:既往体健,高血压病。胸部CT:左肺下叶磨玻璃影,两下肺间质性改变(图1),考虑感染?营养不良-炎症-动脉粥样硬化(MIA)?入院诊断为:左肺下叶结节:肿瘤?高血压病。
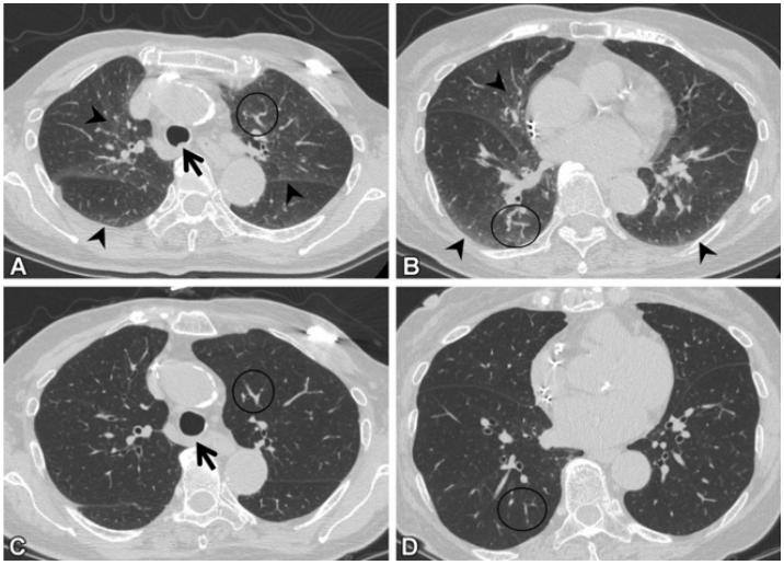
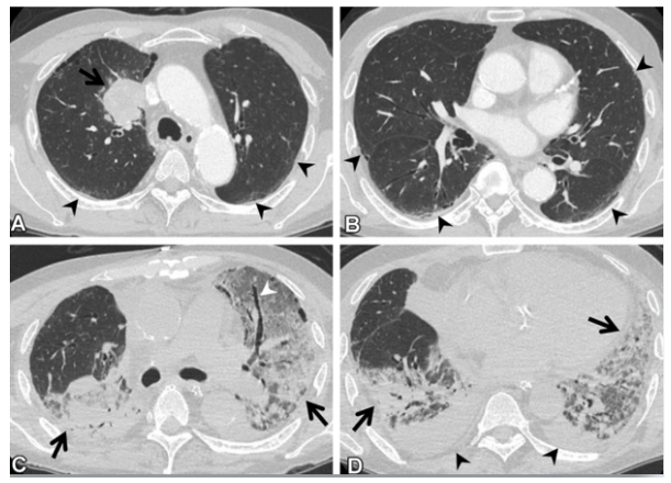
患者于2022年11月10日在全身麻醉下行左肺下叶部分切除+淋巴结活检术,手术过程顺利,入量1200 ml,尿量600 ml,出血10 ml。术后病理提示微浸润腺癌。术后顺利拔除气管插管,生命体征平稳。术后第3天开始出现活动后稍气喘,无明显发热,偶有咳嗽,咳白色黏痰。胸闷气喘症状逐渐加重。肝肾功能正常,D-二聚体正常,心肌标志物正常,未查血气和胸部CT;白细胞、CRP升高明显(表1)。予哌拉西林他唑巴坦+莫西沙星加强抗感染治疗。术后第5天胸部CT可见少量病灶(图2)。术后第12天胸部CT提示两肺间质性改变,右肺为著,局部可见支气管牵拉变形,磨玻璃影(图3)【普通感染不应出现如此变化,但当时并未引起重视】。后续患者出现呼吸衰竭,血气分析:pH 7.34,PaO2 53.1 mmHg,PaCO2 35.1 mmHg(面罩吸氧10 L/min)。转至ICU进一步治疗。
- T 37.4℃,P 112次/分,R 31次/分,BP 140/86 mmHg,HFNC,FiO2 100%,FLOW 60 L/min,SpO2 82%。
- 神志清,呼吸窘迫;两下肺散在干/湿啰音;心律齐;双下肢不肿。
- 血气分析:pH 7.349,PaO2 56.3 mmHg,PaCO2 46.9 mmHg,SaO2 90%,P/F 56.3 mmHg。
- 气管插管接呼吸机辅助通气,AC模式,PC 20 cmH2O,PEEP 8 cmH2O,PIP 35 cmH2O,驱动压22 cmH2O(VT 6 ml/kg),SpO2 87%。
- 降钙素原 0.32 ng/ml;CRP 130.75mg/L。
- 血常规:WBC 21.2×109/L,NEU% 96%,LYM% 31%,PLT 371×109/L。
- 肝肾功能:ALT 47 U/L,BUN 7.0 mmol/L,Cr 68 μmol/L。
- 凝血功能:APTT 28.4 s,FIB 8.65 g/L,PT 14.8 s,D-二聚体 5.12 mg/L。
- 纤支镜检查所见:左右各叶段支气管开口正常,气道黏膜未见明显异常,气道内少量白色稀薄痰液,予以吸尽后右肺中叶开口予以生理盐水灌洗后,灌洗液送检mNGS。
尝试肺复张治疗、俯卧位通气,治疗效果欠佳。P/F<60 mmHg,入室6 h,先后尝试HFNC,有创通气失败。后行ECMO治疗。
- BALF DNA、BALF RNA、血DNA检测均为阴性。
- 重症超声:各房室腔大小基本正常,左右心比例约1:0.6,左心收缩功能正常,室壁运动分析未见明显异常,下腔静脉直径约2.0 cm,呼吸变异度约20%。
- WBC、NEU%、CRP高, PCT不高, LYM低。
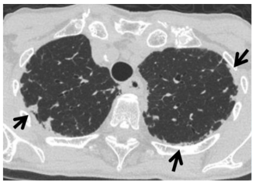
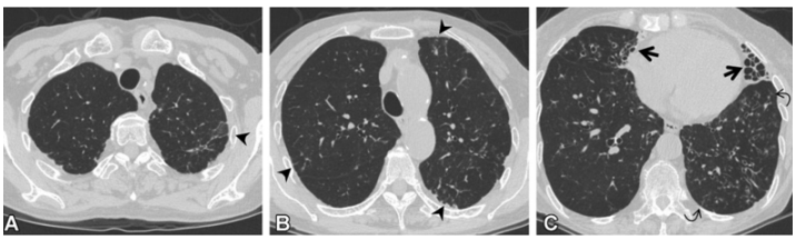
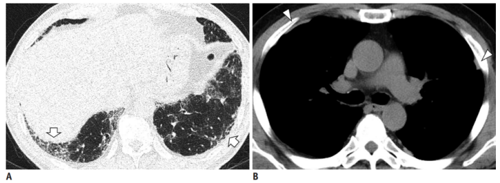
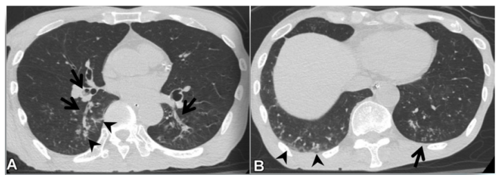
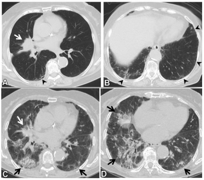
(1)感染性疾病:病毒性?细菌性?真菌?非典型病原体?吸入性肺炎?(2)非感染性疾病:心衰?急性肺栓塞?自身免疫性疾病?麻醉/手术相关肺损伤?急性间质性肺炎?回顾分析患者入院时胸部CT: 双肺靠近外周近胸膜处有轻微细小间质样改变(图4)。诊断:急性间质性肺炎;Ⅰ型呼吸衰竭;左肺下叶部分切除术后;高血压病。ECMO支持;呼吸机支持;甲泼尼松80 mg q12h,尼达尼布;镇静镇痛;抗感染;营养支持。ECMO第6天, 术后第18天, 肺部病变进一步加重(图5)。血气分析: pH 7.543, PaO2 154 mmHg, PaCO2 33.2 mmHg(ECMO, FiO2 100%, MV FiO2 60%)。术后第26天复查胸部CT未见改善。患者最终死亡。笔者团队也曾接诊过一例早期肺癌患者,2013年和2014年随访肺部结节均无明显变化。2015年胸部手术后2天,两肺变白(图6)。当时医生警惕性非常高,立刻行胸部CT检查并予相应治疗,患者最终存活。2022年RadioGraphics 杂志报道一例85岁女性腺癌患者奥希替尼治疗5个月后。图7-A和B为治疗前胸部CT图像,可见右肺中叶有肿块(A中箭头)。胸膜下区域磨玻璃改变和网状结构(箭头)提示存在间质性肺异常(Interstitial Lung Abnormalities,ILA)。治疗5个月后的轴位CT图像显示肿块(C中白色箭头)、弥漫性磨玻璃改变和合并症(黑色箭头)。图源:Radiographics, 2022, 42(7):1925-1939.另一例66岁右上肺鳞癌患者,术前CT显示肿块(图8-A中箭头)位于肺右上叶。轻度磨玻璃改变(箭头),提示ILA,见于胸膜下区域。图8-C和D为术后CT,显示弥漫性磨玻璃样改变和实变(箭头),牵引性支气管扩张症(图8-C中箭头),也可见胸腔积液(图8-D中箭头)。图源:Radiographics, 2022, 42(7):1925-1939.
上述患者都有一个共同特点,即存在ILA。
首先需要明确的是,间质性肺异常(interstitial lung abnormalities,ILA)不是独立的疾病实体,而是一种现象,其与间质性肺疾病(interstitial lung diseases,ILD)不同。ILA是一种通过胸部CT偶然发现的非重力依赖性的异常改变,典型的胸部CT表现包括:磨玻璃影或网状改变、肺结构扭曲、牵拉性支气管扩张、蜂窝样改变、非气肿性囊性变,等(图9)。病变至少涉及5%的肺区域,上、中、下肺区域由主动脉弓下缘和右下肺静脉界定。需要强调的是,ILA均为无症状,非可疑ILD患者。结缔组织病(connective tissue disease,CTD)以及家族性ILD等高危人群筛查的临床前异常、临床已知ILD患者发现的CT异常不属于ILA。
图源:Radiology, 2021, 301(1):19-34.ILA的分型:①非胸膜下,非纤维化(non-subpleural):磨玻璃影、网格,但无明显胸膜下分布;②胸膜下,非纤维化(subpleural non-fibrotic):磨玻璃影、网格,具有明显胸膜下分布特征,但无纤维化证据;③胸膜下纤维化(subpleural fibrotic):牵拉支扩、结构破坏和蜂窝,提示局部肺纤维化(图10)。临床中也要注意鉴别诊断,胸部CT易误诊为ILA的情况包括:小叶中心结节,重力依赖性异常和吸气不足,骨赘相关病变,尖帽征和胸膜肺实质弹力纤维增生症(PPFE)样病变,误吸,感染或炎症后改变,确诊的ILD肺炎、CTD-ILD、血管炎或肉芽肿相关性ILD、过敏性肺炎、职业性粉尘吸入、结节病、肺朗格-汉斯细胞组织细胞增多症、药物相关性肺炎。(1)小叶中心结节:是吸烟相关呼吸性细支气管炎的典型表现,通常不进展,并且不引起纤维化(图11)。(2)重力依赖性异常:图12所示为一例72岁类风湿关节炎男性患者的胸部CT,仰卧位CT示胸膜下肺区域的磨玻璃样异常,俯卧位CT示胸膜下区域磨玻璃异常已消失,可见右肺中叶(箭头)处磨玻璃改变,为一过性肺不张。图源:Radiographics, 2022, 42(7):1925-1939.(3)吸气不足:图13所示为一例87岁女性患者,A、B示胸膜下和肺中央区域磨玻璃样异常(箭头)。气管膜部前凸(A箭头)和血管的弯曲(圆圈)提示进行胸部CT检查时吸气不足。图C、D为随访CT,可见磨玻璃样异常消失,气管呈正常圆形(C箭头)。弯曲血管(圆)消失,与A和B相比,肺容量明显改善。图源:Radiographics, 2022, 42(7):1925-1939.(4)脊柱旁局灶纤维化:骨赘引起邻近肺组织的局灶性纤维化可以引起胸膜下肺泡间隙的慢性塌陷和纤维化(图14)。图源:Korean J Radiol, 2021, 22(3):454-463.(5)PPFE:患者胸部CT可见双上肺和胸膜下致密实变,上肺边界不规则(箭头),随访无变化(图15)。图源:Radiographics, 2022, 42(7):1925-1939.(6)误吸:误吸患者的胸部CT也会出现磨玻璃影,需与ILA相鉴别。图16所示为一例皮质基底节变性的64岁男性患者存在误吸,图A显示下肺叶双侧中央气道阻塞(箭头)和小叶中心结节(箭头),图B显示肺底水平CT示胸膜下区域和周围小叶中心结节(箭头)的磨玻璃样异常(箭头)。图源:Radiographics, 2022, 42(7):1925-1939.(7)职业相关肺纤维化:图17所示为一例诊断为有石棉肺和石棉相关的胸膜斑块患者,有长期接触石棉史;HRCT显示双侧胸膜下网状、蜂窝状和牵引性支气管扩张(箭头),纵隔窗显示双侧多发性非钙化胸膜斑块(箭头)。图17 一例诊断为有石棉肺和石棉相关的胸膜斑块患者图源:Korean J Radiol, 2021, 22(3):454-463.
(8)单侧肺或局灶异常:CT显示单侧磨玻璃样变以及牵拉性支气管扩张(图18),应积极寻找病因:慢性炎症性疾病、放射性肺损伤、循环障碍。
图源:Korean J Radiol, 2021, 22(3):454-463.(9)结缔组织疾病相关ILA:图19所示为一例71岁女性系统性硬化患者的CT影像,显示沿双侧胸膜下分布的磨玻璃样变。ILA的前提是首先排除患者存在ILD。图源:Korean J Radiol, 2021, 22(3):454-463.(10)胞内分枝杆菌感染:非结核分枝杆菌肺疾病的典型表现与感染或感染后变化有关,并非ILA。图20为一例72岁女性胞内分枝杆菌感染患者的胸部CT,A和B示上肺叶胸膜下线性密度增高和磨玻璃样异常(箭头);C图可见中叶和舌叶支气管扩张和网状改变(直箭头)以及左下叶的小叶中心结节(弯曲箭头)。图源:Radiographics, 2022, 42(7):1925-1939.2024年发表在Tuberc Respir Dis 杂志的文章显示,西方人ILA的患病率为7%~10%,而亚洲人ILA的患病率约为4%。这就提示我们一定要高度重视ILA的改变。研究发现,ILA高危因素有年龄(老年)、性别(男性)、肺功能低下(FVC%)。2022年RadioGraphics 杂志发表的文章认为,ILA实际上就是ILD的亚临床或前期阶段。同年,Eur Respir Rev 杂志发表的文章也指出,除了进行性胸膜下纤维化型ILA与特发性肺间质纤维化(IPF)之间存在明显影像学相似性外,它们还有其他几个共同特征,包括流行病学特征和危险因素、临床和功能特征、共同的临床关联、共同的发病机制和遗传易感因素。2023年ERJ Open Res 杂志发表的研究提示我们,ILA可能是进行性纤维化性ILD的亚临床期。ERJ Open Res 2023; 9: 00502-2023 [DOI: 10.1183/23120541.00502-2023].ILA快速进展的高危因素包括以下:①临床因素:吸烟,吸入其他有害或刺激物,药物(化疗,免疫检查点抑制剂),放疗,胸部手术,肺功能参数在正常值低限。②麻醉相关高危因素:全身麻醉(肺弹性回缩力增加、呼吸肌活动能力改变、小气道关闭导致的气体陷闭、膈肌抬高等因素导致功能残气量下降),大VT和/或高气道压(肺气压伤、容积伤和生物伤),吸入高浓度氧气(影响肺表面活性物质功能、肺不张),术中液体超负荷,术中输血。③手术相关高危因素:手术部位(非心脏手术中,胸部及上腹部,特别是胸腹联合手术术后肺部并发症风险较大),手术方式(肺切除术中切除肺组织越多,肺功能损伤越大),手术时间(手术时间>3 h,肺部并发症风险明显增高),手术操作(术中对肺组织的挤压和牵拉;纵隔淋巴结清扫可能损伤迷走神经、喉返神经和膈神经,诱发支气管痉挛,影响肺的通气和换气功能)。④影像学因素:基底部和外周为主要表现的非纤维化性ILA;基底部和外周为主要表现的纤维化性ILA但没有蜂窝样改变(“伴可能UIP类型的ILA”);基底部和外周为主要表现的纤维化性ILA伴蜂窝样改变(“伴UIP类型的ILA”)。图21-AB所示为ILA呈非胸膜下分布,通常不进展且无死亡率增加;图21-D为纤维性ILA随访5年,纤维化进展和致死率增加。循证医学证据已经明确:肺癌术后合并症,IPF>ILA>对照组;肺癌术后5年生存率,对照组>ILA>IPF。研究发现,ILA显著增加了总体死亡风险、肺癌相关死亡风险以及呼吸道疾病相关死亡风险,同时还增加了心血管疾病相关死亡风险。也有研究表明,ILA显著增加2级以上放射性肺炎的累计发生率,也增加了肿瘤放射性肺炎的发生风险;此外,与没有ILA的癌症患者相比,患有ILA的癌症患者罹患免疫检查点抑制剂相关间质性肺病的风险会更高。因此,ILA辨识的意义就是将我们对IPF的认识提前到亚临床或早期阶段。那么,是否出现ILA就要立刻治疗?我们可以先观察,但一定要进行严密监测。
对于胸部手术相关性肺损伤的预防和治疗,做到以下:①术前评估,需做好肺间质疾病的排查和评估,避免遗漏病史;②早期诊断是关键。术后早期出现难以解释的呼吸衰竭,应及时与急性肺动脉栓塞、心功能不全、急性肺损伤、重症肺炎相鉴别;③术后一旦怀疑IPF急性加重,首选HRCT;④激素为核心治疗。激素有助于减轻肺泡水肿、改善肺泡通透性,但目前对激素的疗效、用量和疗程仍有争议。笔者的用药经验是0.75~1.0 mg/kg,疗程为7~10 d,然后逐渐减量。如果单纯采取抗感染治疗,患者肺纤维化程度很可能越来越严重。注意要早期用药。
对于ILA,建议先观察,不要看到“白肺”就认为是感染!图22所示亚临床ILD患者的管理流程仅供参考。
图22 亚临床ILD患者的管理流程
随着HRCT的普及, ILA的检出日益增多, 它不是独立的疾病实体, 代表了不同类型ILD的亚临床阶段。ILA的影像类型或特征可能有助于预测疾病进展和死亡, 胸膜下纤维化型ILA进展风险最大、死亡风险高; 需积极排查ILD的潜在高危因素, 进行适当的临床和影像学随访。ILA患者在各种治疗过程中(尤其是胸部手术后),如出现呼吸衰竭,须高度关注急性间质性肺炎的可能。
[1] Hata A, Hino T, Yanagawa M, et al. Interstitial Lung Abnormalities at CT: Subtypes, Clinical Significance, and Associations with Lung Cancer[J]. Radiographics, 2022, 42(7):1925-1939.[2] Hata A, Schiebler ML, Lynch DA, et al. Interstitial Lung Abnormalities: State of the Art[J]. Radiology, 2021, 301(1):19-34.[3] Tzilas V, Bouros D. Interstitial Lung Abnormalities: A Word of Caution[J]. Chest, 2019, 156(6):1037-1038. [4] Lynch DA. Interstitial Lung Abnormality Incidentally Detected on CT: An Important Prognostic Indicator[J]. Chest, 2021, 159(1):5-6. [5] Hatabu H, Hunninghake GM, Richeldi L, et al. Interstitial lung abnormalities detected incidentally on CT: a Position Paper from the Fleischner Society[J]. Lancet Respir Med, 2020, 8(7):726-737. [6] Chae KJ, Jin GY, Goo JM, et al. Interstitial Lung Abnormalities: What Radiologists Should Know[J]. Korean J Radiol, 2021, 22(3):454-463. [7] Jin GY. Interstitial Lung Abnormality in Asian Population[J]. Tuberc Respir Dis (Seoul), 2024, 87(2):134-144. [8] Grant-Orser A, Min B, Elmrayed S, et al. Prevalence, Risk Factors, and Outcomes of Adult Interstitial Lung Abnormalities: A Systematic Review and Meta-Analysis[J]. Am J Respir Crit Care Med, 2023, 208(6):695-708. [9] Tomassetti S, Poletti V, Ravaglia C, et al. Incidental discovery of interstitial lung disease: diagnostic approach, surveillance and perspectives[J]. Eur Respir Rev, 2022, 31(164):210206. [10] Patel AS. Interstitial lung abnormalities: do symptoms matter?[J]. ERJ Open Res, 2023, 9(5):00502-2023. [11] 王天佑,胸外科围手术期肺保护中国专家共识(2019版)专家组, 中国医学基金会胸外科专业委员会. 胸外科围手术期肺保护中国专家共识(2019版)[J]. 中国胸心血管外科临床杂志, 2019, 26(9):835-842. [12] Brixey AG, Oh AS, Alsamarraie A, et al. Pictorial Review of Fibrotic Interstitial Lung Disease on High-Resolution CT Scan and Updated Classification[J]. Chest, 2024, 165(4):908-923. [13] Im Y, Chung MP, Lee KS, et al. Impact of interstitial lung abnormalities on postoperative pulmonary complications and survival of lung cancer[J]. Thorax, 2023, 78(2):183-190. [14] Seok J, Park S, Yoon EC, et al. Clinical outcomes of interstitial lung abnormalities: a systematic review and meta-analysis[J]. Sci Rep, 2024, 14(1):7330. [15] Ito M, Katano T, Okada H, et al. Subpleural fibrotic interstitial lung abnormalities are implicated in non-small cell lung cancer radiotherapy outcomes[J]. Radiol Oncol, 2023, 57(2):229-238.[16] Hunninghake GM. Interstitial lung abnormalities: erecting fences in the path towards advanced pulmonary fibrosis[J]. Thorax, 2019, 74(5):506-511.[17] 马超, 黄川, 田文鑫. 老年患者胸外科手术后急性间质性肺炎5例并文献复习[J]. 中华老年医学杂志, 2022, 41(5):574-579. [18] 孙蕾, 邹如意, 苗立云. 亚临床间质性肺疾病的临床识别[J]. 中华结核和呼吸杂志, 2022, 45(12):1276-1280. 
东南大学医学院南京胸科医院 主任医师、教授;专业方向:呼吸危重症、肺部感染、呼吸系统疑难疾病诊治。中国医师协会呼吸医师分会危重症专业委员会委员,中国老年医学学会呼吸病学分会常委,江苏省医学会呼吸病学分会副主任委员(第7~10届),江苏省医学会呼吸病学分会呼吸危重症学组组长,江苏省医师协会呼吸医师分会呼吸危重症学组组长;《中国呼吸与危重监护杂志》编委,Thorax 中文版编委。