登录方式

方式一:
PC端网页:www.rccrc.cn
输入账号密码登录,可将此网址收藏并保存密码方便下次登录

方式二:
手机端网页:www.rccrc.cn
输入账号密码登录,可将此网址添加至手机桌面并保存密码方便下次登录

方式三:
【重症肺言】微信公众号
输入账号密码登录

注:账号具有唯一性,即同一个账号不能在两个地方同时登录。

登录
方式

为重症救治赋能

为患者康复加速

当前位置:首页 重症实战 病例集锦

一例肺部肿块的诊断、治疗和转归

孙忠民 西安交通大学第一附属医院 发布于2024-11-04 浏览 1893 收藏

作者:孙忠民

单位:西安交通大学第一附属医院呼吸与危重症医学科


图片
一、病情介绍


一般情况

男性,54岁,职员。主诉:咳嗽、咳痰1个月,咯血2天。入院日期:2023年10月19日。

现病史

1月前无明显原因咳嗽,咳白色黏痰,无发热,无胸闷、气短,未在意。2周前咳嗽、咳痰加重,自服阿莫西林、甘草片及抗病毒冲剂,症状稍减轻,服药1周后停药。2天前咳嗽加重,伴痰中带血,鲜红色,约10 ml,来我院就诊,门诊行胸部CT检查,提示肺部阴影,收住院。

既往史及个人史

过敏性鼻炎,反流性食道炎,干眼症。不吸烟、不饮酒。

实验室检查

  • 血常规、尿常规、粪常规、血生化检查指标均无明显异常。

  • 丙肝抗体筛查阳性,提示HCV现症或既往感染。

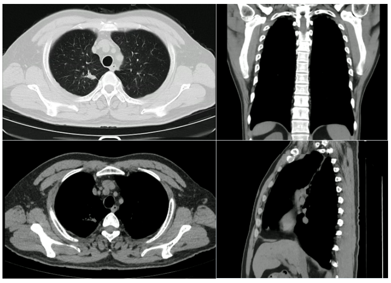
  • 门诊胸部CT(2023年10月19日):右上肺尖段可见不规则肿块影(图1)

图片
图1  患者胸部CT2023年10月19日

  • 入院第2天(2023年10月20日)胸部增强CT如图2所示,右肺上叶尖段病灶内可见少量强化。

图片
2   患者胸部增强CT2023年10月20
诊断

右肺癌?继发性肺结核?机化性肺炎?

图片
二、进一步诊疗经过


实验室检查

  • 肿瘤标志物:癌胚抗原、细胞角蛋白19片段、神经元特异性烯醇化酶检测均为阴性。

  • G试验、GM试验均阴性。红细胞沉降率22 mm/h(↑)。

  • 呼吸道病原体三项均阴性;血培养结果阴性;结核分枝杆菌抗体IgG阴性。

  • 结核感染T-SPOT检查阳性(需综合分析)。

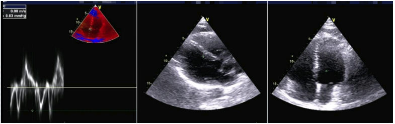
心脏彩超:无任何阳性发现(图3)

图片

3  患者心脏彩超

电子支气管镜及超声镜检查
显微镜下未查见细菌;抗酸染色阴性;利福平耐药检测阴性。隆突无增宽,右上叶支气管黏膜可见纵行皱襞,管腔狭窄,活检钳无法进入(图4)。取黏膜活检以及刷检和其他检查,并行超声支气管镜检查。

图片

4  气管镜下所见
细胞病理学诊断
右肺上叶刷片、灌洗液涂片、10R、4组淋巴结针吸液涂片未见恶性细胞;可见柱状细胞、尘细胞、淋巴细胞、中性粒细胞(图5左)。病理诊断:10R、4R组淋巴结针吸活检见纤维素性渗出物内见少许柱状上皮、淋巴细胞及软骨组织(图5右)
图片
5  病理学结果
肺穿刺活检病理
行CT引导下经皮肺活检(右肺穿刺活检):肺组织慢性炎伴多量嗜酸性粒细胞浸润,并局限性肺泡腔内纤维素性渗出及间质纤维组织增生和机化。
BALF mNGS
BALF mNGS回报:惠普尔养障体,序列数19756,基因组覆盖度66.17%。

惠普尔养障体是一种革兰氏阳性菌,在污水等环境中广泛存在。有关惠普尔养障体感染相关文献并不多。2021年,上海长海医院许硕贵教授团队报道了一例年轻女性感染惠普尔养障体合并鲍曼不动杆菌所致重症肺炎的病例,文章发表在Front Public Health 杂志。2022年J Clin Microbiol 杂志也发表了一篇关于惠普尔养障体感染导致神经系统症状的文章。

图片

图源:J Clin Microbiol, 2022, 60(8):e0147821. doi: 10.1128/jcm.01478-21.

惠普尔病(Whipple’s disease, WD)因惠普尔养障体感染所致,由乔治·惠普尔(George H.Whipple)在1907年首次提出。1991年首次通过PCR扩增和核苷酸测序技术在典型惠普尔病患者的小肠活检标本中发现该菌的16S核糖体DNA。随后,越来越多的研究利用PCR技术在各种标本中检测到惠普尔养障体的DNA,包括粪便、唾液、尿液、血液、心包液、脑脊液、关节液和支气管肺泡灌洗液(bronchoalveolar lavage fluid,BALF)等。

惠普尔病是一种罕见的慢性多系统疾病,早期阶段可出现发热、关节炎和关节痛等感染症状,继而出现特征性的腹泻、体重下降、肝脾大等消化系统症状,后期可进一步发展为心肌炎、心包炎和神经系统炎症等,一旦起病可累及全身多器官和系统。由此可见,惠普尔病临床表现多样且无特异性,平均诊断时间为6年。

追问本例患者病史:此患者曾有腹泻和关节痛,曾感染过乙肝病毒,但是否与此次惠普尔养障体感染有关联,现有的资料及检查结果均无法证实。

2022年中山大学附属第五医院刘晶教授团队在Front Cell Infect Microbiol 杂志发表了一项有关惠普尔养障体的横断面研究结果,该研究回顾性分析了2019年3月至2022年4月在中国珠海检测的1725份BALF样本,这些样本用于mNGS检测,其中有70例患者的70份BALF标本(4.0%)惠普尔养障体检测呈阳性。该研究显示,慢性肝病是最常见的伴随疾病,其次是糖尿病。非免疫功能低下患者占大多数;少数患者为免疫缺陷或免疫抑制状态,分别是由于服用药物,包括环孢素、糖皮质激素,HIV感染、肺外肿瘤以及实体器官移植等。该研究中有24例(34.3%)患者最终诊断为结核病,15例(21.4%)诊断为肺部肿瘤,15例(21.4%)患有肺炎。

与惠普尔养障体共同检出的最常见的细菌是结核分枝杆菌复合体,共同检出最常见的真菌是白色念珠菌,其次是耶氏肺孢子菌。EBV是共同检测出的最常见病毒。
本例患者BALF mNGS除了检出惠普尔养障体外,还检出了结核分枝杆菌复合群,序列数为380。

结核分枝杆菌复合群包括8个亚种:牛分枝杆菌(M.bovis)、山羊分枝杆菌(M.caprae)、非洲结核分枝杆菌(M.Africanum)、田鼠分枝杆菌(M.microti)、海豹分枝杆菌(M.pinnipeddi)、猫鼹分枝杆菌(M.mungi)、M.orygis、坎那分枝杆菌(M.canetti)。

本例患者需不需要抗结核治疗?
患者2015年12月7日在本院就诊时的胸部CT显示两上肺以及左肺胸膜下均有病变(图6)。追问病史。患者曾接受抗结核治疗一年半。2017年6月13日复查胸部CT显示两上肺病灶基本消失(图6),说明患者曾经感染过结核,并且抗结核治疗有效。
图片
6  患者胸部CT比较
目前抗惠普尔养障体药物治疗方案倾向于选择能够跨越血脑屏障的抗菌药物,如甲氧苄啶/磺胺甲噁唑(SMZco)。有报告静脉注射美罗培南(1 g, tid)或头孢曲松钠(2 g, qd)持续14 d,然后口服甲氧苄啶/磺胺甲噁唑(SMZco)(160~800 mg, bid)持续1年的方案,临床治愈率高。另一项前瞻性非随机对照研究对上述方案进行改良,予静脉注射头孢曲松(2 g, qd)持续14 d,口服同等剂量的甲氧苄啶/磺胺甲噁唑(SMZco)3个月,治疗效果与上述方案无明显差异。
本例患者治疗方案:复方新诺明0.96 g(2片)qid
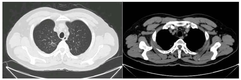
2023年12月11日(服药6周后)复查胸部CT:上肺肿块明显消退,仅残存一些小的纤维灶,额状面和矢状面变化明显(图7)
图片
7  患者胸部CT(2023年12月11日)
继续服药3个月,2024年3月11日再次复查胸部CT:病灶吸收良好,纵隔窗基本看不到病变(图8)
图片
8  患者胸部CT(2024年3月11日)

后续该患者服用复方新诺明0.96 g bid 8周。目前患者无症状,计划2025年3月复查胸部CT。


   参考文献    

上下滑动阅览

[1] Wang S, Xia D, Wu J, et al. Severe Pneumonia Caused by Infection With Tropheryma whipplei Complicated With Acinetobacter baumannii Infection: A Case Report Involving a Young Woman[J]. Front Public Health, 2021, 9:729595. 
[2] Hyche MH, Kent P, Schammel CMG, et al. The Brief Case: Tropheryma whipplei Infection Resulting in Neurological Symptoms[J]. J Clin Microbiol, 2022, 60(8):e0147821. 
[3] Lin M, Wang K, Qiu L, et al. Tropheryma whipplei detection by metagenomic next-generation sequencing in bronchoalveolar lavage fluid: A cross-sectional study[J]. Front Cell Infect Microbiol, 2022, 12:961297. 


    作者介绍    

图片

孙忠民

西安交通大学第一附属医院呼吸与危重症医学科,主任医师,硕士研究生导师。中国医师协会呼吸医师分会呼吸危重症专业工作委员会委员,陕西省抗癌协会肺癌专业委员会副主任委员,陕西省医学会呼吸结核分会常委、呼吸危重症学组组长,陕西省医学会重症医学分会常委,陕西省康复医学会呼吸康复专业委员会副主任委员,美国胸科学会(ATS)会员,欧洲呼吸学会(ERS)会员;《中国呼吸与危重监护杂志》编委。


全部评论 0
Copyright©2020-2026 北京医麦斯科技有限公司 版权所有 京ICP备2020034400号-1 京公网安备11010502043983号