登录方式

方式一:
PC端网页:www.rccrc.cn
输入账号密码登录,可将此网址收藏并保存密码方便下次登录

方式二:
手机端网页:www.rccrc.cn
输入账号密码登录,可将此网址添加至手机桌面并保存密码方便下次登录

方式三:
【重症肺言】微信公众号
输入账号密码登录

注:账号具有唯一性,即同一个账号不能在两个地方同时登录。

登录
方式

为重症救治赋能

为患者康复加速

当前位置:首页 重症实战 病例集锦

重症侵袭性肺部真菌感染一例

崔恩海,华锋 浙江大学湖州医院 发布于2024-02-28 浏览 4980 收藏

作者:崔恩海,华锋

单位:浙江大学湖州医院

01

  临床资料

患者男性,51岁,因“咳嗽发热伴进行性胸闷气急1周”入院,缘于1周前无明显诱因下出现咳嗽,阵发性,程度不剧,咳痰,主要为黄脓痰,咳嗽无昼夜明显区别,无加重及缓解因素,有发热,体温最高达39.8℃,发热前感畏寒寒战,伴胸闷气促,休息可稍缓解,无胸痛咯血、无心慌心悸、无盗汗等不适,于当地县医院就诊,查胸部CT示:左肺感染性病变,左上肺可疑结节影,两侧胸膜改变。予抗感染、补液等治疗(具体用药不详)数天,上述症状无好转,近2天来胸闷加剧,需端坐位呼吸,无粉红色泡沫痰,仍有发热。为求进一步诊治来本院,急诊拟“肺部感染”收入院。自起病来,神志清,精神好,胃纳、夜眠欠佳,大小便无殊,体重无明显减轻。既往有高血压病史10余年,最高血压不详,不规则口服“替米沙坦”片,控制可。否认吸烟与嗜酒等不良习惯。无疫水、疫区及家禽密切接触史。家族中无传染病及遗传病病史。

02

  诊治经过

院查体
T 38.9℃,HR 117次/min,R 126次/min,BP 105/64 mmHg,神清,精神软,呼吸急促,口唇稍发绀,颈软,气管位置居中,甲状腺无肿大,浅表淋巴结未及,左下肺叩诊略呈实音,听诊呼吸音粗及散在干/湿啰音,心律齐,各瓣膜听诊区未及杂音,腹软,无压痛、反跳痛,肝脾肋下未及肿大,双肾区无叩痛,双下肢不肿,神经系统检查阴性。
辅助检查
入院后查CRP 131 mg/L。血常规:血小板68.0×109/L,血红蛋白132.0 g/L,红细胞4.08×109/L,中性粒细胞百分比90.2%,白细胞计数4.2×109/L。葡萄14.99 mmol/L。糖化血红蛋白5.9%。氢化可的松、IgE、ANCA、自身免疫全套等检查均未见明显异常。
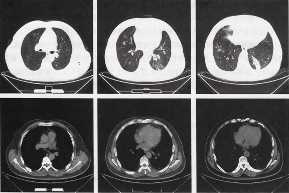
胸部CTPA1:左上肺后段及左下肺炎症伴左侧少量胸腔积液,建议复查;肺动脉CTA未见明显异常;附见肝内低密度影,囊肿?请结合其他检查。
图片
图1  患者入院后胸部CT
最终诊断

社区获得性肺炎(重症),Ⅰ型呼吸衰竭,侵袭性肺部真菌感染考虑,左侧胸腔积液,糖耐量异常。

03

 治疗及转归

入院后予亚胺培南西司他丁钠1.0 g q8h+利奈唑胺0.6 g bid抗感染治疗5 d,口服奥司他韦0.15 g bid抗病毒治疗6 d,甲泼尼龙120 mg/d冲击治疗3 d,后减量至40 mg/d维持,辅以丙种球蛋白增强免疫、胰岛素控制血糖等治疗。
入院后第2天患者体温降至正常,患者仍觉胸闷,呈端坐呼吸,卧位或半卧位胸闷加重。入院后第3天查胸片示左下肺炎症,左侧胸膜反应。入院后第4天床边支气管镜检查示:双侧各段管腔通畅,黏膜充血,大量脓性分泌物,未见明显新生物及出血。BALF示找到菌丝。停用亚胺培南,利奈唑胺降级为头孢哌酮舒巴坦2 g bid,同时联合卡泊芬净50 mg qd抗真菌治疗。
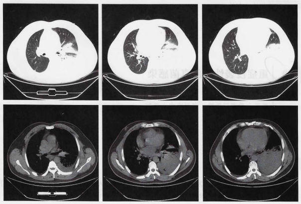
入院后第5天复查胸部CT示左下肺炎症及左侧胸腔积液较前好转。入院后第6天检验科口头报告BALF培养提示曲霉。患者仍觉胸闷气促明显,不能平卧,要求转上级医院继续治疗,遂转至浙江省第一医院,细菌及真菌培养发现大量烟曲霉及阴沟肠杆菌。予伏立康唑抗真菌治疗1个半月左右后至我院复查,自觉胸闷气急等症状较前明显改善,无发热,无咳嗽咳痰,无咯血等不适。复查胸部CT提示肺部阴影较前大部分吸收(图2)
图片

图2  治疗后复查胸部CT

04

    评    述

侵袭性肺曲霉菌病(invasive pulmonary aspergillosis,IPA)是由曲霉侵入肺组织所引起的深部真菌性疾病,表现为肺实质的侵袭性及坏死性改变。IPA主要发生于各种类型的免疫抑制人群,约占侵袭性曲菌病的80%以上。其他IPA相关危险因素包括放化疗、吸入或全身应用激素、低蛋白血症、抗生素治疗史(超过2周)、粒细胞缺乏和慢性肉芽肿疾病。我们报道的这例患者既往健康而没有明显的危险因素。近年来,IPA在非免疫抑制患者中的发生率越来越高。超过50%的免疫正常的IPA患者存在基础疾病,如结核、糖尿病、慢阻肺、支气管扩张、肺隔离症、实体肿瘤或慢性肝病。有报道显示,IPA与支气管树既往定植及侵袭导致上皮细胞受损有关。另外,吸烟和复发的支气管炎导致的肺上皮细胞受损,这些因素导致上皮受损易感染霉菌。有越来越多的证据显示慢阻肺增加曲霉的易感性。但此例患者没有明显证据存在这两种情况。
IPA患者的肺部损害大多是局限性的,慢性病程,很少为暴发性及致命性。而此例患者表现为进行性呼吸困难,致死性肺炎,相关报道很少。
IPA的诊断仍具有挑战性,所以必须保持高度警惕。典型的影像表现为空气新月征及晕轮征,其他表现包括单发或多发的结节伴或不伴空洞、支气管肺炎征象、间质改变等,而主要表现为单侧大面积实变的病例报道很少。本文报道患者具有喘息、呼吸困难及严重呼吸功能不全,伴有CT新发大片渗出,起始并不诊断为IPA而考虑ARDS及社区获得性肺炎。
IPA临床症状非特异性,影像表现也不典型,故IPA诊断十分困难,误诊率较高。通过胸腔镜或开胸的肺组织病理学检查是诊断IPA的金标准。我们在无法进行肺活检的情况下,进行床边支气管镜检查,BALF培养为烟曲霉,BALF GM试验结果为6.82,拟诊IPA。IPA常合并气道内曲霉感染,气道内曲霉感染的支气管镜下表现为:支气管扩张伴痰栓形成、腔内团块样阻塞、支气管结石、气道狭窄伴肉芽形成、息肉样改变、支气管壁侵蚀等。在本病例中,影像虽然提示支气管可能受累,但支气管镜检查未发现明显的阻塞、狭窄或黏膜糜烂。通过抢先抗曲霉菌治疗,患者症状及胸部影像明显改善,故最终支持IPA的诊断。

该病例提示IPA也可以表现为急性呼吸衰竭,单发的大面积肺实变为IPA非典型表现。所以,急性、危重的肺部感染也需要考虑肺部曲霉感染的可能性。床边支气管镜检查联合BALF GM试验有助于早期识别和干预。

全部评论 0
Copyright©2020-2026 北京医麦斯科技有限公司 版权所有 京ICP备2020034400号-1 京公网安备11010502043983号