登录方式

方式一:
PC端网页:www.rccrc.cn
输入账号密码登录,可将此网址收藏并保存密码方便下次登录

方式二:
手机端网页:www.rccrc.cn
输入账号密码登录,可将此网址添加至手机桌面并保存密码方便下次登录

方式三:
【重症肺言】微信公众号
输入账号密码登录

注:账号具有唯一性,即同一个账号不能在两个地方同时登录。

登录
方式

为重症救治赋能

为患者康复加速

当前位置:首页 重症实战 病例集锦

侵袭性气管支气管曲霉病

吴小静,王璐,李敏 中日友好医院呼吸与危重症医学科 发布于2023-07-20 浏览 3036 收藏

图片

作者:吴小静,王璐,李敏

图片

单位:中日友好医院呼吸与危重症医学科


曲霉是免疫抑制患者(HIV感染、器官移植受体、长期使用激素、恶性肿瘤、糖尿病、酗酒等)中较为常见的条件致病病原之一,根据感染部位可以将其分为曲霉相关性上呼吸道疾病、气管支气管曲霉病、曲霉相关肺组织疾病。上气道和肺部病变比较常见,气管和支气管为唯一或主要受累部位的情况比较少见。现将我科治疗的1例侵袭性气管支气管曲霉病报道如下。


图片

一、临床资料

一般情况

患者男性,67岁,主因“咳嗽、气喘伴发热8 d,加重2 d”入院。

现病史

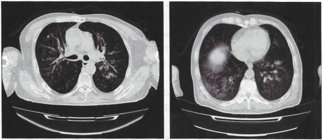
患者入院8 d前清理老宅后出现咳嗽、咳痰,为黄色黏痰,偶带血丝,伴气喘、发热,最高体温38.5℃;无流涕、胸痛,无心悸。于当地医院就诊,查血常规:WBC 5.61×109/L,NEU% 83.8%;PCT 0.3 ng/ml;CRP 158 mg/L;胸部CT:双肺支气管管壁增厚,局部管腔狭窄,远端肺组织可见结节斑片状高密度及磨玻璃样改变,双下肺为著(图1)。予抗感染、平喘、纠正电解质紊乱等对症处理(具体用药不详),咳嗽、呼吸困难进一步加重。入院2 d前至我院急诊科就诊,查血气分析(储氧面罩15 L/min):pH 7.304,PaCO2 33.9 mmHg,PaO2 169 mmHg,HCO316.3 mmol/L,SaO98%,cLac 1.9 mmol/L。血常规:WBC 11.43×109/L,NEU% 89.6%;PCT 2.19 ng/ml。呼吸困难进一步加重,为进一步诊治收入我科。

图片

图1  入院前胸部 CT

注:双肺支气管管壁增厚,局部管腔狭窄,可见树芽征,远端肺组织可见结节斑片状高密度及磨玻璃样改变,双下肺为著。

既往史及其他

患者既往患高血压40余年,不规律服用降压药物,血压控制不佳。2型糖尿病24年,口服磺胺类降糖药,血糖控制不佳。冠心病20余年,4年前行冠状动脉搭桥术,发病前心功能尚可,可爬3~4层楼。个人史及家族史均无特殊。

院查体

T 37.0℃,RR 32次/min,HR 128次/min,BP 130/85 mmHg。口唇发绀,端坐呼吸,可见三凹征;双肺呼吸音弱,可闻及散在哮鸣音;心律不齐,可闻及早搏,各瓣膜听诊区未闻及病理性杂音;腹软,无压痛及反跳痛;双下肢未见水肿。

图片

二、诊疗经过
入科后立即给予无创呼吸机辅助通气(S/T模式:IPAP 12 cmH2O,EPAP 5 cmH2O,RR 12次/min,FiO2 45%),复查血气分析:pH 7.202,PaCO2 47 mmHg,PaO2 142 mmHg,HCO3- 16.6 mmol/L,BE -8.9 mmol/L,SaO97.6%,cLac 3.3 mmol/L。
因进行性加重的酸中毒及呼吸急促,行气管插管。呼吸机辅助通气(PC模式,PC 14 cmH2O,PEEP 8 cmH2O,RR 16次/min,FiO2 70%),血气分析:pH 7.027,PaCO2 87.4 mmHg,PaO2 129 mmHg,HCO3- 15. 2 mmol/L,BE -7.6 mmo/L,SaO2 96.7%,cLac 3.8 mmol/L。血常规:WBC 11.43×109/L,NE% 87.9%;ALT 24 U/L,AST 31 U/L,Cr 119.4 μmol/L,PCT 2.19 ng/ml。
床旁支气管镜检查示:双肺各叶段支气管黏膜充血水肿,管壁多发白色膜状赘生物,触之易出血,管腔明显狭窄(图2)。予伏立康200 mg q12h+两性霉素B 10 mg qd+头孢哌酮舒巴坦3.0 g q12h抗感染,同时予补液、呼吸支持、控制血糖、营养支持等治疗。

图片

图2  入院时气管镜检查
院第2天,患者呼吸支持PC模式(PC 18 cmH2O,PEEP 4 cmH2O,RR 18 bmp,FiO2 50%)。血气分析:pH 6.94,PaCO2 120 mmHg,PaO2 65 mmHg,HCO314.5 mmol/L,BE -12.9 mmol/L,SaO2 86.6%,cLac 1.1 mmol/L。患者出现循环衰竭,去甲肾上腺素0.83 μg/(kg·min)可维持血压110/55 mmHg左右。查WBC 7.0×109/L,NEU% 80.1%;ALT 17 U/L,AST 25 U/L,Cr 210 μmol/L;PCT 11.8 ng/ml。抗生素调整为伏立康200 mg q12h+两性霉素B 35 mg qd+头孢哌酮舒巴坦3.0 g q12h+万古霉素0.5 g q12h。在加强液体复苏的同时予CRRT辅助治疗。
入院第3天,呼吸支持PC模式(PC 22 cmH2O,PEEP 6 cmH2O,RR 22 bmp,FiO2 100%)。血气分析:pH 7.25,PaCO2 92.2 mmHg,PaO2 61.2 mmHg,HCO3- 33.0 mmol/L,BE -11.9 mmol/L,SaO2 91.4%,cLac 2.3 mmol/L。去甲肾上腺素1.2 μg/(kg·min),可维持血压90/50 mmHg左右。WBC 9.91×109/L,NEU% 92.3%;ALT 15 U/L,AST 41 U/L,Cr 259.8 μmol/L,PCT 18.08 ng/ml。痰和BALF涂片均可见真菌菌丝,BALF真菌培养回报曲霉菌属。抗生素调整为伏立康唑200 mg q12h+两性霉素B(60 mg静脉滴注+10 mg雾化+10 mg气道局部用药)+亚胺培南西司他丁0.5 g q12h+万古霉素0.5 g q12h。继续CRRT辅助治疗。
入院第4天,患者呼吸循环情况进一步恶化。呼吸支持PC模式(PC 25 cmH2O,PEEP 8 cmH2O,RR 22 bmp,FiO2 100%)。血气分析:pH 7.14,PaCO2 99 mmHg,PaO35.8 mmHg,HCO3- 24.9 mmol/L,BE 1.3 mmol/L,SaO2 60.1%,cLac 4.1 mmol/L。去甲肾上腺素2.2 μg/(kg·min)可维持血压80/50 mmHg左右。WBC 21.27×109/L,NEU% 96.4%;ALT 10 U/L,AST 77 U/L,Cr 196 μmol/L,PCT 23.44 ng/ml。同时出现心电图V1~V3导联ST段背向上抬高,cTNI 14.3 ng/ml,BNP 1900 pg/ml。复查气管镜见气道内新生物较前明显减少。考虑患者原发病有所控制,但心肺功能急剧衰竭,呼吸循环均难以维持,遂行VA-ECMO辅助治疗。
ECMO运行之后,调整呼吸机PC模式,PC 20 cmH2O,PEEP 30 cmH2O,RR 14 bmp,FiO2 100%。ECMO转速3145 bmp,血流量3.2 L/min。复查血气分析:pH 7.37,PaCO2 59.4mmHg,PaO34.0 mmHg,HCO3- 31.0 mmol/L,BE 7.6 mmol/L,SaO2 75.8%,cLac 3.7 mmol/L。去甲肾上腺素0.5 μg/(kg·min),可维持血压100/50 mmHg左右。
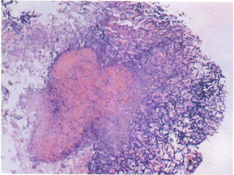
入院第5天,化验回报血GM试验11.05 pg/ml,BALF GM试验10.70 pg/ml。BALF培养:黄曲霉、烟曲霉。血培养为泛耐药鲍曼不动杆菌。气管镜下组织活检提示大量真菌孢子及菌丝(图3)。患者氧合仍难以维持,继而出现循环进一步衰竭。第5天夜间患者死亡。

图片

图3  气管镜下组织活检提示大量真菌孢子及菌丝

图片

三、讨论

1991年,Kramer首次提出气管支气管曲霉菌病的定义。根据宿主免疫状况不同可以将曲霉相关气管支气管疾病分为寄殖性曲霉菌病、过敏反应、侵袭性疾病三类。寄殖性曲霉菌病包括黏液嵌塞和阻塞性支气管曲霉菌病;过敏反应包括ABPA和支气管肉芽肿病;侵袭性气管支气管曲霉菌病(invasive tracheobronchial aspergillosis,ITBA),包括霉菌型、溃疡型和伪膜型气管支气管炎。霉菌型特点为气管或支气管炎症伴随大量黏液分泌,黏膜活检未见侵袭性证据。溃疡型特点为气管壁上存在多发溃疡或斑块状损伤。这一类型多发生在AIDS、心肺或肺移植患者。伪膜型病变主要为下呼吸道受累,脱落坏死的上皮细胞与支气管黏液形成覆盖于黏膜表面的伪膜。此类病变常发生于血液系统恶性肿瘤等严重免疫缺陷宿主。这三种类型实质上是病变范围从轻度支气管炎症到广泛伪膜性侵犯的进展过程。
既往认为ITBA是孤立存在的疾病,但大量的病例研究发现ITBA与侵袭性肺曲霉菌病(invasive pulmonary aspergillosis,IPA)相关,往往是ITBA进展成为IPA,或二者同时发生。所有IPA中,ITBA的发生率为14%~34%。在肺部曲霉感染的患者中,烟曲霉是最常见的病原菌,占所有曲霉感染的50%~60%。另外三种常见的引起人类疾病的曲霉包括黄曲霉、黑曲霉和土曲霉,它们各占10%~15%。而在气管支气管感染中,烟曲霉的优势更加明显。IPA和ITBA均可发生于严重免疫受损患者。但在存在免疫抑制的慢性疾病(如糖尿病)甚至免疫功能正常人群中,ITBA发生率更高。
ITBA患者的主要临床表现为呼吸困难、发热、咳嗽、咳痰、咯血、喘鸣、喘息,也可出现下背部疼痛、肋间痛、恶心呕吐等。影像学特点主要表现为沿气道分布的病灶:支气管管壁增厚,管腔变窄,可见树芽征;也可见小叶中心性结节,伴晕征。小叶中心性结节周围的晕征可以帮助早期诊断。严重时可因气道阻塞引起不张和实变。气管镜下可见黏渗出物、不规则黏膜水肿、管壁结构破坏、管腔狭窄、伪膜性白斑、白色结节、管壁溃疡或黏膜斑块,黄曲霉感染可见黄白色坏死物质斑块,黑曲霉感染可见黑色素沉着。
ITBA的诊断主要依靠病原学检查,因此建议对怀疑ITBA的患者留取足够的组织和液体标本,以同时进行组织病理学/细胞学和病原体培养的检查。根据2016年IDSA指南血清和BALF中的半乳甘露聚糖(GM)均可作为诊断曲霉感染的实验室指标,但对已接受抗真菌治疗或预防性治疗的患者推荐BALF,而不是血清。
确诊侵袭性曲霉感染后,首选三唑类药物治疗,两性霉素B也可作为初始治疗方案使用,部分患者可考虑使用两性霉素B雾化吸入制剂。有学者提出多烯类或唑类药物与棘白菌素类联合用药可发挥药物协同或加强作用,但该研究尚未得到确切的结论。大多数文献报道的ITBA病死率均>50%,而合并肺结构性病变的患者死亡率可高达70%~80%。
该患者有糖尿病病史和霉菌接触史,以发热、咳嗽、喘息起病,病情迅速进展,胸部CT和气管镜下均可见特征性表现,血清和BALF的GM试验结果显著升高,病原学培养和病理结果均提示曲霉菌,因此ITBA诊断明确。患者病程中持续难以纠正的二氧化碳潴留与伪膜形成、菌丝黏液阻塞气道相关。鉴于气管镜下以气道黏膜水肿为主要表现,未见明显的支气管平滑肌痉挛,因此早期未予激素干预,而是以抗真菌治疗为主。由于起病急骤、进展迅速且病情危重,且考虑糖尿病患者曲霉感染以毛霉居多,我们的初始治疗选择了大剂量广谱抗真菌药物的联合治疗,并采取多途径的给药方式。经积极的抗真菌治疗,镜下可见气道内新生物明显减少,提示抗真菌治疗有效。但由于该患者存在冠心病、冠脉搭桥病史,严重脓毒性休克及大量液体输注打击下,出现了急性前间壁心肌梗死伴心源性肺水肿。为了改善患者低氧血症及二氧化碳潴留,同时缓解心脏泵功能衰竭和液体负荷,我们选择了VA-ECMO支持治疗。但最终患者因严重的脓毒性休克死亡。
ITBA具有一定的临床和影像学特点,早期气管镜检查可帮助诊断,积极抗真菌治疗有一定效果,但整体预后较差

参考文献

[1] Krenke R, Grabczak E M. Tracheobronchial manifestations of Aspergillus infections[J]. Scientific World Jourmal, 2011, 11:2310-2329.

[2] Patel N, Saleh A, Raoof S, et al. Tracheobronchial manifestations of aspergillosis[J]. J Bronchology Interv Pulmonol, 2010, 17(1):45-53.

[3] Ohta H, Yamazaki S, Miura Y, et al. Invasive tracheobronchial aspergillosis progressing from bronchial to diffuselung parenchymal lesions[J]. Respirol Case Rep, 2016, 4(1):32-34.

[4] He H, Ding L, Li F, et al. Clinical features of invasive bronchial-pulmonary aspergillosis in critically ill patient:with chronic obstructive respiratory diseases : a prospective study[J]. Critical Care, 2011, 15(1):R5.

[5] Xu X Y, Sun H M, Zhao B L, et al. Diagnosis of airway-invasive pulmonary aspergillosis by tree-in-bud sign in animmunocompetent patient;case report and literature review[J]. J Mycol Med, 2013, 23(1):64-69.

[6] Jung I, Kim M Y, Lee H J, et al. Comparison of computed tomographic findings in pulmonary mucormycosis andinvasive pulmonary aspergillosis[J]. Clin Microbio Infect, 2015, 21(7):684.el1-8.

[7] Haranaga S, Hirai J, Karimata Y, et al. Haloed centrilobular sign: early diagnosis of airway-invasiveaspergillosis[J]. Intern Med, 2014, 53(19):2259-2260.

[8] Hachem R, Gomes MZ, El Helou G, et al. Invasive aspergillosis caused by Aspergillus terreus ; an emerging opportunistic infection with poor outcome independent of azole therapy[J]. J Antimicrob Chemother, 2014, 69(11):3148-3155

[9] Bizet J, Cooper C J, Zuckerman M J, et al. A bleeding colonic ulcer from invasive Aspergillus infection in an immunocompromised patient: a case reportz[J]. J Med Case Rep, 2014, 8:407.

[10] Karnak D, Avery R K, Gildea T R, et al. Endobronchial fungal disease: an under-recognized entity[J]. Respiration, 2007, 74(1):88-104.

[11] Patterson T F,Thompson CR 3rd, Denning D W, et al. Practice guidelines for the diagnosis and management ofaspergillosis: 2016 update by the infectious diseases cociety of America[J]. Clin Infect Dis, 2016, 63(4) :e1-e60.

声明:

本文仅用于学术内容的探讨和交流,不用于任何商业和推广,亦不作为最终的临床决策。临床实践需根据患者的具体情况选择适宜的处理措施。

全部评论 0
Copyright©2020-2026 北京医麦斯科技有限公司 版权所有 京ICP备2020034400号-1 京公网安备11010502043983号