作者:顾思超
单位:国家呼吸医学中心 中日友好医院 呼吸与危重症医学科病史资料
患者男性,41岁,自由职业(小超市经营者),身高174 cm,体重85 kg,BMI 28.05 kg/m2。入院日期:2021年12月24日。主诉:咳嗽、咳痰伴活动后气短3年,加重4天。
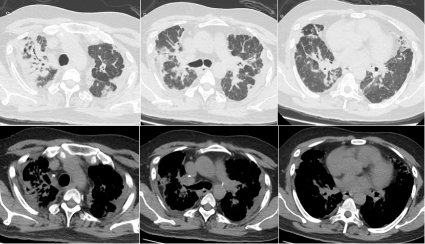
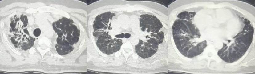
第1次住院(2018年1月8-21日):2018年1月,患者无明显诱因出现咳嗽、咳少量白痰,伴剧烈活动后气短,闻刺激性气味或冷空气咳嗽加重,于当地县医院住院。1月19日完善胸部CT,诊断为“急性支气管炎,支气管扩张”,于1月8-21日予哌拉西林他唑巴坦3.375 g qd+左氧氟沙星0.4 g qd抗感染治疗2周,症状减轻出院,仍间断咳嗽、剧烈活动后气短,冬季感冒后加重。1月19日胸部CT:双肺各叶散在分布斑片样高密度影,密度不均,边界模糊,双肺上叶病灶可见支气管充气征,双侧胸膜局限性增厚(图1)。

第2次住院(2020年10月30日-11月12日):2020年10月18日“着凉”后再次咳嗽、气短加重,伴少量白痰,伴右侧胸痛,慢走200 m感气短,重体力活时可自闻及喘鸣音。当地门诊给予“头孢哌酮他唑巴坦、左氧氟沙星”静滴抗感染12 d,效果差,再次于沧县医院住院。血常规:WBC 13.23×109/L(↑),NEU 10.65×109/L(↑),LYM 1.7×109/L,血红蛋白156 g/L,血小板491×109/L。血气分析(吸氧条件不详):pH 7.422,PaO2 66.5 mmHg(↓),PaCO2 46 mmHg(↑),HCO3- 29.9 mmol/L(↑),BE 5.4 mmol/L,Lac 2.1 mmol/L。血沉 6.6 mm/h。痰细菌培养结果为粪产碱杆菌。超声心动图:左房内径31 mm,左室内径42 mm,右房内径38 mm,右室内径36 mm,主肺动脉19 mm,射血分数(EF)56%。三尖瓣少量反流,左室舒张功能减低。10月30日胸部CT:右肺上叶支气管旁斑片影,较2018年1月19日增多,左上肺新发斑片影、结节影,双肺胸膜增厚,较前加重(图2)。
诊断为“肺炎,支气管扩张”,予抗感染治疗2周并加用甲强龙治疗(图3)。咳嗽、喘息明显减轻出院,继续口服醋酸泼尼松15 mg qd(11月13日-12月7日,24 d)。
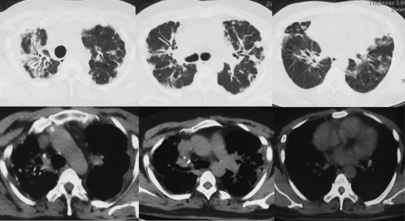
11月10日(激素治疗12 d)复查胸部CT:双肺斑片影、结节影、磨玻璃影较前吸收(图4)。
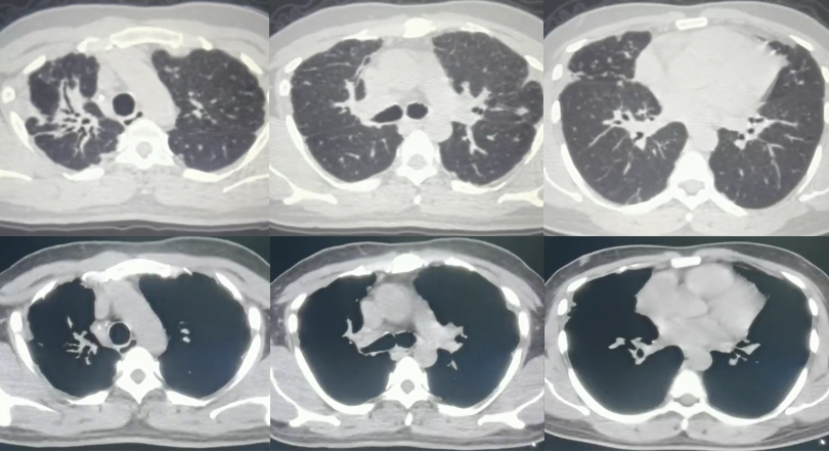
第3次住院(2020年12月7-13日):12月7日“受凉”后再次咳喘加重,于当地县医院住院。12月13日胸部CT:右肺上叶支气管束增厚,双肺胸膜下斑片影,双侧胸膜增厚,较前变化不明显(图5)。诊断为“肺炎,支气管扩张”。咳喘症状减轻,出院后继续口服醋酸泼尼松15 mg qd(图6),于2021年1月自行停药(约20 d),患者仍间断咳嗽,伴活动后气短,但可正常从事超市相关工作。
第4次住院(2021年10月24日-11月17日):2021年10月9日(停用激素后8个月)患者因“受凉”后咳喘加重,平地步行20 m即喘息明显,伴发热,体温最高38.5℃,痰中带血丝,约数口。当地诊所给予地塞米松(5 mg qd)治疗15 d,无明显改善,入当地县医院ICU住院,入院时测SpO2(未吸氧)60%。10月26日胸部CT:双肺弥漫磨玻璃影,散在斑片影,部分融合呈实变,双上肺胸膜增厚,较前明显加重(图7)。患者血气分析提示Ⅱ型呼吸衰竭,低氧血症明显,伴二氧化碳潴留,WBC和NEU升高,经治疗有所下降;生化指标可见LDH水平升高(表1~表3)。
表1 患者血气分析结果
表2 患者血常规+CRP
表3 患者生化指标变化情况
心电图(10月24日):窦性心动过速,144 bpm,肺型P波,ST-T异常。超声心动图(10月24日):左房内径32 mm,左室内径41 mm,右室内径36 mm,右房内径40 mm,肺动脉收缩压72 mmHg,EF 60%。右房饱满,三尖瓣少量反流。NT-proBNP 800 pg/ml(10月26日)。诊断为“支气管扩张并感染,呼吸衰竭,肺心病”。抗感染治疗20 d,甲强龙80 mg 2 d,40 mg 3 d,利尿(图8)。经上述治疗,患者体温恢复正常,PaO2有所升高,但自觉喘息症状无改善。10月29日由当地县医院转至市医院。患者当时血气分析显示氧合指数尚可,但二氧化碳潴留未见明显改善,WBC及NEU升高(表4,表5)。
表4 患者血气分析变化情况
表5 患者血常规变化情况
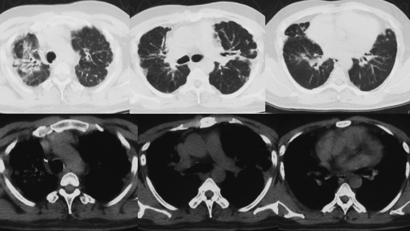
诊断“间质性肺炎,慢阻肺急性加重期,支气管扩张,Ⅱ型呼吸衰竭”。抗感染20 d,激素治疗20 d(图9),鼻导管氧疗及NPPV。咳嗽、喘息明显减轻。胸部CT:对比10月26日,双肺斑片影、磨玻璃影明显吸收(图10)。11月17日评估病情好转出院,出院后继续口服甲泼尼龙12 mg qd(11月17-30日,13 d后自行停药)。

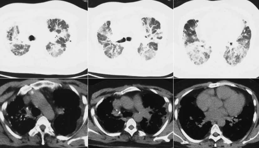
治疗调整(2021年12月4-19日):12月4日(停激素4 d)患者自觉喘息较前加重,再次就诊于当地市医院门诊,胸部增强CT:双肺斑片影较11月9日略吸收,双侧胸膜增厚如前(图11)。12月4日加用环磷酰胺50 mg qd至12月17日患者自行停用,并再次应用甲强龙24 mg qd,于12月18日减量至12 mg qd(图12)。

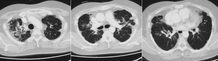
第5次住院(2021年12月20-24日):12月20日(甲强龙12 mg维持治疗中)受凉后再次出现咳喘加重,伴发热,体温38.0℃,伴肌肉、关节酸痛,流清涕,于当地市医院住院。血常规:WBC 11.46×109/L(↑),NEU 8.47×109/L,LYM 1.07×109/L,血红蛋白168 g/L,血小板327×109/L。血气分析(FiO2 0.41):pH 7.40,PaO2 115.5 mmHg,PaCO2 60.5 mmHg(↑),PFR 280 mmHg(↓),HCO3- 36.2 mmol/L。12月20日胸部CT:双肺新发散在淡薄渗出斑片影,部分结节影,较12月4日加重(图13)。予比阿培南、依替米星、莫西沙星抗感染治疗(图14),患者体温恢复正常,咳喘无改善,于12月24日转至我院。

患者自2021年10月开始有眼干、口干,左足背至胫前下段红斑,无光过敏、口腔溃疡、脱发、肌无力、肌痛、晨僵。患者发病以来,精神及睡眠好,大小便无明显异常,体重有所下降,约5 kg。幼时易患“感冒”,感冒后咳嗽时间长(1个月以上),每年5~6次。20年前“急性胰腺炎”病史。生于河北省沧州市沧县,久居本地。20岁从事“电焊工”3年,无面具防护;“油漆工”3年,每年从事时间2~3个月,工作时有防尘面具;“馒头作坊”工作7年,无防护。吸烟14年,40支/天,已戒烟5年,无酗酒史。芒果、柿子、大葱过敏史。22岁结婚,婚后育有二子,配偶、子均体健。父母健在,其母患高血压、冠心病,其父及弟弟体健。T 36℃,P 90次/min,R 20次/min,BP 145/90 mmHg。SpO2(NPPV IPAP 14 cmH2O,EPAP 6 cmH2O,FiO2 0.5)100%。神清,球结膜无水肿,口唇无发绀,前胸及后背见多发毛囊炎,双下肢可见散在红色丘疹,双足可见片状脱屑,四肢无杵状指/趾;双肺呼吸音粗,可闻及干鸣音,双上肺为著。入院诊断
- 间质性肺炎:胸膜肺弹力纤维增生症(PPFE)?肺结节病?慢性过敏性肺炎?机化性肺炎?肺结核?

血常规+CRP+PCT
NEU升高为主,CRP轻度升高,治疗后逐渐减低(表6)。表6 入院后血常规+PCT+CRP变化情况
肝肾功能+血脂:总胆固醇7.6 mmol/L,甘油三酯2.48 mmol/L;肝肾功能、乳酸脱氢酶、肌酸激酶均正常。凝血功能:PT 12.5 s,APTT 35.5 s,Fib 8.32 g/L,D-D 0.31 mg/L。 195 mmHg(PFR 390 mmHg),HCO 36.7 mmol/L,Lac 1.1 mmol/L。
感染相关
):少许白色稀薄分泌物,右下叶基底段开口处狭窄,远端支气管管腔通畅,右肺上叶后段及下叶基底段灌洗。血清学检查:T-SPOT、隐球菌抗原、G/GM试验阴性。杆菌少量;弱抗酸杆菌涂片阴性;细菌培养阴性。抗酸杆菌涂片阴性;Gene-Xpert阴性,分枝杆菌培养待回报。真菌涂片和培养均阴性;BALF GM试验0.14。CMV核酸阴性。甲流病毒抗原、乙流病毒抗原、呼吸道合胞病毒抗原、腺病毒抗原、肺炎支原体抗原均阴性。BALF mNGS:副流感嗜血杆菌(序列数6378),肺炎链球菌(序列数602),假肺炎链球菌(序列数189),EB病毒(序列数5)。BALF细胞分类计数(12月30日,甲强龙40 mg,第4天):巨噬细胞17.5%,中性粒细胞79.5%,淋巴细胞3.0%,嗜酸性粒细胞0。
免疫相关
ANA谱、ANCA谱、类风湿性关节炎抗体谱和肌炎抗体谱:ANA抗体1:40,余均阴性。细胞因子12项:IL-6 38.84 pg/ml(<5.4 pg/ml),余均在正常范围。过敏原总IgE、血清吸入及食物过敏原IgE:阴性。淋巴细胞亚群(2021年12月27日):CD3+T细胞1175 cells/μl,CD3+CD4+T细胞543 cells/μl、CD3+CD8+T细胞583 cells/μl。NK细胞绝对数83 cells/μl(136~880 cells/μl)。B细胞绝对数87 cells/μl(92~498 cells/μl)。免疫球蛋白+补体(2022年1月2日):IgG 574 mg/dl(694~1620 mg/dl),IgA 64.2 mg/dl(68~378 mg/dl),IgM 52 mg/dl(60~263 mg/dl)。C3、C4正常范围。
肿瘤相关
肿瘤标志物+肺癌组合:CA72-4 12.3 U/ml(<6.9 U/ml),CA125 95.20 U/ml(<35 U/ml),余均在正常范围。
2021年12月27日胸部CT:双肺弥漫网格影、斑片影及结节影,双侧胸膜增厚,双肺间质性肺炎可能,双侧胸膜增厚,双侧少许胸腔积液(图16)。

超声心动图:肺动脉主干稍宽(约29 mm),下腔静脉宽约13 mm;左房前后径34 mm,左室舒张末直径41 mm,左室射血分数60%;右房稍大,右房横径约41 mm,右室稍大,右室基底段横径约42 mm,三尖瓣可见微量反流信号,肺动脉收缩压约为28 mmHg。

先后从事电焊工、油漆工、蒸馒头等工作;有吸烟史;无明确基础病。咳嗽、少痰、进行性加重的活动后呼吸困难,间断发热,单用抗感染治疗时有效时无效,抗感染联合激素治疗有效,停用激素或激素减量后可复发加重,加量后有好转趋势。双上肺干鸣音;前胸、背部多发毛囊炎;双下肢可见散在红色丘疹,双足底可见片状脱屑。实验室检查:WBC/NEU计数增多,炎症指标水平增高,PCT正常;Ⅱ型呼吸衰竭、肺动脉高压;自身抗体/肿瘤标志物无明确指向;无明确病原学证据;BALF细胞分类以中性粒细胞为主,无淋巴细胞及嗜酸粒细胞增多;影像学提示小叶间隔增厚、弥漫网格影及结节影,上叶为著,双侧胸膜增厚。
根据患者临床特点在非感染性疾病方面进行鉴别诊断,如下图所示。各疾病鉴别诊断要点见表7。表7 鉴别诊断要点

超声引导下经皮肺穿刺(2021年12月28日):右上肺尖部胸膜及肺组织低回声处进行穿刺,穿取组织条3小条。结合影像学、组织学及特殊染色,符合PPFE,合并较多碳末沉积,局灶淋巴细胞聚集;免疫组化结果:CK(AE1/AE3)(+),KP-1(+),LCA(+),CK5/6(+),TTF-1(+);特殊染色结果:Masson(局灶+),PAS(-),弹力纤维(++),铁染色(-),银染(-)。2021年12月26日至2022年1月1日:头孢哌酮舒巴坦3 g q8h ivgtt。2021年12月27-31日:甲强龙40 mg qd ivgtt。2022年1月1日至2022年1月7日:泼尼松20 mg qd po。
呼吸支持
患者入院后呼吸支持如表8所示。氧合尚可,PaCO2维持在50 mmHg左右。

患者2022年1月7日出院转回当地医院继续治疗。高流量吸氧(50 L/min,FiO2 0.25)。血氧饱和度波动于95%~99%。仍间断有咳嗽,干咳为主,活动后气短较前减轻。查体双肺干鸣音较入院时减少。血气分析(FiO2 0.25):pH 7.39,PaCO2 51.6 mmHg,PaO2 89 mmHg,HCO3- 31.2 mmol/L,Lac 2.8 mmol/L。

明确诊断
是否需大标本肺活检?活检部位及方式?
糖皮质激素用量及疗程?是否联合其他免疫抑制剂?
【注:本文仅用于学术内容的传播和交流,不用于任何商业和推广】