作者:杨国丽,罗益锋,曾勉
单位:中山大学附属第一医院MICU

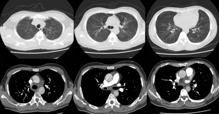
患者,男,47岁,因“咳嗽1月余,气促20余天,加重伴发热5天”,于2017年12月11日入我院。入院1月余前无明显诱因开始出现咳嗽、咳痰,为白色泡沫痰,无气促、咯血、呼吸困难,至当地医院经抗感染治疗后(具体不详)无好转,症状进行性加重。入院前20天出现活动后气促、呼吸困难,于2017年12月3日至广东某医院,查颈部+胸部+颅脑CT提示:左右肺纹理增多、增粗,见点索状、小片状、结节状增密阴影,边界模糊,考虑肺泡癌?转移瘤?炎症?纵隔多发肿大淋巴结,考虑转移瘤;心包积液;双侧胸腔积液;肝内多发病灶,考虑转移瘤(图1)。

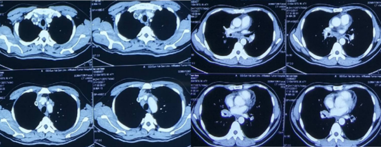
2017年12月6日就诊于中山大学肿瘤防治中心,查WBC14.73×109/L,D-二聚体37.17 μg/ml。胸部CT提示:右下肺门区软组织影并右下肺阻塞性肺炎、肺不张,右下肺前外基底段胸膜下结节,考虑原发肺癌与转移瘤相鉴别;双肺叶弥漫粟粒、类结节,考虑转移瘤;双肺多发斑片影,部分呈磨玻璃密度,考虑炎症;双侧锁骨上窝、纵隔、双肺门多发淋巴结,考虑转移瘤;右侧颈静脉-右侧锁骨下静脉-右无名动脉内充盈缺损,考虑血栓可能性大,左肺动脉可见栓塞(血栓或癌栓)(图2)。

支气管镜:右下叶基底段开口狭窄,隆突下肿大淋巴结,行右下叶活检及淋巴结EBUS-TBNA,病理结果未回。痰脱落细胞学涂片见少量异型细胞团,考虑为腺癌细胞。12月6日夜间开始出现发热,体温波动在38~38.5℃之间,先后予莫西沙星、万古霉素、美罗培南、亚胺培南抗感染,高流量面罩吸氧治疗。12月9日开始予依诺肝素钠抗凝,同时开始予吉非替尼250 mg qd行肺癌试验性靶向治疗,但患者咳嗽、气促、呼吸困难仍逐渐加重,指脉氧饱和度波动于88%~96%。12月11日患者咳嗽剧烈,咳血丝痰,气促明显,不能平卧,转我院继续治疗。自起病以来,体重减轻约5 kg。既往史无特殊。吸烟30余年,2包/日,少量饮酒。父亲已故,死因不详,否认家族遗传病。T 36.4℃,P 122次/min,R 41次/min,BP 129/86 mmHg;精神差,呈半坐卧位,全身浅表淋巴结未触及肿大,四肢无水肿;呼吸急促,双肺呼吸音粗,左下肺可闻及痰鸣音,右肺可闻及少许哮鸣音,未闻及胸膜摩擦音。①双肺社区获得性肺炎,Ⅰ型呼吸衰竭;②右下肺癌并双肺,全身多发淋巴结转移;③左肺动脉栓塞;④右侧颈静脉、右侧锁骨下静脉、右侧无名静脉血栓。血气分析:pH 7.45,PaCO2 37 mmHg,PaO2 78 mmHg,HCO3- 25.7 mmol/L,BE 1.8 mmol/L,A-aDO2 324 mmHg,氧合指数122 mmHg,Lac 1.5 mmol/L。
感染指标:CRP 153 mg/L,WBC 15.82×109/L,NEUT% 90.9%,PCT 0.67 ng/ml。
生化:ALT 52 U/L,AST 43 U/L。
凝血功能:D-二聚体 15.57 mg/L FEU,FBG 4.66 g/L。
心功能:ProBNP 130.9 pg/ml。
肺肿瘤标志物:CEA 14.48 μg/L,特异性神经元烯醇酶33.11 ng/ml,鳞癌抗原1.60 μg/L,非小细胞肺癌抗原43.01 ng/ml,CA125 914.50 U/ml。
予以高流量湿化氧疗(流量55 L/min,FiO2 60%),亚胺培南1.0 q8h联合利奈唑胺0.6 q12h抗感染,继续吉非替尼250 mg qd试验性靶向治疗,依诺肝素钠0.6 ml q12h抗凝,止咳、平喘、化痰、护肝、营养支持等对症支持治疗。
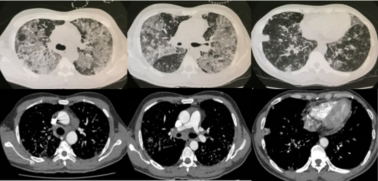
2017年12月12日患者仍有明显气促,氧合无改善,氧合指数120~130 mmHg,复查胸部CT双肺病变较12月6日明显进展(图3)。

12月13日肿瘤医院支气管镜活检病理结果回报(图4):低分化腺癌;基因检测结果:EGFR突变阴性;ALK阳性。12月13日予停用吉非替尼,改用克唑替尼250 mg bid靶向治疗,pro-BNP逐渐升高,患者诉静滴利奈唑胺时咳痰量明显增多,予更改利奈唑胺为替考拉宁0.4 g q12h×3次,后0.4 g qd联合亚胺培南继续抗感染,并于12月14-17日加用地塞米松(10 mg ivdrip qd×2次,5 mg ivdrip qd×2次)、适当水化、补碱等治疗预防靶向治疗后可能出现的肿瘤溶解综合征。

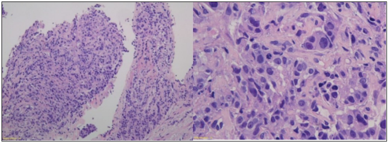
图4 右下后叶基底段开口黏膜活检结果:镜检为低分化腺癌,免疫组化:CK7(+),TIF-1(+),NapsinA(+),CK5/6(+),P63(-),P40(-),Cgd(-),Syn(-),CD56(-),ALK(D5F3)(+),ALK-N(-),符合低分化腺癌12月14日起,患者气促开始好转,咳嗽、咳痰减轻,复查胸片可见肺部吸收改善,12月16日胸片明显好转(图5),氧合指数升至203 mmHg,逐步减低Airvo支持参数,12月18日患者气促基本缓解,查血气提示氧合指数484 mmHg,改为鼻导管吸氧,复查胸部CT提示双肺病变明显减轻(图6),12月19日患者体温稳定,感染指标及胸片好转,亚胺培南降阶梯为哌拉西林他唑巴坦钠4.5g q8h联合替考拉宁抗感染治疗,12月20日患者无明显咳嗽、咳痰及气促,好转步行出院。

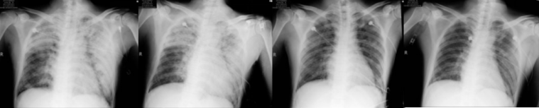
图5 自左至右分别为2017年12月13日、15日、16日及17日胸片

图6 胸部CTA(2017-12-17)
注:双肺弥漫性磨玻璃影及结节影较前明显好转;多发肺动脉栓塞,较前稍减少;双侧锁骨上窝、纵隔、双肺门多发淋巴结肿大,较前减小。出院诊断:①双肺弥漫型肺泡癌并全身多发淋巴结转移;②双肺社区获得性肺炎;③左肺动脉栓塞;④右侧颈静脉、右侧锁骨下静脉、右侧无名静脉血栓。

肺炎型肺癌可表现为咳嗽、咳痰、痰中带血、气促、呼吸困难等,临床症状缺乏特异性,CT上的征象包括弥漫性磨玻璃影及结节影、大片实变影、支气管“枯树征”、低密度坏死区呈“蜂房征”等,与大叶性肺炎表现极为相似,临床上常常鉴别困难。但肺炎型肺癌抗感染治疗无效,部分患者甚至可快速进展至呼吸衰竭,如未能迅速明确诊断,针对肿瘤采取针对性治疗,预后极差。因此,临床医生对抗感染治疗无效的部分“肺炎”患者,需要考虑肺炎型肺癌可能,尽快完善组织学及基因分子生物学检查,明确下一步治疗方向。近10余年来,随着分子医学和肺癌靶向药物的发展,肺癌的治疗已进入个体化分子靶向精准治疗时代,其疗效显著,不良反应相对较小,已成为晚期非小细胞肺癌患者的一线治疗方案。尤其对部分功能状态评分(performance status,PS)较差,无法耐受放化疗等其他治疗手段的患者,根据基因检测结果,如能进行靶向治疗,仍可能使患者获益,甚至使肿瘤得到明显控制,延长患者的生存时间。本例患者以咳嗽、咳痰起病,短时间内出现气促、咳血丝痰,胸部影像学进展迅速,以双侧肺叶弥漫多发磨玻璃影并多发结节为主,与肺炎非常相似。虽然按照WHO的肺癌分类标准缺少肺炎型肺癌的相关分类,但此类肺癌患者并不罕见,且极易误诊。该疾病病理检查可确诊为不同肺癌组织类型,不过目前的观点仍认为细支气管肺泡癌是肺炎型肺癌的主要类型。1999年的WHO肺肿瘤分类中将支气管肺泡癌分为黏液型、非黏液型和混合型,2004年WHO肺肿瘤分类中将黏液型细支气管肺泡癌和非黏液型细支气管肺泡癌均作为肺腺癌的不同种亚型,直至2011年国际肺癌研究协会/美国胸科学会/欧洲呼吸学会国际多学科肺腺癌分类中弃用了细支气管肺癌,以原位腺癌替代,并将黏液型细支气管肺泡癌更名为浸润性黏液腺癌,作为肺腺癌中的一种特殊类型。在影像上,黏液腺癌主要分为两种类型:结节肿块型和肺炎型。前者与普通腺癌在影像上难以区分,但不易漏诊。后者主要表现为大片状高密度影,由于相对少见,医生认识不够而常被误诊为炎症,影响其早期发现率。肺炎型肺癌临床症状缺乏特异性,可表现为咳嗽、咳痰、痰中带血、气促、进行性呼吸困难等,在胸部CT上的常见表现包括:①大片磨玻璃影及实变影、磨玻璃影边界清楚;②单或多肺段或肺叶甚至全肺的不完全实变,类似大叶性肺炎,可见病理性支气管相,也称为支气管枯树征,但支气管管壁不同程度增厚,形态僵硬,管腔凹凸不平;③病灶内可见低密度坏死区,呈现蜂窝状透亮区,称之为蜂房征;④多段多叶类似炎性实变病灶中,常见结节病灶或独立存在;⑤叶间裂膨隆;⑥“空洞/空腔”征;⑦其他:血管造影征,少见胸膜侵犯或淋巴结肿大或远处转移。此类型肺癌需要与其他弥漫性肺疾病进行鉴别,包括大叶性肺炎、肺结核及肺黏膜相关淋巴组织、淋巴瘤、嗜酸性粒细胞肺炎、肺水肿等[1,2]。肺癌的发病率和死亡率均居全球恶性肿瘤之首,2014年美国新发肺癌达22万人,其中有15万死亡,而在中国,2015年肺癌新发病例约为73万,死亡病例高达61万。肺癌可分为小细胞肺癌和非小细胞肺癌两大类型,非小细胞肺癌占所有肺癌的80%,其中又以肺腺癌为主。早期非小细胞肺癌的治疗以手术为主,晚期治疗以全身化疗、放疗及靶向治疗为主。近10余年来,随着分子医学发展和肺癌靶向药物的不断涌现,肺癌治疗已进入针对驱动基因的个体化分子靶向精准治疗时代,其疗效显著,安全性良好,已成为晚期非小细胞肺癌的标准治疗方法。目前临床应用的个体化分子靶向治疗主要针对表皮生长因子受体基因突变型(EGFR)和间变性淋巴瘤激酶基因重排型(ALK)肺癌。ALK突变在肺腺癌中比例不高,占2%~8%,在无吸烟史、年轻患者人群中的比例稍高。2011年,FDA批准克唑替尼用于ALK突变基因阳性的晚期非小细胞肺癌患者的治疗,是第一个获批上市的该类药物。在克唑替尼与标准化疗方案的Ⅲ期临床研究中,克唑替尼治疗组的客观缓解率达65%~74%,肿瘤无进展生存期为7.7~10.9个月,而标准治疗方案组的客观缓解率仅为20%,无进展生存期为3~7个月。克唑替尼不良反应主要为视觉异常、水肿、胃肠道反应和肝酶学的升高。近年也有文献报道克唑替尼相关的间质性肺病[3]。克唑替尼同样对MET络氨酸激酶及ROS1激酶有抑制活性,2016年被FDA批准用于ROS1基因重排阳性的晚期非小细胞肺癌的靶向治疗。色瑞替尼对ALK突变基因的抑制效能为克唑替尼的20倍,于2014年首先被FDA批准用于克唑替尼耐药或不耐受的ALK突变阳性的晚期肿瘤患者,在临床Ⅲ期研究中,色瑞替尼对初治的晚期肺癌患者的无进展生存期达16.6个月,总体应答率为72.5%,对有脑转移的患者,色瑞替尼的无进展生存期也能达到10.7个月,于2017年被批准用于ALK阳性的晚期非小细胞肺癌的一线治疗。2017年,FDA再次批准了艾乐替尼和Alunbrig两种针对ALK阳性的晚期非小细胞肺癌的靶向药物,艾乐替尼作为一线治疗方案,对有脑转移的患者客观缓解率可达52%。目前针对ALK阳性的晚期非小细胞肺癌的靶向药物仍在继续研发中,Entrectinib、Ensartinib、Lorlatinib等药物在目前的临床研究中都取得了不错的效果,将在以后为ALK阳性非小细胞肺癌患者的治疗提供更多的选择。恶性肿瘤的患者发生深静脉血栓的风险是非肿瘤人群的4~7倍,特别是对于正在接受全身治疗的胰腺癌、胃癌和肺癌患者,而深静脉血栓的形成也大大增加了肿瘤患者的病死率,已经位居非卧床恶性肿瘤患者的第二大致死原因。目前用于评估恶性肿瘤患者发生深静脉血栓风险的评分表有Khorana、Vienna、PROTECHT和CONKO四种,以Khorana应用最为广泛,但这些评分系统的临床应用仍存在争议,对恶性肿瘤患者是否需要使用抗凝药物预防深静脉血栓,目前国内外指南尚无统一的推荐。对出现深静脉血栓的恶性肿瘤患者,在急性期,国内外指南均推荐首选低分子肝素,抗凝治疗至少3~6个月,3~6个月结束后是否需要继续抗凝治疗应遵循个体化原则,综合考虑肿瘤治疗的效果、VTE复发风险、出血风险、预期生存时间及患者意愿,定期进行后续抗凝治疗的风险收益的评估[4]。对活动期恶性肿瘤合并肺血栓栓塞症,在抗凝治疗3个月后,若出血风险不高,需要延长抗凝时间,甚至终生抗凝。对低分子肝素后考虑长期抗凝治疗,可选择华法林和新型口服抗凝药物。对使用华法林的患者,需重叠依诺肝素钠至少5天,直至INR达2.0以上并持续24 h,严密监测出凝血常规,使INR维持于2.0~3.0之间。新型口服抗凝药物包括利伐沙班、依杜沙班、阿哌沙班及达比加群,目前有部分临床研究认为肿瘤合并深静脉血栓的患者,其疗效与华法林及肝素相当,出血风险更小,但大出血的发生率更高[5,6]。在国内,新型口服抗凝药物仍面临监测困难、药物过量时无可拮抗的药物两个主要问题,是影响药物选择的重要因素。

本例患者以咳嗽、咳痰起病,后期出现气促,Ⅰ型呼吸衰竭,胸部影像学进展迅速,1周内出现双肺弥漫性磨玻璃影和结节影,予以抗感染治疗无明显改善,根据病理及基因分子诊断为ALK阳性的晚期肺腺癌,予以靶向药物克唑替尼治疗及低分子肝素抗凝治疗3天后症状及胸部影像学明显改善。患者胸部CT改变与肺炎非常相似,考虑为肺炎型肺癌,其CT的征象可表现为大片磨玻璃影及实变影、叶间裂膨隆,支气管“枯树枝”征,“空洞/空腔”征等,需要与大叶性肺炎、肺结核、淋巴瘤等疾病鉴别。肺癌靶向药物发展迅速,疗效好,安全性高,多种靶向药物已成为ALK阳性肺腺癌的一线治疗方案。
[1] 徐益明, 王洵, 赵弘卿. 类肺炎表现的肺泡细胞癌的临床分析[J]. 老年医学与保健, 2017, 23(6):513-515.
[2] 吴婧, 王兆宇, 潘军平, 等. 肺炎型黏液腺癌的CT诊断价值[J]. 临床与病理杂志, 2017, 37(10):2137-2143.
[3] Komada F. Analysis of Time-to-onset of Interstitial Lung Disease after the Administration of Small Molecule Molecularly-targeted Drugs[J]. YakugakuZasshi, 2018, 138(2):229-235.
[4] 中华医学会呼吸病学分会肺栓塞与肺血管病学组, 中国医师协会呼吸医师分会肺栓塞与肺血管病工作委员会, 全国肺栓塞与肺血管病防治协作组. 肺血栓栓塞诊治与预防指南[J]. 中华医学杂志, 2018, 98(14):1060-1087.
[5] Raskob G E, van Es N, SegersA, et al. Edoxaban for venous thromboembolism in patients with cancer: results from a non-inferiority subgroup analysis of the Hokusai-VTE randomised, double-blind, double-dummy trial[J]. Lancet Haematol, 2016, 3(8):e379-e387.
[6] Raskob G E, van Es N, VerhammeP, et al. Edoxaban for the Treatment of Cancer-AssociatedVenousThromboembolism[J]. N Engl J Med, 2018, 378(7):615-624.