登录方式

方式一:
PC端网页:www.rccrc.cn
输入账号密码登录,可将此网址收藏并保存密码方便下次登录

方式二:
手机端网页:www.rccrc.cn
输入账号密码登录,可将此网址添加至手机桌面并保存密码方便下次登录

方式三:
【重症肺言】微信公众号
输入账号密码登录

注:账号具有唯一性,即同一个账号不能在两个地方同时登录。

登录
方式

为重症救治赋能

为患者康复加速

当前位置:首页 重症实战 病例集锦

发热+肺部病变首发,病因为何?

张蔷 东南大学附属中大医院呼吸内科 发布于2022-12-23 浏览 3677 收藏

作者:张蔷

单位:东南大学附属中大医院呼吸内科

图片

临床资料

一般资料

患者,男,53岁,因“发热伴咳嗽10余天”于2018年5月22日入住我院呼吸内科。

现病史

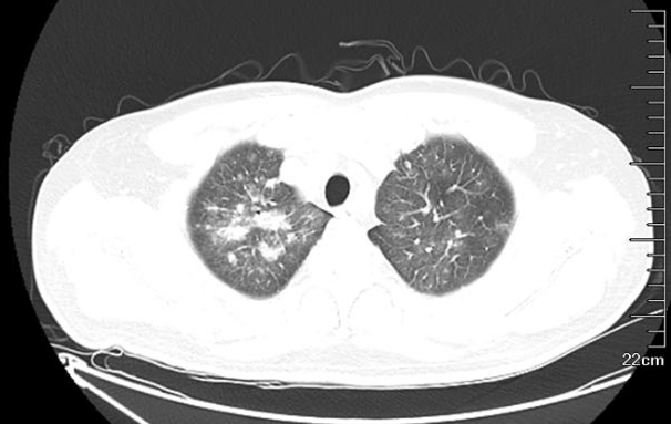
患者于2018年5月9日无明显诱因出现畏寒发热、最高可达39℃,伴咳嗽,偶有咳痰,为白色黏痰,无头晕头痛,无胸闷胸痛,无呼吸困难,无腹胀腹痛。2018年5月10日就诊于当地医院,门诊血细胞分析:白细胞计数0.31×109/L;尿红细胞形态计数:尿蛋白(+);生化+电解质:谷草转氨酶63 IU/L,肌酐109 μmol/l。遂予以克林霉素联合利巴韦林抗感染1周,期间症状未缓解,仍间断发热。于5月18日调整为头孢哌酮/舒巴坦联合左氧氟沙星抗感染,仍无效,体温最高达39℃。为求进一步诊断,来我院,门诊胸部HRCT平扫如图1所示:①两肺多发感染,两肺上叶为著;②甲状腺左叶小结节,建议B超检查;③附见:轻度脂肪肝;双侧肾上腺结节样增粗。拟“发热查因:社区获得性肺炎”收入院。病程中,患者食纳、睡眠可,大小便正常,近期体重未见明显增加或减轻。

图片

图1  胸部CT:两肺多发感染,两肺上叶为著

既往史

患者有高血压10余年,最高可达160/110 mmHg,现口服缬沙坦80 mg,每日1次,苯磺酸氨氯地平10 mg,每日1次,血压控制尚可;5年前经冠脉造影确诊“冠心病”;2年前确诊“腰椎间盘突出症、腰椎管狭窄”,于2016年9月20日于我院骨科行经皮椎间孔镜下髓核摘除、神经根管扩大、脊髓神经根松解、纤维环热凝成形术(L5/S1),术后恢复可。否认“糖尿病”等慢性病史,否认“肝炎、结核”等传染病史。否认其他重大外伤及手术史,否认输血史,否认其他不良嗜好,否认药物及食物过敏史,否认其他家族性遗传病史。

入院查体

T 37.3℃,P 93次/min,R 16次/min,BP 107/77 mmHg。患者神志清楚,精神尚可,步入病房,查体合作。全身皮肤黏膜无黄染,浅表淋巴结未触及肿大。口唇无发绀,咽充血,扁桃体无肿大。胸廓无畸形,听诊双肺呼吸音粗,双肺可闻及散在湿啰音。心率93次/min,律齐有力,各瓣膜听诊区未闻及杂音。腹平软,未见肠型和胃肠蠕动波,肝脾肋下未触及,肝区无叩击痛,移动性浊音阴性,肠鸣音5次/min,四肢肌力及肌张力正常。双下肢无水肿。生理反射存在,病理反射未引出。

入院初步诊断

双肺社区获得性肺炎;高血压病3级(极高危);冠心病,心功能Ⅰ级;腰椎间盘突出症,腰椎管狭窄术后。

图片

入院后诊疗

急查血结果:①血细胞分析:白细胞计数12.76×109/L,淋巴细胞比率14.7%,单核细胞比率11.1%,中性粒细胞计数9.19×109/L。②肾功能:尿酸473 μmol/L,其余指标正常。③动脉血气分析pH 7.463,PaCO26.1 mmHg,PaO54.0 mmHg,存在Ⅰ型呼吸衰竭。予持续低流量氧疗,莫西沙星(5月22-25日)抗感染,辅以氨溴索化痰治疗。

次日部分化验结果回报:红细胞沉降率测定80 mm/h,超敏C反应蛋白36.2 mg/L。肝功能:白蛋白39.3g/L,谷草转氨酶144 IU/L,乳酸脱氢酶1200 IU/L。降钙素原3.09 ng/ml。男性肿瘤标志物筛查:糖类抗原724 12.69 U/ml,其余指标正常。真菌-D葡聚糖定量G试验<10 pg/ml;内毒素鲎定量测定:<5 pg/ml;隐球菌组套、病毒八项、皮质醇节律、抗双链DNA抗体、血管炎相关抗体、曲霉菌免疫学试验、结核感染T细胞检测、抗核抗体13项均未见明显异常。遂加用比阿培南(5月23-25日)联合莫西沙星加强抗感染,结合肺部影像且常规抗感染治疗无效不排除病毒感染,加用奥司他韦抗感染治疗,同时辅以还原型谷光甘肽和多烯磷酯酰胆碱注射液保肝治疗。

建议患者行支气管镜检查以期尽快明确感染病原体及发热原因,患者拒绝有创检查,同意行外周血病原微生物基因测序检测。患者自5月25日凌晨突发畏寒、寒颤后体温升至40.1℃,考虑原抗感染方案无效,但尚无病原学阳性结果回报,遂调整抗生素利奈唑胺(5月25-26日)联合亚胺培南西司他丁(5月25-28日)抗感染,但患者仍有反复寒战,全身不自主抖动伴高热,复查血白细胞计数、谷草转氨酶进行性上升。

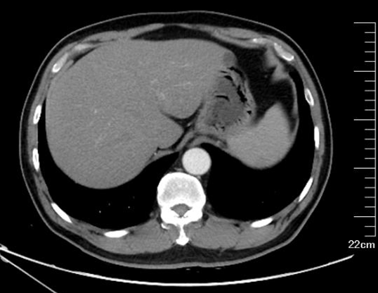
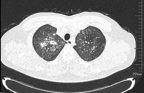
为进一步排查发热原因,寻找潜在感染灶,予胸腹盆部增强CT,结果提示:两肺感染,两肺上叶为著,较前稍进展;甲状腺左叶结节灶;脂肪肝,肝囊肿;肝左外叶稍低密度灶:不典型血管瘤?其他?双侧肾上腺结节样增生;左侧肾盂旁囊肿可能,左肾微小结石;前列腺钙化。心脏彩超:左室壁部分心内膜面及部分乳头肌回声增强,心包少量积液,三尖瓣轻度反流(图2,图3)

图片

图2  胸部CT两肺感染,两肺上叶为著,较前稍进展

图片

图3  腹部增强CT肝左外叶稍低密度灶

考虑患者反复寒战后高热,精神萎靡,5月27日再度升级抗感染方案为替加环素+亚胺培南西司他丁+伏立康唑 +奥司他韦抗感染,并于2018年5月28日组织全院各科室会诊,均考虑肺部感染所致发热可能性大,要排除结核、布氏杆菌等特殊感染可能,也不能排除药物热可能;影像科主任复阅胸部CT平扫及胸腹盆部CT增强扫描,发现肝左叶类圆形异常强化灶及右叶后下段小病灶,但不考虑脓肿,也无法解释高热原因,建议腹部B超或MR检查。再度劝说患者完成纤支镜肺活检,并送肺泡灌洗液病原微生物基因测序,同时与家属充分沟通后停用所有静脉用药,观察体温变化。

停用静脉用药后,患者仍有反复寒战后高热,全身不自主抖动,手脚皮温低,多于夜间明显,体温最高升至40℃,消炎痛肛栓可暂时缓解,复查血谷草转氨酶进一步升高至459 IU/L,乳酸脱氢酶2914 IU/L,肌酸激酶385 IU/L,肌酸激酶MB同工酶795.4 IU/L,血清铁蛋白>1500.0 μg/L;甲状腺功能全套:三碘甲状腺原氨酸0.727 nmol/L(↓),游离三碘甲状腺原氨酸2.17 pmol/L(↓),促甲状腺激素0.171 μIU/mL(↓);超敏C反应蛋白155 mg/L(↑),降钙素原>100.0 ng/ml,肺泡灌洗液病原微生物基因测序未见有意义的病原学感染,肺部活检病理未见异常。遂再度加用静脉抗生素美罗培南(6月2-7日)抗感染,同时甲强龙联合静脉丙种球蛋白冲击治疗3天,体温略有下降,精神稍有好转。

5月29日完成骨髓穿刺术,次日血细胞室口头回报发现骨髓涂片内有大量肿瘤细胞,形态与血液系统肿瘤细胞形态不符,支持实体肿瘤细胞,考虑肿瘤骨转移。肝胆胰脾彩超结果提示肝左内叶及右后叶片状低回声,占位性病变?不均匀脂肪肝?肝脏造影提示肝左内叶及右后叶占位性病变,性质待定。患有幽闭恐惧症,难以耐受MRI检查,拟行PET-CT检查。

PET-CT检查结论:肝左内叶稍低密度影,FDG代谢不均匀性增高,考虑恶性病变可能,右侧颈部多枚稍肿大淋巴结,FDG代谢均增高,考虑肿瘤转移可能性大,全身骨弥漫性FDG代谢增高,双侧肾上腺结节样增粗、肝脾略大、两肺多发斑片及结节影,FDG代谢均增高,考虑感染性病变可能,腔气间隙、双肺门多枚淋巴结FDG代谢均增高,考虑炎性淋巴结可能,盆腔右前方肠管局限性FDG代谢增高考虑炎性或生理性摄取可能(图4)

图片

图4  PET-CT肝脾略大,肝左内叶稍低密度影,FDG代谢不均匀性增高

6月1日介入科行经皮穿刺肝内病灶活检术并送检病理检查,术后第二天复查CT提示腹盆腔积液(血),伴肝周及肾周渗出,考虑穿刺术后改变,加用静脉止血药蛇毒血凝酶注射液 ,复查血小板降至25×109/L(↓),予血小板静脉输注。在等待肝穿刺病理过程中,患者肝肾功能进行性恶化,逐渐出现全身黄疸,总胆汁酸79.7 μmol/L,总胆红素60.0 μmol/L,直接胆红素45.9 μmol/L,谷丙转氨酶53 IU/L,谷草转氨酶584 IU/L,碱性磷酸酶459 IU/L,γ-谷氨酰转肽酶288 IU/L,乳酸脱氢酶5575 IU/L,胆碱脂酶3072 IU/L,肌酸激酶267 IU/L(↑)。

2018年6月4日再度组织感染科、肝胆外科、消化科、血液科、肿瘤科联合会诊,PET-CT提示肝左叶病灶为恶性,但增强CT证据不足,仍无法明确肝功能爆发性损害及高热的原因。如果肝穿刺病理结果阴性,建议给予患者颈部淋巴结活检。会诊当天接病理科口头报告,镜下见低分化肿瘤细胞,等待免疫组化染色。此后患者每天仍有寒战高热、尿量逐渐减少、复查肝肾功能指标持续恶化,病情危重,一直给予对症支持治疗,6月6日肝穿病理回报表达CD5阳性的弥漫大B细胞淋巴瘤,非特殊类型;结合免疫组化符合生发中心起源(分子分型:GCB)。确诊弥漫大B细胞淋巴瘤Ⅳ期B组(IPI 3分,中/高危)(采用Ann Arbor系统进行分期,Ⅳ期即在淋巴结、脾脏和咽淋巴环之外,一个或多个结外器官或组织受广泛侵犯,伴或不伴淋巴结肿大等),最终与家属沟通后转入血液科进一步治疗。后续随访患者,经淋巴瘤针对性化疗,患者病情迅速缓解,目前病情平稳,按疗程接受淋巴瘤化疗。

图片

讨论

恶性淋巴瘤是一组起源于淋巴结和淋巴组织的恶性增殖性疾病,其发生大多与免疫应答过程中淋巴细胞增殖分化产生的某种淋巴细胞恶变有关。通常分为霍奇金病(Hodgkin′s disease,HD)和非霍奇金淋巴瘤(non-Hodgkins Lymphoma,NHL)两大类。恶性淋巴瘤侵犯肺部称为肺淋巴瘤。

本文报道一例以发热、咳嗽为首发症状的肺淋巴瘤,初始检查仅发现胸部影像表现为肺部渗出,此后病情迅速进展,最终通过肝脏组织活检得以确诊。肺淋巴瘤包括原发性肺淋巴瘤(PPL)和继发性肺淋巴瘤(SPL)。PPL是指淋巴瘤仅侵犯肺内,不伴纵隔、肺门及其他部位的淋巴瘤,临床上罕见,约占所有淋巴瘤的0.5%。SPL是指已知有肺外淋巴瘤,继而侵犯肺内,占全部淋巴瘤的25%~40%。

SPL的诊断标准为:①既往有病理学确诊的肺外淋巴瘤病史,目前影像学上显示肺病变;②多为纵隔淋巴结淋巴瘤向肺组织直接浸润;③原发灶可为颈部和纵隔等远处淋巴结淋巴瘤的肺转移;④肺外淋巴瘤隐匿,确诊肺淋巴瘤3个月内发现肺外淋巴瘤的原发灶。

肺淋巴瘤临床表现无特异性,可表现为咳嗽、咳痰、咯血、胸痛、胸腔积液及不同程度的呼吸困难等症状,以及伴发全身浅表淋巴结肿大、发热、盗汗、消瘦等全身症状。根据淋巴瘤侵犯的部位不同,其肺部影像学表现可以多种多样:如侵犯支气管黏膜相关淋巴组织,CT表现为结节影、肿块影、斑片实变影或大叶性实变影,容易与特殊病原体感染、隐源性机化性肺炎相混淆;原发于肺的滤泡性淋巴瘤,CT表现为磨玻璃影、铺路石征或结节影;病变起源于血管腔内则表现为网状阴影、网结状阴影及磨玻璃影,支气管血管束增粗,当血管腔完全阻塞则表现为胸膜下锲形影、胸腔积液等肺梗死的影像改变;其影像表现的多样性,导致临床出现误诊、漏诊及延误诊断。

肺淋巴瘤经气管镜活检病理诊断可能性较小,CT引导下经皮肺穿刺、甚至外科活检方能明确诊断。大多数类型的淋巴瘤18氟标记的脱氧葡萄糖(18F-FDG)具有高度亲和力,病灶部位18F-FDG摄取明显增高,18F-FDG-PET/CT被认为是淋巴瘤影像诊断和分期的金标准,对肺淋巴瘤的敏感度为83%~100%,18F-FDG-PET/CT指导下的穿刺活检可提高病理诊断的准确率。

即使获得有效标本,病理诊断也可能出现误诊,如淋巴瘤样肉芽肿、肉芽肿性多血管炎、机化性肺炎、嗜酸细胞性肉芽肿、感染性肉芽肿、血管免疫母细胞淋巴结病等良恶性疾病,需对组织进行免疫表型标记进行确诊。

与PPL以手术治疗为主不同,SPL因累及部位广泛则多采取化疗,具体方案与病理类型有关。

本例患者初始检查未发现肺外淋巴瘤病灶,在积极诊治肺部感染的同时,不放弃对其他发热原因的寻找,最终果断进行肝脏穿刺,明确诊断。

参考文献

[1] 蔡后荣,张湘燕,李惠萍. 实用间质性肺疾病[M]. 第2版. 北京:人民卫生出版社,2016.

[2] 辛春红,兰春祥,曲伟,等. 继发性肺弥漫大B细胞淋巴瘤一例并文献复习[J]. 白血病.淋巴瘤,2018,6(27):353-355.

[3] William J, Variakojis D, Yeldandi A, et al. Lymphoprpliferative neoplasms of the lung: a review[J]. Arch Pathol Lab Med, 2013, 137(3):382-391.

[4] Furuhashi N, Sugino Y, Okumura J, et al. A case of secondary pulmonary malignant lymphoma with multiple pulmonary nodules and speculation[J]. Nihon Kokyuli Gakkai Zasshi, 2011, 49(11):873-876.

[5] Yamamoto F,Tsukamoto E, Nakada K, et al. 18-F-FDG PET is superior to 67 Ga SPECT in the staging of non-Hodgkin’s lymphoma[J]. Ann Nucl Med, 2004, 18:519-526.

[6] 牛晓婷,胡红,高杰,等. 原发性及继发性肺淋巴瘤40例临床分析[J].中华结核和呼吸杂志,2014,7(37):502-506.

全部评论 0
Copyright©2020-2026 北京医麦斯科技有限公司 版权所有 京ICP备2020034400号-1 京公网安备11010502043983号