登录方式

方式一:
PC端网页:www.rccrc.cn
输入账号密码登录,可将此网址收藏并保存密码方便下次登录

方式二:
手机端网页:www.rccrc.cn
输入账号密码登录,可将此网址添加至手机桌面并保存密码方便下次登录

方式三:
【重症肺言】微信公众号
输入账号密码登录

注:账号具有唯一性,即同一个账号不能在两个地方同时登录。

登录
方式

为重症救治赋能

为患者康复加速

当前位置:首页 重症实战 病例集锦

肺血栓栓塞症伴肺空洞的诊治思考

陈燕,曾勉 中山大学附属第一医院MICU 发布于2022-02-16 浏览 4127 收藏

作者:陈燕,曾勉

单位:中山大学附属第一医院MICU



60岁男性患者,因气促伴咳嗽、咳痰10余天入院,经临床表现和影像学诊断急性肺栓塞,溶栓治疗2周后肺部出现空洞并进展,需考虑哪些疾病?病因是什么?治疗方面可选择哪些药物?该患者最终预后如何?




临床资料


一般资料
患者,男性,60岁,主因“气促伴咳嗽、咳痰10余天”于2018年4月28日入院。

现病史
患者1个月前(2018年3月31日)因胸痛至我院就诊,诊断为急性肺动脉血栓栓塞症(图1A),4月8日复查胸部CT血栓吸收不明显(图1B),遂于4月11日予阿替普酶50 mg溶栓治疗,后予华法林抗凝治疗,4月16日复查胸部CT示血栓吸收,好转后出院(图1C)

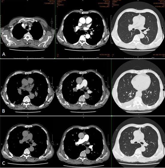
图片
图1  患者胸部CT
注:A为3月31日患者双肺动脉主干及分支多发肺栓塞;B为4月8日患者双下肺动脉干及右中叶动脉栓塞较前稍有吸收;C为4月16日双下肺动脉干及分支栓塞较前吸收

患者10余天前出现气促,平卧时明显,伴咳嗽,每次约1~2声,伴咳少许黑褐色黏痰,伴夜间盗汗、乏力、纳差,无畏寒、寒战、发热、头晕、头痛,无胸闷、胸痛、恶心、呕吐,至我院急诊就诊,查血常规示:WBC 11×109/L、NEU% 75.2%,PCT 0.53 ng/ml(↑)。

4月27日复查胸部CT示:左上肺动脉、前段动脉及右下肺动脉、后外基底段动脉附壁血栓形成,较前缩小,左肺上叶炎症,左肺上叶尖后段炎症并空洞形成,较前进展(图2),予盐酸莫西沙星0.4 g ivdrip抗感染、化痰解痉等治疗。为求进一步诊治收入我科。起病来,无持续头痛、头晕、胸痛、胸闷、腹痛、腹泻,无双下肢再次浮肿。患者精神一般,胃纳如上述,睡眠可,二便正常,近期体重无明显改变。
 


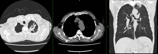
图片


图2  患者胸部CT(2018年4月27日)
注:左肺上叶炎症并空洞形成


入科查体


T 36.0℃,P 72次/min,R 18次/min,BP 103/68 mmHg;神志清楚;双下肢无水肿;桶状胸,双肺呼吸音稍减低,左上肺及右下肺可闻及湿啰音;心脏及腹部查体无特殊。

完善相关检查


  • PT 31.5 s,INR 2.88,APTT 75.7 s,ProBNP 407.4 pg/ml。

  • 男八项肿瘤体检筛查:CA125 35.34 U/ml,铁蛋白760.18 μg/L、前列腺特异性抗原7.80 μg/L。

  • 肝代谢组合:GGT 106 U/L,TP 60.3 g/L,ALB 28.9g /L,白/球比值0.9。

  • 急性感染组合:CRP 191.65 mg/L,WBC 12.02×109/L,NEU% 79.9%,LYM% 9.9%,NEU 9.59×109/L,Hb 100 g/L,PCT 0.17 ng/ml。

  • 血G试验及GM试验、隐球菌抗原、结核抗体、结核分枝杆菌及利福平耐药基因检测、结核干扰素释放试验、多次涂片找抗酸杆菌、呼吸道病原体8项、体液免疫7项均未见明显异常,痰培养查见鲍曼不动杆菌。

  • 电子支气管镜:气管及双侧四级以内支气管管腔通畅,黏膜无充血、水肿、糜烂,未见新生物、异物及活动性出血(图3)



图片
图3  患者电子支气管镜检查


注:左图隆嵴,右图左上叶和舌叶开口,支气管管腔通畅,黏膜无充血、水肿、糜烂


  • 左固有上叶尖后段肺泡灌洗培养见鲍曼不动杆菌(++),灌洗液GM试验、抗酸染色、结核及利福平耐药基因检测均为阴性。

  • 心脏彩超示:射血分数71%;主动脉瓣轻度关闭不全;肺动脉收缩压(PASP)34 mmHg。



入院诊断
考虑:①左上肺社区获得性肺炎并空洞形成;②急性肺动脉血栓栓塞症(中、高危组);③左下肢深静脉血栓形成;④动脉硬化症(主动脉、腹主动脉、右侧髂总动脉、双下肢动脉);⑤肝囊肿;⑥膀胱壁增厚,性质待查。

入院后治疗经过


  • 入院后予以依诺肝素抗凝、哌拉西林他唑巴坦联合利奈唑胺抗感染、吸氧、化痰、平喘等对症支持治疗,请泌尿外科会诊膀胱壁增厚及前列腺特异性抗原(PSA)升高情况。

  • 5月10日双下肢深静脉彩超:左下肢深静脉血栓形成,较前无明显变化;腘静脉STENOSIS 50%~70%;余双下肢深静脉血流通畅。

  • 5月10日复查胸部CT:左上肺动脉、前段动脉及右下肺动脉、后外基底段动脉附壁血栓形成,与前大致相仿;左肺上叶尖后段炎症并空洞形成,较前有所吸收好转;左肺下叶舌段炎症较前有所吸收好转(图4)。患者体温稳定,血象好转。

 

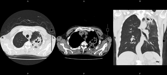
图片

图4  患者胸部CT(2018年5月10日)

注:5月10日复查CT示左肺上叶炎症并空洞形成较前有所吸收好转




  • 5月12日利奈唑胺改口服,复查血GM、G试验阴性。

  • 5月13日停哌拉西林他唑巴坦,改用左氧氟沙星联合口服利奈唑胺继续抗感染治疗。

  • 5月14日加用华法林联合依诺肝素抗凝,根据INR调整华法林用量,之后患者生命体征逐渐稳定。

  • 5月17日办理出院,出院后门诊随访治疗。

  • 8月3日复查胸部CT示左肺上叶空洞完全消失(图5)



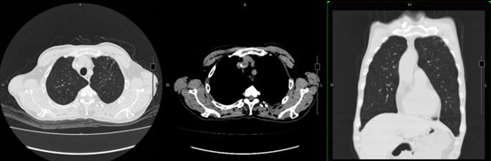
图片
图5  患者胸部CT(2018年8月3日)
注:胸部CT示左肺上叶空洞完全消失

患者肺泡灌洗培养出鲍曼不动杆菌,考虑感染还是定植?患者整体治疗遵循什么原则?该病例的成功救治带给我们哪些经验和思考?

急性肺栓塞为临床常见的危及生命的急危重症,全球范围内均有很高的发病率,据国内60家大型医院统计资料显示,住院患者中肺血栓栓塞症(PTE)比例从1997年的0.25‰上升至2008年的1.45‰[1]。肺栓塞患者住院死亡率较高,2008年我国急性PTE住院病死率为8.7%[2]。PTE多数情况下继发于DVT,本例患者肺栓子即来源于DVT。PTE的呼吸功能不全主要为血流动力学障碍的结果[3]。PTE可致血管阻塞,阻塞部位血流减少,通气血流比例失调,为细菌、真菌等病原体的侵入提供了契机。对于中、高危肺栓塞患者,溶栓治疗可迅速溶解血栓,恢复肺组织再灌注,减小肺动脉阻力,降低肺动脉压,改善右心室功能[4]

本例患者经临床表现和影像学诊断急性肺栓塞(中、高危组),予以rTPA溶栓。溶栓时机却是在急性肺栓塞发生后的2周,复查胸部影像虽提示血栓较前吸收好转,但在肺栓塞发生后的1个月后出现空洞性肺炎,以气促、咳嗽、咳痰为主要临床表现。肺部空洞性病变分为单发空洞和多发空洞,前者常见于肺结核、周围支气管肺癌,后者多见于肺转移瘤、血源性多发肺脓肿、霉菌、尘肺等。本例患者多次查抗酸染色、结核及利福平耐药基因检测均为阴性,暂无结核依据;肿瘤指标阴性,暂无肿瘤依据;无职业病史,需考虑细菌性、真菌性肺炎性空洞。入院后予以含β-内酰胺酶抑制剂广泛覆盖革兰阳性球菌、革兰阴性杆菌,同时予利奈唑胺覆盖MRSA,三唑类广谱抗真菌。经上述治疗,患者体温及呼吸道症状均较入院时明显缓解,2周后复查胸部CT提示空洞性肺炎较前吸收好转,考虑治疗有效,好转后带药出院。出院后经支气管镜获得的痰培养结果提示为鲍曼不动杆菌,仅对氨曲南一种药物耐药。

患者既往有ICU住院病史,住院期间使用多种广谱抗菌药物等危险因素,痰培养提示鲍曼不动杆菌可能因含定植菌的口咽分泌物经会厌进入下呼吸道误吸所致或细菌以气溶胶等形式吸入下呼吸道所致[5]。呼吸道标本分离的鲍曼不动杆菌需要区分定植还是感染。除了细菌感染的一般表现(如发热,WBC和/或NEU分类、C反应蛋白增高)外,还需考虑:①与肺炎相符合的临床症状、体征、影像学改变;②宿主因素;③正接受抗菌药物治疗的患者病情好转后又加重,时间上与鲍曼不动杆菌出现相符合;④标本质量;⑤2次以上痰培养显示纯鲍曼不动杆菌生长或鲍曼不动杆菌优势生长[6]

患者入院前即有气促等临床表现,此次入院考虑为社区获得性肺炎,且未针对鲍曼不动杆菌进行治疗即有病情好转,出院后痰培养结果提示鲍曼不动杆菌,考虑定植可能大。出院后并未针对鲍曼不动杆菌用药,予左氧氟沙星联合利奈唑胺口服治疗,患者3个月后门诊随访复查CT提示左肺上叶空洞完全消失好转。

急性肺栓塞合并肺炎可能延长住院时长,增加住院费用及患者病死率。在本例PTE合并空洞性肺炎的治疗中,在无病原学依据时,我们按照重症患者“早期、联合、足量”的用药原则,广覆盖革兰阳性菌、革兰阴性菌及真菌,最终使患者肺部空洞病灶完全好转。


参考文献


[1] 徐晓峰,杨媛华,翟振国,等.内科重症监护病房中深静脉血栓的发病情况及危险因素分析[J].中华流行病学杂志,2008,29(10):1034-1037.


[2] Yang Y, Liang L, Zhai Z, et al. Pulmonary Embolism Incidence and Fatality Trends in Chinese Hospitals from 1997 to 2008: A Multicenter Registration Study[J]. Plos One, 2011, 6(11):e26861.


[3] Burrowes K S, Clark A R, Tawhai M H, et al. Blood flow redistribution and ventilation-perfusion mismatch during embolic pulmonary arterial occlusion[J]. Pulm Circ, 2011, 1(3):365-376. 


[4] 中华医学会呼吸病学分会肺栓塞与肺血管病学组.肺血栓栓塞症诊治与预防指南[J].中华医学杂志,2018,98(14):1060-1087.


[5] 中华医学会呼吸病学感染学组.中国成人医院获得性肺炎与呼吸机相关性肺炎诊断和治疗指南[J].中华结核和呼吸杂志,2018,41(4):255-280.


[6] 陈佰义,何礼贤,胡必杰,等.中国鲍曼不动杆菌感染诊治与防控专家共识[J].中华医学杂志,2012,92(2):76-85.



全部评论 0
Copyright©2020-2026 北京医麦斯科技有限公司 版权所有 京ICP备2020034400号-1 京公网安备11010502043983号