登录方式

方式一:
PC端网页:www.rccrc.cn
输入账号密码登录,可将此网址收藏并保存密码方便下次登录

方式二:
手机端网页:www.rccrc.cn
输入账号密码登录,可将此网址添加至手机桌面并保存密码方便下次登录

方式三:
【重症肺言】微信公众号
输入账号密码登录

注:账号具有唯一性,即同一个账号不能在两个地方同时登录。

登录
方式

为重症救治赋能

为患者康复加速

当前位置:首页 重症实战 病例集锦

造血干细胞移植后双肺弥漫性的磨玻璃样间质渗出一例

孙禾1,陈荣璋1,施毅2,李强1 1. 同济大学附属东方医院呼吸与危重症医学科;2. 南京大学医学院附属金陵医院呼吸与危重症医学科 发布于2022-02-16 浏览 2237 收藏

23岁男性患者,急性白血病异基因造血干细胞移植术后4月余后无明显诱因出现发热,急性起病,炎症反应标志物明显升高,PCT变化不明显,血气分析提示存在低氧血症。胸部CT提示双肺弥漫性磨玻璃样变,如何明确诊断?需与哪些疾病进行鉴别?


图片

病例简介



一般情况

患者,男性,23岁,以“确诊急性白血病7月余,异基因造血干细胞移植术后4月余,发热3天”为主诉入院。


现病史

患者于2017年6月因外周血全血细胞明显减少行骨髓穿刺病理活检确诊急性粒细胞白血病,于2018年4月行异基因造血干细胞移植术,同年6月出现皮疹及肝功能损害,诊断移植物抗宿主病(GVHD)。长期口服他克莫司、麦考酚钠肠溶片、甲泼尼龙抗排异治疗,口服复方磺胺甲噁唑、伏立康唑、伐昔洛韦预防感染,双环醇片保肝治疗。8月中旬因鼠伤寒沙门氏菌肠道及血流感染住院治疗,后病情好转出院;9月13日无明显诱因出现发热,再次收入院,病程中无寒战,气促不明显,无恶心、呕吐,腹痛、腹泻等不适。


查体

轮椅推入病房,体形消瘦,慢性病容,营养不良。双肺呼吸音低,未闻及干/湿啰音,心率:94次/min,律齐,各瓣膜听诊区未闻及杂音,腹部查体无异常发现,双下肢未见浮肿,生理反射存在,病理征未引出。


主要辅助检查

  • 入院血常规:WBC 10.54×109/L,NE% 87.2%,L% 4.0%,L 0.422×109/L,Hb 134.0 g/L,PLT 19×109/L(↓)。

  • 血清淀粉样蛋白(SAA)213.12 mg/L,CRP 114.4 mg/L,PCT 0.120 ng/ml。

  • T细胞亚群流式分析:CD3-CD19+T细胞百分比1.68%,明显减低。

  • 血液免疫球蛋白组套:免疫球蛋白G 4.96 g/L(↓),免疫球蛋白A 0.17 g/L (↓),免疫球蛋白M 0.13 g/L(↓) ,免疫球蛋白E 18.50 IU/ml。

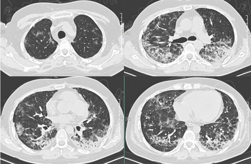
  • 胸部CT:双肺磨玻璃样改变(图1)

 

图片
图1  患者胸部CT(2018年9月13日)


  • 血液CMV DNA 阴性,血液EB病毒DNA阴性,血柯萨奇病毒B组DNA阳性。
  • 生化常规:丙氨酸氨基转移酶59.4 U/L(↑),天冬氨酸氨基转移酶26.00 U/L,γ谷氨酰转肽酶467.4 U/L(↑),乳酸脱氢酶418.40 U/L(↑),白蛋白38.30 g/L,球蛋白16.4 g/L,肌酐43.70 μmol/L(↓)。
  • 血气分析:pH 7.35,PaO2 66.00 mmHg(↓),PaCO2 49.00 mmHg(↑),实际碳酸氢根27.1 mmol/L(↑),BEecf 1.50 mmol/L,乳酸5.00 mmol/L(↑),氧饱和度92.0%。


图片

诊治经过


支气管镜检查

入院行全身麻醉支气管镜下肺泡盥洗术+支气管肺泡灌洗液病原学检测。镜下所见:气管至左右主支气管及各叶段支气管黏膜充血水肿,触之易出血,右肺中叶及左舌叶黏膜可见到点状溃疡,吸除腔内脓性分泌物,各叶段支气管内注入0.9%NaCl局部冲洗,后于右肺中叶及左舌叶行支气管肺泡灌洗。


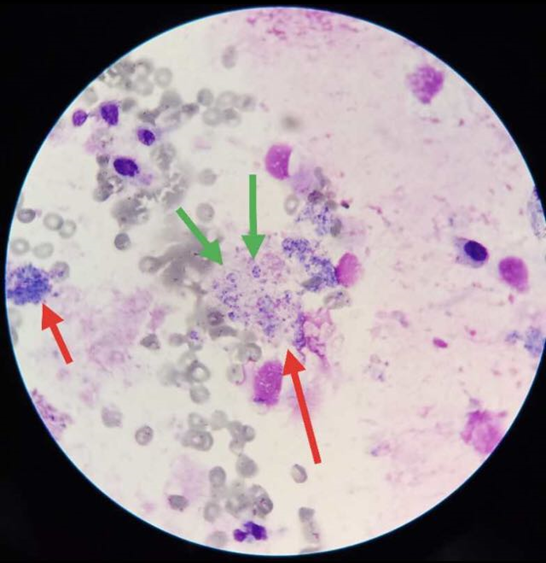
支气管镜肺泡灌洗检查结果:灌洗液细胞学示外观淡血性,微浊;有核细胞计数310×106/L(↑),淋巴细胞占53.0%(↑),纤毛柱状上皮细胞占10.0%(↑),多个核细胞占37.0%,特殊染色查耶氏肺孢子菌见滋养体及包囊(灌洗液离心沉淀瑞氏-吉姆萨染色见图2)。白介素-6(IL-6)207.80 pg/ml,真菌D-葡聚糖341.8 pg/ml(↑);结核DNA阴性,浓缩涂片未找到抗酸杆菌;EB病毒DNA阴性;CMV-DNA阳性(14500拷贝/ml);细菌、真菌及结核菌培养均阴性;灌洗液NGS示耶氏肺孢子菌DNA检出序列数14383个,CMV-DNA检出序列数120个。


 图片
图2  支气管肺泡灌洗液离心沉淀,瑞氏-吉姆萨染色见耶氏肺孢子菌包囊和滋养体


诊断

急性髓系白血病异基因造血干细胞移植术后,社区获得性肺炎(耶氏肺孢子菌并CMV感染),人柯萨奇病毒感染。


治疗方案

予复方磺胺甲噁唑口服0.96 g qid+醋酸卡泊芬净50 mg ivgtt qd抗肺孢子菌治疗,膦甲酸钠2.4 g q8h+更昔洛韦钠0.25 ivgtt q12h抗病毒治疗,患者体温恢复正常,呼吸困难好转。


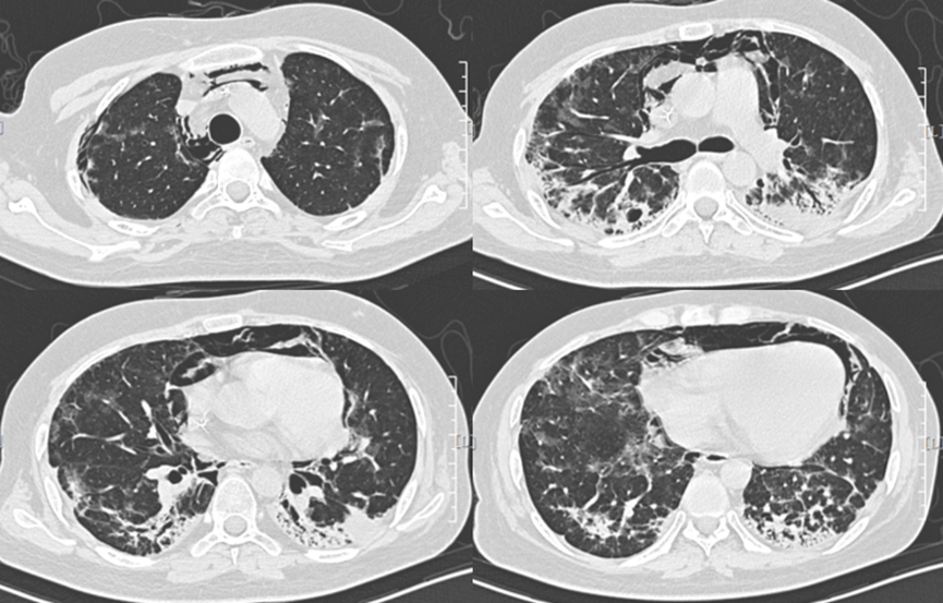
9月21日住院期间再次出现发热,气促明显加重,9月23日复查胸部CT示肺部弥漫性磨玻璃样渗出,双下肺可见实变病灶(图3),再次于全身麻醉下行支气管镜检查,镜下见气管至各叶段支气管黏膜充血水肿,触之易出血,腔内可见脓性及黏液性分泌物,予以吸出,左肺下叶行支气管肺泡灌洗,灌洗液细胞学结果示:外观淡血性,微浊。有核细胞计数520×106/L(↑),淋巴细胞占12.00%(↑),多核细胞占80%,特殊染色未查到耶氏肺孢子菌滋养体及包囊,可见大量革兰氏阴性杆菌,少许革兰氏阳性球菌,未见真菌孢子和菌丝,培养见肺炎克雷伯菌重度生长(++++),考虑合并肺炎克雷伯菌感染,根据药敏结果加用头孢哌酮舒巴坦3.0 ivgtt q8h 抗菌治疗,体温逐渐下降。

 

图片
图3  患者胸部CT(2018年9月23日)


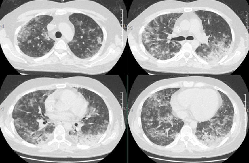
9月28日复查胸部CT:双肺磨玻璃渗出及双下肺实变病灶均好转,可见胸膜下间质增生(图4)。其间一直口服伏立康唑抗真菌预防用药。治疗过程中,患者血象低,给予升血细胞、输血、输注丙种球蛋白及白蛋白等对症支持治疗。总疗程为2个月。

 


图片
图4  患者胸部CT(2018年9月28日)



图片

转归


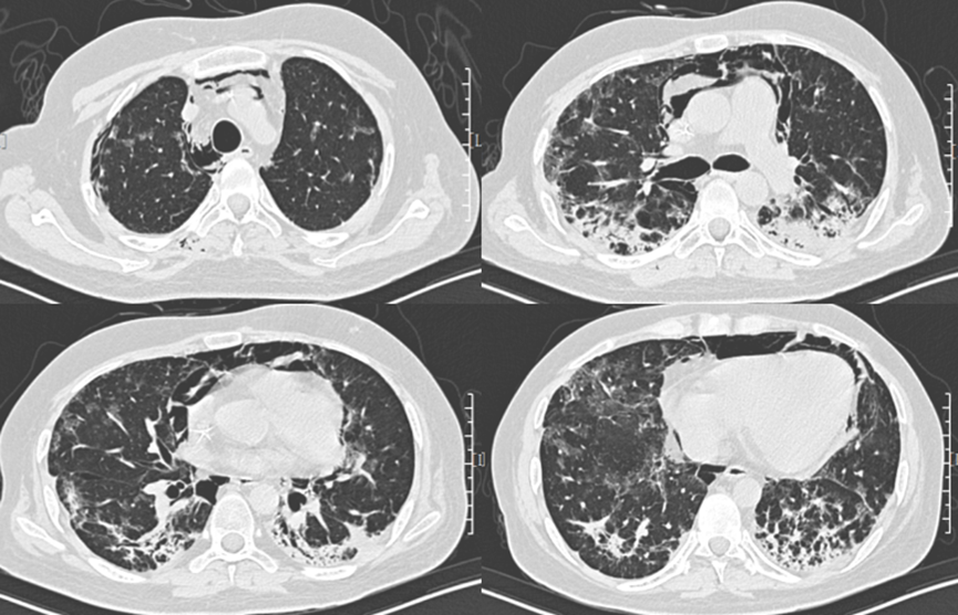
  • 10月16日复查胸部CT示肺实质囊样变,间质增生及纵隔气肿(图5)

 


图片
图5  患者胸部CT(2018年10月16日)



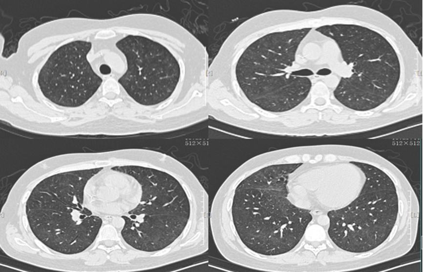
  • 10月24日复查胸部CT病灶逐步吸收,未见明显进展(图6)。精神、营养状况和肺功能好转,复查血常规基本正常,肝功能维持在轻度异常范围。肾功能正常。CRP及IL-6恢复正常,真菌D-葡聚糖降至122 pg/ml(↑)。


图片
图6  患者胸部CT(2018年10月24日)


  • 11月14日病情好转,带药出院,回家休养。

  • 治疗前后患者感染及炎性标志物水平变化见表1。


表1  治疗前后患者感染及炎性标志物水平变化

图片


图片

病例评析


该患者系血液系统恶性肿瘤并造血干细胞移植术后病例,病程中出现过皮肤及肝脏的GVHD,长期维持三联免疫抑制剂控制排异反应,以“发热3天”为主诉入院。临床特征表现为急性起病,外周血白细胞升高伴粒细胞百分比升高,急性炎症反应标志物明显升高,但PCT变化不明显,血气分析提示存在低氧血症。胸部CT提示双肺弥漫性磨玻璃样间质渗出。结合患者临床特征,从双肺弥漫性磨玻璃影的影像特征出发,诊断思路首先需要考虑病毒及肺孢子菌感染引起的肺炎等。按照《中国成人社区获得性肺炎诊断和治疗指南(2016年版)》推荐的诊治流程,结合该患者的基础疾病和治疗史,在诊断社区获得性肺炎之前首先需积极排除免疫相关的急性肺出血、肺水肿、嗜酸性粒细胞性肺炎等非感染性疾病引起的肺部病变。回顾患者的临床表现,未发现咯血及泡沫痰以及喘息,肺部无明显干/湿啰音。GVHD病情尚在控制中。当时对鉴别诊断最有意义的检测手段是支气管镜检查,包括支气管镜下肺泡灌洗,必要时需行肺组织活检明确诊断。鉴于该患者血小板水平很低,首先行支气管镜下肺泡灌洗检查并BALF病原学相关检测。经BALF mNGS结合病原体镜检同时检测到耶氏肺孢子菌的核酸序列和滋养体及包囊,同时也检测到CMV DNA和核酸序列,最终得以确定病原学诊断。


目前感染病学专家一致认为耶氏肺孢子菌是引起人类孢子菌肺炎的病原体,耶氏肺孢子菌属子囊真菌,包括包囊前体、包囊、滋养体三种结构形态,滋养体是其主要的感染态。因其细胞壁缺乏麦角固醇,因而不能在真菌培养基上生长,主要通过吸入气溶胶微滴传播,寄植在人Ⅰ型肺泡上皮,导致Ⅰ型肺泡上皮细胞破坏,炎性细胞及介质渗出,Ⅱ型肺泡上皮细胞增殖修复可导致弥漫性肺泡损伤、气体交换障碍和呼吸衰竭,几乎只在免疫抑制人群中致病,是引起免疫抑制患者肺部感染的重要致病真菌之一。


耶氏肺孢子菌肺炎(pneumocystis jirovecii pneumonia,PJP)既往在人类免疫缺陷病毒(human immunodeficiency virus,HIV)感染的患者中最常见。随着抗逆转录病毒药物的早期规范化应用及甲氧苄氨嘧啶/复方磺胺甲噁唑(trimethoprim/sulfamethoxazole,TMP/SMX)的预防性治疗,PJP在此类患者中的患病率明显下降。但伴随实体器官肿瘤的放化疗、血液系统恶性肿瘤、造血干细胞移植、实体器官移植、自身免疫性疾病及结缔组织病、炎症性疾病应用免疫抑制剂及激素治疗的增多,非HIV感染的免疫功能低下患者(non-HIV infected immunocompromised patients,non-HIV ICP)中,PJP的发病率不断上升。在non-HIV ICP-PJP中,发生PJP最重要的危险因素是长期应用中至大量糖皮质激素和细胞免疫功能受损,其他特定的危险因素包括免疫抑制药物使用(如抗排异药物,TNF-α抑制剂,嘌呤类似物,替莫唑胺联合放疗,单克隆抗体如阿仑单抗、利妥昔单抗、伊布替尼等)、肿瘤(包括实体肿瘤、血液系统恶性肿瘤)、实体器官或造血干细胞移植、某些炎症性疾病的治疗(尤其是风湿性疾病)、原发性免疫缺陷(如严重联合免疫缺陷病)以及严重营养不良等。结合本病例的宿主免疫特征—血液系统恶性肿瘤并造血干细胞移植后三联抗排异药物使用,是罹患non-HIV PJP的高危人群,结合2019年EROTC/MSG侵袭性真菌病(IFD)定义共识,该患者属PJP确诊病例(proven diagnosis)。


与HIV PJP患者不同,non-HIV PJP发病更隐匿,进展更快,更易与其他病原菌混合感染,更易在短期内进展为急性呼吸衰竭,因此早期快速精准的病原诊断对指导PJP及其混合感染的治疗及改善预后非常重要。传统实验室诊断方法包括血/灌洗液(1,3)β-D-葡聚糖阳性,外周血乳酸脱氢酶(LDH)升高(>618 U/L)以及下呼吸道分泌物液镜检发现耶氏肺孢子菌滋养体和/或包囊,这些检测方法易受其他因素的干扰,导致灵敏度和特异度均不高。随着分子诊断技术的提高和普及,BALF mNGS在non-HIV PJP病原诊断中的应用越来越广泛,mNGS病原检测在感染病原的快速性、查全率和灵敏度方面具有无可比拟的优势,该病例即是通过BALF mNGS检测,第一时间明确感染病原,并通过传统检测方法验证确立诊断。需要注意的是,该患者虽然在病程中应用甲氧苄氨嘧啶/复方磺胺甲噁唑和伐昔洛韦预防PJP及CMV感染,但由于存在患者依从性差、病原菌耐药以及血药浓度不达标等多种可能的原因,患者仍然出现了突破性感染,也进一步提示了non-HIV ICP预防性治疗的复杂和困难。


胸部高分辨率CT(high-resolusion computed tomography,HRCT)检查是诊断PJP的重要手段,早期典型的胸部HRCT表现为双肺由中心向外周分布的对称性多发的弥漫性粟粒状、斑点状阴影,边界清晰。炎症急性期HRCT可见以肺门为中心的双侧对称向外分布的弥漫性磨玻璃影,胸膜下较少受累及,呈典型的月弓征表现。恢复期伴随组织修复,纤维结缔组织增生,HRCT呈间质纤维化改变,双肺下叶间隔明显增厚,条索影、网格影等改变。其中肺气囊是PCP较常见的影像学表现,表现为磨玻璃影、间质病变中的薄壁空腔,破裂可引起自发性气胸、纵膈及皮下气肿,少见表现包括有结节、实变、纵隔淋巴结肿大、胸腔积液等。合并其他病原菌感染或有肺部基础疾病者,影像学表现不典型。


对non-HIV ICP PJP的治疗,主张尽早启动特异性治疗,延迟治疗增加机械通气的需求和死亡率。与HIV ICP患者CD4+ T细胞的数量下降与PJP发病明显正相关不同,non-HIV ICP罹患PJP的危险因素更加复杂,如:接受≥20 mg/d泼尼松等效剂量的糖皮质激素治疗≥1个月且存在免疫功能受损、造血干细胞移植/实体器官移植受者、血液系统恶性肿瘤、应用免疫抑制药物等免疫功能受损宿主,均是罹患PJP的高危人群,应积极实施预防性治疗,降低PJP的发病率。复方磺胺甲噁唑(TMP-SMX)可作为一线预防性药物,对于现症感染可以联合醋酸卡泊芬净治疗,多家中心报道疗效显著,但卡泊芬净单药治疗的效果报道不一。血药浓度不达标,宿主免疫抑制状态严重且不能尽快恢复等多种因素,包括潜在的耐药菌株的感染均可能影响治疗效果,需要在今后的研究中加以关注。


与免疫功能相对正常患者不同,免疫抑制宿主的抗感染治疗疗程明显受到患者免疫功能的影响,重度免疫抑制患者往往需要延长抗感染治疗疗程,甚至两种或多种抗感染药物联合应用。此外,免疫抑制患者往往同时服用多种药物,影响了抗感染治疗药物的有效血药浓度,导致治疗失败,这也值得关注。多种药物联合应用进一步增加了脏器功能受损的风险。诸多因素的存在亦增加了治疗难度,需要在临床工作中严密监测,以期达到患者抗感染治疗的最大获益。



参考文献



[1]Lagrou K, Chen S, Masur H, et al. Pneumocystis jirovecii Disease: Basis for the Revised EORTC/MSGERC Invasive Fungal Disease Definitions in Individuals Without Human Immunodeficiency Virus[J]. Clin Infect Dis, 2021, 72(Suppl 2):S114-S120. 


[2] Donnelly J P, Chen S C, Kauffman C A, et al. Revision and Update of the Consensus Definitions of Invasive Fungal Disease From the European Organization for Research and Treatment of Cancer and the Mycoses Study Group Education and Research Consortium[J]. Clin Infect Dis, 2020, 71(6):1367-1376.


[3] Linden P K. Approach to the immunocompromised host with infection in the intensive care unit[J]. Infect Dis Clin North Am, 2009, 23 3:535-556. 


[4] Shorr A F, Susla G M, O'Grady N P. Pulmonary infiltrates in the non-HIV-infected immunocompromised patient: etiologies, diagnostic strategies, and outcomes[J]. Chest, 2004, 125 1:260-71. 


[5] Cilloniz C, Dominedo C, Alvarez-Martinez M J, et al. Pneumocystis pneumonia in the twenty-first century: HIV-infected versus HIV-uninfected patients[J]. Expert Rev Anti Infect Ther, 2019, 17 10:787-801.


[6] Bateman M, Oladele R, Kolls JK. Diagnosing Pneumocystis jirovecii pneumonia: A review of current methods and novel approaches[J]. Med Mycol, 2020, 58 8:1015-1028.


[7] 热病:桑福德抗微生物治疗指南[M].48版.北京:中国协和医科大学出版社,2019.


[8] 段智梅,谢菲.非HIV感染的免疫功能低下患者急性重型耶氏肺孢子菌肺炎研究进展[J].中国急救复苏与灾害医学杂志,2021,16(6):704-709.



全部评论 0
Copyright©2020-2026 北京医麦斯科技有限公司 版权所有 京ICP备2020034400号-1 京公网安备11010502043983号