登录方式

方式一:
PC端网页:www.rccrc.cn
输入账号密码登录,可将此网址收藏并保存密码方便下次登录

方式二:
手机端网页:www.rccrc.cn
输入账号密码登录,可将此网址添加至手机桌面并保存密码方便下次登录

方式三:
【重症肺言】微信公众号
输入账号密码登录

注:账号具有唯一性,即同一个账号不能在两个地方同时登录。

登录
方式

为重症救治赋能

为患者康复加速

当前位置:首页 重症实战 病例集锦

一例重症CRO感染患者的救治

庞晓倩 河南省胸科医院呼吸重症监护病房 发布于2025-07-16 浏览 2475 收藏

作者:庞晓倩

单位河南省胸科医院呼吸重症监护病房


一、病情介绍


1. 基本信息

患者女性,55岁,农民,2024年6月6日入院。主诉:干咳、胸闷伴发热1月余。

2. 现病史

1月余前无诱因出现干咳,胸闷,伴发热,最高38℃,伴全身乏力。当地诊所输液治疗(具体不详)。患者仍间断发热,至X市中医院门诊就诊,查胸部CT示双肺间质性改变,予口服中药治疗;呼吸困难加重、氧合无法维持。气管插管有创通气后入住X市中医院ICU,肺泡灌洗液(BALF)NGS提示甲型流感病毒感染,予抗感染等治疗,病变较前仍然进展,20余天前转至X医科大学附属医院重症医学科,肺动脉CTA示肺栓塞,BALF NGS提示鲍曼不动杆菌、大肠埃希菌、纹带棒状杆菌,予“头孢哌酮舒巴坦、多黏菌素E甲磺酸钠、奥马环素”抗感染,同时予抗病毒、抗炎、抗凝、抗纤维化等治疗。但患者仍间断发热,复查胸部CT示肺部病变加重,且拔管困难。6月6日转至我院。

3. 既往史及其他

平素体健,否认“高血压、糖尿病”等病史。无吸烟、嗜酒等嗜好。婚育史及家族史均无特殊。

4. 入院查体

气管插管有创通气(P-A/C模式,FiO2 100%,PEEP 5 cmH2OF 18次/min)。双肺听诊呼吸音粗,可闻及湿啰音;心律齐,心率114次/min,各瓣膜听诊区未闻及杂音;腹软,无压痛及反跳痛;双下肢无水肿,双侧病理征阴性。

5. 辅助检查

  • 肺泡灌洗液NGS(2024-05-22,外院):鲍曼不动杆菌序列数80469),大肠埃希菌序列数6243),纹带棒状杆菌序列数10568)。

  • 胸部CT(2024-05-30,外院):双肺多发高密度影,较前密度增高,考虑感染性性病变;双侧胸膜增厚;胸腰椎轻度退行性变

  • 肺动脉三维增强CT扫描(2024-05-13,外院):右肺上叶后段、下叶后基底段、左肺上叶下舌段肺动脉分支内肺栓塞。

6. 入院诊断

重症肺炎(鲍曼不动杆菌、大肠埃希菌、纹带棒杆菌)②呼吸衰竭;③间质性肺疾病;④肺栓塞。

7. 入院辅助检查

  • 血气分析:气管插管有创通气(模式:P-A/C,FiO2 100%,PEEP 5 cmH2O,F 18次/min),pH 7.3,PaCO2 80 mmHg(↑),PaO2 168 mmHg(↑),氧合指数168 mmHg(↓),K+ 3.4 mmol/L(↓),GLU 14.9 mmol/L(↑),SaO2 98.7%(↑),Hb 75 g/L(↓)。行气道引流。

  • /乙流抗原检测阴性;新冠病毒核酸检测阴性;呼吸道病毒九联检测阴性。

  • 血常规+CRPWBC 16.19×109/L↑)NEU% 82.7%↑)LYM% 4.1%↓)NEU 13.38×109/L↑)LYM 0.67×109/L↓)Hb 74 g/L,CRP 24.94 mg/L。

  • 生化:ALT 47 U/L(↑),GGT 173 U/L(↑),ALB 33.4 g/L↓)Crea 26 μmol/L(↓),UA 116 μmol/L(↓),LDH 235 U/L(↑)。

  • 凝血功能:APTT 21.7 s(↓),D-二聚体0.99 μg/ml(↑),FBG 4.02 g/L↑),FDP 5.68 μg/ml(↑)。

  • 淋巴细胞亚群:淋巴细胞绝对值732个/μl(↓),CD3+ 501个/μl(↓),CD3+CD4+ 328个/μl(↓),CD3+CD8+ 155个/μl(↓),NK细胞96个/μl(↓)。

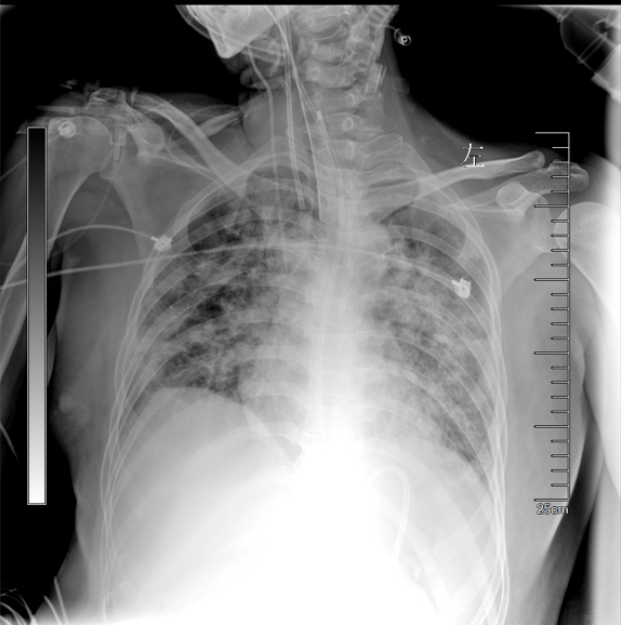
  • 胸部X线片:双肺斑片样渗出,透亮度下降左肺较右肺偏重(图1)

图片

1  患者胸部X线片(2024-06-06)

  • 彩超:肝胆胰脾均无异常;双肾、输尿管、膀胱均无异常;二尖瓣、三尖瓣少量反流;左室收缩功能正常;胸腔无积液;左侧肌间静脉内血栓形成。


二、诊疗经过


1. 初步治疗方案

  • 抗感染:多黏菌素E(静脉+雾化)+替加环素,泊沙康唑预防性抗曲霉。

  • 激素抗炎,抗凝。

  • 吸支持:气管插管有创通气(FiO2 100%)。

  • 抗纤维化、保肝、补充蛋白、营养支持。

查阅相关文献,流感相关性肺曲霉病(IAPA)的发病机制主要有以下几方面:

(1)破坏呼吸道防御屏障: 流感病毒破坏气道上皮细胞和清除曲霉分生孢子所需的相关纤毛功能,促进真菌的定植和侵袭。

(2)破坏机体的免疫功能:抑制吞噬细胞,影响固有免疫功能;外周血淋巴细胞减少,引起CD4+T淋巴细胞减少,影响细胞免疫功能;流感病毒通过影响炎症因子分泌,使机体处于“免疫麻痹状态”。

(3)重症流感患者接受的药物治疗可能导致IPA的发生:经验性使用广谱抗生素导致气道微生态紊乱;糖皮质激素使用导致免疫抑制;奥司他韦抑制宿主神经氨酸酶可降低宿主免疫反应,从而增加对IPA的易感性。

2. 完善检查

  • 抗核抗体谱12项阴性。

  • BALF GM试验2.058(↑)。

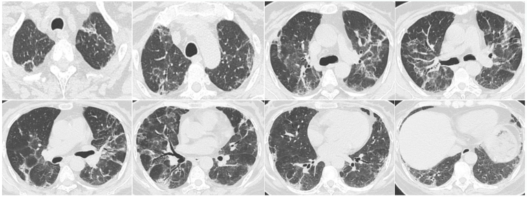
  • 胸部+肺动脉CTA(2024-06-07):双肺散在炎性病变伴间质改变,部分实变不张;所示肺动脉CTA未见确切栓塞征象(图2)

图片

2  患者胸部CT(2024-06-07)

  • BALF培养:耐碳青霉烯类鲍曼不动杆菌;药敏结果提示仅对黏菌素和替加环素敏感。

3. 病情变化

根据BALF培养结果,抗感染方案沿用替加环素+多黏菌素E(静脉+雾化),同时联合抗曲霉治疗。患者入院第2天出现高热,体温超过38.5℃,考虑外院住院时间较长,可能出现导管尖端感染。所以拔除全身导管后予以更换,同时送检导管尖端病原学培养,结果并无阳性发现。

经过抗感染治疗,患者体温基本稳定在37℃左右,未再出现高热(图3)。但停镇静2天仍未醒,查体见双侧瞳孔等大,呼之无反应,四肢未见活动,完善颅脑CT及腰椎穿刺。脑脊液NGS提示屎肠球菌(序列数10),污染可能性大。患者前期长期插管并使用了镇静药物因此考虑可能存在镇静药物蓄积

图片

3  患者体温变化情况

患者气管插管时间较长,意识欠清,自主呼吸和肺功能差,呼吸机参数下调困难。与家属沟通后于6月8日气管切开6月9日患者意识转清,四肢肌力差(可能是镇静药物的影响)。

4. 疗效评价

经过抗感染治疗,患者WBC和CRP逐渐下降(图4),吸氧量下调,氧分压稳定在100 mmHg(图5)

图片

4  患者感染指标变化情况

图片

5  患者氧合指标变化情况

6月19日复查胸部CT示双肺下叶实变范围较前缩小,但仍可见间质样改变。

                                                                                                                      已关注                                                                            关注                                                               重播                                                                                                                                                            观看更多


    0/0

    00:00/00:23进度条,百分之0播放00:00/00:2300:23全屏


    倍速播放中 0.5倍 0.75倍 1.0倍 1.5倍 2.0倍 超清 流畅

    继续观看

    一例重症CRO感染患者的救治

    原创,一例重症CRO感染患者的救治重症肺言已同步到看一看


            视频详情              

    视频:患者胸部CT变化情况

    注:左侧为2024年6月19日胸部CT,右侧为2024年6月7日胸部CT。

    5. 康复治疗

    积极抗感染治疗的同时加强营养支持、呼吸功能锻炼肢体功能锻炼。患者于619日顺利脱机,套管内供氧

    6. 巩固治疗

    6月21日转普通病房,予抗感染、抗凝、激素抗炎、抗纤维化治疗,并辅以营养支持、肢体功能锻炼。

    7. 转归

    71日封闭套管鼻导管吸氧,氧合较稳定,未出现呼吸急促等情况。73日拔除气切套管79好转出院。
    8. 随访

    727随访胸部CT:双肺炎症渗出较前吸收良好,遗留间质样改变(图6)。考虑可能是前期病毒感染所致。

    图片

    6  复查胸部CT(2024-07-27)


    三、小结


    对于重症感染患者而言,尽早明确病原学诊断是治疗的关键起点。通过病原学检测(如血培养、分泌物培养等),能精准识别感染病原体类型,为后续治疗方案提供核心依据。及早控制感染源同样刻不容缓,例如对脓肿病灶的及时引流、感染坏死组织的清创等,可有效阻止病原体扩散。恰当且及时地使用抗菌药物,需依据药敏结果选择针对性药物,把握最佳给药时机以提升疗效。对于插管时间长、拔管困难的患者,尽早实施气管切开更具优势,既能减少气道损伤风险,又能为呼吸支持提供更稳定的通路。此外,营养支持与肢体功能锻炼对患者远期预后至关重要,合理的营养供给可增强机体免疫力,早期肢体功能锻炼则能预防肌肉萎缩、促进机能恢复,助力患者获得更好的康复效果。


    图片

    作者介绍


    图片

    庞晓倩

    河南省胸科医院RICU主治医师发表中文核心期刊及英文SCI论文2篇,实用新型专利1项,河南省科技厅成果奖参与者参加中华医学会举办的重症专科资质培训,考取重症5C证书,参加中国心胸血管麻醉学会体外生命支持分会举的“2024年华中心血管病大会ECMO操作规范培训”,获得ECMO操作资质

    声明:

    本文仅用于学术内容的探讨和交流,不用于任何商业和推广。临床实践需根据患者的具体情况选择适宜的处理措施。


    全部评论 0
    Copyright©2020-2025 北京医麦斯科技有限公司 版权所有 京ICP备2020034400号-1 京公网安备11010502043983号