作者:孙禾1,阿纳尔古丽·麦麦提2,陈愉恺1,赵庭瑞3
单位:1. 同济大学附属东方医院呼吸与危重症医学科;2. 新疆维吾尔自治区喀什地区莎车县人民医院呼吸与危重症医学科;3. 绵阳市第三人民医院(四川省精神卫生中心)
患者,男性,71岁,主因“发热伴咳嗽、咳痰10天”住院。既往有“高血压”病史10余年,最高血压160/100 mmHg,平素血压正常,余无殊。听诊双肺呼吸音粗,双肺可闻及干/湿啰音,右肺明显。入院前10天患者无明显诱因出现发热,最高体温38.8℃,有咳嗽、咳黄白色黏痰,不易咳出。患者于当地医院予对乙酰氨基酚、头孢唑肟、痰热清注射液等治疗后,仍有反复发热,咳嗽、咳痰症状无明显缓解,前来我院就诊,急诊查白细胞计数10.35×109/L,C反应蛋白115.93 mg/L;胸部CT提示右肺多发炎症可能,急诊拟“肺部感染”收治入院。
社区获得性肺炎;高血压病2级,高危。
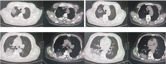
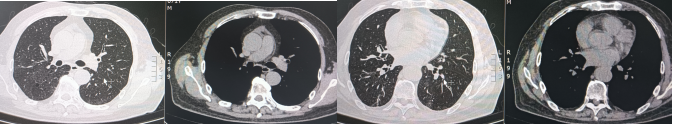
2024年8月21日急诊科胸部CT示:双肺散在炎症(右肺为著)(图1),入院后辅助检查示:白细胞计数10.09×109/L,中性粒细胞绝对数8.06×109/L,C反应蛋白119.34 mg/ml,降钙素原0.096 ng/ml,血清淀粉样蛋白>288.00 mg/L,红细胞沉降率测定96 mm/h,白介素-6 40.88 pg/ml;其余凝血功能、外周血淋巴细胞亚群、血生化、尿常规、粪便常规、心功能、肿瘤标志物、甲状腺功能、呼吸道病原体抗体、多重病原体核酸、支原体、衣原体核酸均未见明显异常。床旁气管镜示:右主支气管及各级支气管可见少许黄白色黏稠痰,以右肺下叶基底段为甚,予以灌洗后吸引并送检。左主支气管及各级支气管可见少许黄白色黏稠痰,以左肺下叶为甚,予以灌洗后吸引并送检。肺泡灌洗液(BALF)涂片、培养、GM试验、分枝杆菌检测、Xpert:(-);BALF NGS结果:流感嗜血杆菌(序列数15)。
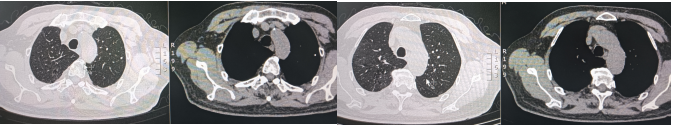
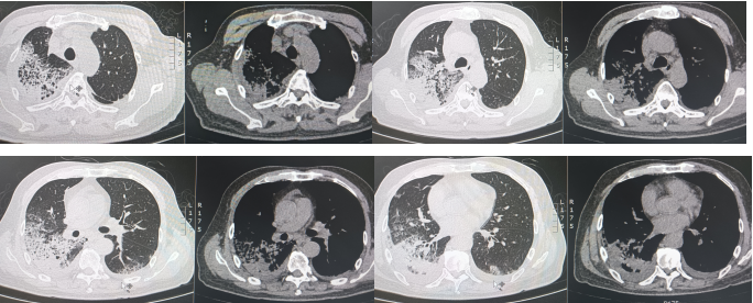
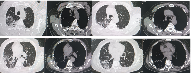
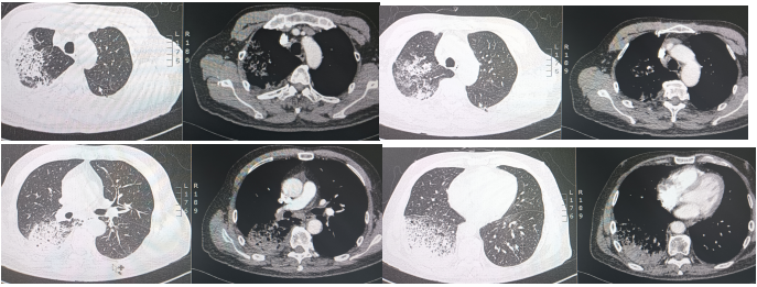
入院后给予奈诺沙星0.5 g qd ivgtt、头孢他啶阿维巴坦2.5 g q8h ivgtt经验性抗感染治疗。治疗5天后复查相关指标:白细胞计数9.69×109/L,中性粒细胞绝对数7.31×109/L,C反应蛋白90.4 mg/ml,血清淀粉样蛋白>288.00 mg/L,红细胞沉降率测定94 mm/h;胸部CT:右肺上叶、下叶间质性炎症,左下肺小结节,炎性结节可能(图2)。提示病变无明显好转,告知家属病情后再次行气管镜检查,行病原学检查及病理检查,结果示:BALF涂片、培养、GM均阴性;BALF NGS回报:流感嗜血杆菌、烟曲霉。冷冻肺活检病理:(右肺下叶后基底段)肺组织急、慢性炎,肺泡腔内见纤维素样渗出物伴泡沫细胞聚集。免疫组化结果:CK7(+),TTF1(+),SMA(平滑肌+),NapsinA(+),PGM-1(+),Ki-67(+, 5%),P40(+),CD68(+)。考虑真菌感染不除外于8月31日加用伏立康唑0.2 g q12h ivgtt;醋酸卡泊芬净70 mg qd ivgtt抗真菌对症治疗。图2 2024年8月27日复查胸部CT较8月21日胸部CT无明显吸收9月5日再次复查相关指标:白细胞计数12.38×109/L,中性粒细胞绝对数9.27×109/L,C反应蛋白151.46 mg/ml,血清淀粉样蛋白>288.00 mg/L,红细胞沉降率117 mm/h。胸部CT:右肺散在间质性炎症,左下肺新发炎症灶,较前进展,左下肺小结节,范围较前增大(图3)。图3 2024年9月5日胸部CT右下肺炎症较8月27日进展,左肺出现新发炎症灶9月5日行MDT讨论,考虑感染继发机化性肺炎不除外,建议在目前抗感染治疗保驾下予中等剂量激素治疗,并严密动态观察相关指标。9月6日起治疗上加用甲泼尼龙琥珀酸钠80 mg qd ivgtt。治疗1周后(9月12日)复查相关指标:复查炎症标志物:白细胞计数16.47×109/L,中性粒细胞绝对数14.79×109/L,C反应蛋白11.08 mg/ml,血清淀粉样蛋白25.388 mg/L,红细胞沉降率28 mm/h。胸部CT:双肺散在间质性炎症(右肺为著),较前吸收(图4)。9月12日调整激素剂量为醋酸泼尼松片35 mg qd口服;9月19日患者无发热,无明显咳嗽、咳痰不适,予出院并嘱出院后维持醋酸泼尼松片35 mg qd口服,1周后每周减5 mg,减至20 mg后维持1周并复查胸部CT,根据胸部CT结果调整剂量。10月21日患者门诊复查胸部(图5),较前明显吸收,激素调整为醋酸泼尼松片10 mg qd,目前在持续随访中。治疗期间感染相关指标变化情况如图6所示。机化性肺炎(organizing pneumonia,OP)是一种肺组织修复过程,是以肺泡腔/管内有息肉状肉芽组织为病理特点,主要由成纤维细胞、肌成纤维细胞和疏松结缔组织基质构成[1]。同时与其他肺损害,如血管炎、淋巴瘤、肺癌、过敏性肺炎(hypersensitivity pneumonitis,HP)、嗜酸性粒细胞性肺炎(eosinophilic pneumonia,EP)、急性间质性肺炎(acute interstitial pneumonia,AIP)、非特异性间质性肺炎(nonspecific interstitial pneumonia,NSIP)或普通型间质性肺炎(usual interstitial pneumonia,UIP)关系密切。OP具有复杂的多态性,具有急性、亚急性和慢性多种形式。OP可以根据病因分为隐源性机化性肺炎(cryptogenic organizing pneumonia,COP)和继发性机化性肺炎(secondary organizing pneumonia,SOP)。COP与SOP在临床表现、影像表现和肺功能无明显差异[2],当有相关病因时诊断为SOP,当临床未发现相关潜在疾病时诊断为COP。OP的概念最早在肺炎链球菌的大叶性肺炎中被阐述,OP的发病机制目前主要认为肺泡上皮损伤,纤维蛋白渗出,导致成纤维细胞增生-肌成纤维细胞增生[3]。机化存在于多种肺损伤中,具有相同的本质,无论是局灶性还是弥漫性肺损伤,以成纤维细胞增殖为特征的机化是一种常见且几乎普遍的反应[4],机化被认为是对炎症渗出的反应和局限,很可能代表疾病的一个阶段,而不是独立的疾病。所以如果有确认感染的证据,虽然CT上发现有机化的特征,临床诊断OP往往是不必要的,除非这种机化是主要表现,而且改变了疾病进程。因此关注整体,将OP作为疾病的一个阶段,有利于建立对疾病的全息认识。OP没有特异的临床特征,患者可能出现发热、咳嗽、乏力、轻度呼吸困难、厌食症和体重减轻等,类似于流感[5],临床表现不特异。有些患者接受经验性抗生素治疗后往往无效,且疾病可能会迅速进展,导致严重的呼吸困难,甚至是ARDS,往往存在延误诊断。有文献报道大部分OP患者为不吸烟患者,肺功能主要表现为限制性通气障碍,也可表现为混合型和阻塞性通气障碍[6]。也有学者研究SOP患者有胸腔积液,而COP患者未报告胸腔积液[7]。因此,胸腔积液似乎与背景疾病有关,而与OP本身无关。OP的CT表现可以按照发生率分为典型和非典型模式[6],多数患者表现为典型模式,即多灶性实变,常被描述为斑片状肺泡阴影,一般位于下肺外周或支气管血管周围;实变可伴有支气管充气征,并可伴有散在的磨玻璃病变或小结节。而非典型的病变表现多样,可为磨玻璃影,也可为结节或肿块样表现、反晕征、铺路石征、小叶周围病变、线性和带状阴影以及网状结构。OP虽然有多种影像学表现,但均不特异,类似的表现同样可以出现在其他疾病中。例如,迁移性病灶可提示嗜酸性粒细胞性肺炎、感染、血管炎和复发性出血[8];弥漫性微小结节可见于过敏性肺炎、细支气管感染和炎症;反晕征可见于多种感染、非感染性肉芽肿异常,甚至原位腺癌[9]。因此诊断OP不能单纯依靠CT,需要结合临床和病理特征。目前针对OP的治疗,COP主要是以糖皮质激素为主[10],SOP需要兼顾原发疾病治疗及激素应用,因此我们需要尽早明确病理,及时治疗,减少不良预后。针对重症患者,尽早获取病理是必要的。此病例我们初步诊断为CAP,予抗感染治疗后疾病进展,及时行二次支气管镜冷冻肺活检+灌洗,同时通过mNGS及病理检查,最终被诊断为SOP,经激素抗炎治疗后症状好转,影像学提示病灶明显吸收。总之,OP在临床上并不少见,但由于其临床表现无特异性且CT表现多样,所以及时正确诊断OP罕见,诊断OP需要结合临床和病理特征,只有当OP成为主导性特征且干扰了疾病进程,才被冠以OP的诊断。针对初诊为肺炎的患者,当经验性抗感染治疗效果欠佳时,需要及时明确病原学检查及病理诊断,及时修改诊断及治疗路径,及时干预[11]。[1] CottinV,CordierJF. Cryptogenic organizing pneumonia[J]. Semin Respir Crit Care Med, 2012, 33(5): 462-475.
[2] Choi KJ, Yoo EH, Kim KC, et al. Comparison of clinical features and prognosis in patients with cryptogenic and secondary organizing pneumonia[J]. BMC Pulm Med, 2021, 21(1):336.
[3] Kim EJ, Kim KC. Pulmonary tuberculosis presenting secondary organizing pneumonia with organized polypoid granulation tissue: case series and review of the literature[J]. BMC Pulm Med, 2020, 20(1):252.
[4] King TE Jr, Lee JS. Cryptogenic Organizing Pneumonia [J]. N Engl J Med, 2022, 386(11):1058-1069.
[5] Zhou Y, Wang L, Huang M, et al. A long-term retrospective study of patients with biopsy-proven cryptogenic organizing pneumonia[J]. Chron Respir Dis, 2019, 16:14799731198538 29.
[6] Cherian SV, Patel D, Machnicki S, et al. Algorithmic Approach to the Diagnosis of Organizing Pneumonia:A Correlation of Clinical, Radiologic, and Pathologic Features[J]. Chest, 2022, 162(1):156-178.
[7] 徐若男, 张黎明. 隐源性和感染继发机化性肺炎的临床特征及预后分析[J]. 临床肺科杂志, 2022, 27(12):1839- 1844.
[8] Epler GR. Bronchiolitis obliterans organizing pneumonia, 25 years:a variety of causes, but what are the treatment options?[J].Expert Rev Respir Med, 2011, 5(3):353-36
[9] Zare Mehrjardi M, Kahkouee S, Pourabdollah M.Radio-pathological correlation of organizing pneumonia(OP):a pictorial review[J]. Br J Radiol, 2017, 90(1071):20160723.
[10] Krupar R, Kumpers C, Haenel A, et al. Cryptogenic organizing pneumonia versus secondary organizing pneumonia[J]. Pathologe, 2021, 42(1):55-63.
[11]谢玉芳, 田火欢, 刘丹. 鹦鹉热衣原体肺炎并发机化性肺炎一例并文献复习[J]. 中国呼吸与危重监护杂志, 2024, 23(1):43-46.
孙禾
同济大学附属东方医院呼吸与危重症医学科,副主任医师,副教授,美国加州大学旧金山分校访问学者,中华医学会呼吸病学分会感染学组全国委员,中国医药教育协会感染疾病专业委员会全国委员,中国老年医学学会呼吸病学分会委员,中国研究型医院学会空间微生物学与感染专业委员会委员。主编专著2部,参编高等医学教育统编教材3部,国家级指南3部;参与研究的课题获省级科技成果奖2项,获国家级发明专利4项,实用新型专利2项;发表SCI论著10余篇,国家核心期刊论著30余篇。专业研究方向:呼吸系统感染与免疫的临床和基础研究。擅长:疑难、重症及免疫抑制患者下呼吸道感染的综合救治;肺部肿瘤及慢性气道性疾病的综合管理。阿纳尔古丽·麦麦提
新疆维吾尔自治区喀什地区莎车县人民医院呼吸与危重症医学科, 住院医师, 医学硕士, 发表中文核心期刊文章1篇, 擅长呼吸系统常见病的综合救治。
陈愉恺
同济大学附属东方医院呼吸与危重症医学科,主治医师,发表SCI论著1篇,擅长呼吸系统重症感染及呼吸衰竭的综合救治。
赵庭瑞
绵阳市第三人民医院(四川省精神卫生中心), 医学硕士, 初级药师; 发表SCI论著3余篇, 中文核心1篇, 发明专利1项。擅长: 慢性阻塞性肺疾病、支气管哮喘等呼吸系统疾病、咳喘用药指导和管理, 常见慢性疾病用药、药物不良反应的判断与防治、药物相互作用用药咨询等。