登录方式

方式一:
PC端网页:www.rccrc.cn
输入账号密码登录,可将此网址收藏并保存密码方便下次登录

方式二:
手机端网页:www.rccrc.cn
输入账号密码登录,可将此网址添加至手机桌面并保存密码方便下次登录

方式三:
【重症肺言】微信公众号
输入账号密码登录

注:账号具有唯一性,即同一个账号不能在两个地方同时登录。

登录
方式

为重症救治赋能

为患者康复加速

当前位置:首页 重症实战 病例集锦

隐球菌肺炎一例

姜旭霞1,葛玉梅2 1. 萧山区第三人民医院;2. 浙江省人民医院检验中心 发布于2024-09-03 浏览 3232 收藏

作者:姜旭霞1,葛玉梅2

单位:1. 萧山区第三人民医院;2. 浙江省人民医院检验中心


迄今已鉴定出100多种隐球菌属真菌,但已知只有少数几种会导致人类疾病。然而,与其他机会性致病真菌不同,隐球菌是一种致命的真菌,一旦感染,死亡率很[1,2]。根据调查,隐球菌病已成为中国第二大侵袭性酵母菌感染[3],这也带来了巨大的公共医疗负担。肺隐球菌病是一种以新型隐球菌或格特隐球菌感染为主的侵袭性真菌病,常见于免疫功能低下患者。但近年来其在免疫功能正常宿主中的发病率也迅速上[4,5]。随着肺隐球菌病的增多,大多数患者无临床症状,然而有临床症状的患者也缺乏特异性表现,包括咳嗽、咳痰、发热、呼吸困难、胸痛、咯血,难以与其他原因引起的肺炎相区[6,7],常常导致诊治的延误。尽管目前有完善的针对隐球菌病的诊断方法,然而早期诊断仍是临床面临的一大挑战。本文报道一例隐球菌肺炎病例,旨在提高临床和检验实验室对该病的认识,做到早期诊断。








一、病情介绍
1. 病史情况
患者,女,57岁,1个月前无明显诱因出现胸痛,略有咳嗽,于当地卫生院接受青霉素药物治疗,自觉较前好转。后复查胸片,发现右下肺有团块阴影,且两肺多发微小结节,于是来我院接受进一步治疗。患者有强直性脊椎炎病史10年,长期服用甲氨蝶呤等药物。此外无其他基础疾病和药物使用史。
2. 入院后检查
入院后行体格检查,患者体温36.0℃,呼吸20次/分,脉搏56次/分,血压137/71 mmHg。神志清,口唇无明显发绀,皮肤巩膜无黄染,双侧锁骨上淋巴结未及肿大,气管居中,双肺听诊呼吸音粗,未闻及干/湿性啰音,未及哮鸣音,律齐,各瓣膜听诊区未闻及明显的病理性杂音,肝脾肋下未及,腹平软,无压痛、反跳痛,双下肢无浮肿,双肾区无叩痛,神经系统检查未见明显异常。
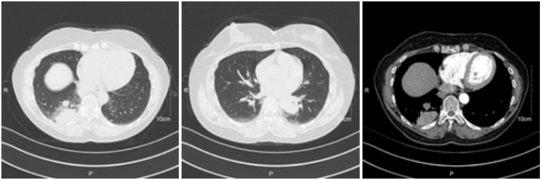
患者肺部CT如图1所示,两肺下叶散在团片影,考虑炎性病变可能大。实验室检查结果如表1所示。由于长期使用免疫抑制剂,患者处于免疫功能低下状态,血清隐球菌荚膜抗原阳性是诊断隐球菌病的关键。
图片
1  患者肺部CT
1  患者实验室检查结果
图片
通过右肺穿刺取得肺部肿块组织,病理HE染色发现慢性肉芽肿性炎(图2A和图2B),特殊染色结果PAS(+)、PASM(+),提示隐球菌感染。六铵银染色发现组织间散布大量菌体(图2C和图2D)。美兰染色可见圆形囊泡状隐球菌菌体(图2E和图2F)。最终经基质辅助激光解吸电离飞行时间质谱(MALDI-TOF MS)鉴定为新型隐球菌。药敏结果如表2所示。
图片
图2  病理检查

注:A和B为患者肺部肿块组织HE染色;C和D为患者肺部肿块组织六铵银染色。E和F为患者肺部肿块组织美兰染色。

表2  分离株抗生素敏感性结果
图片






二、治疗与转归

患者入院后,在诊断不明确时先予以莫西沙星经验性抗感染治疗。在住院第3天获得明确病因,加用氟康唑进行针对性抗感染治疗。治疗1周后,患者未出现不良反应,且病情恢复良好,于是同意带药出院。两个月后患者回我院复查肺部CT,阴影较之前明显缩小吸收(图3)

图片

图3  患者复查CT图像






三、讨论
目前,肺隐球菌病的主要诊断方法包括血清隐球菌荚膜多糖抗原、组织病理学检查和培养及分子生物学方法鉴定。血清荚膜抗原针对隐球菌具有高度的灵敏性和特异性,且根据诊断标准,若血清隐球菌荚膜抗原阳性即可确诊,这意味着当怀疑隐球菌感染时,该项目阳性,入院当天即可获得明确诊断,对症治疗。组织病理学主要通过鉴定隐球菌酵母细胞或隐球菌肉芽肿来确诊,通常结合过碘酸-雪夫氏染色(PAS),六铵银染色等。与培养相比,组织病理学检查是确定感染部位的依据。此外,对于标本的直接镜检也是检验的重要程序。除经典的墨汁染色外,荧光染色、美兰染色、黏液卡红染色也是目前用于检测隐球菌的常用染色方法。MALDI-TOF MS能够帮助我们将病原体鉴定到种,然而这依赖于前期的培养,耗时较长[8]

值得一提的是,隐球菌病如果未接受及时治疗,往往会从局部感染发展成为播散性感染,包括脑膜炎和菌血症,增加患者的死亡率。据报道,中枢神经感染占中国隐球菌感染总数的83.4%,占全球每年艾滋病相关死亡人数的19%[9,10]。因此,鉴别隐球菌播散性感染与局部感染对改善预后至关重要。患者在院期间,除了常规治疗外,我们也对患者病情进行了监测,拍摄了头颅磁共振影像以及抽取了脑脊液进行隐球菌相关检验。所幸患者治疗及时,没有发现进一步扩散感染的迹象。







四、结论
隐球菌肺炎是一种非常严重的疾病,然而由于该病缺乏临床特异性表现,往往存在诊断延误的情况。一旦患者没有受到及时的治疗,则可能导致播撒性感染,增加死亡率。因此,临床和检验实验室应该提高对隐球菌感染的认识,及早发现,做好鉴别。

参考文献

(向下滑动查看全部文献)

[1] Hagen F, Khayhan K, Theelen B, et al. Recognition of seven species in the Cryptococcus gattii/Cryptococcus neoformans species complex[J]. Fungal Genet Bio, 2015, 78:16-48. 

[2] Gupta S, Paul K, Kaur S. Diverse species in the genus Cryptococcus: Pathogens and their non-pathogenic ancestors[J]. IUBMB Life, 2020, 72(11):2303-2312.

[3] Wang H, Xiao M, Chen SC, et al. In vitro susceptibilities of yeast species to fluconazole and voriconazole as determined by the 2010 National China Hospital Invasive Fungal Surveillance Net (CHIF-NET) study[J]. J Clin Microbiol, 2012, 50(12):3952-3959.

[4] Setianingrum F, Rautemaa-Richardson R, Denning DW. Pulmonary cryptococcosis: A review of pathobiology and clinical aspects[J]. Med Mycol, 2019, 57(2):133-150. 

[5] Smith JA, Kauffman CA. Pulmonary fungal infections[J]. Respirology, 2012, 17(6):913-926.

[6] Chang WC, Tzao C, Hsu HH, et al. Pulmonary cryptococcosis: comparison of clinical and radiographic characteristics in immunocompetent and immunocompromised patients[J]. Chest, 2006, 129(2):333-340.

[7] Ye F, Xie JX, Zeng QS, et al. Retrospective analysis of 76 immunocompetent patients with primary pulmonary cryptococcosis[J]. Lung, 2012, 190(3):339-346.

[8] Wang H, Wang L, Luo Z, et al. Performance of rapid on-site evaluation of touch imprints of lung tissue biopsies for the diagnosis of pulmonary cryptococcosis in patients without HIV infection[J]. Mycoses, 2022, 65(6):635-642.

[9] Yuchong C, Fubin C, Jianghan C, et al. Cryptococcosis in China (1985-2010): review of cases from Chinese database[J]. Mycopathologia, 2012, 173(5-6):329-335.

[10] Zhao Y, Ye L, Zhao F, et al. Cryptococcus neoformans, a global threat to human health[J]. Infect Dis Poverty, 2023, 12(1):20.

作者简介


图片
姜旭霞
  • 萧山区第三人民医院生化免疫组长,副主任技师


图片
葛玉梅
  • 浙江省人民医院检验中心主任助理

  • 医学博士,副主任技师,硕士生导师

  • 浙江省病原微生物实验室生物安全质控中心专家

  • 浙江省免疫学会感染免疫专委会常务委员


全部评论 0
Copyright©2020-2026 北京医麦斯科技有限公司 版权所有 京ICP备2020034400号-1 京公网安备11010502043983号