登录方式

方式一:
PC端网页:www.rccrc.cn
输入账号密码登录,可将此网址收藏并保存密码方便下次登录

方式二:
手机端网页:www.rccrc.cn
输入账号密码登录,可将此网址添加至手机桌面并保存密码方便下次登录

方式三:
【重症肺言】微信公众号
输入账号密码登录

注:账号具有唯一性,即同一个账号不能在两个地方同时登录。

登录
方式

为重症救治赋能

为患者康复加速

当前位置:首页 重症实战 病例集锦

九旬患者心衰合并感染,抗感染与抗心衰并重

王欢欢1,冯耘2,杜威2,葛晓2 1. 滁州市中西医结合医院;2. 上海交通大学医学院附属瑞金医院 发布于2024-08-26 浏览 2063 收藏

作者:王欢1,冯耘2,杜威2,葛晓2

单位:1. 滁州市中西医结合医院;2. 上海交通大学医学院附属瑞金医院








一、病情介绍
1. 基本信息

患者,女性,95岁,因“发热伴咳嗽咳黄痰1月余”于2024年3月15日入住我院RICU。

2. 现病史

2024年1月7日出现发热,Tmax 38.4℃,伴有咳嗽、咳黄脓痰,胸闷不适症状,就诊于我院急诊,胸部CT提示:两肺散在斑片模糊影、条索影,两侧胸膜增厚,右肺胸膜下线显示,主动脉及冠脉壁钙化。先后予头孢曲松、美罗培南抗感染,辅以化痰、补液治疗。

2024年1月16日完善痰液、血液病原体NGS检查:痰DNA-烟曲霉(序列数382),黑曲霉(序列数152),烟曲霉(序列数274);RNA甲流病毒(序列数949)。血DNA烟曲霉(序列数3),人疱疹病毒4型(序列数37)。1月19日复查D-二聚体4.2 mg/ml,白蛋白29 g/L,钾6.04 mmol/L,Cr 295 μmol/L,BUN 8.6 mmol/L,pro-BNP 4691 pg/ml,WBC 6.76×109/L,Hb 83 g/L,CRP 66 mg/ml。复查胸部CT基本同前。下肢静脉超声示右侧腘静脉血栓形成,加用玛巴洛沙韦治疗后体温热峰下降,但仍有咳嗽,咳黄痰。

2024年1月19日收住我院呼吸科住院治疗,期间予无创呼吸机辅助呼吸、美罗培南+伏立康唑抗感染、降血钾、补充白蛋白、利尿、抗凝、抗心衰等对症处理后好转;2月18日因心衰转入我院心内科,期间予利尿抗心衰(注射用重组人脑利钠肽+沙库巴曲缬沙坦,布美他尼+托拉塞米)、抗感染(头孢曲松+伏立康唑)等对症治疗,患者胸闷气促症状明显,完善胸腔超声提示两侧胸腔积液,排除禁忌;3月14日行右侧胸腔穿刺引流,效果欠佳。为进一步治疗,于3月15日转入我科RICU,病程中患者神志欠清,定向障碍,精神萎,饮食睡眠一般,小便减少、大便正常。

3. 既往史

慢性肾功能不全20年未予重视。高血压30年,口服苯磺酸氨氯地平5 mg qd治疗。糖尿病20余年,未正规管理,现皮下注射人胰岛素控制血糖。下肢深静脉血栓(DVT)7年,每年口服利伐沙班20 mg qd 6个月,停药6个月。30年前有子宫肿瘤手术史。否认乙肝、肺结核等传染病病史。否认家族遗传病史。

4. 入科查体

体温37℃,脉搏79次/min,呼吸19次/min,血压155/59 mmHg,神志模糊,定向力障碍;皮肤巩膜未见明显黄染、瘀斑;浅表淋巴结未及肿大/压痛;双肺呼吸音稍粗,双肺底可闻及温啰音,无胸膜摩擦音;心律齐,无杂音;腹软,无压痛、反跳痛,肝脾肋下未及;余查体不能配合;双下肢水肿。

5. 辅助检查
入院当天完善检查,具体如下:

  • 血气分析:pH 7.39,PaCO2 40 mmHg,PaO2 83 mmHg,氧合指数为185 mmHg(高流量吸氧浓度45%),钾4.6 mml/L。
  • 尿常规:白细胞(+),蛋白质(+),葡萄糖(+),潜血试验(++),红细胞(镜检)满视野/HP,白细胞(镜检)31~50/HP。
  • 生化:Lac 1.64 mmol/L,AST 17 U/L,LDH 251 U/L,CK 96 U/L,CK-MB 5.5 ng/ml,Myo 129.2 ng/ml,hs-cTnI 25.1 pg/ml。
  • NT-proBNP 16544 pg/ml。
  • 凝血六项:APTT 30.5 s,PT 12.7 s,INR 1.08,TT 14.80 s,Fg 4.8 g/L,FDP 8.1 mg/L,D-二聚体定量2.29 mg/L。
  • 血常规:WBC 5.66×109/L,NEU 3.80×109/L,LYM 1.20×109/L,RBC 2.45×1012/L,Hb 71 g/L,PLT 379×109/L,CRP 66.61 mg/L。
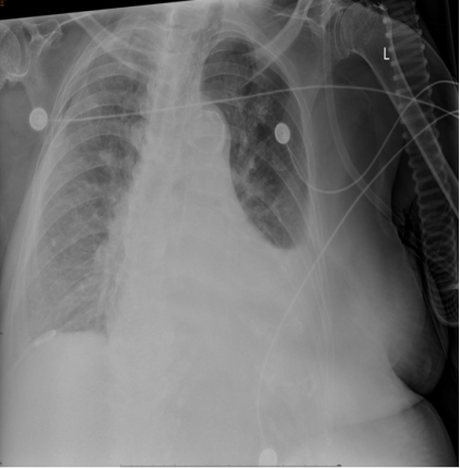
  • 床旁胸片(图1):两肺纹理略多,稍乱模糊,两肺渗出,左肺渗出较2024年3月13日前片稍吸收,左侧胸腔积液较前片增多,右侧积液较前片吸收,纵隔增宽,心影增大。

图片
图1  患者床旁胸片(2024-03-15)

  • 床旁心脏彩超:左房增大伴轻度二尖瓣关闭不全,主动脉瓣退行性变伴轻中度关闭不全,微量心包积液,左室射血分数大于60%。

6. 入院诊断

社区获得性肺炎,重症;慢性呼吸衰竭;急性心衰(心功能Ⅳ级—NYHA分级);胸腔积液(双侧);慢性肾脏病5期;混合性酸碱平衡失调(失代偿代谢性酸中毒合并呼吸性酸中毒);电解质紊乱;2型糖尿病;高血压病3级(极高危);下肢深静脉血栓形成(右侧腘静脉)。







二、诊疗经过
1. 治疗措施

入院后予综合治疗:利尿抗心衰(注射用重组人脑利钠肽、沙库巴曲缬沙坦、托拉塞米、托伐普坦)、抗感染、化痰(氨溴索)、抑酸护胃(奥美拉唑)、降血钾(环硅酸锆钠散)等治疗,期间动态监测血气分析,血常规CRP、BNP、PCT、肝肾功能等,动态评估病情。

一般治疗:心电监护、记24 h出入量、留置深静脉导管、留置尿管、肠内营养支持。

呼吸支持:高流量吸氧(流量50 L/min,氧气浓度45%,逐渐下降至30 L/min,氧气浓度21%)和BiPAP(吸气压力16 cmH2O,呼气末压力4 cmH2O,氧气浓度40%)交替使用,定期经口吸痰。

对因治疗:胸腔穿刺置管引流术,强心、利尿、抗心衰,抗感染、降血压。

对症治疗:护胃、降血糖(胰岛素)、补充白蛋白、抗凝、升红细胞、输红细胞、维持电解质、酸碱和出入量平衡。

查找病因:积极完善相关检查,血/尿/粪常规、生化及病原学检测,复查影像学。

康复治疗:呼吸训练,康复科肺部及肢体康复训练。

经积极治疗后,患者氧合、BNP、WBC、CRP等指标均逐渐好转,氧气需求逐渐下降,从无创呼吸机及高流量交替使用,逐渐更换为鼻导管吸氧。

2. 详细诊疗过程
(1)第一阶段:利尿、抗心衰

2023年3月15日入院当天右侧胸腔置管带入,完善相关检查,患者有低热,经验性予美罗培南(3月20日停药)500 mg q8h静脉滴注+利奈唑胺(4月8日停药)600 mg po q12h抗感染。入RICU后查体双下肢水肿图2

图片

图2   患者入RICU时

3月17日B超引导下行左侧胸腔置管术, 患者白蛋白低, 双下肢水肿, 予补充人血白蛋白, 加用注射用重组人脑利钠肽利尿抗心衰治疗。
3月20日患者双下肢水肿未见明显消肿,加用托拉塞米利尿处理。患者每天尿量2000 ml左右,维持负平衡量为300~500 ml。双下肢逐渐消肿。患者BNP水平持续下降至2500 pg/ml左右,维持稳定3
图片
3  BNP变化趋势
经治疗患者双下肢水肿消退(3月22(图4)
图片
4  患者经治疗好转后
(2)第二阶段:耐药菌抗感染
3月24日患者再次发热,最高体温38℃,予对症处理,患者仍反复间断发热,体温37.2~38℃。
3月27日痰培养为鲍曼不动杆菌,根据药敏试验结果加用多黏菌素E雾化及替加环素抗感染治疗
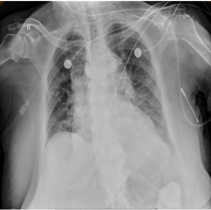
3月28日床边胸腔彩超提示双侧胸腔未见明显积液,予拔除胸腔引流管。当日胸片见图5。
图片
图5  复查胸片(2024-03-28)
4月2日患者仍有间断发热,考虑替加环素效果不佳,换用依拉环素50 mg q12h(4月8日停药)抗感染治疗。
4月9日患者使用依拉环素期间体温有所好转,但仍间断低热,体温37.5℃左右,考虑静脉置管可能导致感染,予拔除深静脉导管后送培养。
4月11日深静脉导管培养为多重耐药肺炎克雷伯菌其对氨曲南、丁胺卡那霉素、黏菌素、妥布霉素敏感其余药物包括头孢他啶阿维巴坦均耐药,根据药敏结果加用氨曲南0.5 g q8h抗感染治疗。患者体温逐渐下降,至4月18日体温恢复正常。
4月13日患者症状体征明显好转,鼻导管吸氧2 L/min,指脉氧饱和度>95%。请康复科会诊后开始尝试康复训练。
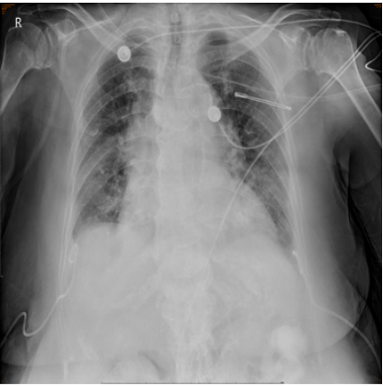
4月16日复查胸片可见两肺渗出逐渐吸收,左侧胸腔积液逐渐减少(图6)
图片
图6  复查胸片较前好转(2024-04-16)
4月17日痰培养为光滑假丝酵母菌,加用米卡芬净抗真菌治疗。
4月22日咽拭子提示MRSA,加用利奈唑胺片抗感染治疗。
4月28日患者整体症状好转,病情平稳,予办理出院图7
图片
7  患者出院时





三、讨论
1. 心衰定义、分类及诊断标准
心衰是多种原因导致的心脏结构和/或功能的异常改变,进而使心室收缩和/或舒张功能发生障碍,从而引起的一组复杂临床综合征,主要表现为呼吸困难、疲乏和液体潴留(肺淤血、体循环淤血及外周水肿)等。根据左室射血分数(LVEF)不同和治疗后的变化,分为射血分数降低的心衰(HFrEF)、射血分数改善的心衰(HFimpEF)、射血分数轻度降低的心衰(HFmrEF)和射血分数保留的心衰(HFpEF)(表1)
研究显示,LVEF在41%~49%范围内的患者可能会从HFrEF治疗中获益。这些证据支持将“射血分数中间值的“心衰”重新命名为“射血分数轻度降低的心衰(HFmrEF)”。此外,考虑LVEF改善并不代表心肌受损完全恢复或左心室功能恢复正常,因此,有共识将既往LVEF 40%且随访期间LVEF>40%并较基线增加≥10%作为HFrEF的亚组,定义为HFimpEF。根据心衰发生的时间和速度,分为慢性心衰和急性心衰。多数急性心衰患者经住院治疗后症状部分缓解,而转入慢性心衰;慢性心衰患者常因各种诱因急性加重而需住院治疗,比如感染诱发。
表1  心力衰竭的分类和诊断标准
图片
注:HFimpEF:射血分数改善的心衰;HFrEF:射血分数降低的心衰;HFmrEF:射血分数轻度降低的心衰;HFpEF:射血分数保留的心衰。
心衰是各种心脏疾病的严重表现或晚期阶段。死亡率和再住院率居高不下。我国人口老龄化加剧,冠心病、高血压、糖尿病、肥胖等慢性病的发病率呈上升趋势,医疗水平的提高使心脏疾病患者生存期延长。原发性心肌损害和异常是引起心衰最主要的病因,除心血管疾病外,非心血管疾病也可导致心衰。识别这些病因是心衰诊断的重要部分,从而能尽早采取特异性或针对性的治疗。目前认为心衰是慢性、自发进展性疾病。神经内分泌系统激活导致心肌重构是引起心衰发生和发展的关键因素;心肌代谢、炎症、脂肪因子和细胞因子在心衰发生发展中也有重要作用;内皮细胞损伤导致一氧化氮(NO)分泌不足,进而导致NO-可溶性鸟苷酸环化酶-环磷酸鸟苷细胞信号通路损伤也会对心肌纤维化、心肌重构产生重要影响;线粒体功能损伤也是心衰发生发展的重要因素。心肌重构最初可以对心功能产生部分代偿,但随着心肌重构的加剧,心功能逐渐由代偿向失代偿转变,出现明显的症状和体征。心衰的诊断和评估依赖于病史、体格检查、实验室检验、心脏影像学和功能检查。
2. 心衰合并感染并有胸腔积液的患者,是否适合胸腔穿刺
心衰导致体循环静脉压受阻,体循环、肺循环淤血,从而导致体液潴留,胸腔内液体渗出增多,即胸腔积液产生。感染诱发心衰进一步加重,积极控制感染是主要的治疗措施,但胸腔积液压迫肺组织而影响肺通气,患者呼吸困难症状好转不明显,影响治疗,需要进行胸腔穿刺,放出胸水,减轻其对肺组织的压迫,从而减轻患者呼吸困难症状。
胸腔穿刺术:
(1)适应证:①诊断性:原因未明的胸腔积液,可作诊断性穿刺,作胸水涂片、培养、细胞学和生化学检查以明确病因,并可检查肺部情况;②治疗性:通过抽液、抽气或胸腔减压治疗单侧或双侧胸腔大量积液、积气产生的压迫、呼吸困难等症状;向胸腔内注射药物(抗肿瘤药或促进胸膜粘连药物等)。
(2)禁忌证:①体质衰弱、病情危重难以耐受穿刺术者;②对麻醉药过敏;③凝血功能障碍,严重出血倾向,患者在未纠正前不宜穿刺;④有精神疾病或不合作者;⑤疑为胸腔包虫病患者,穿刺可引起感染扩散,不宜穿刺;⑥穿刺部位或附近有感染。
3. 心衰合并感染如何进行治疗?
心衰合并肺部感染的治疗存在特殊性,需积极处理,早期治疗CAP,防止心衰恶化,且控制入量及补液之间矛盾,治疗过程中需注意出入量的平衡。对于入住ICU有基础疾病的老年人,一般选取静脉使用抗生素,选取青霉素类/酶抑制剂复合物、三代头孢菌素、头霉素或其酶抑制剂的复合物、厄他培南等碳青霉烯类联合大环内酯类或呼吸喹诺酮类。根据心衰症状控制情况,一般需要1周左右,对于一些特殊菌,如金黄色葡萄球菌或铜绿假单胞菌,需静脉用药3~4周。用药过程中注意菌群失调情况,并关注肝肾功能等。根据患者临床表现、生命体征、实验室检查、微生物指标、胸部影像学等评估病情。






四、结论
患者为老年女性,体弱多病,心衰、肺部感染合并糖尿病、肾功能不全等多种疾病,各种疾病间相互影响,如肾功能不全影响心衰治疗效果,但随着胸腔穿引流胸水及利尿、抗心衰等治疗的积极推进,患者心衰指标及临床症状改善,心衰治疗效果明显。后患者发热,经证实为细菌感染,深静脉导管培养为多重耐药肺炎克雷伯菌,根据药敏试验结果加用氨曲南抗感染治疗,迅速控制感染,防止心衰反复。

参考文献

(向下滑动查看全部文献)

[1] 刘小锋. 老年性肺部感染的临床特点分析及诊疗探讨[J]. 中国医药指南, 2020, 18(19):83-84. 

[2] 肖宝, 戴靖榕, 李霖, 等. 重症社区获得性肺炎预后影响因素分析[J]. 中国现代药物应用, 2024, 18(4):7-11. 

[3] 刘青, 宋立冬, 王希涛, 等. 重症肺炎合并心衰患者血清TNF-α、cTnI水平与心功能的关系[J]. 心血管康复医学杂志, 2022, 31(5):606-609.

[4] 刘爱红, 朱雪琴, 温涛. 老年心衰合并肺部感染患者临床预后的影响因素分析[J]. 老年医学与保健, 2022, 28(3):580-583, 593.

[5] 代聚平, 罗静, 闫丽, 等. 老年心衰患者合并肺部感染病原学特征及影响因素分析[J]. 中华医院感染学杂志, 2018, 28(24):3755-3758.

[6] 田庄, 张抒扬. 《中国心力衰竭诊断和治疗指南2024》要点解读[J/OL]. 协和医学杂志:1-8. http://kns.cnki.net/kcms/detail/11.5882.R.20240618.1519.004.

[7] 苏晓萍, 吕敏芬. 床旁超声引导下胸腔积液穿刺引流在难治性心力衰竭并胸腔积液患者中的应用[J]. 影像研究与医学应用, 2024, 8(8):192-194.

[8] 韩君利, 郝芸芸. 呼吸功能锻炼联合系统护理对胸腔积液引流术患者的影响观察[J]. 贵州医药, 2024, 48(4):647-649.

作者简介


图片
王欢欢

滁州市中西医结合医院呼吸与危重症医学科住院医师,上海交通大学医学院附属瑞金医院进修生。


图片

冯耘

上海交通大学医学院附属瑞金医院呼吸与危重症医学科,主任医师,副研究员,硕士研究生导师;美国杜克大学访问学者,中国老年医学会呼吸病学分会呼吸危重症学术委员会委员,中国医师协会呼吸医师分会危重症青委,中国医药教育协会感染疾病专业委员会委员,上海市医学会呼吸病学专科分会青年委员会委员,上海市医学会呼吸病学专科分会重症学组副组长,获得2项国家自然基金及科技部重点项目子课题资助,以第一作者及通讯作者发表SCI论文30余篇,第一完成人获得专利2项,参与编写专著3部。


图片

杜威

上海交通大学医学院附属瑞金医院呼吸与危重症医学科,主治医师,博士,主持上海交通大学医学院附属瑞金医院青年培育计划和上海市青年科技英才扬帆计划。上海市医学会变态反应学会会员,2018年上海交通大学医学院附属瑞金医院优秀住院医师,2020年湖北省人民政府”最美逆行者”荣誉, 2020年瑞金医院“最美医师奖”, 2022年瑞金十佳青年提名, 发表SCI杂志发表SCI论文13篇, 中文核心期刊发表论文5篇, 参与《慢性咳嗽》书籍撰写。


图片

葛晓

上海交通大学医学院附属瑞金医院呼吸与危重症医学科,呼吸治疗师,毕业于四川大学华西临床医学院呼吸治疗系,主攻方向为危重症患者的呼吸支持、气道管理,呼吸康复、床边重症超声、床边气管镜等。


全部评论 0
Copyright©2020-2026 北京医麦斯科技有限公司 版权所有 京ICP备2020034400号-1 京公网安备11010502043983号