登录方式

方式一:
PC端网页:www.rccrc.cn
输入账号密码登录,可将此网址收藏并保存密码方便下次登录

方式二:
手机端网页:www.rccrc.cn
输入账号密码登录,可将此网址添加至手机桌面并保存密码方便下次登录

方式三:
【重症肺言】微信公众号
输入账号密码登录

注:账号具有唯一性,即同一个账号不能在两个地方同时登录。

登录
方式

为重症救治赋能

为患者康复加速

当前位置:首页 重症实战 病例集锦

长滩军团菌致重症肺炎一例

陈旭昕,王凡,马白鸽,韩志海 中国人民解放军总医院 发布于2024-05-29 浏览 2308 收藏

作者:陈旭昕,王凡,马白鸽,韩志海

单位:中国人民解放军总医院第六医学中心呼吸与危重症医学科

来源:中国呼吸与危重监护杂志2024年第23卷第3期






一、临床资料
基本信息
患者男,85岁。因“咳嗽、咳痰2天,发热1天”于2019年9月24日入院。
现病史
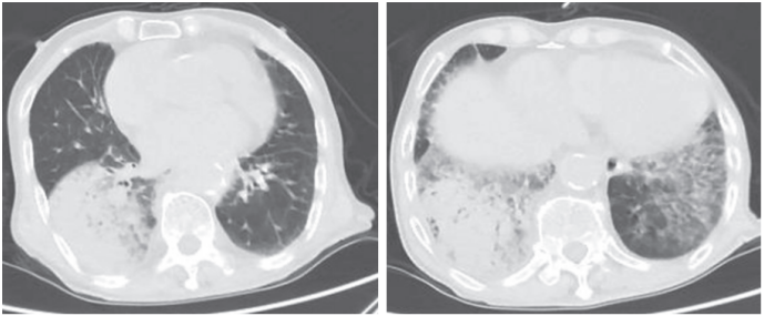
患者于2019年9月22日无明显诱因间断出现咳嗽、咳痰,黄黏液,量不多,不易咳出。于9月23日就诊我院急诊,入急诊后测体温最高为39.3℃。实验室检查:白细胞计数(WBC)为16.51×109/L,中性粒细胞(NEU)百分比为97.7%,白细胞介素-6(IL-6)>1520 pg/ml,快速降钙素原(PCT)检测为2~10 ng/ml,C反应蛋白(CRP)为308.2 mg/L。血气分析(普通面罩吸氧下):pH 7.49,PaO2 70.0 mmHg,PaCO2 29.0 mmHg,HCO3 22.1 mmol/L,K4.10 mmol/L,Na132.0 mmol/L,乳酸1.0 mmol/L。胸部CT示双下肺见斑片状阴影、右下肺大片实变影(图1)。予以“哌拉西林他唑巴坦”抗感染治疗,但患者呼吸困难进行性加重并伴血压下降至70/50 mmHg。以“肺部感染,,感染性休克”收入我科监护室。
图片
图1  患者2019年9月23日胸部CT检查像
注:双下肺见斑片状阴影、右下肺大片实变影。
既往史

既往有“高血压病”病史35年,血压最高达180/110 mmHg,口服“富马酸比索洛尔5 mg qd”治疗,血压未监测。2001年因“乙状结肠癌”行外科手术治疗(具体不详)。2002年诊断“免疫性血小板减少”“自身免疫性溶血性贫血”,曾输成分血3200 ml(具体不详)。2006年因“腹股沟疝”行修补手术。2013年诊断“主动脉溃疡,右肾动脉开口处管腔中度狭窄”未予以特殊诊治。2019年6月诊断“腔隙性脑梗死”,予以“硫酸氢氯吡格雷片50 mg qd、阿司匹林肠溶片100 mg qd、匹伐他汀钙片2 mg每晚一次”。

个人史及其他

吸烟40年,10支/d,未戒烟。饮酒史60年,白酒100 g/d,未戒酒。否认传染病病史,无疫区接触史。近期有海外商品化盆栽土接触史。

体格检查

体温38.0℃,脉搏87次/分,呼吸32次/分,血压115/68 mmHg[去甲肾上腺素0.1 μg/(kg·min)],神清,躁动不安,双肺呼吸音粗,可闻及湿啰音,双下肺为著,未闻及胸膜摩擦音。

进一步完善实验室检查(9月24日)

血常规:WBC 16.00×109/L,NEU% 98.4%,PLT 151×109/L。
血生化:尿素氮16.5 mmol/L,肌酐129.7 μmol/L,白蛋白26.9 g/L,总胆红素23.9 μmol/L,直接胆红素10.7 μmol/L,谷丙转氨酶21.4 U/L。
感染指标:CRP 419.6 mg/L,IL-6>1521.0 pg/ml,PCT>10 ng/ml。
血气分析(HFNC,流量50 L/min,FiO2 75%):pH 7.308,PaO2 81.4 mmHg,PaCO2 44.6 mmHg,HCO3 21.9 mmol/L,Lac 1.46 mmol/L。
血T淋巴细胞亚群提示CD4+T细胞133个/μl,其余正常。
免疫球蛋白+C3+C4提示C3为483 mg/L降低,其余正常。

初步诊断

重症肺炎,呼吸衰竭,脓毒症休克。







二、治疗经过

患者入院后予HFNC呼吸支持、心电监护,并予补液及去甲肾上腺素微量泵入维持血压,美罗培南(1 g q8h)、利奈唑胺注射液(0.6 g q12h)及莫西沙星注射液(0.4 g qd)抗感染。

9月25日14∶50患者呼吸困难加重,调整HFNC参数(流量60 L/min,FiO2 100%),2 h后复查动脉血气分析:pH 7.279,PaO2 55.5 mmHg,PaCO50.9 mmHg,HCO3 23.3 mmol/L,Lac 2.18 mmol/L。立即予气管插管接呼吸机辅助呼吸,行支气管肺泡灌洗(BAL)并送送检mNGS及细菌培养。

9月27日支气管肺泡灌洗液(BALF)mNGS回报检测出长滩军团菌,序列数1414,鉴定置信度99.0%。调整抗生素方案为美罗培南+莫西沙星+米诺环素。

9月29日患者体温再次升高至37.8℃,WBC较9月28日升高,加用阿奇霉素,体温恢复正常,感染指标回落。

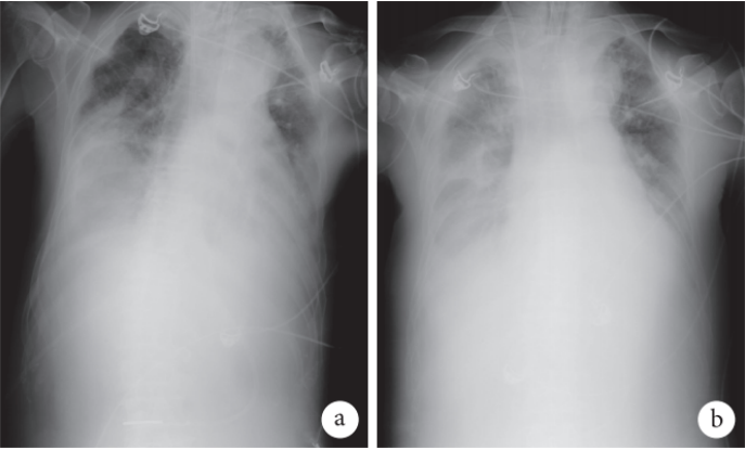
10月4日患者体温再次升高至37.5℃,复查血常规提示WBC 29.36×109/L,NEU% 97.0%,PLT 151×109/L;感染指标:CRP 366.3 mg/L,IL-6>1521.0 pg/ml,PCT 20.8 ng/ml。复查胸部X线片较9月29日明显进展(图2)。考虑不除外呼吸机相关性肺炎(VAP),调整抗生素为头孢哌酮舒巴坦+替加环素+环丙沙星+阿奇霉素,并再次复查气管镜,行BAL送检细菌培养及mNGS。

图片
图2  患者2019年9月29日及10月10日胸部X线检查像
注:a. 双肺多发斑片影,双下肺为著;b. 双肺斑片影进展,尤其右肺透亮度显著下降。
10月6日mNGS回报检出鲍曼不动杆菌(Acinetobacter baumannii,AB)(序列数14731,鉴定置信度99.0%)及长滩军团菌(序列数86,鉴定置信度99.0%)。调整抗生素方案为头孢哌酮舒巴坦+替加环素+环丙沙星+阿米卡星,之后患者体温、感染指标及氧合指数曾有所改善。
10月13日体温再次升高至38℃,CRP、IL-6及PCT升高,痰液较前明显增多。
10月16日痰培养回报全耐药鲍曼不动杆菌(pandrug resistant-AB,PDR-AB)。患者家属为减少其痛苦,放弃进一步治疗并拒绝使用血管活性药物维持血压。

10月17日患者死亡。






三、讨论
军团菌是导致重症肺炎的重要病原体,国内主要以嗜肺军团菌为主,长滩军团菌致病病例十分罕见。本文通过分析1例长滩军团菌性重症肺炎患者的诊治过程,结合相关文献进行分析总结,以提高临床医生对该病的认识。该病例两次BALF mNGS均提示为长滩军团菌感染。经针对性抗感染治疗后病情曾有所改善,但后期继发PDR-AB感染最终死亡。1980年,长滩军团菌首次从美国长滩市一位肺炎患者中被分离出来。此后在澳大利亚、新西兰以及东南亚地区屡有报道。
长滩军团菌病的高发区域为澳大利亚、新西兰以及东南亚地区。这些地区长滩军团菌感染率接近嗜肺军团菌。在西澳大利亚州,长滩军团菌的感染率甚至超过嗜肺军团菌。而在长滩军团菌的非高发区,感染呈散发状态,主要易感人群为细胞免疫力受损者,且长滩军团菌患者的平均发病年龄大于嗜肺军团菌患者(73.2岁 vs 59.3岁)。除年龄因素外,其他易感因素还包括吸烟、基础疾病、温湿气候、盆栽土壤储存条件等。本例患者为高龄男性。经追问病史得知,患者既往长期大量吸烟,且有“乙状结肠癌”“免疫性血小板减少”“自身免疫性溶血性贫血”等多种基础疾病,具备多个易感因素,属于长滩军团菌感染的高危人群。
嗜肺军团菌以空调系统气溶胶为主要传播途径,而长滩军团菌感染与接触商品化堆肥有关。感染的途径包括吸入活体细菌、吸入污染的粉尘和土壤颗粒以及吸入含有细菌的原生动物。首次将长滩军团菌感染与园艺活动联系起来的是Currie等,他们报道了23例长滩军团菌感染病例,在所有患者所接触的园艺堆肥中均分离出长滩军团菌。澳大利亚及东南亚的长滩军团菌发病率高于欧美地区,可能与商品化堆肥的成分差异有关。澳大利亚和新西兰的盆栽土中含有大量松树皮和锯屑。研究显示,在松树皮中可检测到长滩军团菌DNA,而在泥煤和有机肥料中未检出。经追问病史,患者虽无澳大利亚及新西兰等高发地区的旅居史,但于发病前从事园艺活动时使用过澳大利亚进口的商品化盆栽土,因此推测患者可能由此途径感染了长滩军团菌。
长滩军团菌感染的高峰主要是在气温较高的农作季节。此前台湾地区报道的6例长滩军团菌病均发生在4~6月。Amodeo等报道的新西兰长滩军团菌病例也主要发生在春夏两季。Lindsay等发现,温室条件可增加军团菌的繁殖水平,可能与温室条件下阿米巴原虫聚集增加有关。本例患者发病季节虽在秋季,但中国华北地区9~10月平均气温仍在30℃左右,偏高的气温可能促进长滩军团菌在盆栽土中增殖,从而增加了感染机会。
在长滩军团菌3500个预测编码序列中,仅有65%的基因与嗜肺军团菌同源。同时,长滩军团菌具有栖居土壤及植物中的特性,因此在其基因组中检测出反映生态微环境的基因,比如纤维素酶、半纤维素酶和果胶裂解酶等。不同于嗜肺军团菌,长滩军团菌缺乏鞭毛蛋白合成基因,但可产生荚膜,这有助于长滩军团菌抵御宿主防御,并有利于其存活于堆肥环境中。小鼠感染模型显示,嗜肺军团菌和长滩军团菌均可通过细胞器运行缺失/细胞内繁殖系统致病,但感染结局全然不同,长滩军团菌具有免疫沉默、高毒性和致死性,而嗜肺军团菌感染具有自限性。嗜肺军团菌通过鞭毛、菌毛及外膜孔黏附于肺泡巨噬细胞,而长滩军团菌的致病力与效应蛋白有关。RavZLLO是新近发现的长滩军团菌效应蛋白,它可作为半胱氨酸蛋白酶水解脂质化自噬相关蛋白LC3,从而抑制宿主对细菌感染的自噬反应。另外,鞭毛蛋白的缺失亦会导致Naip5/Nlrc4炎症小体失活,从而使宿主处于免疫抑制状态。基因组学及蛋白质组学的差异决定了细菌毒力和致病力的差别。在呼吸衰竭发生率及ICU入住率上,长滩军团菌肺炎患者多于嗜肺军团菌肺炎患者,相对于嗜肺军团菌而言,长滩军团菌的毒力更强,肺部空洞性病变在免疫抑制宿主中常见,而在免疫健全宿主中不常见。本例患者细胞免疫力持续低下且后期继发PDR-AB感染考虑与长滩军团菌感染后诱发的免疫抑制状态有关。
嗜肺军团菌尤其血清Ⅰ型嗜肺军团菌可依靠尿抗原检测快速诊断,但目前尚无针对长滩军团菌的尿抗原检测。目前长滩军团菌病的快速诊断主要依赖聚合酶链式反应检测和mNGS,其在特异性和敏感性及检测时限方面均优于传统检测方法。长滩军团菌病治疗的主要药物包括大环内酯类、氟喹诺酮类及四环素类。病情严重患者可联合用药。本例患者考虑长滩军团菌感染后,即用莫西沙星联合米诺环素抗军团菌治疗,后因感染控制不佳加用阿奇霉素三联抗军团菌,之后为兼顾VAP进一步调整为环丙沙星+替加环素+阿奇霉素三联抗军团菌。经上述治疗后,患者体温、氧合指数以及感染指标曾有所改善,复查BALF mNGS长滩军团菌序列数也有所下降,这提示抗长滩军团菌治疗是有效的。
综上所述,长滩军团菌是一种临床少见但可诱发重症肺炎的病原体。细胞免疫功能受损者是长滩军团菌的易感人群,尤其对于有商品化盆栽土及堆肥接触史的重症肺炎患者,应及时进行呼吸道分泌物PCR或mNGS检测以除外长滩军团菌感染。

参考文献略

全部评论 0
Copyright©2020-2026 北京医麦斯科技有限公司 版权所有 京ICP备2020034400号-1 京公网安备11010502043983号