登录方式

方式一:
PC端网页:www.rccrc.cn
输入账号密码登录,可将此网址收藏并保存密码方便下次登录

方式二:
手机端网页:www.rccrc.cn
输入账号密码登录,可将此网址添加至手机桌面并保存密码方便下次登录

方式三:
【重症肺言】微信公众号
输入账号密码登录

注:账号具有唯一性,即同一个账号不能在两个地方同时登录。

登录
方式

为重症救治赋能

为患者康复加速

当前位置:首页 重症实战 病例集锦

一例非典型变应性支气管肺曲霉病

计友棋1,葛玉梅2 1. 浙江中医药大学医学技术与信息工程学院;2. 浙江省人民医院检验中心 发布于2024-05-29 浏览 2759 收藏

作者:计友1,葛玉梅2

单位:1. 浙江中医药大学医学技术与信息工程学院;2. 浙江省人民医院检验中心

曲霉广泛存在于土壤、水和空气中,每天有大量真菌孢子被人体吸入,但只有少部分人感染发病,这取决于人体的免疫能力[1]。正常情况下,人体固有免疫系统能够清除吸入的孢子,但当宿主免疫功能缺陷时,孢子不能被及时清除,便会引发严重的曲霉病,其中烟曲霉是引发曲霉病的首要病原菌。

目前主要的曲霉病有四种:侵袭性肺曲霉病(IPA)、慢性肺曲霉病(CPA)、变应性支气管肺曲霉病(ABPA)和曲霉气管支气管炎(AB)[2]。其中ABPA是由机体对烟曲霉过敏原过敏所引起的疾病[3],患者常出现咳嗽、发热和全身不适等非特异性症状,与其他呼吸道疾病症状难以区分,若诊疗不及时,ABPA还会导致慢性纤维化性肺病[4]。目前对于ABPA的诊断标准日趋完善,然而越来越多报道的ABPA病例并没有严格符合诊断标准[5]。因此,对ABPA及时准确的诊断和治疗尤为重要。本文报告了一例由烟曲霉感染引起的ABPA,希望能够提高临床对该病的认识。








一、病情介绍
病史情况
患者,女,56岁,因体检发现支气管狭窄,来我院就诊。患者半月余前于当地医院体检时行CT检查发现右肺上叶支气管略狭窄,右肺上叶慢性炎症,实验室检查发现血清总IgE>2000 IU/ml。当时患者咽部稍不适,在当地就诊,当地医院予“哌拉西林他唑巴坦”抗感染,雾化、化痰、止咳等对症支持治疗。后患者要求转至我院就诊。我院拟"支气管狭窄"收治入院。
患者自述有慢性浅表性胃炎病史,过敏性鼻炎病史。近期有长期服用护胃中药病史,但具体用药不详。无高血压、糖尿病等基础疾病,无肝炎、疟疾等传染性疾病,无手术史、药物成瘾史。
入院后检查
入院后行体格检查,患者耳温36.9℃,呼吸19次/分,脉搏101次/分,血压135/71 mmHg,神志清,锁骨上淋巴结未及肿大,胸骨无压痛,双肺听诊呼吸音清,未闻及广泛干/湿啰音,心率101次/分,律齐,各瓣膜听诊区未闻及明显病理性杂音,肝脾肋下未及,腹平软,无压痛、反跳痛,双下肢无浮肿,神经系统检查未见明显异常。
实验室检查显示嗜酸性粒细胞分类8.2%,肌酸激酶649 IU/L,糖类抗原72-4 24.0 IU/ml,血清总免疫球蛋白E>2000.0 IU/ml,烟曲霉特异性IgE 1.50 IU/ml。具体如表1所示。
表1  患者实验室指标异常结果
图片
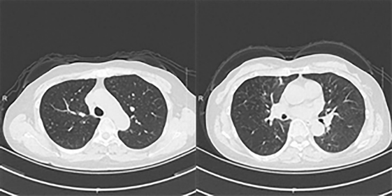
支气管镜检查发现右肺上叶前、尖端可见黏膜充血粗糙,及较多白色坏死物伴堵塞。CT显示双肺支气管壁增厚伴分泌物,右肺上叶多发小结节,两肺少许纤维灶(图1)
图片
1  患者肺部CT
通过对患者肺泡灌洗液(BALF)革兰氏染色镜检,我们发现了分隔菌丝,呈鹿角样分支,随后又进行了荧光染色镜检,白色荧光发现菌丝,疑似丝状真菌。6天后,我们在接种了BALF的真菌培养基上培养出了放射状灰绿色绒毛阳菌落,棉蓝染色镜检显示光滑的分生孢子顶部扩张形成倒置的烧瓶状,分生孢子呈球形,怀疑为烟曲霉。经基质辅助激光解吸电离时间质谱(MALDI-TOF MS) (bioMerieux, France)鉴定为烟曲霉(图2)
患者被诊断为由烟曲霉引起的ABPA。治疗上予雷诺考特喷雾剂、酮替芬片及复方甲氧那明胶囊平喘,枸地氯雷他定抗过敏,桉柠蒎肠溶胶囊祛痰等对症治疗。予伏立康唑200 mg口服,每日两次抗真菌治疗。
治疗1周后,患者一般情况可,无发热,无胸闷气促,无明显咳嗽咳痰,双肺听诊未闻及干/湿啰音,病情较入院时好转。后患者要求出院,经上级医师同意后办理出院。患者出院后4个月内,每半月至我院复查一次,并续配药物(伏立康唑)。半年后,患者来我院最后一次复查,自述期间在当地医院持续检查,无相关症状,无明显不适,服用伏立康唑剂量改为每日一次。经检查后决定予以停药,患者康复。
图片

图2  病原学鉴定

注:A为革兰染色,可见鹿角样菌丝。B为荧光染色,见白色有隔菌丝,分支呈锐角。C菌落在真菌培养基上培养后呈灰绿色,绒毛状菌落。D为棉蓝染色,显示光滑的分生孢子顶部扩张形成倒置的烧瓶状,分生孢子呈球形。E为MALDI-TOF MS峰图。






二、讨论

ABPA诊断困难,通常将患者是否患有哮喘作为诊断标准之一。但越来越多报道的ABPA患者既往没有哮喘病史或相关诊断。本文报道这例患者虽未有哮喘、支气管扩张等呼吸系统疾病病史,但有“支气管狭窄”的诊断。而炎症性肺部疾病是易发ABPA的重要因素[6],支气管狭窄也存在炎症浸润的表现,因此极有可能诱发ABPA。此外,我们报道的这例病例CT显示双肺支气管壁增厚伴分泌物,右肺上叶多发小结节,两肺少许纤维灶,同时支气管镜检查发现存在较多白色坏死物堵塞,符合ABPA的影像学诊断。通过实验室检查发现,该患者血清总IgE>2000 IU/ml且烟曲霉特异性IgE为1.50 IU/ml(正常范围0.0~0.34 IU/ml),符合ABPA诊断的必要条件。由于个体存在差异,该患者血嗜酸性粒细胞计数为0.35×109/L,虽未达到诊断标准,但其嗜酸性粒细胞百分比异常升高,因此我们仍可以将该患者判断为嗜酸性粒细胞异常升高的状态。

与侵袭性曲霉菌病不同,APBA更容易引起Th2细胞介导的免疫应答和嗜酸性粒细胞升高的炎症反应[7]。而患者血清总IgE水平是ABPA疾病进展的重要标志,血清总IgE的滴度升高更是与ABPA病情恶化直接相关[8]。目前对ABPA的报道多基于患者既往存在哮喘病史或诊断的基础上,而有关非哮喘患者ABPA的报导较少。因而临床可能对于这类ABPA患者的认识不深入,存在漏诊误诊的情况。本文报道这例ABPA患者,旨在加深临床对非哮喘患者ABPA的认识,提高检出率。





三、小结

对APBA的诊断不应局限在哮喘患者中,任何能促进曲霉在支气管内定植、引发呼吸道炎症、降低黏液纤毛清除功能的疾病都可能加剧患者发生ABPA的风险。临床应提高对非哮喘患者ABPA的认识,联合影像学和实验室检查,做好鉴别诊断。

参考文献

(向下滑动查看全部)

[1] Sunnetcioglu A, Ekin S, Erten R, et al. Endobronchial aspergilloma: A case report[J]. Respir Med Case Rep, 2016, 18:1-3. doi: 10.1016/j.rmcr.2016.03.001. PMID: 27054086; PMCID: PMC4802675.

[2] Earle K, Valero C, Conn D P, et al. Pathogenicity and virulence of Aspergillus fumigatus[J]. Virulence, 2023, 14(1):2172264. doi: 10.1080/21505594.2023.2172264. PMID: 36752587.

[3] Denning D W, Pashley C, Hartl D, et al. Fungal allergy in asthma-state of the art and research needs[J]. Clin Transl Allergy, 2014, 4:14. doi: 10.1186/2045-7022-4-14. PMID: 24735832; PMCID: PMC4005466.

[4] Agarwal R, Sehgal I S, Dhooria S, et al. Developments in the diagnosis and treatment of allergic bronchopulmonary aspergillosis[J]. Expert Rev Respir Med, 2016, 10(12):1317-1334. doi: 10.1080/17476348.2016.1249853. Epub 2016 Nov 7. PMID: 27744712.

[5] Kim Y, Lee H Y, Gu K M, et al. Delayed diagnosis of allergic bronchopulmonary aspergillosis due to absence of asthmatic symptoms[J]. Asia Pac Allergy, 2016, 6(3):187-91. doi: 10.5415/apallergy.2016.6.3.187. Epub 2016 Jul 28. PMID: 27489792; PMCID: PMC4967620.

[6] Agarwal R, Muthu V, Sehgal IS, et al. Allergic Bronchopulmonary Aspergillosis[J]. Clin Chest Med, 2022, 43(1):99-125. doi: 10.1016/j.ccm.2021.12.002. PMID: 35236565.

[7] Kita H. ILC2s and fungal allergy[J]. Allergol Int, 2015, 64(3):219-226. doi: 10.1016/j.alit.2015.04.004. Epub 2015 May 18. PMID: 26117252; PMCID: PMC4484772.

[8] Chen H, Zhang X, Zhu L, et al. Clinical and immunological characteristics of Aspergillus fumigatus-sensitized asthma and allergic bronchopulmonary aspergillosis[J]. Front Immunol, 2022, 13:939127. doi: 10.3389/fimmu.2022.939127. PMID: 35983066; PMCID: PMC9379317.

作者简介



图片

计友棋

  • 浙江中医药大学医学技术与信息工程学院

  • 医学技术专业研究生在读


图片

葛玉梅

  • 浙江省人民医院检验中心主任助理
  • 医学博士,副主任技师,硕士研究生导师
  • 杭州医学院病原生物学与临床微生物学检验教研室副主任
  • 浙江省病原微生物实验室生物安全诊断质控中心专家
  • 浙江省细胞生物学学会免疫细胞生物学专委会副主任委员
  • 浙江省免疫学会感染免疫专委会委员
  • 浙江省微生物学会医学微生物专委会委员


全部评论 0
Copyright©2020-2026 北京医麦斯科技有限公司 版权所有 京ICP备2020034400号-1 京公网安备11010502043983号