登录方式

方式一:
PC端网页:www.rccrc.cn
输入账号密码登录,可将此网址收藏并保存密码方便下次登录

方式二:
手机端网页:www.rccrc.cn
输入账号密码登录,可将此网址添加至手机桌面并保存密码方便下次登录

方式三:
【重症肺言】微信公众号
输入账号密码登录

注:账号具有唯一性,即同一个账号不能在两个地方同时登录。

登录
方式

为重症救治赋能

为患者康复加速

当前位置: 首页 护理专区 相关文章

成人胃残余量超声监测技术

赵金金 中日友好医院 发布于2026-03-03 浏览 4797 收藏

作者:赵金金

审核:樊玉莲
单位:中日友好医院PCCM-MICU

肠内营养(enteral nutrition,EN)是当前临床营养支持的主要手段。然而,在危重症患者中,喂养不耐受(feeding intolerance,FI)的发生率高达75%,其中胃残余量(gastric residual volume,GRV)过高是EN不达标的主要原因。若未及时干预,高GRV将增加患者误吸风险,延长机械通气时间与ICU住院时间,同时增加医疗费用和患者病死率[1]。传统GRV监测方法主要依赖回抽胃液技术,准确率相对较低,床旁超声技术可实现精准定量评估,从而保障肠内营养顺利实施。


评估

1. 评估患者病情、合作程度、体位限制以及胸腹部手术情况。

2. 评估患者进食情况、喂养方法和途径。 


准备

1. 检查超声机功能完好,录入患者信息

2. 选择凸阵探头、涂抹适量耦合剂、确定探头标记点方向

3. 预设超声参数,深度不宜超过12 cm,动态范围宜设置在60~70 dB


图像获取

1. 保持患者右侧卧位 ,床头抬高30°~45°

2. 胃内存在大量气体干扰时, 可通过胃肠减压排除胃内气体提高胃窦超声成像质量

3. 应以最小压力将探头垂直放置于剑突下,平行于正中线,标记点朝向患者头侧(图1)。 

图片

1  探头放置及体表定位图

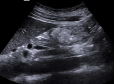
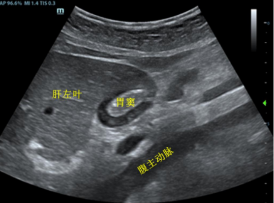
4. 标准图像应以探查到肝左叶和腹主动脉夹角处的环状结构(置于屏幕中心线), 深度以显示腹主动脉最浅深度为准(2)

图片

2  胃窦短轴标准切面超声图像


胃内容物评判

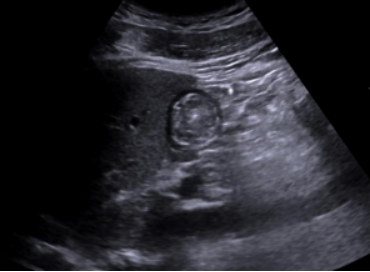
1. 胃窦为圆形或椭圆形且小而空的环状结构,形似“牛眼(图3), 宜评判为空腹。

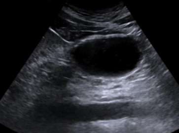
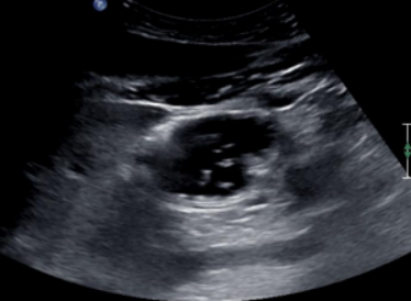
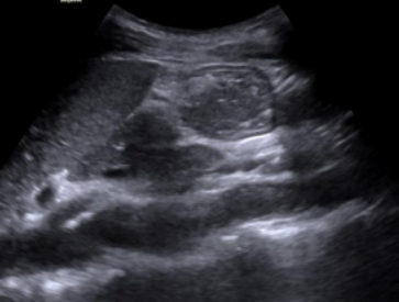
2. 胃窦内呈均匀一致的无回声或低回声4,或低回声中出现多个移动的点状高回声形似“繁星”5,宜评判为无渣清亮液体。当胃窦内回声呈均质增强时(6), 宜评判为浓稠液体

3. 胃窦内呈高回声,胃窦后壁成像模糊,呈“磨玻璃”样7,可评判为进食固体不久若呈现胃窦后壁清晰的高回声成像8,则宜评判为固体。

图片

3  空腹,形似“牛眼

图片

4  无渣清亮液体低回声或无回声

图片

5  无渣清亮液体,形似繁星

图片

6  浓稠液体,回声均质增强

图片

7  进食固体高回声磨玻璃

图片

8  固体,胃窦后壁清晰的高回声 


胃残余量测算

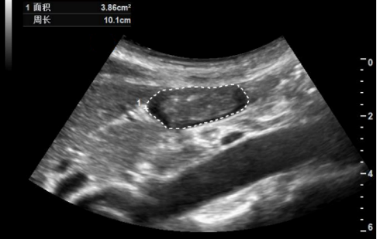
1. 应在胃窦舒张末期,以胃壁浆膜层作为CSA(横截面积)边界,选择双径法或描记法进行测量,且以连续测量三次的均值作为CSA最终值,再将最终值代入合适的公式表1进行GRV计算。

表1  成人GRV超声监测计算公式的适用范围

图片

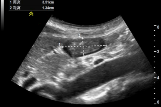
(1)双径法:CSA(cm2) =(前后径×头尾径×π)/ 4图9。 

图片

图9  双径法(图中虚线1为头尾径, 虚线2为前后径)

(2)描记法:描迹胃窦1周,获得胃窦CSA(cm210。 

图片

10  描记法(图中虚线1为描记法)

2. 亦可使用半定量分级法进行粗略估算。

  • 0级:仰卧位和右侧卧位时,胃窦内均为空,可视为无胃残余。 

  • 1级:仰卧位胃窦内为空,右侧卧位时可见胃内容物,可视为小于100 ml液体残余。 

  • 2级:仰卧位和右侧卧位时,胃窦内均可见胃内容物,可视为大于100 ml液体残余


特殊人群的胃残余量监测

1. 肥胖患者应调节图像深度,必要时可选择相控阵探头。 

2. 妊娠患者宜根据患者情况,选择坐位、半卧位、右侧卧位或右侧半卧位进行监测。可将探头向患者头侧和/或右侧滑动,以探查胃窦。


注意事项

1. 在启动肠内营养初期,宜每隔4~6 h监测GRV。

2. 在实施俯卧位等反流误吸高风险操作前宜进行GRV监测。 

3. 当GRV持续少于200 ml可延长GRV监测间隔,甚至暂停监测。 

4. 当患者出现病情变化时,如血流动力学不稳定、感染加重或胃肠功能损伤等情况宜恢复GRV监测或增加监测频率


GRV监测的临床指导

GRV监测指导误吸风险评判及肠内营养实施流程[2],见11

图片11  成人GRV超声监测指导误吸风险评判及肠内营养实施流程图

参考文献

[1] 中华护理学会. 中华护理学会团体标准. 成人肠内营养支持的护理:T/CNAS 19-2020[S/OL].[2023-05-01].

[2] 徐立, 孙建华, 李欣, 等. 上海市护理学会《成人胃残余量超声监测技术规范》团体标准解读[J]. 上海护理, 2025, 25(11):1-5. 


全部评论 0
Copyright©2020-2026 北京医麦斯科技有限公司 版权所有 京ICP备2020034400号-1 京公网安备11010502043983号