登录方式

方式一:
PC端网页:www.rccrc.cn
输入账号密码登录,可将此网址收藏并保存密码方便下次登录

方式二:
手机端网页:www.rccrc.cn
输入账号密码登录,可将此网址添加至手机桌面并保存密码方便下次登录

方式三:
【重症肺言】微信公众号
输入账号密码登录

注:账号具有唯一性,即同一个账号不能在两个地方同时登录。

登录
方式

为重症救治赋能

为患者康复加速

当前位置: 首页 呼吸危重症菁英秀

觅“影”寻踪,剖析肺炎之谜

胡群 深圳大学附属华南医院呼吸与危重症医学科 发布于2025-09-01 浏览 1373 收藏

作者:胡群

单位:深圳大学附属华南医院呼吸与危重症医学科


图片

肺部疾病的影像表现复杂多样,同一疾病可能有不同影像特征,不同疾病也可能表现相似,这给诊断带来了极大挑战。然而,只要掌握科学的分析方法,结合影像细节与临床信息,有助于精准区分病变性质。本文将结合临床病例,系统解析肺部影像的分类特征、鉴别思路及诊断要点,为临床诊疗提供参考。

图片

肺部病灶的影像分类:
密度视角下的基础框架


肺部疾病的影像表现虽然千奇百怪,但以正常肺组织密度为参照,可将病灶分为大类,为诊断提供基础方向:

1)高密度病灶: 病灶密度高于正常肺组织, 常见于磨玻璃影、实变、结节或肿块等病变。例如, 肺部炎症导致的实变影、肺结核形成的钙化灶,或肿瘤引起的结节或肿块影, 均属于这一范畴。类病灶在影像上通常表现为明显的致密影, 与周围正常肺组织界限清晰或不清晰

2)低密度病灶: 病灶密度低于正常肺组织, 多与肺内含气结构异常相关, 例如,肺气肿、肺大疱、支气管扩张、肺气囊等。类病灶在影像上呈透亮区, 偶可见薄壁或不规则边界。

3)网格状病灶:表现为肺部弥漫性的网格样改变,常见于间质性肺疾病。其形成小叶间隔伴或不伴小叶内间质的增厚相关,影像上可见交织的线条影,形成类似“网格”的形态。小叶间隔内有肺静脉、结缔组织、淋巴三种成分,其中任一种成分发生病变均可导致小叶间隔的增厚,表现为大网格”,如间质肺水肿、癌性淋巴管炎;小叶内间质中仅有结缔组织成分,若小叶内间质的增厚提示累及间质,形成小网格”,临床上可表现为病毒等病原学所致的间质性肺炎、特发性肺纤维化时的“蜂窝”。

4)混合型:包括上述2种或以上的病灶,比如肺气肿背景下合并肺炎,可表现为高密度影、低密度影和网格影。

上述分类在影像学习和临床应用中有一定作用,可归类进行鉴别,但仅凭肺组织密度分类无法确诊,还需结合病灶的形态、分布及临床信息进一步鉴别。


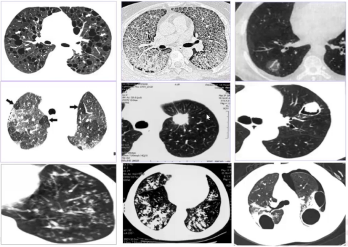
图片


1  低密度病灶、网格状病灶和高密度病灶表现

肺部影像的鉴别诊断,关键在于发现细微差异,相似的肺部影像也暗藏独特印记。若忽视这些细节,可能导致误诊,例如,将早期肺癌误判为普通炎症,或将特殊感染当作肿瘤。以下将通过两个典型病例具体展示如何通过细节分析实现精准诊断。


图片

病例解析1:
发热伴“枯枝征”—感染与肿瘤鉴别


1. 病史情况

患者为中年女性,因“咳嗽、咳痰、气促10天”于2023年2月3日入院。入院前10天无明显诱因出现咳嗽、咳痰,咳嗽为阵发性,程度尚可,痰为,少白色黏痰,不易咳出;伴气促,静息状态下即感气促,活动后加重,伴低热,体温最高38℃,伴乏力。就诊于当地医院。查肺CT示右中下肺炎症。予头孢克肟、地塞米松治疗3天,症状无改善。患者精神、食欲、睡眠尚可,大小便正常,体重无变化。

既往“慢性胃炎”病史;家族史无特殊。

2. 入院查体

体温37.4℃,脉搏131次/min呼吸23次/min血压113/79 mmHg,SpO2 91%未吸氧);意识清楚双侧胸廓对称,右下肺呼吸音低,双肺未闻及干/湿性啰音及胸膜摩擦音心、腹无异常双下肢无水肿。

3. 影像特征分析

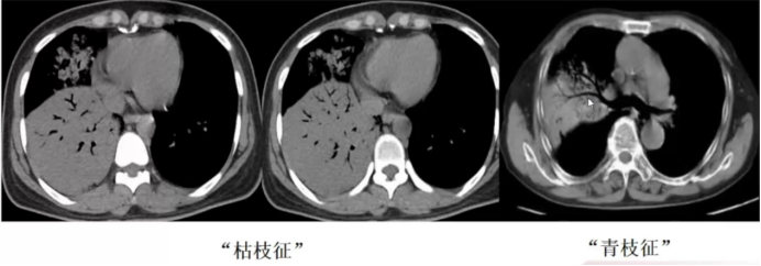
入院后胸片及胸部CT显示:右上肺、右中肺及左下肺可见磨玻璃影;右下肺存在大片实变影,但肺容积基本正常,仅轻度缩小,提示病变可能为慢性或亚急性过程(急性重症感染常伴随肺容积明显缩小);病灶内可见支气管充气征,支气管形态异常——未呈现正常的“由粗变细”趋势,反而局部扩张、僵直,形成“枯枝征”;此外还可见“青枝征”(支气管形态正常,结构清晰)(图2)

       

图片


2  “枯枝征”和“青枝征”表现

“枯枝征”形成的主要机制是牵拉作用,常见于机化、肿瘤等情况。具体而言,当存在支气管周围结构发生病变时,如伴行的动脉、淋巴及间质,或支气管周围的肺泡发生病变时,尤其当这些病灶发生机化或出现肿瘤时,会对支气管形成牵拉作用导致其扩张,形成“枯枝征”。

4. “枯枝征”的鉴别诊断思路

感染:①急性感染—不典型病原体感染和化脓性炎症。②慢性感染—结核。

非感染:淋巴瘤、腺癌、机化性肺炎等。

本例患者有发热、咳嗽症状,影像学有“枯枝征”表现,肺容积基本正常,不支持急性感染。肺结核常表现为上叶尖后段、下叶背段的病灶,可伴钙化或空洞,但该患者左肺有大片磨玻璃影,所以暂不考虑结核。淋巴瘤多为沿支气管血管束分布的实变影,但该患者为大片实变,暂不考虑。机化性肺炎多表现为胸膜下实变影或沿着支气管血管束分布的实变影,与该患者影像不符合。肺腺癌因其起源于肺泡上皮细胞,逐渐累积周围肺泡,可表现为外周型磨玻璃影或混杂密度结节,也可表现为两肺多发或大片的实变影,因肿瘤对周围组织的侵犯作用强,多可导致其周围的支气管出现牵拉性支气管扩张、管腔扭曲。无论腺癌的累及面积多大,其边界与肺组织界限清晰。该患者右下肺实变影内支气管僵直,且磨玻璃影边界模糊,需警惕腺癌可能。

5. 辅助检查

  • 炎症指标:WBC 18.58×109/L(↑),NEU 6.89×109/L(↑),CRP、PCT正常。

  • 凝血功能、肝肾功能、心肌酶、感染四项均正常。

  • 乳酸脱氢酶(LDH)152 U/L(↓)。

  • 肿瘤指标:CYFRA21-1 4.51 ng/ml,NSE 29 ng/ml。

6. 确诊与治疗

为明确诊断,行支气管镜下肺活检,病理结果:送检小块肺组织,未见正常肺泡组织;癌组织主要呈腺泡样及微乳头状生长,腺泡上皮细胞核增大,核浆比增高,可见核仁及核内包涵体。结合细胞形态及免疫组化结果,符合浸润性腺癌,中分化。免疫组化:TTF-1(+)、Napsin A(+)、CK7(+)。肺癌基因检测:ROS1阳性。

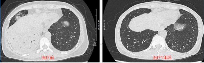
最终确诊:肺腺癌,ROS1阳性。克唑替尼治疗1年复查,两肺病灶基本吸收(图3)


图片


3  患者治疗前后胸部CT对比


图片

病例解析2:
发热伴网格影—肺水肿病因追溯


1. 病例概况

患者为中年男性,因“畏寒、发热1天”入院,体温38.9℃;WBC 12.0×109/L(↑),CRP 194 mg/L(↑)。

2. 影像特征分析

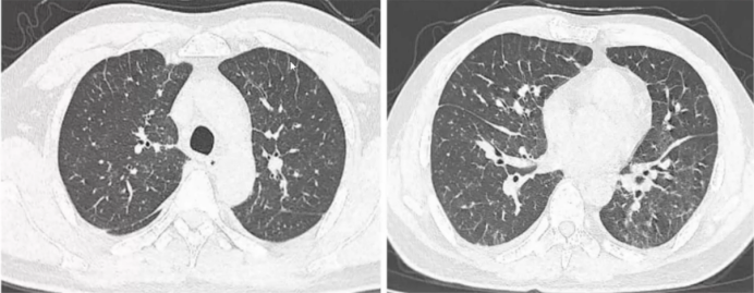
胸部CT显示:以线条影为主的磨玻璃影,胸壁下方可见一些类似栅栏样的树形影,这是小叶间隔增厚的表现;同时可见小叶中心结构的分布情况,且增厚的小叶间隔呈现出光滑的特征。另外,在肺的周边区域也存在相应分布。综合这些表现,提示为肺水肿。但与其他肺水肿不同的是,该患者的心影并不大(图4)


图片


4  患者入院胸部CT

3. 鉴别诊断思路

肺间质可分为三类:中轴间质、周围性间质和间隔性间质(小叶内间质)。周围性间质内包含小叶间隔,走行有静脉、淋巴及结缔组织;间隔性间质(小叶内间质)仅含结缔组织。小叶间隔增厚是肺水肿的典型影像学表现,呈现“大网格”分布,其来源需结合间质结构特点判断:①因周围性间质包含静脉、淋巴及结缔组织,而间隔性间质(小叶内间质)仅含结缔组织,故“大网格”(小叶间隔增厚)的来源仅考虑静脉或淋巴(排除结缔组织,若为结缔组织来源,会导致小叶内间质增厚,呈现“小网格”分布)。②不同来源有各自的特点:淋巴来源,可表现为光滑或结节样增厚。其中,淋巴液回流障碍时多呈光滑增厚,且病变多为单侧,双侧较少见;静脉来源,多表现为双侧小叶间隔增厚。

肺水肿的发病机制与胸腔积液类似,核心与静水压力升高、血管通透性增加相关,具体病因及鉴别如下:

1)静水压力升高所致肺水肿:①急性左心衰:最常见病因,常伴心影增大,但本例患者心影不大,暂不考虑;②补液过多:需结合临床补液史判断;③肾源性肺水肿:多有慢性肾功能不全基础病,本例患者无相关病史,暂不考虑,需进一步检查排除。

2)血管通透性增加所致肺水肿:①感染性因素:因炎症导致血管通透性增加,多伴心功能不全,本例患者虽有炎症指标升高及发热,但需结合其他表现综合判断;②非感染性因素:以过敏为主(如药物性过敏、吸入性过敏)。本例患者既往因幽门螺旋杆菌感染口服呋喃唑酮10天,而文献记载呋喃唑酮可引起过敏,且肺部影像学可表现为小叶间隔增厚,与本例特征相符。

4. 确诊与治疗

结合患者病史(服用呋喃唑酮)、影像学表现(小叶间隔增厚)及检查结果(无肾功能异常、心影不大),考虑为药物性过敏(呋喃唑酮所致)引发的肺水肿。

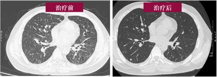
治疗方面,入院后停用呋喃唑酮,予甲强龙40 mg/d治疗3天,复查显示体温正常,两肺病灶基本吸收(图5),验证了诊断的合理性。


图片


5 患者治疗前后胸部CT对比


图片

重视影像细节,提升诊断精准度


肺部影像诊断是连接临床与病理的“桥梁”,对肺部疾病的诊治至关重要,应予以重视。肺部影像的学习具有一定的技巧,其核心在于从复杂影像中提取关键特征,结合呼吸生理、发病机制及临床资料进行逻辑推理。无论是磨玻璃影中的支气管形态,还是网格影中的小叶间隔特征,每一处细节都可能是确诊的钥匙。对于临床资料,需辩证分析,切勿先入为主。临床医师需避免经验主义,以“动态、整体”的视角分析影像,才能在千变万化的肺部疾病中精准定位病因,为患者提供及时有效的治疗。未来,随着影像技术的进步,结合人工智能辅助分析,肺部疾病的诊断将更加高效、精准,但对影像细节的深度解读与临床思维的融合,始终是不可替代的核心能力。



    作者介绍    

图片

胡群

深圳大学附属华南医院呼吸与危重症医学科主治医师医学硕士中国病理生理学会委员中国防协会多学科诊疗专业分会委员广东省病理生理学会呼吸病学分会委员深圳医师协会肿瘤多学科诊疗专业委员会委员抖音“呼吸影像”科普博主;擅长肺部影像学诊断呼吸系统常见疾病和疑难少见病的诊治以及呼吸危重症的诊治和呼吸介入治疗。荣获2017年“全国百佳优秀住院医师”,《中华结核和呼吸杂志》等国家顶级期刊发表论文10余篇发表SCI论文3篇,实用专利1项,参编《呼吸疑难少见病例解析》专著1部。


声明:

本文仅用于学术内容的探讨和交流,不用于任何商业和推广,亦不作为最终的临床决策。临床实践需根据患者的具体情况选择适宜的处理措施。



全部评论 0
Copyright©2020-2026 北京医麦斯科技有限公司 版权所有 京ICP备2020034400号-1 京公网安备11010502043983号