作者:业秀林
单位:昆明医科大学第一附属医院呼吸与危重症医学一科
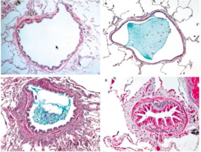
(1)慢性气道炎症可以导致黏液栓的形成,气道内膜增宽;小气道慢性炎症持续进展,可以造成小气道严重狭窄、阻塞、塌陷等(图1),进而导致呼气阻力增加。
图源:Lancet, 2004, 364(9435):709-721.(2)广泛的肺气肿导致肺部结构重塑,呼吸细支气管远端的肺组织因残气量增多而呈持久性扩张,并伴有肺泡间隔破坏(图2)。图2 小叶中央型肺气肿(左)和全小叶肺气肿(右)病理改变(1)小气道狭窄和梗阻导致呼气阻力增加,继而导致肺过度充气,功能残气量和肺总量增加,肺顺应性增高而弹性下降。呼气末期,由于肺没有充分回弹,造成膈肌过度收缩,导致收缩期肌肉没有处于最佳的初始长度,进而使膈肌收缩效率下降。(2)肺气肿导致肺部结构重塑,毛细血管网减少,由此导致的直接后果就是通气血流比例(V/Q)失调,生理死腔增多。如图3所示,由于小气道阻塞,使得部分肺泡通气不足,进而导致V/Q比例失调。此外,毛细血管缺氧导致肺血管收缩,使部分肺泡血流量不足,继而产生死腔样通气。这些都会造成缺氧和二氧化碳增多等一系列病理生理改变。
图3 功能性分流和死腔样通气
在慢阻肺急性加重期(AECOPD),急/慢性炎症引起整个小气道黏膜水肿增厚、气道狭窄、黏液阻塞,并且外周肌肉也会收缩痉挛,导致气道狭窄。(1)气道阻力增加:气道阻力增加就是COPD带来的最主要的病理生理改变。①吸气阻力:稳定期COPD患者的吸气阻力平均值增加不明显,但AECOPD患者吸气气道阻力可以增加至12 cmH2O/(L·s)及以上。主要原因是支气管痉挛、气道炎症和黏液栓的产生。②COPD患者存在小气道动态狭窄,其呼气阻力比正常人大1.6~3.8倍。该变化带来肺泡气体呼出受限,也会带来呼气最大峰流速(PEV)下降;呼气时呼吸肌的参与使呼气变为主动过程,更容易发生呼吸肌疲劳。如图4所示,横轴代表胸内压,健康人需要很小的负压就可以吸气,但COPD患者则需要更大的负压来吸气。纵轴代表吸气/呼气流量,健康人可以正常呼出气体,但COPD患者的流速明显下降,这就会导致肺泡动态过度通气。
图4 COPD患者与正常人的呼气和吸气的流量、胸内压对比
(2)内源性呼气末正压(PEEPi)的产生:伴随呼吸的进行和病情的恶化,呼气气流的受限会导致每次呼吸时残余肺内的气体量逐渐增加,即所谓的肺动态过度充气。正常情况下,处于呼气末功能残气量(FRC)位时,肺内气体压力和大气压平衡,若存在动态过度充气,则呼气气流受限会导致呼气末肺泡内压力大于大气压,即产生PEEPi(图5)。PEEPi的产生意味着每次吸气时患者的呼吸肌需要先克服该正压,才能进一步形成肺泡内的负压,产生吸气的气流,这就意味着患者需要克服更多的呼吸功。所以,患者呼气费力和呼吸肌疲劳的根源就是PEEPi的产生。AECOPD患者肺动态过度充气如图6所示。正常情况下,FRC位时,肺弹性回缩力=胸内压,肺泡内压=0。患者吸气触发产生-2 cmH2O压力后,送气500 ml【Wel,n=正常情况下弹性做功】。动态肺过度充气时:FRC增加,肺弹性回缩力>胸内压,肺泡内压=7 cmH2O,即PEEPi。患者吸气触发需克服7+2=9 cmH2O后才可触发呼吸机送气。最终达到EILVhyperinflation会导致肺泡过度扩张,此过程中产生的WPEEPi是无效做功。(3)V/Q比例失调:在正常的小气道和肺泡内,吸入气体产生的肺泡氧分压(PAO2)是115 mmHg,经过血液进行气体交换后的氧分压可以达到50 mmHg。但在狭窄的小气道内,肺泡通气量下降,PAO2只有正常人的50%左右,气体交换之后的氧分压会更低。正常氧分压与这种低氧分压的血流合并后会产生解剖样分流效果。这也是V/Q比例失调在COPD患者身上产生低氧的最主要原因。呼吸频率的增加会导致潮气量和肺泡通气量的下降;动态肺过度充气导致的死腔增加会带来更加明显的肺泡通气量的降低。PEEPi的出现对循环尤其是肺循环也有很大的影响,由于动态肺过度充气后引死腔增加,肺泡过度膨胀,其表面的毛细血管被压迫而收缩,会加重V/Q比例失调,引起呼吸衰竭;另外,由于死腔增加,这部分气体不能用于气体交换,而真正用于气体交换的肺泡通气量是明显下降的,这也会引起二氧化碳排出困难而导致低氧血症。总体而言, AECOPD呼吸衰竭的主要病理生理学改变是由于小气道陷闭和远端肺泡扩张导致的PEEPi的产生、死腔增加, 以及肺循环阻力增加, 继而带来了低氧、高碳酸血症和膈肌无力。
血气分析有助于AECOPD患者呼吸衰竭的诊断,确定氧疗的指征、判断治疗反应,以及评估代谢与循环灌注状态,是指导AECOPD治疗以及疗效评估的重要方法。其适应证包括:呼吸室内空气时,脉搏血氧饱和度<92%;有急性意识改变;血流动力学恶化;实施机械通气等。
病例1:一名67岁严重肺气肿女性患者,呼吸空气时血气分析:pH 7.38,PaO2 55 mmHg,PaCO2 45 mmHg。鼻导管吸氧5 L/min时,血氧饱和度由87%提高到99%。2小时后复查血气:pH 7.33,PaO2 96 mmHg,PaCO2 60 mmHg。由于吸氧浓度过高导致了高碳酸血症。对于AECOPD呼吸衰竭患者,应给予控制性氧疗。
控制性氧疗是AECOPD伴呼吸衰竭患者的基础治疗,无严重并发症的AECOPD患者氧疗后易达到满意的氧合水平(PaO2>60 mmHg或SpO2>90%)。给氧途径包括鼻导管或文丘里面罩,其中文丘里面罩更能精确地调节FiO2。氧疗30 min后应复查动脉血气,以满足基本氧合又不引起二氧化碳潴留为目标。
从肺泡二氧化碳分压(PACO2)公式分析:PACO2= VCO2/VA × K【VCO2:人体二氧化碳的产生量与体温和代谢有关;VA:肺泡分钟通气量;K:常数,在标准条件下为0.86】
假定VCO2为200 ml/min,VA为4.315 L/min情况下,PACO2约为40 mmHg。我们知道,VA越高,PACO2越低。氧气和二氧化碳的交换是弥散过程,二氧化碳的弥散是氧气的20倍,无论是在动脉血还是在肺泡内,二氧化碳分压的差别很小,所以PACO2≈PaCO2。所以,高碳酸血症与VA呈正线性关系。肺泡通气量越大,二氧化碳能够交换和排出的量也就越大。诸如上述出现高碳酸血症的患者,大多都存在肺泡通气量不足的情况。
因此,在氧疗过程中要避免“氧诱导的高碳酸血症”。过度宽松的氧疗已被证实会产生不利后果。过度氧疗会导致动脉二氧化碳分压进一步增加,随后产生二氧化碳麻醉。部分原因可能是由于参与呼吸控制的颈动脉窦外周化学感受器脱敏所致,由COPD发生的慢性高碳酸血症引起。在这种情况下,大部分呼吸驱动由低氧血症引发,而低氧血症会因吸氧而减少,这将导致患者分钟通气量下降,高碳酸血症恶化。根据实验研究,这一机制可能只导致观察到的高碳酸血症的一小部分,分钟通气量减少约15%。图7所示为氧气诱导的高碳酸血症时的分钟通气效应。高氧治疗15 min期间,在AECOPD患者中,初期发现分钟通气量减少,但随后明显恢复。然而,氧气诱导的高碳酸血症并不会恢复。
图7 氧气诱导的高碳酸血症时的分钟通气效应
V/Q比例失调和霍尔登效应(Haldane effect)也是COPD患者氧疗过程中CO2升高的主要原因。大多数高碳酸血症是由于肺部通气/灌注比的变化,高FiO2会在低通气水平下增加肺泡中的氧气的张力,抑制低氧肺血管收缩(图8);通气相对受损的肺泡灌注良好,导致V/Q比例失调更严重。此外,霍尔登效应(Haldane effect)也是导致氧诱导的高碳酸血症的原因,给氧会导致血红蛋白对二氧化碳的结合能力降低,并额外释放已经结合的二氧化碳,这也会增加高碳酸血症。
图8 低氧性肺血管收缩
注:左侧显示正常的肺泡通气和灌注。在右侧,肺泡(绿色)中通气减少(因此氧气张力减少),导致由于低氧性肺血管收缩机制而灌注减少。
如图9所示,在COPD患者体内存在两种不同的肺泡,一种是正常通气的肺泡(a区),另一种是由于气道狭窄导致明显通气不足的肺泡(b区)。吸氧前:Va>Vb,Qa>Qb,V/Q比例基本维持平衡。吸氧后:Qa≈Qb. Va和Vb较前无明显变化或下降,此时在a区,V/Q>0.8,死腔通气,通气效率下降;b区,V/Q<0.8,出现分流。所以,不合适的氧疗可能会诱导或加重高碳酸血症,COPD患者需要低浓度吸氧(控制性氧疗)。
图9 通气正常和通气不足肺泡的通气和血流情况
英国胸科学会(BTS)指南也指出,对于鼻导管或文丘里面罩吸氧的COPD患者,若存在高碳酸血症风险(但没有呼吸性酸中毒),将氧饱和度目标设定为88%~92%。如果PaCO2正常,氧饱和度目标可设为为94%~98%,并且在30~60 min后复查血气评估。2. 血气在慢阻肺急性加重期患者无创机械通气(NIV)中的评估GOLD指南2024版指出,AECOPD满足以下至少一条需要启动机械通气:①呼吸性酸中毒,PaO2≥45 mmHg,动脉血pH<7.35;②严重的呼吸困难(呼吸做功增加,呼吸肌疲劳);③吸氧状态下仍存在低氧血症。NIV作为治疗COPD合并呼吸衰竭的首选方法,已被广泛接受。在病程的早期使用NIV,可以显著减少气管插管及其并发症(如呼吸机相关性肺炎、气管和喉部并发症)。呼气末正压(PEEP)可以抵消因呼气气流阻塞而引起的PEEPi。吸气时气道正压可增加潮气量,从而减少机械通气缺陷,降低呼吸频率,减少呼吸功,并改善通气(减少PaCO2)。一项来自美国的回顾性队列研究分析了2001—2011期间AECOPD住院患者机械通气的变化趋势,纳入了475家医院723560例AECOPD住院患者的数据。结果显示:总的机械通气比例增加(由14.1%到20.3%),首选NIV的比例不断增加(由5.9%到14.8%),而首选有创通气(IMV)的比例则下降(由8.7%到5.9%)。下图是整个趋势的变化,从真实世界数据的角度支持NIV在AECOPD中的应用。《慢性阻塞性肺疾病急性加重诊治中国专家共识(2023年修订版)》中提出了AECOPD患者使用NIV的相对禁忌证,包括:呼吸停止或呼吸明显抑制;心血管系统不稳定(低血压、心律失常、心肌梗死);严重的血流动力学不稳定(低血压对液体治疗和血管升压药无反应,收缩压≤90 mmHg);危及生命的心律失常;神志状态改变,不能合作;易误吸;分泌物黏稠或大量;NIV面罩不能舒适地使用;近期面部或胃食管手术;颅面部外伤;固定的鼻咽部异常;烧伤。NIV治疗AECOPD时需要进行监测,建议:NIV开始治疗后1~2 h是评估的最重要时期,应根据患者的临床状态和血气分析进行评估。对NIV治疗有反应的临床体征包括:患者意识改善、呼吸频率下降、辅助呼吸机使用减少和呼吸功减少。应通过血气分析动态评估pH、PaCO2与PaO2,治疗成功的标志是酸中毒和高碳酸血症改善。血气分析能够为临床医生提供很多信息,当PaCO2改善不明显时,一定要追溯其原因,并采取针对性措施(表1),才能获得相应的治疗效果。
表1 NIV改善PaCO2效果不明显原因分析及解决方案
经鼻高流量湿化氧疗(HFNC)已经越来越多地用于COPD的治疗,其主要作用是:对吸入气体加温加湿,改善分泌物引流;冲刷上气道死腔;气道正压效应,增加肺泡通气量。这些均有利于COPD呼吸衰竭的治疗。2019年Ann Intensive Care杂志发表的研究比较了HFNC与NIV在COPD合并高碳酸血症患者中的作用。入选标准是轻中度COPD合并高碳酸血症患者,排除了严重高碳酸血症、意识障碍或不能配合、上消化道出血、气胸和/或食管球囊导管插管等患者。以10~50 L/min的流速增加HFNC通气,每一阶段持续15 min。结果显示:与10和20 L/min的流速相比,以30 L/min的流速短期应用HFNC可以减少吸气努力,并且在轻至中度恶化的高碳酸血症性COPD患者中,与在中等水平的压力支持下进行NIV相比,效果相似。病例2:男性,64岁,既往诊断COPD 4年,长期吸入沙美特罗替卡松50/500治疗,5天前感冒后出现胸闷、呼吸困难加重伴咳嗽、咳痰,门诊予以抗生素治疗无好转,以AECOPD收住入院,入院后查体:T 36.6℃,P 110次/min,R 32次/min,BP 140/86 mmHg,SpO2 91%。呼吸空气时的血气分析:pH 7.32,PaO2 58 mmHg,PaCO2 58 mmHg,BE 3 mmol/L。给予抗感染、激素抗炎、止咳平喘、祛痰等治疗,1天后复查血气分析:pH 7.29,PaO2 65 mmHg,PaCO2 70 mmHg,BE 4 mmol/L。入院后予HFNC流量60 L/min,吸氧浓度30%。24 h后,P 90次/min,R 24次/min,SpO2 95%。复查血气分析:pH 7.36,PaO2 70 mmHg,PaCO2 55 mmHg,BE 1.5 mmol/L。持续HFNC至出院。3. 血气在慢阻肺急性加重期患者有创机械通气中的评估GOLD指南2024版提出的AECOPD有创通气指征包括:①不能耐受NIV或NIV失败;②呼吸或心跳骤停;③精神状态受损,严重的精神障碍需要镇静剂控制;④严重误吸或持续呕吐;⑤不能排出呼吸道内分泌物;⑥严重的血流动力学不稳定,对液体疗法和血管活性药物无反应;⑦严重的室性心律失常;⑧威胁生命的低氧血症,不能耐受NIV。血气分析在有创机械通气过程中具有重要作用,要关注AECOPD患者机械通气过程中的pH值。部分COPD患者已存在较长时间的二氧化碳潴留,机体已逐渐适应高碳酸血症状态,并通过肾脏等的调节来维持正常或接近正常的pH值。若使用较大通气量,二氧化碳迅速排出,形成碱中毒,对机体造成严重影响。PaCO2的下降速度不宜过快,PaCO2的绝对值下降到缓解期水平或较之略高即可,必须使用适当的呼出气潮气量(VTE),警惕出现碱中毒。动脉血pH值较PaCO2的绝对水平,对于通气量的调节更重要。病例3:男性,48岁,BMI 43.1 kg/m2,主诉,咳嗽、胸闷伴头晕2天。既往COPD、OSAHS、高血压病史。AECOPD患者上机前的血气(呼吸性酸中毒):pH 7.23,PaCO2 84.2 mmHg,PaO2 72 mmHg,HCO3- 35.7 mmol/L,BE 16.4 mmol/L。气管插管,初始呼吸机参数:PCV模式:PC 18 cmH2O,PEEP 10 cmH2O,FiO2 50%,VTE 350 ml,RR 20次/min,MV 7 L/min。机械通气2 h后复查血气:pH 7.56,PaCO2 39 mmHg,PaO2 84 mmHg,HCO3-35.3 mmol/L,BE 11 mmol/L。提示:代谢性碱中毒。人体的酸碱平衡调节主要有两部分,一是呼吸调节,另一个是肾脏调节。呼吸调节非常快速,几分钟之内就可以起效。肾脏调节比较慢,一般要一天以上。对于类似病例3这种COPD合并OSAHS且长期伴有高碳酸血症的患者,其肾脏早已耐受了高碳酸血症,在我们快速应用有创通气将PaCO2降下来时,他的肾脏还不能接受这种调节,所以会出现代谢性碱中毒。该患者的目标PACO2应该是多少?通过第二次血气分析可以了解到,机械通气后,通过较高的支持力度达到过度通气的状态,PaCO2有所下降,但出现了碱中毒。如何设定目标PACO2?亨德森-哈塞尔巴赫方程式【[H+]=24×PCO2/HCO3-】是化学中关于酸碱平衡的一个方程。该方程使用pKa(即酸碱解力常数)描述pH值的变化, 它可以用来估算缓冲体系的pH值。根据亨德森-哈塞尔巴赫方程式我们可以推算出pH值与H+的换算表(表2)。
表2 pH值与H+的换算表
根据上表:pH=7.4,H+浓度为40 mmol/L,代入公式,HCO3-/PCO2=24/40=0.6。若考虑初始的HCO3-水平35.7 mmol/L,需要维持pH 7.4的目标,那么PaCO2=35.7/0.6=59.5 mmHg。因此,需要降低患者的机械通气支持水平,将PaCO2升高,改善患者代谢性碱中毒状态。调整患者机械通气参数:PCV模式,PC 18→16 cmH2O,PEEP 10 cmH2O,FiO2 40%,VTE 350 ml,RR 20→15次/min,MV 7→5.1 L/min。复查血气:pH 7.41,PaCO2 59 mmHg,PaO2 80 mmHg,HCO3- 35.9 mmol/L,BE 9 mmol/L。在COPD患者有创通气撤离过程中,血气分析也依然发挥着重要作用。对于AECOPD有创通气患者,应采用有创-无创序贯治疗,即接受有创通气的患者,在未达到拔管和脱机的条件下,提前拔管,改用NIV,从而逐渐达到撤机的目的。有创通气过程中应评估AECOPD的药物治疗反应以及有创通气呼吸支持的效果,评估患者自主呼吸能力和排痰状况。有创切换无创的指征是:①AECOPD并发肺部感染得以控制。脓性痰液转为白色,且痰量明显下降,肺部啰音减少;②临床情况表明呼吸衰竭获得初步纠正后,如果FiO2<40%,血气接近正常,pH>7.35,PACO2<50 mmHg。有创切换至无创的时机非常重要,插管时间延长,呼吸机相关肺炎的发生风险将大大增加。AECOPD患者的血气管理要点有以下:①血气分析有助于AECOPD患者呼吸衰竭的诊断,确定氧疗的指征,判断治疗反应,指导AECOPD治疗的重要监测;②在AECOPD患者控制性氧疗过程中,以满足基本氧合(PaO2>60 mmHg),又不引起二氧化碳潴留为目标,避免氧诱导高碳酸血症;③AECOPD患者机械通气过程中,通过血气分析动态评估pH、PaCO2与PaO2并确定酸中毒和高碳酸血症是否改善;④对于已存在较长时间二氧化碳潴留的COPD患者,PaCO2的下降速度不宜过快,警惕出现代谢性碱中毒;⑤利用血气分析评估呼吸衰竭的纠正情况,判断有创转无创的时机。[1] Hogg JC. Pathophysiology of airflow limitation in chronic obstructive pulmonary disease[J]. Lancet, 2004, 364(9435):709-721.[2] 慢性阻塞性肺疾病急性加重诊治专家组. 慢性阻塞性肺疾病急性加重诊治中国专家共识(2023年修订版)[J]. 国际呼吸杂志, 2023, 43(2):132-149.[3] GLOBAL STRATEGY FOR PREVENTION, DIAGNOSIS AND MANAGEMENT OF COPD: 2024 Report[EB/OL]. https://goldcopd.org/2024-gold-report/[4] Rittayamai N, Phuangchoei P, Tscheikuna J, et al. Effects of high-flow nasal cannula and non-invasive ventilation on inspiratory effort in hypercapnic patients with chronic obstructive pulmonary disease: a preliminary study[J]. Ann Intensive Care, 2019, 9(1):122.

业秀林
昆明医科大学第一附属医院呼吸与危重症医学一科 副主任医师,硕士研究生导师;云南省医学会呼吸病学分会间质性肺病学组委员;云南省女医师协会呼吸病学分会烟草病学组委员;云南省女医师协会呼吸病学分会间质病学组委员;云南省药学会呼吸病学专业委员会委员;主持及参与国家级课题4项、省级科研项目5项;作为副主编编写专著一部。
- 本文根据“呼吸危重症菁英秀”第八十期专题视频整理,感谢业秀林医师予以审核。