登录方式

方式一:
PC端网页:www.rccrc.cn
输入账号密码登录,可将此网址收藏并保存密码方便下次登录

方式二:
手机端网页:www.rccrc.cn
输入账号密码登录,可将此网址添加至手机桌面并保存密码方便下次登录

方式三:
【重症肺言】微信公众号
输入账号密码登录

注:账号具有唯一性,即同一个账号不能在两个地方同时登录。

登录
方式

为重症救治赋能

为患者康复加速

当前位置: 首页 呼吸危重症菁英秀

大咯血救治的病例分享

高山 蚌埠医科大学第一附属医院呼吸与危重症医学科 发布于2025-03-19 浏览 5598 收藏

作者:高山

单位:蚌埠医科大学第一附属医院呼吸与危重症医学科

 病情介绍

基本情况
患者女性,59岁,以“咯血10余天,加重3天”为代主诉入院,2021年5月20日转入我院RICU。
现病史
患者10余天前出现咯血,于当地医院接受了抗感染、止血等治疗,治疗后咯血好转。胸部CT(2021-05-14,外院):两肺炎症,散在纤维条索影(图1)。5月17日气管镜提示左肺下舌段管口可见肉芽增生,活检后明显出血(图2)【活检组织并未送病理】,量约500 ml,SpO2降至65%。立即予止血、吸氧等治疗,咯血量减少。但患者仍反复咯血,5月17日转入ICU,予有创机械通气、止血治疗。

图片

图片
图1  患者外院胸部CT(2021-05-14)
图片
图2  患者支气管镜检查(2021-05-17)
既往史
既往有精神分裂症病史17年, 规律口服氯氮平, 250 mg qn; 近3年间断出现痰中带血情况。
入我科时情况
T 36.6℃,HR 111次/分,R 21次/分,BP 96/60 mmHg,SpO2 91%。双肺呼吸音粗,可闻及散在湿啰音。留置经口气管内导管,机械通气中,镇静状态,RASS评分-2分。循环状态:去甲肾上腺素0.2 μg/(kg·min),APACHEⅡ评分27分。
入科后辅助检查(2021-05-20)
患者带转运呼吸机入我科,血气分析(Pi 12 cmH2O,PEEP 6 cmH2O,FiO55%):pH 7.37,PaCO2 47 mmHg,PaO2 68 mmHg,SaO2 93%,Lac 1.3 mmol/L,P/F 124 mmHg;K+ 3.3 mmol/L,Na+ 142 mmol/L。
血常规:WBC 15.11×109/L,NEU 14.58×109/L,LYM 0.45×109/L,RBC 3.44×1012/L,Hb 99 g/L,PLT 186×109/L。
脏器功能: 肝肾功能均正常, 白蛋白33.8 g/L, C反应蛋白15.91 mg/L, 脑钠肽未见异常。
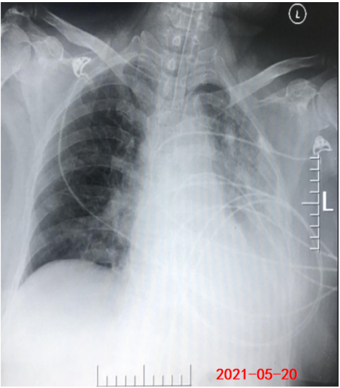
床旁胸片:左肺炎性病变;左下肺不张,左侧胸腔积液(图3)
图片
图3  患者入我科后床旁胸片

 诊疗经过

患者入我科后初步予保守治疗。5月22日2:18患者再次出现咯血,量约60 ml,予止血药物,充分镇痛镇静,情况暂时改善。5:30患者出现大咯血,量约400 ml,6:50出现大咯血,量约500 ml。呼吸机呼出端可见大量血性分泌物。清除血性分泌物,更换管路。
血气分析(FiO2 93%):pH 7.09,PaO2 36 mmHg,PaCO2 111 mmHg,SaO2 46%,P/F 39 mmHg。
血常规:WBC 29.50×109/L,NEU 20.14×109/L,LYM 7.31×109/L,RBC 2.78×1012/L,Hb 78 g/L,PLT 297×109/L。
初步诊断
大咯血原因待查;Ⅱ型呼吸衰竭
介入治疗
5月22日8:00左右将患者送至气管镜室,同时联系麻醉科医师进行全身麻醉,行硬镜下介入封堵止血治疗。术中全麻肌松生效后,拔除经口气管插管,插入14 mm硬质气管镜,见气道内大量新鲜出血喷涌,患者氧饱和度快速下降至20%,快速反复吸引气道内分泌物,将硬质镜插入右主支气管,吸除远端大量血性分泌物,使用球囊堵塞左主支气管,加大垂体后叶素用量,反复吸除右主血性分泌物,放开球囊后仍有新鲜血液从左主支气管涌出,迅速置入但单肺通气气管导管,患者氧饱和度上升至95%,与家属详细沟通病情后,送入导管室行血管造影+支气管动脉栓塞术(BAE)。

视频:全麻硬镜下介入封堵止血治疗
术中在胸主动脉附近寻找支气管动脉,可见左右侧支气管动脉共干,共干血管起始至左侧支气管动脉全程增粗,迂曲,远端可见假性动脉瘤和增生异常血管;右侧支气管动脉正常,未见明显增粗异常。微导管超选择入左侧支气管动脉后,先给予350~560 μm的PVA颗粒栓塞,因血流缓慢,颗粒顺血流栓塞不满意,冲洗导管后予以较稀的液体胶(胶:碘化油=1:4)栓塞,远端血管和动脉瘤铸型,复查造影栓塞满意,未见动脉瘤和异常血管显影。左侧支气管动脉保留,主干保留。

               


视频:支气管动脉栓塞术
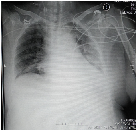
手术当天及术后2天床旁胸片如图4所示。术后第2天更换气管导管,右肺出现实变影。
图片
图4  患者手术当天及术后胸片
术后患者PaCO2有所下降,但氧合指数并未明显改善(表1)

表1  患者治疗过程中血气指标变化情况

图片

5月24日(D5)全麻硬镜下气管镜检查。全麻满意后,经口插入12 mm硬镜,予以高频通气,镜下见右上叶、右中叶、基底段及背段管腔血凝块堵塞,左上叶血块完全阻塞,予以吸除管腔血凝块(左上叶除外),并用生理盐水冲洗吸出,送RICU复苏。

 视频:全麻硬镜下气管镜检查

5月28日(D9)CT肺动脉造影(CTPA):肺动脉未见明显血栓形成,左肺舌段实变较重。考虑是左肺通气不良、V/Q比例失调导致氧合下降。全麻下气管镜检查发现左主支气管、左上下叶及各段管腔内均可见陈旧性血迹,充分吸除,舌段仍有残留陈旧性出血,上舌段开口见新生物(图5)

视频:CT肺动脉造影

图片
图5  复查气管镜(2021-05-28)
治疗过程中予以输注红细胞及血浆,维持凝血酶原时间(PT)和血红蛋白在正常范围,避免出现严重的组织缺氧(图6)
图片
图6  治疗过程中输血及血红蛋白情况
患者病程中无明显咳嗽咳痰及感染征象,有一过性体温升高,考虑是出血吸收热;无明确的病原学依据,常规予莫西沙星(0.4 g qd,D1~D7)、头孢哌酮舒巴坦(3.0 g q12h,D3~D7,D12~D14)、头孢曲松(3.0 g q8h,D12~D14)抗感染治疗。
经过多次气管镜清理,患者氧合指数稳步升高(表2)。6月1日(D13)撤机,予经鼻高流量氧疗。6月2日(D14)复查胸片提示左肺吸收较明显(图7)

表2  患者治疗过程中血气指标变化情况

图片

图片
图7  复查胸片
6月12日复查胸部CT提示左肺吸收良好,左肺舌段复张。6月14日患者好转出院。

                                                  

视频:复查胸部CT

出院诊断:支气管Dieulafoy'病,并发大咯血,Ⅱ型呼吸衰竭;阻塞性肺炎;中度贫血。

 Dieulafoy'病

Dieulafoy'病的病理表现为支气管黏膜下动脉扩张或畸形,发病机制可能与支气管动脉、肺动脉发育异常及气道慢性炎症或损伤有关。临床表现为反复咯血,尤其在气管镜活检时发生大咯血。胸部CT平扫无特异性发现,通过增强CT或造影可以发现。

CT血管成像(CTA)表现:病变的支气管动脉主干增宽,明显迂曲,管腔没有逐渐变细的趋势,符合“恒径动脉”的表现。气管镜表现:光滑性结节样隆起;充血粗糙,凸起表面覆盖黄白色分泌物形成“小白帽”样表现。支气管动脉造影:病变部位血供丰富,支气管动脉迂曲扩张呈串珠状(图8-图10)

图片
图8  支气管动脉迂曲扩张,呈串珠状
图片
图9  支气管动脉走行于黏膜下,形成结节样隆起

图片

图10  Dieulafoy'病
Dieulafoy'病的治疗方法包括药物治疗、内镜下治疗、支气管动脉栓塞术和手术治疗。

 致命性大咯血的抢救

2020年发表的《咯血诊治专家共识》中对致命性大咯血给出了较为规范的抢救流程(图11)。硬镜对于大咯血的处理有一定的优势: 硬镜通道直径大, 支撑力强; 吸引方便, 能够直接去除血块; 直接填压止血, 还可以进行球囊扩张。
图片

图11  致命性大咯血抢救流程

图源:中国呼吸与危重监护杂志, 2020, 19(1): 1-11.

小结

对于不明原因咯血,肺部没有发现确切病灶的患者,建议做CTA检查。支气管镜下光滑样新生物活检操作要小心;介入呼吸病技术在大咯血救治中可以起到力挽狂澜的作用,多学科合作对保障救治成功率非常重要。


    作者介绍    

图片

高山

蚌埠医科大学第一附属医院呼吸与危重症医学科 主治医师,医学硕士。从事呼吸科临床工作10余年,在呼吸危重症救治领域具有丰富的临床经验,尤其关注呼吸危重症、血流动力学监测、呼吸系统感染性疾病、多脏器功能障碍等。

  • 本文根据“呼吸危重症菁英秀”第八十三期专题视频整理,感谢高山医师予以审核。


全部评论 0
Copyright©2020-2026 北京医麦斯科技有限公司 版权所有 京ICP备2020034400号-1 京公网安备11010502043983号