登录方式

方式一:
PC端网页:www.rccrc.cn
输入账号密码登录,可将此网址收藏并保存密码方便下次登录

方式二:
手机端网页:www.rccrc.cn
输入账号密码登录,可将此网址添加至手机桌面并保存密码方便下次登录

方式三:
【重症肺言】微信公众号
输入账号密码登录

注:账号具有唯一性,即同一个账号不能在两个地方同时登录。

登录
方式

为重症救治赋能

为患者康复加速

当前位置: 首页 呼吸危重症菁英秀

非HIV重症耶氏肺孢子菌肺炎的诊治

刘凯雄 福建医科大学附属第一医院 发布于2024-05-23 浏览 4659 收藏

作者:刘凯雄

单位:福建医科大学附属第一医院呼吸与危重症医学科


01

耶氏肺孢子菌肺炎的流行病学

近年来,耶氏肺孢子菌肺炎(Pneumocystis jiroveci pneumonia,PJP)的发病率呈明显上升趋势。据统计,2012—2017年,美国医保住院约1亿人次,其中免疫抑制宿主(immune compromised host,ICH)人数约为700万,包括HIV感染/AIDS,恶性血液系统肿瘤、实体肿瘤、器官移植、风湿科疾病、免疫抑制药物及2周以上激素治疗的患[1]。PJP数量的增加与ICH的大量增加、诊断技术的进步(如ICU-BAL、PCR、mNGS)密切相关。在中国、法国及美国,PJP的发病率呈逐年上升趋势[2]。国内几家大型医疗中心的研究显示,PJP在ICU侵袭性肺真菌病中占很大比例,尤其是mNGS在不同层级医院的广泛应用有助于PJP的诊断[3, 4]


重症PJP患者的病死率在50%以上。德国ICU住院PJP患者病死率为58%,其中实体器官移植患者病死率更是高达78.9%[5]。中日友好医院与北京协和医院联合开展的一项回顾性研究发现,ICU中非HIV重症PJP患者的病死率高达75.6%,其中79.2%的患者为结缔组织病,而此类患者通常病情都较重;在死亡患者中,纵隔气肿比例高达23.17%[6]


02

耶氏肺孢子菌肺炎的前世今生


1909年,Chagas首次在豚鼠中发现肺孢子菌,认为是克氏锥虫一种。1910年Carini在大鼠肺组织中发现肺孢子菌。1912年,Delanoe夫妇将其鉴定为新的原虫,并命名卡氏肺孢子/囊虫(Pneumocystis carinii)。1976年,Delanoe提议将其改为耶氏肺孢子菌(Pneumocystis jirovecii,PJ),以纪念捷克寄生虫学家耶诺维奇(Jirovecii)。1988年,Edman发现其核糖体RNA与真菌类似,提出分子水平PJ属于真菌。2001年,在机会性原生生物国际研讨会上,正式将PJP代替PCP,之后文献越来越多采用PJP。

PJ主要有包囊(感染型)和滋养体(繁殖型)两种形态,滋养体为可变多形体,有细足和伪足形成,类似阿米巴;包囊呈圆形,直径4~6 μm,囊壁内含有囊内小体(或称子孢子),完全成熟的包囊内一般为8个,包囊是重要的诊断形态。PJ多寄生于肺泡腔(滋养体、包囊前期和包囊期),成熟包囊进入肺泡后破裂,囊内小体脱囊后发育为滋养体,滋养体紧贴肺泡上皮寄生,增殖,包囊多位于肺泡中央[7]。PJ可以通过气溶胶和人传人进行传播,ICH为PJ的主要宿主[8]


机体的免疫细胞,如巨噬细胞、淋巴细胞、T细胞、中性粒细胞等均参与PJ的宿主免疫反应,其中巨噬细胞是宿主防御PJ的中心效应细胞,CD4+T细胞是重要的抗PJ细胞,73.1%的PJP患者CD4+T细胞<200/μl[9, 10]

03

耶氏肺孢子菌肺炎在易感人群中的发生率

多数情况下PJP患者存在明显的免疫抑制,相对特征性的临床表现,以及相对特征性的胸部CT改变。如具备这三方面,临床需考虑有无PJ感染的可能,进而完善相关检查,包括呼吸道标本或血标本的检测,可通过特殊染色、PCR或mNGS进行求证诊断。
挪威、德国、法国、中国以及中国台湾的报道显示,实体器官移植患者、风湿结缔组织病接受免疫抑制药物治疗患者、液系统恶性肿瘤患者以及实体肿瘤化疗患者是PJP的好发人群[11-14]。中日友好医院的一项研究纳入了716例长期使用糖皮质激素的社区获得性肺炎(CAP)和医院获得性肺炎(HAP)患者,PJP发生率达到18.71%(134/716),患者均表现为持续淋巴细胞减少,近一半的患者强的松使用量>30 mg/d,平均累积剂量为3 g,平均使用时间为3个月;77.6%的患者出现严重呼吸衰竭,近1/3患者需要插管,1/3患者出现休克,30天病死率为33.6%[15]。上海交通大学医学院附属仁济医院的一项研究显示,PJP在MDA5+皮肌炎(DM)患者中具有惊人的高发病率和死亡率,MDA5+DM患者3年PJP发生率高于系统性红斑狼疮(SLE)或MDA5-特发性炎性肌病(IIM),MDA5+DM患者病死率高于MDA5-IIM[16]在实体器官移植患者中,PJP发生率为5%~15%,多为未采取预防措施的患者,肾移植患者PJP发生率最低,但其数量最多;心肺移植患者PJP发生率最高。他克莫司、环孢素的使用会增加PJP的发生率。年龄、CMV感染、淋巴细胞计数是PJP的独立危险因素[17]。法国的一项研究纳入了2000—2015年共28个ICU中血液系统恶性肿瘤合并呼吸衰竭的患者,结果发现PJP是导致ICU中血液系统恶性肿瘤患者急性呼吸衰竭的重要原因,占比12.3%,其中患者多为淋巴细胞相关疾病,包括淋巴瘤、淋巴细胞白血病、多发性骨髓瘤[18]
此外,临床上还有一些比较隐匿的容易被忽视的免疫抑制状态,包括Good's综合征、流感、重症COVID-19、库欣综合征、未治疗的白血病等。原发性成人免疫缺陷病患者也容易发生PJP,此类疾病近年来在西欧国家受到重视,其主要涉及一些基因缺失/突变,如GATA2 缺失、CTLA-4 功能不全、NFKB1 G960R 突变、IKZF1 突变等[19, 20]

04

 耶氏肺孢子菌肺炎的临床表现 

非HIV PJP的临床表现主要为:起病急,病情变化快;干咳、发热,患者常误认为感冒,很多患者可能在1天之内就由“感冒”进展至呼吸衰竭;进行性呼吸困难,循环衰竭,气胸,突发的气喘;胸痛、咯血、肺外表现少见;肺部体征少。国外学者根据PJP的症状、体征、胸部X线片以及氧合情况将其分为轻度、中度和重度。
图片
一项研究纳入544例确诊的PJP患者,其中321例非HIV患者,223例HIV患者,非HIV患者从呼吸道症状发作到PJP诊断的中位时间明显短于HIV患者,但非HIV患者的低氧血症更严重,他们需要比HIV患者更高的氧流量。非HIV患者也更经常需要重症监护和无创/有创机械通气。休克在非HIV患者中更常见,且与肺部微生物合并感染显著相关,非HIV患者发生PJP的病死率高于HIV患者约7倍[21]
北京朝阳医院和地坛医院的一项研究显示,与HIV患者相比,非HIV患者症状持续时间、进展至呼吸衰竭的时间更短,更多需要机械通气、插管、入住ICU,且生存率更低[22]
既往PJP诊断多依赖于临床微生物室的一些特殊染色技术,因为PJ滋养体附着于上皮细胞,进入支气管多为包囊,因此多检查出包囊,难以查滋养体。我们常见的一些染色方法,例如六胺银染色(GMS)、吉姆萨(Giemsa)、Diff-Quik染色、Calcofluor-White(CFW)染色、直接或间接免疫荧光染色,相比而言,六胺银染色对包囊染色的特异性好,对比度强,菌体易于辨认,简便快捷,被广泛用于肺组织印片的染色。因此,六胺银染色更具优越性。非HIV患者PJ的负荷量低于HIV,故不易发现,检出率也更低。因此最好能够采集患者的BALF标本,其阳性率高于诱导痰。
在肺泡中,PJ产生多种糖蛋白和蛋白酶,诱发强烈的炎症反应,肺间质增厚,甚至纤维化,导致限制性通气功能障碍,进行性低氧血症和死亡。
图片


在高度怀疑PJP的情况下,G试验有助于明确诊断。若G试验结果≥80 pg/ml,诊断PJP的敏感性为69.8%,特异性为81.2%,阳性预测值为34.6%,性预测值为95.2%。若G试验结果≥200 pg/ml联合PCR阳性,诊断PJP的敏感性为70%,特异性为100%,阳性预测值为100%,阴性预测值为52.0%[23]。最新荟萃分析纳入23项研究,显示G试验诊断PJP的敏感性为91%,特异性为79%,其中HIV患者敏感性为94%,非HIV敏感性为86%;若G试验阴性,PJP可能性小[24]对于送检的血标本或呼吸道标本,也可以采用PCR,每1 ml送检样本超过1450个病原体,PCR的诊断价值较高。不同研究显示血清PCR的敏感性>70%[25, 26]


05

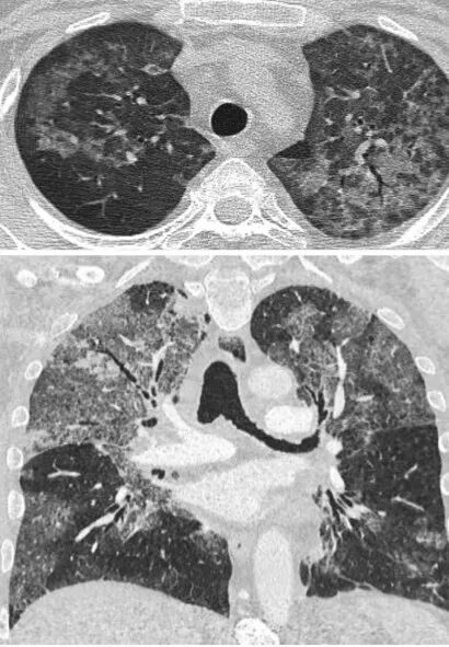
耶氏肺孢子菌肺炎胸部CT特征性改变

非HIV患者PJP的胸部CT特点主要为[27, 28]:①广泛的大片磨玻璃影,上肺近肺门为主,外周病变较少;②黑边征,胸膜下无病变,无磨玻璃影,这是其与非特异性间质性肺炎(NSIP)之间的鉴别要点;③铺路石征:由于肺泡腔中气体含量轻微减少,其气腔被液体、细胞或其他物质填充,肺实质密度呈磨玻璃影外观,小叶间隔和小叶内间隔呈网格状增厚,提示病情较重;④多发囊性变或空洞:具体机制尚不清楚。


图片


PJP在影像学方面有时很难与CMV感染相鉴别,CMV感染有一个很重要的特点,即在HRCT上可见多发小叶中心结节。北京大学第一医院的一项回顾性队列研究纳入70例非HIV PJP患者,其中54.3%合并CMV感染,与使用皮质类固醇相比,接受糖皮质激素和免疫抑制剂的患者肺部CMV感染明显更常见;合并CMV感染也与重度呼吸困难有显著相关性,影像学可见小叶中心结节,BALF中高CMV DNA负荷量与死亡率呈正相关[29]此外,我们也不能满足于单纯PJP诊断,也要警惕PJP合并曲霉等其他机会性感染的发生。

06

耶氏肺孢子菌肺炎的治疗

PJP的治疗主要包括:①呼吸支持:无创正压通气(NPPV),经鼻高流量氧疗(HFNO),有创机械通气(IMV),体外膜肺氧合(ECMO)等。对于重症PJP患者,一旦具备插管的指征,要尽早插管,进行IMV,此类患者一定要镇静镇痛达标,防止气压伤。ECMO在重症PJP患者中的应用价值仍需要更多经验的积累。②抗感染治疗:使用药物包括复方磺胺甲噁唑(口服/静脉)、克林霉素、卡泊芬净等;③液体管理:保持适度的液体负平衡;④糖皮质激素治疗:仍存在争议,不应常规使用,建议有选择性地使用,如患者基础病为结缔组织病等情况。荟萃分析显示,糖皮质激素可能改善呼吸衰竭的非HIV患者的临床结局,但可增加总的非HIV患者的病死率,推测与其加重免疫抑制有关[30]


北京协和医院的一项研究报道,NPPV在重症PJP患者中使用率低,即使使用,其失败率也高达83.3%[31]。因此对于重症PJP患者,在有插管指征的情况下一定要尽早插管,以免延误病情。目前有关ECMO在重症PJP患者中的应用研究例数较少。一项研究纳入了接受ECMO治疗的31例PJP患者,其中6例HIV患者,其他为接受免疫抑制治疗患者,总体存活率为31%。研究发现,清醒ECMO的临床获益优于插管ECMO[32]。较多患者在撤离ECMO后死亡,因此对于接受ECMO治疗的PJP患者抗PJ的疗程可能需要延长。

德国一项为期10年的单中心回顾性研究中共有18例PJP患者接受ECMO治疗,结果显示,非HIV PJP患者的总体存活率仅为8.3%,而HIV PJP患者的存活率为50%[33]1/3患者成功撤离ECMO后仍有75%死亡。因此,ECMO治疗重症PJP仍需要更多的经验积累。

在PJP的治疗药物中,复方磺胺甲噁唑为首选。欧洲白血病抗感染委员会(ECIL)关于非HIV感染血液科患者PJP治疗指南[34]推荐的一线治疗为磺胺甲噁唑+甲氧苄啶(5:1)TMP/SMX(首选治疗),TMP推荐剂量为15~20 mg/kg,SMX剂量为75~100 mg/kg;建议早期静脉或口服、足疗程用药。

目前卡泊芬净在PJP治疗中的地位多为体外研究文献支持,人体研究通常为小样本观察性研究,临床上卡泊芬净多与复方磺胺甲噁唑联用。《抗菌药物超说明书用法专家共识》也提到卡泊芬净联合磺胺甲噁唑/甲氧苄啶可能是治疗PJP的有效方案之一[35]。PJP在滋养体期没有β-1,3葡聚糖,因此卡泊芬净对于滋养体期的PJ是无效的。PJP合并曲霉的感染发生率较高。国内一些大型医疗中心卡泊芬净的使用率为40%~50%。武汉大学人民医院对于肾移植后PJP的治疗,100%采用卡泊芬净联合磺胺甲噁唑/甲氧苄啶[36]

磺胺类药物的母体为对氨基苯磺酰胺(磺胺,SN),最早是合成偶氮染料的中间体。1908年已经被合成,但当时无人注意到其医疗价值。直至1932年,德国多马克发现含有磺胺结构片段的磺胺柯定(盐酸盐为百浪多息,KI-730,世界上第一款商业化的合成抗菌药),可使鼠、兔免受链球和葡萄球菌的感染,于次年报告了第一例用百浪多息治疗葡萄球菌引起的败血症,并获得1939年的诺贝尔生理学和医学奖,引起了世界范围的广泛关注。

复方磺胺甲噁唑是磺胺甲噁唑和甲氧苄啶(5:1)组成的复方制剂,磺胺甲噁唑与PABA结构类似,结合二氢叶酸合成(DHPS)基因位点从而抑制DHPS的生成。甲氧苄啶抑制二氢叶酸还原酶,可使细菌的四氢叶酸的合成受到双重阻断,使磺胺药的抗菌作用增强数倍至数十倍,甚至出现杀菌作用,并延缓耐药性的产生。这两个组分构成双重阻断叶酸代谢,疗效大大增强。复方磺胺甲噁唑静脉制剂的达峰速度快,药物浓度高,对于病情危重、无法口服药物的患者,可采用静脉给药。磺胺甲噁唑和甲氧苄啶的半衰期一致,协同性较好。

复方磺胺甲噁唑的副作用包括:①皮疹:发生率低,一旦发生皮疹,应立即停用。严重皮肤不良反应包括史蒂文斯-约翰逊综合征(SJS)、中毒性表皮坏死松解(TEN)和系统症状药疹(DRESS);②血小板减少:多为免疫介导,停药1周后多可恢复;③肝毒性:免疫介导,与基因有关,HIV感染发生率为16.4%;④骨髓抑制;⑤磺胺结晶阻塞肾小管:用药时需充分水化,保证尿液>1500 ml,尿pH>7.15。

如何安全地静脉滴注复方磺胺甲噁唑?稀释和静脉滴注要点包括:①稀释25倍,4 h之内使用;②缓慢静滴,至少滴注60~90 min;③5%葡萄糖稀释优于0.9%氯化钠(更大的溶解度、更低的渗透压)。若患者重症,限水,建议至少稀释到150 ml,静脉滴注比较安全。肌酐清除率>30 ml/min,复方磺胺甲噁唑可以正常剂量使用;肌酐清除率在15~30 ml/min,减半使用;肌酐清除率<15 ml/min,一般不推荐使用。


07

  小   结 

非HIV PJP是ICU中常见的肺部真菌病,此类患者病情危重,预后差,需要早期识别,早期诊治。临床医生需要综合判断PJP的危险因素,及时发现相对特征的临床表现及胸部CT改变,及时进行BALF mNGS、组织样本特殊染色、PCR等检查,争取及早正确诊治。口服或静脉使用复方磺胺甲噁唑(联合卡泊芬净)是PJP重要的抗感染方案。
图片
参考文献
(向下滑动查看全部文献)

[1] Patel M, Chen J, Kim S, et al. Analysis of MarketScan Data for Immunosuppressive Conditions and Hospitalizations for Acute Respiratory Illness, United States[J]. Emerg Infect Dis, 2020, 26(8):1720-1730. 

[2] Bienvenu AL, Traore K, Plekhanova I, et al. Pneumocystis pneumonia suspected cases in 604 non-HIV and HIV patients[J]. Int J Infect Dis, 2016, 46:11-17. 

[3] Li Y, Sun B, Tang X, et al. Application of metagenomic next-generation sequencing for bronchoalveolar lavage diagnostics in critically ill patients[J]. Eur J Clin Microbiol Infect Dis, 2020, 39(2):369-374.

[4] Wu X, Li Y, Zhang M, et al. Etiology of Severe Community-Acquired Pneumonia in Adults Based on Metagenomic Next-Generation Sequencing: A Prospective Multicenter Study[J]. Infect Dis Ther, 2020, 9(4):1003-1015. 

[5] Schmidt J J, Lueck C, Ziesing S, et al. Clinical course, treatment and outcome of Pneumocystis pneumonia in immunocompromised adults: a retrospective analysis over 17 years[J]. Crit Care, 2018, 22(1):307. 

[6] Weng L, Huang X, Chen L, et al. Prognostic factors for severe Pneumocystis jiroveci pneumonia of non-HIV patients in intensive care unit: a bicentric retrospective study[J]. BMC Infect Dis, 2016, 16(1):528. 

[7] Cushion M T, Stringer J R. Stealth and opportunism: alternative lifestyles of species in the fungal genus Pneumocystis[J]. Annu Rev Microbiol, 2010, 64:431-452. 

[8] Ponce C A, Gallo M, Bustamante R, et al. Pneumocystis colonization is highly prevalent in the autopsied lungs of the general population[J]. Clin Infect Dis, 2010, 50(3):347-353. 

[9] Hoving J C, Kolls J K. New advances in understanding the host immune response to Pneumocystis[J]. Curr Opin Microbiol, 2017, 40:65-71. 

[10] Messiaen P E, Cuyx S, Dejagere T, et al. The role of CD4 cell count as discriminatory measure to guide chemoprophylaxis against Pneumocystis jirovecii pneumonia in human immunodeficiency virus-negative immunocompromised patients: A systematic review[J]. Transpl Infect Dis, 2017 Apr;19(2). doi: 10.1111/tid.12651. 

[11] Grønseth S, Rogne T, Hannula R, et al. Epidemiological and clinical characteristics of immunocompromised patients infected with Pneumocystis jirovecii in a twelve-year retrospective study from Norway[J]. BMC Infect Dis, 2021, 21(1):659. 

[12] Schmidt J J, Lueck C, Ziesing S, et al. Clinical course, treatment and outcome of Pneumocystis pneumonia in immunocompromised adults: a retrospective analysis over 17 years[J]. Crit Care, 2018, 22(1):307. 

[13] Roux A, Canet E, Valade S, et al. Pneumocystis jirovecii pneumonia in patients with or without AIDS, France[J]. Emerg Infect Dis, 2014, 20(9):1490-1497.

[14] Guo F, Chen Y, Yang SL, et al. Pneumocystis pneumonia in HIV-infected and immunocompromised non-HIV infected patients: a retrospective study of two centers in China[J]. PLoS One, 2014, 9(7):e101943. 

[15] Li L, Hsu S H, Gu X, et al. Aetiology and prognostic risk factors of mortality in patients with pneumonia receiving glucocorticoids alone or glucocorticoids and other immunosuppressants: a retrospective cohort study[J]. BMJ Open, 2020, 10(10):e037419. 

[16] Huang L, Fu Q, Ye Y, et al. High incidence and mortality of Pneumocystis jirovecii infection in anti-MDA5-antibody-positive dermatomyositis: experience from a single center[J]. Arthritis Res Ther, 2021, 23(1):232.

[17] Iriart X, Challan Belval T, Fillaux J, et al. Risk factors of Pneumocystis pneumonia in solid organ recipients in the era of the common use of posttransplantation prophylaxis[J]. Am J Transplant, 2015, 15(1):190-199.

[18] Azoulay E, Roux A, Vincent F, et al. A Multivariable Prediction Model for Pneumocystis jirovecii Pneumonia in Hematology Patients with Acute Respiratory Failure[J]. Am J Respir Crit Care Med, 2018, 198(12):1519-1526. 

[19] González-Lara M F, Wisniowski-Yáñez A, Pérez-Patrigeon S, et al. Pneumocystis jiroveci pneumonia and GATA2 deficiency: Expanding the spectrum of the disease[J]. J Infect, 2017, 74(4):425-427. 

[20] Siddiqi A E, Liu A Y, Charville G W, et al. Disseminated Pneumocystis jirovecii Infection with Osteomyelitis in a Patient with CTLA-4 Haploinsufficiency[J]. J Clin Immunol, 2020, 40(2):412-414. 

[21] Roux A, Canet E, Valade S, et al. Pneumocystis jirovecii pneumonia in patients with or without AIDS, France[J]. Emerg Infect Dis, 2014, 20(9):1490-1497. 

[22] Guo F, Chen Y, Yang S L, et al. Pneumocystis pneumonia in HIV-infected and immunocompromised non-HIV infected patients: a retrospective study of two centers in China[J]. PLoS One, 2014, 9(7):e101943.

[23] Morjaria S, Frame J, Franco-Garcia A, et al. Clinical Performance of (1,3) Beta-D Glucan for the Diagnosis of Pneumocystis Pneumonia (PCP) in Cancer Patients Tested With PCP Polymerase Chain Reaction[J]. Clin Infect Dis, 2019, 69(8):1303-1309. 

[24] Del Corpo O, Butler-Laporte G, Sheppard D C, et al. Diagnostic accuracy of serum (1-3)-β-D-glucan for Pneumocystis jirovecii pneumonia: a systematic review and meta-analysis[J]. Clin Microbiol Infect, 2020, 26(9):1137-1143. 

[25] Mühlethaler K, Bögli-Stuber K, Wasmer S, et al. Quantitative PCR to diagnose Pneumocystis pneumonia in immunocompromised non-HIV patients[J]. Eur Respir J, 2012, 39(4):971-978.

[26] Tia T, Putaporntip C, Kosuwin R, et al. A highly sensitive novel PCR assay for detection of Pneumocystis jirovecii DNA in bronchoalveloar lavage specimens from immunocompromised patients[J]. Clin Microbiol Infect, 2012, 18(6):598-603. 

[27] Walker C M, Abbott G F, Greene R E, et al. Imaging pulmonary infection: classic signs and patterns[J]. AJR Am J Roentgenol, 2014, 202(3):479-492. 

[28] Lu C L, Hung C C. Reversible cystic lesions of Pneumocystis jirovecii pneumonia[J]. Am J Respir Crit Care Med, 2012, 185(6):e7-e8.

[29] Yu Q, Jia P, Su L, et al. Outcomes and prognostic factors of non-HIV patients with pneumocystis jirovecii pneumonia and pulmonary CMV co-infection: A Retrospective Cohort Study[J]. BMC Infect Dis, 2017, 17(1):392.

[30] Ding L, Huang H, Wang H, et al. Adjunctive corticosteroids may be associated with better outcome for non-HIV Pneumocystis pneumonia with respiratory failure: a systemic review and meta-analysis of observational studies[J]. Ann Intensive Care, 2020, 10(1):34.

[31] 黄絮, 翁利, 易丽, 等. 非HIV免疫抑制患者肺孢子菌肺炎合并急性呼吸衰竭的临床特征[J]. 中华医学杂志, 2016, 96(38):3057-3061. 

[32] Stahl K, Schenk H, Seeliger B, et al. Extracorporeal membrane oxygenation for acute respiratory distress syndrome due to Pneumocystis pneumonia[J]. Eur Respir J, 2019, 54(3):1900410. 

[33] Rilinger J, Staudacher D L, Rieg S, et al. Extracorporeal membrane oxygenation in Pneumocystis jirovecii pneumonia: outcome in HIV and non-HIV patients[J]. Crit Care, 2019, 23(1):356. 

[34] Maschmeyer G, Helweg-Larsen J, Pagano L, et al. ECIL guidelines for treatment of Pneumocystis jirovecii pneumonia in non-HIV-infected haematology patients[J]. J Antimicrob Chemother, 2016, 71(9):2405-2413. 

[35] 中国医药教育协会感染疾病专业委员会, 中华结核和呼吸杂志编辑委员会, 中国药学会药物临床评价研究专业委员会. 抗菌药物超说明书用法专家共识[J]. 中华结核和呼吸杂志, 2015, 38(6):410-444. 

[36] Zou J, Wang T, Qiu T, et al. Single-center retrospective analysis of Pneumocystis jirovecii pneumonia in patients after deceased donor renal transplantation[J]. Transpl Immunol, 2022, 72:101593. 

作者简介

图片

刘凯雄
  • 福建医科大学附属第一医院 
  • 医学博士,副主任医师,硕士生导师
  • 福建省医师协会呼吸医师分会委员
  • 福建省高层次人才
  • 主持和参与国家、省部级课题多项
  • 发表SCI文章15篇
  • 参与编写专著5部,译著5部


*本文根据“呼吸危重症菁英秀”第二十七期专题视频整理,感谢刘凯雄医师予以审核。

全部评论 0
Copyright©2020-2026 北京医麦斯科技有限公司 版权所有 京ICP备2020034400号-1 京公网安备11010502043983号