登录方式

方式一:
PC端网页:www.rccrc.cn
输入账号密码登录,可将此网址收藏并保存密码方便下次登录

方式二:
手机端网页:www.rccrc.cn
输入账号密码登录,可将此网址添加至手机桌面并保存密码方便下次登录

方式三:
【重症肺言】微信公众号
输入账号密码登录

注:账号具有唯一性,即同一个账号不能在两个地方同时登录。

登录
方式

为重症救治赋能

为患者康复加速

当前位置: 首页 呼吸危重症菁英秀

局麻膨肺下可弯曲内科胸腔镜肺大疱减容术的临床应用

高亭 咸阳市中心医院呼吸与危重症医学科 发布于2025-08-06 浏览 2085 收藏

作者:高亭

单位:咸阳市呼吸系统疾病质量控制中心 咸阳市中心医院呼吸与危重症医学科

图片

慢性阻塞性肺疾病(慢阻肺)是呼吸系统第一大疾病,根据相关流行病学调查,中国40岁以上人群患病率为13.6%,患者数量约1亿,其中多数合并肺大疱(目前尚无确切统计数据)。巨大肺大疱患者的肺功能很差,药物治疗达到了天花板效应,患者肺功能太差无法耐受外科手术。既往此类患者在临床上没有更好的方法救治,随时有生命危险,或者经常性住院,家属也面临巨大的经济压力及精神压力。

图片

一、肺减容术概述

1. 肺大疱治疗方法比较

1)外科肺减容手术:布兰蒂根等于20世纪50年代提出的肺减容手术(lung volume reduction surgery,LVRS)是一种治疗肺大疱的有效方法,其核心目标是通过快速完整地切除肺大疱,减少恶性充气,优化呼吸力学,进而改善患者的肺功能,缓解呼吸困难,提高运动耐力和生活质量。然而,该手术过程与高发病率和死亡率相关。因此,LVRS最初被放弃,并在20世纪90年代由Cooper等重新引入。针对LVRS,最全面且具有里程碑意义的临床试验是国家肺气肿治疗试验(National Emphysema Treatment Trial,NETT),该试验是一项大型、多中心、随机对照临床试验,旨在评估LVRS治疗重度肺气肿的有效性和安全性,试验比较了608例接受LVRS治疗的患者和610例接受药物治疗的患者,研究发现,右肺上叶病变患者通过LVRS治疗后的获益比较明显,患者肺功能、运动能力和与健康相关的生活质量均得到改善;而其他部位病变患者LVRS术后的5年生存期、肺功能改善率均无明显获益。此外,该方法带来的死亡率和并发症率也不容忽视。所以,LVRS仍然存在一定的弊端,特别是在非上叶优势肺气肿和高基线运动能力的患者中,从而刺激了对替代方法的研究。

2)支气管内活瓣(EBV)肺减容术:EBV肺减容术在临床应用也有10余年,该方法是通过支气管镜将单向活瓣植入到目标支气管内,活瓣在呼气期和咳嗽时打开,允许阻塞区域的气体和分泌物排出,在吸气期关闭,阻止气体再次进入目标区域,从而使肺大疱逐渐漏气萎陷,形成局限性肺不张,最终目标是减轻呼吸困难,提高运动耐力和生活质量。该方法也有一定的局限性,即要求有侧支通气,因此术前要进行Chartis系统检测,判断是否存在侧支漏气;此外,EBV更适用于位于双肺上叶、左肺舌叶和右肺中叶的肺大疱,而对于双肺下叶的肺大疱,EBV不具备适应证。

3)支气管内线圈肺减容术:该方法类似于单向活瓣,通过支气管镜将微小的镍钛合金(记忆金属)线圈植入到目标肺叶的支气管内,卷曲的线圈对周围的气道壁产生持续的、向心性的机械牵拉力。这种牵拉作用导致植入区域的肺组织被压缩并萎陷,进而减少无效通气区域。萎陷的肺组织容积减少后,可改善邻近健康肺组织的通气和血流灌注,同时恢复膈肌的正常收缩功能,提升呼吸效率。但目前该技术的应用人群相对有限。

4)支气管镜下热蒸汽消融术(BTVA):BTVA是一种内镜下肺容积缩小治疗方法,但其真正的应用是非均质性肺气肿的减容,尤其是对双上肺肺气肿的减容效果明显。对于合并肺大疱的慢阻肺患者,BTVA属于相对禁忌,因为热蒸汽会导致肺大疱破裂。通过注入加热的水蒸气,可诱导炎症反应,导致肺实质纤维化和瘢痕形成,从而导致大叶体积减小。临床单臂试验显示了BTVA具有良好的结果,患者肺功能、运动能力和生活质量均有显著改善。由于BTVA诱导的局部炎症反应似乎对预期的小叶体积减少至关重要,这可能与短暂的临床恶化相关。因此需要对患者进行严格的监测。BTVA目前也局限于双上肺的肺气肿减容,对于其他部位肺气肿,仍缺少明确的循证医学证据。在未来,如何平衡其有效性和安全性将成为重大挑战。

5)经支气管镜注入自体血:这是一种相对较新的、仍在实验研究阶段的支气管镜介入技术,主要用于治疗难治性气胸,近年来也被探索用于严重均质性肺气肿的肺减容治疗。其核心是利用患者自身的血液(自体血)在目标部位形成凝块,达到封闭瘘口或压缩肺组织的目的。支气管镜下自体血液灌注巨大疱可引起炎症反应,导致瘢痕形成、纤维化诱导大疱收缩,导致肺功能、运动能力和生活质量的临床意义的改善。这种治疗方法是一种廉价、微创、广泛使用和安全的技术来减少大疱体积。它可以作为手术大疱切除术的辅助手段,延迟手术的需要或作为它的前兆。在没有其他治疗方案的情况下,对于接受最大限度药物治疗的虚弱患者,不适合手术干预,也可以考虑此方法。未来仍需进一步开展基础科学研究,但这些试点研究患者的反应足够令人印象深刻,值得进行更大规模的临床研究。

6)经支气管镜注入凝胶:通过支气管镜将纤维蛋白原生物制药悬浮液和凝血酶溶液注入目标肺段的多个亚段支气管,注入的溶液迅速在原位聚合胶形成具有弹性的水凝胶进而减少肺体积;另外,水凝胶含有可降解的聚复合物L-赖氨酸和硫酸软骨素引发局部炎症反应,这种炎症反应最终导致目标区域的肺组织发生纤维化和瘢痕性收缩,最终的结果是使病变肺组织容积减少,缓解过度充气,改善呼吸力学。

7)经胸腔镜肺大疱减容术:张华教授团队使用硬质内科胸腔镜通过氩离子凝固术(APC)对可见肺大疱进行减容,然后局部喷洒凝胶。该术是在全麻、单肺通气情况下进行的,因此对患者的肺功能有一定要求。

图片

二、可弯曲内科胸腔镜下肺减容术研发历程

通过上述也发现,肺大疱减容术大部分都是通过支气管镜操作,而通过内科胸腔镜进行操作仍处于探索阶段,并且患者是在全麻下接受手术。但对于很多使用呼吸机和高流量的患者,无法进行内科胸腔镜下肺大疱减容手术。鉴于此,笔者团队探索了在局麻下进行肺大疱减容术的可行性。在手术设计中,笔者团队首先使用前端可弯曲的半硬质内科胸腔镜,这种胸腔镜能够在局麻下操作,可不用全身麻醉、不用进大手术室,在呼吸内镜室即可完成,患者耐受性好,且医疗花费低。对于合并有肺大疱或呼吸衰竭及肺功能不全的缺氧患者,可以在无创通气或高流量吸氧情况下进行手术。2010年英国胸科协会发布的《内科胸腔镜指南》和我国2018年发布的《内科胸腔镜诊疗规范》都提出,内科胸腔镜是在局麻下(或加静脉镇静)即可进行,一般不需要全身麻醉,操作在内镜室即可进行。我们最早探索内科胸腔镜下肺大疱减容手术,起因是肺大疱破裂后出现顽固性自发性气胸的患者,但当时(2018年前后)技术尚不成熟,对于合并气胸的患者,笔者团队在内科胸腔镜下对可见的肺大疱进行局部减容,在漏气处注入自体血,采用该方法治疗的几例患者都获得了比较好的预后,自发性气胸得到了明显改善。此后笔者团队也在思考如何能够使这项技术更好地应用于临床。

2019年,笔者团队独创“双孔法(Double-Trocar)”内科胸腔镜下胸膜分离术,即在胸腔上打两个孔,放两个戳卡,其中一个戳卡置入后,用常规硬质钳固定局部肺组织,然后再置入另一个戳卡,对可见病变进行消融或减容,该方法最初用于治疗胸膜粘连。通过这种方式将严重的胸膜粘连进行剥离,患者预后非常理想。因此,笔者团队又考虑如何将“双孔法(Double-Trocar)”应用到内科胸腔镜肺大疱减容术中。

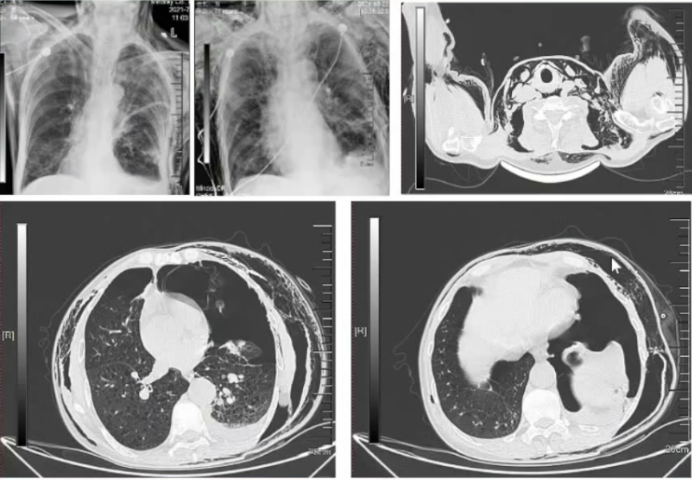
笔者团队最初设计“Double-Trocar”内科胸腔镜下肺大疱减容术时是通过CT明确肺大疱位置,然后进行局部穿刺(定位),随后立即去内镜室进行减容。随着技术的成熟,目前的方法经过改良,已经不需要通过CT进行穿刺。图1所示为2021年笔者团队第一例接受“Double-Trocar”内科胸腔镜下肺大疱减容术的患者影像学变化。术前可见患者左肺上叶巨大的肺大疱,减容术后1个月复查胸部CT可见肺大疱较前明显缩小,局部形成炎症瘢痕。随着时间进展,这种炎症瘢痕还会进一步缩小。术后3年随访,患者状态仍然比较理想。

图片

1  “Double-Trocar”手术前后患者影像学变化

随着对手术操作的熟练和病例数量的增加,发现“Double-Trocar”的双戳卡模式,操作过于繁琐,而且需要两个切口,不利于患者术后恢复,从2021年11月开始,本团队通过积极的体外试验,创新地改革了手术模式,像做胸腔积液一样对肺大疱进行治疗,只需要一个切口,且切口仅有1~1.5 cm,然后直接进入戳卡进行内科胸腔镜下肺大疱减容手术,获得了良好效果。

图片

三、手术实施过程

1. 适应证

①慢阻肺病多发肺大疱,存在可手术干预的较大目标肺大疱;②药物治疗达到天花板效应,患者持续出现呼吸困难,或频繁发作的呼吸困难和活动耐量减低;③无法耐受外科手术所需的全身麻醉。

2所示为2021年笔者团队开展的第3例内科胸腔镜下肺大疱减容术患者的影像学,术前患者左肺巨大肺大疱;术后1个月复查可见左肺肺大疱完全消失,被压缩的肺明显膨胀,肺大疱减容后边缘有瘢痕形成。因为没有切除肺大疱,所以影像学中“不张”处是塌陷肺大疱的表现(方法即为戳卡手术模式)

图片

2  “Double-Trocar”手术前后患者影像学变化

2. 术前准备

①常规血液化验检查;②CAT评分、6分钟步行试验、圣乔治评分;③影像资料:胸部增强CT、测量肺大疱与胸壁之间的切线点,确定进镜位置。

3. 手术步骤

最初设计的手术步骤有三步:进镜、减容、引流。

1)胸部增强CT定位:通过增强CT扫描确定肺大疱与胸壁的位置关系、肺大疱与壁层胸膜之间的切点,肺大疱距离皮肤的距离,通过切点确定进镜位置。

2)内科胸腔镜下减容手术(图3)。手术前准备:①利多卡因;②镇痛镇静药:地佐辛2支;③生理盐水1瓶;④采血注射器;⑤医用生物胶。

图片

3  内科胸腔镜下肺大疱减容手术过程

3)术后引流。肺大疱减容后会形成局部气胸,因此术后引流至关重要。如果引流不畅,会出现张力性气胸,进而导致血流动力学改变,严重者可能出现窒息。

图片

四、并发症处理

笔者团队的手术情况及术后观察显示“Double-Trocar”内科胸腔镜下肺大疱减容术整体安全性良好,患者术后表现、肺功能、6分钟步行试验均得到显著的提升。

1)皮下气肿:“Double-Trocar”内科胸腔镜下肺大疱减容术目前最棘手的并发症是皮下气肿,严重者可能会压迫气管(图4)。所以部分患者术后可能会出现呼吸困难加重。既往对于这部分患者尚无良好的治疗方式,本团队积极探索,目前通过迷路置入胸腔闭式引流管,有效地改善了术后皮下气肿的发生,但该方法仍需进一步验证。

图片

4  “Double-Trocar”内科胸腔镜下肺大疱减容术后皮下气肿并发症

2)术后感染:笔者团队治疗的患者中有一例术后第2周出现肺局部脓肿,后行内科胸腔镜下肺脓肿清除术。

图片

五、总结

内科胸腔镜下肺大疱减容术目前在临床实践中仍处于积极探索和完善阶段。针对肺大疱的治疗尚未形成统一标准化的完整体系,尤其在术后康复管理方面,整体面临的情况更为复杂。该术式最显著的优势在于其微创性和安全性,它通常能够在局部麻醉(或镇静镇痛)下完成操作,避免了全身麻醉的风险。然而,该技术也面临一些亟待解决的难题。其中,术后皮下气肿是相对常见且影响较大的并发症之一,它延长了患者整个治疗周期和康复进程。目前本团队已完成115例肺大疱患者的救治,未出现一例患者死亡,术后患者的肺功能、生活质量均得到了显著改善,已在总结经验进行论文发表。因此,该技术在并发症预防及优化康复路径等方面仍需更深入的临床研究和经验积累来进一步验证和提升。

图片
图片
图片


   参考文献    

上下滑动阅览

[1] Sanchez PG, Kucharczuk JC, Su S, et al. National Emphysema Treatment Trial redux: accentuating the positive[J]. J Thorac Cardiovasc Surg, 2010, 140(3):564-572. 

[2] Shah PL, Zoumot Z, Singh S, et al. Endobronchial coils for the treatment of severe emphysema with hyperinflation (RESET): a randomised controlled trial[J]. Lancet Respir Med, 2013, 1(3):233-240. 

[3] 张华, 葛长胜, 孙中美, 等. 内科胸腔镜下氩离子凝固术治疗胸膜下肺大疱所致自发性气胸的效果及安全性[J]. 中华医学杂志, 2017, 97(40):3171-3173. 


    作者介绍    

图片
高亭

咸阳市中心医院呼吸疾病临床研究室副主任临床医学博士,副主任医师,副教授,硕士研究生导师陕西省研究型医院学会青年委员会副主任委员陕西省保健协会呼吸病学专业委员会常委肿瘤化疗专业委员会常委陕西省健康促进与教育协会呼吸专委会常委陕西省抗癌协会肺癌专业委员会常委光动力专业委员会常委陕西省老年学和老年医学学会肺癌专业委员会常委陕西省防痨协会呼吸内镜介入专业委员会常委陕西省传播学会胸部肿瘤专业委员会常委陕西省中西医结合协会呼吸介入专委会常委咸阳市医学会呼吸病学专业委员会常委兼秘书长西部呼吸介入联盟理事中国抗癌协会肿瘤内镜学专业委员会委员中国医药教育协会介入微创专业委员会委员肿瘤化学治疗专业委员会委员慢性气道疾病专业专业委员会青年委员全国卫生产业企业管理协会肿瘤分会委员世界内镜协会呼吸内镜协会理事; 主持省陕西省科技厅等省、市级课题13项, 参编及参译著作6部, 第一作者及通讯作者发表论文45余篇, 其中SCI 15篇; 获得中国防痨科技进步奖1项, 陕西省科技进步奖2项, 咸阳市科技进步奖3项, 获得国家发明专利1项, 实用新型专利23余项, 《临床医学研究与实践杂志》编委、《抗感染药学杂志》青年编委; 主要从事肺癌诊治及硬质支气管镜、超声支气管镜、硅酮支架置入等各类呼吸内镜检查及治疗, 已独立完成各项支气管镜技术5万余例


声明:

本文仅用于学术内容的探讨和交流,不用于任何商业和推广,亦不作为最终的临床决策。临床实践需根据患者的具体情况选择适宜的处理措施。


全部评论 0
Copyright©2020-2026 北京医麦斯科技有限公司 版权所有 京ICP备2020034400号-1 京公网安备11010502043983号